Ex Vivo Human Histology Fractional Treatment with a New CO2 Scanner: A Potential Application on Deep Scarring
Abstract
1. Introduction
2. Materials and Methods
Ex Vivo Preclinical Test
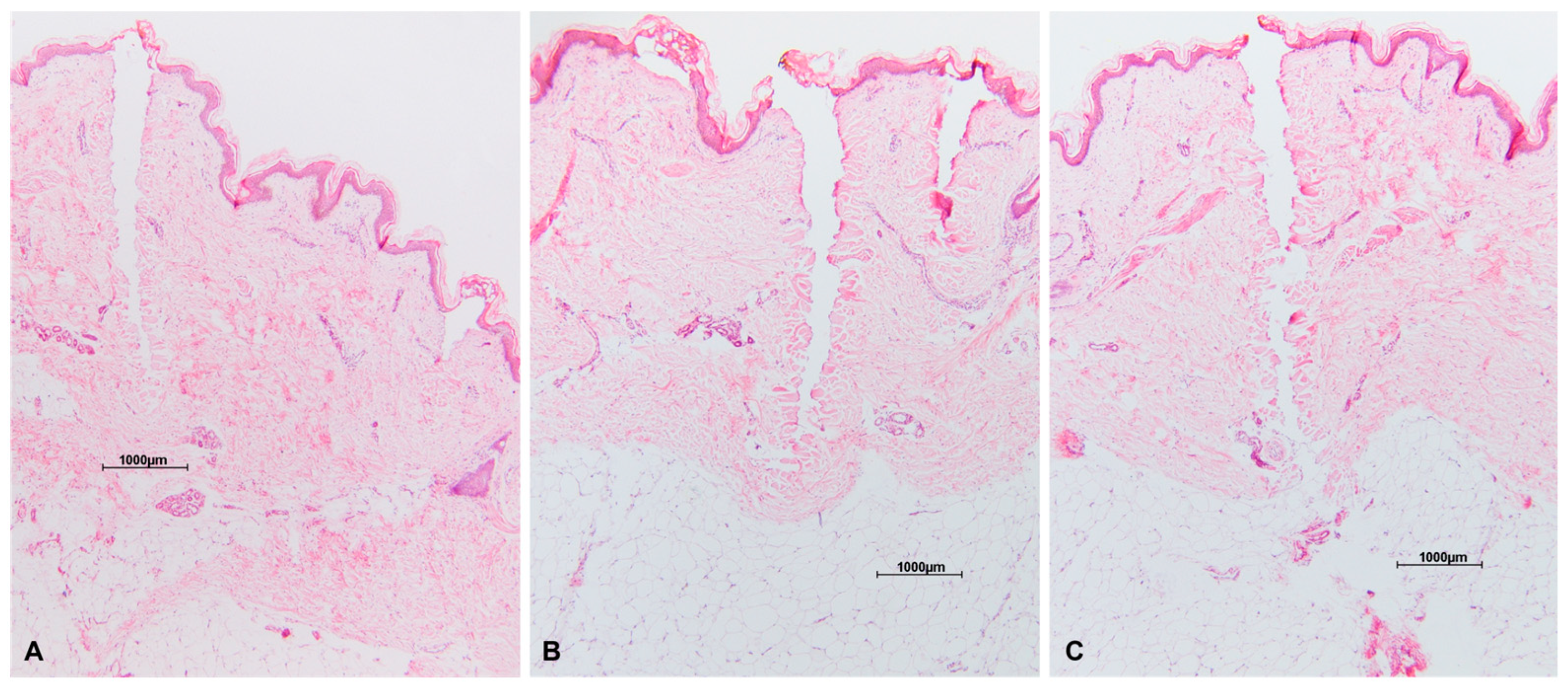
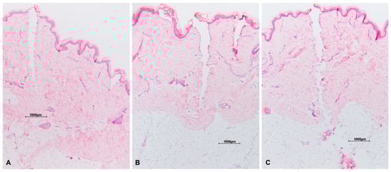
3. Results
Preclinical Results with Histological Analysis
4. Discussion
5. Conclusions
Author Contributions
Funding
Institutional Review Board Statement
Informed Consent Statement
Data Availability Statement
Conflicts of Interest
References
- Clementoni, M.T.; Patel, T. A new treatment for severe burn and post-traumatic scars: A preliminary report. Treat Strateg. Derm. Lasers 2013, 2, 44–48. [Google Scholar]
- EL-Hoshy, K.; Abdel-Halim, M.; Dorgham, D.; Sayed, S.S.; El-Kalioby, M. Efficacy of fractional carbon dioxide laser in the treatment of mature burn scars: A clinical, histopathological, and histochemical study. J. Clin. Aesthetic Dermatol. 2017, 10, 36–43. [Google Scholar]
- Hunzeker, C.M.; Weiss, E.T.; Geronemus, R.G. Fractionated CO2 laser resurfacing: Our experience with more than 2000 treatments. Aesthetic Surg. J. 2009, 29, 317–322. [Google Scholar] [CrossRef] [PubMed]
- Neaman, K.C.; Baca, M.E.; Piazza, R.C.I.I.I.; VanderWoude, D.L.; Renucci, J.D. Outcomes of fractional CO2 laser application in aesthetic surgery: A retrospective review. Aesthetic Surg. J. 2010, 30, 845–852. [Google Scholar] [CrossRef] [PubMed]
- Reilly, M.J.; Cohen, M.; Hokugo, A.; Keller, G.S. Molecular effects of fractional carbon dioxide laser resurfacing on photodamaged human skin. resurfacing on photodamaged human skin. Arch. Facial Plast. Surg. 2010, 12, 321–325. [Google Scholar] [CrossRef] [PubMed]
- Esmat, S.M.; Abdel-Halim, M.R.E.; Gawdat, H.I.; Kamel, M.; ElRamly, A.; Helmy, K.; Esmat, S.M. Persistent Pixel Stamping Marks: A novel complication of fractional CO2 laser in scar treatment. Lasers Med. Sci. 2019, 34, 1125–1135. [Google Scholar] [CrossRef] [PubMed]
- Hantash, B.M.; Bedi, V.P.; Kapadia, B.; Rahman, Z.; Jiang, K.; Tanner, H.; Chan, K.F.; Zachary, C.B. In vivo histological evaluation of a novel ablative fractional resurfacing device. Lasers Surg. Med. 2007, 39, 96–107. [Google Scholar] [CrossRef] [PubMed]
- Anderson, R.R.; Donelan, M.B.; Hivnor, C.; Greeson, E.; Ross, E.V.; Shumaker, P.R.; Uebelhoer, N.S.; Waibel, J.S. Laser treatment of traumatic scars with an emphasis on ablative fractional laser resurfacing: Consensus report. JAMA Dermatol. 2014, 150, 187–193. [Google Scholar] [CrossRef] [PubMed]
- Waibel, J.S.; Gianatasio, C.; Rudnick, A.; Siegel, A. Use of lasers in wound healing: How to best utilize laser technology to prevent scar formation. Curr. Dermatol. Rep. 2018, 7, 303–310. [Google Scholar] [CrossRef]
- Karmisholt, K.; Haerskjold, A.; Karlsmark, T.; Waibel, J.S.; Paasch, U.; Haedersdal, M. Early laser intervention to reduce scar formation—A systematic review. J. Eur. Acad. Dermatol. Venereol. 2018, 32, 1099–1110. [Google Scholar] [CrossRef] [PubMed]
- Gordon, H.S.; Heather, M.T.; Tucker, B. Fractional CO2 laser resurfacing of photoaged facial and non-facial skin: Histologic and clinical results and side effects. J. Cosmet. Laser Ther. 2009, 11, 190–201. [Google Scholar]
- Oni, G.; Robbins, D.; Bailey, S.; Brown, S.A.; Kenkel, M.J. An In Vivo Histopathological Comparison of Double and Single Pulsed Modes of a Fractionated CO2 Laser. Lasers Surg. Med. 2012, 44, 4–10. [Google Scholar] [CrossRef] [PubMed]
- Scarcella, G.; Pieri, L.; Fusco, I. Skin Fractional Scar Treatment with a New Carbon Dioxide Scanner: Histological and Clinical Evaluation. Photobiomodul. Photomed. Laser Surg. 2022, 40, 424–432. [Google Scholar] [CrossRef] [PubMed]
- Oltulu, P.; Ince, B.; Kokbudak, N.; Findik, S.; Kilinc, F. Measurement of epidermis, dermis, and total skin thicknesses from six different body regions with a new ethical histometric Technique. Turk. J. Plast. Surg. 2018, 26, 56. [Google Scholar] [CrossRef]
- Omi, T.; Kawana, S.; Sato, S.; Bonan, P.; Naito, Z. Fractional CO2 laser for the treatment of acne scars. J. Cosmet. Dermatol. 2011, 10, 294–300. [Google Scholar] [CrossRef] [PubMed]
- Rinaldi, F. Laser: A review. Clin. Dermatol. 2008, 26, 590–601. [Google Scholar] [CrossRef] [PubMed]
- Nisticò, S.P.; Bennardo, L.; Zingoni, T.; Pieri, L.; Fusco, I.; Rossi, F.; Magni, G.; Cannarozzo, G. Synergistic Sequential Emission of Fractional 10.600 and 1540 nm Lasers for Skin Resurfacing: An Ex Vivo Histological Evaluation. Medicina 2022, 58, 1308. [Google Scholar] [CrossRef] [PubMed]
- Waibel, J.S.; Rudnick, A.; Shagalov, D.R.; Nicolazzo, D.M. Update of ablative fractionated lasers to enhance cutaneous topical drug delivery. Rev. Adv. Ther. 2017, 34, 1840–1849. [Google Scholar] [CrossRef] [PubMed]


Disclaimer/Publisher’s Note: The statements, opinions and data contained in all publications are solely those of the individual author(s) and contributor(s) and not of MDPI and/or the editor(s). MDPI and/or the editor(s) disclaim responsibility for any injury to people or property resulting from any ideas, methods, instructions or products referred to in the content. |
© 2023 by the authors. Licensee MDPI, Basel, Switzerland. This article is an open access article distributed under the terms and conditions of the Creative Commons Attribution (CC BY) license (https://creativecommons.org/licenses/by/4.0/).
Share and Cite
Bonan, P.; Pieri, L.; Fusco, I.; Madeddu, F.; Zingoni, T.; Conforti, C.; Piccolo, D. Ex Vivo Human Histology Fractional Treatment with a New CO2 Scanner: A Potential Application on Deep Scarring. Medicina 2023, 59, 1117. https://doi.org/10.3390/medicina59061117
Bonan P, Pieri L, Fusco I, Madeddu F, Zingoni T, Conforti C, Piccolo D. Ex Vivo Human Histology Fractional Treatment with a New CO2 Scanner: A Potential Application on Deep Scarring. Medicina. 2023; 59(6):1117. https://doi.org/10.3390/medicina59061117
Chicago/Turabian StyleBonan, Paolo, Laura Pieri, Irene Fusco, Francesca Madeddu, Tiziano Zingoni, Claudio Conforti, and Domenico Piccolo. 2023. "Ex Vivo Human Histology Fractional Treatment with a New CO2 Scanner: A Potential Application on Deep Scarring" Medicina 59, no. 6: 1117. https://doi.org/10.3390/medicina59061117
APA StyleBonan, P., Pieri, L., Fusco, I., Madeddu, F., Zingoni, T., Conforti, C., & Piccolo, D. (2023). Ex Vivo Human Histology Fractional Treatment with a New CO2 Scanner: A Potential Application on Deep Scarring. Medicina, 59(6), 1117. https://doi.org/10.3390/medicina59061117

