Spontaneous Improvement of Aortitis Associated with Severe COVID-19 Infection—A Case Report
Abstract
1. Introduction
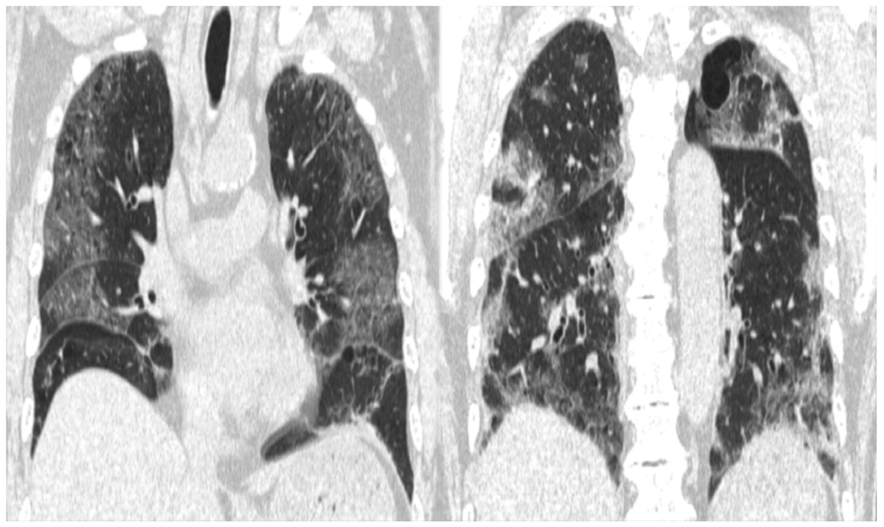
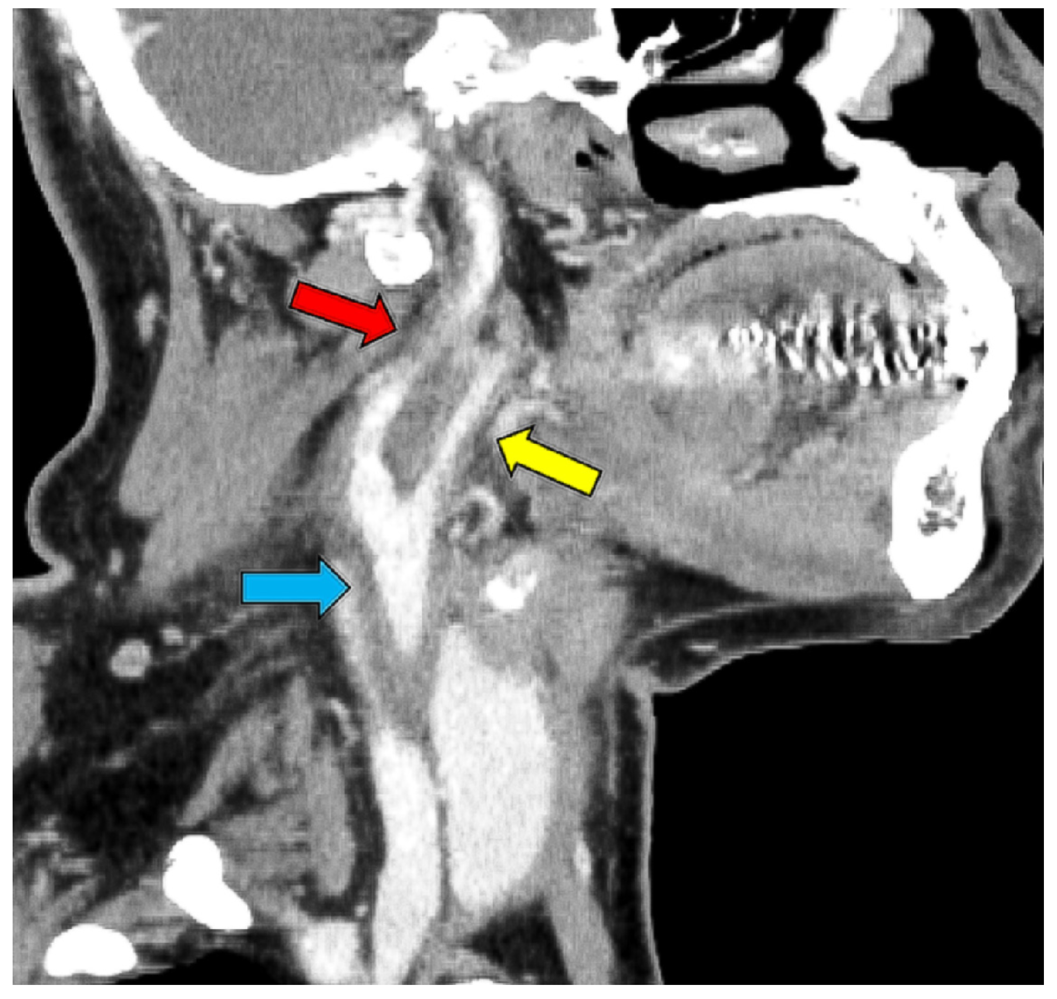
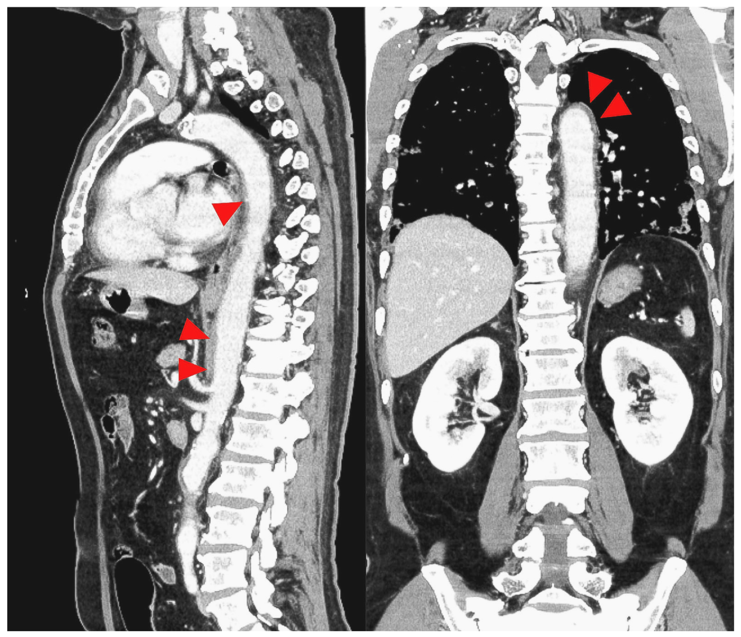
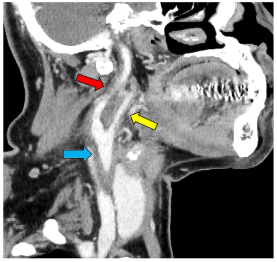
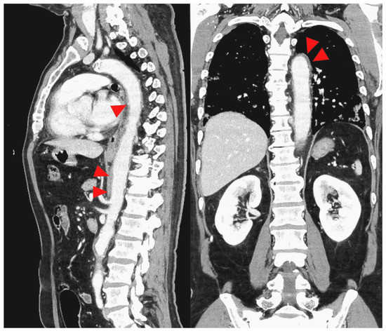
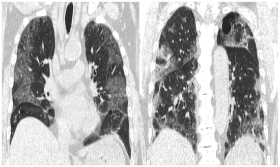
2. Case Presentation
3. Discussion
| Reference | Sex | Age | Past Medical History | Symptoms | Time from COVID-19 Onset to Dx of Aortitis | Arteritis Location | Mode of Dx | CRP (mg/L) | ESR (mm/h) | IL-6 (ng/L) | IgG4 (mg/dL) | Aortitis Rx | Time to Improvement | Duration of Rx | Outcome |
|---|---|---|---|---|---|---|---|---|---|---|---|---|---|---|---|
| Dhakal et al. [4] | M | 63 | PD/asthma/DM/HTN/obesity /non-ischemic cardiomyopathy | Diffuse abdominal pain, dry cough, fatigue, and generalized weakness | Concurrent with COVID19 onset | Infrarenal aorta | CT | 87 | 57 | 54 | 187 | Prednisolone 60 mg | 9 days | 1 month | Discharge |
| Mendes et al. [12] | F | 19 | None | General fatigue, malaise, and chest and low back pain | 1 month | Descending thoracic and abdominal aorta | CT/ FDGPET | 107 | 109 | - | 55 | Prednisolone 60 mg | 3 days | Reduce dose by 5 mg every two weeks → About 6 months | Discharge |
| Shergill et al. [13] | M | 71 | None | Extreme fatigue, poor appetite with 5 kg weight loss, and a sharp left-sided chest pain radiating to his scapula | 2 months | Subclavian arteries to the iliac bifurcation | CT | 185 | - | 28 | - | Prednisolone 40 mg | 2 weeks | More than 2 weeks (End period unknown) | Discharge |
| Zou and Vasta [14] | M | 71 | Cholecystectomy, rotator cuff repair | Feeling generally unwell, weight loss, and worsening thoracolumbar back pain | 2 months | Aortic arch extending all the way down the aorta | CT | 122 | - | 25 | - | Prednisolone 40 mg | 1 week | More than 2 weeks (End period unknown) | Discharge |
| Oda et al. [15] | M | 71 | None | Fever and productive cough | 2 weeks | Abdominal aorta to the bilateral common iliac arteries | CT | 177 | 61 | - | 112 | NSAIDs | 24 days | 1 month | Discharge |
| Kobe et al. [16] | M | 72 | DM | Dyspnea and pain in the left lower leg | Concurrent with COVID19 onset | Abdominal aorta to the left common iliac artery | CT | 315 | - | - | - | Unknown | - | - | Death |
| Shimada et al. (this case) | M | 65 | HTN | Fever and right cervical pain | 3 weeks | Aortic arch to right common carotid artery and right internal carotid artery | CT | 280 | 63 | 18.3 | 24 | None | 11 days | - | Discharge |
4. Conclusions
Author Contributions
Funding
Institutional Review Board Statement
Informed Consent Statement
Data Availability Statement
Acknowledgments
Conflicts of Interest
References
- Stokes, E.K.; Zambrano, L.D.; Anderson, K.N.; Marder, E.P.; Raz, K.M.; El Burai Felix, S.; Tie, Y.; Fullerton, K.E. Coronavirus Disease 2019 Case Surveillance—United States, 22 January–30 May 2020. MMWR Morb. Mortal. Wkly. Rep. 2020, 69, 759–765. [Google Scholar] [CrossRef] [PubMed]
- Katsoularis, I.; Fonseca-Rodríguez, O.; Farrington, P.; Lindmark, K.; Connolly, A.-M.F. Risk of acute myocardial infarction and ischaemic stroke following COVID-19 in Sweden: A self-controlled case series and matched cohort study. Lancet 2021, 398, 599–607. [Google Scholar] [CrossRef] [PubMed]
- Katabathina, V.S.; Restrepo, C.S. Infectious and Noninfectious Aortitis: Cross-Sectional Imaging Findings. Semin. Ultrasound CT MRI 2012, 33, 207–221. [Google Scholar] [CrossRef]
- Dhakal, P.; Khadka, S.; Clowes, J.A.; Chakinala, R.C. Aortitis in COVID-19. IDCases 2021, 24, e01063. [Google Scholar] [CrossRef]
- Arend, W.P.; Michel, B.A.; Bloch, D.A.; Hunder, G.G.; Do, L.H.C.; Edworthy, S.M.; Fauci, A.S.; Leavitt, R.Y.; Lie, J.T.; Jr, R.W.L.; et al. The American College of Rheumatology 1990 criteria for the classification of takayasu arteritis. Arthritis Rheum. 1990, 33, 1129–1134. [Google Scholar] [CrossRef] [PubMed]
- Hunder, G.G.; Bloch, D.A.; Michel, B.A.; Stevens, M.B.; Arend, W.P.; Do, L.H.C.; Edworthy, S.M.; Fauci, A.S.; Leavitt, R.Y.; Lie, J.T.; et al. The American College of Rheumatology 1990 criteria for the classification of giant cell arteritis. Arthritis Rheum. 1990, 33, 1122–1128. [Google Scholar] [CrossRef] [PubMed]
- Brack, A.; Martinez-Taboada, V.; Stanson, A.; Goronzy, J.J.; Weyand, C.M. Disease pattern in cranial and large-vessel giant cell arteritis. Arthritis Rheum. 1999, 42, 311–317. [Google Scholar] [CrossRef]
- Bellosta, R.; Luzzani, L.; Natalini, G.; Pegorer, M.A.; Attisani, L.; Cossu, L.G.; Ferrandina, C.; Fossati, A.; Conti, E.; Bush, R.L.; et al. Acute limb ischemia in patients with COVID-19 pneumonia. J. Vasc. Surg. 2020, 72, 1864–1872. [Google Scholar] [CrossRef]
- Manenti, A.; Farinetti, A.; Manco, G.; Mattioli, A. Vasculitis and aortitis: COVID-19 challenging complications. J. Vasc. Surg. 2021, 73, 347–348. [Google Scholar] [CrossRef]
- Melchior, S.E.; Schoos, M.M.; Gang, U.; Jacobsen, P.K.; Wiese, L.; Melchior, T.M. Recurring episodes of bundle branch reentry ventricular tachycardia due to aortitis preceded by SARS-CoV-2 infection: A case report. BMC Cardiovasc. Disord. 2023, 23, 46. [Google Scholar] [CrossRef]
- Abu Hassan, F.; Abu Alhalawa, M.; Majdoubeh, Y.; Nepal, A.; Sufan, S.S. COVID-19 Aortitis: A Review of Published Cases. Cureus 2022, 14, e22226. [Google Scholar] [CrossRef] [PubMed]
- Mendes, J.L.; Venade, G.; Manuel, P.; Matos, L.C.; Nascimento, E. Virus and Autoimmunity: Can SARS-CoV-2 Trigger Large Vessel Vasculitis? Eur. J. Case Rep. Intern. Med. 2022, 9, 003486. [Google Scholar] [CrossRef] [PubMed]
- Shergill, S.; Davies, J.; Bloomfield, J. Florid aortitis following SARS-CoV-2 infection. Eur. Hear. J. 2020, 41, 4286. [Google Scholar] [CrossRef] [PubMed]
- Zou, Y.; Vasta, B. EP14 COVID-19 Associated Aortitis. Rheumatol. Adv. Pract. 2020, 4, rkaa052.013. [Google Scholar] [CrossRef]
- Oda, R.; Inagaki, T.; Ishikane, M.; Hotta, M.; Shimomura, A.; Sato, M.; Nakamoto, T.; Akiyama, Y.; Yamamoto, K.; Minamimoto, R.; et al. Case of Adult Large Vessel Vasculitis after SARS-CoV-2 Infection. Ann. Rheum. Dis. 2020, 82, e25. [Google Scholar] [CrossRef] [PubMed]
- Kobe, H.; Ito, A.; Ishida, T. COVID-19-induced Adult Multisystem Inflammatory Syndrome and Fatal Acute Limb Ischaemia. Respirol. Case Rep. 2021, 10, e0886. [Google Scholar] [CrossRef] [PubMed]
- Wong, K.; Alam Shah, M.U.F.; Khurshid, M.; Ullah, I.; Tahir, M.J.; Yousaf, Z. COVID-19 associated vasculitis: A systematic review of case reports and case series. Ann. Med. Surg. 2022, 74, 103249. [Google Scholar] [CrossRef] [PubMed]
- Hellmich, B.; Agueda, A.; Monti, S.; Buttgereit, F.; de Boysson, H.; Brouwer, E.; Cassie, R.; Cid, M.C.; Dasgupta, B.; Dejaco, C.; et al. 2018 Update of the EULAR Recommendations for the Management of Large Vessel Vasculitis. Ann. Rheum. Dis. 2019, 79, 19–30. [Google Scholar] [CrossRef] [PubMed]




| Test | Result | Normal Range |
|---|---|---|
| White blood cells (/μL) | 8600 | 3300~8600 |
| Red blood cells (×104/μL) | 4.32 | 4.35~5.55 |
| Hemoglobin (g/dL) | 13.4 | 13.7~16.8 |
| Hematocrit (%) | 40.2 | 40.7~50.1 |
| Platelets (×104/μL) | 30.5 | 15.8~34.8 |
| Total bilirubin (mg/dL) | 0.4 | 0.4~1.5 |
| Direct bilirubin (mg/dL) | 0.16 | 0.05~0.30 |
| Aspartate aminotransferase (U/L) | 70 | 13~30 |
| Alanine transaminase (U/L) | 49 | 10~42 |
| Lactate dehydrogenase (U/L) | 487 | 124~222 |
| Alkaline phosphatase (U/L) | 79 | 38~113 |
| Gamma glutamyl transpeptidase (U/L) | 62 | 13~64 |
| Total protein (g/dL) | 6 | 6.6~8.1 |
| Albumin (g/dL) | 2.7 | 4.1~5.1 |
| Blood urea nitrogen (mg/dL) | 13 | 8~20 |
| Creatinine (mg/dL) | 0.69 | 0.65~1.07 |
| Uric acid (mg/dL) | 1.7 | 3.7~7.8 |
| Sodium (mmol/L) | 141 | 138~145 |
| Potassium (mmol/L) | 3.6 | 3.6~4.8 |
| Chlorine (mmol/L) | 106 | 101~108 |
| C-reactive protein (mg/dL) | 188.2 | 0.0~1.4 |
| Procalcitonin (ng/mL) | 0.04 | 0.00~0.05 |
| Ferritin (ng/mL) | 1720 | 39.9~465 |
| Activated partial thromboplastin time | >200 s | 24~39 |
| PT-INR | 1.4 | 0.85~1.15 |
| Fibrinogen (mg/dL) | 597 | 180~320 |
| D-dimer (µg/mL) | 1.88 | 0.0~1.0 |
| Antithrombin III (%) | 68 | 79~121 |
| Krebs von den Lungen 6 (U/mL) | 464 | 105~401 |
| Beta-D-glucan (pg/mL) | <6.0 | |
| Rapid plasma reagin | Negative | |
| Treponema pallidum hemagglutination | Negative | |
| IgG (mg/dL) | 1131 | 861~1747 |
| IgA (mg/dL) | 254 | 93~393 |
| IgM (mg/dL) | 43 | 33~183 |
Disclaimer/Publisher’s Note: The statements, opinions and data contained in all publications are solely those of the individual author(s) and contributor(s) and not of MDPI and/or the editor(s). MDPI and/or the editor(s) disclaim responsibility for any injury to people or property resulting from any ideas, methods, instructions or products referred to in the content. |
© 2023 by the authors. Licensee MDPI, Basel, Switzerland. This article is an open access article distributed under the terms and conditions of the Creative Commons Attribution (CC BY) license (https://creativecommons.org/licenses/by/4.0/).
Share and Cite
Shimada, T.; Itagaki, H.; Shirota, Y.; Endo, T. Spontaneous Improvement of Aortitis Associated with Severe COVID-19 Infection—A Case Report. Medicina 2023, 59, 816. https://doi.org/10.3390/medicina59050816
Shimada T, Itagaki H, Shirota Y, Endo T. Spontaneous Improvement of Aortitis Associated with Severe COVID-19 Infection—A Case Report. Medicina. 2023; 59(5):816. https://doi.org/10.3390/medicina59050816
Chicago/Turabian StyleShimada, Takashi, Hideya Itagaki, Yuko Shirota, and Tomoyuki Endo. 2023. "Spontaneous Improvement of Aortitis Associated with Severe COVID-19 Infection—A Case Report" Medicina 59, no. 5: 816. https://doi.org/10.3390/medicina59050816
APA StyleShimada, T., Itagaki, H., Shirota, Y., & Endo, T. (2023). Spontaneous Improvement of Aortitis Associated with Severe COVID-19 Infection—A Case Report. Medicina, 59(5), 816. https://doi.org/10.3390/medicina59050816

