Biomarker Profiles and Clinicopathological Features in Head and Neck Squamous Cell Carcinoma Patients
Abstract
1. Introduction
2. Materials and Methods
3. Results
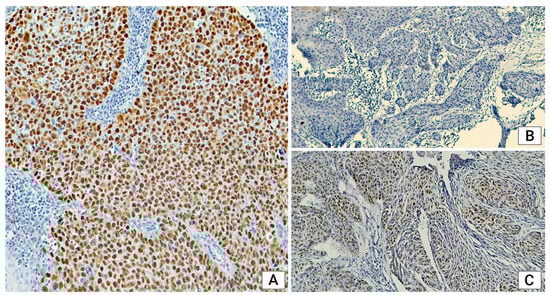
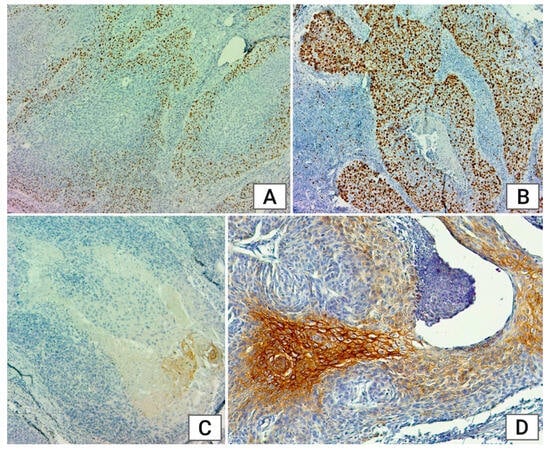
3.1. Ki67 Immunoexpression
3.2. p53 Immunoexpression
3.3. p16 Immunoexpression
3.4. EGFR Immunoexpression
3.5. COX-2 Immunoexpression
3.6. Cx-43 Immunoexpression
3.7. Comparative Analysis of Cx43 Expression Levels
4. Discussion
5. Conclusions
Author Contributions
Funding
Institutional Review Board Statement
Informed Consent Statement
Data Availability Statement
Conflicts of Interest
References
- Lukits, J.; Timár, J.; Juhász, A.; Döme, B.; Paku, S.; Répássy, G. Progression difference between cancers of the larynx and hypopharynx is not due to tumor size and vascularization. Otolaryngol. Head. Neck Surg. 2001, 125, 18–22. [Google Scholar] [CrossRef] [PubMed]
- Becker, A.S.; Kluge, C.; Schofeld, C.; Zimpfer, A.H.; Schneider, B.; Strüder, D.; Redwanz, C.; Ribbat-Idel, J.; Idel, C.; Maletzki, C. Identifying Predictive Biomarkers for Head and Neck Squamous Cell Carcinoma Response. Cancers 2023, 15, 5597. [Google Scholar] [CrossRef] [PubMed]
- Ang, K.K.; Harris, J.; Wheeler, R.; Weber, R.; Rosenthal, D.I.; Nguyen-Tân, P.F.; Westra, W.H.; Chung, C.H.; Jordan, R.C.; Lu, C.; et al. Human papillomavirus and survival of patients with oropharyngeal cancer. N. Engl. J. Med. 2010, 363, 24–35. [Google Scholar] [CrossRef] [PubMed]
- Shi, W.; Kato, H.; Perez-Ordonez, B.; Pintilie, M.; Huang, S.; Hui, A.; O’Sullivan, B.; Waldron, J.; Cummings, B.; Kim, J.; et al. Comparative prognostic value of HPV16 E6 mRNA compared with in situ hybridization for human oropharyngeal squamous carcinoma. J. Clin. Oncol. 2009, 27, 6213–6221. [Google Scholar] [CrossRef]
- Menon, S.S.; Guruvayoorappan, C.; Sakthivel, K.M.; Rasmi, R.R. Ki-67 protein as a tumour proliferation marker. Clin. Chim. Acta 2019, 491, 39–45. [Google Scholar] [CrossRef]
- Li, L.T.; Jiang, G.; Chen, Q.; Zheng, J.N. Ki67 is a promising molecular target in the diagnosis of cancer (review). Mol. Med. Rep. 2015, 11, 1566–1572. [Google Scholar] [CrossRef]
- Mireștean, C.C.; Iancu, R.I.; Iancu, D.P.T. p53 Modulates Radiosensitivity in Head and Neck Cancers-From Classic to Future Horizons. Diagnostics 2022, 12, 3052. [Google Scholar] [CrossRef]
- Lees, A.; Sessler, T.; McDade, S. Dying to Survive-The p53 Paradox. Cancers 2021, 13, 3257. [Google Scholar] [CrossRef]
- Hashmi, A.A.; Hussain, Z.F.; Aijaz, S.; Irfan, M.; Khan, E.Y.; Naz, S.; Faridi, N.; Khan, A.; Edhi, M.M. Immunohistochemical expression of epidermal growth factor receptor (EGFR) in South Asian head and neck squamous cell carcinoma: Association with various risk factors and clinico-pathologic and prognostic parameters. World J. Surg. Oncol. 2018, 16, 118. [Google Scholar] [CrossRef]
- Frejborg, E.; Salo, T.; Salem, A. Role of Cyclooxygenase-2 in Head and Neck Tumorigenesis. Int. J. Mol. Sci. 2020, 21, 9246. [Google Scholar] [CrossRef]
- Cronier, L.; Crespin, S.; Strale, P.O.; Defamie, N.; Mesnil, M. Gap junctions and cancer: New functions for an old story. Antioxid. Redox Sign. 2009, 11, 323–338. [Google Scholar] [CrossRef] [PubMed]
- Sirnes, S.; Lind, G.E.; Bruun, J.; Fykerud, T.A.; Mesnil, M.; Lothe, R.A.; Rivedal, E.; Kolberg, M.; Leithe, E. Connexins in colorectal cancer pathogenesis. Int. J. Cancer 2015, 137, 28911. [Google Scholar] [CrossRef] [PubMed]
- Matsuuchi, L.; Naus, C.C. Gap junction Proteins on the move: Connexins, the Cytoskeleton and Migration. Biochim. Biophys. Acta BBA-Biomembr. 2013, 1828, 94–108. [Google Scholar] [CrossRef] [PubMed]
- Dános, K.; Brauswetter, D.; Birtalan, E.; Pató, A.; Bencsik, G.; Krenács, T.; Peták, I.; Tamás, L. The Potential Prognostic Value of Connexin 43 Expression in Head and Neck Squamous Cell Carcinomas. Appl. Immunohistochem. Mol. Morphol. 2016, 24, 476–481. [Google Scholar] [CrossRef]
- Brockmeyer, P.; Jung, K.; Perske, C.; Schliephake, H.; Hemmerlein, B. Membrane connexin 43 acts as an independent prognostic marker in oral squamous cell carcinoma. Int. J. Oncol. 2014, 45, 273–281. [Google Scholar] [CrossRef]
- Warnakulasuriya, S. Global epidemiology of oral and oropharyngeal cancer. Oral Oncol. 2009, 45, 309–316. [Google Scholar] [CrossRef]
- Bossi, P.; Resteghini, C.; Paielli, N.; Licitra, L.; Pilotti, S.; Perrone, F. Prognostic and predictive value of EGFR in head and neck squamous cell carcinoma. Oncotarget 2016, 7, 74362–74379. [Google Scholar] [CrossRef] [PubMed]
- Byeon, H.K.; Ku, M.; Yang, J. Beyond EGFR inhibition: Multilateral combat strategies to stop the progression of head and neck cancer. Exp. Mol. Med. 2019, 51, 1–14. [Google Scholar] [CrossRef]
- Ramesh, P.S.; Devegowda, D.; Singh, A.; Thimmulappa, R.K. NRF2, p53, and p16: Predictive biomarkers to stratify human papillomavirus associated head and neck cancer patients for de-escalation of cancer therapy. Crit. Rev. Oncol. Hematol. 2020, 148, 102885. [Google Scholar] [CrossRef]
- Katirachi, S.K.; Grønlund, M.P.; Jakobsen, K.K.; Grønhøj, C.; von Buchwald, C. The Prevalence of HPV in Oral Cavity Squamous Cell Carcinoma. Viruses 2023, 15, 451. [Google Scholar] [CrossRef]
- Young, D.; Xiao, C.C.; Murphy, B.; Moore, M.; Fakhry, C.; Day, T.A. Increase in head and neck cancer in younger patients due to human papillomavirus (HPV). Oral Oncol. 2015, 51, 727–730. [Google Scholar] [CrossRef] [PubMed]
- Trovato, M.C.; Ruggeri, R.M.; Guzzo, E.; Certo, R.; Alibrandi, A.; Scifo, S.; Scardigno, M.; Vitarelli, E.; Arena, G.; Gambadoro, O.; et al. Expression of P53 and isoforms in bening and malignant lesions of the head and neck. Histol. Histopathol. 2017, 32, 371–377. [Google Scholar] [CrossRef] [PubMed]
- Yang, B.; Jia, L.; Guo, Q.; Ren, H.; Hu, Y.; Xie, T. Clinicopathological and prognostic significance of cyclooxygenase-2 expression in head and neck cancer: A meta-analysis. Oncotarget 2016, 7, 47265–47277. [Google Scholar] [CrossRef] [PubMed]
- Mendes, R.A.; Carvalho, J.F.; Waal, I.V. An overview on the expression of cyclooxygenase-2 in tumors of the head and neck. Oral Oncol. 2009, 45, e124–e128. [Google Scholar] [CrossRef]
- Puzzo, L.; Caltabiano, R.; Parenti, R.; Trapasso, S.; Allegra, E. Connexin 43 (Cx43) Expression in Laryngeal Squamous Cell Carcinomas: Preliminary Data on Its Possible Prognostic Role. Head Neck Pathol. 2016, 10, 292–297. [Google Scholar] [CrossRef][Green Version]







| p53 | CSCC | CSCV | CSCM | G1 | G2 | G3 | L | E | E-L |
|---|---|---|---|---|---|---|---|---|---|
| Mutant | 40 | 5 | 4 | 1 | 24 | 18 | 27 | 15 | 7 |
| Wild-type | 28 | 0 | 5 | 0 | 13 | 16 | 15 | 7 | 11 |
| p | p = 0.11 | p = 0.42 | p = 0.11 | ||||||
| Ki67 | CSCC | CSCV | CSCM | G1 | G2 | G3 | L | E | E-L |
| 0–10% | 26 | 1 | 1 | 0 | 18 | 8 | 4 | 1 | 7 |
| 11–25% | 5 | 0 | 3 | 1 | 3 | 4 | 10 | 3 | 1 |
| 26–50% | 21 | 2 | 4 | 0 | 10 | 11 | 4 | 12 | 5 |
| >51% | 12 | 2 | 1 | 0 | 4 | 8 | 6 | 4 | |
| p | p = 0.14 | p = 0.048 | p = 0.01 | ||||||
| COX-2 | CSCC | CSCV | CSCM | G1 | G2 | G3 | L | E | E-L |
| 0–10% | 18 | 1 | 3 | 1 | 14 | 5 | 12 | 7 | 3 |
| 11–25% | 6 | 0 | 0 | 0 | 3 | 3 | 3 | 2 | 1 |
| 26–50% | 23 | 1 | 5 | 0 | 11 | 14 | 13 | 10 | 6 |
| >51% | 16 | 1 | 3 | 0 | 7 | 11 | 11 | 2 | 7 |
| p | p = 0.94 | p = 0.25 | p = 0.46 | ||||||
| Cx43 | CSCC | CSCV | CSCM | G1 | G2 | G3 | L | E | E-L |
| 0–10% | 58 | 4 | 8 | 2 | 31 | 30 | 34 | 21 | 15 |
| 11–25% | 5 | 0 | 2 | 0 | 3 | 3 | 5 | 1 | 1 |
| 26–50% | 5 | 0 | 1 | 0 | 5 | 1 | 4 | 0 | 2 |
| >51% | 0 | 0 | 0 | 0 | 0 | 0 | 0 | 0 | 0 |
| p | p = 0.67 | p = 0.59 | p = 0.43 | ||||||
| EGFR | CSCC | CSCV | CSCM | G1 | G2 | G3 | L | E | E-L |
| 0 | 14 | 1 | 3 | 0 | 6 | 11 | 10 | 5 | 3 |
| 1+ | 16 | 0 | 3 | 0 | 9 | 7 | 11 | 4 | 4 |
| 2+ | 21 | 2 | 1 | 1 | 14 | 6 | 10 | 11 | 3 |
| 3+ | 12 | 1 | 2 | 0 | 6 | 7 | 8 | 1 | 6 |
| p | p = 0.75 | p = 0.32 | p = 0.13 |
| p53 | Female | Male | 30–50 | 51–60 | 61–70 | >71 Years |
|---|---|---|---|---|---|---|
| 0–10% | 3 | 46 | 4 | 28 | 12 | 5 |
| 11–25% | 0 | 33 | 5 | 8 | 16 | 4 |
| p | p = 0.14 | p = 0.02 | ||||
| Ki67 | ||||||
| 0–10% | 0 | 28 | 2 | 12 | 10 | 4 |
| 11–25% | 1 | 7 | 2 | 2 | 3 | 1 |
| 26–50% | 2 | 25 | 3 | 11 | 8 | 5 |
| >51% | 1 | 14 | 2 | 12 | 8 | 0 |
| p | p = 0.42 | p = 0.6 | ||||
| COX-2 | ||||||
| 0–10% | 1 | 21 | 1 | 10 | 6 | 5 |
| 11–25% | 0 | 6 | 1 | 2 | 2 | 1 |
| 26–50% | 0 | 29 | 3 | 16 | 8 | 2 |
| >51% | 1 | 19 | 2 | 6 | 10 | 2 |
| p | p = 0.63 | p = 0.57 | ||||
| Cx43 | ||||||
| 0–10% | 3 | 67 | 7 | 29 | 25 | 9 |
| 11–25% | 0 | 7 | 1 | 2 | 3 | 1 |
| 26–50% | 0 | 6 | 1 | 3 | 1 | 1 |
| >51% | 0 | 0 | 0 | 0 | 0 | 0 |
| p | p = 0.74 | p = 0.96 | ||||
| EGFR | ||||||
| 0 | 1 | 17 | 1 | 11 | 4 | 2 |
| 1+ | 1 | 18 | 4 | 5 | 6 | 4 |
| 2+ | 1 | 23 | 1 | 12 | 9 | 2 |
| 3+ | 1 | 14 | 0 | 10 | 3 | 2 |
| p | p = 0.98 | p = 0.21 |
Disclaimer/Publisher’s Note: The statements, opinions and data contained in all publications are solely those of the individual author(s) and contributor(s) and not of MDPI and/or the editor(s). MDPI and/or the editor(s) disclaim responsibility for any injury to people or property resulting from any ideas, methods, instructions or products referred to in the content. |
© 2024 by the authors. Published by MDPI on behalf of the Lithuanian University of Health Sciences. Licensee MDPI, Basel, Switzerland. This article is an open access article distributed under the terms and conditions of the Creative Commons Attribution (CC BY) license (https://creativecommons.org/licenses/by/4.0/).
Share and Cite
Szatmari, T.; Mocan, S.; Neagos, C.M.; Pap, Z. Biomarker Profiles and Clinicopathological Features in Head and Neck Squamous Cell Carcinoma Patients. Medicina 2024, 60, 1681. https://doi.org/10.3390/medicina60101681
Szatmari T, Mocan S, Neagos CM, Pap Z. Biomarker Profiles and Clinicopathological Features in Head and Neck Squamous Cell Carcinoma Patients. Medicina. 2024; 60(10):1681. https://doi.org/10.3390/medicina60101681
Chicago/Turabian StyleSzatmari, Timea, Simona Mocan, Cristian Mircea Neagos, and Zsuzsanna Pap. 2024. "Biomarker Profiles and Clinicopathological Features in Head and Neck Squamous Cell Carcinoma Patients" Medicina 60, no. 10: 1681. https://doi.org/10.3390/medicina60101681
APA StyleSzatmari, T., Mocan, S., Neagos, C. M., & Pap, Z. (2024). Biomarker Profiles and Clinicopathological Features in Head and Neck Squamous Cell Carcinoma Patients. Medicina, 60(10), 1681. https://doi.org/10.3390/medicina60101681

