Recurrent C3 Glomerulonephritis along with BK-Virus-Associated Nephropathy after Kidney Transplantation: A Case Report
Abstract
1. Introduction
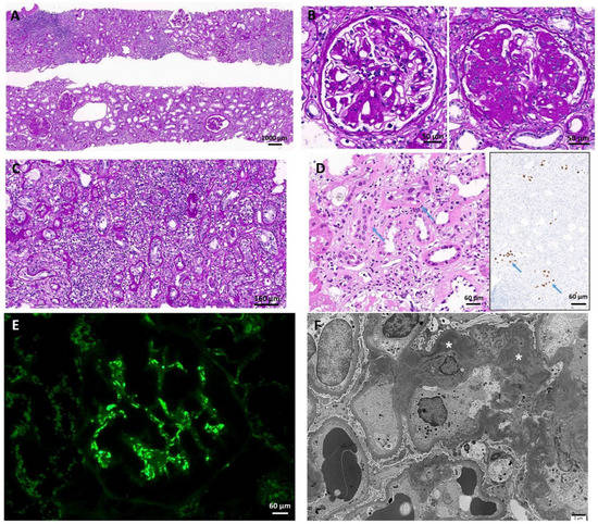
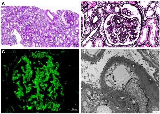
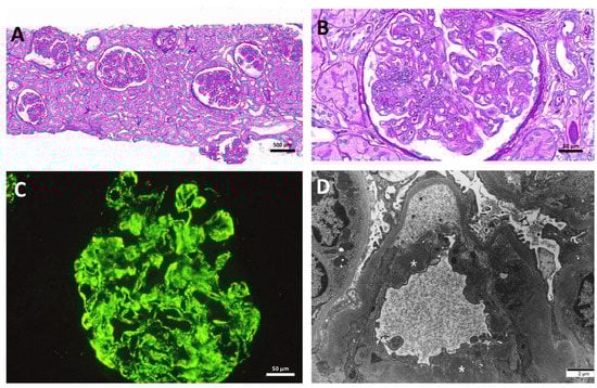
2. Case Presentation
3. Discussion
Author Contributions
Funding
Institutional Review Board Statement
Informed Consent Statement
Data Availability Statement
Conflicts of Interest
References
- Caravaca-Fontán, F.; Lucientes, L.; Cavero, T.; Praga, M. Update on C3 Glomerulopathy: A Complement-Mediated Disease. Nephron 2020, 144, 272–280. [Google Scholar] [CrossRef] [PubMed]
- Pickering, M.C.; D’Agati, V.D.; Nester, C.M.; Smith, R.J.; Haas, M.; Appel, G.B.; Alpers, C.E.; Bajema, I.M.; Bedrosian, C.; Braun, M.; et al. C3 glomerulopathy: Consensus report. Kidney Int. 2013, 84, 1079–1089. [Google Scholar] [CrossRef] [PubMed]
- Smith, R.J.H.; Appel, G.B.; Blom, A.M.; Cook, H.T.; D’Agati, V.D.; Fakhouri, F.; Fremeaux-Bacchi, V.; Józsi, M.; Kavanagh, D.; Lambris, J.D.; et al. C3 glomerulopathy—Understanding a rare complement-driven renal disease. Nat. Rev. Nephrol. 2019, 15, 129–143. [Google Scholar] [CrossRef] [PubMed]
- Lim, J.-H.; Cho, J.-H.; Jung, H.-Y.; Choi, J.-Y.; Park, S.-H.; Kim, Y.-L.; Kim, H.-K.; Huh, S.; Yoo, E.S.; Won, D.-I.; et al. Excellent outcome after desensitization in high immunologic risk kidney transplantation. PLoS ONE 2019, 14, e0222537. [Google Scholar] [CrossRef]
- Zand, L.; Lorenz, E.C.; Cosio, F.G.; Fervenza, F.C.; Nasr, S.H.; Gandhi, M.J.; Smith, R.J.H.; Sethi, S. Clinical findings, pathology, and outcomes of C3GN after kidney transplantation. J. Am. Soc. Nephrol. 2014, 25, 1110–1117. [Google Scholar] [CrossRef]
- Bomback, A.S.; Appel, G.B. Pathogenesis of the C3 glomerulopathies and reclassification of MPGN. Nat. Rev. Nephrol. 2012, 8, 634–642. [Google Scholar] [CrossRef]
- Zipfel, P.F.; Skerka, C.; Chen, Q.; Wiech, T.; Goodship, T.; Johnson, S.; Fremeaux-Bacchi, V.; Nester, C.; de Córdoba, S.R.; Noris, M.; et al. The role of complement in C3 glomerulopathy. Mol. Immunol. 2015, 67, 21–30. [Google Scholar] [CrossRef]
- Medjeral-Thomas, N.R.; O’Shaughnessy, M.M.; O’Regan, J.A.; Traynor, C.; Flanagan, M.; Wong, L.; Teoh, C.W.; Awan, A.; Waldron, M.; Cairns, T.; et al. C3 glomerulopathy: Clinicopathologic features and predictors of outcome. Clin. J. Am. Soc. Nephrol. 2014, 9, 46–53. [Google Scholar] [CrossRef]
- Strobel, S.; Zimmering, M.; Papp, K.; Prechl, J.; Józsi, M. Anti-factor B autoantibody in dense deposit disease. Mol. Immunol. 2010, 47, 1476–1483. [Google Scholar] [CrossRef]
- Chen, Q.; Müller, D.; Rudolph, B.; Hartmann, A.; Kuwertz-Bröking, E.; Wu, K.; Kirschfink, M.; Skerka, C.; Zipfel, P.F. Combined C3b and Factor B Autoantibodies and MPGN Type II. New Engl. J. Med. 2011, 365, 2340–2342. [Google Scholar] [CrossRef]
- Appel, G.B.; Cook, H.T.; Hageman, G.; Jennette, J.C.; Kashgarian, M.; Kirschfink, M.; Lambris, J.D.; Lanning, L.; Lutz, H.U.; Meri, S.; et al. Membranoproliferative glomerulonephritis type II (dense deposit disease): An update. J. Am. Soc. Nephrol. 2005, 16, 1392–1403. [Google Scholar] [CrossRef]
- Smith, R.J.; Alexander, J.; Barlow, P.N.; Botto, M.; Cassavant, T.L.; Cook, H.T.; De Córdoba, S.R.; Hageman, G.S.; Jokiranta, T.S.; Kimberling, W.J.; et al. New Approaches to the Treatment of Dense Deposit Disease. J. Am. Soc. Nephrol. 2007, 18, 2447–2456. [Google Scholar] [CrossRef]
- Sethi, S.; Gamez, J.D.; Vrana, J.A.; Theis, J.D.; Bergen, H.R., III; Zipfel, P.F.; Dogan, A.; Smith, R.J.H. Glomeruli of Dense Deposit Disease contain components of the alternative and terminal complement pathway. Kidney Int. 2009, 75, 952–960. [Google Scholar] [CrossRef]
- De Vriese, A.S.; Sethi, S.; Van Praet, J.; Nath, K.A.; Fervenza, F.C. Kidney Disease Caused by Dysregulation of the Complement Alternative Pathway: An Etiologic Approach. J. Am. Soc. Nephrol. 2015, 26, 2917–2929. [Google Scholar] [CrossRef] [PubMed]
- Thurman, J.M. Complement and the Kidney: An Overview. Adv. Chronic Kidney Dis. 2020, 27, 86–94. [Google Scholar] [CrossRef] [PubMed]
- Kidney Disease: Improving Global Outcomes (KDIGO) Glomerular Diseases Work Group. KDIGO 2021 Clinical Practice Guideline for the Management of Glomerular Diseases. Kidney Int. 2021, 100, S1–S276. [Google Scholar] [CrossRef]
- Regunathan-Shenk, R.; Avasare, R.S.; Ahn, W.; Canetta, P.A.; Cohen, D.J.; Appel, G.B.; Bomback, A.S. Kidney Transplantation in C3 Glomerulopathy: A Case Series. Am. J. Kidney Dis. 2019, 73, 316–323. [Google Scholar] [CrossRef]
- Bomback, A.S.; Smith, R.J.; Barile, G.R.; Zhang, Y.; Heher, E.C.; Herlitz, L.; Stokes, M.B.; Markowitz, G.S.; D’Agati, V.D.; Canetta, P.A.; et al. Eculizumab for dense deposit disease and C3 glomerulonephritis. Clin. J. Am. Soc. Nephrol. 2012, 7, 748–756. [Google Scholar] [CrossRef]
- Frangou, E.; Varnavidou-Nicolaidou, A.; Petousis, P.; Soloukides, A.; Theophanous, E.; Savva, I.; Michael, N.; Toumasi, E.; Georgiou, D.; Stylianou, G.; et al. Clinical course and outcome after kidney transplantation in patients with C3 glomerulonephritis due to CFHR5 nephropathy. Nephrol. Dial. Transplant. 2019, 34, 1780–1788. [Google Scholar] [CrossRef] [PubMed]
- Uffing, A.; Hullekes, F.; Riella, L.V.; Hogan, J.J. Recurrent Glomerular Disease after Kidney Transplantation: Diagnostic and Management Dilemmas. Clin. J. Am. Soc. Nephrol. 2021, 16, 1730–1742. [Google Scholar] [CrossRef] [PubMed]
- Goodship, T.H.; Cook, H.T.; Fakhouri, F.; Fervenza, F.C.; Frémeaux-Bacchi, V.; Kavanagh, D.; Nester, C.M.; Noris, M.; Pickering, M.C.; de Córdoba, S.R.; et al. Atypical hemolytic uremic syndrome and C3 glomerulopathy: Conclusions from a “Kidney Disease: Improving Global Outcomes” (KDIGO) Controversies Conference. Kidney Int. 2017, 91, 539–551. [Google Scholar] [CrossRef] [PubMed]
- Gonzalez Suarez, M.L.; Thongprayoon, C.; Hansrivijit, P.; Kovvuru, K.; Kanduri, S.R.; Aeddula, N.R.; Pivovarova, A.I.; Chewcharat, A.; Bathini, T.; Mao, M.A.; et al. Treatment of C3 Glomerulopathy in Adult Kidney Transplant Recipients: A Systematic Review. Med. Sci. 2020, 8, 44. [Google Scholar] [CrossRef] [PubMed]
- McCaffrey, J.; Bhute, V.J.; Shenoy, M. BK virus infection and outcome following kidney transplantation in childhood. Sci. Rep. 2021, 11, 2468. [Google Scholar] [CrossRef] [PubMed]
- Randhawa, P.S.; Finkelstein, S.; Scantlebury, V.; Shapiro, R.; Vivas, C.; Jordan, M.; Picken, M.M.; Demetris, A.J. Human polyoma virus-associated interstitial nephritis in the allograft kidney1. Transplantation 1999, 67, 103–109. [Google Scholar] [CrossRef] [PubMed]




| Study | Patient Number | Country | Age at the Time of Diagnosis (Years) | Time from Diagnosis to ESKD (Months) | Time from KT to Recurrence (Months) | Median Follow-Up Duration (Months) | Treatment of Recurrent C3GN (n) | Graft Failure |
|---|---|---|---|---|---|---|---|---|
| Zand et al. [5] 2014 | 21 (recurred in 14 [66.7%]) | USA | 21 (range, 7–67) | 42 (range, 0–400) | 28 (range, 9 days to 11 years) | 75.5 (range, 0–162.7) | RTX: 3 TPE: 1 No therapy: 10 | 7 of 14 (50.0%) |
| Regunathan-Shenk et al. [17] 2019 | 12 (recurred in 10 [83.3%]) | USA | 22 (range, 12–60) | 48 (range, 0–190) | NA | 76 (range, 9–203) | Eculizumab: 3 TPE: 1 No therapy: 7 | 3 of 10 (30.0%) |
| Bomback et al. [18] 2012 | 3 (recurred in 2 [66.7%]) | USA | 22 (range, 20–25) | 123 (range, 113–134) | 2.5 (range, 1–4) | 13 | Eculizumab: 2 TPE: 1 | 0 |
| Frangou et al. [19] 2019 | 17 (recurred in 12 [70.6%]) | Cyprus | 48 (range, 32–64) | NA | 164 (range, 9–207) | 157 (range, 9–282) | TPE: 2 No therapy: 10 | 5 of 12 (41.7%) |
Disclaimer/Publisher’s Note: The statements, opinions and data contained in all publications are solely those of the individual author(s) and contributor(s) and not of MDPI and/or the editor(s). MDPI and/or the editor(s) disclaim responsibility for any injury to people or property resulting from any ideas, methods, instructions or products referred to in the content. |
© 2023 by the authors. Licensee MDPI, Basel, Switzerland. This article is an open access article distributed under the terms and conditions of the Creative Commons Attribution (CC BY) license (https://creativecommons.org/licenses/by/4.0/).
Share and Cite
Lim, J.-H.; Shin, S.-W.; Kim, M.-S.; Han, M.-H.; Kim, Y.-J.; Jung, H.-Y.; Choi, J.-Y.; Cho, J.-H.; Park, S.-H.; Kim, Y.-L.; et al. Recurrent C3 Glomerulonephritis along with BK-Virus-Associated Nephropathy after Kidney Transplantation: A Case Report. Medicina 2023, 59, 1308. https://doi.org/10.3390/medicina59071308
Lim J-H, Shin S-W, Kim M-S, Han M-H, Kim Y-J, Jung H-Y, Choi J-Y, Cho J-H, Park S-H, Kim Y-L, et al. Recurrent C3 Glomerulonephritis along with BK-Virus-Associated Nephropathy after Kidney Transplantation: A Case Report. Medicina. 2023; 59(7):1308. https://doi.org/10.3390/medicina59071308
Chicago/Turabian StyleLim, Jeong-Hoon, Seong-Won Shin, Mee-Seon Kim, Man-Hoon Han, Yong-Jin Kim, Hee-Yeon Jung, Ji-Young Choi, Jang-Hee Cho, Sun-Hee Park, Yong-Lim Kim, and et al. 2023. "Recurrent C3 Glomerulonephritis along with BK-Virus-Associated Nephropathy after Kidney Transplantation: A Case Report" Medicina 59, no. 7: 1308. https://doi.org/10.3390/medicina59071308
APA StyleLim, J.-H., Shin, S.-W., Kim, M.-S., Han, M.-H., Kim, Y.-J., Jung, H.-Y., Choi, J.-Y., Cho, J.-H., Park, S.-H., Kim, Y.-L., Hwang, D., Yun, W.-S., Kim, H.-K., Huh, S., Yoo, E. S., Won, D. I., & Kim, C.-D. (2023). Recurrent C3 Glomerulonephritis along with BK-Virus-Associated Nephropathy after Kidney Transplantation: A Case Report. Medicina, 59(7), 1308. https://doi.org/10.3390/medicina59071308

