Cardiovascular Magnetic Resonance Imaging in Familial Dilated Cardiomyopathy
Abstract
1. Introduction
2. Diagnosis
3. Genetics in Familial DCMs
4. Cardiac Imaging in Familial DCMs
5. CMR Sequences for DCM Assessment
6. CMR Characteristics of Familial DCMs
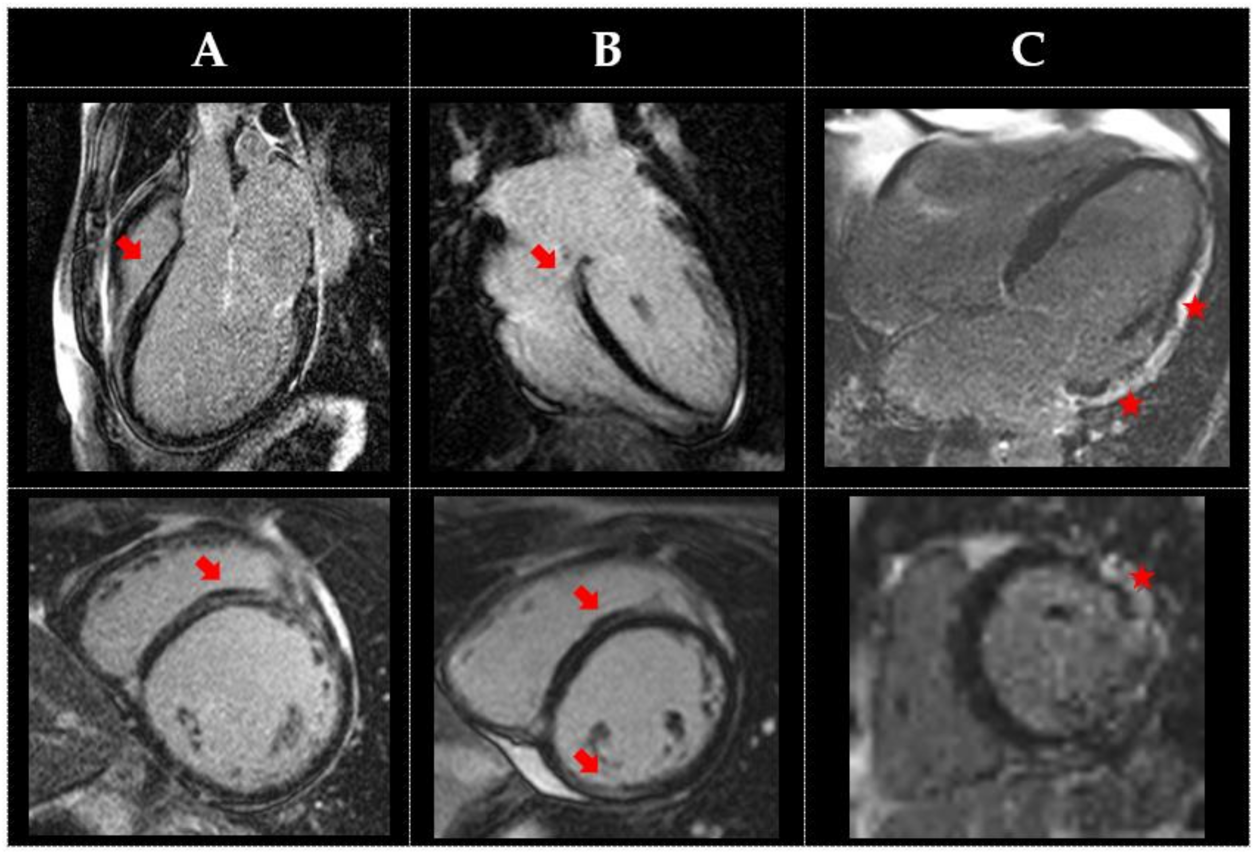
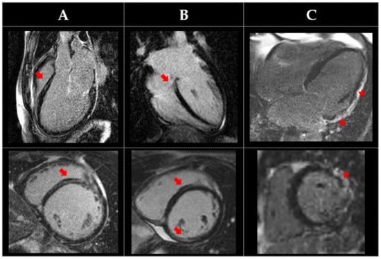
6.1. Lamin A/C Cardiomyopathy
6.2. Duchenne and Becker Muscular Dystrophies
6.3. Arrhythmogenic Cardiomyopathy
6.4. Sarcomeric Cardiomyopathies
6.5. Mitochondrial Disease
6.6. Glycogen Storage Disorders
7. Risk Stratification by CMR
7.1. Late Gadolinium Enhancement
7.2. T1 Mapping and Extracellular Volume Assessment
7.3. Strain Imaging
7.4. Right Ventricular Characteristics
8. Role of CMR in Guiding Device Therapy
9. Future Directions
10. Conclusions
Supplementary Materials
Author Contributions
Funding
Institutional Review Board Statement
Informed Consent Statement
Data Availability Statement
Conflicts of Interest
References
- Schultheiss, H.P.; Fairweather, D.L.; Caforio, A.L.P.; Escher, F.; Hershberger, R.E.; Lipshultz, S.E.; Liu, P.P.; Matsumori, A.; Mazzanti, A.; McMurray, J.; et al. Dilated Cardiomyopathy. Nat. Rev. Dis. Prim. 2019, 5, 32. [Google Scholar] [CrossRef]
- Amin, R.; Jones, R.; Hammersley, D.; Gati, S.; Khalique, Z.; Almogheer, B.; Pennell, D.J.; Pantazis, A.; Baksi, J.; Prasad, S.K.; et al. Abstract 15590: Genetic Testing and Cardiac Magnetic Resonance Imaging Results Improve Precision Stratification in Dilated Cardiomyopathy. Circulation 2020, 142, A15590. [Google Scholar] [CrossRef]
- McNally, E.M.; Mestroni, L. Dilated Cardiomyopathy. Circ. Res. 2017, 121, 731–748. [Google Scholar] [CrossRef]
- Hershberger, R.E.; Hedges, D.J.; Morales, A. Dilated Cardiomyopathy: The Complexity of a Diverse Genetic Architecture. Nat. Rev. Cardiol. 2013, 10, 531–547. [Google Scholar] [CrossRef]
- Petretta, M.; Pirozzi, F.; Sasso, L.; Paglia, A.; Bonaduce, D. Review and Metaanalysis of the Frequency of Familial Dilated Cardiomyopathy. Am. J. Cardiol. 2011, 108, 1171–1176. [Google Scholar] [CrossRef]
- Mestroni, L.; Maisch, B.; McKenna, W.J.; Schwartz, K.; Charron, P.; Rocco, C.; Tesson, F.; Richter, A.; Wilke, A.; Komajda, M. Guidelines for the Study of Familial Dilated Cardiomyopathies. Collaborative Research Group of the European Human and Capital Mobility Project on Familial Dilated Cardiomyopathy. Eur. Heart J. 1999, 20, 93–102. [Google Scholar] [CrossRef]
- Pirruccello, J.P.; Bick, A.; Wang, M.; Chaffin, M.; Friedman, S.; Yao, J.; Guo, X.; Venkatesh, B.A.; Taylor, K.D.; Post, W.S.; et al. Analysis of Cardiac Magnetic Resonance Imaging in 36,000 Individuals Yields Genetic Insights into Dilated Cardiomyopathy. Nat. Commun. 2020, 11, 2254. [Google Scholar] [CrossRef]
- Ganesh, S.K.; Arnett, D.K.; Assimes, T.L.; Basson, C.T.; Chakravarti, A.; Ellinor, P.T.; Engler, M.B.; Goldmuntz, E.; Herrington, D.M.; Hershberger, R.E.; et al. Genetics and Genomics for the Prevention and Treatment of Cardiovascular Disease: Update. Circulation 2013, 128, 2813–2851. [Google Scholar] [CrossRef]
- Rosenbaum, A.N.; Agre, K.E.; Pereira, N.L. Genetics of Dilated Cardiomyopathy: Practical Implications for Heart Failure Management. Nat. Rev. Cardiol. 2020, 17, 286–297. [Google Scholar] [CrossRef]
- Kinnamon, D.D.; Morales, A.; Bowen, D.J.; Burke, W.; Hershberger, R.E.; Morales, A.; Bowen, D.J.; Gastier-Foster, J.M.; Nickerson, D.A.; Dorschner, M.O.; et al. Toward Genetics-Driven Early Intervention in Dilated Cardiomyopathy: Design and Implementation of the DCM Precision Medicine Study. Circ. Cardiovasc. Genet. 2017, 10, e001826. [Google Scholar] [CrossRef]
- Wilde, A.A.M.; Semsarian, C.; Márquez, M.F.; Shamloo, A.S.; Ackerman, M.J.; Ashley, E.A.; Sternick, E.B.; Barajas-Martinez, H.; Behr, E.R.; Bezzina, C.R.; et al. European Heart Rhythm Association (EHRA)/Heart Rhythm Society (HRS)/Asia Heart Rhythm Society (APHRS)/Latin American Heart Rhythm Society (LAHRS) Expert Statement on the State of Genetic Testing for Cardiac Diseases. Europace 2022, 24, 1307. [Google Scholar] [CrossRef]
- Villard, E.; Perret, C.; Gary, F.; Proust, C.; Dilanian, G.; Hengstenberg, C.; Ruppert, V.; Arbustini, E.; Wichter, T.; Germain, M.; et al. A Genome-Wide Association Study Identifies Two Loci Associated with Heart Failure Due to Dilated Cardiomyopathy. Eur. Heart J. 2011, 32, 1065–1076. [Google Scholar] [CrossRef]
- Esslinger, U.; Garnier, S.; Korniat, A.; Proust, C.; Kararigas, G.; Müller-Nurasyid, M.; Empana, J.P.; Morley, M.P.; Perret, C.; Stark, K.; et al. Exome-Wide Association Study Reveals Novel Susceptibility Genes to Sporadic Dilated Cardiomyopathy. PLoS ONE 2017, 12, e0172995. [Google Scholar] [CrossRef]
- Meder, B.; Rühle, F.; Weis, T.; Homuth, G.; Keller, A.; Franke, J.; Peil, B.; Bermejo, J.L.; Frese, K.; Huge, A.; et al. A Genome-Wide Association Study Identifies 6p21 as Novel Risk Locus for Dilated Cardiomyopathy. Eur. Heart J. 2014, 35, 1069–1077. [Google Scholar] [CrossRef]
- Cordero-Reyes, A.M.; Youker, K.; Estep, J.D.; Torre-Amione, G.; Nagueh, S.F. Molecular and Cellular Correlates of Cardiac Function in End-Stage DCM: A Study Using Speckle Tracking Echocardiography. JACC Cardiovasc. Imaging 2014, 7, 441–452. [Google Scholar] [CrossRef]
- Japp, A.G.; Gulati, A.; Cook, S.A.; Cowie, M.R.; Prasad, S.K. The Diagnosis and Evaluation of Dilated Cardiomyopathy. J. Am. Coll. Cardiol. 2016, 67, 2996–3010. [Google Scholar] [CrossRef]
- Gao, C.; Tao, Y.; Pan, J.; Shen, C.; Zhang, J.; Xia, Z.; Wan, Q.; Wu, H.; Gao, Y.; Shen, H.; et al. Evaluation of Elevated Left Ventricular End Diastolic Pressure in Patients with Preserved Ejection Fraction Using Cardiac Magnetic Resonance. Eur. Radiol. 2019, 29, 2360–2368. [Google Scholar] [CrossRef]
- Amzulescu, M.S.; Rousseau, M.F.; Ahn, S.A.; Boileau, L.; de Meester De Ravenstein, C.; Vancraeynest, D.; Pasquet, A.; Vanoverschelde, J.L.; Pouleur, A.C.; Gerber, B.L. Prognostic Impact of Hypertrabeculation and Noncompaction Phenotype in Dilated Cardiomyopathy: A CMR Study. JACC Cardiovasc. Imaging 2015, 8, 934–946. [Google Scholar] [CrossRef]
- Dawson, D.K.; McLernon, D.J.; Raj, V.J.; Maceira, A.M.; Prasad, S.; Frenneaux, M.P.; Pennell, D.J.; Kilner, P.J. Cardiovascular Magnetic Resonance Determinants of Left Ventricular Noncompaction. Am. J. Cardiol. 2014, 114, 456–462. [Google Scholar] [CrossRef]
- Becker, M.A.J.; Cornel, J.H.; van de Ven, P.M.; van Rossum, A.C.; Allaart, C.P.; Germans, T. The Prognostic Value of Late Gadolinium-Enhanced Cardiac Magnetic Resonance Imaging in Nonischemic Dilated Cardiomyopathy: A Review and Meta-Analysis. JACC Cardiovasc. Imaging 2018, 11, 1274–1284. [Google Scholar] [CrossRef]
- Fox, E.R.; Musani, S.K.; Barbalic, M.; Lin, H.; Yu, B.; Ogunyankin, K.O.; Smith, N.L.; Kutlar, A.; Glazer, N.L.; Post, W.S.; et al. Genome-Wide Association Study of Cardiac Structure and Systolic Function in African Americans: The Candidate Gene Association Resource (CARe) Study. Circ. Cardiovasc. Genet. 2013, 6, 37–46. [Google Scholar] [CrossRef]
- Van Berlo, J.H.; de Voogt, W.G.; van der Kooi, A.J.; van Tintelen, J.P.; Bonne, G.; Yaou, R.B.; Duboc, D.; Rossenbacker, T.; Heidbüchel, H.; de Visser, M.; et al. Meta-Analysis of Clinical Characteristics of 299 Carriers of LMNA Gene Mutations: Do Lamin A/C Mutations Portend a High Risk of Sudden Death? J. Mol. Med. 2004, 83, 79–83. [Google Scholar] [CrossRef]
- Captur, G.; Arbustini, E.; Bonne, G.; Syrris, P.; Mills, K.; Wahbi, K.; Mohiddin, S.A.; McKenna, W.J.; Pettit, S.; Ho, C.Y.; et al. Lamin and the Heart. Heart 2018, 104, 468–479. [Google Scholar] [CrossRef]
- Van Rijsingen, I.A.W.; Nannenberg, E.A.; Arbustini, E.; Elliott, P.M.; Mogensen, J.; Hermans-van Ast, J.F.; van der Kooi, A.J.; van Tintelen, J.P.; van den Berg, M.P.; Grasso, M.; et al. Gender-Specific Differences in Major Cardiac Events and Mortality in Lamin A/C Mutation Carriers. Eur. J. Heart Fail. 2013, 15, 376–384. [Google Scholar] [CrossRef]
- Haugaa, K.H.; Hasselberg, N.E.; Edvardsen, T. Mechanical Dispersion by Strain Echocardiography: A Predictor of Ventricular Arrhythmias in Subjects with Lamin A/C Mutations. JACC Cardiovasc. Imaging 2015, 8, 104–106. [Google Scholar] [CrossRef]
- Raman, S.V.; Sparks, E.A.; Baker, P.M.; McCarthy, B.; Wooley, C.F. Mid-Myocardial Fibrosis by Cardiac Magnetic Resonance in Patients with Lamin A/C Cardiomyopathy: Possible Substrate for Diastolic Dysfunction. J. Cardiovasc. Magn. Reson. 2007, 9, 907–913. [Google Scholar] [CrossRef]
- Holmström, M.; Kivistö, S.; Heliö, T.; Jurkko, R.; Kaartinen, M.; Antila, M.; Reissell, E.; Kuusisto, J.; Kärkkäinen, S.; Peuhkurinen, K.; et al. Late Gadolinium Enhanced Cardiovascular Magnetic Resonance of Lamin A/C Gene Mutation Related Dilated Cardiomyopathy. J. Cardiovasc. Magn. Reson. 2011, 13, 30. [Google Scholar] [CrossRef]
- Hasselberg, N.E.; Edvardsen, T.; Petri, H.; Berge, K.E.; Leren, T.P.; Bundgaard, H.; Haugaa, K.H. Risk Prediction of Ventricular Arrhythmias and Myocardial Function in Lamin A/C Mutation Positive Subjects. Europace 2014, 16, 563–571. [Google Scholar] [CrossRef]
- Fontana, M.; Barison, A.; Botto, N.; Panchetti, L.; Ricci, G.; Milanesi, M.; Poletti, R.; Positano, V.; Siciliano, G.; Passino, C.; et al. CMR-Verified Interstitial Myocardial Fibrosis as a Marker of Subclinical Cardiac Involvement in LMNA Mutation Carriers. JACC Cardiovasc. Imaging 2013, 6, 124–126. [Google Scholar] [CrossRef]
- Magrath, P.; Maforo, N.; Renella, P.; Nelson, S.F.; Halnon, N.; Ennis, D.B. Cardiac MRI Biomarkers for Duchenne Muscular Dystrophy. Biomark. Med. 2018, 12, 1271–1289. [Google Scholar] [CrossRef]
- Verhaert, D.; Richards, K.; Rafael-Fortney, J.A.; Raman, S.V. Cardiac Involvement in Patients with Muscular Dystrophies: Magnetic Resonance Imaging Phenotype and Genotypic Considerations. Circ. Cardiovasc. Imaging 2011, 4, 67. [Google Scholar] [CrossRef]
- Soslow, J.H.; Damon, S.M.; Crum, K.; Lawson, M.A.; Slaughter, J.C.; Xu, M.; Arai, A.E.; Sawyer, D.B.; Parra, D.A.; Damon, B.M.; et al. Increased Myocardial Native T1 and Extracellular Volume in Patients with Duchenne Muscular Dystrophy. J. Cardiovasc. Magn. Reson. 2016, 18, 5. [Google Scholar] [CrossRef]
- Starc, J.J.; Moore, R.A.; Rattan, M.S.; Villa, C.R.; Gao, Z.; Mazur, W.; Jefferies, J.L.; Taylor, M.D. Elevated Myocardial Extracellular Volume Fraction in Duchenne Muscular Dystrophy. Pediatr. Cardiol. 2017, 38, 1485–1492. [Google Scholar] [CrossRef]
- Wansapura, J.P.; Hor, K.N.; Mazur, W.; Fleck, R.; Hagenbuch, S.; Benson, D.W.; Gottliebson, W.M. Left Ventricular T2 Distribution in Duchenne Muscular Dystrophy. J. Cardiovasc. Magn. Reson. 2010, 12, 14. [Google Scholar] [CrossRef]
- Gaur, L.; Hanna, A.; Bandettini, W.P.; Fischbeck, K.H.; Arai, A.E.; Mankodi, A. Upper Arm and Cardiac Magnetic Resonance Imaging in Duchenne Muscular Dystrophy. Ann. Clin. Transl. Neurol. 2016, 3, 948–955. [Google Scholar] [CrossRef]
- Hor, K.N.; Wansapura, J.; Markham, L.W.; Mazur, W.; Cripe, L.H.; Fleck, R.; Benson, D.W.; Gottliebson, W.M. Circumferential Strain Analysis Identifies Strata of Cardiomyopathy in Duchenne Muscular Dystrophy: A Cardiac Magnetic Resonance Tagging Study. J. Am. Coll. Cardiol. 2009, 53, 1204. [Google Scholar] [CrossRef]
- Florian, A.; Ludwig, A.; Engelen, M.; Waltenberger, J.; Rösch, S.; Sechtem, U.; Yilmaz, A. Left Ventricular Systolic Function and the Pattern of Late-Gadolinium-Enhancement Independently and Additively Predict Adverse Cardiac Events in Muscular Dystrophy Patients. J. Cardiovasc. Magn. Reson. 2014, 16, 81. [Google Scholar] [CrossRef]
- Menon, S.C.; Etheridge, S.P.; Liesemer, K.N.; Williams, R.V.; Bardsley, T.; Heywood, M.C.; Puchalski, M.D. Predictive Value of Myocardial Delayed Enhancement in Duchenne Muscular Dystrophy. Pediatr. Cardiol. 2014, 35, 1279–1285. [Google Scholar] [CrossRef]
- Tsalamandris, S.; Oikonomou, E.; Vogiatzi, G.; Miliou, A.; Lazaros, G.; Georgakopoulos, C.; Gialafos, E.; Sideris, S.; Vlachopoulos, C.; Tousoulis, D. X-Linked Dilated Cardiomyopathy: The Important Role of Genetic Tests and Imaging in the Early Diagnosis and Treatment. Future Cardiol. 2020, 16, 629–634. [Google Scholar] [CrossRef]
- Celeghin, R.; Cipriani, A.; Bariani, R.; Bueno Marinas, M.; Cason, M.; Bevilacqua, M.; de Gaspari, M.; Rizzo, S.; Rigato, I.; da Pozzo, S.; et al. Filamin-C Variant-Associated Cardiomyopathy: A Pooled Analysis of Individual Patient Data to Evaluate the Clinical Profile and Risk of Sudden Cardiac Death. Heart Rhythm 2022, 19, 235–243. [Google Scholar] [CrossRef]
- Mogensen, J.; Murphy, R.T.; Shaw, T.; Bahl, A.; Redwood, C.; Watkins, H.; Burke, M.; Elliott, P.M.; McKenna, W.J. Severe Disease Expression of Cardiac Troponin C and T Mutations in Patients with Idiopathic Dilated Cardiomyopathy. J. Am. Coll. Cardiol. 2004, 44, 2033–2040. [Google Scholar] [CrossRef]
- Laurent, G.; Saal, S.; Amarouch, M.Y.; Béziau, D.M.; Marsman, R.F.J.; Faivre, L.; Barc, J.; Dina, C.; Bertaux, G.; Barthez, O.; et al. Multifocal Ectopic Purkinje-Related Premature Contractions: A New SCN5A-Related Cardiac Channelopathy. J. Am. Coll. Cardiol. 2012, 60, 144–156. [Google Scholar] [CrossRef]
- Rico, Y.; Ramis, M.F.; Massot, M.; Torres-Juan, L.; Pons, J.; Fortuny, E.; Ripoll-Vera, T.; González, R.; Peral, V.; Rossello, X.; et al. Familial Dilated Cardiomyopathy and Sudden Cardiac Arrest: New Association with a SCN5A Mutation. Genes 2021, 12, 1889. [Google Scholar] [CrossRef]
- Olivotto, I.; D’Amati, G.; Basso, C.; van Rossum, A.; Patten, M.; Emdin, M.; Pinto, Y.; Tomberli, B.; Camici, P.G.; Michels, M. Defining Phenotypes and Disease Progression in Sarcomeric Cardiomyopathies: Contemporary Role of Clinical Investigations. Cardiovasc. Res. 2015, 105, 409–423. [Google Scholar] [CrossRef]
- Lakdawala, N.K.; Dellefave, L.; Redwood, C.S.; Sparks, E.; Cirino, A.L.; Depalma, S.; Colan, S.D.; Funke, B.; Zimmerman, R.S.; Robinson, P.; et al. Familial Dilated Cardiomyopathy Caused by an Alpha-Tropomyosin Mutation: The Distinctive Natural History of Sarcomeric DCM. J. Am. Coll. Cardiol. 2010, 55, 320. [Google Scholar] [CrossRef]
- Raman, S.V.; Basso, C.; Tandri, H.; Taylor, M.R.G. Imaging Phenotype vs Genotype in Nonhypertrophic Heritable Cardiomyopathies: Dilated Cardiomyopathy and Arrhythmogenic Right Ventricular Cardiomyopathy. Circ. Cardiovasc. Imaging 2010, 3, 753–765. [Google Scholar] [CrossRef]
- Ripoll-Vera, T.; Zorio, E.; Gámez, J.M.; Molina, P.; Govea, N.; Crémer, D. Phenotypic Patterns of Cardiomyopathy Caused by Mutations in the Desmin Gene. A Clinical and Genetic Study in Two Inherited Heart Disease Units. Rev. Esp. Cardiol. (Engl. Ed.) 2015, 68, 1027–1029. [Google Scholar] [CrossRef]
- Huang, Y.S.; Xing, Y.L.; Li, H.W. Heterozygous Desmin Gene (DES) Mutation Contributes to Familial Dilated Cardiomyopathy. J. Int. Med. Res. 2021, 49, 1–7. [Google Scholar] [CrossRef]
- Chen, Z.; Li, R.; Wang, Y.; Cao, L.; Lin, C.; Liu, F.; Hu, R.; Nan, J.; Zhuang, X.; Lu, X.; et al. Features of Myocardial Injury Detected by Cardiac Magnetic Resonance in a Patient with Desmin-Related Restrictive Cardiomyopathy. ESC Heart Fail. 2021, 8, 5560–5564. [Google Scholar] [CrossRef]
- Liu, X.; Liu, Y.; Li, B.; Wang, L.; Zhang, W. Case Report: An Unusual Case of Desmin Myopathy Associated with Heart Failure and Arrhythmia. Front. Cardiovasc. Med. 2022, 9, 1986. [Google Scholar] [CrossRef]
- Oates, E.C.; Jones, K.J.; Donkervoort, S.; Charlton, A.; Brammah, S.; Smith, J.E.; Ware, J.S.; Yau, K.S.; Swanson, L.C.; Whiffin, N.; et al. Congenital Titinopathy: Comprehensive Characterization and Pathogenic Insights. Ann. Neurol. 2018, 83, 1105–1124. [Google Scholar] [CrossRef]
- Tayal, U.; Newsome, S.; Buchan, R.; Whiffin, N.; Halliday, B.; Lota, A.; Roberts, A.; Baksi, A.J.; Voges, I.; Midwinter, W.; et al. Phenotype and Clinical Outcomes of Titin Cardiomyopathy. J. Am. Coll. Cardiol. 2017, 70, 2264–2274. [Google Scholar] [CrossRef]
- Meyers, D.E.; Basha, H.I.; Koenig, M.K. Mitochondrial Cardiomyopathy: Pathophysiology, Diagnosis, and Management. Tex Heart Inst. J. 2013, 40, 385. [Google Scholar]
- Baksi, A.J.; Roberts, A.M.; Ware, J.S.; Gulati, A.; Buchan, R.J.; Walsh, R.; John, S.; Wilkinson, S.; Ali, A.; Assomull, R.G.; et al. Titin: A Phenotype-Genotype Descriptive Comparison of Dilated Cardiomyopathy. J. Cardiovasc. Magn. Reson. 2014, 16, O89. [Google Scholar] [CrossRef]
- Verdonschot, J.A.J.; Hazebroek, M.R.; Derks, K.W.J.; Barandiarán Aizpurua, A.; Merken, J.J.; Wang, P.; Bierau, J.; van den Wijngaard, A.; Schalla, S.M.; Abdul Hamid, M.A.; et al. Titin Cardiomyopathy Leads to Altered Mitochondrial Energetics, Increased Fibrosis and Long-Term Life-Threatening Arrhythmias. Eur. Heart J. 2018, 39, 864–873. [Google Scholar] [CrossRef]
- El-Hattab, A.W.; Scaglia, F. Mitochondrial Cardiomyopathies. Front. Cardiovasc. Med. 2016, 3, 25. [Google Scholar] [CrossRef]
- He, J.; Xu, J.; Chen, L.; Ji, K.; Fan, X.; Zhao, S.; Lu, M. Clinical Features and Cardiovascular Magnetic Resonance Characteristics in Danon Disease. Clin. Radiol. 2020, 75, 712.e1–712.e11. [Google Scholar] [CrossRef]
- Køber, L.; Thune, J.J.; Nielsen, J.C.; Haarbo, J.; Videbæk, L.; Korup, E.; Jensen, G.; Hildebrandt, P.; Steffensen, F.H.; Bruun, N.E.; et al. Defibrillator Implantation in Patients with Nonischemic Systolic Heart Failure. N. Engl. J. Med. 2016, 375, 1221–1230. [Google Scholar] [CrossRef]
- Halliday, B.P.; Baksi, A.J.; Gulati, A.; Ali, A.; Newsome, S.; Izgi, C.; Arzanauskaite, M.; Lota, A.; Tayal, U.; Vassiliou, V.S.; et al. Outcome in Dilated Cardiomyopathy Related to the Extent, Location, and Pattern of Late Gadolinium Enhancement. JACC Cardiovasc. Imaging 2019, 12, 1645–1655. [Google Scholar] [CrossRef]
- Assomull, R.G.; Prasad, S.K.; Lyne, J.; Smith, G.; Burman, E.D.; Khan, M.; Sheppard, M.N.; Poole-Wilson, P.A.; Pennell, D.J. Cardiovascular Magnetic Resonance, Fibrosis, and Prognosis in Dilated Cardiomyopathy. J. Am. Coll. Cardiol. 2006, 48, 1977–1985. [Google Scholar] [CrossRef]
- Perazzolo Marra, M.; de Lazzari, M.; Zorzi, A.; Migliore, F.; Zilio, F.; Calore, C.; Vettor, G.; Tona, F.; Tarantini, G.; Cacciavillani, L.; et al. Impact of the Presence and Amount of Myocardial Fibrosis by Cardiac Magnetic Resonance on Arrhythmic Outcome and Sudden Cardiac Death in Nonischemic Dilated Cardiomyopathy. Heart Rhythm 2014, 11, 856–863. [Google Scholar] [CrossRef]
- Gulati, A.; Jabbour, A.; Ismail, T.F.; Guha, K.; Khwaja, J.; Raza, S.; Morarji, K.; Brown, T.D.H.; Ismail, N.A.; Dweck, M.R.; et al. Association of Fibrosis With Mortality and Sudden Cardiac Death in Patients With Nonischemic Dilated Cardiomyopathy. JAMA 2013, 309, 896–908. [Google Scholar] [CrossRef]
- Di Marco, A.; Brown, P.F.; Bradley, J.; Nucifora, G.; Claver, E.; de Frutos, F.; Dallaglio, P.D.; Comin-Colet, J.; Anguera, I.; Miller, C.A.; et al. Improved Risk Stratification for Ventricular Arrhythmias and Sudden Death in Patients With Nonischemic Dilated Cardiomyopathy. J. Am. Coll. Cardiol. 2021, 77, 2890–2905. [Google Scholar] [CrossRef]
- Masci, P.G.; Schuurman, R.; Andrea, B.; Ripoli, A.; Coceani, M.; Chiappino, S.; Todiere, G.; Srebot, V.; Passino, C.; Aquaro, G.D.; et al. Myocardial Fibrosis as a Key Determinant of Left Ventricular Remodeling in Idiopathic Dilated Cardiomyopathy: A Contrast-Enhanced Cardiovascular Magnetic Study. Circ. Cardiovasc. Imaging 2013, 6, 790–799. [Google Scholar] [CrossRef]
- Chen, Z.; Sohal, M.; Voigt, T.; Sammut, E.; Tobon-Gomez, C.; Child, N.; Jackson, T.; Shetty, A.; Bostock, J.; Cooklin, M.; et al. Myocardial Tissue Characterization by Cardiac Magnetic Resonance Imaging Using T1 Mapping Predicts Ventricular Arrhythmia in Ischemic and Non-Ischemic Cardiomyopathy Patients with Implantable Cardioverter-Defibrillators. Heart Rhythm 2015, 12, 792–801. [Google Scholar] [CrossRef]
- Puntmann, V.O.; Carr-White, G.; Jabbour, A.; Yu, C.Y.; Gebker, R.; Kelle, S.; Hinojar, R.; Doltra, A.; Varma, N.; Child, N.; et al. T1-Mapping and Outcome in Nonischemic Cardiomyopathy: All-Cause Mortality and Heart Failure. JACC Cardiovasc. Imaging 2016, 9, 40–50. [Google Scholar] [CrossRef]
- Vita, T.; Gräni, C.; Abbasi, S.A.; Neilan, T.G.; Rowin, E.; Kaneko, K.; Coelho-Filho, O.; Watanabe, E.; Mongeon, F.P.; Farhad, H.; et al. Comparing CMR Mapping Methods and Myocardial Patterns Toward Heart Failure Outcomes in Nonischemic Dilated Cardiomyopathy. JACC Cardiovasc. Imaging 2019, 12, 1659–1669. [Google Scholar] [CrossRef]
- Buss, S.J.; Breuninger, K.; Lehrke, S.; Voss, A.; Galuschky, C.; Lossnitzer, D.; Andre, F.; Ehlermann, P.; Franke, J.; Taeger, T.; et al. Assessment of Myocardial Deformation with Cardiac Magnetic Resonance Strain Imaging Improves Risk Stratification in Patients with Dilated Cardiomyopathy. Eur. Heart J. Cardiovasc. Imaging 2015, 16, 307–315. [Google Scholar] [CrossRef]
- Voelkel, N.F.; Quaife, R.A.; Leinwand, L.A.; Barst, R.J.; McGoon, M.D.; Meldrum, D.R.; Dupuis, J.; Long, C.S.; Rubin, L.J.; Smart, F.W.; et al. Right Ventricular Function and Failure. Circulation 2006, 114, 1883–1891. [Google Scholar] [CrossRef]
- Edward, J.; Banchs, J.; Parker, H.; Cornwell, W. Right Ventricular Function across the Spectrum of Health and Disease. Heart 2022, 18, 5. [Google Scholar] [CrossRef]
- Gulati, A.; Ismail, T.F.; Jabbour, A.; Alpendurada, F.; Guha, K.; Ismail, N.A.; Raza, S.; Khwaja, J.; Brown, T.D.H.; Morarji, K.; et al. The Prevalence and Prognostic Significance of Right Ventricular Systolic Dysfunction in Nonischemic Dilated Cardiomyopathy. Circulation 2013, 128, 1623–1633. [Google Scholar] [CrossRef]
- Zeppenfeld, K.; Tfelt-Hansen, J.; de Riva, M.; Winkel, B.G.; Behr, E.R.; Blom, N.A.; Charron, P.; Corrado, D.; Dagres, N.; de Chillou, C.; et al. 2022 ESC Guidelines for the Management of Patients with Ventricular Arrhythmias and the Prevention of Sudden Cardiac Death. Eur. Heart J. 2022, 43, 3997–4126. [Google Scholar] [CrossRef]
- Gutman, S.J.; Costello, B.T.; Papapostolou, S.; Voskoboinik, A.; Iles, L.; Ja, J.; Hare, J.L.; Ellims, A.; Kistler, P.M.; Marwick, T.H.; et al. Reduction in Mortality from Implantable Cardioverter-Defibrillators in Non-Ischaemic Cardiomyopathy Patients Is Dependent on the Presence of Left Ventricular Scar. Eur. Heart J. 2019, 40, 542–550. [Google Scholar] [CrossRef]
- Elming, M.B.; Hammer-Hansen, S.; Voges, I.; Nyktari, E.; Raja, A.A.; Svendsen, J.H.; Pehrson, S.; Signorovitch, J.; Køber, L.; Prasad, S.K.; et al. Myocardial Fibrosis and the Effect of Primary Prophylactic Defibrillator Implantation in Patients with Non-Ischemic Systolic Heart Failure-DANISH-MRI. Am. Heart J. 2020, 221, 165–176. [Google Scholar] [CrossRef]
- Chalil, S.; Stegemann, B.; Muhyaldeen, S.; Khadjooi, K.; Smith, R.E.A.; Jordan, P.J.; Leyva, F. Intraventricular Dyssynchrony Predicts Mortality and Morbidity After Cardiac Resynchronization Therapy: A Study Using Cardiovascular Magnetic Resonance Tissue Synchronization Imaging. J. Am. Coll. Cardiol. 2007, 50, 243–252. [Google Scholar] [CrossRef]
- Wong, T.C.; Piehler, K.M.; Zareba, K.M.; Lin, K.; Phrampus, A.; Patel, A.; Moon, J.C.; Ugander, M.; Valeti, U.; Holtz, J.E.; et al. Myocardial Damage Detected by Late Gadolinium Enhancement Cardiovascular Magnetic Resonance Is Associated with Subsequent Hospitalization for Heart Failure. J. Am. Heart Assoc. 2013, 2, e000416. [Google Scholar] [CrossRef]
- Leyva, F.; Foley, P.W.X.; Chalil, S.; Ratib, K.; Smith, R.E.A.; Prinzen, F.; Auricchio, A. Cardiac Resynchronization Therapy Guided by Late Gadolinium-Enhancement Cardiovascular Magnetic Resonance. J. Cardiovasc. Magn. Reson. 2011, 13, 29. [Google Scholar] [CrossRef]
- Nielles-Vallespin, S.; Khalique, Z.; Ferreira, P.F.; de Silva, R.; Scott, A.D.; Kilner, P.; McGill, L.A.; Giannakidis, A.; Gatehouse, P.D.; Ennis, D.; et al. Assessment of Myocardial Microstructural Dynamics by In Vivo Diffusion Tensor Cardiac Magnetic Resonance. J. Am. Coll. Cardiol. 2017, 69, 661–676. [Google Scholar] [CrossRef]
- Khalique, Z.; Ferreira, P.F.; Scott, A.D.; Nielles-Vallespin, S.; Wage, R.; Firmin, D.N.; Pennell, D.J. Diffusion Tensor Cardiovascular Magnetic Resonance of Microstructural Recovery in Dilated Cardiomyopathy. JACC Cardiovasc. Imaging 2018, 11, 1548–1550. [Google Scholar] [CrossRef]
- Eriksson, J.; Bolger, A.F.; Ebbers, T.; Carlhäll, C.J. Four-Dimensional Blood Flow-Specific Markers of LV Dysfunction in Dilated Cardiomyopathy. Eur. Heart J. Cardiovasc. Imaging 2013, 14, 417–424. [Google Scholar] [CrossRef]


| Mutation | Screening and Transmission | Age of Presentation/Prognosis | ECG and Clinical Features | Extra-Cardiac Features | Imaging Features/Volume and Function | Tissue Characterization | Arrhythmia/Conduction Disease Risk |
|---|---|---|---|---|---|---|---|
| Lamin | Recommended commencing 10–12 years by ECG and Echo Autosomal dominant | Young age onset and progression | Conduction or depolarization abnormalities, such as IVCD/BBB/ Early abnormalities in strain or diastolic function | Arterial and venous thromboembolism | Isolated LV dilation or dysfunction; marked dilation unusual Wall thinning not present RWMAs (basal) in Lamin A/C HNDCM to DCM progress | Prominent right ventricular epicardial fat Early increase in ECV LGE shows basal to mid septal, mid-myocardial fibrosis (extensive fibrosis only late in disease) | Increased arrhythmias and both AV and SA nodal conduction disease |
| Dystrophin (DMD and BMD) | Cardiac screening recommended in mutation carrier females along with affected males Consider CMR in screening alongside ECG and echo X linked | Childhood onset, progression from HNDCM to typical DCM. BMD has an earlier and more severe disease course than DMD | Increased right precordial ECG R-to-S ratio Deep Q waves in the lateral leads Early abnormalities in strain | Typical skeletal muscle weakness and disability in affected May be none in carriers | Wall thinning and RWMAs lateral wall, inferior, or septum Early increased ECV, while still normal function DCM or HCM phenotype | Mid-wall or subepicardial fibrosis in hypokinetic segments (inferolateral) in early disease (sometimes with preserved LV function) Fibrosis becomes extensive or transmural in advanced stages | Conduction abnormalities and tachyarrhythmias (both SVT and VT) Early onset in severe forms |
| Dystrophin (EDMD and others) | Screening recommended | Early strain abnormalities | Typical skeletal muscle weakness and disability | DCM phenotype but no specific features | Fibrosis not early feature in EDMD Septal mid-wall fibrosis early feature in limb–girdle type | Tachyarrhythmias and conduction abnormalities | |
| Sodium channel | Arrhythmias | ||||||
| Filamin C | Cardiac screening recommended in mutation-positive or first-degree relatives of proband Consider CMR Autosomal | Low voltage and flat or inverted T waves inferolaterally Early LGE with normal echo ECG features of ACM absent in ACM phenotype | DCM or ACM (LV) phenotype | Subepicardial or mid-myocardial inferolateral fibrosis “Ring-like” circumferential fibrosis, but not in all cases | Ventricular arrhythmias with a more marked and malignant course than average DCM cases | ||
| Sarcomere | Screening recommended early age Exact gene determines inheritance mode and penetration | Severe and progressive disease if childhood onset Mild and non-progressive if adult onset | Indistinguishable from others since no red flag features | DCM or HCM phenotype | Mid-wall, linear fibrosis may or may not be present. | ||
| Desmin | Screening recommended Autosomal dominant CMR may be considered alongside ECG and Echo | Variable onset and prognosis depending on exact mutation | May or may not have skeletal muscle involvement | RCM, ACM, or DCM phenotype Focal wall hypertrophy early disease Oedema in acute phase Perfusion defect | Focal fibrosis by LGE (mid-wall or subepicardial) anywhere in LV (apex, anterior, septal, lateral, or inferior) or RV Transmural scar in advanced stage disease | AV conduction abnormalities and ventricular arrhythmias | |
| Danon | X-linked dominant | Syndromic facial features | HCM or DCM phenotype | LGE scar can be extensive and spares the mid-septum. High ECV/T1 | |||
| Titin | Cardiac screening recommended affected and carriers Autosomal Dominant | Skeletal muscle, syndrome features | CHD or DCM Thinner walls, lower LVEF | Arrhythmias | |||
| Mitochondrial | Autosomal recessive, maternally inherited or dominant | Neurological, endocrine, and ophthalmic | HCM or DCM phenotype depending on type of disease | Diffuse fibrosis (T1/ECV) Extensive fibrosis only I end stage | Conduction abnormalities and Wolf Parkinson White syndrome AVB prevalent in Kearns Sayre |
Disclaimer/Publisher’s Note: The statements, opinions and data contained in all publications are solely those of the individual author(s) and contributor(s) and not of MDPI and/or the editor(s). MDPI and/or the editor(s) disclaim responsibility for any injury to people or property resulting from any ideas, methods, instructions or products referred to in the content. |
© 2023 by the authors. Licensee MDPI, Basel, Switzerland. This article is an open access article distributed under the terms and conditions of the Creative Commons Attribution (CC BY) license (https://creativecommons.org/licenses/by/4.0/).
Share and Cite
Lau, C.; Gul, U.; Liu, B.; Captur, G.; Hothi, S.S. Cardiovascular Magnetic Resonance Imaging in Familial Dilated Cardiomyopathy. Medicina 2023, 59, 439. https://doi.org/10.3390/medicina59030439
Lau C, Gul U, Liu B, Captur G, Hothi SS. Cardiovascular Magnetic Resonance Imaging in Familial Dilated Cardiomyopathy. Medicina. 2023; 59(3):439. https://doi.org/10.3390/medicina59030439
Chicago/Turabian StyleLau, Clement, Uzma Gul, Boyang Liu, Gabriella Captur, and Sandeep S. Hothi. 2023. "Cardiovascular Magnetic Resonance Imaging in Familial Dilated Cardiomyopathy" Medicina 59, no. 3: 439. https://doi.org/10.3390/medicina59030439
APA StyleLau, C., Gul, U., Liu, B., Captur, G., & Hothi, S. S. (2023). Cardiovascular Magnetic Resonance Imaging in Familial Dilated Cardiomyopathy. Medicina, 59(3), 439. https://doi.org/10.3390/medicina59030439

