Juxtapapillary Choroidal Neovascularization in a Young Woman with Tubulointerstitial Nephritis and Uveitis (TINU) Syndrome with Onset in Pediatric Age
Abstract
:1. Introduction
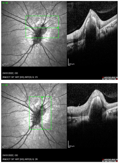
2. Case Presentation
3. Discussion
4. Conclusions
Author Contributions
Funding
Institutional Review Board Statement
Informed Consent Statement
Data Availability Statement
Conflicts of Interest
References
- Rosenbaum, J.T. Bilateral anterior uveitis and interstitial nephritis. Am. J. Ophthalmol. 1988, 105, 534–537. [Google Scholar] [CrossRef]
- Dobrin, R.S.; Vernier, R.L.; Fish, F.J. Acute eosinophilic interstitial nephritis and renal failure with bone marrow-lymph node granulomas and anterior uveitis. Am. J. Med. 1975, 596, 325–333. [Google Scholar] [CrossRef]
- Kump, L.I.; Cervantes-Castaneda, R.A.; Androudi, S.N.; Foster, C.S. Analysis of pediatric uveitis cases at a tertiary referral center. Ophthalmology 2005, 112, 1287–1292. [Google Scholar] [CrossRef] [PubMed]
- Mackensen, F.; Smith, J.R.; Rosenbaum, J.T. Enhanced recognition, treatment, and prognosis of tubulointerstitial nephritis and uveitis syndrome. Ophthalmology 2007, 114, 995–999. [Google Scholar] [CrossRef] [PubMed]
- Han, J.M.; Lee, Y.J.; Woo, S.J. A case of tubulointerstitial nephritis and uveitis syndrome in an elderly patient. Korean J. Ophthalmol. 2012, 26, 398–401. [Google Scholar] [CrossRef] [PubMed]
- Lusco, M.A.; Fogo, A.B.; Najafian, B.; Alpers, C.E. AJKD Atlas of Renal Pathology: Tubulointerstitial Nephritis With Uveitis. Am. J. Kidney Dis. 2017, 69, e27–e28. [Google Scholar] [CrossRef] [PubMed]
- Levinson, R.D. Tubulointerstitial nephritis and uveitis syndrome. Int. Ophthalmol. Clin. 2008, 48, 51–59. [Google Scholar] [CrossRef] [PubMed]
- Mandeville, J.T.; Levinson, R.D.; Holland, G.N. The tubulointerstitial nephritis and uveitis syndrome. Surv. Ophthalmol. 2001, 46, 195–208. [Google Scholar] [CrossRef]
- Hinkle, D.M.; Foster, C.S. Tubulointerstitial nephritis and uveitis syndrome. Int. Ophthalmol. Clin. 2008, 48, 9–13. [Google Scholar] [CrossRef] [PubMed]
- Heymann, H.B.; Colon, D.; Gill, M.K. Choroidal neovascularization secondary to tubulointerstitial nephritis and uveitis syndrome in an adult patient. J. Ophthalmic. Inflamm. Infect. 2015, 5, 29. [Google Scholar] [CrossRef] [PubMed] [Green Version]
- Buysen, J.G.M.; Houthoff, H.J.; Krediet, R.T.; Arisz, L. Acute interstitial nephritis: A clinical and morphological study in 27 patients. Nephrol. Dial. Transplant. 1990, 5, 94–99. [Google Scholar] [CrossRef] [PubMed]
- Kodner, C.M.; Kudrimoti, A. Diagnosis and management of acute interstitial nephritis. Am. Fam. Physician 2003, 67, 2527–2539. [Google Scholar] [PubMed]
- Pusey, C.D.; Saltissi, D.; Bloodworth, L.; Rainford, D.J.; Christie, J.L. Drug associated acute interstitial nephritis: Clinical and pathological features and the response to high dose steroid therapy. Q. J. Med. 1983, 52, 194–211. [Google Scholar] [PubMed]
- Reddy, A.K.; Hwang, Y.S.; Mandelcorn, E.D.; Davis, J.L. HLA-DR, DQ class II DNA typing in pediatric panuveitis and tubulointerstitial nephritis and uveitis. Am. J. Ophthalmol. 2014, 157, 678–686.e1-2. [Google Scholar] [CrossRef] [PubMed]
- Koreishi, A.F.; Zhou, M.; Debra, A. Goldstein Tubulointerstitial Nephritis and Uveitis Syndrome: Characterization of Clinical Features. Ocul. Immunol. Inflamm. 2021, 29, 1312–1317. [Google Scholar] [CrossRef] [PubMed]






Publisher’s Note: MDPI stays neutral with regard to jurisdictional claims in published maps and institutional affiliations. |
© 2022 by the authors. Licensee MDPI, Basel, Switzerland. This article is an open access article distributed under the terms and conditions of the Creative Commons Attribution (CC BY) license (https://creativecommons.org/licenses/by/4.0/).
Share and Cite
Paroli, M.P.; Cappiello, D.; Staccini, D.; Tamburrelli, A.C.; Paroli, M.; Iannetti, L. Juxtapapillary Choroidal Neovascularization in a Young Woman with Tubulointerstitial Nephritis and Uveitis (TINU) Syndrome with Onset in Pediatric Age. Medicina 2022, 58, 1260. https://doi.org/10.3390/medicina58091260
Paroli MP, Cappiello D, Staccini D, Tamburrelli AC, Paroli M, Iannetti L. Juxtapapillary Choroidal Neovascularization in a Young Woman with Tubulointerstitial Nephritis and Uveitis (TINU) Syndrome with Onset in Pediatric Age. Medicina. 2022; 58(9):1260. https://doi.org/10.3390/medicina58091260
Chicago/Turabian StyleParoli, Maria Pia, Daniele Cappiello, Davide Staccini, Anna Clara Tamburrelli, Marino Paroli, and Ludovico Iannetti. 2022. "Juxtapapillary Choroidal Neovascularization in a Young Woman with Tubulointerstitial Nephritis and Uveitis (TINU) Syndrome with Onset in Pediatric Age" Medicina 58, no. 9: 1260. https://doi.org/10.3390/medicina58091260
APA StyleParoli, M. P., Cappiello, D., Staccini, D., Tamburrelli, A. C., Paroli, M., & Iannetti, L. (2022). Juxtapapillary Choroidal Neovascularization in a Young Woman with Tubulointerstitial Nephritis and Uveitis (TINU) Syndrome with Onset in Pediatric Age. Medicina, 58(9), 1260. https://doi.org/10.3390/medicina58091260

