The Use of PuraStat® in the Management of Walled-Off Pancreatic Necrosis Drained Using Lumen-Apposing Metal Stents: A Case Series
Abstract
1. Introduction
2. Materials and Methods
2.1. Procedure
2.2. Data Collections and Analysis
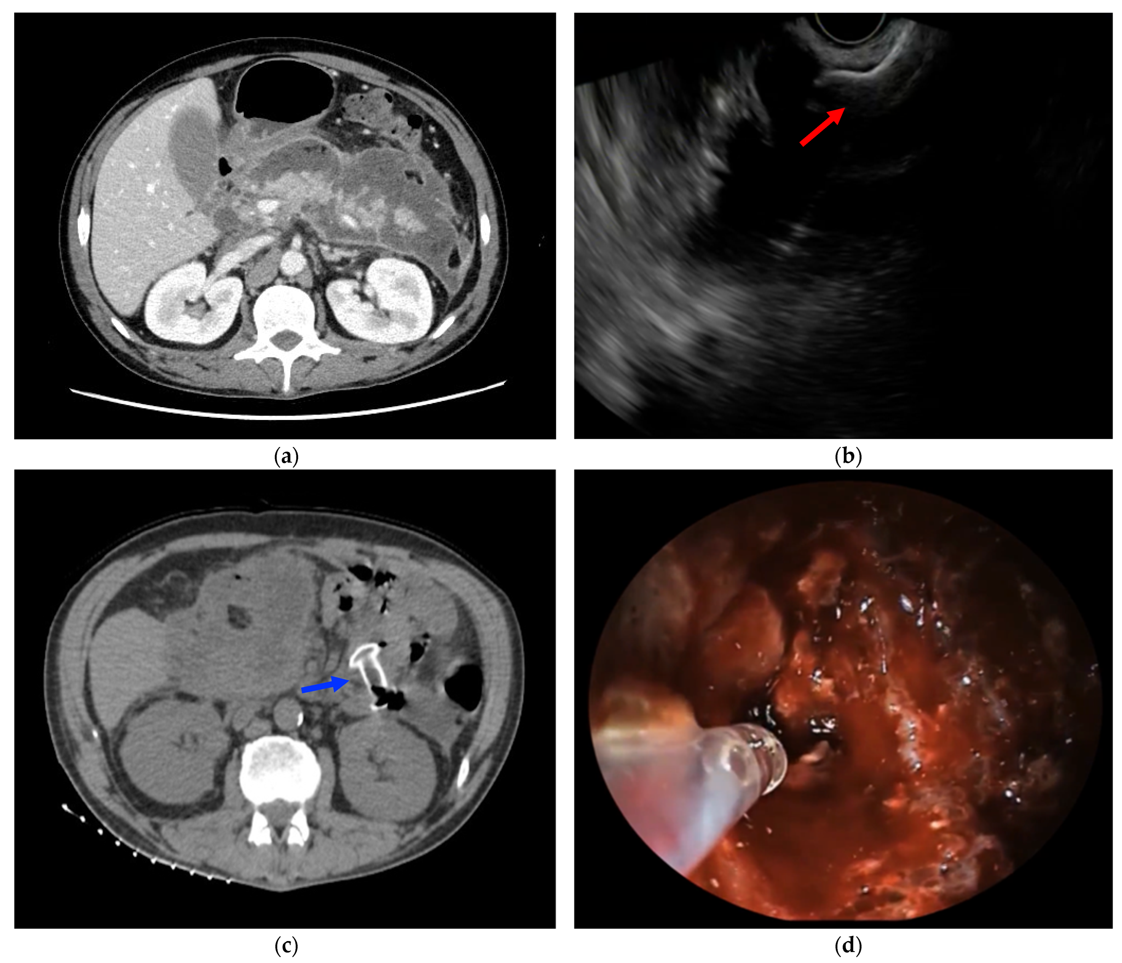
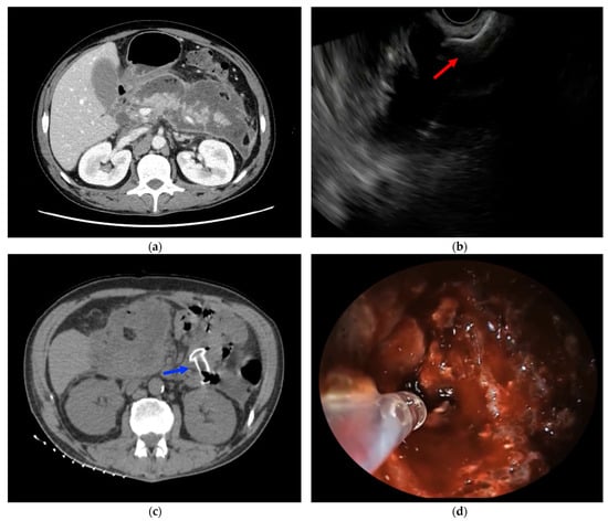
3. Results
3.1. Baseline Characteristics
3.2. Procedure Details
3.3. Bleeding Management and Prevention with PuraStat
4. Discussion
5. Conclusions
Author Contributions
Funding
Institutional Review Board Statement
Informed Consent Statement
Data Availability Statement
Conflicts of Interest
Abbreviations
| AEs | adverse events |
| ASGE | American Society for Gastrointestinal Endoscopy |
| DEN | direct endoscopic necrosectomy |
| DPPS | double pigtail plastic stent |
| EUS | endoscopic ultrasound |
| IR | interventional radiology |
| LAMS | lumen apposing metal stent |
| PFC | pancreatic fluid collection |
| SEMS | self-expandable metal stent |
| WON | walled-off necrosis |
| WOPN | walled-off pancreatic necrosis |
| SEMS | self-expandable metal stent |
References
- Banks, P.A.; Bollen, T.L.; Dervenis, C.; Gooszen, H.G.; Johnson, C.D.; Sarr, M.G.; Tsiotos, G.G.; Vege, S.S. Classification of Acute Pancreatitis—2012: Revision of the Atlanta Classification and Definitions by International Consensus. Gut 2013, 62, 102–111. [Google Scholar] [CrossRef] [PubMed]
- Arvanitakis, M.; Dumonceau, J.-M.; Albert, J.; Badaoui, A.; Bali, M.; Barthet, M.; Besselink, M.; Deviere, J.; Oliveira Ferreira, A.; Gyökeres, T.; et al. Endoscopic Management of Acute Necrotizing Pancreatitis: European Society of Gastrointestinal Endoscopy (ESGE) Evidence-Based Multidisciplinary Guidelines. Endoscopy 2018, 50, 524–546. [Google Scholar] [CrossRef] [PubMed]
- Baron, T.H.; DiMaio, C.J.; Wang, A.Y.; Morgan, K.A. American Gastroenterological Association Clinical Practice Update: Management of Pancreatic Necrosis. Gastroenterology 2020, 158, 67–75.e1. [Google Scholar] [CrossRef] [PubMed]
- Siddiqui, A.A.; Kowalski, T.E.; Loren, D.E.; Khalid, A.; Soomro, A.; Mazhar, S.M.; Isby, L.; Kahaleh, M.; Karia, K.; Yoo, J.; et al. Fully Covered Self-Expanding Metal Stents versus Lumen-Apposing Fully Covered Self-Expanding Metal Stent versus Plastic Stents for Endoscopic Drainage of Pancreatic Walled-off Necrosis: Clinical Outcomes and Success. Gastrointest. Endosc. 2017, 85, 758–765. [Google Scholar] [CrossRef] [PubMed]
- Fugazza, A.; Sethi, A.; Trindade, A.J.; Troncone, E.; Devlin, J.; Khashab, M.A.; Vleggaar, F.P.; Bogte, A.; Tarantino, I.; Deprez, P.H.; et al. International Multicenter Comprehensive Analysis of Adverse Events Associated with Lumen-Apposing Metal Stent Placement for Pancreatic Fluid Collection Drainage. Gastrointest. Endosc. 2020, 91, 574–583. [Google Scholar] [CrossRef]
- Amato, A.; Tarantino, I.; Facciorusso, A.; Binda, C.; Crinò, S.F.; Fugazza, A.; Forti, E.; Petrone, M.C.; Di Mitri, R.; Macchiarelli, R.; et al. Real-Life Multicentre Study of Lumen-Apposing Metal Stent for EUS-Guided Drainage of Pancreatic Fluid Collections. Gut 2022, 71, 1050–1052. [Google Scholar] [CrossRef]
- Spadaccini, M.; Binda, C.; Fugazza, A.; Repici, A.; Tarantino, I.; Fabbri, C.; Cugia, L.; Anderloni, A.; On Behalf of the Interventional Endoscopy Amp Ultra Sound I-Eus Group. Informed Consent for Endoscopic Biliary Drainage: Time for a New Paradigm. Medicina 2022, 58, 331. [Google Scholar] [CrossRef]
- Anderloni, A.; Attili, F.; Carrara, S.; Galasso, D.; Di Leo, M.; Costamagna, G.; Repici, A.; Kunda, R.; Larghi, A. Intra-Channel Stent Release Technique for Fluoroless Endoscopic Ultrasound-Guided Lumen-Apposing Metal Stent Placement: Changing the Paradigm. Endosc. Int. Open 2017, 5, E25–E29. [Google Scholar] [CrossRef]
- Cotton, P.B.; Eisen, G.M.; Aabakken, L.; Baron, T.H.; Hutter, M.M.; Jacobson, B.C.; Mergener, K.; Nemcek, A.; Petersen, B.T.; Petrini, J.L.; et al. A Lexicon for Endoscopic Adverse Events: Report of an ASGE Workshop. Gastrointest. Endosc. 2010, 71, 446–454. [Google Scholar] [CrossRef]
- Veitch, A.M.; Radaelli, F.; Alikhan, R.; Dumonceau, J.-M.; Eaton, D.; Jerrome, J.; Lester, W.; Nylander, D.; Thoufeeq, M.; Vanbiervliet, G.; et al. Endoscopy in Patients on Antiplatelet or Anticoagulant Therapy: British Society of Gastroenterology (BSG) and European Society of Gastrointestinal Endoscopy (ESGE) Guideline Update. Endoscopy 2021, 53, 947–969. [Google Scholar] [CrossRef]
- Binda, C.; Dabizzi, E.; Anderloni, A.; Cennamo, V.; Fiscaletti, M.; Fugazza, A.; Jovine, E.; Ercolani, G.; Gasbarrini, A.; Fabbri, C. Single-Step Endoscopic Ultrasound-Guided Multiple Gateway Drainage of Complex Walled-off Necrosis with Lumen Apposing Metal Stents. Eur. J. Gastroenterol. Hepatol. 2020, 32, 1401–1404. [Google Scholar] [CrossRef] [PubMed]
- van Brunschot, S.; Fockens, P.; Bakker, O.J.; Besselink, M.G.; Voermans, R.P.; Poley, J.-W.; Gooszen, H.G.; Bruno, M.; van Santvoort, H.C. Endoscopic Transluminal Necrosectomy in Necrotising Pancreatitis: A Systematic Review. Surg. Endosc. 2014, 28, 1425–1438. [Google Scholar] [CrossRef] [PubMed]
- Wang, B.-H.; Xie, L.-T.; Zhao, Q.-Y.; Ying, H.-J.; Jiang, T.-A. Balloon Dilator Controls Massive Bleeding during Endoscopic Ultrasound-Guided Drainage for Pancreatic Pseudocyst: A Case Report and Review of Literature. World J. Clin. Cases 2018, 6, 459–465. [Google Scholar] [CrossRef]
- Auriemma, F.; Anderloni, A.; Carrara, S.; Fugazza, A.; Maselli, R.; Troncone, E.; Repici, A. Cyanoacrylate Hemostasis for Massive Bleeding After Drainage of Pancreatic Fluid Collection by Lumen-Apposing Metal Stent. Am. J. Gastroenterol. 2018, 113, 1582. [Google Scholar] [CrossRef]
- Tarantino, I.; Barresi, L.; Granata, A.; Curcio, G.; Traina, M. Hemospray for Arterial Hemorrhage Following Endoscopic Ultrasound-Guided Pseudocyst Drainage. Endoscopy 2014, 46, E71. [Google Scholar] [CrossRef] [PubMed]
- Săftoiu, A.; Ciobanu, L.; Seicean, A.; Tantău, M. Arterial Bleeding during EUS-Guided Pseudocyst Drainage Stopped by Placement of a Covered Self-Expandable Metal Stent. BMC Gastroenterol. 2013, 13, 93. [Google Scholar] [CrossRef]
- Chavan, R.; Basha, J.; Lakhtakia, S.; Nabi, Z.; Reddy, D.N. Large-Caliber Metal Stent Controls Significant Entry Site Bleeding during EUS-Guided Drainage of Walled-off Necrosis. VideoGIE 2019, 4, 27–28. [Google Scholar] [CrossRef]
- Pioche, M.; Camus, M.; Rivory, J.; Leblanc, S.; Lienhart, I.; Barret, M.; Chaussade, S.; Saurin, J.-C.; Prat, F.; Ponchon, T. A Self-Assembling Matrix-Forming Gel Can Be Easily and Safely Applied to Prevent Delayed Bleeding after Endoscopic Resections. Endosc. Int. Open 2016, 4, E415–E419. [Google Scholar] [CrossRef]
- Subramaniam, S.; Kandiah, K.; Chedgy, F.; Fogg, C.; Thayalasekaran, S.; Alkandari, A.; Baker-Moffatt, M.; Dash, J.; Lyons-Amos, M.; Longcroft-Wheaton, G.; et al. A Novel Self-Assembling Peptide for Hemostasis during Endoscopic Submucosal Dissection: A Randomized Controlled Trial. Endoscopy 2021, 53, 27–35. [Google Scholar] [CrossRef]
- Branchi, F.; Klingenberg-Noftz, R.; Friedrich, K.; Bürgel, N.; Daum, S.; Buchkremer, J.; Sonnenberg, E.; Schumann, M.; Treese, C.; Tröger, H.; et al. PuraStat in Gastrointestinal Bleeding: Results of a Prospective Multicentre Observational Pilot Study. Surg. Endosc. 2022, 36, 2954–2961. [Google Scholar] [CrossRef]
- Soriani, P.; Biancheri, P.; Deiana, S.; Ottaviani, L.; Manno, M. Off-Label PuraStat Use for the Treatment of Acute Intrahepatic Biliary Duct Bleeding. Endosc. Int. Open 2021, 9, E1926–E1927. [Google Scholar] [CrossRef] [PubMed]
- de Nucci, G.; Reati, R.; Arena, I.; Bezzio, C.; Devani, M.; della Corte, C.; Morganti, D.; Mandelli, E.D.; Omazzi, B.; Redaelli, D.; et al. Efficacy of a Novel Self-Assembling Peptide Hemostatic Gel as Rescue Therapy for Refractory Acute Gastrointestinal Bleeding. Endoscopy 2020, 52, 773–779. [Google Scholar] [CrossRef] [PubMed]
- Puga, M.; Consiglieri, C.F.; Busquets, J.; Pallarès, N.; Secanella, L.; Peláez, N.; Fabregat, J.; Castellote, J.; Gornals, J.B. Safety of Lumen-Apposing Stent with or without Coaxial Plastic Stent for Endoscopic Ultrasound-Guided Drainage of Pancreatic Fluid Collections: A Retrospective Study. Endoscopy 2018, 50, 1022–1026. [Google Scholar] [CrossRef] [PubMed]
- Shamah, S.; Sahakian, A.; Chapman, C.; Buxbaum, J.; Muniraj, T.; Aslanian, H.; Villa, E.; Cho, J.; Haider, H.; Waxman, I.; et al. Double Pigtail Stent Placement as an Adjunct to Lumen-Apposing Metal Stents for Drainage of Pancreatic Fluid Collections May Not Affect Outcomes: A Multicenter Experience. Endosc. Ultrasound. 2022, 11, 53–58. [Google Scholar] [CrossRef]
- Rana, S. Complications of Endoscopic Ultrasound-Guided Transmural Drainage of Pancreatic Fluid Collections and Their Management. Ann. Gastroenterol. 2019, 32, 441. [Google Scholar] [CrossRef]
- Bang, J.Y.; Navaneethan, U.; Hasan, M.K.; Sutton, B.; Hawes, R.; Varadarajulu, S. Non-Superiority of Lumen-Apposing Metal Stents over Plastic Stents for Drainage of Walled-off Necrosis in a Randomised Trial. Gut 2019, 68, 1200–1209. [Google Scholar] [CrossRef]
- Brimhall, B.; Han, S.; Tatman, P.D.; Clark, T.J.; Wani, S.; Brauer, B.; Edmundowicz, S.; Wagh, M.S.; Attwell, A.; Hammad, H.; et al. Increased Incidence of Pseudoaneurysm Bleeding With Lumen-Apposing Metal Stents Compared to Double-Pigtail Plastic Stents in Patients With Peripancreatic Fluid Collections. Clin. Gastroenterol. Hepatol. 2018, 16, 1521–1528. [Google Scholar] [CrossRef]
- Jiang, T.-A.; Xie, L.-T. Algorithm for the Multidisciplinary Management of Hemorrhage in EUS-Guided Drainage for Pancreatic Fluid Collections. WJCC 2018, 6, 308–321. [Google Scholar] [CrossRef]
- Rana, S.S.; Kumar, A.; Lal, A.; Sharma, R.; Kang, M.; Gorsi, U.; Gupta, R. Safety and Efficacy of Angioembolisation Followed by Endoscopic Ultrasound Guided Transmural Drainage for Pancreatic Fluid Collections Associated with Arterial Pseudoaneurysm. Pancreatology 2017, 17, 658–662. [Google Scholar] [CrossRef]
- Sekikawa, Z.; Yamamoto, T.; Aoki, R.; Obara, A.D.; Furugori, S.; Sugimori, K.; Takebayashi, S. Prophylactic Coil Embolization of the Vessels for Endoscopic Necrosectomy in Patients with Necrotizing Pancreatitis. J. Vasc. Interv. Radiol. 2019, 30, 124–126. [Google Scholar] [CrossRef]
- Honta, S.; Hayashi, T.; Katanuma, A. Coil Embolization of Artery in Advance Endoscopic Necrosectomy for Walled-off Necrosis Can Prevent Arterial Bleeding. Dig. Endosc. 2021, 33, e8–e9. [Google Scholar] [CrossRef] [PubMed]
- Facciorusso, A.; Amato, A.; Crinò, S.F.; Sinagra, E.; Maida, M.; Fugazza, A.; Binda, C.; Repici, A.; Tarantino, I.; Anderloni, A.; et al. Nomogram for Prediction of Adverse Events after Lumen-Apposing Metal Stent Placement for Drainage of Pancreatic Fluid Collections. Dig. Endosc. 2022, 34, 1459–1470. [Google Scholar] [CrossRef] [PubMed]
- Holmes, I.; Shinn, B.; Mitsuhashi, S.; Boortalary, T.; Bashir, M.; Kowalski, T.; Loren, D.; Kumar, A.; Schlachterman, A.; Chiang, A. Prediction and Management of Bleeding during Endoscopic Necrosectomy for Pancreatic Walled-off Necrosis: Results of a Large Retrospective Cohort at a Tertiary Referral Center. Gastrointest. Endosc. 2022, 95, 482–488. [Google Scholar] [CrossRef] [PubMed]
- Uraoka, T.; Ochiai, Y.; Fujimoto, A.; Goto, O.; Kawahara, Y.; Kobayashi, N.; Kanai, T.; Matsuda, S.; Kitagawa, Y.; Yahagi, N. A Novel Fully Synthetic and Self-Assembled Peptide Solution for Endoscopic Submucosal Dissection-Induced Ulcer in the Stomach. Gastrointest. Endosc. 2016, 83, 1259–1264. [Google Scholar] [CrossRef]
- White, K.; Henson, C.C. Endoscopically Delivered Purastat for the Treatment of Severe Haemorrhagic Radiation Proctopathy: A Service Evaluation of a New Endoscopic Treatment for a Challenging Condition. Frontline Gastroenterol. 2021, 12, 608–613. [Google Scholar] [CrossRef]


| Patients’ Characteristics | 10 Patients |
|---|---|
| Gender | |
| M | 9 |
| F | 1 |
| Mean Age | 65.7 years (24–89) |
| Etiology of acute pancreatitis | |
| Gallstones | 7 |
| Idiopathic | 2 |
| Alcohol | 1 |
| Indication for drainage | |
| Abdominal pain | 6 |
| Infected WON | 6 |
| Gastric outlet obstruction | 5 |
| Early satiety | 2 |
| WON Characteristics | 10 WON |
| WON location | |
| Body and Tail | 5 |
| Entire Pancreas | 3 |
| Head | 2 |
| Max WON diameter | 126.8 mm (82–180) |
| % of estimated necrosis | |
| <50% of necrosis | 6 |
| >50% of necrosis | 4 |
| Evidence of vessel inside WON | 3 |
| Prophylactic Embolization | 1 |
| DEN performed in angiographic room | 1 |
| No need for radiological treatment | 1 |
| EUS-Guided WON Drainage | 10 Patients |
|---|---|
| Technical success | 100% |
| LAMS size | |
| 20 × 10 mm | 9 |
| 15 × 10 mm | 3 |
| Multiple Gateway Drainage | 2 |
| Trans-Gastric Drainage | 10 |
| LAMS dilation | 9 |
| Hydrogen peroxide irrigation | 7 |
| Direct Endoscopic Necrosectomy | 10 Patients |
| Devices used for DEN | |
| Snares | 10 |
| Dormia baskets | 3 |
| EndoRotor® | 1 |
| Necrolit® | 1 |
| Mean DEN sessions | 1.6 (1–3) |
| Clinical success of DEN | 10/10 |
| PuraStat Application | |
| Technical success | 100% |
| Mean application time | 4 min (2–6) |
| Mean volume | 3 mL |
| Outcomes | Patients |
|---|---|
| PuraStat in management of active WON-related bleeding | 3 |
| Oozing bleedings successfully treated | 2 |
| Bridge to embolization in spurting bleeding | 1 |
| PuraStat in post-DEN bleeding prevention | 7 |
| Delayed Bleeding | 1 |
| PuraStat-related adverse events | 0/10 |
Disclaimer/Publisher’s Note: The statements, opinions and data contained in all publications are solely those of the individual author(s) and contributor(s) and not of MDPI and/or the editor(s). MDPI and/or the editor(s) disclaim responsibility for any injury to people or property resulting from any ideas, methods, instructions or products referred to in the content. |
© 2023 by the authors. Licensee MDPI, Basel, Switzerland. This article is an open access article distributed under the terms and conditions of the Creative Commons Attribution (CC BY) license (https://creativecommons.org/licenses/by/4.0/).
Share and Cite
Binda, C.; Fugazza, A.; Fabbri, S.; Coluccio, C.; Repici, A.; Tarantino, I.; Anderloni, A.; Fabbri, C. The Use of PuraStat® in the Management of Walled-Off Pancreatic Necrosis Drained Using Lumen-Apposing Metal Stents: A Case Series. Medicina 2023, 59, 750. https://doi.org/10.3390/medicina59040750
Binda C, Fugazza A, Fabbri S, Coluccio C, Repici A, Tarantino I, Anderloni A, Fabbri C. The Use of PuraStat® in the Management of Walled-Off Pancreatic Necrosis Drained Using Lumen-Apposing Metal Stents: A Case Series. Medicina. 2023; 59(4):750. https://doi.org/10.3390/medicina59040750
Chicago/Turabian StyleBinda, Cecilia, Alessandro Fugazza, Stefano Fabbri, Chiara Coluccio, Alessandro Repici, Ilaria Tarantino, Andrea Anderloni, and Carlo Fabbri. 2023. "The Use of PuraStat® in the Management of Walled-Off Pancreatic Necrosis Drained Using Lumen-Apposing Metal Stents: A Case Series" Medicina 59, no. 4: 750. https://doi.org/10.3390/medicina59040750
APA StyleBinda, C., Fugazza, A., Fabbri, S., Coluccio, C., Repici, A., Tarantino, I., Anderloni, A., & Fabbri, C. (2023). The Use of PuraStat® in the Management of Walled-Off Pancreatic Necrosis Drained Using Lumen-Apposing Metal Stents: A Case Series. Medicina, 59(4), 750. https://doi.org/10.3390/medicina59040750

