Immunoglobulin G4-Related Disease of the Intestine: A Clinicopathological Entity to Be Considered
Abstract
:1. Introduction
2. Materials and Methods
3. Detailed Case Description
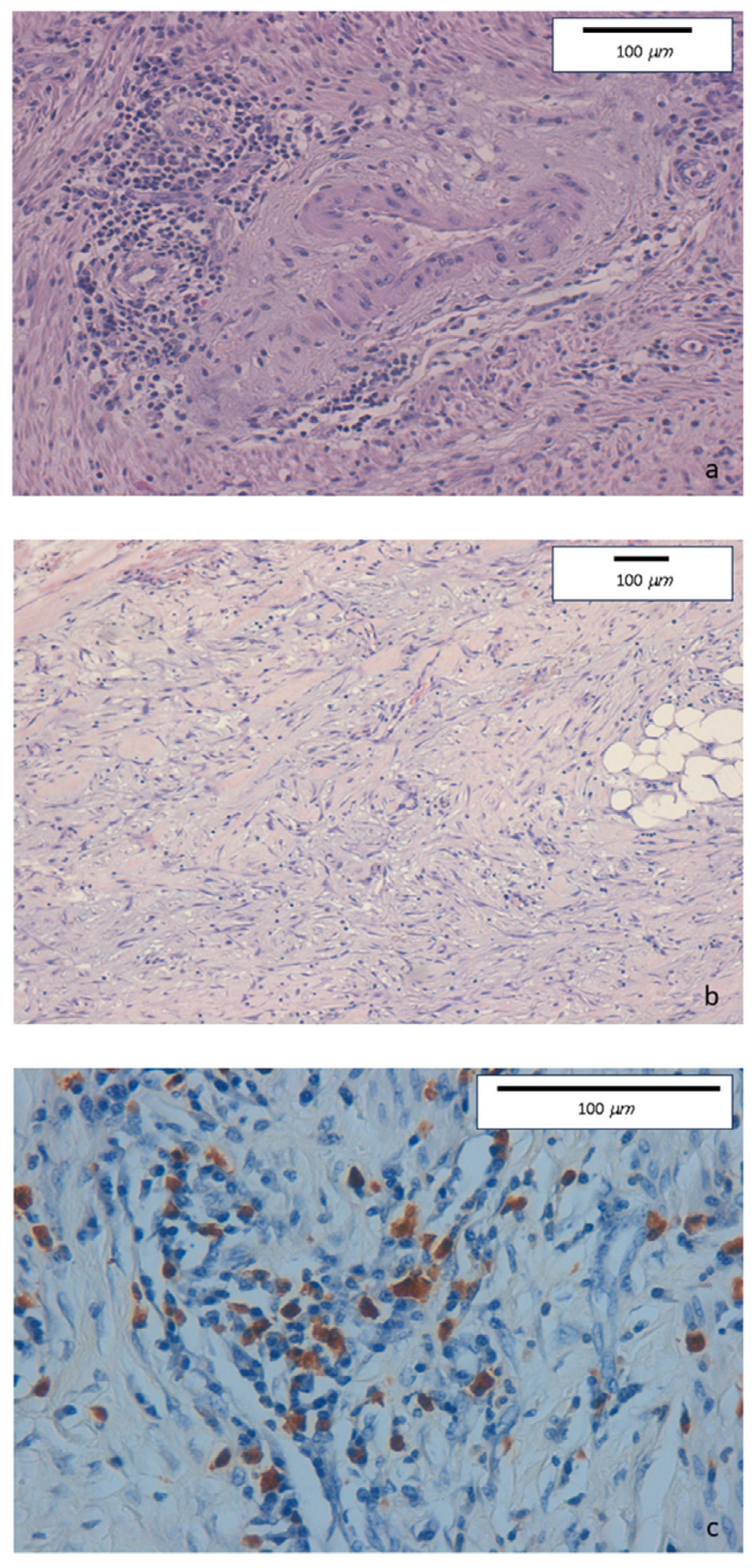
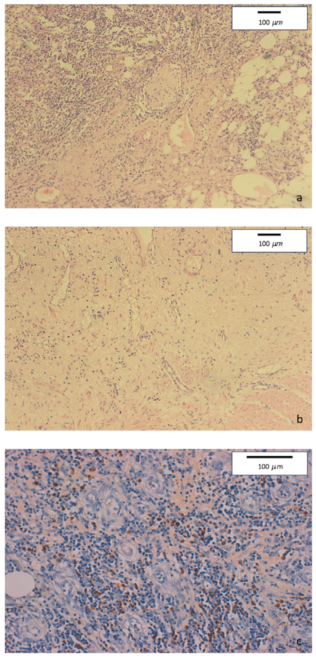
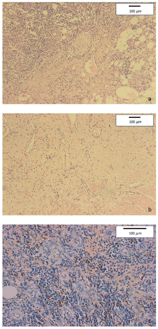
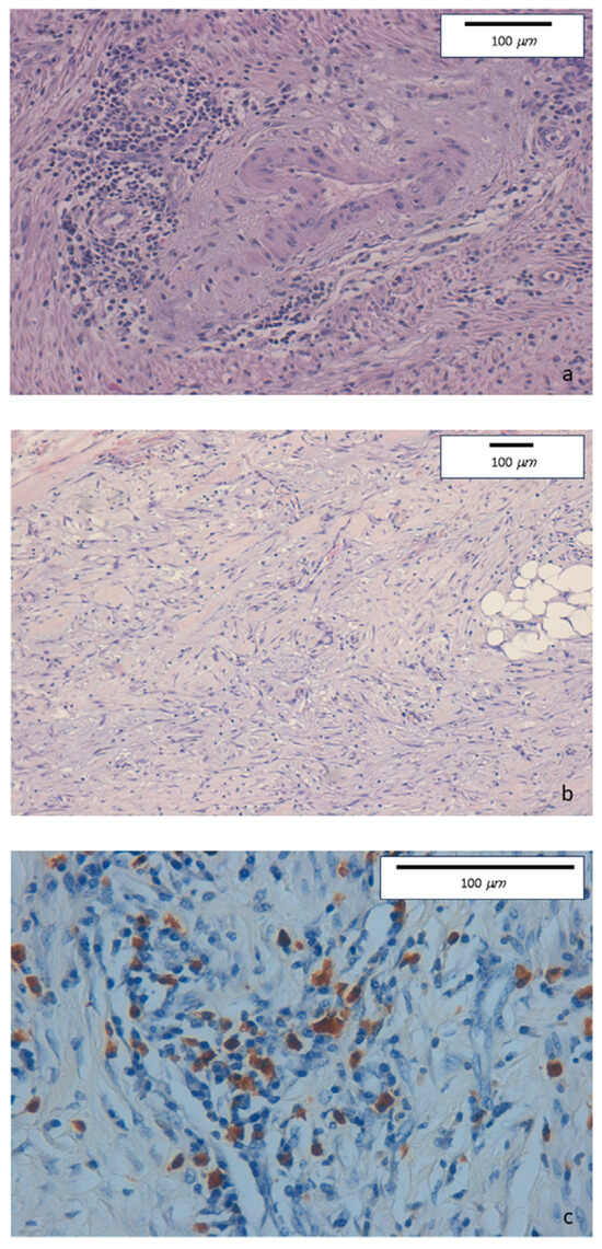
3.1. Case 1
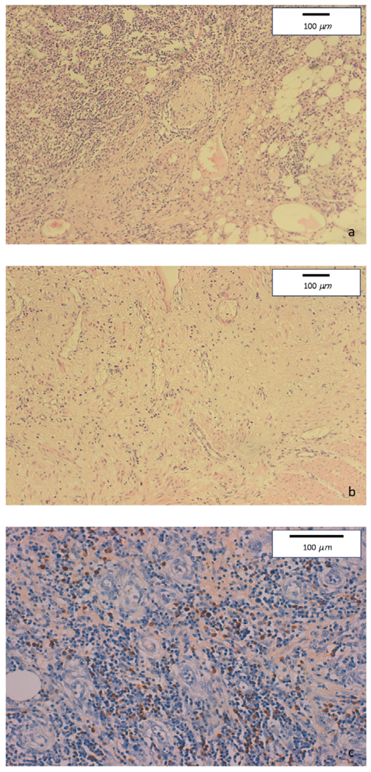
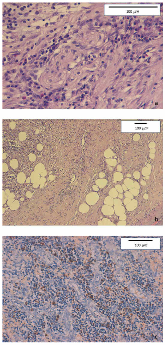
3.2. Case 2
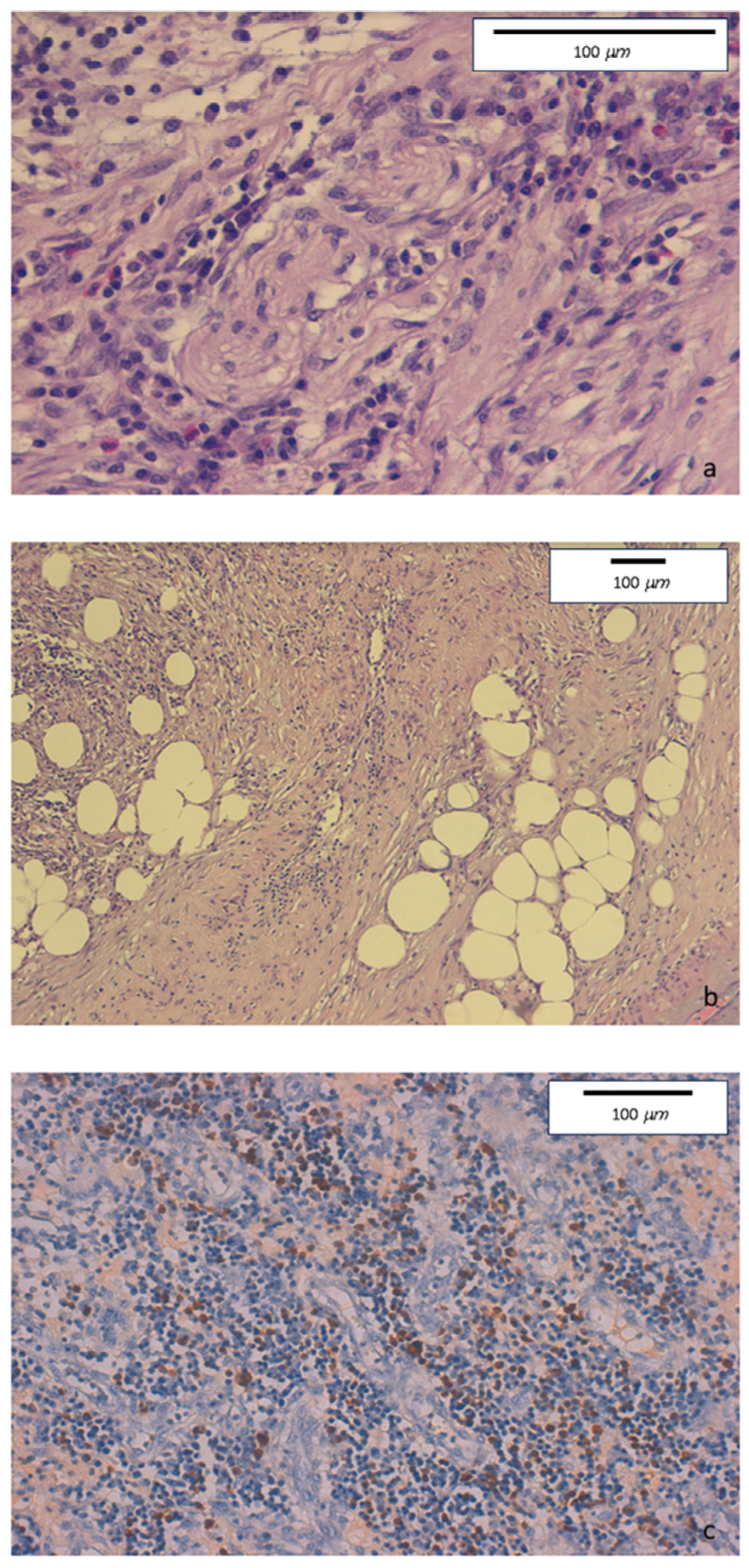
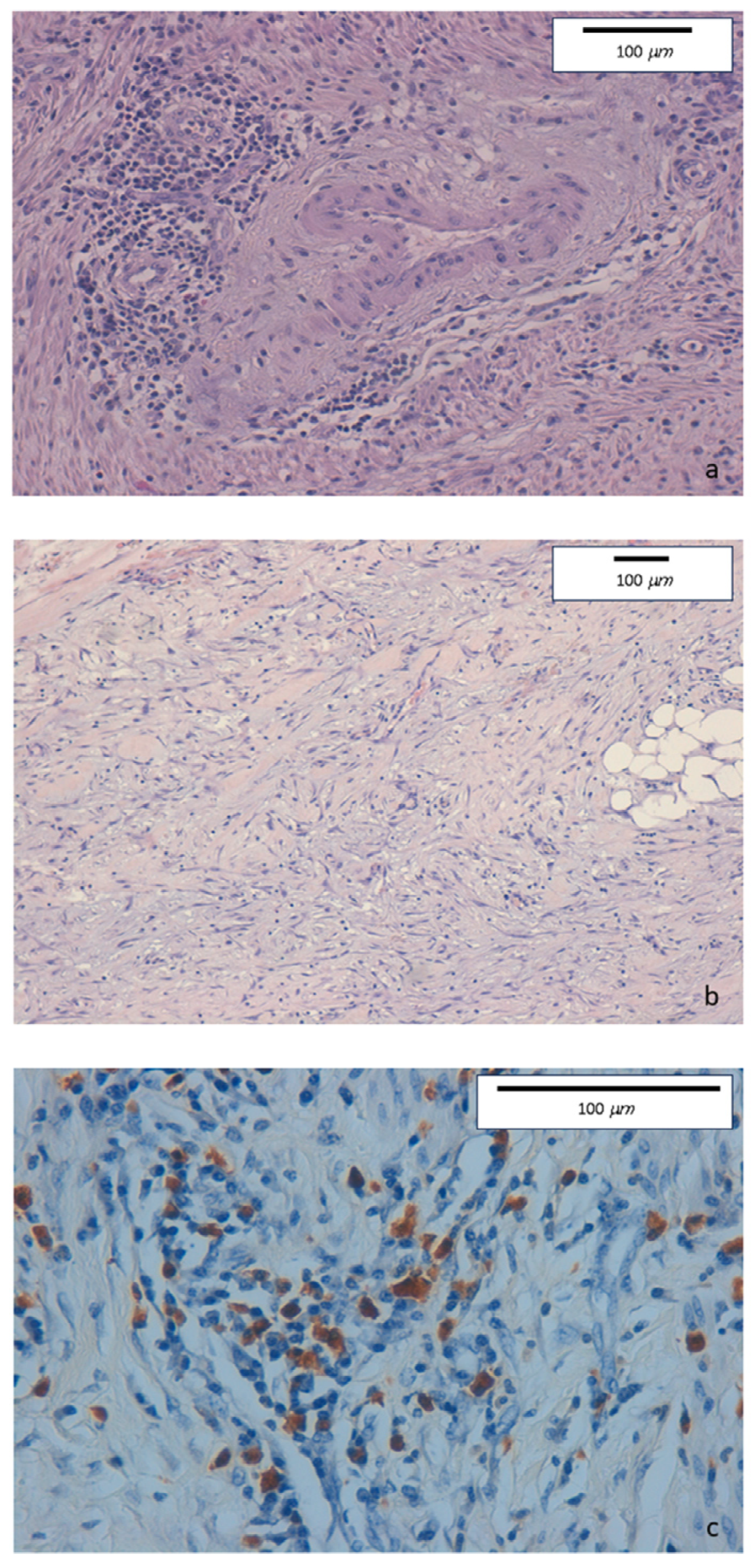
3.3. Case 3
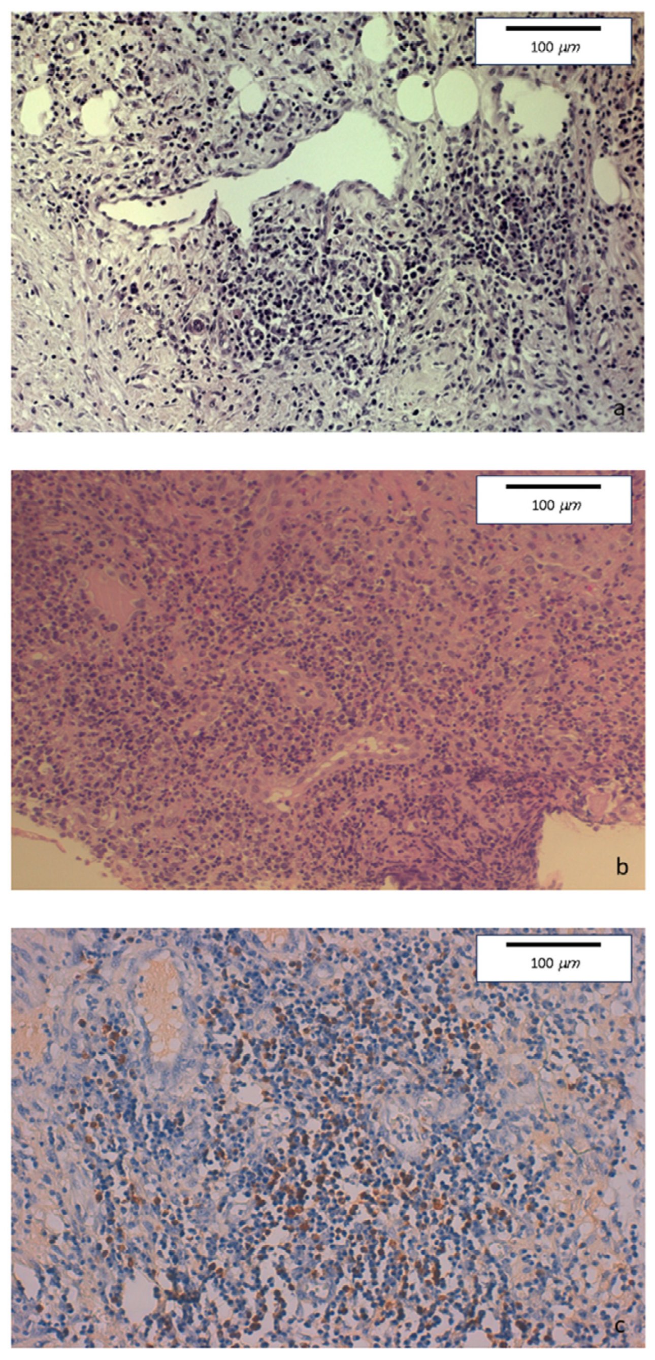
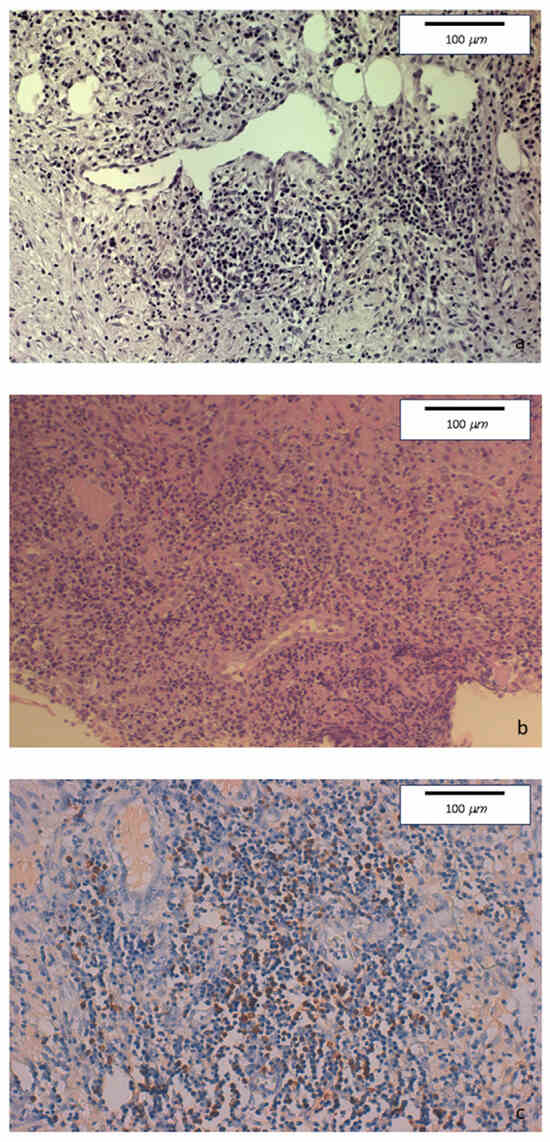
3.4. Case 4
4. Discussion
5. Conclusions
Author Contributions
Funding
Institutional Review Board Statement
Informed Consent Statement
Data Availability Statement
Conflicts of Interest
References
- Ciccone, F.; Ciccone, A.; Di Ruscio, M.; Vernia, F.; Cipolloni, G.; Coletti, G.; Calvisi, G.; Frieri, G.; Latella, G. IgG4-Related Disease Mimicking Crohn’s Disease: A Case Report and Review of Literature. Dig. Dis. Sci. 2018, 63, 1072–1086. [Google Scholar] [CrossRef] [PubMed]
 - Cheuk, W.; Chan, J. IgG4-related sclerosing disease: A critical appraisal of an evolving clinicopathologic entity. Adv. Anat. Pathol. 2010, 17, 303–332. [Google Scholar] [CrossRef] [PubMed]
 - Cheuk, W.; Yuen, H.K.; Chan, J.K. Chronic sclerosing dacryoadenitis: Part of the spectrum of IgG4-related sclerosing disease? Am. J. Surg. Pathol. 2007, 31, 643–645. [Google Scholar] [CrossRef] [PubMed]
 - Takahashi, H.; Yamamoto, M.; Suzuki, C.; Naishiro, Y.; Shinomura, Y.; Imai, K. The birthday of a new syndrome: IgG4-related diseases constitute a clinical entity. Autoimmun. Rev. 2010, 9, 591–594. [Google Scholar] [CrossRef] [PubMed]
 - Detlefsen, S. IgG4-related disease: A systemic condition with characteristic microscopic features. Histol. Histopathol. 2013, 28, 565–584. [Google Scholar]
 - Yoshida, K.; Toki, F.; Takeuchi, T.; Watanabe, S.; Shiratori, K.; Hayashi, N. Chronic pancreatitis caused by an autoimmune abnormality. Proposal of the concept of autoimmune pancreatitis. Dig. Dis. Sci. 1995, 40, 1561–1568. [Google Scholar] [CrossRef] [PubMed]
 - Zen, Y.; Fujii, T.; Harada, K.; Kawano, M.; Yamada, K.; Takahira, M.; Nakanuma, Y. Th2 and regulatory immune reactions are increased in immunoglobulin G4-related sclerosing pancreatitis and cholangitis. Hepatology 2007, 45, 1538–1546. [Google Scholar] [CrossRef] [PubMed]
 - Deshpande, V.; Mino-Kenudson, M.; Brugge, W.; Lauwers, G.Y. Autoimmune pancreatitis: More than just a pancreatic disease? A contemporary review of its pathology. Arch. Pathol. Lab. Med. 2005, 129, 1148–1154. [Google Scholar] [CrossRef]
 - Cornell, L.D.; Chicano, S.L.; Deshpande, V.; Collins, A.B.; Selig, M.K.; Lauwers, G.Y.; Barisoni, L.; Colvin, R.B. Pseudotumors due to IgG4 immune-complex tubulointerstitial nephritis associated with auto-immune pancreatitis. Am. J. Surg. Pathol. 2007, 31, 1586–1597. [Google Scholar] [CrossRef]
 - Tokura, Y.; Yagi, H.; Yanaguchi, H.; Majima, Y.; Kasuya, A.; Ito, T.; Maekawa, M.; Hashizume, H. IgG4-related skin disease. Br. J. Dermatol. 2014, 171, 959–967. [Google Scholar] [CrossRef]
 - Bateman, A.C.; Sommerlad, M.; Underwood, T.J. Chronic gastric ulceration: A novel manifestation of IgG4-related disease? J. Clin. Pathol. 2012, 65, 569–570. [Google Scholar] [CrossRef] [PubMed]
 - Koizumi, S.; Kamisawa, T.; Kuruma, S.; Tabata, T.; Chiba, K.; Iwasaki, S.; Endo, Y.; Kuwata, G.; Koizumi, K.; Shimosegawa, T.; et al. Immunoglobulin G4-related gastrointestinal diseases, are they immunoglobulin G4-related diseases? World J. Gastroenterol. 2013, 19, 5769–5774. [Google Scholar] [CrossRef] [PubMed]
 - Carruthers, M.N.; Khosroshahi, A.; Augustin, T.; Deshpande, V.; Stone, J.H. The diagnostic utility of serum IgG4 concentrations in IgG4related disease. Ann. Rheum. Dis. 2015, 74, 14. [Google Scholar] [CrossRef] [PubMed]
 - Löhr, J.M.; Vujasinovic, M.; Rosendahl, J.; Stone, J.H.; Beuers, U. IgG4-relateddiseases of the digestive tract. Nat. Rev. Gastroenterol. Hepatol. 2022, 19, 185–197. [Google Scholar] [CrossRef]
 - Deshpande, V.; Zen, Y.; Chan, J.K.; Yi, E.E.; Sato, Y.; Yoshino, T.; Klöppel, G.; Heathcote, J.G.; Khosroshahi, A.; Ferry, J.A.; et al. Consensus statement on the pathology of IgG4-related disease. Mod. Pathol. 2012, 25, 1181–1192. [Google Scholar] [CrossRef] [PubMed]
 - Löhr, J.M.; Beuers, U.; Vujasinovic, M.; Alvaro, D.; Frøkjær, J.B.; Buttgereit, F.; Capurso, G.; Culver, E.L.; de-Madaria, E.; Della-Torre, E.; et al. European Guideline on IgG4-related digestive disease—UEG and SGF evidence-based recommendations. United Eur. Gastroenterol. J. 2020, 8, 637–666. [Google Scholar] [CrossRef]
 - Wallace, Z.S.; Deshpande, V.; Mattoo, H.; Mahajan, V.S.; Kulikova, M.; Pillai, S.; Stone, J.H. IgG4-related disease. Clinical and laboratory features in one hundred twenty-five patients. Arthritis Rheumatol. 2015, 67, 2466–2475. [Google Scholar] [CrossRef] [PubMed]
 - Fabian, O.; Bajer, L. Histopathological assessment of the microscopic activity in inflammatory bowel diseases: What are we looking for? World J. Gastroenterol. 2022, 28, 5300–5312. [Google Scholar] [CrossRef]
 - Campos-Murguía, A.; Martinez-Garcia, C.L.; Chable-Montero, F.; Zamora-Nava, L.E. Multifocal ulcerating stenosing enteritis as a novel manifestation of immunoglobulin G4-related disease. Endoscopy 2023, 55, E163–E164. [Google Scholar] [CrossRef]
 - Zhang, X.; Jin, X.; Guan, L.; Lin, X.; Li, X.; Li, Y. IgG4-Related Disease With Gastrointestinal Involvement: Case Reports and Literature Review. Front. Immunol. 2022, 13, 816830. [Google Scholar] [CrossRef]
 - Narula, N.; Vasudev, M.; Marshall, J.K. IgG4-related sclerosing disease: A novel mimic of inflammatory bowel disease. Dig. Dis. Sci. 2010, 55, 3047–3051. [Google Scholar] [CrossRef]
 - Fujita, K.; Naganuma, M.; Saito, E.; Suzuki, S.; Araki, A.; Negi, M.; Kawachi, H.; Watanabe, M. Histologically confirmed IgG4-related small intestinal lesions diagnosed via double balloon enteroscopy. Dig. Dis. Sci. 2012, 57, 3303–3306. [Google Scholar] [CrossRef] [PubMed]
 - Abe, A.; Manabe, T.; Takizawa, N.; Ueki, T.; Yamada, D.; Nagayoshi, K.; Sadakari, Y.; Fujita, H.; Nagai, S.; Yamamoto, H.; et al. IgG4-related sclerosing mesenteritis causing bowel obstruction: A case report. Surg. Case Rep. 2016, 2, 120. [Google Scholar] [CrossRef] [PubMed]
 - Kang, S.; Lee, Y.S.; Kim, N.H.; Son, J.H.; Kim, J.W.; Joo, M. Immunoglobulin G4-related Disease of the Small Bowel: A Case of Long-term Remission Achieved by Surgical Resection without Maintenance Therapy. Korean J. Gastroenterol. 2023, 82, 25–29. [Google Scholar] [CrossRef]
 - Comprehensive Diagnostic Criteria for IgG4-Related Disease (IgG4-RD). Research Program of Intractable Disease provided by the Ministry of Health, Labor, and Welfare of Japan. Nihon Naika Gakkai zasshi. J. Jpn. Soc. Intern. Med. 2012, 101, 795–804. [Google Scholar]
 - Khosroshahi, A.; Wallace, Z.S.; Crowe, J.L.; Akamizu, T.; Azumi, A.; Carruthers, M.N.; Chari, S.T.; Della-Torre, E.; Frulloni, L.; Goto, H.; et al. International Consensus Guidance Statement on the Management and Treatment of IgG4-Related Disease. Arthritis Rheumatol. 2015, 67, 1688–1699. [Google Scholar] [CrossRef]
 - Sah, R.P.; Chari, S.T. Serologic issues in IgG4-related systemic disease and autoimmune pancreatitis. Curr. Opin. Rheumatol. 2011, 23, 108–113. [Google Scholar] [CrossRef]
 - Farahmand, F.; Ahmadi, M.; Khodadad, A.; Najafi, M.; Fallahi, G.; Motamed, F.; Movahedi, M.; Aghamohammadi, A.; Rezaei, N.; Javaherizadeh, H. IgG4 subclass and gamma-glutamyl transferase in children with ulcerative colitis with primary sclerosing cholangitis and without sclerosing cholangitis. Clin. Exp. Hepatol. 2019, 5, 285–288. [Google Scholar] [CrossRef]
 - Raina, A.; Yadav, D.; Regueiro, M.; Krasinskas, A.M.; Saul, M.I.; Sapienza, D.A.; Binion, D.G.; Hartman, D.J. Mucosal IgG4 Cell Infiltration in Ulcerative Colitis Is Linked to Disease Activity and Primary Sclerosing Cholangitis. Inflamm. Bowel Dis. 2013, 19, 1232–1237. [Google Scholar] [CrossRef]
 - Escobar, D.; Bushara, O.; Sun, L.; Liao, J.; Yang, G.Y. High-Density IgG4+ Plasma Cells Infiltration Is Associated with Fibroplasia in Fibrostenotic Crohn’s Disease. Int. J. Surg. Pathol. 2023, 31, 1085–1092. [Google Scholar] [CrossRef]
 - Chetty, R.; Serra, S.; Gauchotte, G.; Markl, B.; Agaimy, A. Sclerosing nodular lesions of the gastrointestinal tract containing large numbers of IgG4 plasma cells. Pathology 2011, 43, 31–35. [Google Scholar] [CrossRef] [PubMed]
 - Hiyoshi, Y.; Oki, E.; Zaitsu, Y.; Ando, K.; Ito, S.; Saeki, H.; Morita, M.; Yamamoto, H.; Baba, H.; Maehara, Y. IgG4-related disease of the ileocecal region mimicking malignancy: A case report. Int. J. Surg. Case Rep. 2014, 5, 669–672. [Google Scholar] [CrossRef] [PubMed]
 - Vadi, S.K.; Parihar, A.S.; Kumar, R.; Singh, H.; Mittal, B.R.; Bal, A.; Sinha, S.K. IgG4-Related Disease Simulating Carcinoma Colon With Diffuse Peritoneal Carcinomatosis on 18F-FDG PET/CT. Clin. Nucl. Med. 2018, 43, 247–249. [Google Scholar] [CrossRef] [PubMed]
 - Miyabe, K.; Zen, Y.; Cornell, L.D.; Rajagopalan, G.; Chowdhary, V.R.; Roberts, L.R.; Chari, S.T. Gastrointestinal and Extra-Intestinal Manifestations of IgG4-Related Disease. Gastroenterology 2018, 155, 990–1003. [Google Scholar] [CrossRef] [PubMed]
 - Cabrales-Escobar, I.E.; Murcio-Pérez, E.; Albarrán-Sánchez, A. IgG4-related disease manifesting as symptoms of appendicitis: Case report and literature review. Clin. J. Gastroenterol. 2021, 14, 626–632. [Google Scholar] [CrossRef]
 - Yoshidome, Y.; Mizoguchi, A.; Narimatsu, K.; Takahashi, S.; Hirata, D.; Ono, S.; Onoyama, Y.; Suzuki, S.; Horiuchi, T.; Chiya, N.; et al. Immunoglobulin G4-related disease accompanying a small intestinal ulcer: A case. DEN Open 2021, 2, e76. [Google Scholar] [CrossRef]
 - Syu, K.J.; Wang, H.Y.; Chang, Y.Y. Immunoglobulin G4-Related Disease Mimicking Malignant Bowel Obstruction. Clin. Gastroenterol. Hepatol. 2021, 19, e69. [Google Scholar] [CrossRef]
 - Kim, H.S.; Kang, W.K.; Chung, D.J. Appendiceal Immunoglobulin G4-Related Disease Mimicking Appendiceal Tumor or Appendicitis: A Case Report. Korean J. Radiol. 2016, 17, 56–58. [Google Scholar] [CrossRef]
 - Wong, D.D.; Pillai, S.R.; Kumarasinghe, M.P.; McGettigan, B.; Thin, L.W.Y.; Segarajasingam, D.S.; Hollingsworth, P.N.; Spagnolo, D.V. IgG4-related sclerosing disease of the small bowel presenting as necrotizing mesenteric arteritis and a solitary jejunal ulcer. Am. J. Surg. Pathol. 2012, 36, 929–934. [Google Scholar] [CrossRef]
 - Hasosah, M.Y.; Satti, M.B.; Yousef, Y.A.; Alzahrani, D.M.; Almutairi, S.A.; Alsahafi, A.F.; Sukkar, G.A.; Alzaben, A.A. IgG4-related sclerosing mesenteritis in a 7-year-old Saudi girl. Saudi J. Gastroenterol. 2014, 20, 385–388. [Google Scholar] [CrossRef]
 - Coulier, B.; Montfort, L.; Beniuga, G.; Pierard, F.; Gielen, I. Small bowel obstruction caused by peritoneal immunoglobulin G4-related disease mimicking carcinomatosis: Case report. Korean J. Radiol. 2014, 15, 66–71. [Google Scholar] [CrossRef] [PubMed]
 




Disclaimer/Publisher’s Note: The statements, opinions and data contained in all publications are solely those of the individual author(s) and contributor(s) and not of MDPI and/or the editor(s). MDPI and/or the editor(s) disclaim responsibility for any injury to people or property resulting from any ideas, methods, instructions or products referred to in the content.  | 
© 2023 by the authors. Licensee MDPI, Basel, Switzerland. This article is an open access article distributed under the terms and conditions of the Creative Commons Attribution (CC BY) license (https://creativecommons.org/licenses/by/4.0/).
Share and Cite
Vernia, F.; Cirella, L.; Calvisi, G.; Viscido, A.; Latella, G. Immunoglobulin G4-Related Disease of the Intestine: A Clinicopathological Entity to Be Considered. Medicina 2024, 60, 57. https://doi.org/10.3390/medicina60010057
Vernia F, Cirella L, Calvisi G, Viscido A, Latella G. Immunoglobulin G4-Related Disease of the Intestine: A Clinicopathological Entity to Be Considered. Medicina. 2024; 60(1):57. https://doi.org/10.3390/medicina60010057
Chicago/Turabian StyleVernia, Filippo, Laura Cirella, Giuseppe Calvisi, Angelo Viscido, and Giovanni Latella. 2024. "Immunoglobulin G4-Related Disease of the Intestine: A Clinicopathological Entity to Be Considered" Medicina 60, no. 1: 57. https://doi.org/10.3390/medicina60010057
APA StyleVernia, F., Cirella, L., Calvisi, G., Viscido, A., & Latella, G. (2024). Immunoglobulin G4-Related Disease of the Intestine: A Clinicopathological Entity to Be Considered. Medicina, 60(1), 57. https://doi.org/10.3390/medicina60010057
        
