A Rare Case of Isolated Hepatocellular Carcinoma Metastasis in Left Mandibular Region in a Patient with Hepatitis C Virus Liver Cirrhosis Diagnosed after the Onset of COVID-19 Infection
Abstract
1. Introduction
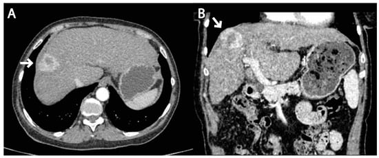
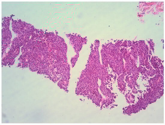
2. Case Report
3. Discussion
4. Conclusions
Author Contributions
Funding
Institutional Review Board Statement
Informed Consent Statement
Data Availability Statement
Conflicts of Interest
References
- Sung, H.; Ferlay, J.; Siegel, R.L.; Laversanne, M.; Soerjomataram, I.; Jemal, A.; Bray, F. Global Cancer Statistics 2020: GLOBOCAN Estimates of Incidence and Mortality Worldwide for 36 Cancers in 185 Countries. CA Cancer J Clin. 2021, 5, 209–249. [Google Scholar] [CrossRef] [PubMed]
- Tang, A.; Hallouch, O.; Chernyak, V.; Kamaya, A.; Sirlin, C.B. Epidemiology of hepatocellular carcinoma: Target population for surveillance and diagnosis. Abdom. Radiol. 2018, 1, 13–25. [Google Scholar] [CrossRef] [PubMed]
- Natsuizaka, M.; Omura, T.; Akaike, T.; Kuwata, Y.; Yamazaki, K.; Sato, T.; Karino, Y.; Toyota, J.; Suga, T.; Asaka, M. Clinical features of hepatocellular carcinoma with extrahepatic metastases. J. Gastroenterol. Hepatol. 2005, 11, 1781–1787. [Google Scholar] [CrossRef] [PubMed]
- Cho, J. Metastatic hepatocellular carcinoma in the maxilla and temporal bone: A rare case report. J. Korean Assoc. Oral. Maxillofac. Surg. 2021, 6, 224–228. [Google Scholar] [CrossRef]
- Huang, H.H.; Chang, P.H.; Fang, T.J. Sinonasal metastatic hepatocellular carcinoma. Am. J. Otolaryngol. 2007, 7–8, 238–241. [Google Scholar] [CrossRef]
- Oken, M.M.; Creech, R.H.; Tormey, D.C.; Horton, J.; Davis, T.E.; McFadden, E.T.; Carbone, P.P. Toxicity and response criteria of the Eastern Cooperative Oncology Group. Am. J. Clin. Oncol. 1982, 5, 649–655. [Google Scholar] [CrossRef]
- Forner, A.; Reig, M.E.; de Lope, C.R.; Bruix, J. Current strategy for staging and treatment: The BCLC update and future prospects. Semin. Liver Dis. 2010, 30, 61–74. [Google Scholar] [CrossRef]
- Schütte, K.; Schinner, R.; Fabritius, M.P.; Möller, M.; Kuhl, C.; Iezzi, R.; Öcal, O.; Pech, M.; Peynircioglu, B.; Seidensticker, M.; et al. Impact of Extrahepatic Metastases on Overall Survival in Patients with Advanced Liver Dominant Hepatocellular Carcinoma: A Subanalysis of the SORAMIC Trial. Liver Cancer. 2020, 12, 771–786. [Google Scholar] [CrossRef]
- Park, J.; Yoon, S.M. Radiotherapy for mandibular metastases from hepatocellular carcinoma: A single institutional experience. Radiat. Oncol. J. 2019, 12, 286–292. [Google Scholar] [CrossRef]
- Dick, A.; Mead, S.G.; Mensh, M.; Schatten, W.E. Primary hepatoma with metastasis to the mandible. Am. J. Surg. 1957, 12, 846–850. [Google Scholar] [CrossRef]
- Yu, S.; Estess, A.; Harris, W.; Dillon, J. A rare occurrence of hepatocellular carcinoma metastasis to the mandible: Report of a case and review of the literature. J. Oral Maxillofac. Surg. 2012, 5, 1219–1222. [Google Scholar] [CrossRef] [PubMed]
- Radzi, A.B.; Tan, S.S. A case report of metastatic hepatocellular carcinoma in the mandible and coracoid process: A rare presentation. Medicine 2018, 1, e8884. [Google Scholar] [CrossRef] [PubMed]
- Batson, O.V. The function of the vertebral veins and their role in the spread of metastases. Ann. Surg. 1940, 7, 138–149. [Google Scholar] [CrossRef] [PubMed]
- Liu, H.; Xu, Q.; Lin, F.; Ma, J. Hepatocellular carcinoma metastasis to the mandibular ramus: A case report. Int. J. Clin. Exp. Pathol. 2019, 3, 1047–1105. [Google Scholar]
- Du, C.; Feng, Y.; Li, N.; Wang, K.; Wang, S.; Gao, Z. Mandibular metastasis as an initial manifestation of hepatocellular carcinoma: A report of two cases. Oncol. Lett. 2015, 3, 1213–1216. [Google Scholar] [CrossRef][Green Version]
- Fernández-Ferreira, R.; Savage-Leyva, R.; Durán-Guerrero, L.F.; Carranza-Sevilla, M.D.R.; Zamorano-Vazquez, C.; Monroy-Godínez, C.F.; Hernández-Ramírez, G.R.; Torres-Zazueta, J.M.; Ceron-Ibarra, E.; Dorantes-Heredia, R. Mandibular Metastasis as the First Manifestation of Hepatocellular Carcinoma: A Case Report. Case Rep. Oncol. 2023, 2, 88–95. [Google Scholar] [CrossRef]
- Pires, F.R.; Sagarra, R.; Corrêa, M.E.; Pereira, C.M.; Vargas, P.A.; Lopes, M.A. Oral metastasis of a hepatocellular carcinoma. Oral. Surg. Oral. Med. Oral. Pathol. Oral. Radiol. Endod. 2004, 3, 359–368. [Google Scholar] [CrossRef]
- He, J.; Zeng, Z.C.; Tang, Z.Y.; Fan, J.; Zhou, J.; Zeng, M.S.; Wang, J.H.; Sun, J.; Chen, B.; Yang, P.; et al. Clinical features and prognostic factors in patients with bone metastases from hepatocellular carcinoma receiving external beam radiotherapy. Cancer 2009, 6, 2710–2720. [Google Scholar] [CrossRef]
- Huang, S.F.; Wu, R.C.; Chang, J.T.; Chan, S.C.; Liao, C.T.; Chen, I.H.; Yeh, C.N. Intractable bleeding from solitary mandibular metastasis of hepatocellular carcinoma. World J. Gastroenterol. 2007, 9, 4526–4528. [Google Scholar] [CrossRef]
- Yoshimura, Y.; Matsuda, S.; Naitoh, S. Hepatocellular carcinoma metastatic to the mandibular ramus and condyle: Report of a case and review of the literature. J. Oral. Maxillofac. Surg. 1997, 3, 297–306. [Google Scholar] [CrossRef]
- Bhatia, R.; Ravulapati, S.; Befeler, A.; Dombrowski, J.; Gadani, S.; Poddar, N. Hepatocellular Carcinoma with Bone Metastases: Incidence, Prognostic Significance, and Management-Single-Center Experience. J. Gastrointest. Cancer 2017, 48, 321–325, Erratum in J. Gastrointest Cancer. 2017, 48, 390. [Google Scholar] [CrossRef] [PubMed]
- Lei, Q.; Chen, H.; Zheng, H.; Deng, F.; Wang, F.; Li, J.; Hu, J.; Fu, R.; Zhen, Z. Zygomatic bone metastasis from hepatocellular carcinoma and the thera¬peutic efficacy of apatinib: A case report and literature review. Medicine 2019, 98, e14595. [Google Scholar] [CrossRef] [PubMed]
- Rim, J.H.; Moon, S.E.; Chang, M.S.; Kim, J.A. Metastatic hepatocellular carcinoma of gingiva mimicking pyogenic granuloma. J. Am. Acad. Dermatol. 2003, 49, 342–343. [Google Scholar] [CrossRef] [PubMed]




Disclaimer/Publisher’s Note: The statements, opinions and data contained in all publications are solely those of the individual author(s) and contributor(s) and not of MDPI and/or the editor(s). MDPI and/or the editor(s) disclaim responsibility for any injury to people or property resulting from any ideas, methods, instructions or products referred to in the content. |
© 2023 by the authors. Licensee MDPI, Basel, Switzerland. This article is an open access article distributed under the terms and conditions of the Creative Commons Attribution (CC BY) license (https://creativecommons.org/licenses/by/4.0/).
Share and Cite
Mašulović, D.; Igić, A.; Filipović, A.; Zakošek, M.; Bulatović, D.; Mijović, K.; Micev, M.; Galun, D. A Rare Case of Isolated Hepatocellular Carcinoma Metastasis in Left Mandibular Region in a Patient with Hepatitis C Virus Liver Cirrhosis Diagnosed after the Onset of COVID-19 Infection. Medicina 2023, 59, 1992. https://doi.org/10.3390/medicina59111992
Mašulović D, Igić A, Filipović A, Zakošek M, Bulatović D, Mijović K, Micev M, Galun D. A Rare Case of Isolated Hepatocellular Carcinoma Metastasis in Left Mandibular Region in a Patient with Hepatitis C Virus Liver Cirrhosis Diagnosed after the Onset of COVID-19 Infection. Medicina. 2023; 59(11):1992. https://doi.org/10.3390/medicina59111992
Chicago/Turabian StyleMašulović, Dragan, Aleksa Igić, Aleksandar Filipović, Miloš Zakošek, Dušan Bulatović, Ksenija Mijović, Marjan Micev, and Danijel Galun. 2023. "A Rare Case of Isolated Hepatocellular Carcinoma Metastasis in Left Mandibular Region in a Patient with Hepatitis C Virus Liver Cirrhosis Diagnosed after the Onset of COVID-19 Infection" Medicina 59, no. 11: 1992. https://doi.org/10.3390/medicina59111992
APA StyleMašulović, D., Igić, A., Filipović, A., Zakošek, M., Bulatović, D., Mijović, K., Micev, M., & Galun, D. (2023). A Rare Case of Isolated Hepatocellular Carcinoma Metastasis in Left Mandibular Region in a Patient with Hepatitis C Virus Liver Cirrhosis Diagnosed after the Onset of COVID-19 Infection. Medicina, 59(11), 1992. https://doi.org/10.3390/medicina59111992

