Type V Tibial Tubercle Avulsion Fracture with Suspected Complication of Anterior Cruciate Ligament Injury: A Case Report
Abstract
1. Introduction
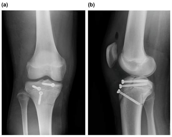
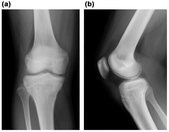
2. Case Report
3. Discussion
4. Conclusions
5. Clinical Message
Author Contributions
Funding
Institutional Review Board Statement
Informed Consent Statement
Data Availability Statement
Conflicts of Interest
References
- Bolesta, M.J.; Fitch, R.D. Tibial tubercle avulsions. J. Pediatr. Orthop. 1986, 6, 186–192. [Google Scholar] [CrossRef] [PubMed]
- Shelton, W.R.; Canale, S.T. Fractures of the tibia through the proximal tibial epiphyseal cartilage. J. Bone Joint Surg. Am. 1979, 61, 167–173. [Google Scholar] [CrossRef] [PubMed]
- Ryu, R.K.; Debenham, J.O. An unusual avulsion fracture of the proximal tibial epiphysis. Case report and proposed addition to the Watson-Jones classification. Clin. Orthop. Relat. Res. 1985, 194, 181–184. [Google Scholar]
- McKoy, B.E.; Stanitski, C.L. Acute tibial tubercle avulsion fractures. Orthop. Clin. N. Am. 2003, 34, 397–403. [Google Scholar] [CrossRef] [PubMed]
- Ogden, J.A.; Tross, R.B.; Murphy, M.J. Fractures of the tibial tuberosity in adolescents. J. Bone Joint Surg. Am. 1980, 62, 205–215. [Google Scholar] [CrossRef] [PubMed]
- Curtis, J.F. Type IV tibial tubercle fracture revisited: A case report. Clin. Orthop. Relat. Res. 2001, 389, 191–195. [Google Scholar] [CrossRef] [PubMed]
- Pace, J.L.; McCulloch, P.C.; Momoh, E.O.; Nasreddine, A.Y.; Kocher, M.S. Operatively treated type IV tibial tubercle apophyseal fractures. J. Pediatr. Orthop. 2013, 33, 791–796. [Google Scholar] [CrossRef] [PubMed]
- Cole, W.W., 3rd; Brown, S.M.; Vopat, B.; Heard, W.M.R.; Mulcahey, M.K. Epidemiology, diagnosis, and management of tibial tubercle avulsion fractures in adolescents. JBJS Rev. 2020, 8, e0186. [Google Scholar] [CrossRef] [PubMed]
- Ehrenborg, G.; Engfeldt, B. The insertion of the ligamentum patellae on the tibial tuberosity. Some views in connection with the Osgood-Schlatter lesion. Acta Chir. Scand. 1961, 121, 491–499. [Google Scholar] [PubMed]
- Pandya, N.K.; Edmonds, E.W.; Roocroft, J.H.; Mubarak, S.J. Tibial tubercle fractures: Complications, classification, and the need for intra-articular assessment. J. Pediatr. Orthop. 2012, 32, 749–759. [Google Scholar] [CrossRef] [PubMed]
- Schiller, J.; DeFroda, S.; Blood, T. Lower extremity avulsion fractures in the pediatric and adolescent athlete. J. Am. Acad. Orthop. Surg. 2017, 25, 251–259. [Google Scholar] [CrossRef] [PubMed]
- Nicolini, A.P.; Carvalho, R.T.; Ferretti, M.; Cohen, M. Simultaneous bilateral tibial tubercle avulsion fracture in a male teenager: Case report and literature review. J. Pediatr. Orthop. B 2018, 27, 40–46. [Google Scholar] [CrossRef] [PubMed]
- Checa Betegón, P.; Arvinius, C.; Cabadas González, M.I.; Martínez García, A.; Del Pozo Martín, R.; Marco Martínez, F. Management of pediatric tibial tubercle fractures: Is surgical treatment really necessary? Eur. J. Orthop. Surg. Traumatol. 2019, 29, 1073–1079. [Google Scholar] [CrossRef] [PubMed]
- Ishibashi, Y.; Tsuda, E.; Sasaki, T.; Toh, S. Magnetic resonance imaging AIDS in detecting concomitant injuries in patients with tibial spine fractures. Clin. Orthop. Relat. Res. 2005, 434, 207–212. [Google Scholar] [CrossRef] [PubMed]
- Yamauchi, S.; Sasaki, S.; Kimura, Y.; Yamamoto, Y.; Tsuda, E.; Ishibashi, Y. Tibial eminence fracture with midsubstance anterior cruciate ligament tear in a 10-year-old boy: A case report. Int. J. Surg. Case Rep. 2020, 67, 13–17. [Google Scholar] [CrossRef] [PubMed]
- Rodriguez, I.; Sepúlveda, M.; Birrer, E.; Tuca, M.J. Fracture of the anterior tibial tuberosity in children. EFORT Open. Rev. 2020, 5, 260–267. [Google Scholar] [CrossRef] [PubMed]
- Burkhart, S.S.; Peterson, H.A. Fractures of the proximal tibial epiphysis. J. Bone Joint Surg. Am. 1979, 61, 996–1002. [Google Scholar] [CrossRef] [PubMed]
- Gautier, E.; Ziran, B.H.; Egger, B.; Slongo, T.; Jakob, R.P. Growth disturbances after injuries of the proximal tibial epiphysis. Arch. Orthop. Trauma. Surg. 1998, 118, 37–41. [Google Scholar] [CrossRef] [PubMed]
- Frey, S.; Hosalkar, H.; Cameron, D.B.; Heath, A.; David Horn, B.; Ganley, T.J. Tibial tuberosity fractures in adolescents. J. Childs Orthop. 2008, 2, 469–474. [Google Scholar] [CrossRef] [PubMed]
- Pretell-Mazzini, J.; Kelly, D.M.; Sawyer, J.R.; Esteban, E.M.; Spence, D.D.; Warner, W.C., Jr.; Beaty, J.H. Outcomes and complications of tibial tubercle fractures in pediatric patients: A systematic review of the literature. J. Pediatr. Orthop. 2016, 36, 440–446. [Google Scholar] [CrossRef]






Disclaimer/Publisher’s Note: The statements, opinions and data contained in all publications are solely those of the individual author(s) and contributor(s) and not of MDPI and/or the editor(s). MDPI and/or the editor(s) disclaim responsibility for any injury to people or property resulting from any ideas, methods, instructions or products referred to in the content. |
© 2023 by the authors. Licensee MDPI, Basel, Switzerland. This article is an open access article distributed under the terms and conditions of the Creative Commons Attribution (CC BY) license (https://creativecommons.org/licenses/by/4.0/).
Share and Cite
Okamura, H.; Ishikawa, H.; Ohno, T.; Fujita, S.; Nagasaki, K.; Inagaki, K.; Kudo, Y. Type V Tibial Tubercle Avulsion Fracture with Suspected Complication of Anterior Cruciate Ligament Injury: A Case Report. Medicina 2023, 59, 1061. https://doi.org/10.3390/medicina59061061
Okamura H, Ishikawa H, Ohno T, Fujita S, Nagasaki K, Inagaki K, Kudo Y. Type V Tibial Tubercle Avulsion Fracture with Suspected Complication of Anterior Cruciate Ligament Injury: A Case Report. Medicina. 2023; 59(6):1061. https://doi.org/10.3390/medicina59061061
Chicago/Turabian StyleOkamura, Hiroki, Hiroki Ishikawa, Takuya Ohno, Shogo Fujita, Kei Nagasaki, Katsunori Inagaki, and Yoshifumi Kudo. 2023. "Type V Tibial Tubercle Avulsion Fracture with Suspected Complication of Anterior Cruciate Ligament Injury: A Case Report" Medicina 59, no. 6: 1061. https://doi.org/10.3390/medicina59061061
APA StyleOkamura, H., Ishikawa, H., Ohno, T., Fujita, S., Nagasaki, K., Inagaki, K., & Kudo, Y. (2023). Type V Tibial Tubercle Avulsion Fracture with Suspected Complication of Anterior Cruciate Ligament Injury: A Case Report. Medicina, 59(6), 1061. https://doi.org/10.3390/medicina59061061

