Endometrial Osseous Metaplasia—A Rare Cause of Infertility with Unknown Etiology
Abstract
:1. Introduction
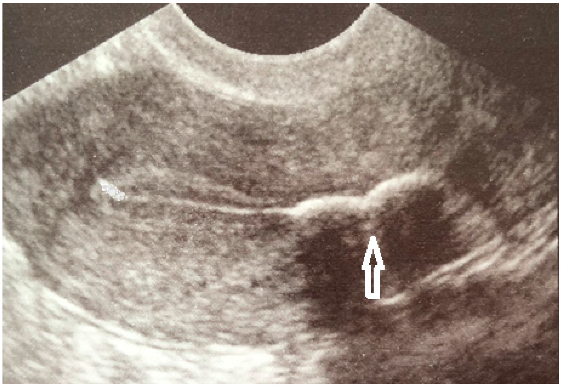
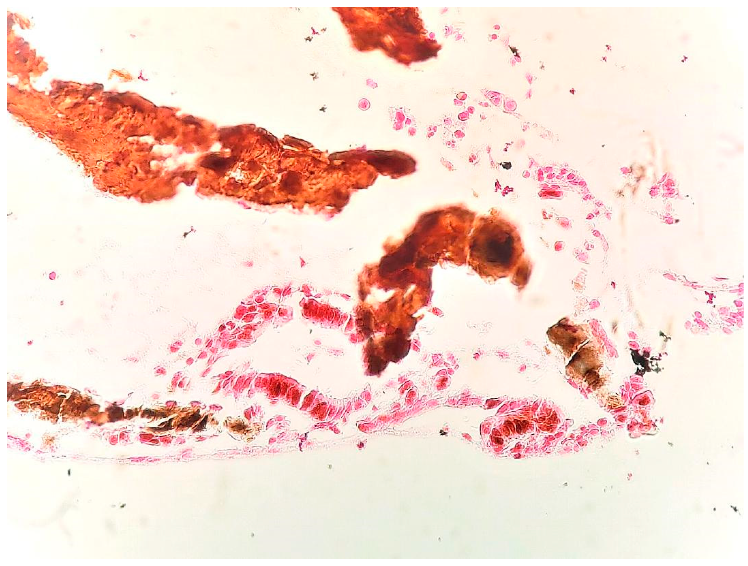
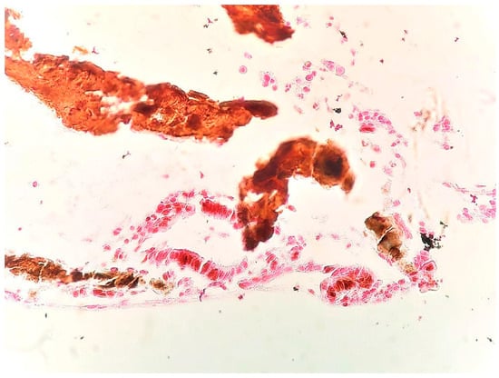
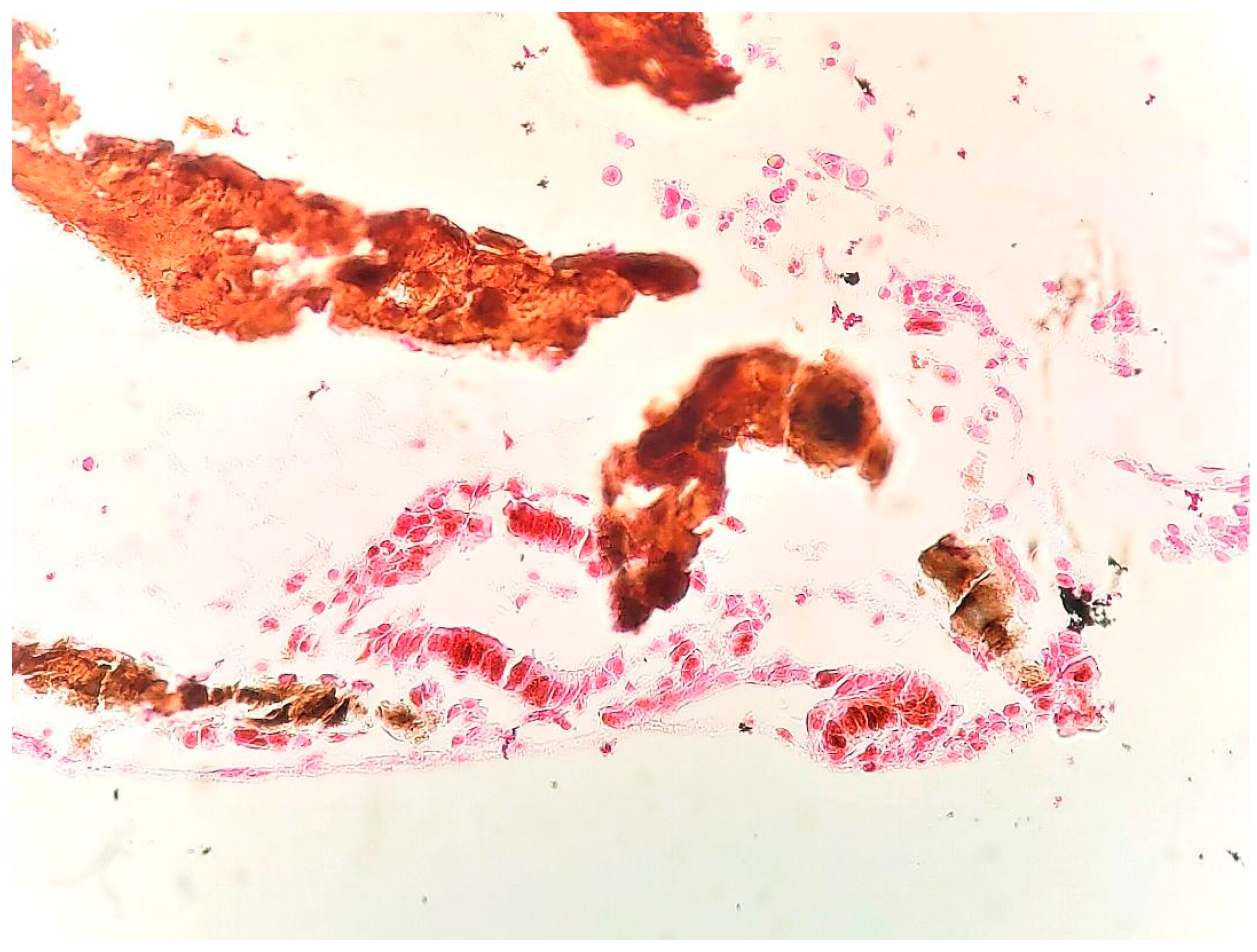
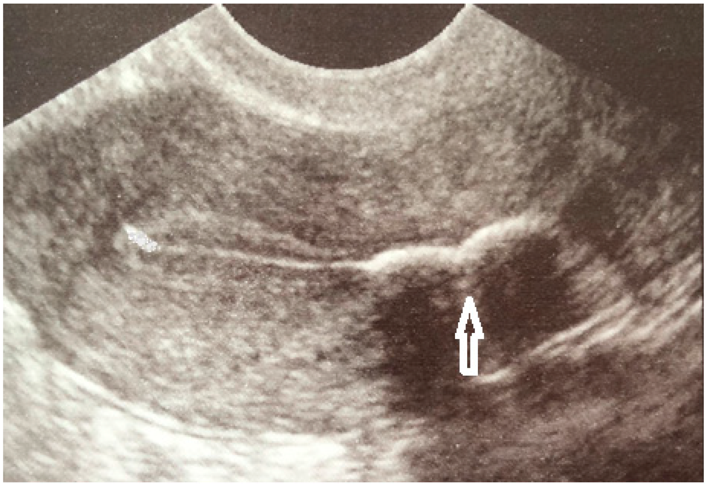
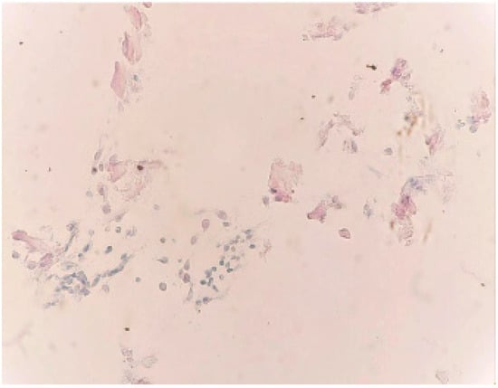
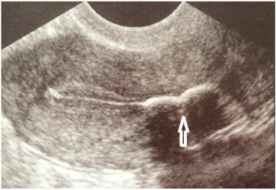
Case Report
2. Discussion
3. Conclusions
Author Contributions
Funding
Institutional Review Board Statement
Informed Consent Statement
Data Availability Statement
Conflicts of Interest
References
- Wani, A.H.; Parry, A.H.; Feroz, I.; Jehangir, M.; Rashid, M. Imaging of endometrial osseous metaplasia—An uncommon but treatable cause of infertility. Middle East. Fert. J. 2020, 25, 35. [Google Scholar] [CrossRef]
- Garg, D.; Bekker, G.; Akselrod, F. Endometrial osseous metaplasia: An unusual cause of infertility. BMJ Case Rep. 2015, 2015, bcr2015209523. [Google Scholar] [CrossRef] [PubMed]
- Damiani, G.R.; Gennaro, D.D.; Malvasi, A.; Vimercati, A.; Loizzi, V.; Gaetani, M.; Fonzo, T.D.; Dellino, M.; Cazzato, G.; Cicinelli, E.; et al. Endometrial Osseous Metaplasia. An Hysteroscopic Incidental Finding—An Overview. Gynecol. Minimal Inv. Ther. 2023, 12, 243–245. [Google Scholar] [CrossRef]
- Kapur, A.; Khan, S.; Sharma, S. Osseous Metaplasia of Endometrium: The Bony Womb and Its Hysteroscopic Management. J. Gynecol. Surg. 2021, 37. [Google Scholar] [CrossRef]
- Jamal, I.; Gupta, R.K.; Raj, S.; Bhadani, P.P. Endometrial and cervical osseous metaplasia with extramedullary haematopoiesis presenting as amenorrhea: Report of three cases. Indian J. Pathol. Microbiol. 2020, 63, 295–297. [Google Scholar] [PubMed]
- Kouakou, F.; Loué, V.; Kouamé, A.; Adjoby, R.; Koui, S.; Koimé, H.; Gbary, E. Endometrial osseous metaplasia and infertility: A case report. Clin. Exp. Obstet. Gynecol. 2012, 39, 559–561. [Google Scholar] [PubMed]
- Khan, S.N.; Modi, M.; Hoyos, L.R.; Imudia, A.N.; Awonuga, A.O. Bone in The Endometrium: A Review. Int. J. Fertil. Steril. 2016, 10, 154–161. [Google Scholar] [PubMed]
- Umashankar, T.; Shobhana, P.; Handigund, R.S. Endometrial osseous metaplasia: Clinicopathological study of a case and literature review. J. Hum. Reprod. Sci. 2010, 3, 102–104. [Google Scholar] [CrossRef] [PubMed]
- Parente, R.C.; Patriarca, M.T.; de Moura Neto, R.S.; de Oliveira, M.A.; Lasmar, R.B.; de Holanda Mendes, P.; de Sá, L.; Cardeman, P.G.; Silva, R.; de Freitas, D. Genetic analysis of the cause of endometrial osseous metaplasia. Obstet. Gynecol. 2009, 114, 1103–1108. [Google Scholar] [CrossRef] [PubMed]
- Crum, C.P.; Quick, C.M.; Laury, A.R.; Peters, W.A.; Hirsch, M.S. Gynecological Obstetrical Pathology; Elsevier: Amsterdam, The Netherlands, 2016; p. 355. [Google Scholar]
- Pereira, M.C.; Vaz, M.M.; Miranda, S.P.; Araújo, S.R.; Menezes, D.B.; das Chagas Medeiros, F. Uterine cavity calcifications: A report of 7 cases and a systematic literature review. J. Minim. Invasive. Gynecol. 2014, 21, 346–352. [Google Scholar] [CrossRef] [PubMed]
- Grigore, M.; Pristavu, A.; Gafitanu, D. Ultrasound features of osseous metaplasia of the endometrium: Case series and review of the literature. Clin. Imaging 2018, 52, 260–263. [Google Scholar] [CrossRef] [PubMed]
- Tulandi, T.; Al-Sunaidi, M.; Arseneau, J.; Tonin, P.N.; Arcand, S.L. Calcified tissue of fetal origin in utero. Fertil. Steril. 2008, 89, 217–218. [Google Scholar] [CrossRef] [PubMed]
- Cayuela, E.; Perez-Medina, T.; Vilanova, J.; Ajeo, M.; Caadas, P. True osseous metaplasia of the endometrium: The bone is not from a fetus. Fertil. Steril. 2009, 91, 1293. [Google Scholar] [CrossRef] [PubMed]
- Sugino, N.; Shimamura, K.; Takiguchi, S.; Tamura, H.; Ono, M.; Nakata, M.; Nakamura, Y.; Ogino, K.; Uda, T.; Kato, H. Changes in activity of superoxide dismutase in the human endometrium throughout the menstrual cycle and in early pregnancy. Hum. Reprod. 1996, 11, 1073–1078. [Google Scholar] [CrossRef] [PubMed]
- Wolff, E.F.; Wolff, A.B.; Hongling, D.; Taylor, H.S. Demonstration of multipotent stem cells in the adult human endometrium by in vitro chondrogenesis. Reprod. Sci. 2007, 14, 524. [Google Scholar] [CrossRef] [PubMed]
- Tabatabaei, F.S.; Dastjerdi, M.V.; Jazayeri, M.; Haghighipour, N.; Dastjerdie, E.V.; Bordbar, M. Comparison of osteogenic medium and uniaxial strain on differentiation of endometrial stem cells. Dent. Res. J. 2013, 10, 190–196. [Google Scholar]
- Shroff, C.P.; Kudterkar, N.G.; Badhwar, V.R. Endometrial ossification - report of three cases with literature review. Indian J. Pathol. Microbiol. 1985, 28, 71–74. [Google Scholar] [PubMed]
- Camus, M.; Ropert, J.F.; Iloki, L.H.; Lefebvre, G.; Tranbaloc, P. Ossification endométriale. A propos de 5 observations récentes. J. Gynecol. Obstet. Biol. Reprod. 1990, 19, 295. [Google Scholar]
- Zou, Y.; Li, S.; Ming, L.; Yang, Y.; Ye, P.; Zou, J. The Correlation between Chronic Endometritis and Tubal-Factor Infertility. J. Clin. Med. 2023, 12, 285. [Google Scholar] [CrossRef] [PubMed]
- Tsai, M.C.; Arunamata, A.; Tristan, S.; Randall, H.W. Endometrial osseous metaplasia mimicking retained intrauterine device: A case report. J. Reprod. Med. 2008, 53, 877. [Google Scholar] [PubMed]









Disclaimer/Publisher’s Note: The statements, opinions and data contained in all publications are solely those of the individual author(s) and contributor(s) and not of MDPI and/or the editor(s). MDPI and/or the editor(s) disclaim responsibility for any injury to people or property resulting from any ideas, methods, instructions or products referred to in the content. |
© 2023 by the authors. Licensee MDPI, Basel, Switzerland. This article is an open access article distributed under the terms and conditions of the Creative Commons Attribution (CC BY) license (https://creativecommons.org/licenses/by/4.0/).
Share and Cite
Tica, V.I.; Postolache, I.; Boșoteanu, M.; Aschie, M.; Tica, I.; Orasanu, C.I.; Penciu, R.C.; Tica, A.A.; Steriu, L.; De Wilde, R.L.; et al. Endometrial Osseous Metaplasia—A Rare Cause of Infertility with Unknown Etiology. Medicina 2023, 59, 1803. https://doi.org/10.3390/medicina59101803
Tica VI, Postolache I, Boșoteanu M, Aschie M, Tica I, Orasanu CI, Penciu RC, Tica AA, Steriu L, De Wilde RL, et al. Endometrial Osseous Metaplasia—A Rare Cause of Infertility with Unknown Etiology. Medicina. 2023; 59(10):1803. https://doi.org/10.3390/medicina59101803
Chicago/Turabian StyleTica, Vlad Iustin, Iulia Postolache, Madalina Boșoteanu, Mariana Aschie, Irina Tica, Cristian Ionut Orasanu, Roxana Cleopatra Penciu, Andrei Adrian Tica, Liliana Steriu, Rudy Leon De Wilde, and et al. 2023. "Endometrial Osseous Metaplasia—A Rare Cause of Infertility with Unknown Etiology" Medicina 59, no. 10: 1803. https://doi.org/10.3390/medicina59101803
APA StyleTica, V. I., Postolache, I., Boșoteanu, M., Aschie, M., Tica, I., Orasanu, C. I., Penciu, R. C., Tica, A. A., Steriu, L., De Wilde, R. L., & Tica, O. S. (2023). Endometrial Osseous Metaplasia—A Rare Cause of Infertility with Unknown Etiology. Medicina, 59(10), 1803. https://doi.org/10.3390/medicina59101803

