A Case of Mycoplasma Infection with an Atypical Presentation of Abducens Nerve Palsy, Erythema Multiforme and Polyarthritis without Respiratory Manifestations
Abstract
1. Introduction
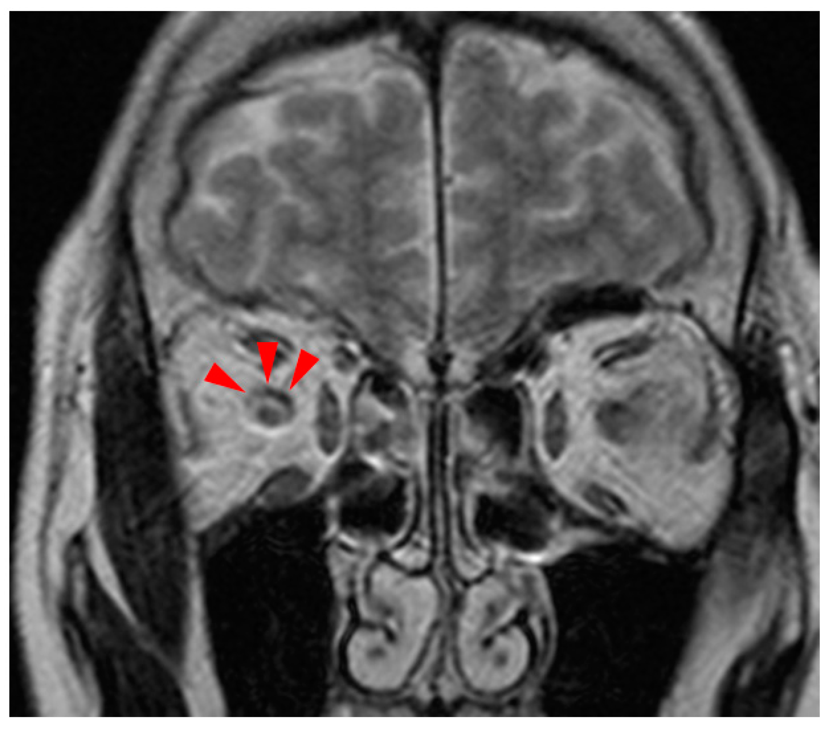
2. Case Presentation
3. Discussion
4. Conclusions
Author Contributions
Funding
Institutional Review Board Statement
Informed Consent Statement
Data Availability Statement
Conflicts of Interest
References
- Esposito, S.; Blasi, F.; Arosio, C.; Fioravanti, L.; Fagetti, L.; Droghetti, R.; Tarsia, P.; Allegra, L.; Principi, N. Importance of acute Mycoplasma pneumoniae and Chlamydia pneumoniae infections in children with wheezing. Eur. Respir. J. 2000, 16, 1142–1146. [Google Scholar] [CrossRef] [PubMed]
- Watanabe, H.; Uruma, T.; Nakamura, H.; Aoshiba, K. The role of Mycoplasma pneumoniae infection in the initial onset and exacerbations of asthma. Allergy Asthma Proc. 2014, 35, 204–210. [Google Scholar] [CrossRef] [PubMed]
- de Groot, R.C.A.; Meyer Sauteur, P.M.; Unger, W.W.J.; van Rossum, A.M.C. Things that could be Mycoplasma pneumoniae. J. Infect. 2017, 74 (Suppl. S1), S95–S100. [Google Scholar] [CrossRef] [PubMed]
- Koskiniemi, M. CNS manifestations associated with Mycoplasma pneumoniae infections: Summary of cases at the University of Helsinki and review. Clin. Infect. Dis. 1993, 17 (Suppl. S1), S52–S57. [Google Scholar] [CrossRef] [PubMed]
- Elder, C.; Hainline, C.; Galetta, S.L.; Balcer, L.J.; Rucker, J.C. Isolated Abducens Nerve Palsy: Update on Evaluation and Diagnosis. Curr. Neurol. Neurosci. Rep. 2016, 16, 69. [Google Scholar] [CrossRef] [PubMed]
- Kim, H.J.; Kim, H.J.; Choi, J.Y.; Yang, H.K.; Hwang, J.M.; Kim, J.S. Etiologic distribution of isolated abducens nerve palsy: Analysis of 807 patients and literature review. Eur. J. Neurol. 2023, 30, 2471–2480. [Google Scholar] [CrossRef] [PubMed]
- Gordon, L.K. Diagnostic dilemmas in orbital inflammatory disease. Ocul. Immunol. Inflamm. 2003, 11, 3–15. [Google Scholar] [CrossRef]
- Wang, C.H.; Chou, M.L.; Huang, C.H. Benign isolated abducens nerve palsy in Mycoplasma pneumoniae infection. Pediatr. Neurol. 1998, 18, 71–72. [Google Scholar] [CrossRef]
- Chang, M.Y.; Borchert, M.S. Etiology and Outcomes of Acquired Pediatric Sixth Nerve Palsies. J. Neuroophthalmol. 2022, 42, e254–e259. [Google Scholar] [CrossRef]
- Decaux, G.; Szyper, M.; Ectors, M.; Cornil, A.; Franken, L. Central nervous system complications of Mycoplasma pneumoniae. J. Neurol. Neurosurg. Psychiatry 1980, 43, 883–887. [Google Scholar] [CrossRef]
- Pinals, R.S. Polyarthritis and fever. N. Engl. J. Med. 1994, 330, 769–774. [Google Scholar] [CrossRef] [PubMed]
- Huff, J.C.; Weston, W.L.; Tonnesen, M.G. Erythema multiforme: A critical review of characteristics, diagnostic criteria, and causes. J. Am. Acad. Dermatol. 1983, 8, 763–775. [Google Scholar] [CrossRef] [PubMed]
- Fink, C.G.; Butler, L. A cranial nerve palsy associated with Mycoplasma pneumoniae infection. Polymerase chain reaction evidence against an infectious mechanism. Br. J. Ophthalmol. 1993, 77, 750–751. [Google Scholar] [CrossRef] [PubMed][Green Version]
- Völter, C.; Helms, J.; Weissbrich, B.; Rieckmann, P.; Abele-Horn, M. Frequent detection of Mycoplasma pneumoniae in Bell’s palsy. Eur. Arch. Otorhinolaryngol. 2004, 261, 400–404. [Google Scholar] [CrossRef] [PubMed]
- D’Alonzo, R.; Mencaroni, E.; Di Genova, L.; Laino, D.; Principi, N.; Esposito, S. Pathogenesis and Treatment of Neurologic Diseases Associated with Mycoplasma pneumoniae Infection. Front. Microbiol. 2018, 9, 2751. [Google Scholar] [CrossRef] [PubMed]
- Narita, M. Pathogenesis of extrapulmonary manifestations of Mycoplasma pneumoniae infection with special reference to pneumonia. J. Infect. Chemother. 2010, 16, 162–169. [Google Scholar] [CrossRef] [PubMed]
- Yamazaki, T.; Kenri, T. Epidemiology of Mycoplasma pneumoniae Infections in Japan and Therapeutic Strategies for Macrolide-Resistant M. pneumoniae. Front. Microbiol. 2016, 7, 693. [Google Scholar] [CrossRef]
- Miyashita, N.; Kawai, Y.; Akaike, H.; Ouchi, K.; Hayashi, T.; Kurihara, T.; Okimoto, N. Macrolide-resistant Mycoplasma pneumoniae in adolescents with community-acquired pneumonia. BMC Infect. Dis. 2012, 12, 126. [Google Scholar] [CrossRef]
- Tanaka, T.; Oishi, T.; Miyata, I.; Wakabayashi, S.; Kono, M.; Ono, S.; Kato, A.; Fukuda, Y.; Saito, A.; Kondo, E.; et al. Macrolide-Resistant Mycoplasma pneumoniae Infection, Japan, 2008–2015. Emerg. Infect. Dis. 2017, 23, 1703–1706. [Google Scholar] [CrossRef]
- Pereyre, S.; Goret, J.; Bébéar, C. Mycoplasma pneumoniae: Current Knowledge on Macrolide Resistance and Treatment. Front. Microbiol. 2016, 7, 974. [Google Scholar] [CrossRef]
- Waites, K.B.; Talkington, D.F. Mycoplasma pneumoniae and its role as a human pathogen. Clin. Microbiol. Rev. 2004, 17, 697–728. [Google Scholar] [CrossRef] [PubMed]
- Spuesens, E.B.; Fraaij, P.L.; Visser, E.G.; Hoogenboezem, T.; Hop, W.C.; van Adrichem, L.N.; Weber, F.; Moll, H.A.; Broekman, B.; Berger, M.Y.; et al. Carriage of Mycoplasma pneumoniae in the upper respiratory tract of symptomatic and asymptomatic children: An observational study. PLoS Med. 2013, 10, e1001444. [Google Scholar] [CrossRef] [PubMed]
- Saraya, T. Mycoplasma pneumoniae infection: Basics. J. Gen. Fam. Med. 2017, 18, 118–125. [Google Scholar] [CrossRef] [PubMed]




| Parameter | Recorded Value | Standard Value |
|---|---|---|
| White blood cells (μL) | 4100 | 3300–8600 |
| Stab-formed neutrophils (%) | 8.0 | 0.0–7.0 |
| Segmented neutrophils (%) | 73.0 | 30.0–79.0 |
| Lymphocytes (%) | 12.0 | 9.0–55.0 |
| Monocytes (%) | 6.0 | 0.0–13.0 |
| Eosinophils (%) | 0.0 | 0.0–6.0 |
| Basophils (%) | 1.0 | 0.0–2.0 |
| Red blood cells (104/μL) | 409 | 386–492 |
| Hemoglobin (g/dL) | 12.6 | 11.6–14.8 |
| Platelets (104/μL) | 12.0 | 15.8–34.8 |
| ESR 1 h (mm) | 49 | 3–15 |
| Total protein (g/dL) | 6.9 | 6.6–8.1 |
| Albumin (g/dL) | 4.1 | 4.1–5.1 |
| Total bilirubin (mg/dL) | 1.1 | 0.4–1.5 |
| Aspartate aminotransferase (U/L) | 27 | 13–30 |
| Alanine transaminase (U/L) | 35 | 7–23 |
| Lactate dehydrogenase (U/L) | 228 | 124–222 |
| Gamma glutamyl transpeptidase (U/L) | 41 | 9–32 |
| Alkaline phosphatase (U/L) | 177 | 106–322 |
| Creatine kinase (U/L) | 71 | 41–153 |
| Blood urea nitrogen (mg/dL) | 13 | 8–20 |
| Creatinine (mg/dL) | 0.55 | 0.46–0.79 |
| Sodium (mEq/L) | 136 | 138–145 |
| Potassium (mEq/L) | 3.9 | 3.6–4.8 |
| Chloride (mEq/L) | 99 | 101–108 |
| C-reactive protein (mg/L) | 6.4 | <0.2 |
| Ferritin (ng/mL) | 317.7 | 3.0–55.0 |
| Soluble interleukin-2 receptor (U/mL) | 2210 | 157–474 |
| Matrix metalloproteinase-3 (ng/mL) | 44.4 | 11.0–54.5 |
| Antinuclear antibody (fold) | 160 | <40 |
| Rheumatoid factor (U/mL) | 28 | <15 |
| Anti-CCP antibody (U/mL) | <0.6 | <0.6 |
| Anti-AQP4 antibody (U/mL) | <1.3 | <5.0 |
| MPO-ANCA (U/mL) | <0.1 | <0.1 |
| PR3-ANCA (U/mL) | <0.1 | <0.11 |
| Anti-Herpes simplex virus IgM * | (−) | (−) |
| Anti-Herpes simplex virus IgG * | (+) | (−) |
| Anti-Varicella zoster virus IgM * | (−) | (−) |
| Anti-Varicella zoster virus IgG * | (+) | (−) |
Disclaimer/Publisher’s Note: The statements, opinions and data contained in all publications are solely those of the individual author(s) and contributor(s) and not of MDPI and/or the editor(s). MDPI and/or the editor(s) disclaim responsibility for any injury to people or property resulting from any ideas, methods, instructions or products referred to in the content. |
© 2023 by the authors. Licensee MDPI, Basel, Switzerland. This article is an open access article distributed under the terms and conditions of the Creative Commons Attribution (CC BY) license (https://creativecommons.org/licenses/by/4.0/).
Share and Cite
Yoshimoto, K.; Matsubara, M.; Kobayashi, T.; Nishio, K. A Case of Mycoplasma Infection with an Atypical Presentation of Abducens Nerve Palsy, Erythema Multiforme and Polyarthritis without Respiratory Manifestations. Medicina 2024, 60, 36. https://doi.org/10.3390/medicina60010036
Yoshimoto K, Matsubara M, Kobayashi T, Nishio K. A Case of Mycoplasma Infection with an Atypical Presentation of Abducens Nerve Palsy, Erythema Multiforme and Polyarthritis without Respiratory Manifestations. Medicina. 2024; 60(1):36. https://doi.org/10.3390/medicina60010036
Chicago/Turabian StyleYoshimoto, Kiyomi, Masaki Matsubara, Tadanao Kobayashi, and Kenji Nishio. 2024. "A Case of Mycoplasma Infection with an Atypical Presentation of Abducens Nerve Palsy, Erythema Multiforme and Polyarthritis without Respiratory Manifestations" Medicina 60, no. 1: 36. https://doi.org/10.3390/medicina60010036
APA StyleYoshimoto, K., Matsubara, M., Kobayashi, T., & Nishio, K. (2024). A Case of Mycoplasma Infection with an Atypical Presentation of Abducens Nerve Palsy, Erythema Multiforme and Polyarthritis without Respiratory Manifestations. Medicina, 60(1), 36. https://doi.org/10.3390/medicina60010036

