Necrotizing Skin and Soft Tissue Infection after Gluteal Augmentation in a Perioperatively Asymptomatic COVID-19 Patient—Complications of the Post-Lockdown Era? A Case Report
Abstract
1. Introduction
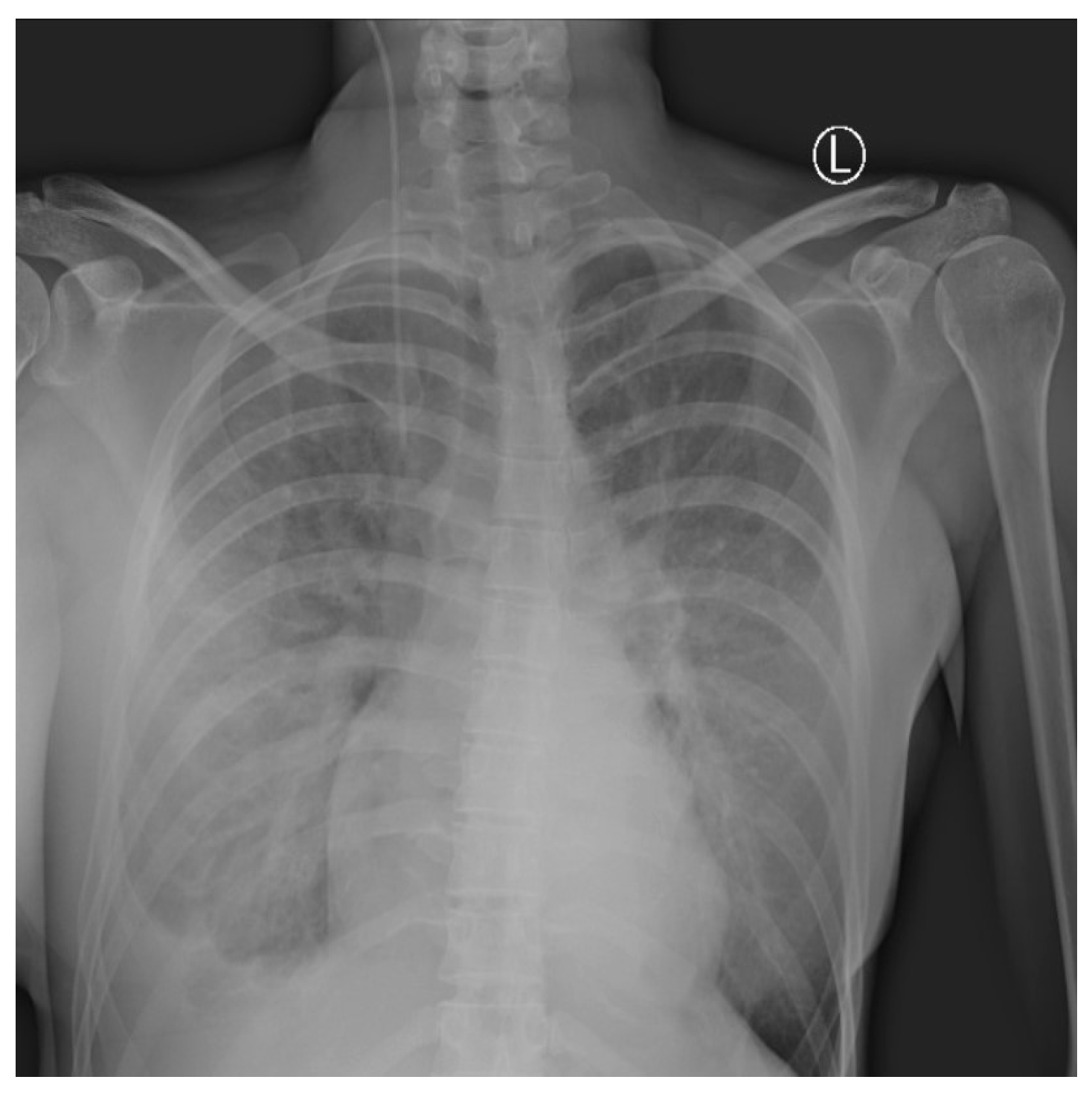
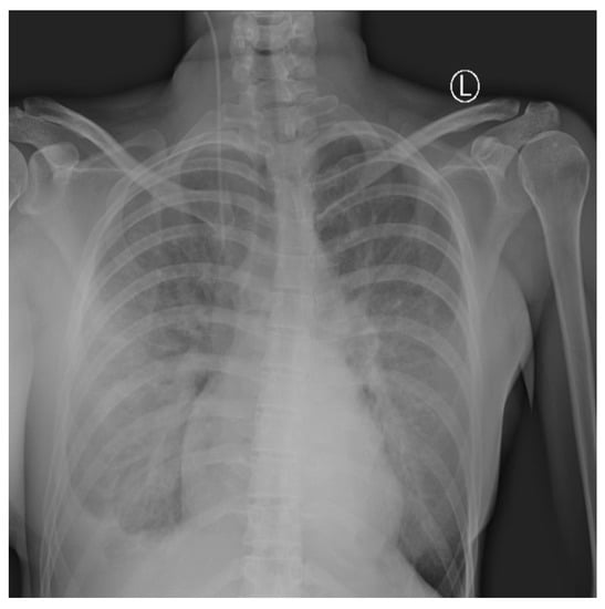
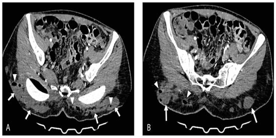
2. Case Report
3. Discussion
4. Conclusions
Author Contributions
Funding
Institutional Review Board Statement
Informed Consent Statement
Data Availability Statement
Conflicts of Interest
References
- De Castro, A.P.B.; Moreira, M.F.; Bermejo, P.H.d.S.; Rodrigues, W.; Prata, D.N. Mortality and Years of Potential Life Lost Due to COVID-19 in Brazil. Int. J. Environ. Res. Public Health 2021, 18, 7626. [Google Scholar] [CrossRef]
- Sharma, G.K.M.; Asaria, J. The Impact of COVID-19 on Patient Interest in Facial Plastic Surgery. Plast. Reconstr. Surg. Glob. Open 2021, 9, e3890. [Google Scholar] [CrossRef]
- Gravante, G.; Caruso, R.; Araco, A.; Cervelli, V. Infections After Plastic Procedures: Incidences, Etiologies, Risk Factors, and Antibiotic Prophylaxis. Aesthetic Plast. Surg. 2007, 32, 243–251. [Google Scholar] [CrossRef]
- Araco, A.; Gravante, G.; Araco, F.; Delogu, D.; Cervelli, V.; Walgenbach, K. Infections of Breast Implants in Aesthetic Breast Augmentations: A Single-Center Review of 3002 Patients. Aesthetic Plast. Surg. 2007, 31, 325–329. [Google Scholar] [CrossRef]
- Matarasso, A.M.; Swift, R.W.M.; Rankin, M. Abdominoplasty and Abdominal Contour Surgery: A National Plastic Surgery Survey. Plast. Reconstr. Surg. 2006, 117, 1797–1808. [Google Scholar] [CrossRef]
- Palubicka, A.; Jaworski, R.; Wekwejt, M.; Swieczko-Zurek, B.; Pikula, M.; Jaskiewicz, J.; Zielinski, J. Surgical Site Infection after Breast Surgery: A Retrospective Analysis of 5-Year Postoperative Data from a Single Center in Poland. Medicina 2019, 55, 512. [Google Scholar] [CrossRef]
- Bruner, T.W.; Roberts, T.L., III; Nguyen, K. Complications of buttocks augmentation: Diagnosis, management, and prevention. Clin. Plast. Surg. 2006, 33, 449–466. [Google Scholar] [CrossRef] [PubMed]
- Shah, B. Complications in Gluteal Augmentation. Clin. Plast. Surg. 2018, 45, 179–186. [Google Scholar] [CrossRef]
- Ferrara, N.; Campobasso, C.P.; Cocozza, S.; Conti, V.; Davinelli, S.; Costantino, M.; Cannavo, A.; Rengo, G.; Filippelli, A.; Corbi, G. Relationship between COVID-19 Mortality, Hospital Beds, and Primary Care by Italian Regions: A Lesson for the Future. J. Clin. Med. 2022, 11, 4196. [Google Scholar] [CrossRef]
- Carvalho, V.P.; Pontes, J.P.J.; Neto, D.R.D.B.; Borges, C.E.R.; Campos, G.R.L.; Ribeiro, H.L.S.; Amaral, W.N.D. Mortality and Associated Factors in Patients with COVID-19: Cross-Sectional Study. Vaccines 2022, 11, 71. [Google Scholar] [CrossRef] [PubMed]
- Bajoriunaite, A.; Zaveckiene, J.; Usaite, A.; Dobiliene, O.; Tamosuitis, T. Multisystem Inflammatory Syndrome in a Young Adult (MIC-A) Following SARS-CoV-2 Infection. Medicina 2022, 58, 1515. [Google Scholar] [CrossRef] [PubMed]
- Kaul, R.; McGeer, A.; Low, D.E.; Green, K.; Schwartz, B.; Simor, A.E. Population-Based Surveillance for Group a Streptococcal Necrotizing Fasciitis: Clinical Features, Prognostic Indicators, and Microbiologic Analysis of Seventy-Seven Cases. Am. J. Med. 1997, 103, 18–24. [Google Scholar] [CrossRef] [PubMed]
- Tantraworasin, A.; Khamnuan, P.; Chongruksut, W.; Jearwattanakanok, K.; Patumanond, J. Necrotizing fasciitis: Epidemiology and clinical predictors for amputation. Int. J. Gen. Med. 2015, 8, 195–202. [Google Scholar] [CrossRef]
- Senderoff, D.M. Buttock Augmentation with Solid Silicone Implants. Aesthetic Surg. J. 2011, 31, 320–327. [Google Scholar] [CrossRef]
- Kaoutzanis, C.; Shack, B.; Grotting, J.C.; Higdon, K.; Gupta, V.; Winocour, J. Incidence and Risk Factors for Major Surgical Site Infections in Aesthetic Surgery: Analysis of 129,007 Patients. Aesthetic Surg. J. 2016, 37, 89–99. [Google Scholar] [CrossRef]
- Matthews, M.R.; Helmick, E.A.; Caruso, D.M.; Foster, K.N. Necrotizing Soft Tissue Infection as a Result of a “Brazilian Butt Lift” Procedure. Trauma Acute Care 2017, 2, 46. [Google Scholar] [CrossRef]
- Alperovich, M.; Schreiber, J.E.; Singh, N.K. Infection after augmentation gluteoplasty in a pregnant patient. Aesthetic Surg. J. 2007, 27, 622–625. [Google Scholar] [CrossRef]
- Rüegg, E.; Cheretakis, A.; Modarressi, A.; Harbarth, S.; Pittet-Cuinod, B. Multisite Infection with Mycobacterium abscessus after Replacement of Breast Implants and Gluteal Lipofilling. Case Rep. Infect. Dis. 2015, 2015, 361340. [Google Scholar]
- Brambullo, T.; Biffoli, B.; Scortecci, L.; Messana, F.; Vindigni, V.; Bassetto, F. Antibiotic Prophylaxis in Plastic Surgery: From Systematic Review to Operative Algorithm. World J. Plast. Surg. 2022, 11, 24–36. [Google Scholar] [CrossRef]
- Montrief, T.; Bornstein, K.; Ramzy, M.; Koyfman, A.; Long, B.J. Plastic Surgery Complications: A Review for Emergency Clinicians. West. J. Emerg. Med. 2020, 21, 179–189. [Google Scholar] [CrossRef]
- Petkovšek, Z.; Eleršič, K.; Gubina, M.; Zgur-Bertok, D.; Starčič Erjavec, M. Virulence Potential of Escherichia coli Isolates from Skin and Soft Tissue Infections. J. Clin. Microbiol. 2009, 47, 1811–1817. [Google Scholar] [CrossRef]
- Stevens, D.L.; Bisno, A.L.; Chambers, H.F.; Dellinger, E.P.; Goldstein, E.J.C.; Gorbach, S.L.; Hirschmann, J.V.; Kaplan, S.L.; Montoya, J.G.; Wade, J.C. Practice Guidelines for the Diagnosis and Management of Skin and Soft Tissue Infections: 2014 Update by the Infectious Diseases Society of America. Clin. Infect. Dis. 2014, 59, e10–e52. [Google Scholar] [CrossRef]
- Shaked, H.; Samra, Z.; Paul, M.; Madar-Shapiro, L.; Cohen, J.; Pitlik, S.; Bishara, J. Unusual “Flesh-Eating” Strains of Escherichia coli. J. Clin. Microbiol. 2012, 50, 4008–4011. [Google Scholar] [CrossRef] [PubMed]
- Sunder, S.; Haguenoer, E.; Bouvet, D.; Lissandre, S.; Bree, A.; Perrotin, D.; Helloin, E.; Lanotte, P.; Schouler, C.; Guillon, A. Life-threatening Escherichia coli cellulitis in patients with haematological malignancies. J. Med. Microbiol. 2012, 61, 1324–1327. [Google Scholar] [CrossRef] [PubMed]
- Besnier, E.; Tuech, J.-J.; Schwarz, L. We Asked the Experts: Covid-19 Outbreak: Is There Still a Place for Scheduled Surgery? “Reflection from Pathophysiological Data”. World J. Surg. 2020, 44, 1695–1698. [Google Scholar] [CrossRef] [PubMed]
- Kaufmann, K.B.; Heinrich, S.; Staehle, H.F.; Bogatyreva, L.; Buerkle, H.; Goebel, U. Perioperative cytokine profile during lung surgery predicts patients at risk for postoperative complications—A prospective, clinical study. PLoS ONE 2018, 13, e0199807. [Google Scholar] [CrossRef]
- Venkatraghavan, L.; Tan, T.P.; Mehta, J.; Arekapudi, A.; Govindarajulu, A.; Siu, E. Neutrophil Lymphocyte Ratio as a predictor of systemic inflammation—A cross-sectional study in a pre-admission setting. F1000Research 2015, 4, 123. [Google Scholar] [CrossRef]
- Qin, C.; Zhou, L.; Hu, Z.; Zhang, S.; Yang, S.; Tao, Y.; Xie, C.; Ma, K.; Shang, K.; Wang, W.; et al. Dysregulation of Immune Response in Patients with Coronavirus 2019 (COVID-19) in Wuhan, China. Clin. Infect. Dis. 2020, 71, 762–768. [Google Scholar] [CrossRef]
- Doglietto, F.; Vezzoli, M.; Gheza, F.; Lussardi, G.L.; Domenicucci, M.; Vecchiarelli, L.; Zanin, L.; Saraceno, G.; Signorini, L.; Panciani, P.P.; et al. Factors Associated with Surgical Mortality and Complications among Patients with and without Coronavirus Disease 2019 (COVID-19) in Italy. JAMA Surg. 2020, 155, 691. [Google Scholar] [CrossRef]
- Lei, S.; Jiang, F.; Su, W.; Chen, C.; Chen, J.; Mei, W.; Zhan, L.-Y.; Jia, Y.; Zhang, L.; Liu, D.; et al. Clinical characteristics and outcomes of patients undergoing surgeries during the incubation period of COVID-19 infection. Eclinicalmedicine 2020, 21, 100331. [Google Scholar] [CrossRef]
- Prasad, N.K.; Lake, R.; Englum, B.R.; Turner, D.J.; Siddiqui, T.; Mayorga-Carlin, M.; Sorkin, J.D.; Lal, B.K. Increased complications in patients who test COVID-19 positive after elective surgery and implications for pre and postoperative screening. Am. J. Surg. 2021, 223, 380–387. [Google Scholar] [CrossRef]
- Nepogodiev, D.; Bhangu, A.; Glasbey, J.C.; Li, E.; Omar, O.M.; Simoes, J.F.; Abbott, T.E.; Alser, O.; Arnaud, A.P.; Bankhead-Kendall, B.K.; et al. Mortality and pulmonary complications in patients undergoing surgery with perioperative SARS-CoV-2 infection: An international cohort study. Lancet 2020, 396, 27–38. [Google Scholar] [CrossRef] [PubMed]
- Song, M.; Graubard, B.I.; Rabkin, C.S.; Engels, E.A. Neutrophil-to-lymphocyte ratio and mortality in the United States general population. Sci. Rep. 2021, 11, 464. [Google Scholar] [CrossRef]
- Prozan, L.; Shusterman, E.; Ablin, J.; Mitelpunkt, A.; Weiss-Meilik, A.; Adler, A.; Choshen, G.; Kehat, O. Prognostic value of neutrophil-to-lymphocyte ratio in COVID-19 compared with Influenza and respiratory syncytial virus infection. Sci. Rep. 2021, 11, 21519. [Google Scholar] [CrossRef] [PubMed]
- Sung, H.M.; Lee, S.-H.; Oh, A.R.; Kim, S.; Kim, J.; Gook, J.; Ni Jang, J.; Park, J. Association between preoperative neutrophil–lymphocyte ratio and mortality after plastic and reconstructive surgery. Sci. Rep. 2021, 11, 21541. [Google Scholar] [CrossRef] [PubMed]
- Kaye, K.; Paprottka, F.; Escudero, R.; Casabona, G.; Montes, J.; Fakin, R.; Moke, L.; Stasch, T.; Richter, D.; Benito-Ruiz, J. Elective, Non-urgent Procedures and Aesthetic Surgery in the Wake of SARS–COVID-19: Considerations Regarding Safety, Feasibility and Impact on Clinical Management. Aesthetic Plast. Surg. 2020, 44, 1014–1042. [Google Scholar] [CrossRef]
- Sarac, B.A.B.; Schoenbrunner, A.R.M.; Wilson, S.C.; Chiu, E.S.; Janis, J.E. The Impact of COVID-19-based Suspension of Surgeries on Plastic Surgery Practices. Plast. Reconstr. Surg. Glob. Open 2020, 8, e3119. [Google Scholar] [CrossRef]
- Joji, N.; Nugent, N.; Vadodaria, S.; Sankar, T.K. Impact of COVID-19 on Aesthetic Plastic Surgery Practice in the United Kingdom. J. Plast. Reconstr. Aesthetic Surg. 2021, 74, 2311–2318. [Google Scholar] [CrossRef]
- Teitelbaum, S.; Diaz, J.; Singer, R. Can Outpatient Plastic Surgery Be Done Safely During a COVID-19 Surge? Results of a July 2020 Los Angeles Survey and Literature Review. Aesthetic Surg. J. 2020, 41, 98–108. [Google Scholar] [CrossRef]
- Joji, N.; Patel, N.; Nugent, N.; Patel, N.; Mair, M.; Vadodaria, S.; Waterhouse, N.; Ramakrishnan, V.; Sankar, T.K. Aesthetic Surgery Practice Resumption in the United Kingdom During the COVID-19 Pandemic. Aesthetic Surg. J. 2021, 42, 435–443. [Google Scholar] [CrossRef]





Disclaimer/Publisher’s Note: The statements, opinions and data contained in all publications are solely those of the individual author(s) and contributor(s) and not of MDPI and/or the editor(s). MDPI and/or the editor(s) disclaim responsibility for any injury to people or property resulting from any ideas, methods, instructions or products referred to in the content. |
© 2023 by the authors. Licensee MDPI, Basel, Switzerland. This article is an open access article distributed under the terms and conditions of the Creative Commons Attribution (CC BY) license (https://creativecommons.org/licenses/by/4.0/).
Share and Cite
Stojičić, M.; Jurišić, M.; Marinković, M.; Jovanović, M.; Igić, A.; Nikolić Živanović, M. Necrotizing Skin and Soft Tissue Infection after Gluteal Augmentation in a Perioperatively Asymptomatic COVID-19 Patient—Complications of the Post-Lockdown Era? A Case Report. Medicina 2023, 59, 914. https://doi.org/10.3390/medicina59050914
Stojičić M, Jurišić M, Marinković M, Jovanović M, Igić A, Nikolić Živanović M. Necrotizing Skin and Soft Tissue Infection after Gluteal Augmentation in a Perioperatively Asymptomatic COVID-19 Patient—Complications of the Post-Lockdown Era? A Case Report. Medicina. 2023; 59(5):914. https://doi.org/10.3390/medicina59050914
Chicago/Turabian StyleStojičić, Milan, Milana Jurišić, Milana Marinković, Milan Jovanović, Aleksa Igić, and Maja Nikolić Živanović. 2023. "Necrotizing Skin and Soft Tissue Infection after Gluteal Augmentation in a Perioperatively Asymptomatic COVID-19 Patient—Complications of the Post-Lockdown Era? A Case Report" Medicina 59, no. 5: 914. https://doi.org/10.3390/medicina59050914
APA StyleStojičić, M., Jurišić, M., Marinković, M., Jovanović, M., Igić, A., & Nikolić Živanović, M. (2023). Necrotizing Skin and Soft Tissue Infection after Gluteal Augmentation in a Perioperatively Asymptomatic COVID-19 Patient—Complications of the Post-Lockdown Era? A Case Report. Medicina, 59(5), 914. https://doi.org/10.3390/medicina59050914

