Ultrasound-Guided Infiltrative Treatment Associated with Early Rehabilitation in Adhesive Capsulitis Developed in Post-COVID-19 Syndrome
Abstract
1. Introduction
- lack of appropriate physical therapy, leading to painful rigidity of the shoulder;
- depression and/or anxiety due to the COVID-19 pandemic;
- mechanisms relating to extrapulmonary manifestations of COVID-19 [3].
2. Methods
2.1. Ethical Issues
2.2. Statistical Analysis
2.3. Outcome Measures
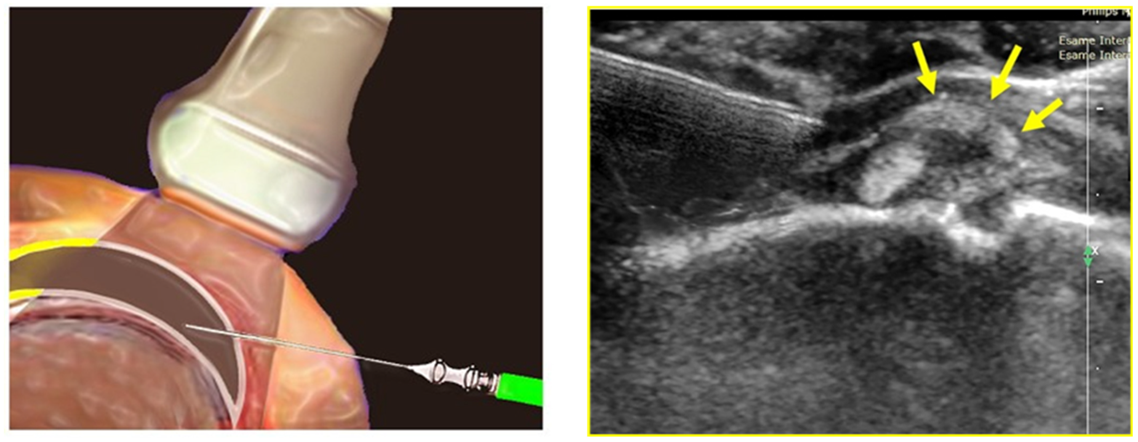
2.4. Ultrasound Diagnosis
- (a)
- Coracohumeral ligament (CHL): for CHL assessment, patients were scanned in a sitting position, with the shoulder in a neutral position and the forearm extended. The scanning commenced in an axial oblique plane via positioning the transducer on the lateral border of the coracoid process, obtaining a longitudinal image of the CHL.
- (b)
- Rotator interval: the rotator interval is a triangular space in the anterosuperior rotator cuff bounded above by the anterior free edge of the supraspinatus tendon and below by the superior edge of the subscapularis tendon. The rotator interval was optimally visualized in the oblique plane with the patient’s fist held by their side.
2.5. Ultrasound-Guided Infiltrative Treatment
2.6. Early Rehabilitation Treatment
- -
- Commuting exercises: The patient bends the torso forward so that it is parallel to the floor and leans on a stool or table with the sound arm. They swing the affected limb back and forth for about 5 min. With the treated limb, the patient makes circles outwards with the palm facing out, and then circles inwards with the palm (Figure 4a).
- -
- External rotation exercises: The patient is supine, with the arm close to the body, and the elbow flexed at 90°. The patient holds a stick with the healthy limb and places it on the palm of the affected limb, pushing on it so as to hyper-rotate the affected limb. The patient maintains this position for about 15–20 s and then returns to the starting position (Figure 4b).
- -
- Anterior elevation exercises: Standing upright, the patient holds a cane with both hands, raises their arms above their head as far as they can, holding the position for about 10 s and then returns to the starting position (Figure 4c).
- -
- Internal rotation exercises: The patient places the treated limb behind their back with the elbow bent. Using a towel and using the healthy limb, they bring the treated limb to the maximum internal rotation, maintaining this position for about 5 s (Figure 4d).
- -
- Retroposition exercises: Standing upright, the patient grasps a stick behind their back with both hands and brings their shoulders to the maximum retroposition, maintaining this position for 5 s (Figure 4e).
- -
- Abduction exercises: Standing next to a wall with the elbow flexed at 90°, the patient pushes their elbow and forearm against the wall (Figure 4f).
3. Results
4. Discussion
5. Limitations of the Study
6. Conclusions
Author Contributions
Funding
Institutional Review Board Statement
Informed Consent Statement
Data Availability Statement
Conflicts of Interest
References
- Ascani, C.; Passaretti, D.; Scacchi, M.; Bullitta, G.; De Cupis, M.; Pasqualetto, M.; Ascani, J. Can adhesive capsulitis of the shoulder be a consequence of COVID-19? Case series of 12 patients. J. Shoulder Elb. Surg. 2021, 30, e409–e413. [Google Scholar] [CrossRef]
- Marwa, K.; Marwa, A.O.; Amal, H.; Haitham, S. Assessment and characterisation of post-COVID-19 manifestations. Int. J. Clin. Pract. 2021, 75, e13746. [Google Scholar]
- Vitali, M.; Pironti, P.; Salvato, D.; Salini, V. Can COVID-19 pandemic influence frozen shoulder outcomes. Rehabilitation 2021, 55, 241. [Google Scholar] [CrossRef] [PubMed]
- Do Amaral e Castro, A.; Masson de Almeida Prado, R.; da Frota Carrera, E.; Yokoo, P.; Do Carmo Barros Santos, D.; Rosemberg, L.A.; Taneja, A.K. Incidence of Adhesive Capsulitis of the Shoulder during the Beginning of the COVID-19 Pandemic; Einstein: São Paulo, Brazil, 2022. [Google Scholar]
- Lho, Y.M.; Ha, E.; Cho, C.H.; Song, K.S.; Min, B.W.; Bae, K.C.; Lee, K.-J.; Hwang, I.; Park, H.-B. Inflammatory cytokines are overexpressed in the subacromial bursa of frozen shoulder. J. Shoulder Elb. Surg. 2013, 22, 666–672. [Google Scholar] [CrossRef] [PubMed]
- Rodeo, S.A.; Hannafin, J.A.; Tom, J.; Warren, R.F.; Wickiewicz, T.L. Immunolocalization of cytokines and their receptors in adhesive capsulitis of the shoulder. J. Orthop. Res. 1997, 15, 427–436. [Google Scholar] [CrossRef]
- Boyle-Walker, K.L.; Gabard, D.L.; Bietsch, E.; Masek-VanArsdale, D.M.; Robinson, B.L. A profile of patients with adhesive capsulitis. J. Hand Ther. 1997, 10, 222–228. [Google Scholar] [CrossRef]
- Tasto, J.P.; Elias, D.W. Adhesive capsulitis. Sports Med. Arthrosc. Rev. 2007, 15, 216–221. [Google Scholar] [CrossRef]
- Neviaser, A.S.; Hannafin, J.A. Adhesive Capsulitis A Review of Current Treatment. Am. J. Sports Med. 2010, 38, 2346–2356. [Google Scholar] [CrossRef]
- Leafblad, N.; Mizels, J.; Tashjian, R.; Chalmers, P. Adhesive Capsulitis. Phys. Med. Rehabil. Clin. N. Am. Rev. 2023, 34, 453–468. [Google Scholar]
- Balci, N.; Balci, M.K.; Tüzüner, S. Shoulder Adhesive Capsulitis and Shoulder Range of Motion in Type II Diabetes Mellitus: Association with Diabetic Complications. J. Diabetes Complicat. 1999, 13, 135–140. [Google Scholar] [CrossRef]
- Wohlgethan, J.R. Frozen shoulder in hyperthyroidism. Arthritis Rheum. 1987, 30, 936–939. [Google Scholar] [CrossRef] [PubMed]
- Do, J.G.; Hwang, J.T.; Yoon, K.J.; Lee, Y.T. Correlation of Ultrasound Findings with Clinical Stages and Impairment in Adhesive Capsulitis of the Shoulder. Orthop. J. Sport. Med. 2021, 9. [Google Scholar] [CrossRef] [PubMed]
- Stella, S.M.; Gualtierotti, R.; Ciampi, B.; Trentanni, C.; Sconfienza, L.M.; Del Chiaro, A.; Pacini, P.; Miccoli, M.; Galletti, S. Ultrasound Features of Adhesive Capsulitis. Rheumatol. Ther. 2022, 9, 481–495. [Google Scholar] [CrossRef] [PubMed]
- Zappia, M.; Di Pietto, F.; Aliprandi, A.; Pozza, S.; De Petro, P.; Muda, A.; Sconfienza, L.M. Multi-modal imaging of adhesive capsulitis of the shoulder. Insights Imaging 2016, 7, 365–371. [Google Scholar] [CrossRef]
- Ricci, V.; Galletti, S.; Chang, K.V.; Özçakar, L. Ultrasound Imaging and Guidance in the Management of Adhesive Bursopathy of the Shoulder: A Video Demonstration. J. Ultrasound Med. 2020, 39, 633–635. [Google Scholar] [CrossRef]
- Tandon, A.; Dewan, S.; Bhatt, S.; Jain, A.K.; Kumari, R. Sonography in diagnosis of adhesive capsulitis of the shoulder: A case–control study. J. Ultrasound 2017, 20, 227–236. [Google Scholar] [CrossRef]
- Griesser, M.J.; Harris, J.D.; Campbell, J.E.; Jones, G.L. Adhesive capsulitis of the shoulder: A systematic review of the effectiveness of intra-articular corticosteroid injections. J. Bone Jt. Surg. Am. 2011, 93, 1727–1733. [Google Scholar] [CrossRef]
- Catapano, M.; Mittal, N.; Adamich, J.; Kumbhare, D.; Sangha, H. Hydrodilatation with Corticosteroid for the Treatment of Adhesive Capsulitis: A Systematic Review. PM R 2018, 10, 623–635. [Google Scholar] [CrossRef]
- Saltychev, M.; Laimi, K.; Virolainen, P.; Fredericson, M. Effectiveness of hydrodilatation in adhesive capsulitis of shoulder: A systematic review and meta-analysis. Scand. J. Surg. 2018, 107, 285–293. [Google Scholar] [CrossRef]
- Wu, W.T.; Chang, K.V.; Han, D.S.; Chang, C.H.; Yang, F.S.; Lin, C.P. Effectiveness of glenohumeral joint dilatation for treatment of frozen shoulder: A systematic review and meta-analysis of randomized controlled trials. Sci. Rep. 2017, 7, 10507. [Google Scholar] [CrossRef]
- Ki, D.P.; Hee, S.N.; Tai, K.K.; Seong, H.K.; Min, H.L.; Yongbum, P. Comparison of Sono-guided Capsular Distension with Fluoroscopically Capsular Distension in Adhesive Capsulitis of Shoulder. Ann. Rehabil. Med. 2012, 36, 88–97. [Google Scholar]
- Andren, L.; Lundberg, B. Treatment of rigid shoulders by joint distension during arthrography. Acta Orthop. Scand. 1965, 36, 45–53. [Google Scholar] [CrossRef] [PubMed]
- Buchbinder, R.; Green, S.; Youd, J.; Johnston, R.; Cumpston, M. Arthrographic distension of adhesive capsulitis (frozen shoulder). Cochrane Database Syst. Rev. 2008, CD007005. [Google Scholar] [CrossRef] [PubMed]
- Lädermann, A.; Piotton, S.; Abrassart, S.; Mazzolari, A.; Ibrahim, M.; Stirling, P. Hydrodilatation with corticosteroids is the most effective conservative management for frozen shoulder. Knee Surg. Sport. Traumatol. Arthrosc. 2021, 29, 2553–2563. [Google Scholar] [CrossRef]
- Mertens, M.G.; Meert, L.; Struyf, F.; Schwank, A.; Meeus, M. Exercise Therapy Is Effective for Improvement in Range of Motion, Function, and Pain in Patients with Frozen Shoulder: A Systematic Review and Meta-analysis. Arch. Phys. Med. Rehabil. 2022, 103, 998–1012. [Google Scholar] [CrossRef]
- Hannafin, J.A.; Chiaia, T.A. Adhesive capsulitis. A treatment approach. Clin. Orthop. 2000, 372, 95–109. [Google Scholar] [CrossRef]
- Chan, H.; Pua, P.Y.; How, C.H. Physical therapy in the management of frozen shoulder. Singap. Med. J. 2017, 58, 685–689. [Google Scholar] [CrossRef]
- Nakandalaa, P.; Nanayakkarab, I.; Wadugodapitiyaa, S.; Gawarammana, I. The efficacy of physiotherapy interventions in the treatment of adhesive capsulitis: A systematic review. J. Back Musculoskelet. Rehabil. 2021, 34, 195–205. [Google Scholar] [CrossRef]
- Bateman, M.; McClymont, S.; Hinchliffe, S. The effectiveness and cost of corticosteroid injection and physiotherapy in the treatment of frozen shoulder—A single centre service evaluation. Clin. Rheum. 2014, 33, 1005–1008. [Google Scholar] [CrossRef]
- Bryant, M.; Gough, A.; Selfe, J.; Richards, J.; Burgess, E. The effectiveness of ultrasound guided hydrodistension and physiotherapy in the treatment of frozen shoulder/adhesive capsulitis in primary care: A single centre service evaluation. Shoulder Elb. 2017, 9, 292–298. [Google Scholar] [CrossRef]
- Waterfield, J.; Sim, J. Clinical assessment of pain by the visual analogue scale. Br. J. Ther. Rehabil. 1996, 3, 94–97. [Google Scholar] [CrossRef]
- Roach, K.E.; Budiman-Mak, E.; Songsiridej, N.; Lertratanakul, Y. Development of a shoulder pain and disability index. Arthritis Care Res. 1991, 4, 143–149. [Google Scholar] [CrossRef] [PubMed]
- Gummesson, C.; Atroshi, I.; Ekdahl, C. The disabilities of the arm, shoulder and hand (DASH) outcome questionnaire: Longitudinal construct validity and measuring self-rated health change after surgery. BMC Musculoskelet. Disord. 2003, 4, 11. [Google Scholar] [CrossRef]
- Ricci, V.; Chang, K.V.; Özçakar, L. Ultrasound-Guided Hydrodilatation of the Shoulder Capsule at the Rotator Interval: Technical Tips and Tricks. Pain. Pract. 2020, 20, 948–949. [Google Scholar] [CrossRef]
- Elnady, B.; Rageh, E.M.; Hussein, M.S.; Abu-Zaid, M.H.; El-Sayed Desouky, D.; Ekhouly, T.; Rasker, J.J. In shoulder adhesive capsulitis, ultrasound-guided anterior hydrodilatation in rotator interval is more effective than posterior approach: A randomized controlled study. Clin. Rheumatol. 2020, 39, 3805–3814. [Google Scholar] [CrossRef]
- Biglia, A.; Morandi, V.; Zanframundo, G.; Donati, D.; Maggiore, F.; Vita, F.; Sammarchi, L.; Pagani, C.; Cavagna, L.; Galletti, S.; et al. Adhesive capsulitis after COVID-19 vaccine injection: A peculiar case treated with combined bursa distention and glenohumeral capsular hydrodilatation. J. Ultrasound 2023. [Google Scholar] [CrossRef]
- Redler, L.H.; Dennis, E.R. Treatment of Adhesive Capsulitis of the Shoulder, Review Article. J. Am. Acad. Orthop. Surg. 2019, 27, 544–554. [Google Scholar] [CrossRef]
- Page, M.J.; Green, S.; Kramer, S.; Johnston, R.V.; McBain, B.; Chau, M.; Buchbinder, R. Manual therapy and exercise for adhesive capsulitis (frozen shoulder). Cochrane Database Syst. Rev. 2014, CD011275. [Google Scholar] [CrossRef] [PubMed]
- Challoumas, D.; Biddle, M.; McLean, M.; Millar, N.L. Comparison of Treatments for Frozen Shoulder A Systematic Review and Meta-analysis. JAMA Netw. Open 2020, 3, e2029581. [Google Scholar] [CrossRef] [PubMed]




| Patient No. | Sex | Age | Side | * AC Onset | COVID-19 Severity | Job |
|---|---|---|---|---|---|---|
| 1 | F | 30 | L | 1.5 | Mild | OW |
| 2 | M | 50 | R | 3 | Asymptomatic | ML |
| 3 | F | 60 | L | 2 | Mild | ML |
| 4 | M | 64 | R | 1.5 | Asymptomatic | OW |
| 5 | F | 46 | R | 2 | Asymptomatic | ML |
| 6 | F | 54 | L | 1.5 | Mild | OW |
| 7 | M | 48 | R | 3 | Asymptomatic | OW |
| 8 | F | 36 | L | 2 | Mild | ML |
| 9 | M | 52 | R | 1.5 | Mild | ML |
| 10 | F | 54 | R | 2 | Asymptomatic | OW |
| 11 | M | 62 | L | 3 | Mild | ML |
| 12 | F | 57 | R | 1.5 | Mild | OW |
| 13 | F | 43 | R | 2 | Asymptomatic | ML |
| 14 | F | 59 | R | 1.5 | Mild | ML |
| 15 | M | 56 | L | 2 | Asymptomatic | ML |
| 16 | F | 61 | R | 2 | Mild | OW |
| Pre-Treatment Mean (SD) | After 10 Sessions Mean (SD) | After 20 Sessions Mean (SD) | |
|---|---|---|---|
| Flexion (°) | 55 (10) | 100 (7.07) | 150 (12.24) |
| Abduction (°) | 40 (7.74) | 90 (14.14) | 130 (13.78) |
| External rotation (°) | 40 (7.07) | 70 (11.83) | 80 (12.64) |
| Internal rotation (°) | 30 (8.36) | 50 (7.07) | 70 (13.03) |
| SPADI | 55 (16.12) | 15.4 (4.91) | 8.5 (1.77) |
| DASH | 58 (5.47) | 17 (4.56) | 12 (2.89) |
| VAS | 6.9 (1.66) | 1.5 (1.04) | 1 (0.63) |
| ROM Flexion | ROM Abduction | ROM ext. Rotation | ROM int. Rotation | SPADI | DASH | VAS | |
|---|---|---|---|---|---|---|---|
| Pre to 10 sessions | 13.81 p < 0.00001 | 10.35 p < 0.00001 | 6.93 p < 0.00001 | 5.82 p < 0.00002 | −24.26 p < 0.00001 | −25.89 p < 0.00001 | −19.39 p < 0.00001 |
| Pre to 20 sessions | 32.91 p < 0.00001 | 27.89 p < 0.00001 | 10.12 p < 0.00001 | 14.41 p < 0.00001 | −35.97 p < 0.00001 | −29.85 p < 0.00001 | −18.42 p < 0.00001 |
| After 10 to 20 sessions | 11.24 p < 0.00001 | 9.68 p < 0.00001 | 2.9 p < 0.005 | 19.6 p < 0.00001 | −11.5 p < 0.00001 | −5.87 p < 0.00002 | −2.07 p < 0.02 |
Disclaimer/Publisher’s Note: The statements, opinions and data contained in all publications are solely those of the individual author(s) and contributor(s) and not of MDPI and/or the editor(s). MDPI and/or the editor(s) disclaim responsibility for any injury to people or property resulting from any ideas, methods, instructions or products referred to in the content. |
© 2023 by the authors. Licensee MDPI, Basel, Switzerland. This article is an open access article distributed under the terms and conditions of the Creative Commons Attribution (CC BY) license (https://creativecommons.org/licenses/by/4.0/).
Share and Cite
Donati, D.; Vita, F.; Tedeschi, R.; Galletti, S.; Biglia, A.; Gistri, T.; Arcuri, P.; Origlio, F.; Castagnini, F.; Faldini, C.; et al. Ultrasound-Guided Infiltrative Treatment Associated with Early Rehabilitation in Adhesive Capsulitis Developed in Post-COVID-19 Syndrome. Medicina 2023, 59, 1211. https://doi.org/10.3390/medicina59071211
Donati D, Vita F, Tedeschi R, Galletti S, Biglia A, Gistri T, Arcuri P, Origlio F, Castagnini F, Faldini C, et al. Ultrasound-Guided Infiltrative Treatment Associated with Early Rehabilitation in Adhesive Capsulitis Developed in Post-COVID-19 Syndrome. Medicina. 2023; 59(7):1211. https://doi.org/10.3390/medicina59071211
Chicago/Turabian StyleDonati, Danilo, Fabio Vita, Roberto Tedeschi, Stefano Galletti, Alessandro Biglia, Tommaso Gistri, Pasquale Arcuri, Flavio Origlio, Francesco Castagnini, Cesare Faldini, and et al. 2023. "Ultrasound-Guided Infiltrative Treatment Associated with Early Rehabilitation in Adhesive Capsulitis Developed in Post-COVID-19 Syndrome" Medicina 59, no. 7: 1211. https://doi.org/10.3390/medicina59071211
APA StyleDonati, D., Vita, F., Tedeschi, R., Galletti, S., Biglia, A., Gistri, T., Arcuri, P., Origlio, F., Castagnini, F., Faldini, C., Pederiva, D., & Benedetti, M. G. (2023). Ultrasound-Guided Infiltrative Treatment Associated with Early Rehabilitation in Adhesive Capsulitis Developed in Post-COVID-19 Syndrome. Medicina, 59(7), 1211. https://doi.org/10.3390/medicina59071211

