Metastatic Adrenal PEComa: Case Report and Short Review of the Literature
Abstract
1. Introduction
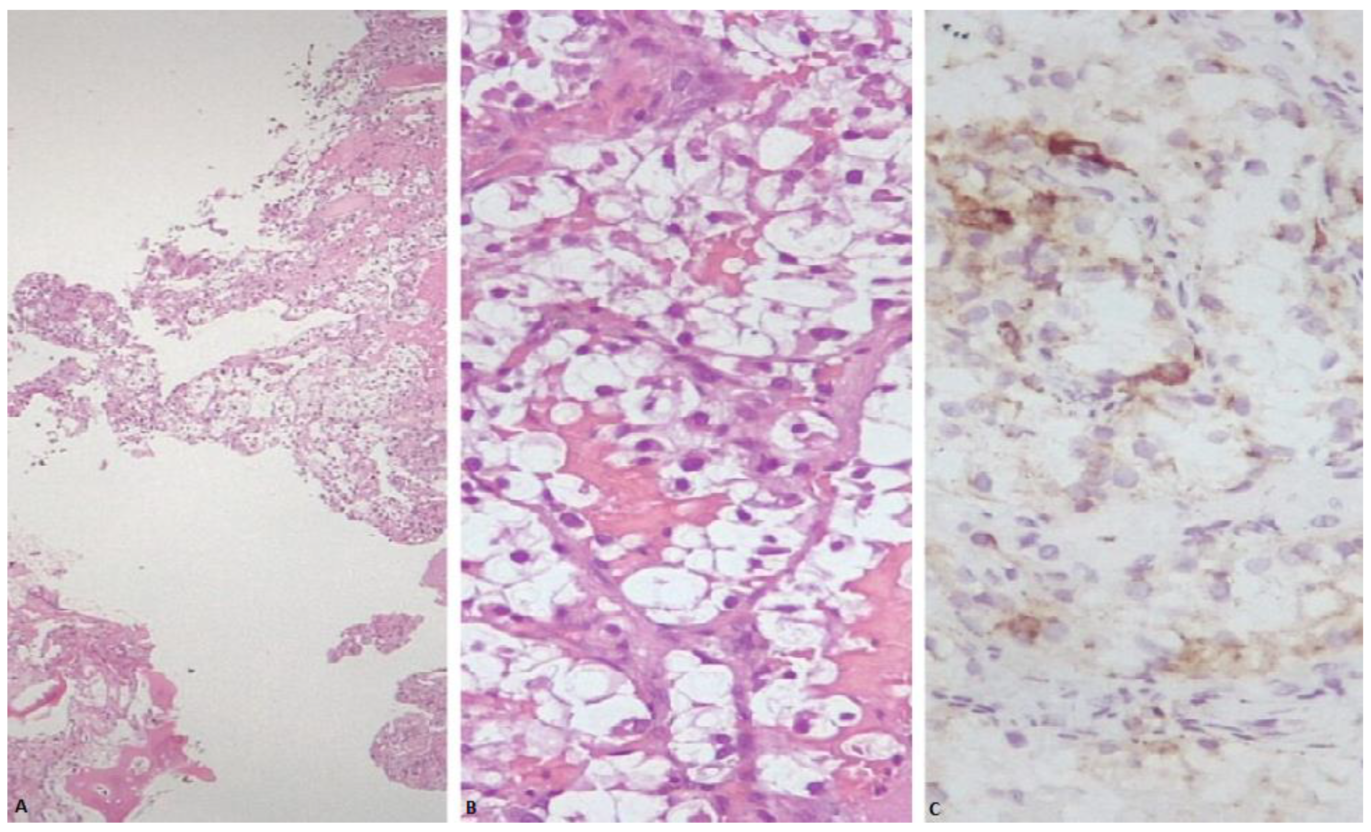
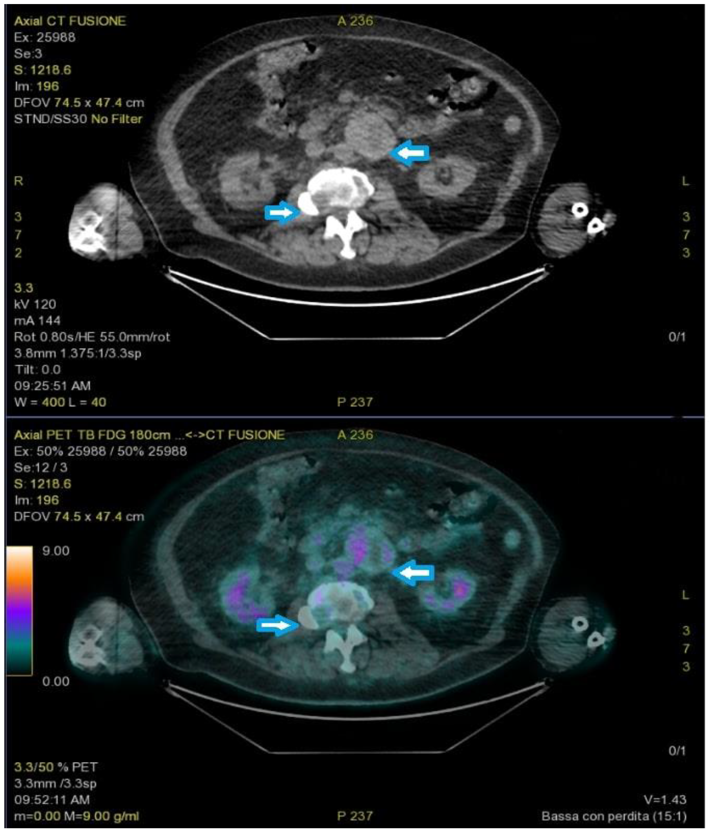
2. Case Report
3. Discussion
4. Conclusions
Author Contributions
Funding
Institutional Review Board Statement
Informed Consent Statement
Data Availability Statement
Conflicts of Interest
References
- Bonetti, F.; Pea, M.; Martignoni, G.; Zamboni, G. PEC and sugar. Am. J. Surg. Pathol. 1992, 16, 307. [Google Scholar] [CrossRef] [PubMed]
- Zamboni, G.; Pea, M.; Martignoni, G.; Zancanaro, C.; Faccioli, G.; Gilioli, E.; Pederzoli, P.; Bonetti, F. Clear cell “sugar” tumor of the pancreas: A novel member of the family of lesions characterized by the presence of perivascular epithelioid cells. Am. J. Surg. Pathol. 1996, 20, 722–730. [Google Scholar] [CrossRef] [PubMed]
- Mantero, F.; Terzolo, M.; Arnaldi, G.; Osella, G.; Masini, A.M.; Alì, A.; Giovagnetti, M.; Opocher, G.; Angeli, A. A survey on adrenal incidentaloma in Italy. J. Clin. Endocrinol. Metab. 2000, 85, 637–644. [Google Scholar] [CrossRef] [PubMed]
- Fassnacht, M.; Arlt, W.; Bancos, I.; Dralle, H.; Newell-Price, J.; Sahdev, A.; Tabarin, A.; Terzolo, M.; Tsagarakis, S.; Dekkers, O.M. Management of adrenal incidentalomas: European Society of Endocrinology Clinical Practice Guideline in collaboration with the European Network for the Study of Adrenal Tumors. Eur. J. Endocrinol. 2016, 175, G1–G34. [Google Scholar] [CrossRef] [PubMed]
- Lee, J.-M.; Kim, M.K.; Ko, S.-H.; Koh, J.-M.; Kim, B.-Y.; Kim, S.W.; Kim, S.-K.; Kim, H.J.; Ryu, O.-H.; Park, J.; et al. Clinical Guidelines for the Management of Adrenal Incidentaloma. Endocrinol. Metab. 2017, 32, 200–218. [Google Scholar] [CrossRef] [PubMed]
- Toniato, A.; Boschin, I.M.; Bernante, P.; Foletto, M.; Guolo, A.M.; Pelizzo, M.R.; Opocher, G.; Ballotta, E.; Mantero, F. Factors influencing the rising rates of adrenal surgery: Analysis of a 25-year experience. Surg. Endosc. 2008, 23, 503–507. [Google Scholar] [CrossRef] [PubMed]
- Sherlock, M.; Scarsbrook, A.; Abbas, A.; Fraser, S.; Limumpornpetch, P.; Dineen, R.; Stewart, P.M. Adrenal incidentaloma. Endocr. Rev. 2020, 41, 775–820. [Google Scholar] [CrossRef] [PubMed]
- Battistella, E.; Ferrari, S.; Pomba, L.; Toniato, A. Adrenal surgery: Review of 35 years experience in a single centre. Surg. Oncol. 2021, 37, 101554. [Google Scholar] [CrossRef] [PubMed]
- Marcos Gragera, R. Ultra-rare sarcomas: A consensus paper from the Connective Tissue Oncology Society community of experts on the incidence threshold and the list of entities. Cancer 2021, 127, 2934–2942. [Google Scholar] [CrossRef]
- Zarineh, A.; Silverman, J.F. Adrenal perivascular epithelioid cell tumor: A case report with discussion of differential diagnoses. Arch. Pathol. Lab. Med. 2011, 135, 499–502. [Google Scholar] [CrossRef] [PubMed]
- Lau, S.K. Malignant PEComa of the adrenal gland. Pathol. Res. Pract. 2012, 208, 113–117. [Google Scholar] [CrossRef] [PubMed]
- Musella, A.; De Felice, F.; Kyriacou, A.K.; Barletta, F.; DI Matteo, F.M.; Marchetti, C.; Izzo, L.; Monti, M.; Panici, P.B.; Redler, A.; et al. Perivascular epithelioid cell neoplasm (PEComa) of the uterus: A systematic review. Int. J. Surg. 2015, 19, 1–5. [Google Scholar] [CrossRef] [PubMed]
- Folpe, A.L.; Mentzel, T.; Lehr, H.A.; Fisher, C.; Balzer, B.L.; Weiss, S.W. Perivascular epithelioid cell neoplasms of soft tissue and gynecologic origin: A clinicopathologic study of 26 cases and review of the literature. Am. J. Surg. Pathol. 2005, 29, 1558–1575. [Google Scholar] [CrossRef] [PubMed]
- Fadare, O. Uterine PEComa: Appraisal of a controversial and increasingly reported mesenchymal neoplasm. Int. Semin. Surg. Oncol. 2008, 5, 7. [Google Scholar] [CrossRef] [PubMed]
- Greene, L.A.; Mount, S.L.; Schned, A.R.; Cooper, K. Recurrent perivascular epithelioid cell tumor of the uterus (PEComa): An immunohistochemical study and review of the literature. Gynecol. Oncol. 2003, 90, 677–681. [Google Scholar] [CrossRef] [PubMed]
- Jeon, I.-S.; Lee, S.M. Multimodal Treatment Using Surgery, Radiotherapy, and Chemotherapy in a Patient with a Perivascular Epithelioid Cell Tumor of the Uterus. J. Pediatr. Hematol. 2005, 27, 681–684. [Google Scholar] [CrossRef] [PubMed]
- Ii, D.K.; Merrill, M.; Young, J.; Sell, H. Angiomyolipoma and Malignant PEComa: Discussion of Two Rare Adrenal Tumors. Case Rep. Oncol. Med. 2016, 2016, 5204092. [Google Scholar] [CrossRef]
- Toniato, A.; Boschin, I.M.; Pelizzo, M.R. A very rare bilateral adrenal tumor. Endocrine 2013, 45, 502–503. [Google Scholar] [CrossRef] [PubMed]



Disclaimer/Publisher’s Note: The statements, opinions and data contained in all publications are solely those of the individual author(s) and contributor(s) and not of MDPI and/or the editor(s). MDPI and/or the editor(s) disclaim responsibility for any injury to people or property resulting from any ideas, methods, instructions or products referred to in the content. |
© 2023 by the authors. Licensee MDPI, Basel, Switzerland. This article is an open access article distributed under the terms and conditions of the Creative Commons Attribution (CC BY) license (https://creativecommons.org/licenses/by/4.0/).
Share and Cite
Battistella, E.; Pomba, L.; Mirabella, M.; Gregianin, M.; Scapinello, A.; Volante, M.; Toniato, A. Metastatic Adrenal PEComa: Case Report and Short Review of the Literature. Medicina 2023, 59, 149. https://doi.org/10.3390/medicina59010149
Battistella E, Pomba L, Mirabella M, Gregianin M, Scapinello A, Volante M, Toniato A. Metastatic Adrenal PEComa: Case Report and Short Review of the Literature. Medicina. 2023; 59(1):149. https://doi.org/10.3390/medicina59010149
Chicago/Turabian StyleBattistella, Enrico, Luca Pomba, Marica Mirabella, Michele Gregianin, Antonio Scapinello, Marco Volante, and Antonio Toniato. 2023. "Metastatic Adrenal PEComa: Case Report and Short Review of the Literature" Medicina 59, no. 1: 149. https://doi.org/10.3390/medicina59010149
APA StyleBattistella, E., Pomba, L., Mirabella, M., Gregianin, M., Scapinello, A., Volante, M., & Toniato, A. (2023). Metastatic Adrenal PEComa: Case Report and Short Review of the Literature. Medicina, 59(1), 149. https://doi.org/10.3390/medicina59010149

