A Neglected Extensor Hallucis Longus Tendon Rupture Caused by Arthritic Adhesion
Abstract
1. Introduction
2. Case Presentation
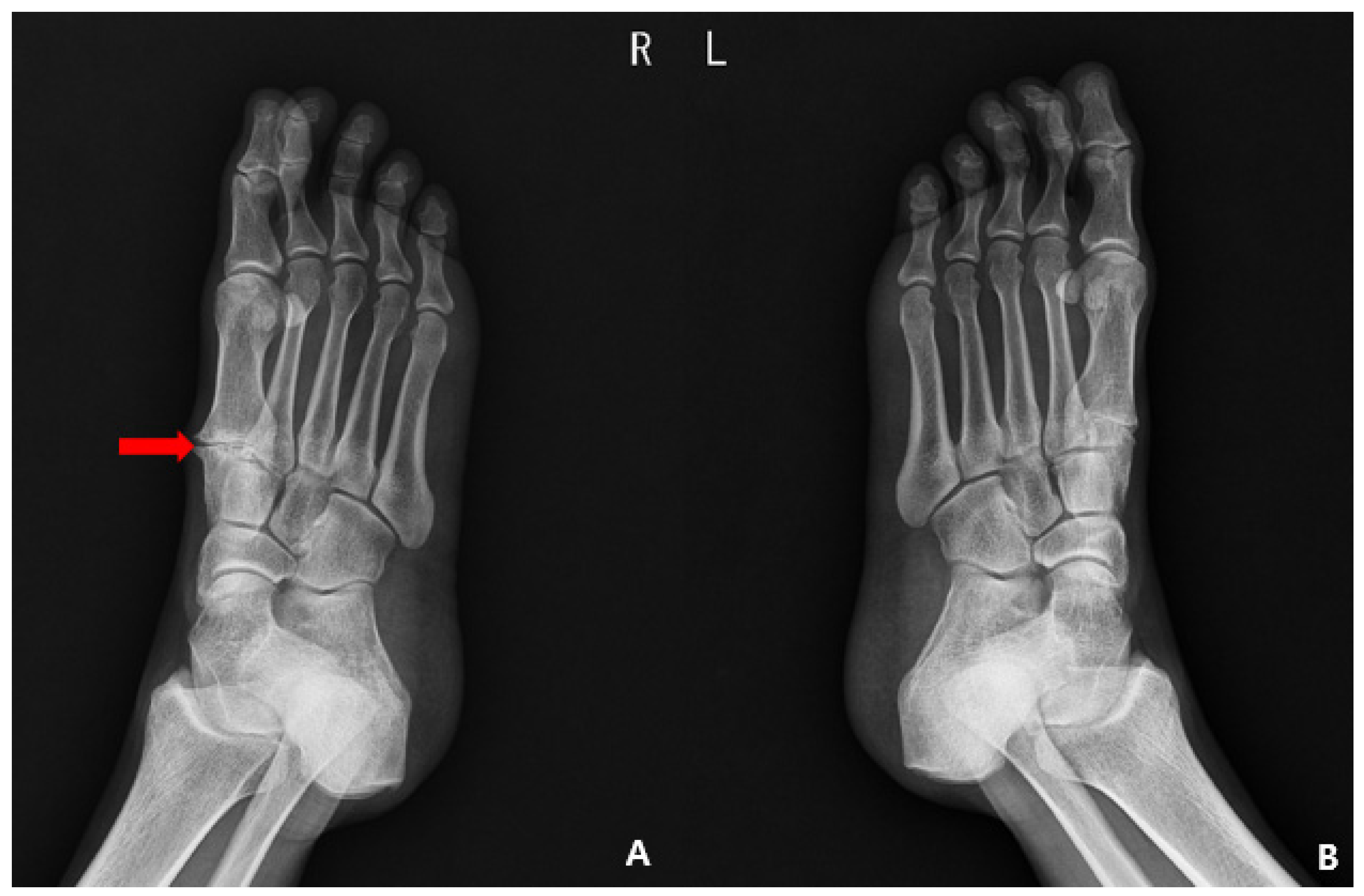
2.1. Preoperative Evaluation
2.2. Surgical Procedure
2.3. Postoperative Care
3. Discussion
4. Conclusions
Author Contributions
Funding
Institutional Review Board Statement
Informed Consent Statement
Data Availability Statement
Acknowledgments
Conflicts of Interest
Abbreviations
| TMT | Tarsometatarsal |
| MRI | Magnetic resonance imaging |
| EHL | Extensor hallucis longus |
| AOFAS | American Orthopaedic Foot and Ankle Society |
| ADL | Activities of daily living |
References
- Wong, J.C.; Daniel, J.N.; Raikin, S.M. Repair of acute extensor hallucis longus tendon injuries: A retrospective review. Foot Ankle Spec. 2014, 7, 45–51. [Google Scholar] [CrossRef] [PubMed]
- Kass, J.C.; Palumbo, F.; Mehl, S.; Camarinos, N. Extensor hallucis longus tendon injury: An in-depth analysis and treatment protocol. J. Foot Ankle Surg. Offic. Publ. Am. College Foot Ankle Surg. 1997, 36, 24–27, discussion 80. [Google Scholar] [CrossRef] [PubMed]
- Mulcahy, D.M.; Dolan, A.M.; Stephens, M.M. Spontaneous Rupture of Extensor Hallucis Longus Tendon. Foot Ankle Int. 1996, 17, 162–163. [Google Scholar] [CrossRef] [PubMed]
- Tuncer, S.; Aksu, N.; Isıklar, U. Delayed Rupture of the Extensor Hallucis Longus and Extensor Digitorum Communis Tendons After Breaching the Anterior Capsule with a Radiofrequency Probe During Ankle Arthroscopy: A Case Report. J. Foot Ankle Surg. 2010, 49, 490.e1–490.e3. [Google Scholar] [CrossRef] [PubMed]
- Tomford, W.W. Transmission of disease through transplantation of musculoskeletal allografts. J. Bone Jt. Surg. 1995, 77, 1742–1754. [Google Scholar] [CrossRef]
- Anzel, S.H.; Covey, K.W.; Weiner, A.D.; Lipscomb, P.R. Disruption of muscles and tendons; an analysis of 1014 cases. Surgery 1959, 45, 406–414. [Google Scholar]
- Rosemberg, D.L.; Hur, E.S.; Bordignon, G.; Bohl, D.D. Reconstruction of the extensor hallucis longus with a hamstring tendon autograft: A systematic review. J. Foot Ankle 2022, 16, 310–316. [Google Scholar] [CrossRef]
- Lee, K.T.; Choi, Y.S.; Lee, Y.K.; Lee, J.P.; Young, K.W.; Park, S.Y. Extensor hallucis longus tendon injury in taekwondo athletes. Phys. Ther. Sports 2009, 10, 101–104. [Google Scholar] [CrossRef]
- Thordarson, D.B.; Shean, C.J. Nerve and tendon lacerations about the foot and ankle. JAAOS J. Am. Acad. Orth. Surg. 2005, 13, 186–196. [Google Scholar] [CrossRef]
- Jaffe, D. Restoration of Extension of the Great Toe After an Untreated, Retracted Extensor Hallucis Longus Rupture. J. Bone Jt. Surg. 2019, 9, e0348. [Google Scholar] [CrossRef]
- Abolfotouh, S.M.; Mahmoud, K.M.; Mekhaimar, M.M.; Said, N.; Al Dosari, M.A. Checkrein deformity associated with intra-articular talar fracture: A report of three cases. JBJS Case Connector 2015, 5, e21. [Google Scholar] [CrossRef] [PubMed]
- Bae, S.-Y.; Chung, H.-J.; Kim, M. Checkrein Deformity by Incarcerated Posterior Tibial Tendon and Displaced Flexor Hallucis Longus Tendon following Ankle Dislocation—A Case Report. J. Korean Fract. Soc. 2011, 24, 271–276. [Google Scholar] [CrossRef]
- Feeney, M.; Williams, R.; Stephens, M. Selective lengthening of the proximal flexor tendon in the management of acquired claw toes. J. Bone Joint Surg. Brit. Vol. 2001, 83, 335–338. [Google Scholar] [CrossRef]
- Lee, H.S.; Kim, J.S.; Park, S.-S.; Lee, D.-H.; Park, J.M.; Wapner, K.L. Treatment of checkrein deformity of the hallux. J. Bone Jt. Surg. 2008, 90, 1055–1058. [Google Scholar] [CrossRef]
- Clawson, D.K. Claw toes following tibial fracture. Clin. Orth. Related Res. 1974, 103, 47–48. [Google Scholar] [CrossRef] [PubMed]
- Leitschuh, P.H.; Zimmerman, J.P.; Uhorchak, J.M.; Arciero, R.A.; Bowser, L. Hallux Flexion Deformity Secondary to Entrapment of the Flexor Hallucis Longus Tendon after Fibular Fracture. Foot Ankle Int. 1995, 16, 232–235. [Google Scholar] [CrossRef]
- Carr, J.B. Complications of calcaneus fractures entrapment of the flexor hallucis longus: Report of two cases. J. Orth. Trauma 1990, 4, 166–168. [Google Scholar] [CrossRef] [PubMed]
- Heo, Y.-M.; Roh, J.-Y.; Kim, S.-B.; Kim, J.-Y.; Lee, J.-B.; Kim, K.K. Contracture of Extensor Hallucis Longus Tendon Occurring after Intramedullary Nailing for a Tibial Fracture. J. Korean Orthop. Assoc. 2010, 45, 399–403. [Google Scholar] [CrossRef]
- Kurashige, T.; Kawabata, K.; Suzuki, S. Checkrein deformity due to extensor hallucis longus hypotrophy treated with extensor digitorum longus tendon transfer. Foot Ankle Surg. 2014, 20, e30–e34. [Google Scholar] [CrossRef]
- Kim, W.-J.; Jung, K.-J.; Ahn, H.; Yeo, E.-D.; Lee, H.-S.; Won, S.-H.; Lee, D.-W.; Ji, J.-Y.; Yoon, S.-J.; Hong, Y.-C. Reconstruction of a Neglected, Extensor Hallucis Longus Tendon Rupture Using Interposed Scar Tissue: A Case Report and Literature Review. Int. J. Environ. Res. Public Health 2021, 18, 12157. [Google Scholar] [CrossRef]
- Lezak, B.; Wehrle, C.J.; Summers, S. Anatomy, Bony Pelvis and Lower Limb, Posterior Tibial Artery; StatPearls Publishing: Tampa, FL, USA, 2021. [Google Scholar]
- Pedrazzini, A.; Valenti, P.G.; Bertoni, N.; Pedrabissi, B.; Simo, H.Y.; Bisaschi, R.; Medina, V.; Ceccarelli, F.; Pogliacomi, F. Traumatic extensor tendons injuries of the foot in childhood: A case report. Acta Biomed. Atenei Parm. 2019, 90, 202–206. [Google Scholar] [CrossRef]
- So, E.; Black, T.E.; Mehl, B. Split Peroneus Longus Free Tendon Autograft Transplantation for the Treatment of Neglected Extensor Hallucis Longus Tendon Laceration: A Case Report. J. Foot Ankle Surg. 2018, 57, 210–214. [Google Scholar] [CrossRef] [PubMed]
- Tuennermann, L.; Jordan, M.C.; Paul, M.M.; Jansen, H.; Meffert, R.H.; Hoelscher-Doht, S. Local Autograft and Strong Pulvertaft Fixation Technique for Reconstruction of a Rerupture of the Extensor Hallucis Longus Tendon: A Case Report. J. Foot Ankle Surg. 2019, 58, 1276–1280. [Google Scholar] [CrossRef] [PubMed]
- Biehl, C.; Rupp, M.; Kern, S.; Heiss, C.; ElKhassawna, T.; Szalay, G. Extensor tendon ruptures in rheumatoid wrists. Eur. J. Orth. Surg. Traumatol. 2020, 30, 1499–1504. [Google Scholar] [CrossRef] [PubMed]
- Yamazaki, H.; Uchiyama, S.; Hata, Y.; Murakami, N.; Kato, H. Extensor Tendon Rupture Associated with Osteoarthritis of the Distal Radioulnar Joint. J. Hand Surg. 2008, 33, 469–474. [Google Scholar] [CrossRef]




Disclaimer/Publisher’s Note: The statements, opinions and data contained in all publications are solely those of the individual author(s) and contributor(s) and not of MDPI and/or the editor(s). MDPI and/or the editor(s) disclaim responsibility for any injury to people or property resulting from any ideas, methods, instructions or products referred to in the content. |
© 2023 by the authors. Licensee MDPI, Basel, Switzerland. This article is an open access article distributed under the terms and conditions of the Creative Commons Attribution (CC BY) license (https://creativecommons.org/licenses/by/4.0/).
Share and Cite
Won, S.H.; Kim, S.H.; Lee, Y.K.; Chun, D.-I.; Lee, B.-R.; Kim, W.-J. A Neglected Extensor Hallucis Longus Tendon Rupture Caused by Arthritic Adhesion. Medicina 2023, 59, 1069. https://doi.org/10.3390/medicina59061069
Won SH, Kim SH, Lee YK, Chun D-I, Lee B-R, Kim W-J. A Neglected Extensor Hallucis Longus Tendon Rupture Caused by Arthritic Adhesion. Medicina. 2023; 59(6):1069. https://doi.org/10.3390/medicina59061069
Chicago/Turabian StyleWon, Sung Hun, Sung Hwan Kim, Young Koo Lee, Dong-Il Chun, Byung-Ryul Lee, and Woo-Jong Kim. 2023. "A Neglected Extensor Hallucis Longus Tendon Rupture Caused by Arthritic Adhesion" Medicina 59, no. 6: 1069. https://doi.org/10.3390/medicina59061069
APA StyleWon, S. H., Kim, S. H., Lee, Y. K., Chun, D.-I., Lee, B.-R., & Kim, W.-J. (2023). A Neglected Extensor Hallucis Longus Tendon Rupture Caused by Arthritic Adhesion. Medicina, 59(6), 1069. https://doi.org/10.3390/medicina59061069

