Prophylactic Coloprotective Effect of Urtica dioica Leaves against Dextran Sulfate Sodium (DSS)-Induced Ulcerative Colitis in Rats
Abstract
1. Introduction
2. Materials and Methods
2.1. Animals
2.2. AEUD Preparation
2.3. AEUD Phytochemical and Mineral Analysis
2.4. Experimental Procedure
2.5. Evaluation of Clinical Colitis and Colonic Weight and Length Measurement
2.6. Biochemical Assays
2.7. Determination of Hematological Parameters
2.8. Assessment of DSS-Induced Oxidative Stress in the Colonic Tissues
2.9. Histopathological Analysis
2.10. Statistical Analysis
3. Results
3.1. Bioactive Compound Profile and Mineral Composition
3.2. Effects of AEUD or MESA on Colitis Clinical Symptoms and Colonic Weight/Length
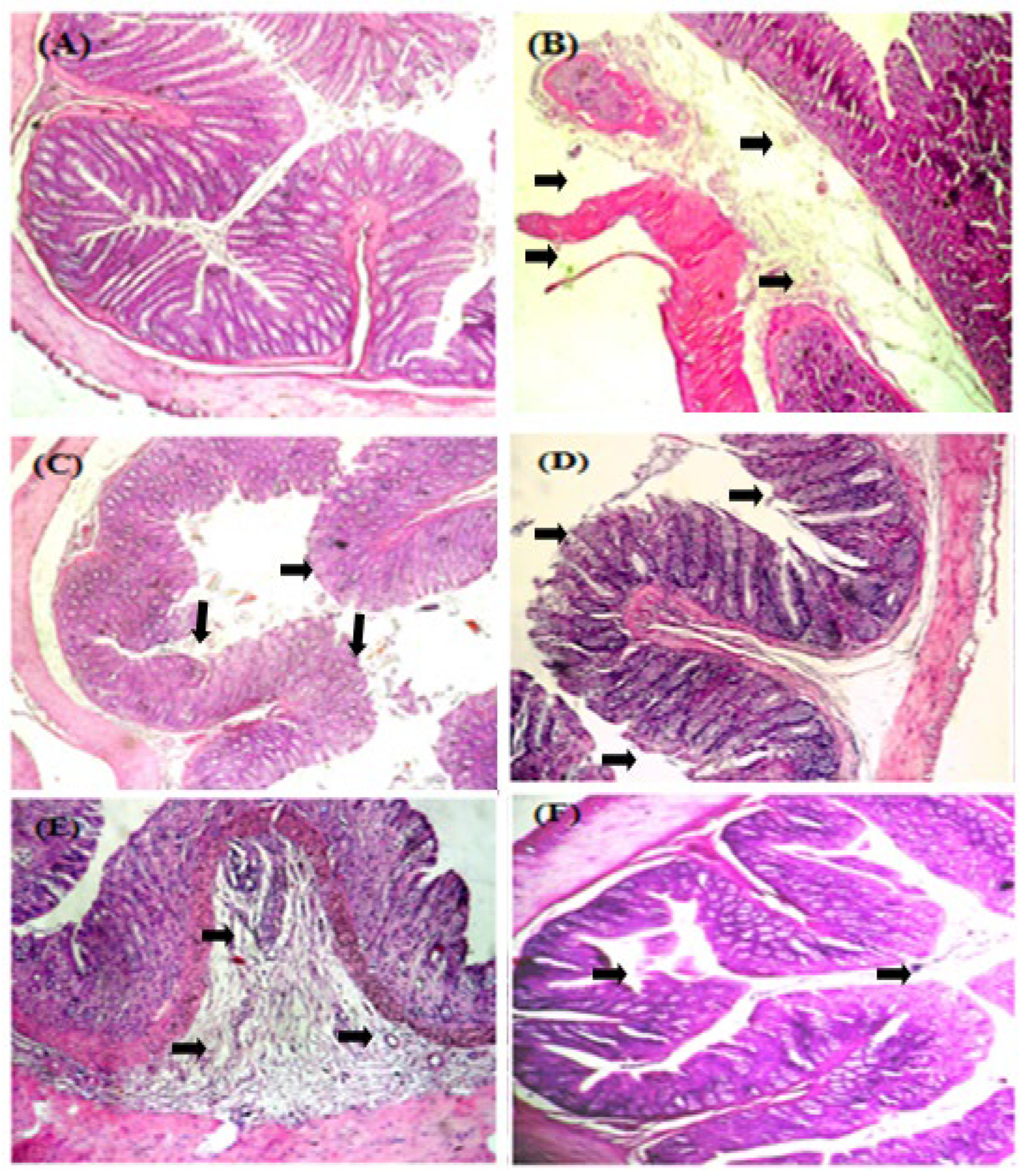
3.3. Histological Observation and Evaluation
3.4. Biochemical Measures
3.5. Hematological Parameters
3.6. Effects of DSS and AEUD on MDA and H2O2 Accumulation
3.7. Effects of DSS and AEUD on Antioxidant Enzyme Activities
4. Discussion
5. Conclusions
Author Contributions
Funding
Institutional Review Board Statement
Informed Consent Statement
Data Availability Statement
Acknowledgments
Conflicts of Interest
References
- Ordás, I.; Eckmann, L.; Talamini, M.; Baumgart, D.C.; Sandborn, W.J. Ulcerative Colitis. Lancet 2012, 380, 1606–1619. [Google Scholar] [CrossRef] [PubMed]
- Coskun, M. Intestinal Epithelium in Inflammatory Bowel Disease. Front. Med. 2014, 1, 24. [Google Scholar] [CrossRef] [PubMed]
- Ng, S.C.; Shi, H.Y.; Hamidi, N.; Underwood, F.E.; Tang, W.; Benchimol, E.I.; Panaccione, R.; Ghosh, S.; Wu, J.C.Y.; Chan, F.K.L.; et al. Worldwide Incidence and Prevalence of Inflammatory Bowel Disease in the 21st Century: A Systematic Review of Population-Based Studies. Lancet 2017, 390, 2769–2778. [Google Scholar] [CrossRef] [PubMed]
- Molodecky, N.A.; Soon, I.S.; Rabi, D.M.; Ghali, W.A.; Ferris, M.; Chernoff, G.; Benchimol, E.I.; Panaccione, R.; Ghosh, S.; Barkema, H.W.; et al. Increasing Incidence and Prevalence of the Inflammatory Bowel Diseases with Time, Based on Systematic Review. Gastroenterology 2012, 142, 46–54.e42, quiz e30. [Google Scholar] [CrossRef]
- Kaser, A.; Zeissig, S.; Blumberg, R.S. Genes and Environment: How Will Our Concepts on the Pathophysiology of IBD Develop in the Future? Dig. Dis. 2010, 28, 395–405. [Google Scholar] [CrossRef] [PubMed]
- Nowarski, R.; Jackson, R.; Gagliani, N.; de Zoete, M.R.; Palm, N.W.; Bailis, W.; Low, J.S.; Harman, C.C.D.; Graham, M.; Elinav, E.; et al. Epithelial IL-18 Equilibrium Controls Barrier Function in Colitis. Cell 2015, 163, 1444–1456. [Google Scholar] [CrossRef]
- Sartor, R.B. Mechanisms of Disease: Pathogenesis of Crohn’s Disease and Ulcerative Colitis. Nat. Clin. Pract. Gastroenterol. Hepatol. 2006, 3, 390–407. [Google Scholar] [CrossRef]
- Ungaro, R.; Mehandru, S.; Allen, P.B.; Peyrin-Biroulet, L.; Colombel, J.-F. Ulcerative Colitis. Lancet 2017, 389, 1756–1770. [Google Scholar] [CrossRef]
- Mishra, S.K.; Kang, J.H.; Song, K.H.; Park, M.S.; Kim, D.K.; Park, Y.J.; Choi, C.; Kim, H.M.; Kim, M.K.; Oh, S.H. Inonotus Obliquus Suppresses Proliferation of Colorectal Cancer Cells and Tumor Growth in Mice Models by Downregulation of β-Catenin/NF-κB-Signaling Pathways. Eur. J. Inflamm. 2013, 11, 615–629. [Google Scholar] [CrossRef]
- Mishra, S.K.; Kang, J.-H.; Kim, D.-K.; Oh, S.H.; Kim, M.K. Orally Administered Aqueous Extract of Inonotus Obliquus Ameliorates Acute Inflammation in Dextran Sulfate Sodium (DSS)-Induced Colitis in Mice. J. Ethnopharmacol. 2012, 143, 524–532. [Google Scholar] [CrossRef]
- Kang, J.-H.; Jang, J.-E.; Mishra, S.K.; Lee, H.-J.; Nho, C.W.; Shin, D.; Jin, M.; Kim, M.K.; Choi, C.; Oh, S.H. Ergosterol Peroxide from Chaga Mushroom (Inonotus obliquus) Exhibits Anti-Cancer Activity by down-Regulation of the β-Catenin Pathway in Colorectal Cancer. J. Ethnopharmacol. 2015, 173, 303–312. [Google Scholar] [CrossRef] [PubMed]
- Kong, R.; Luo, H.; Wang, N.; Li, J.; Xu, S.; Chen, K.; Feng, J.; Wu, L.; Li, S.; Liu, T.; et al. Portulaca Extract Attenuates Development of Dextran Sulfate Sodium Induced Colitis in Mice through Activation of PPARγ. PPAR Res. 2018, 2018, 6079101. [Google Scholar] [CrossRef] [PubMed]
- Duijvestein, M.; Battat, R.; Vande Casteele, N.; D’Haens, G.R.; Sandborn, W.J.; Khanna, R.; Jairath, V.; Feagan, B.G. Novel Therapies and Treatment Strategies for Patients with Inflammatory Bowel Disease. Curr. Treat. Options Gastroenterol. 2018, 16, 129–146. [Google Scholar] [CrossRef] [PubMed]
- Im, J.P.; Ye, B.D.; Kim, Y.S.; Kim, J.S. Changing Treatment Paradigms for the Management of Inflammatory Bowel Disease. Korean J. Intern. Med. 2018, 33, 28–35. [Google Scholar] [CrossRef]
- Ko, J.K.; Auyeung, K.K. Inflammatory Bowel Disease: Etiology, Pathogenesis and Current Therapy. Curr. Pharm. Des. 2014, 20, 1082–1096. [Google Scholar] [CrossRef]
- Sakthivel, K.M.; Guruvayoorappan, C. Amentoflavone Inhibits iNOS, COX-2 Expression and Modulates Cytokine Profile, NF-κB Signal Transduction Pathways in Rats with Ulcerative Colitis. Int. Immunopharmacol. 2013, 17, 907–916. [Google Scholar] [CrossRef]
- Said, A.A.H.; Otmani, I.S.E.; Derfoufi, S.; Benmoussa, A. Highlights on Nutritional and Therapeutic Value of Stinging Nettle (Urtica dioica). Int. J. Pharm. Pharm. Sci. 2015, 7, 8–14. [Google Scholar]
- Devkota, H.P.; Paudel, K.R.; Khanal, H.; Baral, A.; Panth, N.; Adhikari-Devkota, A.; Jha, N.K.; Das, N.; Singh, S.K.; Chellappan, D.K.; et al. Stinging Nettle (Urtica dioica L.): Nutritional Composition, Bioactive Compounds, and Food Functional Properties. Molecules 2022, 27, 5219. [Google Scholar] [CrossRef]
- Altamimi, M.A.; Abu-Reidah, I.M.; Altamimi, A.; Jaradat, N. Hydroethanolic Extract of Urtica dioica L. (Stinging Nettle) Leaves as Disaccharidase Inhibitor and Glucose Transport in Caco-2 Hinderer. Molecules 2022, 27, 8872. [Google Scholar] [CrossRef]
- Abdeltawab, A.A.; Ullah, Z.; Al-Othman, A.M.; Ullah, R.; Hussain, I.; Ahmad, S.; Talha, M. Evaluation of the Chemical Composition and Element Analysis of Urtica dioca. Afr. J. Pharm. Pharmacol. 2012, 6, 1555–1558. [Google Scholar] [CrossRef]
- Wang, J.; Pantopoulos, K. Regulation of Cellular Iron Metabolism. Biochem. J. 2011, 434, 365–381. [Google Scholar] [CrossRef] [PubMed]
- Singh, M.; Kali, G. Study on Morpho-Anatomical and Histo-Chemical Charaterisation of Stinging Nettle, Urtica dioica L. in Uttarakhand, India. J. Pharmacogn. Phytochem. 2019, 8, 4325–4331. [Google Scholar]
- Flórez, M.; Cazón, P.; Vázquez, M. Antioxidant Extracts of Nettle (Urtica dioica) Leaves: Evaluation of Extraction Techniques and Solvents. Molecules 2022, 27, 6015. [Google Scholar] [CrossRef] [PubMed]
- Dominguez-López, I.; Pérez, M.; Lamuela-Raventós, R.M. Total (poly)phenol analysis by the Folin-Ciocalteu assay as an anti-inflammatory biomarker in biological samples. Crit. Rev. Food Sci. Nutr. 2023, 7, 1–7. [Google Scholar] [CrossRef]
- Medini, M.; Fellah, H.; Ksouri, R.; Abdelly, C. Total phenolic, flavonoid and tannin contents and antioxidant and antimicrobial activities of organic extracts of shoots of the plant Limonium delicatulum. J. Taibah Univ. Sci. 2014, 8, 216–224. [Google Scholar] [CrossRef]
- Shraim, A.M.; Ahmed, T.A.; Rahman, M.M.; Hijji, Y.M. Determination of total flavonoid content by aluminum chloride assay: A critical evaluation. LWT 2021, 150, 111932. [Google Scholar] [CrossRef]
- Parc, A.L.; Lee, H.; Chen, K.; Barile, D. Rapid Quantification of Functional Carbohydrates in Food. Prod. Food Nutr. Sci. 2014, 5, 71–78. [Google Scholar] [CrossRef][Green Version]
- Rtibi, K.; Jabri, M.A.; Selmi, S.; Sebai, H.; Marie, J.C.; Amri, M.; Marzouki, L.; El-Bennad, J. Preventive effect of carob (Ceratonia siliqua L.) in dextran sulfate sodium-induced ulcerative colitis in rat. RSC Adv. 2016, 6, 19992–20000. [Google Scholar] [CrossRef]
- Khoubnasabjafari, M.; Ansarin, K.; Jouyban, A. Reliability of malondialdehyde as a biomarker of oxidative stress in psychological disorders. BioImpacts 2015, 5, 123–127. [Google Scholar] [CrossRef]
- Barnese, K.; Gralla, E.B.; Cabelli, D.E.; dan Valentine, J.S. The Role of Superoxide Anion in The Autoxidation of Epinephrine and A Simple Assay for Superoxide Dismutase. J. Am. Chem. Soc. 2008, 130, 4604–4606. [Google Scholar] [CrossRef]
- Selmi, S.; El-Fazaa, S.; Gharbi, N. Oxidative stress and alteration of biochemical markers in liver and kidney by malathion in rat pups. Toxicol. Ind. Health 2015, 31, 783–788. [Google Scholar] [CrossRef] [PubMed]
- Bahri, S.; Abidi, A.; Nahdi, A.; Abdennabi, R.; Mlika, M.; Ben Ali, R.; Jameleddine, S. Olea europaea L. Leaf Extract Alleviates Fibrosis Progression and Oxidative Stress Induced by Bleomycin on a Murine Model of Lung Fibrosis. Dose Response 2023, 21, 15593258231200972. [Google Scholar] [CrossRef]
- Dingeon, B.; Ferry, J.P.; Roullet, A. Automatic assay of blood sugar by Trinder’s method. Ann. Biol. Clin. 1975, 33, 3–13. [Google Scholar]
- Stucchi, A.F.; Shofer, S.; Leeman, S.; Materne, O.; Beer, E.; McClung, J.; Shebani, K.; Moore, F.; O’Brien, M.; Becker, J.M. NK-1 Antagonist Reduces Colonic Inflammation and Oxidative Stress in Dextran Sulfate-Induced Colitis in Rats. Am. J. Physiol. Gastrointest. Liver Physiol. 2000, 279, G1298–G1306. [Google Scholar] [CrossRef] [PubMed]
- Jan, K.N.; Zarafshan, K.; Singh, S. Stinging Nettle (Urtica dioica L.): A Reservoir of Nutrition and Bioactive Components with Great Functional Potential. J. Food Meas. Charact. 2017, 11, 423–433. [Google Scholar] [CrossRef]
- Dhouibi, R.; Affes, H.; Ben Salem, M.; Hammami, S.; Sahnoun, Z.; Zeghal, K.M.; Ksouda, K. Screening of Pharmacological Uses of Urtica dioica and Others Benefits. Prog. Biophys. Mol. Biol. 2020, 150, 67–77. [Google Scholar] [CrossRef]
- Maietti, A.; Tedeschi, P.; Catani, M.; Stevanin, C.; Pasti, L.; Cavazzini, A.; Marchetti, N. Nutrient Composition and Antioxidant Performances of Bread-Making Products Enriched with Stinging Nettle (Urtica dioica) Leaves. Foods 2021, 10, 938. [Google Scholar] [CrossRef]
- Bhusal, K.K.; Magar, S.K.; Thapa, R.; Lamsal, A.; Bhandari, S.; Maharjan, R.; Shrestha, S.; Shrestha, J. Nutritional and Pharmacological Importance of Stinging Nettle (Urtica dioica L.): A Review. Heliyon 2022, 8, e09717. [Google Scholar] [CrossRef]
- Kiesler, P.; Fuss, I.J.; Strober, W. Experimental Models of Inflammatory Bowel Diseases. Cell Mol. Gastroenterol. Hepatol. 2015, 1, 154–170. [Google Scholar] [CrossRef]
- Kwon, J.; Lee, C.; Heo, S.; Kim, B.; Hyun, C.K. DSS-induced colitis is associated with adipose tissue dysfunction and disrupted hepatic lipid metabolism leading to hepatosteatosis and dyslipidemia in mice. Sci. Rep. 2021, 11, 5283. [Google Scholar] [CrossRef]
- El-Abhar, H.S.; Hammad, L.N.A.; Gawad, H.S.A. Modulating Effect of Ginger Extract on Rats with Ulcerative Colitis. J. Ethnopharmacol. 2008, 118, 367–372. [Google Scholar] [CrossRef] [PubMed]
- Romier, B.; Schneider, Y.-J.; Larondelle, Y.; During, A. Dietary Polyphenols Can Modulate the Intestinal Inflammatory Response. Nutr. Rev. 2009, 67, 363–378. [Google Scholar] [CrossRef] [PubMed]
- Kwon, K.H.; Murakami, A.; Tanaka, T.; Ohigashi, H. Dietary Rutin, but Not Its Aglycone Quercetin, Ameliorates Dextran Sulfate Sodium-Induced Experimental Colitis in Mice: Attenuation of pro-Inflammatory Gene Expression. Biochem. Pharmacol. 2005, 69, 395–406. [Google Scholar] [CrossRef] [PubMed]
- Eichele, D.D.; Kharbanda, K.K. Dextran Sodium Sulfate Colitis Murine Model: An Indispensable Tool for Advancing Our Understanding of Inflammatory Bowel Diseases Pathogenesis. World J. Gastroenterol. 2017, 23, 6016–6029. [Google Scholar] [CrossRef] [PubMed]
- Alex, P.; Zachos, N.C.; Nguyen, T.; Gonzales, L.; Chen, T.-E.; Conklin, L.S.; Centola, M.; Li, X. Distinct Cytokine Patterns Identified from Multiplex Profiles of Murine DSS and TNBS-Induced Colitis. Inflamm. Bowel Dis. 2009, 15, 341–352. [Google Scholar] [CrossRef]
- Wéra, O.; Lancellotti, P.; Oury, C. The Dual Role of Neutrophils in Inflammatory Bowel Diseases. J. Clin. Med. 2016, 5, 118. [Google Scholar] [CrossRef]
- Rajendiran, V.; Natarajan, V.; Devaraj, S.N. Anti-Inflammatory Activity of Alpinia Officinarum Hance on Rat Colon Inflammation and Tissue Damage in DSS Induced Acute and Chronic Colitis Models. Food Sci. Human. Wellness 2018, 7, 273–281. [Google Scholar] [CrossRef]
- Mazzon, E.; Esposito, E.; Di Paola, R.; Riccardi, L.; Caminiti, R.; Dal Toso, R.; Pressi, G.; Cuzzocrea, S. Effects of Verbascoside Biotechnologically Produced by Syringa Vulgaris Plant Cell Cultures in a Rodent Model of Colitis. Naunyn Schmiedebergs Arch. Pharmacol. 2009, 380, 79–94. [Google Scholar] [CrossRef]
- Huang, T.-C.; Tsai, S.-S.; Liu, L.-F.; Liu, Y.L.; Liu, H.-J.; Chuang, K.P. Effect of Arctium Lappa L. in the Dextran Sulfate Sodium Colitis Mouse Model. World J. Gastroenterol. 2010, 16, 4193–4199. [Google Scholar] [CrossRef]
- Fernández, G.; Mena, M.P.; Arnau, A.; Sánchez, O.; Soley, M.; Ramírez, I. Immobilization Stress Induces C-Fos Accumulation in Liver. Cell Stress. Chaperones 2000, 5, 306–312. [Google Scholar] [CrossRef]
- Zhang, L.; Liu, S.H.; Wright, T.T.; Shen, Z.Y.; Li, H.Y.; Zhu, W.; Potempa, L.A.; Ji, S.R.; Szalai, A.J.; Wu, Y. C-Reactive Protein Directly Suppresses Th1 Cell Differentiation and Alleviates Experimental Autoimmune Encephalomyelitis. J. Immunol. 2015, 194, 5243–5252. [Google Scholar] [CrossRef] [PubMed]
- Moore, J.C.; Thompson, K.; Lafleur, B.; Book, L.S.; Jackson, W.D.; O’Gorman, M.A.; Black, R.E.; Downey, E.; Johnson, D.G.; Matlak, M.E.; et al. Clinical Variables as Prognostic Tools in Pediatric-Onset Ulcerative Colitis: A Retrospective Cohort Study. Inflamm. Bowel Dis. 2011, 17, 15–21. [Google Scholar] [CrossRef] [PubMed]
- Osman, K.T.; Hoque, A.; Pasam, R.T.; Farhoud, A.; Abdelfattah, A.; Ramadorai, V.; Chaudrey, K.; Pellish, R. Acute idiopathic pancreatitis is associated with more aggressive disease course in Crohn’s disease but not in ulcerative colitis. BMC Gastroenterol. 2023, 23, 171. [Google Scholar] [CrossRef]
- Bellocchi, M.C.C.; Crinò, S.F.; De Marchi, G.; De Pretis, N.; Ofosu, A.; Caldart, F.; Ciccocioppo, R.; Frulloni, L. A Clinical and Pathophysiological Overview of Intestinal and Systemic Diseases Associated with Pancreatic Disorders: Causality or Casualty? Biomedicines 2023, 11, 1393. [Google Scholar] [CrossRef]
- Ranjbari, A.; Azarbayjani, M.A.; Yusof, A.; Halim Mokhtar, A.; Akbarzadeh, S.; Ibrahim, M.Y.; Tarverdizadeh, B.; Farzadinia, P.; Hajiaghaee, R.; Dehghan, F. In vivo and in vitro Evaluation of the Effects of Urtica dioica and Swimming Activity on Diabetic Factors and Pancreatic Beta Cells. BMC Complement. Altern. Med. 2016, 16, 101. [Google Scholar] [CrossRef]
- Farzami, B.; Ahmadvand, D.; Vardasbi, S.; Majin, F.J.; Khaghani, S. Induction of Insulin Secretion by a Component of Urtica dioica Leave Extract in Perifused Islets of Langerhans and Its in vivo Effects in Normal and Streptozotocin Diabetic Rats. J. Ethnopharmacol. 2003, 89, 47–53. [Google Scholar] [CrossRef] [PubMed]
- Roschek, B.; Fink, R.C.; McMichael, M.; Alberte, R.S. Nettle Extract (Urtica dioica) Affects Key Receptors and Enzymes Associated with Allergic Rhinitis. Phytother. Res. 2009, 23, 920–926. [Google Scholar] [CrossRef]
- Farahpour, M.R.; Khoshgozaran, L. Antinociceptive and Anti-Inflammatory Activities of Hydroethanolic Extract of Urtica dioica. Int. J. Biol. Pharm. Allied Sci. 2015, 1, 160–170. [Google Scholar]
- Konrad, L.; Müller, H.H.; Lenz, C.; Laubinger, H.; Aumüller, G.; Lichius, J.J. Antiproliferative Effect on Human Prostate Cancer Cells by a Stinging Nettle Root (Urtica dioica) Extract. Planta Med. 2000, 66, 44–47. [Google Scholar] [CrossRef]
- Yilmaz, B.; Basar, O.; Aktas, B.; Altinbas, A.; Ekiz, F.; Büyükcam, F.; Albayrak, A.; Ginis, Z.; Oztürk, G.; Coban, S.; et al. Effects of Urtica dioica Extract on Experimental Acute Pancreatitis Model in Rats. Int. J. Clin. Exp. Med. 2014, 7, 1313–1318. [Google Scholar]
- Alzoghaibi, M.A. Concepts of oxidative stress and antioxidant defense in Crohn’s disease. World J. Gastroenterol. 2013, 19, 6540–6547. [Google Scholar] [CrossRef] [PubMed]
- Jabri, M.-A.; Aissani, N.; Tounsi, H.; Sakly, M.; Marzouki, L.; Sebai, H. Protective Effect of Chamomile (Matricaria recutita L.) Decoction Extract against Alcohol-Induced Injury in Rat Gastric Mucosa. Pathophysiology 2017, 24, 1–8. [Google Scholar] [CrossRef] [PubMed]
- Majedi, S.; Abdulsattar Faraj, T.; Jalal Ahmed, H.; HS Hussain, F. A Review of Biochemical Structures of Urtica dioica Metabolites and Their Pharmaceutical Effects. Chem. Rev. Lett. 2021, 4, 206–212. [Google Scholar]
- Kanter, M.; Coskun, O.; Budancamanak, M. Hepatoprotective Effects of Nigella sativa L and Urtica dioica L on Lipid Peroxidation, Antioxidant Enzyme Systems and Liver Enzymes in Carbon Tetrachloride-Treated Rats. World J. Gastroenterol. 2005, 11, 6684–6688. [Google Scholar] [CrossRef] [PubMed]
- Rtibi, K.; Grami, D.; Wannes, D.; Selmi, S.; Amri, M.; Sebai, H.; Marzouki, L. Ficus Carica Aqueous Extract Alleviates Delayed Gastric Emptying and Recovers Ulcerative Colitis-Enhanced Acute Functional Gastrointestinal Disorders in Rats. J. Ethnopharmacol. 2018, 224, 242–249. [Google Scholar] [CrossRef] [PubMed]
- Almeer, R.S.; Mahmoud, S.M.; Amin, H.K.; Abdel Moneim, A.E. Ziziphus Spina-Christi Fruit Extract Suppresses Oxidative Stress and P38 MAPK Expression in Ulcerative Colitis in Rats via Induction of Nrf2 and HO-1 Expression. Food Chem. Toxicol. 2018, 115, 49–62. [Google Scholar] [CrossRef]
- Vona, R.; Pallotta, L.; Cappelletti, M.; Severi, C.; Matarrese, P. The Impact of Oxidative Stress in Human Pathology: Focus on Gastrointestinal Disorders. Antioxidants 2021, 10, 201. [Google Scholar] [CrossRef]
- Samman, F.S.; Elaidy, S.M.; Essawy, S.S.; Hassan, M.S. New Insights on the Modulatory Roles of Metformin or Alpha-Lipoic Acid versus Their Combination in Dextran Sulfate Sodium-Induced Chronic Colitis in Rats. Pharmacol. Rep. 2018, 70, 488–496. [Google Scholar] [CrossRef]
- Petronilho, F.; Michels, M.; Danielski, L.G.; Goldim, M.P.; Florentino, D.; Vieira, A.; Mendonça, M.G.; Tournier, M.; Piacentini, B.; Giustina, A.D.; et al. Diphenyl Diselenide Attenuates Oxidative Stress and Inflammatory Parameters in Ulcerative Colitis: A Comparison with Ebselen. Pathol. Res. Pract. 2016, 212, 755–760. [Google Scholar] [CrossRef]
- Ghasemi, S.; Moradzadeh, M.; Mousavi, S.H.; Sadeghnia, H.R. Cytotoxic Effects of Urtica dioica Radix on Human Colon (HT29) and Gastric (MKN45) Cancer Cells Mediated through Oxidative and Apoptotic Mechanisms. Cell. Mol. Biol. 2016, 62, 90–96. [Google Scholar]
- Gülçin, I.; Küfrevioglu, O.I.; Oktay, M.; Büyükokuroglu, M.E. Antioxidant, Antimicrobial, Antiulcer and Analgesic Activities of Nettle (Urtica dioica L.). J. Ethnopharmacol. 2004, 90, 205–215. [Google Scholar] [CrossRef] [PubMed]




| Score | Weight Loss | Stool Consistency | Bleeding |
|---|---|---|---|
| 0 | No weight loss | Formed | No bleeding |
| 1 | 5–10% | Mild soft | Few blood-tinged stools |
| 2 | 11–15% | Very soft | Slight bleeding |
| 3 | 16–20% | Watery stool | Gross bleeding |
| 4 | >20% | - | - |
| Dietary Component | AEUD |
|---|---|
| Total phenolics a | 247.65 ± 2.69 |
| Total tannins b | 188.29 ± 2.94 |
| Flavonoids c | 34.08 ± 0.53 |
| Total sugars d | 32.30 ± 2.40 |
| Component | Leaves of Urtica dioica |
|---|---|
| Zinc | 137.58 |
| Copper | 10.54 |
| Manganese | 42.92 |
| Molybdenum | 3.16 |
| Iron | 447.41 |
| Magnesium | 6845.97 |
| Parameters | Food Intake (g) | Water Consumption (mL) | Body Weight Variation (g) | Colon Length (cm) | Colon Weight (g) |
|---|---|---|---|---|---|
| Control | 217.00 ± 4.08 | 89.57 ± 4.23 | 5.60 ± 0.80 | 16.07 ± 0.29 | 1.88 ± 0.15 |
| DSS | 172.42 ± 3.82 * | 63.28 ± 2.56 * | 2.4 ± 0.21 * | 11.58 ± 1.29 * | 1.34 ± 0.06 * |
| DSS + AEUD-50 | 190.00 ± 2.38 # | 79.00 ± 2.23 # | 4.57 ± 0.38 # | 13.15 ± 0.58 # | 1.64 ± 0.14 # |
| DSS + AEUD-100 | 200.71 ± 2.13 # | 76.28 ± 3.86 # | 4.62 ± 0.40 # | 12.83 ± 0.68 # | 1.54 ± 0.05 # |
| DSS + AEUD-200 | 200.42 ± 2.63 # | 67.85 ± 4.87 # | 3.57 ± 0.28 # | 12.00 ± 1.09 # | 1.50 ± 0.12 # |
| DSS + MESA | 203.71 ± 4.42 # | 85.00 ± 5 # | 4.52 ± 0.50 # | 14.87 ± 0.75 # | 1.81 ± 0.02 # |
| Groups | Control | DSS | DSS + AEUD-50 | DSS + AEUD-100 | DSS + AEUD-200 | DSS + MESA |
|---|---|---|---|---|---|---|
| CRP (mg/L) | 0.37 ± 0.08 | 2.05 ± 0.15 * | 0.42 ± 0.05 # | 0.83 ± 0.16 # | 1.24 ± 0.16 # | 0.5 ± 0.08 # |
| Amylase (U/L) | 225 ± 14.86 | 1047 ± 40.66 * | 831.66 ± 31.25 # | 854 ± 38.04 # | 825 ± 22.64 # | 785.5 ± 37.34 # |
| Urea (mmol/L) | 4.47 ± 0.33 | 6.46 ± 0.2 * | 6.06 ± 0.36 | 6.17 ± 0.57 | 6.01 ± 0.29 | 6.02 ± 0.67 |
| Creatinine (µmol/L) | 37.5 ± 1.29 | 45.83 ± 1.6 * | 45.16 ± 2.13 | 45.83 ± 3.06 | 46.4 ± 3.91 | 40.5 ± 2.42 |
| AST (U/L) | 85.75 ± 2.98 | 189.16 ± 15.94 * | 89.2 ± 2.58 # | 91.5 ± 2.07 # | 94.75 ± 3.3 # | 105.33 ± 8.35 # |
| ALT (U/L) | 37.5 ± 2.64 | 59.66 ± 6.97 * | 49.16 ± 1.16 # | 42.83 ± 3.18 # | 40.25 ± 2.87 # | 56 ± 3.89 # |
| ALP (U/L) | 59.75 ± 3.3 | 141.2 ± 4.08 * | 91.6 ± 1.51 # | 86.4 ± 3.84 # | 88.6 ± 2.3 # | 84 ± 3.31 # |
| LDH (U/L) | 414.4 ± 22.46 | 971.83 ± 63.12 * | 901.75 ± 4.34 | 949.4 ± 62.3 | 870.25 ± 31.48 | 666.33 ± 36.43 |
| TC (mmol/L) | 1.23 ± 0.33 | 1.24 ± 0.19 | 1.14 ± 0.34 | 1.14 ± 0.21 | 1.06 ± 0.08 | 1.17 ± 0.17 |
| TG (mmol/L) | 0.95 ± 0.07 | 1.005 ± 0.14 | 0.64 ± 0.08 | 0.62 ± 0.05 | 0.94 ± 0.06 | 0.86 ± 0.08 |
| HDL (mmol/L) | 0.59 ± 0.06 | 0.49 ± 0.04 | 0.5 ± 0.05 | 0.52 ± 0.04 | 0.5 ± 0.06 | 0.56 ± 0.06 |
| LDL (mmol/L) | 0.23 ± 0.04 | 0.32 ± 0.03 | 0.26 ± 0.04 | 0.3 ± 0.03 | 0.32 ± 0.04 | 0.22 ± 0.06 |
| Glu (mmol/L) | 7.16 ± 0.5 | 7.87 ± 0.42 | 5.35 ± 0.48 # | 5.69 ± 0.22 # | 5.48 ± 0.29 # | 7.09 ± 0.5 |
| Sodium (mEq/L) | 131.2 ± 0.83 | 137 ± 1.41 | 136.66 ± 2.94 | 136.16 ± 2.63 | 137.2 ± 3.34 | 135.66 ± 3.44 |
| Potassium (mEq/L) | 5.79 ± 0.48 | 6.1 ± 0.71 | 6.96 ± 0.86 | 6.96 ± 0.41 | 6.26 ± 0.53 | 5.75 ± 0.62 |
| Groups | Control | DSS | DSS + AEUD-50 | DSS + AEUD-100 | DSS + AEUD-200 | DSS + MESA |
|---|---|---|---|---|---|---|
| WBC (mg/L) | 10.2 ± 0.28 | 14.96 ± 0.47 * | 10.75 ± 0.35 # | 9.6 ± 0.14 # | 10.35 ± 0.21 # | 10.23 ± 0.2 # |
| Erythrocytes (U/L) | 9.78 ± 0.24 | 9.57 ± 0.53 | 7.25 ± 0.8 | 7.4 ± 0.16 | 9.95 ± 0.07 | 11 ± 1 |
| Hb (mmol/L) | 15.4 ± 0.28 | 15.7 ± 0.7 | 15.05 ± 1.06 | 15.15 ± 0.07 | 15.9 ± 0.7 | 16.5 ± 1.05 |
| Hct (µmol/L) | 47.65 ± 1.34 | 47.3 ± 0.8 | 46.05 ± 4.73 | 45.8 ± 4.38 | 48.8 ± 0.28 | 50.63 ± 7.44 |
| MCV (U/L) | 49 ± 0.1 | 50 ± 1 | 51 ± 1.41 | 53 ± 0.6 | 50.5 ± 0.7 | 46 ± 2.64 |
| MCH (U/L) | 15.2 ± 0.1 | 16.4 ± 1.34 | 17.55 ± 0.49 | 18.65 ± 0.35 | 16.75 ± 0.21 | 14.93 ± 1.45 |
| MCHC (U/L) | 31.25 ± 0.07 | 32 ± 0.69 | 36.25 ± 0.91 | 36.05 ± 0.63 | 35.7 ± 0.28 | 32.5 ± 1.47 |
| Platelets (mEq/L) | 903.5 ± 55.86 | 557.33 ± 23.54 * | 864 ± 32.52 # | 835 ± 77.78 # | 862 ± 56.56 # | 936 ± 49.92 # |
Disclaimer/Publisher’s Note: The statements, opinions and data contained in all publications are solely those of the individual author(s) and contributor(s) and not of MDPI and/or the editor(s). MDPI and/or the editor(s) disclaim responsibility for any injury to people or property resulting from any ideas, methods, instructions or products referred to in the content. |
© 2023 by the authors. Licensee MDPI, Basel, Switzerland. This article is an open access article distributed under the terms and conditions of the Creative Commons Attribution (CC BY) license (https://creativecommons.org/licenses/by/4.0/).
Share and Cite
Dakhli, N.; Rtibi, K.; Arrari, F.; Ayari, A.; Sebai, H. Prophylactic Coloprotective Effect of Urtica dioica Leaves against Dextran Sulfate Sodium (DSS)-Induced Ulcerative Colitis in Rats. Medicina 2023, 59, 1990. https://doi.org/10.3390/medicina59111990
Dakhli N, Rtibi K, Arrari F, Ayari A, Sebai H. Prophylactic Coloprotective Effect of Urtica dioica Leaves against Dextran Sulfate Sodium (DSS)-Induced Ulcerative Colitis in Rats. Medicina. 2023; 59(11):1990. https://doi.org/10.3390/medicina59111990
Chicago/Turabian StyleDakhli, Nouha, Kais Rtibi, Fatma Arrari, Ala Ayari, and Hichem Sebai. 2023. "Prophylactic Coloprotective Effect of Urtica dioica Leaves against Dextran Sulfate Sodium (DSS)-Induced Ulcerative Colitis in Rats" Medicina 59, no. 11: 1990. https://doi.org/10.3390/medicina59111990
APA StyleDakhli, N., Rtibi, K., Arrari, F., Ayari, A., & Sebai, H. (2023). Prophylactic Coloprotective Effect of Urtica dioica Leaves against Dextran Sulfate Sodium (DSS)-Induced Ulcerative Colitis in Rats. Medicina, 59(11), 1990. https://doi.org/10.3390/medicina59111990

