Prognostic Value of Tumor Volume, Tumor Volume Reduction Rate and Magnetic Resonance Tumor Regression Grade in Rectal Cancer
Abstract
:1. Introduction
2. Materials and Methods
2.1. Patients
2.2. MRI Protocol
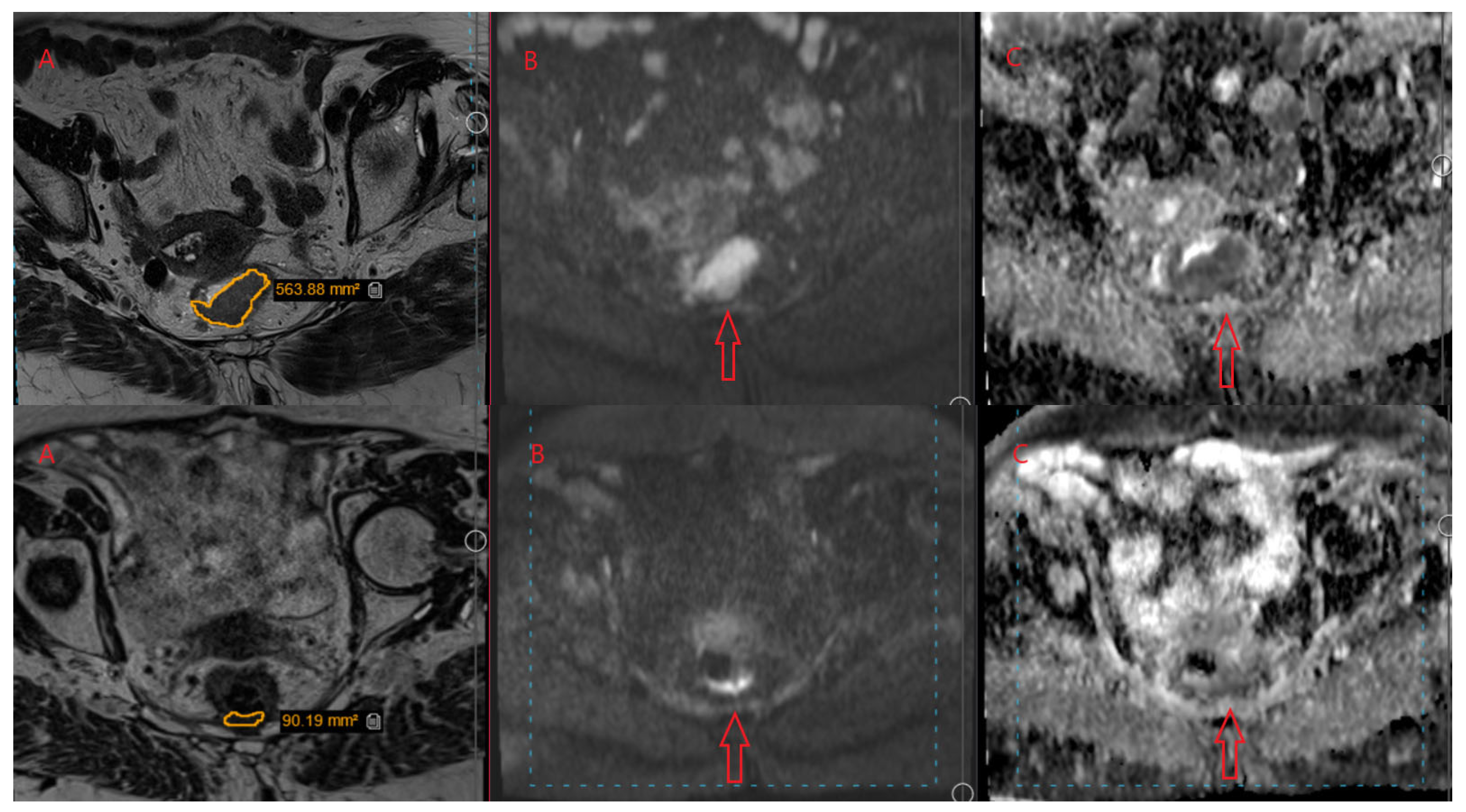
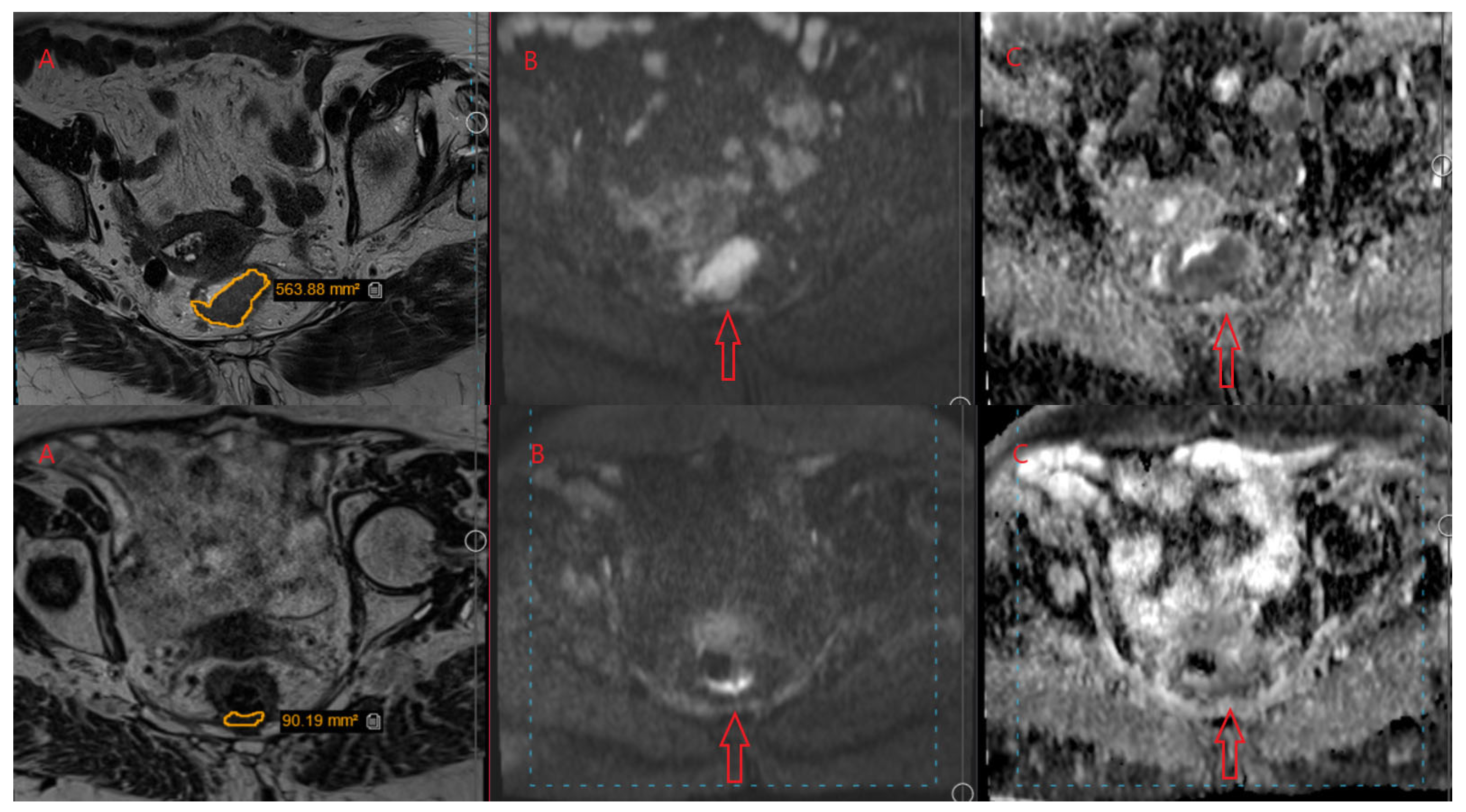
2.3. MR Volumetry and Tumor Regression Grade (mrTRG and pTRG)
2.4. Statistical Analysis
3. Results
3.1. Patients Characteristics
3.2. MR Volumetry, mrTRG and Pathological Results
3.3. Interaction of MR Volumetry, TVRR, mrTRG, and pTRG
3.4. Therapeutic Significance of TVRR, mrTRG, and pTRG in Anticipating Treatment Outcomes
4. Discussion
5. Conclusions
Author Contributions
Funding
Institutional Review Board Statement
Informed Consent Statement
Data Availability Statement
Conflicts of Interest
References
- Xi, Y.; Xu, P. Global colorectal cancer burden in 2020 and projections to 2040. Transl. Oncol. 2021, 14, 101174. [Google Scholar] [CrossRef] [PubMed]
- Han, Y.; Oh, S.; Choi, M.; Lee, S.; Jang, H.; Lee, M.; Kim, J.-G. Clinical impact of tumor volume reduction in rectal cancer following preoperative chemoradiation. Diagn. Interv. Imaging 2016, 97, 843–850. [Google Scholar] [CrossRef] [PubMed]
- Birlik, B.; Obuz, F.; Elibol, F.D.; Celik, A.O.; Sokmen, S.; Terzi, C.; Sagol, O.; Sarioglu, S.; Gorken, I.; Oztop, I. Diffusion-weighted MRI and MR- volumetry-in the evaluation of tumor response after preoperative chemoradiotherapy in patients with locally advanced rectal cancer. Magn. Reson. Imaging 2015, 33, 201–212. [Google Scholar] [CrossRef] [PubMed]
- Voogt, E.L.; Nordkamp, S.; van Zoggel, D.M.; Daniëls-Gooszen, A.W.; Nieuwenhuijzen, G.A.; Bloemen, J.G.; Creemers, G.-J.; Cnossen, J.S.; van Lijnschoten, G.; Burger, J.W.; et al. MRI tumour regression grade in locally recurrent rectal cancer. BJS Open 2022, 6, zrac033. [Google Scholar] [CrossRef] [PubMed]
- Isaic, A.; Motofelea, A.C.; Costachescu, D.; Pop, G.N.; Totolici, B.; Popovici, D.; Diaconescu, R.G. What Is the Comparative Efficacy of Surgical, Endoscopic, Transanal Resection, and Radiotherapy Modalities in the Treatment of Rectal Cancer? Healthcare 2023, 11, 2347. [Google Scholar] [CrossRef] [PubMed]
- Jankovic, A.; Kovac, J.D.; Dakovic, M.; Mitrovic, M.; Saponjski, D.; Milicevic, O.; Djuric-Stefanovic, A.; Barisic, G. MRI Tumor Regression Grade Combined with T2-Weighted Volumetry May Predict Histopathological Response in Locally Advanced Rectal Cancer following Neoadjuvant Chemoradiotherapy—A New Scoring System Proposal. Diagnostics 2023, 13, 3226. [Google Scholar] [CrossRef]
- Weber, M.-C.; Berlet, M.; Stoess, C.; Reischl, S.; Wilhelm, D.; Friess, H.; Neumann, P.-A. A nationwide population-based study on the clinical and economic burden of anastomotic leakage in colorectal surgery. Langenbecks Arch. Surg. 2023, 408, 55. [Google Scholar] [CrossRef]
- Muttillo, E.M.; La Franca, A.; Coppola, A.; Causi, F.S.L.; Checchelani, M.; Ceccacci, A.; Castagnola, G.; Garbarino, G.M.; Osti, M.F.; Balducci, G.; et al. Low Anterior Resection Syndrome (LARS) after Surgery for Rectal Cancer: An Inevitable Price to Pay for Survival, or a Preventable Complication? J. Clin. Med. 2023, 12, 5962. [Google Scholar] [CrossRef]
- Iris, D. Nagtegaal, Rob Glynne-Jones, How to measure tumour response in rectal cancer? An explanation of discrepancies and suggestions for improvement. Cancer Treat. Rev. 2020, 84, 101964. [Google Scholar] [CrossRef]
- Sclafani, F.; Brown, G.; Cunningham, D.; Wotherspoon, A.; Mendes, L.S.T.; Balyasnikova, S.; Evans, J.; Peckitt, C.; Begum, R.; Tait, D.; et al. Comparison between MRI and pathology in the assessment of tumour regression grade in rectal cancer. Br. J. Cancer 2017, 117, 1478–1485. [Google Scholar] [CrossRef]
- Neri, E.; Guidi, E.; Pancrazi, F.; Castagna, M.; Castelluccio, E.; Balestri, R.; Buccianti, P.; Masi, L.; Falcone, A.; Manfredi, B.; et al. MRI tumor volume reduction rate vs. tumor regression grade in the pre-operative re-staging of locally advanced rectal cancer after chemo-radiotherapy. Eur. J. Radiol. 2015, 84, 2438–2443. [Google Scholar] [CrossRef] [PubMed]
- Haak, H.E.; Maas, M.; Trebeschi, S.; Beets-Tan, R.G.H. Modern MR Imaging Technology in Rectal Cancer; There Is More than Meets the Eye. Front. Oncol. 2020, 10, 537532. [Google Scholar] [CrossRef] [PubMed]
- Taylor, F.G.; Quirke, P.; Heald, R.J.; Moran, B.J.; Blomqvist, L.; Swift, I.R.; Sebag-Montefiore, D.; Tekkis, P.; Brown, G.; Magnetic Resonance Imaging in Rectal Cancer European Equivalence Study Study Group. Preoperative magnetic resonance imaging assessment of circumferential resection margin predicts disease-free survival and local recurrence: 5-year follow-up results of the MERCURY study. J. Clin. Oncol. 2014, 32, 34–43. [Google Scholar] [CrossRef] [PubMed]
- Niu, S.; Chen, Y.; Peng, F.; Wen, J.; Xiong, J.; Yang, Z.; Peng, J.; Bao, Y.; Ding, L. The role of MRI after neochemoradiotherapy in predicting pathological tumor regression grade and clinical outcome in patients with locally advanced rectal adenocarcinoma. Front. Oncol. 2023, 13, 1118518. [Google Scholar] [CrossRef] [PubMed]
- Chen, H.L.R.F.; Seow-En, I.F.; Chok, A.Y.F.; Ngo, N.T.F.; Cheng, T.-E.L.F.; Tan, K.-W.E.F. The role of magnetic resonance tumour regression grade in the prediction of regression and survival of rectal adenocarcinoma after long-course chemoradiotherapy: A cohort study. Ann. Med. Surg. 2023, 85, 842–848. [Google Scholar] [CrossRef]
- Yoen, H.; Park, H.E.; Kim, S.H.; Yoon, J.H.; Hur, B.Y.; Bae, J.S.; Kim, J.H.; Oh, H.J.; Han, J.K. Prognostic Value of Tumor Regression Grade on MR in Rectal Cancer: A Large-Scale, Single-Center Experience. Korean J. Radiol. 2020, 21, 1065–1076. [Google Scholar] [CrossRef]
- Shiraishi, T.; Sasaki, T.; Ikeda, K.; Tsukada, Y.; Nishizawa, Y.; Ito, M. Predicting prognosis according to preoperative chemotherapy response in patients with locally advanced lower rectal cancer. BMC Cancer 2019, 19, 1222. [Google Scholar] [CrossRef]
- Li, J.-Y.; Huang, X.-Z.; Gao, P.; Song, Y.-X.; Chen, X.-W.; Lv, X.-E.; Fu, Y.; Xiao, Q.; Ye, S.-Y.; Wang, Z.-N. Survival landscape of different tumor regression grades and pathologic complete response in rectal cancer after neoadjuvant therapy based on reconstructed individual patient data. BMC Cancer 2021, 21, 1214. [Google Scholar] [CrossRef]
- Yeo, S.-G.; Kim, D.Y.; Kim, T.H.; Jung, K.H.; Hong, Y.S.; Chang, H.J.; Park, J.W.; Lim, S.-B.; Choi, H.S.; Jeong, S.-Y. Tumor volume reduction rate measured by magnetic resonance volumetry correlated with pathologic tumor response of preoperative chemoradiotherapy for rectal cancer. J. Radiat. Oncol. Biol. Phys. 2010, 78, 164–171. [Google Scholar] [CrossRef]
- Chen, L.; Liu, X.; Zhang, W.; Qin, S.; Wang, Y.; Lin, J.; Chen, Q.; Liu, G. The predictive value of tumor volume reduction ratio on three-dimensional endorectal ultrasound for tumor response to chemoradiotherapy for locally advanced rectal cancer. Ann. Transl. Med. 2022, 10, 666. [Google Scholar] [CrossRef]
- Song, C.; Chung, J.-H.; Kang, S.-B.; Kim, D.-W.; Oh, H.-K.; Lee, H.S.; Kim, J.W.; Lee, K.-W.; Kim, J.H.; Kim, J.-S. Impact of Tumor Regression Grade as a Major Prognostic Factor in Locally Advanced Rectal Cancer after Neoadjuvant Chemoradiotherapy: A Proposal for a Modified Staging System. Cancers 2018, 10, 319. [Google Scholar] [CrossRef] [PubMed]
- Yang, Y.; Luo, D.; Zhang, R.; Cai, S.; Li, Q.; Li, X. Tumor Regression Grade as a Prognostic Factor in Metastatic Colon Cancer Following Preoperative Chemotherapy. Clin. Color. Cancer 2022, 21, 96–106. [Google Scholar] [CrossRef] [PubMed]
- Dey, A.; Mitra, A.; Pathak, S.; Prasad, S.; Zhang, A.S.; Zhang, H.; Sun, X.-F.; Banerjee, A. Recent Advancements, Limitations, and Future Perspectives of the use of Personalized Medicine in Treatment of Colon Cancer. Technol. Cancer Res. Treat. 2023, 22, 15330338231178403. [Google Scholar] [CrossRef] [PubMed]
- Hunter, B.; Hindocha, S.; Lee, R.W. The Role of Artificial Intelligence in Early Cancer Diagnosis. Cancers 2022, 14, 1524. [Google Scholar] [CrossRef]
- Vollmuth, P.; Foltyn, M.; Huang, R.Y.; Galldiks, N.; Petersen, J.; Isensee, F.; Bent, M.J.v.D.; Barkhof, F.; Park, J.E.; Park, Y.W.; et al. Artificial intelligence (AI)-based decision support improves reproducibility of tumor response assessment in neuro-oncology: An international multi-reader study. Neuro-Oncology 2023, 25, 533–543. [Google Scholar] [CrossRef]
- Choi, S.H.; Yang, G.; Koom, W.S.; Yang, S.Y.; Kim, S.; Lim, J.S.; Kim, H.S.; Shin, S.J.; Chang, J.S. Active involvement of patients, radiation oncologists, and surgeons in a multidisciplinary team approach: Guiding local therapy in recurrent, metastatic rectal cancer. Cancer Med. 2023, 12, 21057–21067. [Google Scholar] [CrossRef]




| Characteristics | Chemotherapy Group (CT) Number (%)/Average (SD) | Control Chemoradiotherapy Group (CRT) Number (%)/Average (SD) |
|---|---|---|
| Number of patients | 40 (44.9%) | 49 (55.1%) |
| Gender Male Female | 27 (67.5%) 13 (32.5%) | 33 (67.3%) 16 (32.7%) |
| Age (SD) | 61.5 (SD 8.805) | 66.45 (SD 8.949) |
| Differentiation Well/Moderate Poor/mucinous adenocarcinoma | 34 (85%) 6 (15%) | 43 (87.7%) 6 (12.3) |
| cT Stage cT2 cT3 cT4 | 0 (0%) 34 (85%) 6 (15%) | 3 (6.1%) 40 (81.6%) 6 (12.3%) |
| cN Stage N- N+ | 0 40 | 1 48 |
| CEA | 10.19 (SD 15.54) | 8.48 (SD 10.37) |
| CA-19.9 | 20.46 (SD 23.53) | 18.46 (SD 16.53) |
| Magnetic Resonance Tumor Regression Grade (mrTRG) | Pathological Tumor Regression Grade (pTRG) | ||
|---|---|---|---|
| mrTRG5 (no response) | No regression (intermediate signal intensity, same appearances as original tumor) | pTRG0 (no response) | No regression |
| mrTRG4 (slight response) | Slight regression (little areas of low signal intensity fibrosis or mucin but mostly tumor) | pTRG1 (minimal response) | Dominant tumor mass with obvious fibrosis and/or vasculopathy |
| mrTRG3 (moderate response) | Moderate regression (low signal intensity fibrosis predominates, but there are obvious areas of intermediate signal intensity) | pTRG2 (partial response) | Dominantly fibrotic changes with tumor cells or groups (easy to find) |
| mrTRG2 (near-complete response) | Good regression (predominant low signal intensity fibrosis with no obvious residual tumor signal) | pTRG3 (near-complete response) | Very few (difficult to find microscopically) tumor cells in fibrotic tissue with or without mucous substance |
| mrTRG1 (complete response) | Complete regression (absence of tumor signal and barely visible treatment-related scar) | pTRG4 (complete response) | No tumor cells, only fibrotic mass (total regression or response) |
| Chemotherapy Group (CT) n = 40 (% in Group) | Control Chemoradiotherapy Group (CRT) n = 49 (% in Group) | ||||
|---|---|---|---|---|---|
| MRI T stage | cT | yT | cT | yT | |
| T0 | - | 2 (5) | - | 4 (8.2) | |
| T1 | - | - | - | - | |
| T2 | - | 6 (15) | 3 (6.1) | - | |
| T3a | - | 10 (25) | 19 (38.8) | 8 (16.3) | |
| T3b | 16 (40) | 19 (47.5) | 14 (28.5) | 37 (75.5) | |
| T3c | 13 (32.5) | 2 (5) | 7 (14.3) | - | |
| T3d | 5 (12.5) | 1 (2.5) | 6 (12.2) | - | |
| T4a | 6 (15.0) | - | - | - | |
| MRI N stage | cN | yN | cN | yN | |
| N0 | - | 15 (37.5) | 1 (2) | 19 (38.8) | |
| N1 | 13 (32.5) | 11 (27.5) | 17 (34.7) | 27 (55.1) | |
| N2 | 27 (67.5) | 14 (35.0) | 31 (63.3) | 3 (6.1) | |
| MRI EMVI | cEMVI | yEMVI | cEMVI | yEMVI | |
| EMVI- | 17 (42.5) | 28 (70) | 27 (55.1) | 34 (69.4) | |
| EMVI+ | 23 (57.5) | 12 (30) | 22 (44.9) | 15 (30.6) | |
| MRI MRF | cMRF | yMRF | cMRF | yMRF | |
| MRF- | 20 (50) | 28 (70) | 20 (40.8) | 38 (77.6) | |
| MRF+ | 20 (50) | 12 (30) | 29 (59.2) | 11 (22.4) | |
| Before treatment | After treatment | Before treatment | After treatment | ||
| CEA | 10.19 (SD 15.54) | 3.34 (SD 2.49) | 8.48 (SD 10.37) | 4.1 (SD 6.11) | |
| CA-19.9 | 20.46 (SD 23.53) | 14.79 (SD 11.58) | 18.46 (SD 16.53) | 22.98 (SD 73.69) | |
| Chemotherapy Group (CT) n = 40 (% in Group) | Control Chemoradiotherapy Group (CRT) n = 49 (% in Group) | ||
|---|---|---|---|
| pT stage | pT0 | 4 (10) | 9 (18.4) |
| pT1 | 1 (2.5) | 2 (4.1) | |
| pT2 | 8 (20) | 9 (18.4) | |
| pT3 | 27 (67.5) | 29 (59.2) | |
| pN stage | pN0 | 21 (52.5) | 33 (67.3) |
| pN1 | 15 (37.5) | 12 (24.5) | |
| pN2 | 4 (10) | 4 (8.2) | |
| LVI (pathological) | LVI- | 24 (60) | 34 (69.4) |
| LVI+ | 16 (40) | 15 (30.6) | |
| CRM (after resection) | CRM- | 35 (87.5) | 46 (93.9) |
| CRM+ | 5 (12.5) | 3 (6.1) | |
| V Pre-Therapy (cm3) | 48.24 (SD 17.67) | 46.97 (SD 16.45) | |
| V Post-Therapy (cm3) | 30.66 (SD 13.78) | 20.54 (SD 10.41) | |
| TVRR (%) | 36.52 (SD 17.01) | 54.87 (SD 19.57) | |
| mrTRG | 1 | 3 (7.5) | 7 (14.2) |
| 2 | 7 (17.5) | 17 (34.7) | |
| 3 | 18 (45) | 24 (48.8) | |
| 4 | 12 (30) | 1 (2.3) | |
| pTRG | 1 | 5 (12.5) | 1 (2.3) |
| 2 | 24 (60) | 29 (59.2) | |
| 3 | 7 (17.5) | 13 (26.5) | |
| 4 | 4 (10) | 6 (12) |
| Chemotherapy Group (CT) n = 40 (% in Group) | Control Chemoradiotherapy Group (CRT) n = 49 (% in Group) | ||||
|---|---|---|---|---|---|
| mrTRG | good responders 1/2 | bad responders 3/4/5 | good responders 1/2 | bad responders 3/4/5 | |
| Volumetry | |||||
| V Pre-Therapy (cm3) | 47.96 (SD 18.54) | 48.98 (SD 15.95) | 45.13 (SD 17.26) | 48.89 (SD 15.7) | |
| p Value | 0.436 | 0.429 | |||
| V Post-Therapy (cm3) | 26.75 (SD 16.59) | 32.14 (SD 12.56) | 17.09 (SD 11.21) | 23.89 (SD 8.54) | |
| p Value | 0.179 | 0.138 | |||
| TVRR (%) | 48.05 (SD 23.65) | 32.14 (SD 11.45) | 64.88 (SD 19.89) | 45.26 (SD 13.82) | |
| p Value | <0.001 | <0.001 | |||
| Chemotherapy Group (CT) n = 40 (% in Group) | Control Chemoradiotherapy Group (CRT) n = 49 (% in Group) | ||||
|---|---|---|---|---|---|
| pTRG | good responders 3/4 | bad responders 0/1/2 | good responders 3/4 | bad responders 0/1/2 | |
| Volumetry | |||||
| V Pre-Therapy (cm3) | 49.69 (SD 18.47) | 47.68 (SD 17.66) | 46.23 (SD 15.63) | 47.45 (SD 17.2) | |
| p Value | 0.351 | 0.272 | |||
| V Post-Therapy (cm3) | 27.67 (SD 18.28) | 31.79 (SD 11.85) | 15.99 (SD 11.58) | 23.43 (SD 8.59) | |
| p Value | 0.187 | 0.117 | |||
| TVRR (%) | 46.18 (SD 25.36) | 32.85 (SD 11.08) | 65.28 (SD 21.18) | 48.28 (SD 15.48) | |
| p Value | <0.001 | <0.001 | |||
Disclaimer/Publisher’s Note: The statements, opinions and data contained in all publications are solely those of the individual author(s) and contributor(s) and not of MDPI and/or the editor(s). MDPI and/or the editor(s) disclaim responsibility for any injury to people or property resulting from any ideas, methods, instructions or products referred to in the content. |
© 2023 by the authors. Licensee MDPI, Basel, Switzerland. This article is an open access article distributed under the terms and conditions of the Creative Commons Attribution (CC BY) license (https://creativecommons.org/licenses/by/4.0/).
Share and Cite
Pikūnienė, I.; Strakšytė, V.; Basevičius, A.; Žilinskas, J.; Ambrazienė, R.; Jančiauskienė, R.; Saladžinskas, Ž. Prognostic Value of Tumor Volume, Tumor Volume Reduction Rate and Magnetic Resonance Tumor Regression Grade in Rectal Cancer. Medicina 2023, 59, 2194. https://doi.org/10.3390/medicina59122194
Pikūnienė I, Strakšytė V, Basevičius A, Žilinskas J, Ambrazienė R, Jančiauskienė R, Saladžinskas Ž. Prognostic Value of Tumor Volume, Tumor Volume Reduction Rate and Magnetic Resonance Tumor Regression Grade in Rectal Cancer. Medicina. 2023; 59(12):2194. https://doi.org/10.3390/medicina59122194
Chicago/Turabian StylePikūnienė, Ingrida, Vestina Strakšytė, Algidas Basevičius, Justas Žilinskas, Rita Ambrazienė, Rasa Jančiauskienė, and Žilvinas Saladžinskas. 2023. "Prognostic Value of Tumor Volume, Tumor Volume Reduction Rate and Magnetic Resonance Tumor Regression Grade in Rectal Cancer" Medicina 59, no. 12: 2194. https://doi.org/10.3390/medicina59122194
APA StylePikūnienė, I., Strakšytė, V., Basevičius, A., Žilinskas, J., Ambrazienė, R., Jančiauskienė, R., & Saladžinskas, Ž. (2023). Prognostic Value of Tumor Volume, Tumor Volume Reduction Rate and Magnetic Resonance Tumor Regression Grade in Rectal Cancer. Medicina, 59(12), 2194. https://doi.org/10.3390/medicina59122194

