The Influence of Myopia on the Foveal Avascular Zone and Density of Blood Vessels of the Macula—An OCTA Study
Abstract
1. Introduction
2. Methods and Materials
3. Results
4. Discussion
Author Contributions
Funding
Institutional Review Board Statement
Informed Consent Statement
Data Availability Statement
Conflicts of Interest
References
- Hashemi, H.; Fotouhi, A.; Yekta, A.; Pakzad, R.; Ostadimoghaddam, H.; Khabazkhoob, M. Global and regional estimates of prevalence of refractive errors: Systematic review and meta-analysis. J. Curr. Ophthalmol. 2018, 30, 3–22. [Google Scholar] [CrossRef] [PubMed]
- Holden, B.A.; Fricke, T.R.; Wilson, D.A.; Jong, M.; Naidoo, K.S.; Sankaridurg, P.; Wong, T.Y.; Naduvilath, T.J.; Resnikoff, S. Global Prevalence of Myopia and High Myopia and Temporal Trends from 2000 through 2050. Ophthalmology 2016, 123, 1036–1042. [Google Scholar] [CrossRef] [PubMed]
- Zhang, X.; Zhou, Y.; Wang, Y.; Du, W.; Yang, J. Trend of myopia through different interventions from 2010 to 2050: Findings from Eastern Chinese student surveillance study. Front. Med. 2023, 9, 1069649. [Google Scholar] [CrossRef]
- Fang, Y.; Yokoi, T.; Nagaoka, N.; Shinohara, K.; Onishi, Y.; Ishida, T.; Yoshida, T.; Xu, X.; Jonas, J.B.; Ohno-Matsui, K. Progression of Myopic Maculopathy during 18-Year Follow-up. Ophthalmology 2018, 125, 863–877. [Google Scholar] [CrossRef]
- Ucak, T.; Icel, E.; Yilmaz, H.; Karakurt, Y.; Tasli, G.; Ugurlu, A.; Bozkurt, E. Alterations in optical coherence tomography angiography findings in patients with high myopia. Eye 2020, 34, 1129–1135. [Google Scholar] [CrossRef]
- Young, T.L.; Metlapally, R.; Shay, A.E. Complex trait genetics of refractive error. Arch. Ophthalmol. 2007, 125, 38–48. [Google Scholar] [CrossRef]
- Gaurisankar, Z.S.; van Rijn, G.A.; Lima, J.E.E.; Ilgenfritz, A.P.; Cheng, Y.; Haasnoot, G.W.; Luyten, G.P.M.; Beenakker, J.M. Correlations between ocular biometrics and refractive error: A systematic review and meta-analysis. Acta Ophthalmol. 2019, 97, 735–743. [Google Scholar] [CrossRef] [PubMed]
- Meng, W.; Butterworth, J.; Malecaze, F.; Calvas, P. Axial length of myopia: A review of current research. Ophthalmologica 2011, 225, 127–134. [Google Scholar] [CrossRef]
- Ikuno, Y. Overview of the complications of high myopia. Retina 2017, 37, 2347–2351. [Google Scholar] [CrossRef]
- Shi, Y.; Ye, L.; Chen, Q.; Hu, G.; Yin, Y.; Fan, Y.; Zhu, J.; He, J.; Zheng, Z.; Zou, H.; et al. Macular Vessel Density Changes in Young Adults With High Myopia: A Longitudinal Study. Front. Med. 2021, 8, 648644. [Google Scholar] [CrossRef]
- Spaide, R.F.; Fujimoto, J.G.; Waheed, N.K.; Sadda, S.R.; Staurenghi, G. Optical coherence tomography angiography. Prog. Retin. Eye Res. 2018, 64, 1–55. [Google Scholar] [CrossRef] [PubMed]
- Ang, M.; Wong, C.W.; Hoang, Q.V.; Cheung, G.C.M.; Lee, S.Y.; Chia, A.; Saw, S.M.; Ohno-Matsui, K.; Schmetterer, L. Imaging in myopia: Potential biomarkers, current challenges and future developments. Br. J. Ophthalmol. 2019, 103, 855–862. [Google Scholar] [CrossRef] [PubMed]
- Ng, D.S.; Cheung, C.Y.; Luk, F.O.; Mohamed, S.; Brelen, M.E.; Yam, J.C.; Tsang, C.W.; Lai, T.Y. Advances of optical coherence tomography in myopia and pathologic myopia. Eye 2016, 30, 901–916. [Google Scholar] [CrossRef]
- Querques, G.; Corvi, F.; Querques, L.; Souied, E.H.; Bandello, F. Optical Coherence Tomography Angiography of Choroidal Neovascularization Secondary to Pathologic Myopia. Dev. Ophthalmol. 2016, 56, 101–106. [Google Scholar]
- Wang, T.; Li, H.; Zhang, R.; Yu, Y.; Xiao, X.; Wu, C. Evaluation of retinal vascular density and related factors in youth myopia without maculopathy using OCTA. Sci. Rep. 2021, 11, 15361. [Google Scholar] [CrossRef]
- Al-Sheikh, M.; Phasukkijwatana, N.; Dolz-Marco, R. Quantitative OCT Angiography of the Retinal Microvasculature and the Choriocapillaris in Myopic Eyes. Investig. Ophthalmol. Vis. Sci. 2017, 58, 2063–2069. [Google Scholar] [CrossRef]
- Gołębiewska, J.; Biała-Gosek, K.; Czeszyk, A.; Hautz, W. Optical coherence tomography angiography of superficial retinal vessel density and foveal avascular zone in myopic children. PLoS ONE 2019, 14, e0219785. [Google Scholar] [CrossRef]
- Shimada, N.; Ohno-Matsui, K.; Harino, S.; Yoshida, T.; Yasuzumi, K.; Kojima, A.; Kobayashi, K.; Futagami, S.; Tokoro, T.; Mochizuki, M. Reduction of retinal blood flow in high myopia. Graefes Arch. Clin. Exp. Ophthalmol. 2004, 242, 284–288. [Google Scholar] [CrossRef]
- Li, H.; Mitchell, P.; Rochtchina, E.; Burlutsky, G.; Wong, T.Y.; Wang, J.J. Retinal vessel caliber and myopic retinopathy: The blue mountains eye study. Ophthalmic Epidemiol. 2011, 18, 275–280. [Google Scholar] [CrossRef]
- Guo, Y.; Sung, M.S.; Park, S.W. Assessment of superficial retinal microvascular density in healthy myopia. Int. Ophthalmol. 2019, 39, 1861–1870. [Google Scholar] [CrossRef]
- Yang, S.; Zhou, M.; Lu, B.; Zhang, P.; Zhao, J.; Kang, M.; Wang, R.; Wang, F.; Sun, X. Quantification of Macular Vascular Density Using Optical Coherence Tomography Angiography and Its Relationship with Retinal Thickness in Myopic Eyes of Young Adults. J. Ophthalmol. 2017, 2017, e1397179. [Google Scholar] [CrossRef] [PubMed]
- Read, S.A.; Collins, M.J.; Vincent, S.J.; Alonso-Caneiro, D. Choroidal thickness in myopic and nonmyopic children assessed with enhanced depth imaging optical coherence tomography. Investig. Ophthalmol. Vis. Sci. 2013, 54, 7578–7586. [Google Scholar] [CrossRef] [PubMed]
- Wang, D.; Chun, R.K.; Liu, M.; Lee, R.P.; Sun, Y.; Zhang, T.; Lam, C.; Liu, Q.; To, C.H. Optical defocus rapidly changes choroidal thickness in schoolchildren. PLoS ONE 2016, 11, e0161535. [Google Scholar] [CrossRef] [PubMed]
- Jin, P.; Zou, H.; Zhu, J.; Xu, X.; Jin, J.; Chang, T.C.; Lu, L.; Yuan, H.; Sun, S.; Yan, B.; et al. Choroidal and retinal thickness in children with diferent refractive status measured by swept-source optical coherence tomography. Am. J. Ophthalmol. 2016, 168, 164–176. [Google Scholar] [CrossRef] [PubMed]
- Linderman, R.; Salmon, A.E.; Strampe, M.; Russillo, M.; Khan, J.; Carroll, J. Assessing the accuracy of foveal avascular zone measurements using optical coherence tomography angiography: Segmentation and scaling. Transl. Vis. Sci. Technol. 2017, 6, 16. [Google Scholar] [CrossRef] [PubMed]
- Shahlaee, A.; Pefkianaki, M.; Hsu, J.; Ho, A.C. Measurement of Foveal Avascular Zone Dimensions and its Reliability in Healthy Eyes Using Optical Coherence Tomography Angiography. Am. J. Ophthalmol. 2016, 161, 50–55.e1. [Google Scholar] [CrossRef]
- Yang, Y.; Wang, J.; Jiang, H.; Yang, X.; Feng, L.; Hu, L.; Wang, L.; Lü, F.; Shen, M. Retinal Microvasculature Alteration in High Myopia. Investig. Ophthalmol. Vis. Sci. 2016, 57, 6020–6030. [Google Scholar] [CrossRef]
- He, J.; Chen, Q.; Yin, Y.; Zhou, H.; Fan, Y.; Zhu, J.; Zou, H.; Xu, X. Association between retinal microvasculature and optic disc alterations in high myopia. Eye 2019, 33, 1494–1503. [Google Scholar] [CrossRef]
- Cheng, D.; Chen, Q.; Wu, Y.; Yu, X.; Shen, M.; Zhuang, X.; Tian, Z.; Yang, Y.; Wang, J.; Lu, F.; et al. Deep perifoveal vessel density as an indicator of capillary loss in high myopia. Eye 2019, 33, 1961–1968. [Google Scholar] [CrossRef]
- Jiang, Y.; Lou, S.; Li, Y.; Chen, Y.; Lu, T.C. High myopia and macular vascular density: An optical coherence tomography angiography study. BMC Ophthalmol. 2021, 21, 407. [Google Scholar] [CrossRef]
- Milani, P.; Montesano, G.; Rossett, I.L.; Bergamini, F.; Pece, A. Vessel density, retinal thickness, and choriocapillaris vascular flow in myopic eyes on OCT angiography. Graefes Arch. Clin. Exp. Ophthalmol. 2018, 256, 1419–1427. [Google Scholar] [CrossRef] [PubMed]
- Piao, H.; Guo, Y.; Zhang, H.; Sung, M.S.; Park, S.W. Acircularity and circularity indexes of the foveal avascular zone in high myopia. Sci. Rep. 2021, 11, 16808. [Google Scholar] [CrossRef] [PubMed]
- Zhao, Z.; Zhou, X.; Jiang, C.; Sun, X. Effects of myopia on different areas and layers of the macula: A fourier-domain optical coherence tomography study of a chinese cohort. BMC Ophthalmol. 2015, 15, 90. [Google Scholar] [CrossRef]
- Lam, D.S.; Leung, K.S.; Mohamed, S.; Chan, W.M.; Palanivelu, M.S.; Cheung, C.Y.; Li, E.Y.; Lai, R.Y.; Leung, C.K. Regional variations in the relationship between macular thickness measurements and myopia. Investig. Ophthalmol. Vis. Sci. 2007, 48, 376–382. [Google Scholar] [CrossRef]
- Luo, H.D.; Gazzard, G.; Fong, A.; Aung, T.; Hoh, S.T.; Loon, S.C.; Healey, P.; Tan, D.T.; Wong, T.Y.; Saw, S.M. Myopia, axial length, and OCT characteristics of the macula in Singaporean children. Investig. Ophthalmol. Vis. Sci. 2006, 47, 2773–2781. [Google Scholar] [CrossRef]
- Hwang, Y.H.; Kim, Y.Y. Macular thickness and volume of myopic eyes measured using spectral domain optical coherence tomography. Clin. Exp. Optom. 2012, 95, 492–498. [Google Scholar] [CrossRef] [PubMed]
- Wu, P.C.; Chen, Y.J.; Chen, C.H.; Chen, Y.H.; Shin, S.J.; Yang, H.J.; Kuo, H.K. Assessment of macular retinal thickness and volume in normal eyes and highly myopic eyes with third genera tion optical coherence tomography. Eye 2008, 22, 551–555. [Google Scholar] [CrossRef]
- Wu, Q.; Chen, Q.; Lin, B.; Huang, S.; Wang, Y.; Zhang, L.; Lin, H.; Wang, J.; Lu, F.; Shen, M. Relationships among retinal/choroidal thickness, retinal microvascular network and visual field in high myopia. Acta Ophthalmol. 2020, 98, e709–e714. [Google Scholar] [CrossRef]
- Wang, W.W.; Wang, H.Z.; Liu, J.R.; Zhang, X.F.; Li, M.; Huo, Y.J.; Yang, X.G. Diagnostic ability of ganglion cell complex thickness to detect glaucoma in high myopia eyes by Fourier domain optical coherence tomography. Int. J. Ophthalmol. 2018, 11, 791–796. [Google Scholar]
- Kim, N.R.; Kim, J.H.; Lee, J.; Lee, E.S.; Seong, G.J.; Kim, C.Y. Determinants of perimacular inner retinal layer thickness in normal eyes measured by Fourier-domain optical coherence tomography. Investig. Ophthalmol. Vis. Sci. 2011, 52, 3413–3418. [Google Scholar] [CrossRef]
- Zhao, Z.; Jiang, C. Effect of myopia on ganglion cell complex and peripapillary retinal nerve fibre layer measurements: A Fourier-domain optical coherence tomography study of young Chinese persons. Clin. Exp. Ophthalmol. 2013, 41, 561–566. [Google Scholar] [CrossRef] [PubMed]
- Corvi, F.; Pellegrini, M.; Erba, S.; Cozzi, M.; Staurenghi, G.; Giani, A. Reproducibility of Vessel Density, Fractal Dimension, and Foveal Avascular Zone Using 7 Different Optical Coherence Tomography Angiography Devices. Am. J. Ophthalmol. 2018, 186, 25–31. [Google Scholar] [CrossRef] [PubMed]
- Sampson, D.M.; Gong, P.; An, D.; Menghini, M.; Hansen, A.; Mackey, D.A.; Sampson, D.D.; Chen, F.K. Axial Length Variation Impacts on Superficial Retinal Vessel Density and Foveal Avascular Zone Area Measurements Using Optical Coherence Tomography Angiography. Investig. Opthalmology Vis. Sci. 2017, 58, 3065. [Google Scholar] [CrossRef] [PubMed]

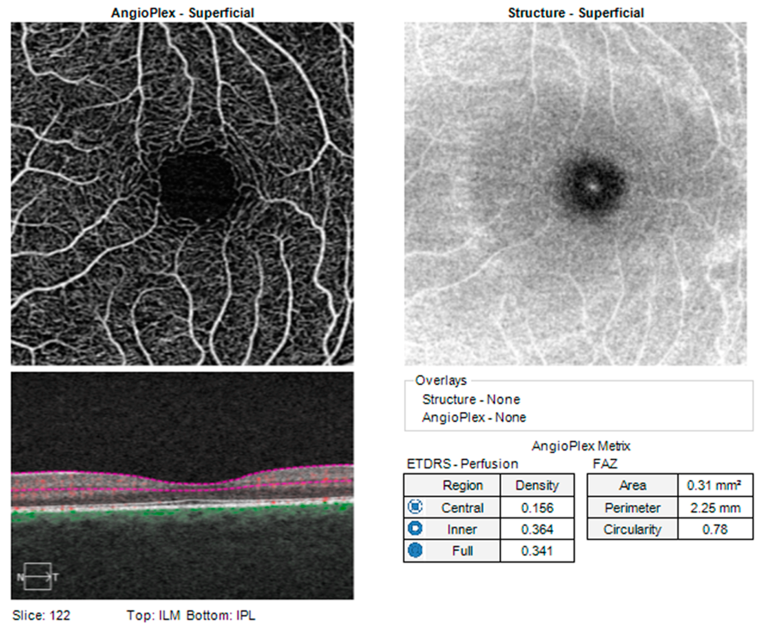
| Demographic Data | Low Myopia Group (n1 = 25) | Moderate Myopia Group (n2 = 21) | High Myopia Group (n3 = 22) | Control Group (n = 66) | p |
|---|---|---|---|---|---|
| Age ( ± SD) | 34.95 ± 9.20 | 32.35 ± 6.45 | 38.60 ± 6.87 | 34.43 ± 9.68 | 0.133 |
| Sex, n (%) | |||||
| Male | 9 (36.0) | 11 (52.4) | 6 (27.3) | 28 (42.4) | 0.452 |
| Female | 16 (64.0) | 10 (47.6) | 16 (72.7) | 38 (57.6) | |
| BMI, ( ± SD) | 24.25 ± 5.62 | 24.14 ± 2.99 | 24.12 ± 4.24 | 23.53 ± 4.04 | 0.914 |
| Low Myopia Group (n1 = 25) | Moderate Myopia Group (n2 = 21) | High Myopia Group (n3 = 22) | Control Group (n = 66) | p Value | Post Hoc | |
|---|---|---|---|---|---|---|
| AL, mm | 24.20 ± 0.47 | 25.19 ± 1.09 | 26.95 ± 2.17 | 22.37 ± 4.33 | p < 0.001 *a | C < L < M < H |
| Foveal thickness, μm | 260.45 ± 24.86 | 265.00 ± 26.46 | 258.62 ± 32.16 | 256.02 ± 16.97 | p = 0.618 | / |
| Vessel, mm−1 | ||||||
| central | 11.75 ± 3.68 | 10.34 ± 3.79 | 10.04 ± 3.37 | 11.59 ± 2.81 | 0.265 | / |
| inner | 21.13 ± 2.22 | 20.61 ± 1.47 | 19.74 ± 3.06 | 22.13 ± 1.48 | 0.001 *a | M < C, H < C |
| full | 20.06 ± 2.20 | 19.45 ± 1.54 | 18.62 ± 3.02 | 20.96 ± 1.50 | 0.001*a | M < C, H < C |
| Perfusion | ||||||
| central | 0.20 ± 0.06 | 0.18 ± 0.07 | 0.17 ± 0.06 | 0.20 ± 0.05 | 0.331 | / |
| inner | 0.38 ± 0.03 | 0.37 ± 0.03 | 0.36 ± 0.05 | 0.40 ± 0.02 | 0.001 *a | M < C, H < C |
| full | 0.36 ± 0.04 | 0.35 ± 0.03 | 0.37 ± 0.05 | 0.37 ± 0.03 | 0.002 *a | H < C |
| Foveal avascular zone | ||||||
| area | 0.24 ± 0.11 | 0.26 ± 0.15 | 0.21 ± 0.08 | 0.26 ± 0.08 | 0.425 | / |
| perimeter | 2.06 ± 0.57 | 2.18 ± 0.74 | 2.05 ± 0.44 | 2.15 ± 0.37 | 0.830 | / |
| index of circularity | 0.68 ± 0.07 | 0.64 ± 0.13 | 0.61 ± 0.10 | 0.70 ± 0.07 | 0.004 *a | H < C |
| GCC thickness, μm | ||||||
| average | 81.05 ± 4.49 | 82.92 ± 7.80 | 83.25 ± 9.58 | 84.19 ± 4.99 | 0.321 | / |
| minimal | 77.15 ± 6.43 | 75.85 ± 5.94 | 70.25 ± 18.62 | 80.79 ± 4.35 | 0.002 *a | H < C |
Disclaimer/Publisher’s Note: The statements, opinions and data contained in all publications are solely those of the individual author(s) and contributor(s) and not of MDPI and/or the editor(s). MDPI and/or the editor(s) disclaim responsibility for any injury to people or property resulting from any ideas, methods, instructions or products referred to in the content. |
© 2023 by the authors. Licensee MDPI, Basel, Switzerland. This article is an open access article distributed under the terms and conditions of the Creative Commons Attribution (CC BY) license (https://creativecommons.org/licenses/by/4.0/).
Share and Cite
Živković, M.L.J.; Lazić, L.; Zlatanovic, M.; Zlatanović, N.; Brzaković, M.; Jovanović, M.; Barišić, S.; Darabus, D.-M. The Influence of Myopia on the Foveal Avascular Zone and Density of Blood Vessels of the Macula—An OCTA Study. Medicina 2023, 59, 452. https://doi.org/10.3390/medicina59030452
Živković MLJ, Lazić L, Zlatanovic M, Zlatanović N, Brzaković M, Jovanović M, Barišić S, Darabus D-M. The Influence of Myopia on the Foveal Avascular Zone and Density of Blood Vessels of the Macula—An OCTA Study. Medicina. 2023; 59(3):452. https://doi.org/10.3390/medicina59030452
Chicago/Turabian StyleŽivković, Maja L.J., Lazar Lazić, Marko Zlatanovic, Nevena Zlatanović, Mladen Brzaković, Mihailo Jovanović, Sava Barišić, and Diana-Maria Darabus. 2023. "The Influence of Myopia on the Foveal Avascular Zone and Density of Blood Vessels of the Macula—An OCTA Study" Medicina 59, no. 3: 452. https://doi.org/10.3390/medicina59030452
APA StyleŽivković, M. L. J., Lazić, L., Zlatanovic, M., Zlatanović, N., Brzaković, M., Jovanović, M., Barišić, S., & Darabus, D.-M. (2023). The Influence of Myopia on the Foveal Avascular Zone and Density of Blood Vessels of the Macula—An OCTA Study. Medicina, 59(3), 452. https://doi.org/10.3390/medicina59030452

