Pattern of Residual Submucosal Involvement after Neoadjuvant Therapy for Rectal Cancer: A Rationale for the Utility of Endoscopic Submucosal Resection
Abstract
:1. Introduction
2. Materials and Methods
2.1. Patient Selection
2.2. Treatment
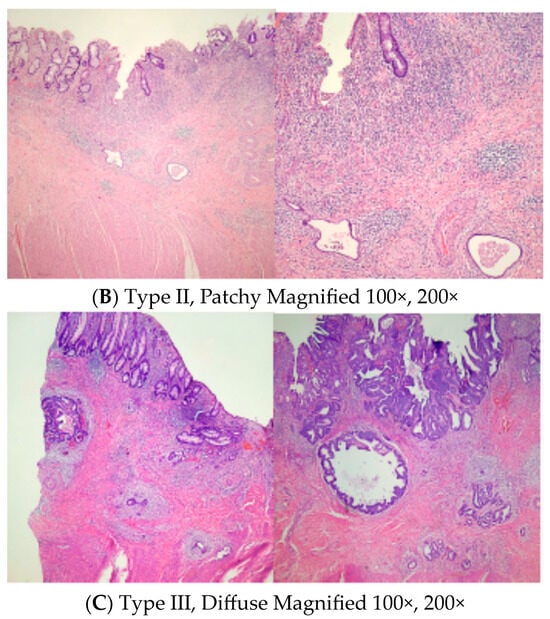
2.3. Slide Selection and Scoring System
3. Results
3.1. Patient Demographics and Clinical Characteristics
3.2. Treatment Details
3.3. Pathological Outcomes
4. Discussion
5. Conclusions
Author Contributions
Funding
Institutional Review Board Statement
Informed Consent Statement
Data Availability Statement
Conflicts of Interest
References
- National Comprehensive Cancer Network (NCCN). NCCN Clinical Practice Guidelines in Oncology, Rectal Cancer, Version 3; NCCN: Plymouth Meeting, PA, USA, 2017; Available online: www.nccn.org (accessed on 1 August 2023).
- Sturiale, A.; Martellucci, J.; Zuril, L.; Vaccaro, C.; Brusciano, L.; Limongelli, P.; Docimo, L.; Valeri, A. Long-term functional follow-up after anterior rectal resection for cancer. Int. J. Color. Dis. 2017, 32, 83–88. [Google Scholar] [CrossRef] [PubMed]
- Chen, T.Y.; Wiltink, L.M.; Nout, R.A.; Kranenbarg, E.M.-K.; Laurberg, S.; Marijnen, C.A.; van de Velde, C.J. Bowel function 14 years after preoperative short-course radiotherapy and total mesorectal excision for rectal cancer: Report of a multicenter randomized trial. Clin. Color. Cancer 2015, 14, 106–114. [Google Scholar] [CrossRef] [PubMed]
- Pieniowski, E.H.A.; Palmer, G.J.; Juul, T.; Lagergren, P.; Johar, A.; Emmertsen, K.J.; Nordenvall, C.; Abraham-Nordling, M. Low anterior resection syndrome and quality of life after sphincter-sparing rectal cancer surgery: A long-term longitudinal follow-up. Dis. Colon Rectum 2019, 62, 14–20. [Google Scholar] [CrossRef] [PubMed]
- Couwenberg, A.M.; Intven, M.P.W.; Gregorowitsch, M.L.; Haaring, C.B.; van Grevenstein, W.; Verkooijen, H.M.M. Patient-reported work ability during the first two years after rectal cancer diagnosis. Dis. Colon Rectum 2020, 63, 578–587. [Google Scholar] [CrossRef]
- Habr-Gama, A.; Perez, R.O.; Nadalin, W.; Sabbaga, J.; Ribeiro, U., Jr.; Silva e Sousa, A.H., Jr.; Campos, F.G.; Kiss, D.R.; Gama-Rodrigues, J. Operative versus nonoperative treatment for stage 0 distal rectal cancer following chemoradiation therapy: Long-term results. Ann Surg. 2004, 240, 711–718. [Google Scholar] [CrossRef]
- Rullier, E.; Rouanet, P.; Tuech, J.J.; Valverde, A.; Lelong, B.; Rivoire, M.; Faucheron, J.-L.; Jafari, M.; Portier, G.; Meunier, B.; et al. Organ preservation for rectal cancer (GRECCAR2): A prospective, randomised, open-label, multicentre, phase 3 trial. Lancet 2017, 390, 469–479. [Google Scholar] [CrossRef]
- Rizzo, G.; Zaccone, G.; Magnocavallo, M.; Mattana, C.; Pafundi, D.; Gambacorta, M.; Valentini, V.; Coco, C. Transanal endoscopic microsurgery after neoadjuvant radiochemotherapy for locally advanced extraperitoneal rectal cancer. Eur. J. Surg. Oncol. 2017, 43, 1488–1493. [Google Scholar] [CrossRef]
- Guerrieri, M.; Gesuita, R.; Ghiselli, R.; Lezoche, G.; Budassi, A.; Baldarelli, M. Treatment of rectal cancer by transanal endoscopic microsurgery: Experience with 425 patients. World J. Gastroenterol. 2014, 20, 9556–9563. [Google Scholar] [CrossRef]
- Stipa, F.; Picchio, M.; Burza, A.; Soricelli, E.; Vitelli, C.E. Long-term outcome of local excision afer preoperative chemoradiation for ypT0 rectal cancer. Dis. Colon Rectum 2014, 57, 1245–1252. [Google Scholar] [CrossRef]
- Pucciarelli, S.; De Paoli, A.; Guerrieri, M.; La Torre, G.; Maretto, I.; De Marchi, F.; Mantello, G.; Gambacorta, M.A.; Canzonieri, V.; Nitti, D.; et al. Local excision after preoperative chemoradiotherapy for rectal cancer: Results of a multicenter phase II clinical trial. Dis. Colon Rectum 2013, 56, 1349–1356. [Google Scholar] [CrossRef]
- Perez, R.O.; Habr-Gama, A.; Sao Juliao, G.P.; Proscurshim, I.; Neto, A.S.; Gama-Rodrigues, J. Transanal endoscopic microsurgery for residual rectal cancer after neoadjuvant chemoradiation therapy is associated with significant immediate pain and hospital readmission rates. Dis. Colon Rectum 2011, 54, 545–551. [Google Scholar] [CrossRef] [PubMed]
- Garcia-Aguilar, J.; Shi, Q.; Thomas, C.R., Jr.; Chan, E.; Cataldo, P.; Marcet, J.; Medich, D.; Pigazzi, A.; Oommen, S.; Posner, M.C. A phase II trial of neoadjuvant chemoradiation and local excision for T2N0 rectal cancer: Preliminary results of the ACOSOG Z6041 trial. Ann. Surg. Oncol. 2012, 19, 384–391. [Google Scholar] [CrossRef] [PubMed]
- Habr-Gama, A.; Lynn, P.B.; Jorge, J.M.N.; Sao Juliao, G.P.; Proscurshim, I.; Gama-Rodrigues, J.; Fernandez, L.M.; Perez, R.O. Impact of organ-preserving strategies on anorectal function in patients with distal rectal cancer following neoadjuvant chemoradiation. Dis. Colon Rectum 2016, 59, 264–269. [Google Scholar] [CrossRef]
- Perez, R.O.; Sao Julio, G.P.; Vailati, B.B. Transanal local excision of rectal cancer after neoadjuvant chemoradiation: Is there a place for it or should it be avoided at all costs? Clin. Colon Rectal Surg. 2022, 35, 122–128. [Google Scholar] [CrossRef]
- Aref, A.; Alame, A.M.; Drelichman, E.R.; Hawasli, A. Should local excision after neoadjuvant therapy be included in the national guidelines for the treatment of locally advanced rectal cancer? Dis. Colon Rectum 2022, 65, 461–463. [Google Scholar] [CrossRef] [PubMed]
- Aref, A.; Hawasli, A.; Abdalla, A.; Alame, A.; Barawi, M.; Yakan, A.; Drelichman, E. Favorable postoperative complication rate after neoadjuvant therapy and transanal full thickness local excision for rectal cancer. World J. Surg. Surg. Res. 2021, 4, 1299. [Google Scholar]
- Zhifei, Z.; Ahmed, A.; Mazzara, P.; Alame, A.; Hawasli, A.; Aref, A. Pattern of distribution of residual microscopic disease following neoadjuvant therapy for rectal cancer. World J. Surg. Surg. Res. 2021, 4, 1315. [Google Scholar]
- Ryan, R.; Gibbons, D.; Hyland, J.M.P.; Treanor, D.; White, A.; Mulcahy, E.H.; O’Donoghue, D.P.; Moriarty, M.; Fennelly, D.; Sheahan, K. Pathological response following long-course neoadjuvant chemoradiotherapy for locally advanced rectal cancer. Histopathology 2005, 47, 141–146. [Google Scholar] [CrossRef]
- Meterissian, S.; Skibber, J.; Rich, T.; Roubein, L.; Ajani, J.; Cleary, K.; Ota, D.M. Patterns of residual disease after preoperative chemoradiation in ultrasound T3 rectal carcinoma. Ann. Surg. Oncol. 1994, 1, 111–116. [Google Scholar] [CrossRef]
- Duldulao, M.P.; Lee, W.; Streja, L.; Chu, P.; Li, W.; Chen, Z.; Kim, J.; Garcia-Aguilar, J. Distribution of residual cancer cells in the bowel wall after neoadjuvant chemoradiation in patients with rectal cancer. Dis. Colon Rectum 2013, 56, 142–149. [Google Scholar] [CrossRef]
- Garcia-Aguilar, J.; Smith, D.D.; Avila, K.; Bergsland, E.K.; Chu, P.; Krieg, R.M. Optimal timing of surgery after chemoradiation for advanced rectal cancer: Preliminary results of a multicenter, nonrandomized phase II prospective trial. Ann. Surg. 2011, 254, 97–102. [Google Scholar] [CrossRef] [PubMed]
- Xiao, L.; Yu, X.; Deng, W.; Feng, H.; Chang, H.; Xiao, W.; Zhang, H.; Xi, S.; Liu, M.; Zhu, Y.; et al. Pathological assessment of rectal cancer after neoadjuvant chemoradiotherapy: Distribution of residual cancer cells and accuracy of biopsy. Sci. Rep. 2016, 10, 34923. [Google Scholar] [CrossRef] [PubMed]
- Garcia-Aguilar, J.; Patil, S.; Gollub, M.J.; Kim, J.K.; Yuval, J.B.; Thompson, H.M.; Verheij, F.S.; Omer, D.M.; Lee, M.; Dunne, R.F.; et al. Organ preservation in patients with rectal adenocarcinoma treated with total neoadjuvant therapy. J. Clin. Oncol. 2022, 40, 2546–2556. [Google Scholar] [CrossRef] [PubMed]
- Gorgun, E.; (Cleveland Clinic, Cleveland, OH, USA). Personal Communication, 2022.
- Tatar, C.; Crowell, K.T.; Sapci, I.; Gorgun, I.E. Endoscopic submucosal dissection in the management of an adenoma within the area of rectal cancer after complete clinical response. Dis. Colon Rectum 2021, 64, e717. [Google Scholar] [CrossRef] [PubMed]
- Leung, G.; Nishimura, M.; Hingorani, N.; Lin, I.-H.; Weiser, M.R.; Garcia-Aguilar, J.; Pappou, E.P.; Patty, P.B.; Schattner, M.A. Technical feasibility of salvage endoscopic submucosal dissection after chemoradiation for locally advanced rectal carcinoma. Gastrointest. Endosc. 2022, 96, 359–367. [Google Scholar] [CrossRef] [PubMed]


| Pattern | Definition |
|---|---|
| TYPE I | Focal: residual tumor involving one 10× field or less |
| TYPE II | Patchy: residual tumor involving two distinct areas with at least one low power field (4×) of separation |
| TYPE III | Diffuse: residual tumor involving an area greater than a 10× field regardless of the number of foci present |
| Characteristic | Value | |
|---|---|---|
| Gender (#) | Male | 45 |
| Female | 37 | |
| Age (Y) | Median and range | 64 (36–87) |
| Distance from anus (cm) | Median and range | 7 (0–15) |
| Clinical T stage (#) | T2 | 2 |
| T3 | 80 | |
| Clinical N stage (#) | N0 | 50 |
| N+ | 32 | |
| Interval between completion of radiation and surgery (D) | Median and range | 53 (30–244) |
| Category | Value/Quantity | |
|---|---|---|
| * TRG | TRG I | 29 |
| TRG II | 34 | |
| TRG III | 20 | |
| ** YPT | YPT0 | 28 |
| YPT1 | 3 | |
| YPT2 | 22 | |
| YPT3 | 28 | |
| YPT4 | 1 | |
| *** YPN | N0 | 49 |
| N1 N2 | 31 1 | |
| Nx | 1 | |
| Mazzara–Elazzamy classification of submucosal involvement | ||
| Type | Quantity | Median Size/Range in MM |
| Type I | 14 | 0.3 (0.1–0.5) |
| Type II | 6 | 0.7 (0.3–1.2) |
| Type III | 33 | 0.8 (0.3–2.8) |
Disclaimer/Publisher’s Note: The statements, opinions and data contained in all publications are solely those of the individual author(s) and contributor(s) and not of MDPI and/or the editor(s). MDPI and/or the editor(s) disclaim responsibility for any injury to people or property resulting from any ideas, methods, instructions or products referred to in the content. |
© 2023 by the authors. Licensee MDPI, Basel, Switzerland. This article is an open access article distributed under the terms and conditions of the Creative Commons Attribution (CC BY) license (https://creativecommons.org/licenses/by/4.0/).
Share and Cite
Elazzamy, H.; Bhatt, M.; Mazzara, P.; Barawi, M.; Zeni, A.; Aref, A. Pattern of Residual Submucosal Involvement after Neoadjuvant Therapy for Rectal Cancer: A Rationale for the Utility of Endoscopic Submucosal Resection. Medicina 2023, 59, 1807. https://doi.org/10.3390/medicina59101807
Elazzamy H, Bhatt M, Mazzara P, Barawi M, Zeni A, Aref A. Pattern of Residual Submucosal Involvement after Neoadjuvant Therapy for Rectal Cancer: A Rationale for the Utility of Endoscopic Submucosal Resection. Medicina. 2023; 59(10):1807. https://doi.org/10.3390/medicina59101807
Chicago/Turabian StyleElazzamy, Haidy, Monika Bhatt, Paul Mazzara, Mohammed Barawi, Amer Zeni, and Amr Aref. 2023. "Pattern of Residual Submucosal Involvement after Neoadjuvant Therapy for Rectal Cancer: A Rationale for the Utility of Endoscopic Submucosal Resection" Medicina 59, no. 10: 1807. https://doi.org/10.3390/medicina59101807
APA StyleElazzamy, H., Bhatt, M., Mazzara, P., Barawi, M., Zeni, A., & Aref, A. (2023). Pattern of Residual Submucosal Involvement after Neoadjuvant Therapy for Rectal Cancer: A Rationale for the Utility of Endoscopic Submucosal Resection. Medicina, 59(10), 1807. https://doi.org/10.3390/medicina59101807
