The Clinical Management of Traumatic Palatal Ulcers in an Adolescent Patient: A Common Lesion in Mini-Implant-Assisted Rapid Maxillary Expansion
Abstract
1. Introduction
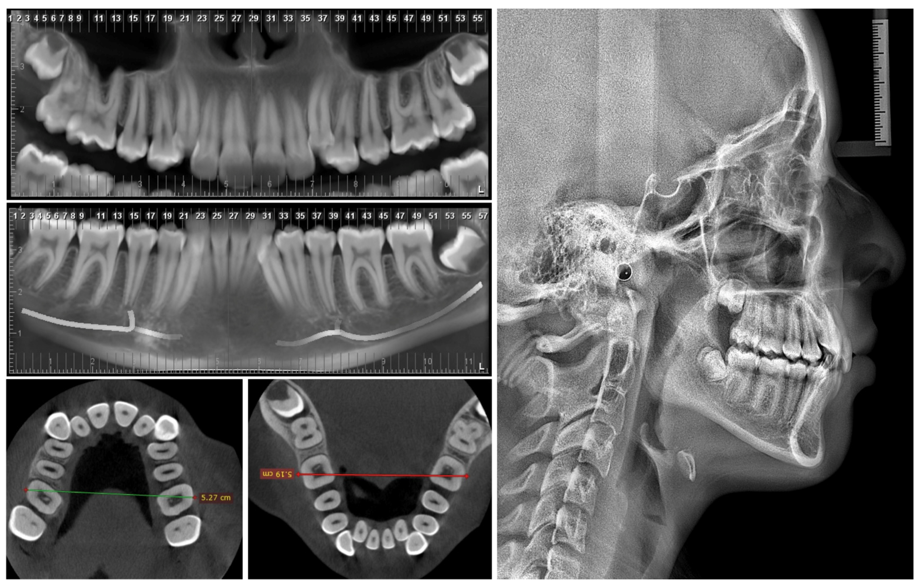
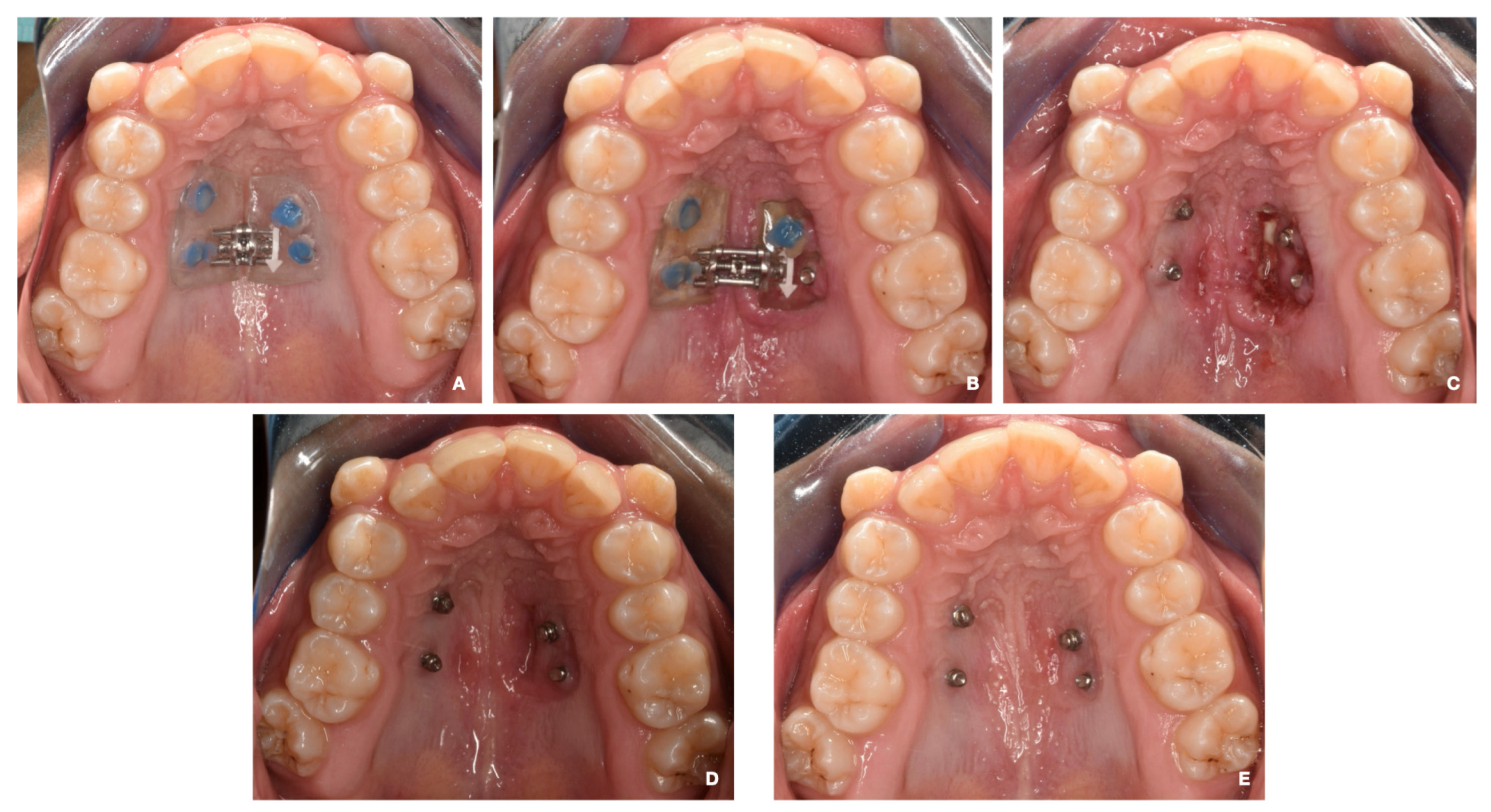
2. Case Report
3. Discussion
4. Conclusions
Author Contributions
Funding
Institutional Review Board Statement
Informed Consent Statement
Data Availability Statement
Conflicts of Interest
References
- de Oliveira, C.B.; Ayub, P.; Ledra, I.M.; Murata, W.H.; Suzuki, S.S.; Ravelli, D.B.; Santos-Pinto, A. Microimplant assisted rapid palatal expansion vs surgically assisted rapid palatal expansion for maxillary transverse discrepancy treatment. Am. J. Orthod. Dentofac. Orthop. 2021, 159, 733–742. [Google Scholar] [CrossRef] [PubMed]
- Angelieri, F.; Cevidanes, L.H.S.; Franchi, L.; Gonçalves, J.R.; Benavides, E.; McNamara, J.A. Midpalatal suture maturation: Classification method for individual assessment before rapid maxillary expansion. Am. J. Orthod. Dentofac. Orthop. 2013, 144, 759–769. [Google Scholar] [CrossRef] [PubMed]
- Angelieri, F.; Franchi, L.; Cevidanes, L.H.; Jr, J.A.M. Diagnostic performance of skeletal maturity for the assessment of midpalatal suture maturation. Am. J. Orthod. Dentofac. Orthop. 2015, 148, 1010–1016. [Google Scholar] [CrossRef] [PubMed]
- Angelieri, F.; Franchi, L.; Cevidanes, L.H.S.; Bueno-Silva, B.; McNamara, J.A. Prediction of rapid maxillary expansion by assessing the maturation of the midpalatal suture on cone beam CT. Dent. Press J. Orthod. 2016, 21, 115–125. [Google Scholar] [CrossRef] [PubMed]
- Brunetto, D.P.; Moschik, C.E.; Dominguez-Mompell, R.; Jaria, E.; Sant’Anna, E.F.; Moon, W. Mini-implant assisted rapid palatal ex-pansion (MARPE) effects on adult obstructive sleep apnea (OSA) and quality of life: A multi-center prospective controlled trial. Prog. Orthod. 2022, 23, 3. [Google Scholar] [CrossRef] [PubMed]
- Lee, K.-J.; Park, Y.-C.; Park, J.-Y.; Hwang, W.-S. Miniscrew-assisted nonsurgical palatal expansion before orthognathic surgery for a patient with severe mandibular prognathism. Am. J. Orthod. Dentofac. Orthop. 2010, 137, 830–839. [Google Scholar] [CrossRef]
- Lee, K.-J.; Choi, S.-H.; Choi, T.-H.; Shi, K.-K.; Keum, B.-T. Maxillary transverse expansion in adults: Rationale, appliance design, and treatment outcomes. Semin. Orthod. 2018, 24, 52–65. [Google Scholar] [CrossRef]
- Gupta, V.; Rai, P.; Tripathi, T.; Kanase, A. Stress distribution and displacement with four different types of MARPE on craniofacial complex: A three-dimensional finite element analysis. Int. Orthod. 2023, 21, 100813. [Google Scholar] [CrossRef] [PubMed]
- Nojima, L.I.; Nojima, M.d.C.G.; da Cunha, A.C.; Guss, N.O.; Sant’anna, E.F. Mini-implant selection protocol applied to MARPE. Dent. Press J. Orthod. 2018, 23, 93–101. [Google Scholar] [CrossRef]
- de Mendonça Copello, F.; Silveira, A.M.; de Castro, R.T.; Lopes, A.C.R.; Ko, F.; Sumner, D.R.; Sant’Anna, E.F. In-vitro trabecular bone damage following mono- and bicortical mini implants anchorage in mini-implant assisted rapid palatal expansion (MARPE). Int. Orthod. 2021, 19, 243–251. [Google Scholar] [CrossRef]
- Li, N.; Sun, W.; Li, Q.; Dong, W.; Martin, D.; Guo, J. Skeletal effects of monocortical and bicortical mini-implant anchorage on maxillary expansion using cone-beam computed tomography in young adults. Am. J. Orthod. Dentofac. Orthop. 2020, 157, 651–661. [Google Scholar] [CrossRef] [PubMed]
- Li, K.; Guilleminault, C. Surgical and non-surgical maxillary expansion: Expansion patterns, complications and failures. Orthod. Fr. 2022, 93 (Suppl. S1), 35–46. [Google Scholar] [CrossRef] [PubMed]
- Meirelles, C.M.; Ferreira, R.M.; Suzuki, H.; Oliveira, C.B.; de Jesus, A.S.; Garcez, A.S.; Suzuki, S.S. Analysis of factors associated with the success of microimplant-assisted rapid palatal expansion. Am. J. Orthod. Dentofac. Orthop. 2023, 164, 67–77. [Google Scholar] [CrossRef] [PubMed]
- Chamberland, S. Maxillary expansion in nongrowing patients. Conventional, surgical, or miniscrew-assisted, an update. J. World Fed. Orthod. 2023, 12, 173–183. [Google Scholar] [CrossRef] [PubMed]
- Bud, E.S.; Bică, C.I.; Păcurar, M.; Vaida, P.; Vlasa, A.; Martha, K.; Bud, A. Observational Study Regarding Possible Side Effects of Miniscrew-Assisted Rapid Palatal Expander (MARPE) with or without the Use of Corticopuncture Therapy. Biology 2021, 10, 187. [Google Scholar] [CrossRef] [PubMed]
- Oliveira, C.B.; Ayub, P.; Angelieri, F.; Murata, W.H.; Suzuki, S.S.; Ravelli, D.B.; Santos-Pinto, A. Evaluation of factors related to the success of miniscrew-assisted rapid palatal expansion. Angle Orthod. 2021, 91, 187–194. [Google Scholar] [CrossRef]
- Srivastava, S.C.; Mahida, K.; Agarwal, C.; Chavda, R.M.; A Patel, H. Longitudinal Stability of Rapid and Slow Maxillary Expansion: A Systematic Review. J. Contemp. Dent. Pract. 2020, 21, 1068–1072. [Google Scholar] [CrossRef] [PubMed]
- Banker, A.M.; Thakkar, M.N.; Desai, B.B.; Huja, S.S. Post-Expansion and end of treatment outcomes of semi-rapid maxillary expansion with a modified removable appliance. Indian J. Dent. Res. 2022, 33, 63–68. [Google Scholar] [CrossRef]
- Chun, J.-H.; de Castro, A.C.R.; Oh, S.; Kim, K.-H.; Choi, S.-H.; Nojima, L.I.; Nojima, M.d.C.G.; Lee, K.-J. Skeletal and alveolar changes in conventional rapid palatal expansion (RPE) and miniscrew-assisted RPE (MARPE): A prospective randomized clinical trial using low-dose CBCT. BMC Oral Health 2022, 22, 114. [Google Scholar] [CrossRef]
- Copello, F.d.M.; Marañón-Vásquez, G.A.; Brunetto, D.P.; Caldas, L.D.; Masterson, D.F.; Maia, L.C.; Sant’anna, E.F. Is the buccal alveolar bone less affected by mini-implant assisted rapid palatal expansion than by conventional rapid palatal expansion?—A systematic review and meta-analysis. Orthod. Craniofac. Res. 2020, 23, 237–249. [Google Scholar] [CrossRef]
- Belluzzo, R.H.L.; Jr, K.F.; Ortolani, C.; Chelotti, A. Correlation between transverse and vertical measurements in Brazilian growing patients, evaluated by Ricketts-Faltin frontal analysis. Dent. Press J. Orthod. 2013, 18, 50–54. [Google Scholar] [CrossRef] [PubMed][Green Version]
- Andrews, L.F. The 6-elements orthodontic philosophy: Treatment goals, classification, and rules for treating. Am. J. Orthod. Dentofac. Orthop. 2015, 148, 883–887. [Google Scholar] [CrossRef] [PubMed]
- Mahalakshmi, R.; Varadharaja, M.M.; Ninan, R.L.; Kumar, V.V.; Kanagasabapathy, B.; Balaji, M.D.S. Evaluation of Horizontal Distance between WALA-FA Point in Angle’s Class I, Class II, and Class III Malocclusion. J. Pharm. Bioallied. Sci. 2021, 13 (Suppl. S1), S506–S509. [Google Scholar] [CrossRef] [PubMed]
- Tamburrino, R.K.; Boucher, N.S.; Vanarsdall, R.L.; Secchi, A. The Transverse Dimension: Diagnosis and Relevance to Functional Occlusion. RWISO J. 2010, 2, 12–23. [Google Scholar]
- Naveda, R.; Dos Santos, A.M.; Seminario, M.P.; Miranda, F.; Janson, G.; Garib, D. Midpalatal suture bone repair after minis-crew-assisted rapid palatal expansion in adults. Prog. Orthod. 2022, 23, 35. [Google Scholar] [CrossRef] [PubMed]
- Mohan, S.; Srinivasan, D.; Arumugam, E.; Devasahayam, D.; Kannan, R. Effect of placement angle, diameter, length and bone density on the pull-out strength of orthodontic mini-implants: An in vitro study. J. Orthod. 2021, 49, 143–150. [Google Scholar] [CrossRef] [PubMed]
- Pèrez-Flores, A.; Gallegos-Delgado, F.; Hernández-Carrera, M.J.; Torres-González, P.; Cuevas-Drago, P.; Fierro-Monti, C. Riesgos asociados al uso de Expansión Rápida del Maxilar. Av. Odontoestomatol. 2020, 36, 21–26. [Google Scholar] [CrossRef]
- Rosa, E.A.R.; Rached, R.N.; Tanaka, O.; Fronza, F.; Fronza, F.; Assad, R.A. Preliminary investigation of bacteremia incidence after removal of the Haas palatal expander. Am. J. Orthod. Dentofac. Orthop. 2005, 127, 64–66. [Google Scholar] [CrossRef]
- Rutili, V.; Nieri, M.; Franceschi, D.; Pierleoni, F.; Giuntini, V.; Franchi, L. Comparison of rapid versus slow maxillary expansion on patient-reported outcome measures in growing patients: A systematic review and meta-analysis. Prog. Orthod. 2022, 23, 47. [Google Scholar] [CrossRef]
- Colak, C.; Aras, B.; Cheng, L.L.; Elekdag-Turk, S.; Turk, T.; Darendeliler, M.A. Effects of rapid and slow maxillary expansion on root resorption: A micro-computed tomography study. Eur. J. Orthod. 2021, 43, 682–689. [Google Scholar] [CrossRef] [PubMed]
- Kapetanović, A.; Noverraz, R.R.M.; Listl, S.; Bergé, S.J.; Xi, T.; Schols, J.G.J.H. What is the Oral Health-related Quality of Life following Miniscrew-Assisted Rapid Palatal Expansion (MARPE)? A prospective clinical cohort study. BMC Oral Health 2022, 22, 423. [Google Scholar] [CrossRef] [PubMed]
- Schemel-Suárez, M.; López-López, J.; Chimenos-Küstner, E. Oral ulcers: Differential diagnosis and treatment. Med. Clin. 2015, 145, 499–503. [Google Scholar] [CrossRef] [PubMed]




Disclaimer/Publisher’s Note: The statements, opinions and data contained in all publications are solely those of the individual author(s) and contributor(s) and not of MDPI and/or the editor(s). MDPI and/or the editor(s) disclaim responsibility for any injury to people or property resulting from any ideas, methods, instructions or products referred to in the content. |
© 2024 by the authors. Published by MDPI on behalf of the Lithuanian University of Health Sciences. Licensee MDPI, Basel, Switzerland. This article is an open access article distributed under the terms and conditions of the Creative Commons Attribution (CC BY) license (https://creativecommons.org/licenses/by/4.0/).
Share and Cite
Barriga, C.; Muñoz, G.; Sandoval, P.; Lara, A.; Copello, F. The Clinical Management of Traumatic Palatal Ulcers in an Adolescent Patient: A Common Lesion in Mini-Implant-Assisted Rapid Maxillary Expansion. Medicina 2024, 60, 1784. https://doi.org/10.3390/medicina60111784
Barriga C, Muñoz G, Sandoval P, Lara A, Copello F. The Clinical Management of Traumatic Palatal Ulcers in an Adolescent Patient: A Common Lesion in Mini-Implant-Assisted Rapid Maxillary Expansion. Medicina. 2024; 60(11):1784. https://doi.org/10.3390/medicina60111784
Chicago/Turabian StyleBarriga, Cristopher, Gonzalo Muñoz, Paulo Sandoval, Alejandro Lara, and Flavio Copello. 2024. "The Clinical Management of Traumatic Palatal Ulcers in an Adolescent Patient: A Common Lesion in Mini-Implant-Assisted Rapid Maxillary Expansion" Medicina 60, no. 11: 1784. https://doi.org/10.3390/medicina60111784
APA StyleBarriga, C., Muñoz, G., Sandoval, P., Lara, A., & Copello, F. (2024). The Clinical Management of Traumatic Palatal Ulcers in an Adolescent Patient: A Common Lesion in Mini-Implant-Assisted Rapid Maxillary Expansion. Medicina, 60(11), 1784. https://doi.org/10.3390/medicina60111784

