Afatinib-Induced Tumor Lysis Syndrome in Pulmonary Adenocarcinoma: A Case Report and Literature Review
Abstract
:1. Introduction
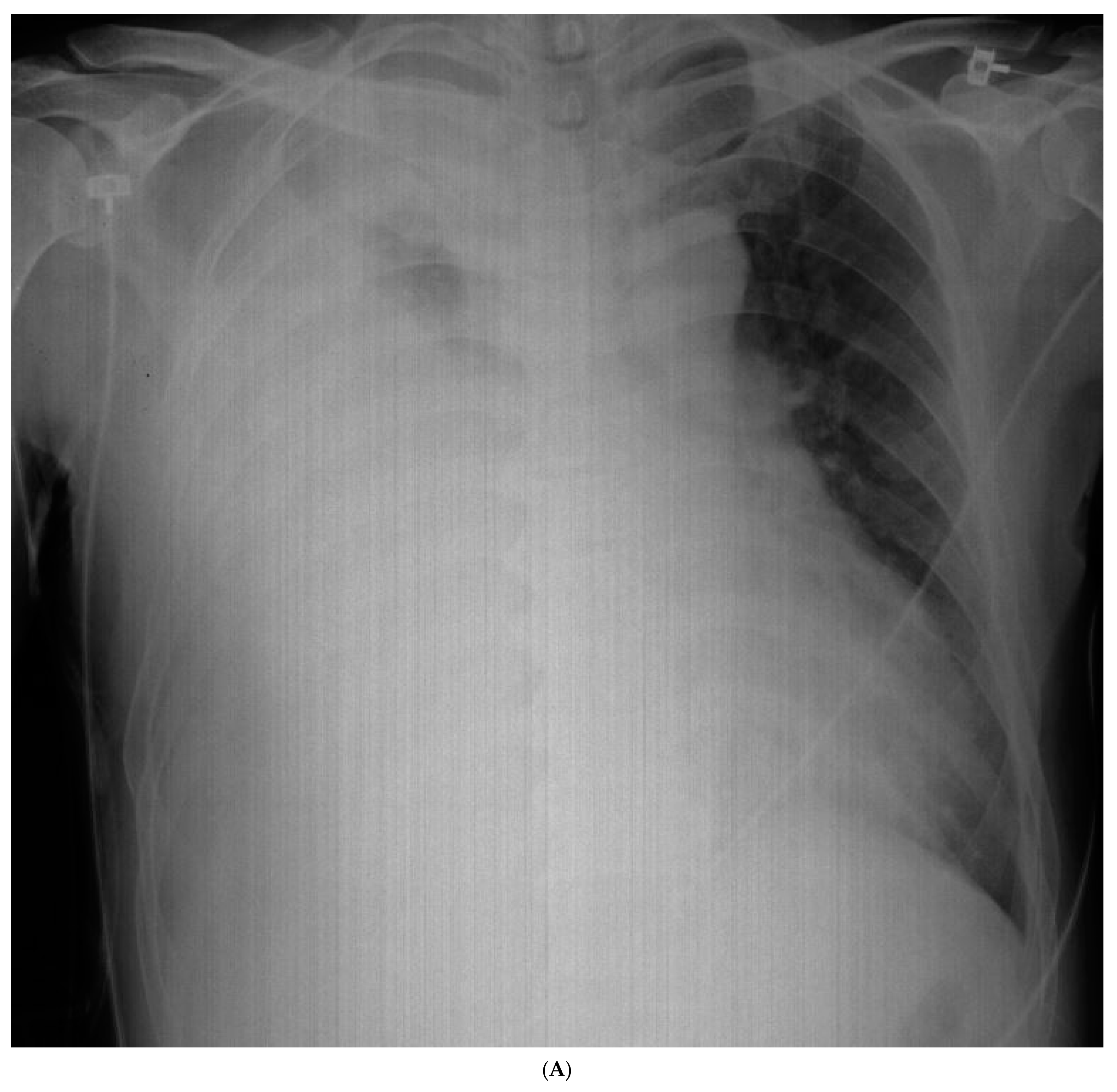
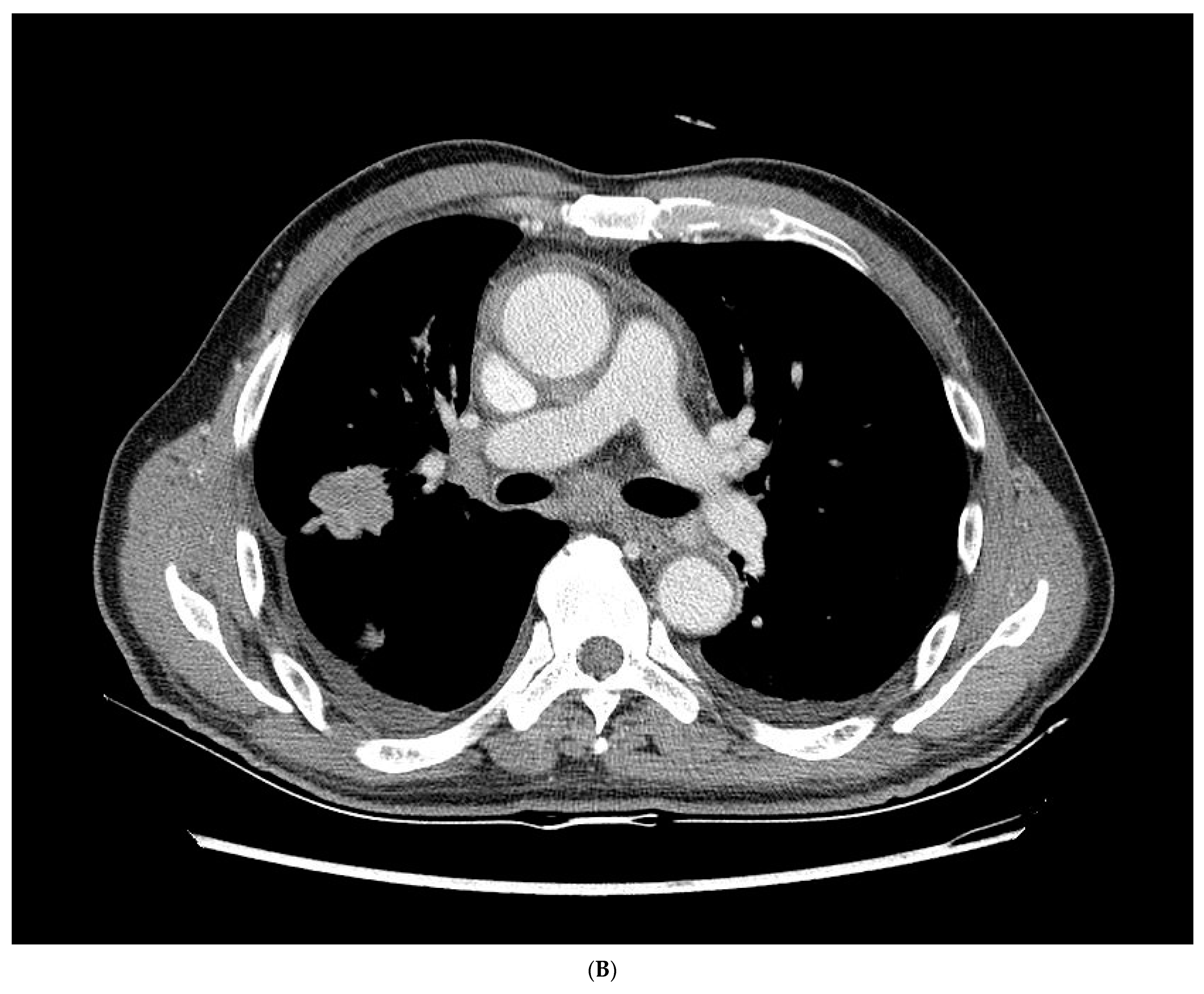
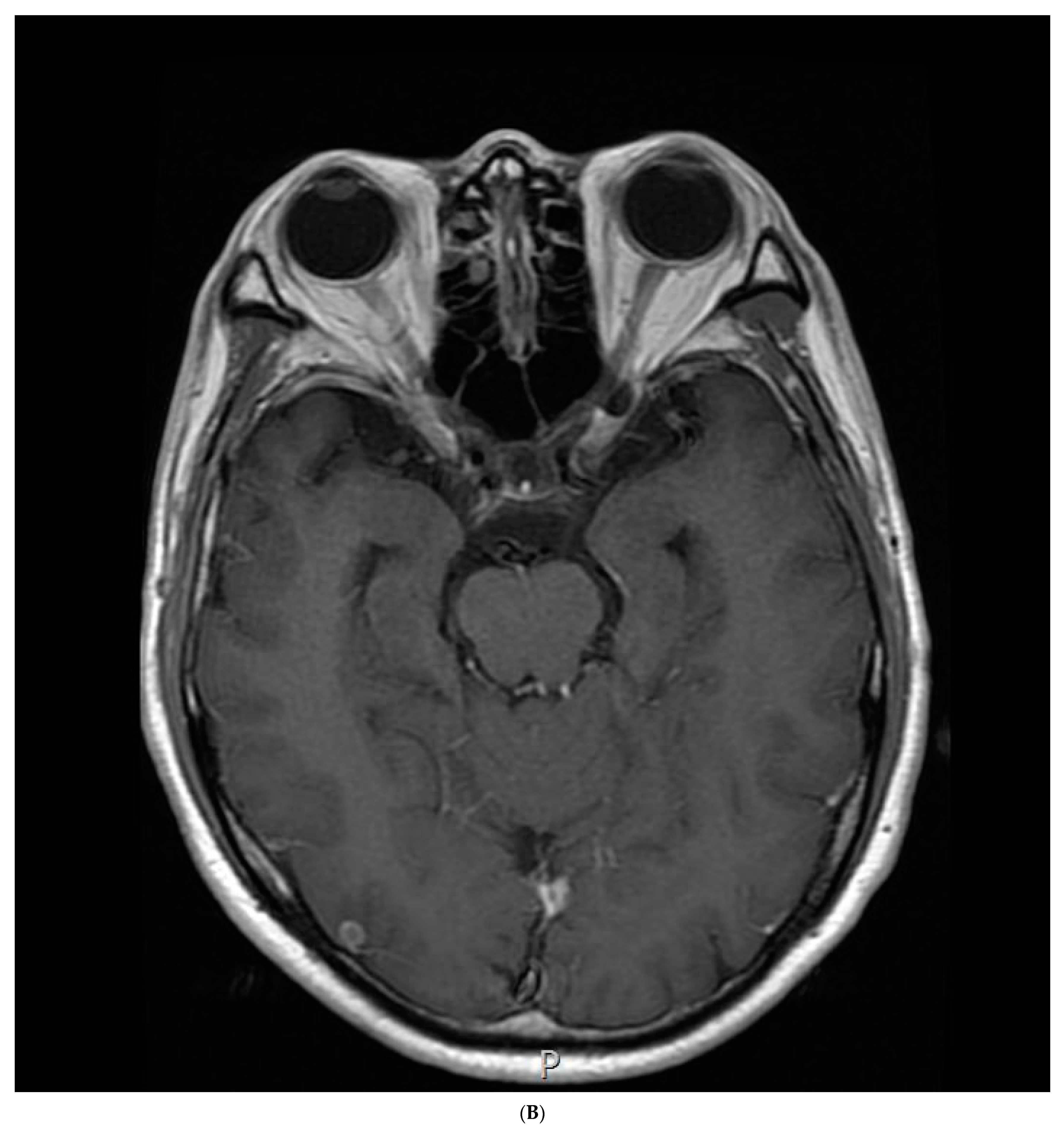
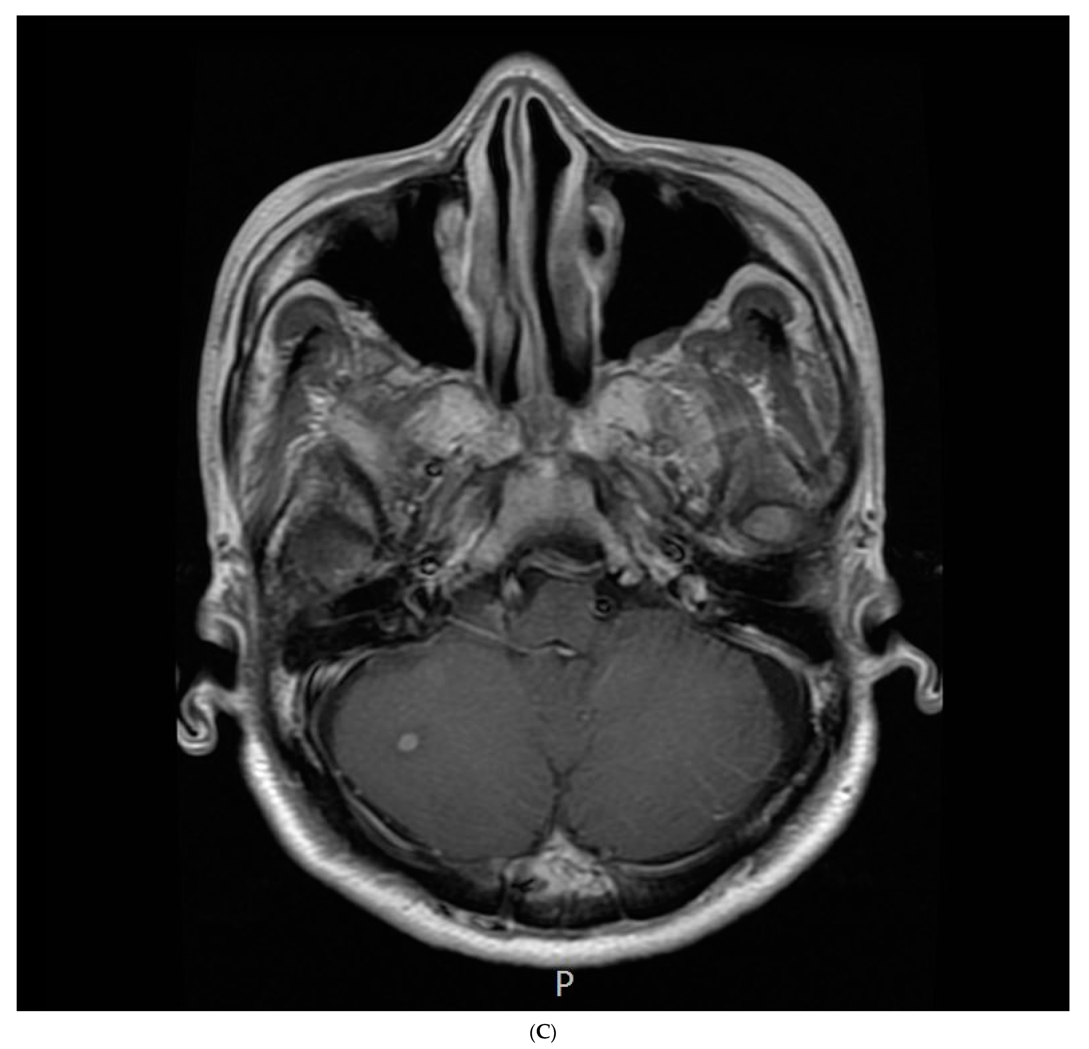
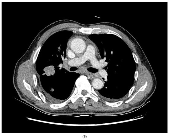
2. Case Report
3. Discussion
4. Conclusions
Funding
Institutional Review Board Statement
Informed Consent Statement
Data Availability Statement
Conflicts of Interest
References
- Howard, S.C.; Jones, D.P.; Pui, C.H. The tumor lysis syndrome. N. Engl. J. Med. 2011, 364, 1844–1854. [Google Scholar] [CrossRef] [PubMed]
- Cairo, M.S.; Bishop, M. Tumour lysis syndrome: New therapeutic strategies and classification. Br. J. Haematol. 2004, 127, 3–11. [Google Scholar] [CrossRef] [PubMed]
- Weerasinghe, C.; Zaarour, M.; Arnaout, S.; Garcia, G.; Dhar, M. Spontaneous tumor lysis syndrome in small-cell lung cancer: A rare complication. World J. Oncol. 2015, 6, 464–471. [Google Scholar] [CrossRef] [PubMed]
- Gemici, C. Tumour lysis syndrome in solid tumours. Clin. Oncol. (R Coll Radiol.) 2006, 18, 773–780. [Google Scholar] [CrossRef] [PubMed]
- Hande, K.R.; Garrow, G.C. Acute tumor lysis syndrome in patients with high-grade non-Hodgkin’s lymphoma. Am. J. Med. 1993, 94, 133–139. [Google Scholar] [CrossRef] [PubMed]
- Ammad Ud Din, M.; Hussain, S.A.; Boppana, L.K.T.; Manogna, D.; Imran, F. Spontaneous tumor lysis syndrome in squamous cell carcinoma of the lung. Bayl. Univ. Med. Cent. Proc. 2020, 34, 128–130. [Google Scholar] [CrossRef] [PubMed]
- Mirrakhimov, A.E.; Ali, A.M.; Khan, M.; Barbaryan, A. Tumor lysis syndrome in solid tumors: An up to date review of the literature. Rare Tumors 2014, 6, 5389. [Google Scholar] [CrossRef]
- Alqurashi, R.M.; Tamim, H.H.; Alsubhi, Z.D.; Alzahrani, A.A.; Tashkandi, E. Tumor lysis syndrome in patients with solid tumors: A systematic review of reported cases. Cureus 2022, 14, e30652. [Google Scholar] [CrossRef]
- Eguchi, Y.; Nishida, K.; Shinoki, M.; Uraoka, N.; Nakatsuji, Y.; Miki, Y.; Minami, K. A case of tumor lysis syndrome induced by epidermal growth factor receptor tyrosine kinase inhibitor for lung adenocarcinoma. Osaka City Med. J. 2017, 63, 105–110. [Google Scholar]
- Wang, Y.; Wang, T.; Xue, J.; Jia, Z.; Liu, X.; Li, B.; Li, J.; Li, X.; Wang, W.; Bing, Z.; et al. Fatal tumour lysis syndrome induced by brigatinib in a lung adenocarcinoma patient treated with sequential ALK inhibitors: A case report. Front. Pharmacol. 2021, 12, 809467. [Google Scholar] [CrossRef] [PubMed]
- Torre, L.A.; Siegel, R.L.; Jemal, A. Lung Cancer Statistics. In Lung Cancer and Personalized Medicine; Advances in Experimental Medicine and Biology; Springer: Cham, Switzerland, 2016; Volume 893, pp. 1–19. [Google Scholar]
- Recondo, G.; Facchinetti, F.; Olaussen, K.A.; Besse, B.; Friboulet, L. Making the First Move in EGFR-Driven or ALK-Driven NSCLC: First-Generation or Next-Generation TKI? Nat. Rev. Clin. Oncol. 2018, 15, 694–708. [Google Scholar] [CrossRef] [PubMed]
- Mok, T.S.; Wu, Y.L.; Thongprasert, S.; Yang, C.H.; Chu, D.T.; Saijo, N.; Sunpaweravong, P.; Han, B.; Margono, B.; Ichinose, Y.; et al. Gefitinib or carboplatin-paclitaxel in pulmonary adenocarcinoma. N. Engl. J. Med. 2009, 361, 947–957. [Google Scholar] [CrossRef] [PubMed]
- Planchard, D.; Popat, S.; Kerr, K.; Novello, S.; Smit, E.F.; Faivre-Finn, C.; Mok, T.S.; Reck, M.; Van Schil, P.E.; ESMO Guidelines Committee; et al. Metastatic non-small cell lung cancer: ESMO Clinical Practice Guidelines for diagnosis, treatment and follow-up. Ann. Oncol. 2018, 29, iv192–iv237. [Google Scholar] [CrossRef]
- Harvey, R.D.; Adams, V.R.; Beardslee, T.; Medina, P. Afatinib for the treatment of EGFR mutation-positive NSCLC: A review of clinical findings. J. Oncol. Pharm. Pract. 2020, 26, 1461–1474. [Google Scholar] [CrossRef]
- Persons, D.A.; Garst, J.; Vollmer, R.; Crawford, J. Tumor lysis syndrome and acute renal failure after treatment of non-small cell lung carcinoma with combination irinotecan and cisplatin. Am. J. Clin. Oncol. 1998, 21, 426–429. [Google Scholar] [CrossRef] [PubMed]
- Feld, J.; Mehta, H.; Burkes, R.L. Acute spontaneous tumor lysis syndrome in adenocarcinoma of the lung: A case report. Am. J. Clin. Oncol. 2000, 23, 491–493. [Google Scholar] [CrossRef]
- Kurt, M.; Onal, I.K.; Elkiran, T.; Altun, B.; Altundag, K.; Gullu, I. Acute tumor lysis syndrome triggered by zoledronic acid in a patient with metastatic lung adenocarcinoma. Med. Oncol. 2005, 22, 203–206. [Google Scholar] [CrossRef]
- Ajzensztejn, D.; Hegde, V.S.; Lee, S.M. Tumor lysis syndrome after treatment with docetaxel for non-small-cell lung cancer. J. Clin. Oncol. 2006, 24, 2389–2391. [Google Scholar] [CrossRef]
- Honda, K.; Saraya, T.; Tamura, M.; Yokoyama, T.; Fujiwara, M.; Goto, H. Tumor lysis syndrome and acquired ichthyosis occurring after chemotherapy for lung adenocarcinoma. J. Clin. Oncol. 2011, 29, e859–e861. [Google Scholar] [CrossRef] [PubMed]
- Wilson, F.P.; Berns, J.S. Onco-nephrology: Tumor lysis syndrome. Clin. J. Am. Soc. Nephrol. 2012, 7, 1730–1739. [Google Scholar] [CrossRef]
- Will, A.; Tholouli, E. The clinical management of tumour lysis syndrome in haematological malignancies. Br. J. Haematol. 2011, 154, 3–13. [Google Scholar] [CrossRef] [PubMed]
- McBride, A.; Westervelt, P. Recognizing and managing the expanded risk of tumor lysis syndrome in hematologic and solid malignancies. J. Hematol. Oncol. 2012, 5, 75. [Google Scholar] [CrossRef] [PubMed]
- Coiffier, B.; Altman, A.; Pui, C.H.; Younes, A.; Cairo, M.S. Guidelines for the management of pediatric and adult tumor lysis syndrome: An evidence-based review. J. Clin. Oncol. 2008, 26, 2767–2778. [Google Scholar] [CrossRef] [PubMed]








| Parameters | Reference Range | Day of Admission | 4th Day Morning of Afatinib Administration | 4th Day Evening of Afatinib Administration | During CRRT (5th Day of Afatinib Administration) |
|---|---|---|---|---|---|
| BUN (mg/dL) | 6–20 | 15.0 | 55.0 | 63 | 30.0 |
| Creatinine (mg/dL) | 0.7–1.2 | 0.96 | 2.2 | 3.07 | 2.57 |
| Potassium (mmol/L) | 3.5–5.5 | 4.3 | 5.9 | 6.1 | 4.4 |
| Phosphorous (mg/dL) | 2.7–4.5 | 2.5 | 7.0 | 9.6 | 4.4 |
| Calcium (mg/dL) | 8.4–10.4 | 8.6 | 8.0 | 7.7 | 7.7 |
| Uric acid (mg/dL) | 3.4–7.0 | 4.5 | 10.0 | 12 | 8.2 |
| LDH (U/L) | 135–250 | 247 | 1082 | 8202 | 8113 |
| Case | Sex/Age | Chemotherapy | Metastasis | Onset Interval | Outcome |
|---|---|---|---|---|---|
| Persons [16] | F/38 | Irinotecan + cisplatin | Lymph nodes | 13 days | Survived |
| Feld [17] | M/72 | Spontaneous | Liver | N/A | Died |
| Kurt [18] | M/52 | Zoledronic acid | Brain, liver, paraspinal, bones, and small intestine | 4 days | Died |
| Ajzensztejn [19] | M/65 | Docetaxel | Liver, kidneys, and adrenals | 3 days | Died |
| Honda [20] | M/61 | Carboplatin + paclitaxel + bevacizumab | Liver and lymph nodes | N/A | Died |
| Eguchi [9] | M/73 | Gefitinib | Bones and lymph nodes | 5 days | Died |
| Wang [10] | M/39 | Brigatinib | Pleura and lymph nodes | 22 days | Died |
Disclaimer/Publisher’s Note: The statements, opinions and data contained in all publications are solely those of the individual author(s) and contributor(s) and not of MDPI and/or the editor(s). MDPI and/or the editor(s) disclaim responsibility for any injury to people or property resulting from any ideas, methods, instructions or products referred to in the content. |
© 2023 by the author. Licensee MDPI, Basel, Switzerland. This article is an open access article distributed under the terms and conditions of the Creative Commons Attribution (CC BY) license (https://creativecommons.org/licenses/by/4.0/).
Share and Cite
Hong, G. Afatinib-Induced Tumor Lysis Syndrome in Pulmonary Adenocarcinoma: A Case Report and Literature Review. Medicina 2023, 59, 2144. https://doi.org/10.3390/medicina59122144
Hong G. Afatinib-Induced Tumor Lysis Syndrome in Pulmonary Adenocarcinoma: A Case Report and Literature Review. Medicina. 2023; 59(12):2144. https://doi.org/10.3390/medicina59122144
Chicago/Turabian StyleHong, Goohyeon. 2023. "Afatinib-Induced Tumor Lysis Syndrome in Pulmonary Adenocarcinoma: A Case Report and Literature Review" Medicina 59, no. 12: 2144. https://doi.org/10.3390/medicina59122144
APA StyleHong, G. (2023). Afatinib-Induced Tumor Lysis Syndrome in Pulmonary Adenocarcinoma: A Case Report and Literature Review. Medicina, 59(12), 2144. https://doi.org/10.3390/medicina59122144

