Teriparatide as an Effective Nonsurgical Treatment for a Patient with Basicervical Peritrochanteric Fracture Nonunion—A Case Report
Abstract
1. Introduction
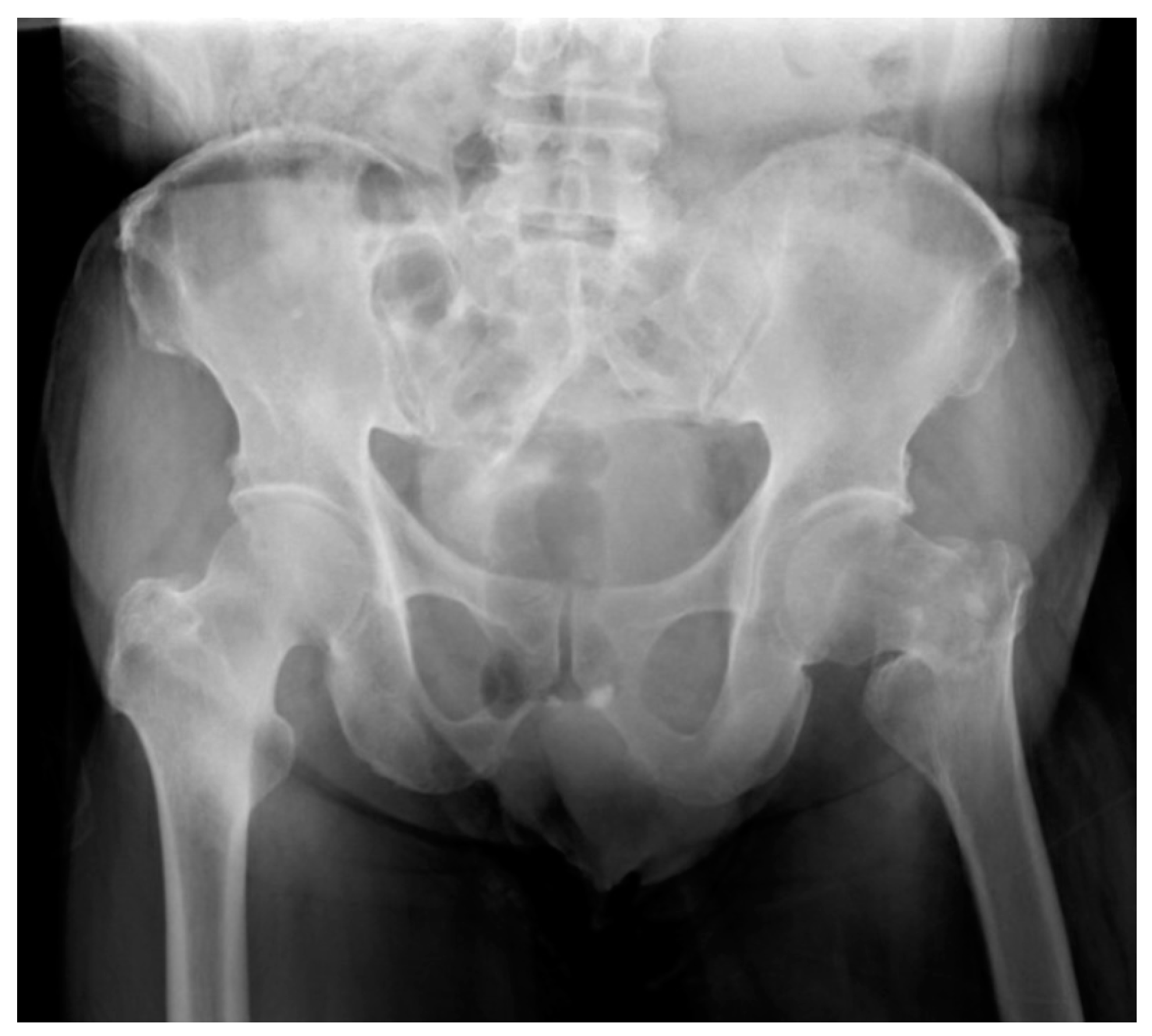
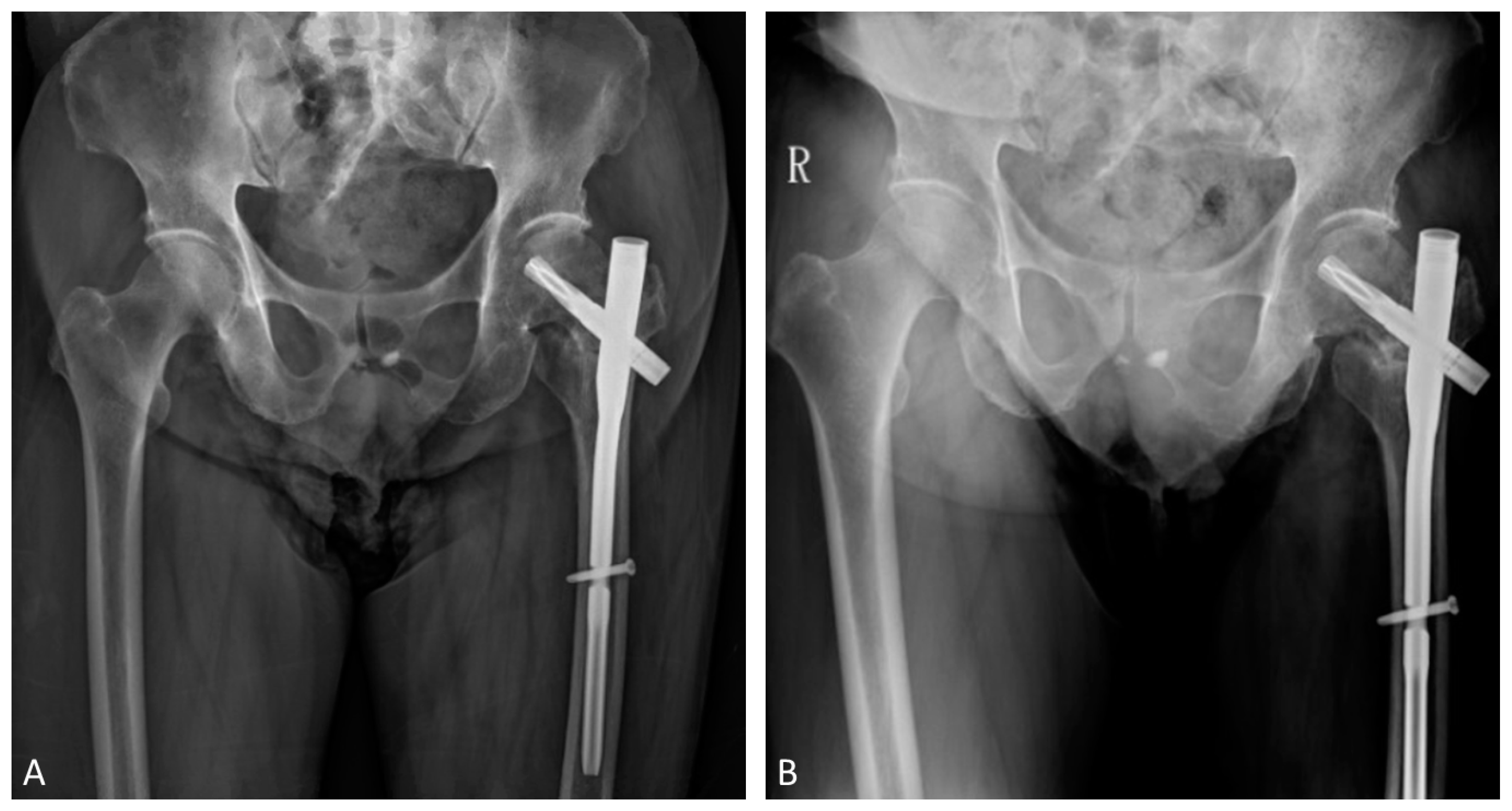
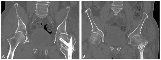
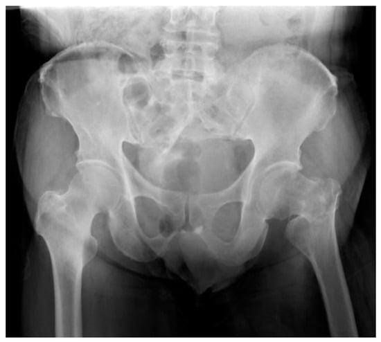
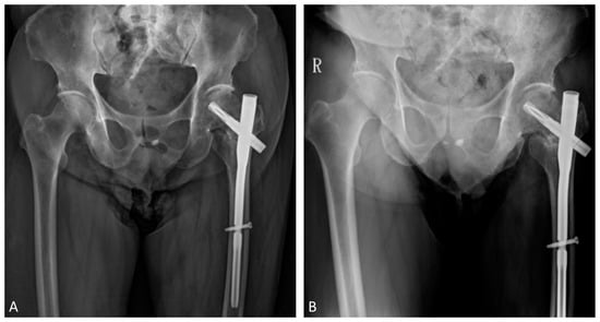
2. Case Report
3. Discussion
4. Conclusions
Author Contributions
Funding
Institutional Review Board Statement
Informed Consent Statement
Data Availability Statement
Acknowledgments
Conflicts of Interest
References
- Yoo, J.-I.; Cha, Y.; Kwak, J.; Kim, H.-Y.; Choy, W.-S. Review on Basicervical Femoral Neck Fracture: Definition, Treatments, and Failures. Hip Pelvis 2020, 32, 170–181. [Google Scholar] [CrossRef] [PubMed]
- Baldwin, P.C., 3rd; Lavender, R.C.; Sanders, R.; Koval, K.J. Controversies in Intramedullary Fixation for Intertrochanteric Hip Fractures. J. Orthop. Trauma 2016, 30, 635–641. [Google Scholar] [CrossRef] [PubMed]
- Chehade, M.J.; Carbone, T.; Awward, D.; Taylor, A.; Wildenauer, C.; Ramasamy, B.; McGee, M. Influence of Fracture Stability on Early Patient Mortality and Reoperation After Pertrochanteric and Intertrochanteric Hip Fractures. J. Orthop. Trauma 2015, 29, 538–543. [Google Scholar] [CrossRef] [PubMed]
- Tucker, A.; Warnock, M.; McDonald, S.; Cusick, L.; Foster, A.P. Fatigue failure of the cephalomedullary nail: Revision options, outcomes and review of the literature. Eur. J. Orthop. Surg. Traumatol. 2018, 28, 511–520. [Google Scholar] [CrossRef] [PubMed]
- Watson, S.T.; Schaller, T.M.; Tanner, S.L.; Adams, J.D.; Jeray, K.J. Outcomes of Low-Energy Basicervical Proximal Femoral Fractures Treated with Cephalomedullary Fixation. J. Bone Jt. Surg. Am. 2016, 98, 1097–1102. [Google Scholar] [CrossRef] [PubMed]
- Canintika, A.F.; Ismail, H.D. Teriparatide for treating delayed union and nonunion: A systematic review. J. Clin. Orthop. Trauma 2020, 11 (Suppl. S1), S107–S112. [Google Scholar] [CrossRef] [PubMed]
- Calori, G.M. Non-unions. Clin. Cases Miner. Bone Metab. 2017, 14, 186–188. [Google Scholar] [CrossRef] [PubMed]
- Bergh, C.; Wennergren, D.; Moller, M.; Brisby, H. Fracture incidence in adults in relation to age and gender: A study of 27,169 fractures in the Swedish Fracture Register in a well-defined catchment area. PLoS ONE 2020, 15, e0244291. [Google Scholar] [CrossRef] [PubMed]
- Aspenberg, P.; Genant, H.K.; Johansson, T.; Nino, A.J.; See, K.; Krohn, K.; A García-Hernández, P.; Recknor, C.P.; Einhorn, T.; Dalsky, G.P.; et al. Teriparatide for acceleration of fracture repair in humans: A prospective, randomized, double-blind study of 102 postmenopausal women with distal radial fractures. J. Bone Miner. Res. 2010, 25, 404–414. [Google Scholar] [CrossRef] [PubMed]
- Coppola, C.; Del Buono, A.; Maffulli, N. Teriparatide in Fracture Non-Unions. Transl. Med. UniSa 2015, 12, 47–53. [Google Scholar] [PubMed]
- Yu, W.; Guo, X. Teriparatide treatment of femoral fracture nonunion that autogenous bone grafting failed to heal: A case report. Arch. Osteoporos. 2017, 12, 15. [Google Scholar] [CrossRef] [PubMed]
- Bednar, D.A. Teriparatide treatment of a glucocorticoid-associated resorbing nonunion of a type III odontoid process fracture: A case report. J. Spinal Disord. Tech. 2013, 26, E319–E322. [Google Scholar] [CrossRef] [PubMed]
- Chintamaneni, S.; Finzel, K.; Gruber, B.L. Successful treatment of sternal fracture nonunion with teriparatide. Osteoporos. Int. 2010, 21, 1059–1063. [Google Scholar] [CrossRef] [PubMed]
- Uemura, T.; Okada, M.; Yokoi, T.; Shintani, K.; Nakamura, H. Successful Bone Healing of Nonunion After Ulnar Shortening Osteotomy for Smokers Treated With Teriparatide. Orthopedics 2015, 38, e733–e737. [Google Scholar] [CrossRef] [PubMed]
- Mitani, Y. Effective treatment of a steroid-induced femoral neck fracture nonunion with a once-weekly administration of teriparatide in a rheumatoid patient: A case report. Arch. Osteoporos. 2013, 8, 131. [Google Scholar] [CrossRef] [PubMed][Green Version]
- Lee, Y.-K.; Ha, Y.-C.; Koo, K.-H. Teriparatide, a nonsurgical solution for femoral nonunion? A report of three cases. Osteoporos. Int. 2012, 23, 2897–2900. [Google Scholar] [CrossRef] [PubMed]





Publisher’s Note: MDPI stays neutral with regard to jurisdictional claims in published maps and institutional affiliations. |
© 2022 by the authors. Licensee MDPI, Basel, Switzerland. This article is an open access article distributed under the terms and conditions of the Creative Commons Attribution (CC BY) license (https://creativecommons.org/licenses/by/4.0/).
Share and Cite
Ho, C.-H.; Tzeng, S.-C.; Farn, C.-J.; Lee, C.-C. Teriparatide as an Effective Nonsurgical Treatment for a Patient with Basicervical Peritrochanteric Fracture Nonunion—A Case Report. Medicina 2022, 58, 983. https://doi.org/10.3390/medicina58080983
Ho C-H, Tzeng S-C, Farn C-J, Lee C-C. Teriparatide as an Effective Nonsurgical Treatment for a Patient with Basicervical Peritrochanteric Fracture Nonunion—A Case Report. Medicina. 2022; 58(8):983. https://doi.org/10.3390/medicina58080983
Chicago/Turabian StyleHo, Cheng-Han, Shi-Chien Tzeng, Chui-Jia Farn, and Chia-Che Lee. 2022. "Teriparatide as an Effective Nonsurgical Treatment for a Patient with Basicervical Peritrochanteric Fracture Nonunion—A Case Report" Medicina 58, no. 8: 983. https://doi.org/10.3390/medicina58080983
APA StyleHo, C.-H., Tzeng, S.-C., Farn, C.-J., & Lee, C.-C. (2022). Teriparatide as an Effective Nonsurgical Treatment for a Patient with Basicervical Peritrochanteric Fracture Nonunion—A Case Report. Medicina, 58(8), 983. https://doi.org/10.3390/medicina58080983

