A Rare and Easily Overlooked Case of Bilateral Traumatic Testicular Dislocation and an Alternative Viewpoint on Delayed Management
Abstract
1. Introduction
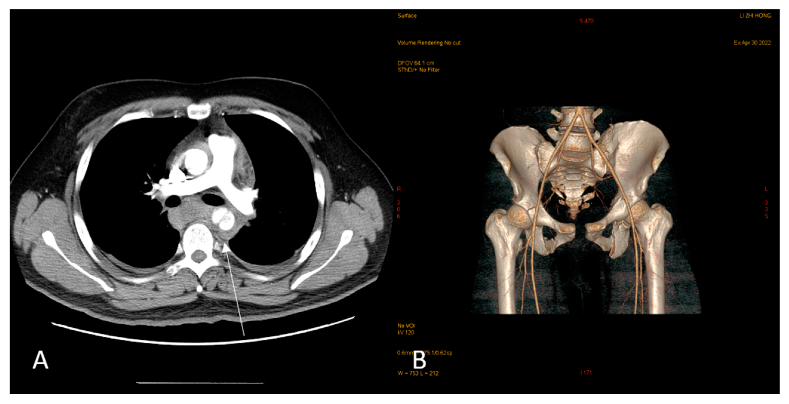
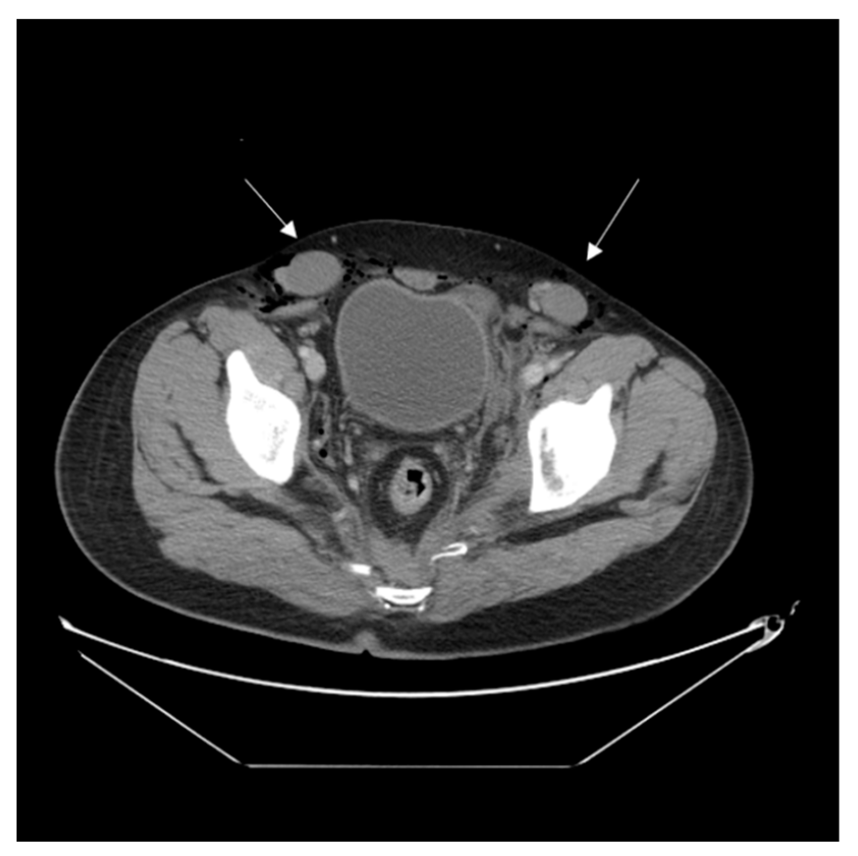
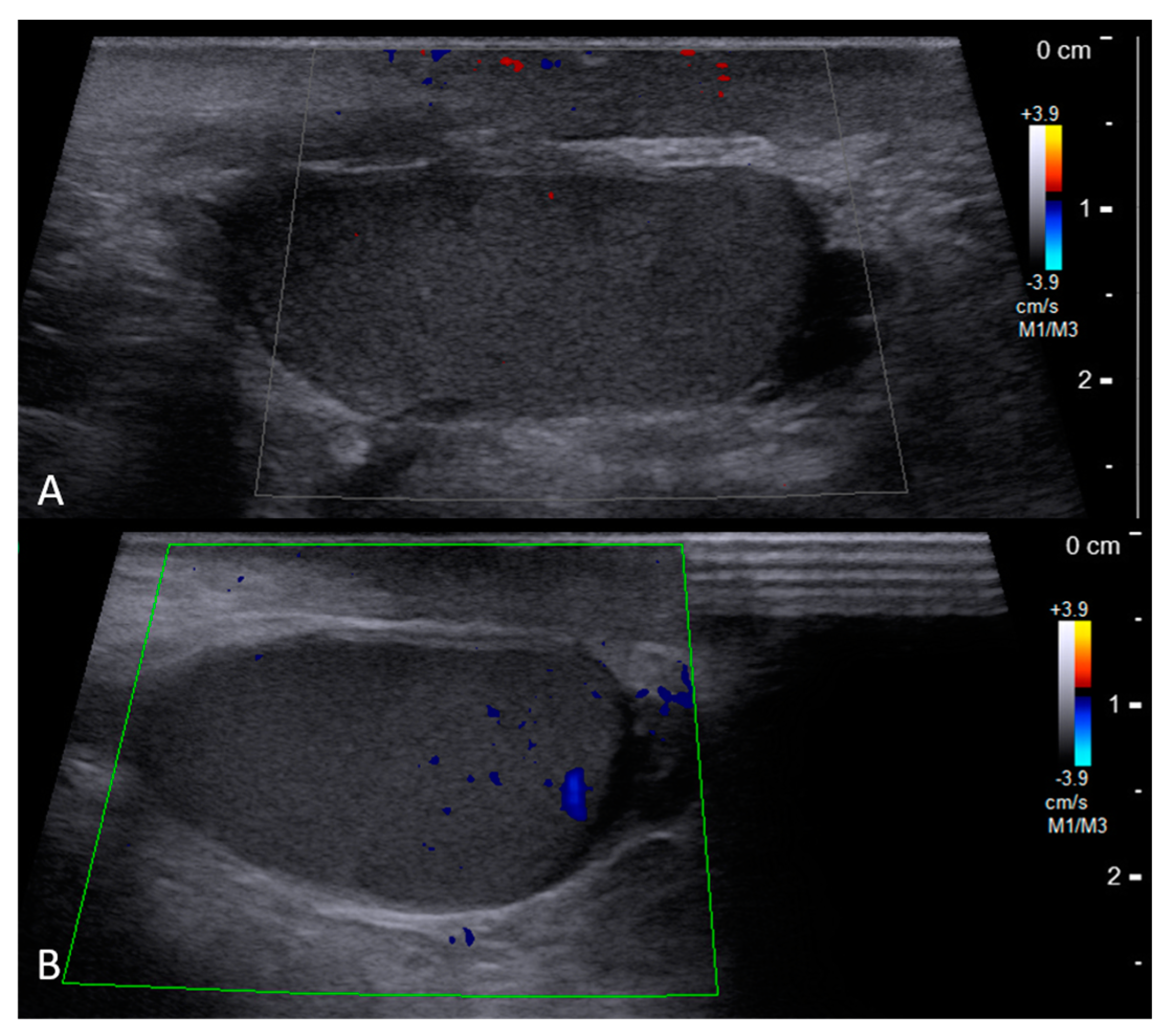
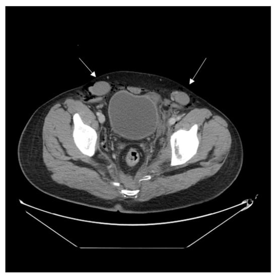
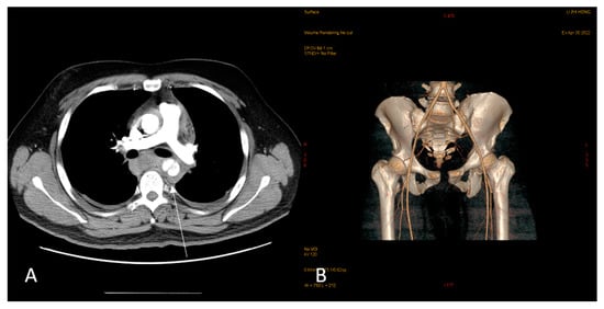
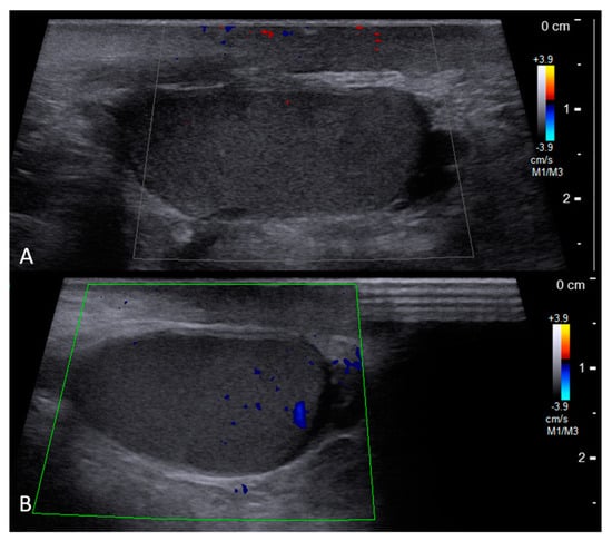
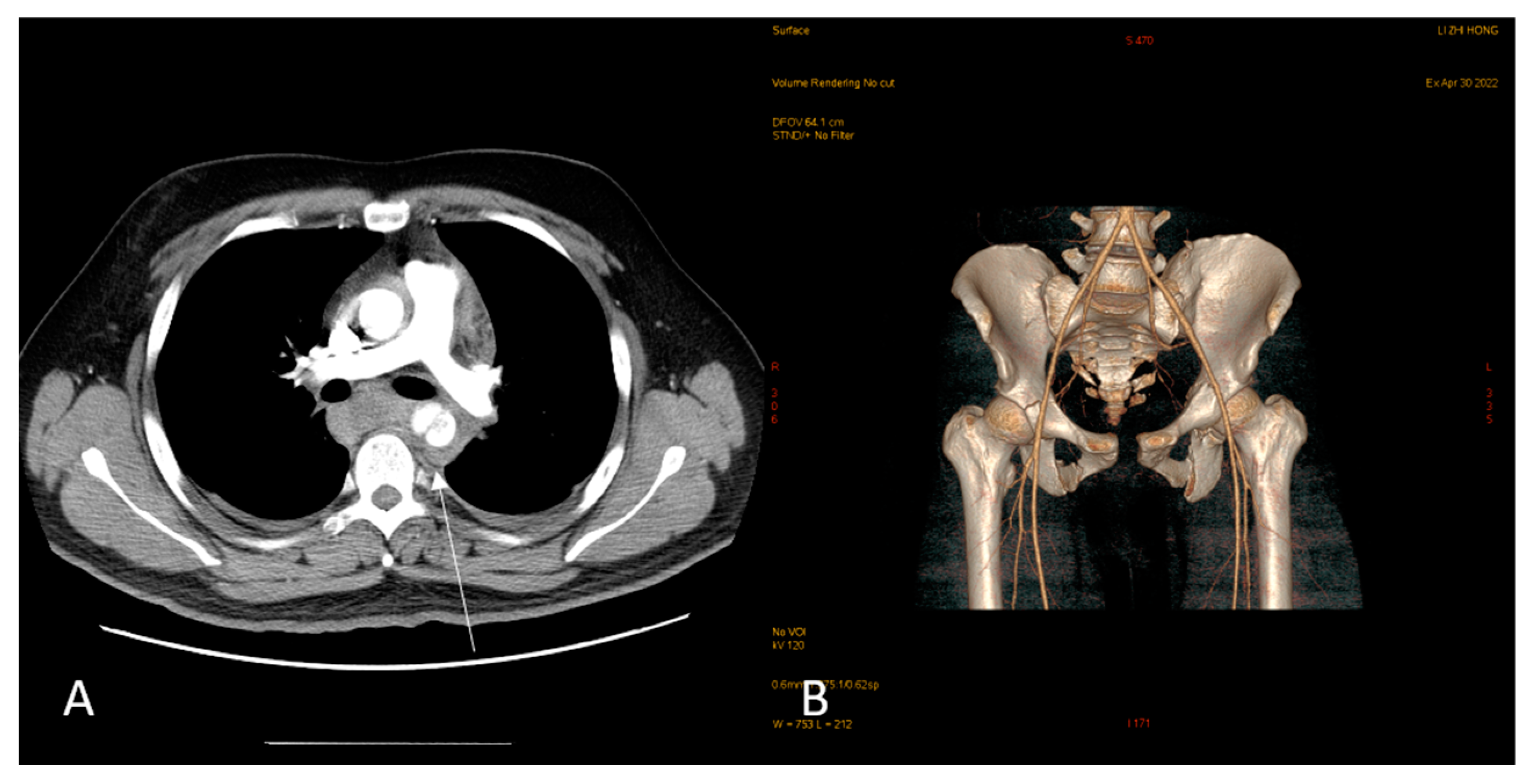
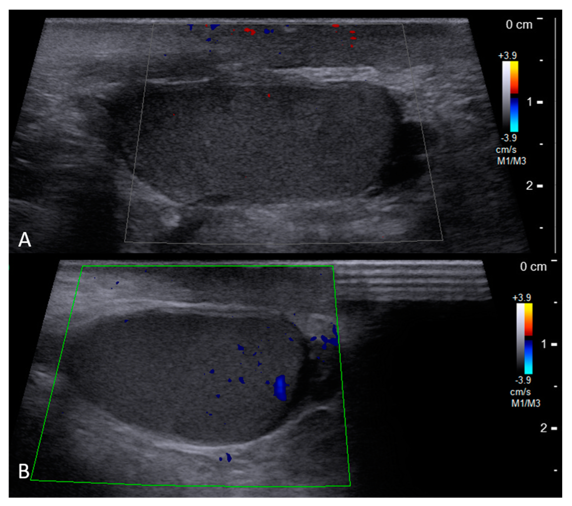
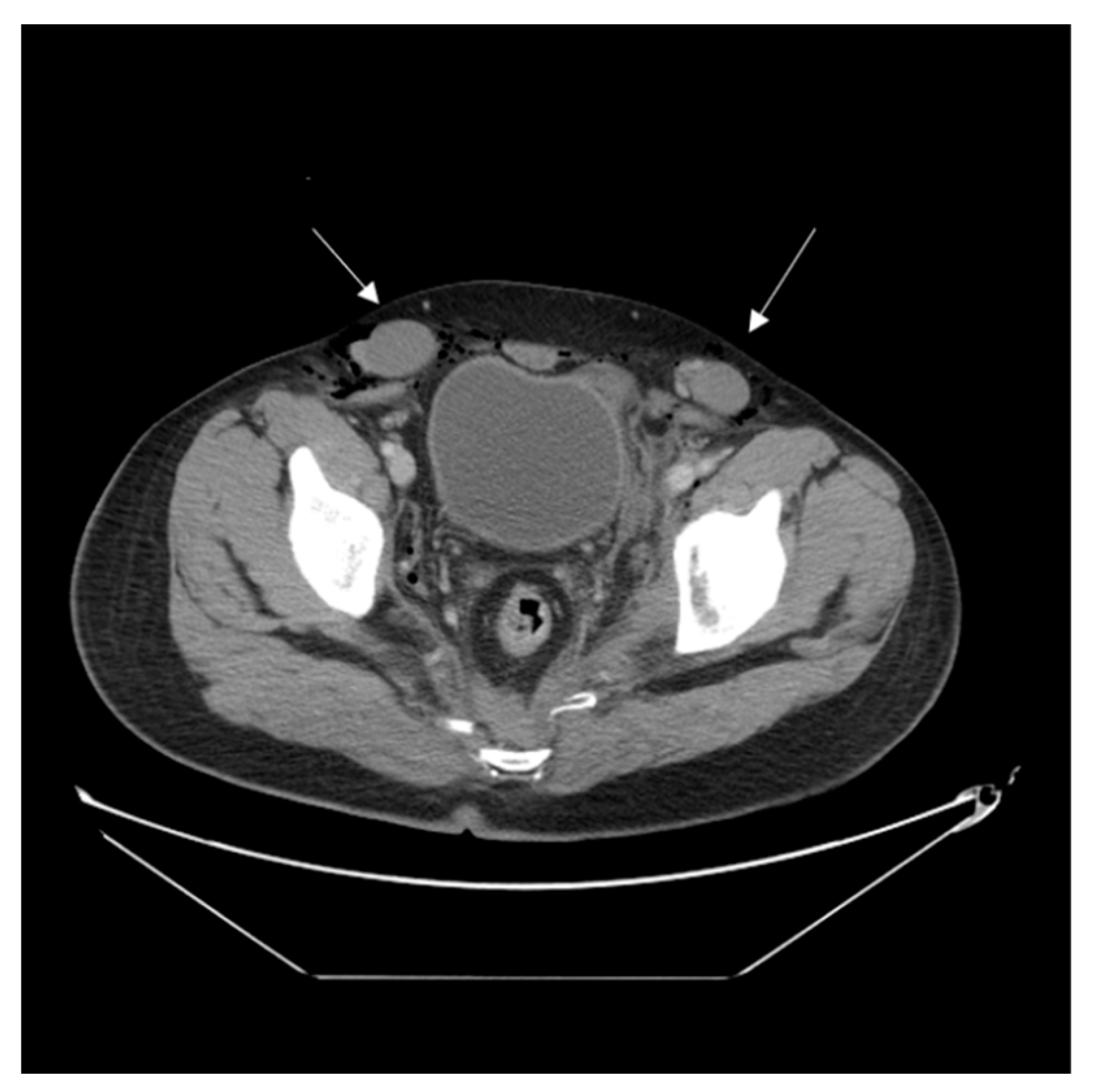
2. Case Report
3. Discussion
4. Conclusions
Supplementary Materials
Author Contributions
Funding
Institutional Review Board Statement
Informed Consent Statement
Data Availability Statement
Conflicts of Interest
References
- Carvalho, N.M.N.D.; Marques, A.C.X.; Souza, I.T.D.; Soares, V.G.; Nascimento, F.G.D.; Pinto, L.M.; Dias, L.V.R.; Teixeira, G.C. Bilateral traumatic testicular dislocation. Case Rep. Urol. 2018, 2018, 7162351. [Google Scholar] [CrossRef] [PubMed]
- Ko, S.F.; Ng, S.H.; Wan, Y.L.; Huang, C.C.; Lee, T.Y.; Kung, C.T.; Liu, P.P. Testicular dislocation: An uncommon and easily overlooked complication of blunt abdominal trauma. Ann. Emerg. Med. 2004, 43, 371–375. [Google Scholar] [CrossRef] [PubMed]
- Zavras, N.; Siatelis, A.; Misiakos, E.; Bagias, G.; Papachristos, V.; Machairas, A. Testicular Dislocation After Scrotal Trauma: A Case Report and Brief Literature Review. Urol. Case Rep. 2014, 2, 101–104. [Google Scholar] [CrossRef] [PubMed]
- Kumar, S.; Arora, J.K.; Kumar, A. A rare case of testicular dislocation with inguinal hernia as a delayed presentation after scrotal trauma. Int. Surg. J. 2020, 7, 938–940. [Google Scholar] [CrossRef]
- Montes, M.R.; Ramos, J.P.; Sánchez, J.A.G. Testicular dislocation: An atypical case and review of the literature. Urol. Case Rep. 2020, 33, 101405. [Google Scholar] [CrossRef] [PubMed]
- Bromberg, W.; Wong, C.; Kurek, S.; Salim, A. Traumatic bilateral testicular dislocation. J. Trauma 2003, 54, 1009–1011. [Google Scholar] [CrossRef] [PubMed]
- Subramaniam, S.; Ab Khalil, M.K.; Zakaria, J.; Hayati, F. Managing traumatic testicular dislocations: What we know after two centuries. BMJ Case Rep. 2020, 13, e236801. [Google Scholar] [CrossRef] [PubMed]
- Bryk, D.J.; Zhao, L.C. Guideline of guidelines: A review of urological trauma guidelines. BJU Int. 2016, 117, 226–234. [Google Scholar] [CrossRef] [PubMed]
- Sakamoto, H.; Iwasaki, S.; Kushima, M.; Shichijo, T.; Ogawa, Y. Traumatic bilateral testicular dislocation: A recovery of spermatogenesis by orchiopexy 15 years after the onset. Fertil Steril 2008, 90, 2009.e9–e11. [Google Scholar] [CrossRef] [PubMed]
- Blok, D.; Flannigan, M.; Jones, J. Testicular rupture following blunt scrotal trauma. Case Rep. Emerg. Med. 2019, 2019, 7058728. [Google Scholar] [CrossRef] [PubMed]
- Sharp, V.J.; Kieran, K.; Arlen, A.M. Testicular torsion: Diagnosis, evaluation, and management. Am. Fam. Physician 2013, 88, 835–840. [Google Scholar] [PubMed]
- Aslam, M.Z.; Thwaini, A.; Sundaram, S.K. Testicular dislocation: A rare consequence of blunt scrotal injury. Can. Urol. Assoc. J. 2009, 3, E1–E3. [Google Scholar] [CrossRef] [PubMed]
- Yoshimura, K.; Okubo, K.; Ichioka, K.; Terada, N.; Matsuta, Y.; Arai, Y. Restoration of spermatogenesis by orchiopexy 13 years after bilateral traumatic testicular dislocation. J. Urol. 2002, 167 Pt 1, 649–650. [Google Scholar] [CrossRef] [PubMed]
- Hayami, S.; Ishigooka, M.; Suzuki, Y.; Sasagawa, I.; Nakada, T.; Mitobe, K. Pathological changes of traumatic dislocated testis. Urol. Int. 1996, 56, 129–132. [Google Scholar] [CrossRef] [PubMed]
- Randhawa, H.; Blankstein, U.; Davies, T. Scrotal trauma: A case report and review of the literature. Can. Urol. Assoc. J. 2019, 13 (Suppl. 4), S67. [Google Scholar] [CrossRef] [PubMed]




| No. | Author/Year | Cases | Laterality | Location | Management | Testicular Complications |
|---|---|---|---|---|---|---|
| 1 | Charnock, 1951 | 1 | Right | Groin | Delayed orchidopexy | No |
| 2 | Morgan, 1965 | 4 | Right: 3 Left: 1 | Groin | Early orchidopexy: 1 Delayed orchidopexy: 2 Manual reduction: 1 | No |
| 3 | Neistadt, 1967 | 1 | Bilateral | Pubic area | Manual reduction | No |
| 4 | Sethi, 1967 | 2 | Left: 1 Right: 1 | Prepuce: 1 Unknown: 1 | Delayed orchidopexy: 1 Observation: 1 | No |
| 5 | Boardman, 1975 | 1 | Bilateral | Groin | Early orchidopexy | No |
| 6 | Goulding, 1976 | 2 | Right | Groin | Delayed orchidopexy | No |
| 7 | Edson, 1979 | 1 | Bilateral | Right groin and left pubic area | Early orchidopexy and testicular repair | Left rupture |
| 8 | Kauder, 1980 | 1 | Bilateral | Groin | Manual reduction: left Delayed orchidopexy: right | No |
| 9 | Foster, 1981 | 1 | Right | Groin | Orchidopexy with unreported timing | No |
| 10 | Pollen, 1982 | 1 | Bilateral | Groin | Delayed orchidopexy and detorsion | Bilateral 180° rotation |
| 11 | Nakarajan, 1983 | 3 | Right: 1 Left: 1 Bilateral: 1 | Groin | Delayed orchidopexy | No |
| 12 | Koga, 1990 | 1 | Bilateral | Groin | Early orchidopexy | No |
| 13 | Singer, 1990 | 1 | Right | Groin | Manual reduction | No |
| 14 | J Ishikawa, 1990 | 1 | Right | Groin | Delayed orchidopexy | No |
| 15 | Feder, 1991 | 1 | Right | Intra-abdomen | Early orchidopexy | No |
| 16 | Lee, 1992 | 2 | Right | Groin: 1 Pubic area: 1 | Delayed orchidopexy | No |
| 17 | Wright, 1993 | 1 | Right | Groin | Delayed orchidopexy | No |
| 18 | Madden, 1994 | 1 | Right | Groin | Manual reduction | No |
| 19 | Schwartz, 1994 | 1 | Right | Groin | Orchidopexy with unreported timing | Hematoma |
| 20 | Toranji, 1994 | 1 | Right | Anterior abdominal wall | Orchidopexy with unreported timing | No |
| 21 | Hayami, 1996 | 1 | Right | Groin | Delayed orchidopexy and detorsion | 180° rotation |
| 22 | O’Donnell, 1998 | 3 | Bilateral:1 Left: 1 Right: 1 | Groin: 1 Contralateral scrotum: 1 Pubic area: 1 | Orchidopexy with unreported timing | No |
| 23 | Yagi, 1999 | 1 | Left | Thigh | Delayed orchidopexy and detorsion | 180° rotation |
| 24 | Shefi, 1999 | 1 | Left | Groin | Early orchidopexy | No |
| 25 | Yoshimura, 2002 | 1 | Bilateral | Groin | Delayed orchidopexy and detorsion | Bilateral 180° rotation and atrophy |
| 26 | Bromberg, 2003 | 1 | Bilateral | Groin | Manual reduction: right Delayed orchidopexy: left | No |
| 27 | Blake, 2003 | 1 | Right | Groin | Orchidopexy with unreported timing | No |
| 28 | Chang, 2003 | 1 | Right | Groin | Manual reduction | No |
| 29 | O’Brien, 2004 | 1 | Bilateral | Groin: left Retro-vesical area: right | Early orchidopexy and testicular repair | Left rupture |
| 30 | Ko, 2004 | 9 | Bilateral:2 Right: 4 Left: 3 | Groin: 3 Pubic area:5 Penis:1 | Delayed orchidopexy: 5 Orchiectomy: 1 Manual reduction: 3 | One torsion and infarction |
| 31 | Bedir, 2005 | 1 | Right | Perineum | Delayed orchidopexy | - |
| 32 | Sakamoto, 2008 | 1 | Bilateral | Groin | Delayed orchidopexy and detorsion | Bilateral 180° rotation and atrophy |
| 33 | Ezra, 2009 | 1 | Bilateral | Groin | Early orchidopexy | NO |
| 34 | Kilian, 2009 | 1 | Bilateral | Groin | Early orchidopexy | No |
| 35 | Aslam, 2009 | 1 | Left | Groin | Delayed orchidopexy | No |
| 36 | Vasudeva, 2010 | 1 | Right | Groin | Early orchidopexy | No |
| 37 | Perera, 2011 | 1 | Left | Groin | Early orchidopexy and detorsion | Partial torsion |
| 38 | Tsurukiri, 2011 | 1 | Bilateral | Perineum | Orchidopexy with unreported timing | No |
| 39 | Naseer, 2012 | 1 | Left | Groin | Early orchidopexy | No |
| 40 | Smith, 2012 | 1 | Bilateral | Groin | Early orchidopexy | No |
| 41 | Sinasi, 2012 | 1 | Left | Groin | Manual reduction | No |
| 42 | Boudissa, 2013 | 1 | Bilateral | Intrapelvic: left Groin: right | Early orchidopexy | No |
| 43 | Matzek, 2013 | 1 | Right | Groin | Early orchidopexy | No |
| 44 | Zavras, 2014 | 1 | Left | Groin | Early orchidopexy | No |
| 45 | Gómez, 2014 | 7 | Left: 4 Right: 1 Bilateral: 2 | Groin: 5 Suprapubic: 4 | Manual reduction:1 Early orchidopexy: 2 Delayed orchidopexy: 2 Mortality: 2 | No |
| 46 | Pesch, 2014 | 1 | Right | Groin | Early orchidopexy | Atrophy |
| 47 | Meena, 2014 | 1 | Left | Groin | Manual reduction | No |
| 48 | Wiznia, 2016 | 1 | Left | Groin | Early orchidopexy | No |
| 49 | Kim, 2016 | 1 | Right | Groin | Orchiectomy | Partial necrosis |
| 50 | Carvalho, 2018 | 1 | Bilateral | Groin | Delayed orchidopexy | No |
| 51 | Shirono, 2018 | 1 | Bilateral | Groin | Manual reduction failed, with spontaneous descending 3 days later | No |
| 52 | Middleton, 2019 | 2 | Bilateral:1 Right:1 | Groin | Manual reduction: 1 Delayed orchidopexy: 1 | No |
| 53 | Lenfant, 2019 | 1 | Right | Pubic area | Orchiectomy | Rupture |
| 54 | Montes, 2020 | 1 | Right | Groin | Early orchidopexy | No |
| 55 | Subramania, 2020 | 1 | Bilateral | Groin | Early orchidopexy | Left epididymal hematoma |
| 56 | Lovsin, 2020 | 1 | Bilateral | Externalized: left Hip joint: right | Right orchiectomy Left partial resection and early orchidopexy | Bilateral extensive injuries |
| 57 | Bernhard, 2021 | 1 | Left | Pubic area | Early orchidopexy | No |
| 58 | Mangual-Perez, 2021 | 1 | Left | Abdomen | Early orchidopexy | No |
| 59 | Naik, 2021 | 1 | Bilateral | Root of the scrotum: left Groin: right | Early orchidopexy | No |
| 60 | Chouhan, 2021 | 1 | Left | Intra-pelvic | Early orchidopexy | No |
| 61 | Wang, 2021 | 1 | Right | Groin | Delayed orchidopexy | No |
| 62 | Chiu, 2022 | 1 | Right | Groin | Orchiectomy | Rupture |
| 63 | Saeedi, 2022 | 2 | Right: 1 Left: 1 | Groin | Delayed orchidopexy: 1 Early orchidopexy and detorsion: 1 | Torsion |
Disclaimer/Publisher’s Note: The statements, opinions and data contained in all publications are solely those of the individual author(s) and contributor(s) and not of MDPI and/or the editor(s). MDPI and/or the editor(s) disclaim responsibility for any injury to people or property resulting from any ideas, methods, instructions or products referred to in the content. |
© 2023 by the authors. Licensee MDPI, Basel, Switzerland. This article is an open access article distributed under the terms and conditions of the Creative Commons Attribution (CC BY) license (https://creativecommons.org/licenses/by/4.0/).
Share and Cite
Hsu, M.-W.; Hsieh, P.-F.; Tsai, L.-H. A Rare and Easily Overlooked Case of Bilateral Traumatic Testicular Dislocation and an Alternative Viewpoint on Delayed Management. Medicina 2023, 59, 892. https://doi.org/10.3390/medicina59050892
Hsu M-W, Hsieh P-F, Tsai L-H. A Rare and Easily Overlooked Case of Bilateral Traumatic Testicular Dislocation and an Alternative Viewpoint on Delayed Management. Medicina. 2023; 59(5):892. https://doi.org/10.3390/medicina59050892
Chicago/Turabian StyleHsu, Ming-Wei, Po-Fan Hsieh, and Li-Hsien Tsai. 2023. "A Rare and Easily Overlooked Case of Bilateral Traumatic Testicular Dislocation and an Alternative Viewpoint on Delayed Management" Medicina 59, no. 5: 892. https://doi.org/10.3390/medicina59050892
APA StyleHsu, M.-W., Hsieh, P.-F., & Tsai, L.-H. (2023). A Rare and Easily Overlooked Case of Bilateral Traumatic Testicular Dislocation and an Alternative Viewpoint on Delayed Management. Medicina, 59(5), 892. https://doi.org/10.3390/medicina59050892

