A Case of Neonate with Split Cord Malformation Presenting with Hypoplasia of the Left Lower Extremity
Abstract
:1. Introduction
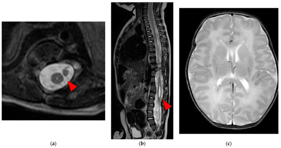
2. Case Report
3. Discussion
4. Conclusions
Author Contributions
Funding
Informed Consent Statement
Data Availability Statement
Conflicts of Interest
References
- Karim Ahmed, A.; Howell, E.P.; Harward, S.; Sankey, E.W.; Ehresman, J.; Schilling, A.; Wang, T.; Pennington, Z.; Gray, L.; Sciubba, D.M.; et al. Split cord malformation in adults: Literature review and classification. Clin. Neurol. Neurosurg. 2020, 193, 105733. [Google Scholar] [CrossRef] [PubMed]
- Mahapatra, A.K.; Gupta, D.K. Split cord malformations: A clinical study of 254 patients and a proposal for a new clinical-imaging classification. J. Neurosurg. 2005, 103, 531–536. [Google Scholar] [CrossRef] [PubMed]
- Kobets, A.J.; Oliver, J.; Cohen, A.; Jallo, G.I.; Groves, M.L. Split cord malformation and tethered cord syndrome: Case series with long-term follow-up and literature review. Childs Nerv. Syst. 2021, 37, 1301–1306. [Google Scholar] [CrossRef] [PubMed]
- Pang, D.; Dias, M.S.; Ahab-Barmada, M. Split cord malformation: Part I: A unified theory of embryogenesis for double spinal cord malformations. Neurosurgery 1992, 31, 451–480. [Google Scholar] [CrossRef] [PubMed]
- Bademci, G.; Saygun, M.; Batay, F.; Cakmak, A.; Basar, H.; Anbarci, H.; Unal, B. Prevalence of primary tethered cord syndrome associated with occult spinal dysraphism in primary school children in Turkey. Pediatr. Neurosurg. 2006, 42, 4–13. [Google Scholar] [CrossRef] [PubMed]
- Erşahin, Y. Split cord malformation types I and II: A personal series of 131 patients. Childs Nerv. Syst. 2013, 29, 1515–1526. [Google Scholar] [CrossRef] [PubMed]
- Ochi, S.; Yoshifuji, K.; Koyanagi, I.; Houkin, K. Terminal Myelocystocele. Nerv. Syst. Child 2009, 34, 385–390. [Google Scholar]
- Pang, D. Split cord malformation: Part II: Clinical syndrome. Neurosurgery 1992, 31, 481–500. [Google Scholar] [CrossRef] [PubMed]



Disclaimer/Publisher’s Note: The statements, opinions and data contained in all publications are solely those of the individual author(s) and contributor(s) and not of MDPI and/or the editor(s). MDPI and/or the editor(s) disclaim responsibility for any injury to people or property resulting from any ideas, methods, instructions or products referred to in the content. |
© 2023 by the authors. Licensee MDPI, Basel, Switzerland. This article is an open access article distributed under the terms and conditions of the Creative Commons Attribution (CC BY) license (https://creativecommons.org/licenses/by/4.0/).
Share and Cite
Tanimoto, R.; Ikuse, T.; Ito, N.; Sato, H.; Kasai, Y.; Yamada, H.; Saito, N.; Iwasaki, T.; Ikeno, M.; Suganuma, H.; et al. A Case of Neonate with Split Cord Malformation Presenting with Hypoplasia of the Left Lower Extremity. Medicina 2023, 59, 726. https://doi.org/10.3390/medicina59040726
Tanimoto R, Ikuse T, Ito N, Sato H, Kasai Y, Yamada H, Saito N, Iwasaki T, Ikeno M, Suganuma H, et al. A Case of Neonate with Split Cord Malformation Presenting with Hypoplasia of the Left Lower Extremity. Medicina. 2023; 59(4):726. https://doi.org/10.3390/medicina59040726
Chicago/Turabian StyleTanimoto, Ryosuke, Tamaki Ikuse, Natsuki Ito, Hiroyuki Sato, Yuriha Kasai, Hiromichi Yamada, Nobutomo Saito, Tomohiro Iwasaki, Mitsuru Ikeno, Hiroki Suganuma, and et al. 2023. "A Case of Neonate with Split Cord Malformation Presenting with Hypoplasia of the Left Lower Extremity" Medicina 59, no. 4: 726. https://doi.org/10.3390/medicina59040726
APA StyleTanimoto, R., Ikuse, T., Ito, N., Sato, H., Kasai, Y., Yamada, H., Saito, N., Iwasaki, T., Ikeno, M., Suganuma, H., Hisata, K., Shoji, H., Kudo, T., Sakamoto, K., Shimoji, K., Kondo, A., & Shimizu, T. (2023). A Case of Neonate with Split Cord Malformation Presenting with Hypoplasia of the Left Lower Extremity. Medicina, 59(4), 726. https://doi.org/10.3390/medicina59040726

