Age-Related Macular or Retinal Degeneration?
Abstract
1. Introduction
2. Retinal Function Assessment
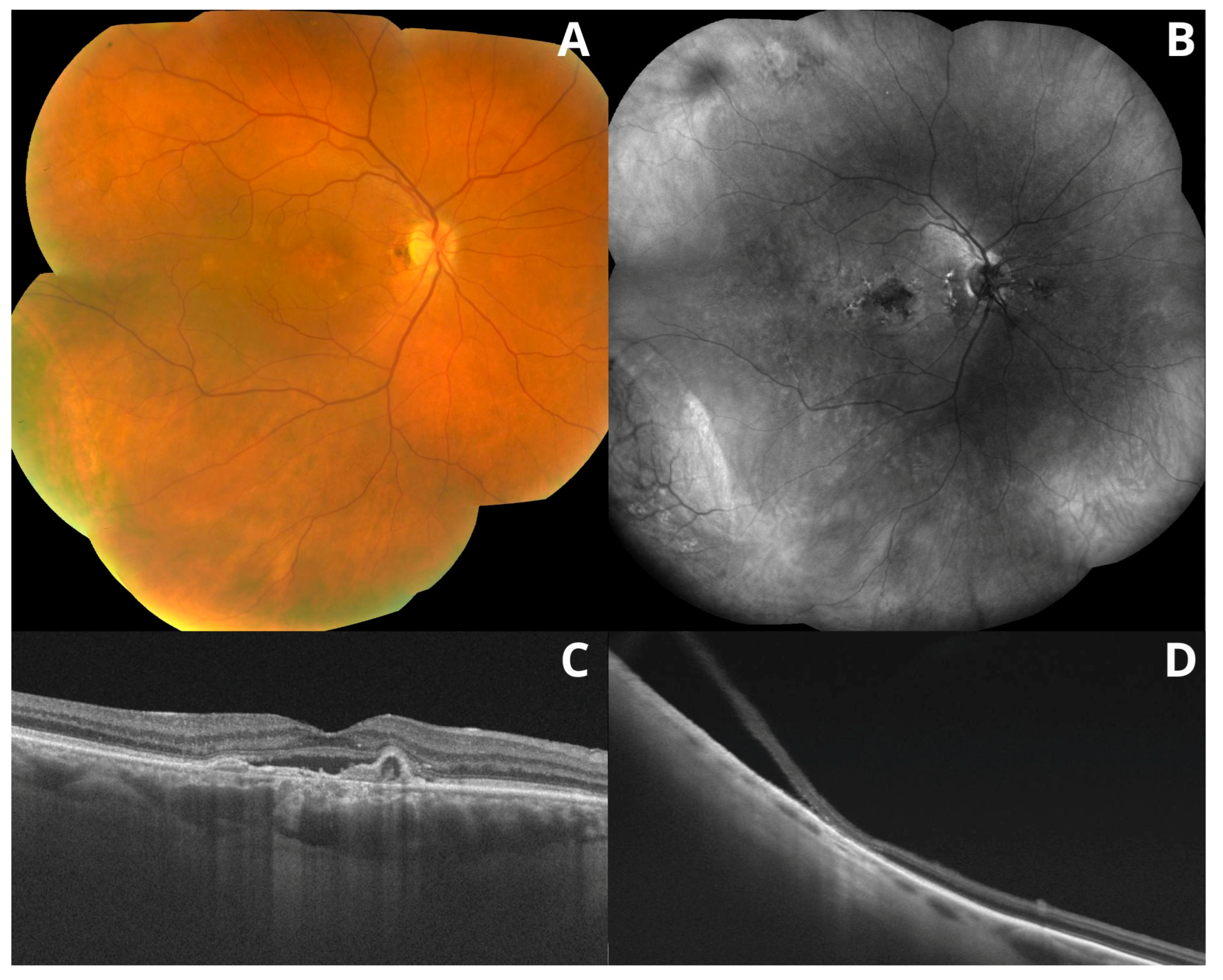
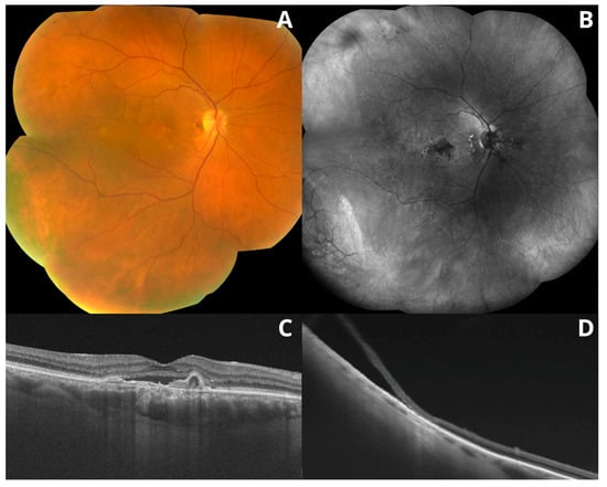
3. Peripheral Retina in Multimodal Imaging
4. Function of the Peripheral Retina in AMD
5. Conclusions
Author Contributions
Funding
Institutional Review Board Statement
Informed Consent Statement
Data Availability Statement
Conflicts of Interest
References
- Wong, W.L.; Su, X.; Li, X.; Cheung, C.M.; Klein, R.; Cheng, C.Y.; Wong, T.Y. Global prevalence of age-related macular degeneration and disease burden projection for 2020 and 2040: A systematic review and meta-analysis. Lancet Glob. Health 2014, 2, e106–e116. [Google Scholar] [CrossRef]
- Forshaw, T.R.J.; Kjaer, T.W.; Andréasson, S.; Sørensen, T.L. Full-field electroretinography in age-related macular degeneration: An overall retinal response. Acta Ophthalmol. 2021, 99, e253–e259. [Google Scholar] [CrossRef]
- Dimopoulos, I.S.; Tennant, M.; Johnson, A.; Fisher, S.; Freund, P.R.; Sauvé, Y. Subjects with unilateral neovascular AMD have bilateral delays in rod-mediated phototransduction activation kinetics and in dark adaptation recovery. Investig. Ophthalmol. Vis. Sci. 2013, 54, 5186–5195. [Google Scholar] [CrossRef]
- Forshaw, T.R.J.; Subhi, Y.; Andréasson, S.; Sørensen, T.L. Full-Field Electroretinography Changes Associated with Age-Related Macular Degeneration: A Systematic Review with Meta-Analyses. Ophthalmologica 2022, 245, 195–203. [Google Scholar] [CrossRef]
- Berrow, E.J.; Bartlett, H.E.; Eperjesi, F.; Gibson, J.M. The electroretinogram: A useful tool for evaluating age-related macular disease? Doc. Ophthalmol. 2010, 121, 51–62. [Google Scholar] [CrossRef]
- Reiter, G.S.; Told, R.; Schranz, M.; Baumann, L.; Mylonas, G.; Sacu, S.; Pollreisz, A.; Schmidt-Erfurth, U. Subretinal drusenoid deposits and photoreceptor loss detecting global and local progression of geographic atrophy by SD-OCT imaging. Investig. Ophthalmol. Vis. Sci. 2020, 61, 11. [Google Scholar] [CrossRef]
- Domalpally, A.; Clemons, T.E.; Danis, R.P.; Sadda, S.R.; Cukras, C.A.; Toth, C.A.; Friberg, T.R.; Chew, E.Y. Peripheral Retinal Changes Associated with Age-Related Macular Degeneration in the Age-Related Eye Disease Study 2: Age-Related Eye Disease Study 2 Report Number 12 by the Age-Related Eye Disease Study 2 Optos PEripheral RetinA (OPERA) Study Research Group. Ophthalmology 2017, 124, 479–487. [Google Scholar] [CrossRef]
- Kernt, M.; Kampik, A. Imaging of the peripheral retina. Oman J. Ophthalmol. 2013, 6 (Suppl. 1), 32–35. [Google Scholar] [CrossRef]
- Borooah, S.; Papastravrou, V.; Lando, L.; Han, J.; Lin, J.H.; Ayyagari, R.; Dhillon, B.; Browning, A.C. Reticular pseudodrusen in late-onset retinal degeneration. Ophthalmol. Retin. 2021, 5, 1043–1051. [Google Scholar] [CrossRef]
- Corbelli, E.; Borrelli, E.; Parravano, M.; Sacconi, R.; Gilardi, M.; Costanzo, E.; Cavalleri, M.; Querques, R.; Bandello, F.; Querques, G. Multimodal imaging characterization of peripheral druzen. Graefe’s Arch. Clin. Exp. Ophthalmol. 2020, 258, 543–549. [Google Scholar] [CrossRef]
- Sabeti, F.; Lane, J.; Rohan, E.M.F.; Rai, B.B.; Essex, R.W.; McKone, E.; Maddess, T. Correlation of central versus peripheral macular structure-function with acuity in aged-related macular degeneration. Transl. Vis. Sci. Technol. 2021, 10, 10. [Google Scholar] [CrossRef]
- Jackson, G.R.; McGwin, G.; Phillips, J.M.; Klein, R.; Owsley, C. Impact of aging and age-related maculopathy on activation of the a-wave of the rod-mediated electroretinogram. Investig. Ophthalmol. Vis. Sci. 2004, 45, 3271–3278. [Google Scholar] [CrossRef]
- Quinn, N.; Csincsik, L.; Flynn, E.; Curcio, C.A.; Kiss, S.; Sadda, S.R.; Hogg, R.; Peto, T.; Lengyel, I. The clinical relevance of visualising the peripheral retina. Prog. Retin. Eye Res. 2019, 68, 83–109. [Google Scholar] [CrossRef]
- Sørensen, M.S.; Andersen, S.; Henningsen, G.O.; Larsen, C.T.; Sørensen, T.L. Danish version of Visual Function Questionnaire-25 and its use in age-related macular degeneration. Dan. Med. Bull. 2011, 58, A4290. [Google Scholar]
- Owsley, C.; Clark, M.E.; McGwin, G., Jr. Natural history of rod-mediated dark adaptation over 2 years in intermediate age-related macular degeneration. Transl. Vis. Sci. Technol. 2017, 6, 15. [Google Scholar] [CrossRef]
- Ronan, S.; Nusinowitz, S.; Swaroop, A.; Heckenlively, J.R. Senile panretinal cone dysfunction in age-related macular degeneration (AMD): A report of 52 amd patients compared to age-matched controls. Trans. Am. Ophthalmol. Soc. 2006, 104, 232–240. [Google Scholar]
- Walter, P.; Widder, R.A.; Lüke, C.; Königsfeld, P.; Brunner, R. Electrophysiological abnormalities in age-related macular degeneration. Graefe’s Arch. Clin. Exp. Ophthalmol. 1999, 237, 962–968. [Google Scholar] [CrossRef]
- Mackay, A.M.; Brown, M.C.; Hagan, R.P.; Fisher, A.C.; Grierson, I.; Harding, S.P. Deficits in the electroretinogram in neovascular age-related macular degeneration and changes during photodynamic therapy. Doc. Ophthalmol. 2007, 115, 69–76. [Google Scholar] [CrossRef]
- Skaat, A.; Solomon, A.; Moroz, I.; Hai, O.V.; Rechtman, E.; Vishnevska Dai, V.; Rotenstreich, Y. Increased electroretinogram a-wave amplitude after intravitreal bevacizumab injection for neovascular age-related macular degeneration. Acta Ophthalmol. 2011, 89, e269–e273. [Google Scholar] [CrossRef]
- Nishimura, T.; Machida, S.; Harada, T.; Kurosaka, D. Retinal ganglion cell function after repeated intravitreal injections of ranibizumab in patients with age-related macular degeneration. Clin. Ophthalmol. 2012, 6, 1073–1082. [Google Scholar] [CrossRef]
- Robson, A.G.; Frishman, L.J.; Grigg, J.; Hamilton, R.; Jeffrey, B.G.; Kondo, M.; Li, S.; McCulloch, D.L. ISCEV Standard for full-field clinical electroretinography (2022 update). Doc. Ophthalmol. 2022, 144, 165–177. [Google Scholar] [CrossRef]
- Gerth, C. The role of the ERG in the diagnosis and treatment of age-related macular degeneration. Doc. Ophthalmol. 2009, 118, 63–68. [Google Scholar] [CrossRef] [PubMed]
- Kubicka-Trzaska, A.; Zuber-Laskawiec, K.; Plutecka, H.; Romanowska-Dixon, B.; Sanak, M.; Karska-Basta, I. Altered serum levels of autophagy proteins beclin-1 and mtor in patients with exudative age-related macular degeneration. J. Physiol. Pharmacol. 2021, 72, 89–95. [Google Scholar] [CrossRef]
- Brown, E.E.; DeWeerd, A.J.; Ildefonso, C.J.; Lewin, A.S.; Ash, J.D. Mitochondrial oxidative stress in the retinal pigment epithelium (RPE) led to metabolic dysfunction in both the RPE and retinal photoreceptors. Redox Biol. 2019, 24, 101201. [Google Scholar] [CrossRef] [PubMed]










| Step | DA 0.01 | DA 3.0 | DA 3 OPs | LA 3 | LA 30 Hz | PhNR | |||||||||||
|---|---|---|---|---|---|---|---|---|---|---|---|---|---|---|---|---|---|
| Wave | b | b | a | a | b | b | OP | OP | a | a | b | b | b | b | Minimum | ||
| Eye | T, ms | A, µV | T, ms | A, µV | T, ms | A, µV | T, ms | A, µV | T, ms | A, µV | T, ms | A, µV | T, ms | A, µV | T, ms | A, µV | |
| Figure 1 | AMD | 13.2 | −3.5 | 30.6 | 15.9 | 27.6 | 15.2 | ||||||||||
| FE | 12.6 | −3.1 | 31.6 | 11.9 | 26.7 | 11.4 | |||||||||||
| Figure 5a,c,e,i | AMD | 86.8 | 15.9 | 20.2 | −16.5 | 50.7 | 67.7 | 169.0 | 16.0 | 14.6 | −6.1 | 32.8 | 26.1 | 30.5 | 18.6 | 81.0 | −5.2 |
| FE | 90.2 | 34.2 | 15.6 | −30.7 | 50.4 | 107 | 155.2 | 29.4 | 12.8 | −6.7 | 31.3 | 35.1 | 28.9 | 27.4 | 75.0 | −6.7 | |
| Figure 5b,d,f,j | AMD | 108.9 | 31.7 | 21.6 | 16.7 | 71.9 | 82.5 | 135.1 | 27.9 | 11.4 | −4.0 | 33.3 | 24.6 | 29.7 | 22.5 | 75.0 | −5.3 |
| FE | 92.6 | 27.2 | 21.0 | −12.3 | 70.2 | 90.4 | 156.3 | 17.7 | 11.2 | −4.1 | 29.8 | 24.8 | 26.8 | 21.0 | 66.0 | −5.6 | |
| 2.5th percentile | 84 | 23 | 13 | −21 | 40 | 34 | 133 | 11 | 10 | −2 | 27 | 15 | 24 | 14 | 55 | −3 | |
| 97.5th percentile | 130 | 102 | 21 | −80 | 63 | 159 | 178 | 85 | 14 | −16 | 33 | 62 | 29 | 52 | 100 | −10 | |
Disclaimer/Publisher’s Note: The statements, opinions and data contained in all publications are solely those of the individual author(s) and contributor(s) and not of MDPI and/or the editor(s). MDPI and/or the editor(s) disclaim responsibility for any injury to people or property resulting from any ideas, methods, instructions or products referred to in the content. |
© 2023 by the authors. Licensee MDPI, Basel, Switzerland. This article is an open access article distributed under the terms and conditions of the Creative Commons Attribution (CC BY) license (https://creativecommons.org/licenses/by/4.0/).
Share and Cite
Gałuszka, M.; Pojda-Wilczek, D.; Karska-Basta, I. Age-Related Macular or Retinal Degeneration? Medicina 2023, 59, 920. https://doi.org/10.3390/medicina59050920
Gałuszka M, Pojda-Wilczek D, Karska-Basta I. Age-Related Macular or Retinal Degeneration? Medicina. 2023; 59(5):920. https://doi.org/10.3390/medicina59050920
Chicago/Turabian StyleGałuszka, Michalina, Dorota Pojda-Wilczek, and Izabella Karska-Basta. 2023. "Age-Related Macular or Retinal Degeneration?" Medicina 59, no. 5: 920. https://doi.org/10.3390/medicina59050920
APA StyleGałuszka, M., Pojda-Wilczek, D., & Karska-Basta, I. (2023). Age-Related Macular or Retinal Degeneration? Medicina, 59(5), 920. https://doi.org/10.3390/medicina59050920

