A Case of Oncocytic Adrenal Cortical Neoplasm with Uncertain Malignant Potential Turned Out to Be Oncocytic Adrenal Cortical Carcinoma with Distant Metastasis: Could Pathology Do Better Initially?
Abstract
:1. Introduction
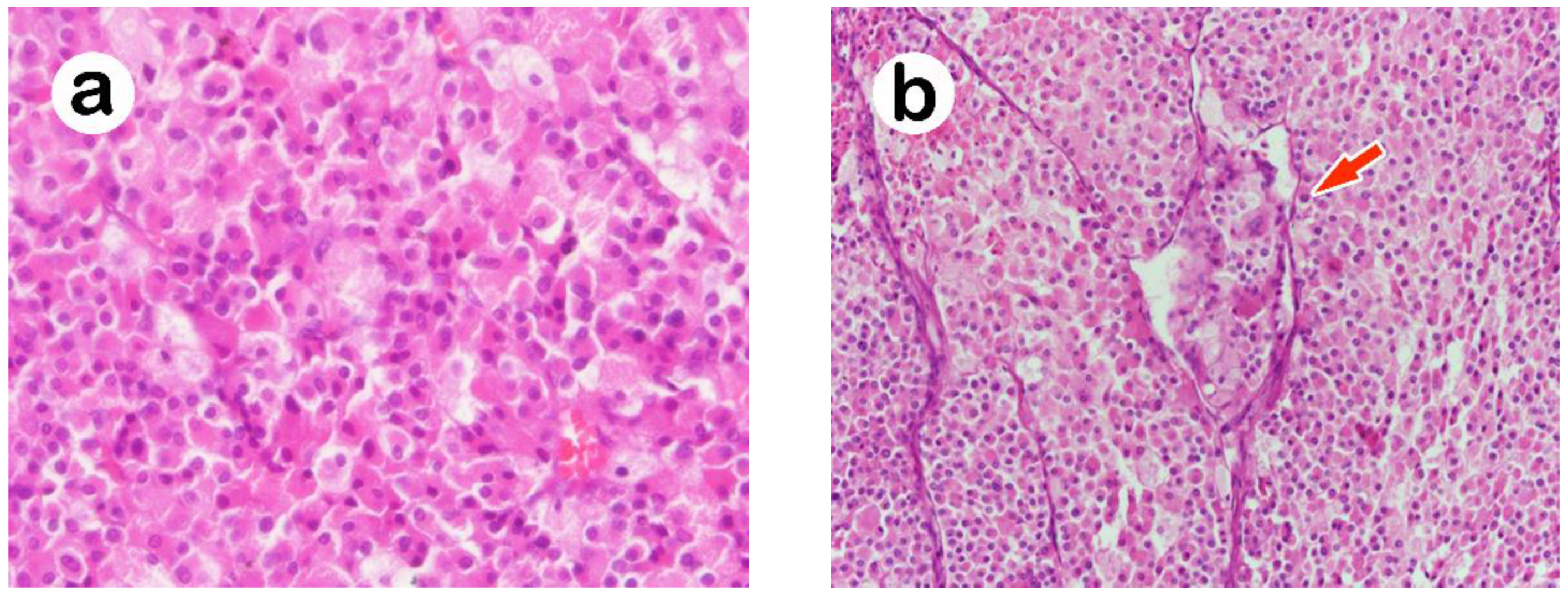
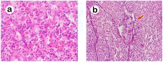
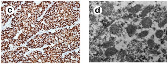
2. Case Report
3. Discussion
4. Conclusions
Author Contributions
Funding
Institutional Review Board Statement
Informed Consent Statement
Data Availability Statement
Conflicts of Interest
References
- Wong, D.D.; Spagnolo, D.V.; Bisceglia, M.; Havlat, M.; McCallum, D.; Platten, M.A. Oncocytic adrenocortical neoplasms—A clinicopathologic study of 13 new cases emphasizing the importance of their recognition. Hum. Pathol. 2011, 42, 489–499. [Google Scholar] [CrossRef] [PubMed]
- Renaudin, K.; Smati, S.; Wargny, M.; Al Ghuzlan, A.; Aubert, S.; Leteurtre, E.; Patey, M.; Sibony, M.; Sturm, N.; Tissier, F.; et al. Clinicopathological description of 43 oncocytic adrenocortical tumors: Importance of Ki-67 in histoprognostic evaluation. Mod. Pathol. 2018, 31, 1708–1716. [Google Scholar] [CrossRef] [PubMed]
- Lam, A.K.-Y. Adrenocortical Carcinoma: Updates of Clinical and Pathological Features after Renewed World Health Organisation Classification and Pathology Staging. Biomedicines 2021, 9, 175. [Google Scholar] [CrossRef] [PubMed]
- Kurek, R.; von Knobloch, R.O.L.F.; Feek, U.; Heidenreich, A.; Hofmann, R. Local recurrence of an oncocytic adrenocortical carcinoma with ovary metastasis. J. Urol. 2001, 166, 985. [Google Scholar] [CrossRef]
- Tanaka, K.; Kumano, Y.; Kanomata, N.; Takeda, M.; Hara, I.; Fujisawa, M.; Kawabata, G.; Kamidono, S. Oncocytic adrenocortical carcinoma. Urology 2004, 64, 376–377. [Google Scholar] [CrossRef] [PubMed]
- Argyriou, P.; Zisis, C.; Alevizopoulos, N.; Kefaloyannis, E.M.; Gennatas, C.; Petraki, C.D. Adrenocortical oncocytic carcinoma with recurrent metastases: A case report and review of the literature. World J. Surg. Oncol. 2008, 6, 134. [Google Scholar] [CrossRef] [PubMed] [Green Version]
- Juliano, J.J.; Cody, R.L.; Suh, J.H. Metastatic adrenocortical oncocytoma: A case report. Urol. Oncol. 2008, 26, 198–201. [Google Scholar] [CrossRef] [PubMed]
- Thway, K.; Olmos, D.; Shah, C.; Flora, R.; Shipley, J.; Fisher, C. Oncocytic adrenal cortical carcinosarcoma with pleomorphic rhabdomyosarcomatous metastases. Am. J. Surg. Pathol. 2012, 36, 470–477. [Google Scholar] [CrossRef] [PubMed]
- Sistla, S.; Krishnaraj, B.; Shankar, G.; Ruparelia, J.; Giri, P.; Hanuman, S.B. Oncocytic Variant of Adrenocortical Carcinoma: Case Report of a Rare Malignancy. Surg. Case Rep. 2020, 1–4. [Google Scholar] [CrossRef]
- Hodgson, A.; Pakbaz, S.; Mete, O. A Diagnostic Approach to Adrenocortical Tumors. Surg. Pathol. Clin. 2019, 12, 967–995. [Google Scholar] [CrossRef] [PubMed]
- Balasubramanian, A.; Scovell, J.; E Dowell, A.; Mayer, W. Adrenocortical neoplasm of uncertain malignant potential with a myelolipomatous component. BMJ Case Rep. 2020, 13, e234591. [Google Scholar] [CrossRef] [PubMed]
- Duregon, E.; Molinaro, L.; Volante, M.; Ventura, L.; Righi, L.; Bolla, S.; Terzolo, M.; Sapino, A.; Papotti, M.G. Comparative diagnostic and prognostic performances of the hematoxylin-eosin and phospho-histone H3 mitotic count and Ki-67 index in adrenocortical carcinoma. Mod. Pathol. 2014, 27, 1246–1254. [Google Scholar] [CrossRef] [PubMed] [Green Version]




| Case 1 [4] | Case 2 [5] | Case 3 [6] | Case 4 [1] | Case 5 [1] | Case 6 [7] | Case 7 [8] | Current Case | |
|---|---|---|---|---|---|---|---|---|
| Age (years) | 74 | 54 | 54 | 53 | 41 | 45 | 45 | 42 |
| Sex | F | M | M | F | F | F | M | F |
| Laterality | L | R | R | L | L | R | L | L |
| Metastatic site | ovary | Lung, rib, liver, contralateral adrenal gland | Lung, right hip | Not stated | Not stated | Femur, liver, lung, contralateral adrenal gland | lung | Scalp, lung |
| Clinical presentation | Not stated | Not stated | Not stated | Virilization | Virilization | Abdominal pain | abdominal bloating | Abdominal pain |
| Serum biochemistry | Not stated | ↑Cortisol | Not stated | ↑Androg | ↑Androg | Not stated | Not stated | Normal |
| Size (cm); weight (g) | Not stated | Not stated | Not stated | 13; 670 | 28.5; 5720 | 11; 410 | 24; 6500 | 3.9; |
| Mitotic count per 50HPF | Not stated | 14 | Not stated | 10 | 5 | >5 | 6 | <5 |
| Atypical mitotic figures | Not stated | Absent | Not stated | Present | Present | Not stated | Present | Absent |
| Venous invasion | Not stated | Present | Not stated | Present | Absent | Not stated | Absent | Absent |
| Microscopic necrosis | Not stated | Present | Not stated | Present | Present | Not stated | Present | Present |
| Capsular invasion | Not stated | Absent | Not stated | Present | Present | Absent | Absent | Absent |
| Sinusoidal invasion | Not stated | Absent | Not stated | Present | Present | Not stated | Not stated | Present |
Publisher’s Note: MDPI stays neutral with regard to jurisdictional claims in published maps and institutional affiliations. |
© 2022 by the authors. Licensee MDPI, Basel, Switzerland. This article is an open access article distributed under the terms and conditions of the Creative Commons Attribution (CC BY) license (https://creativecommons.org/licenses/by/4.0/).
Share and Cite
Huang, C.-P.; Dai, M.-S.; Kao, C.-C.; Tsai, W.-C.; Yu, C.-P. A Case of Oncocytic Adrenal Cortical Neoplasm with Uncertain Malignant Potential Turned Out to Be Oncocytic Adrenal Cortical Carcinoma with Distant Metastasis: Could Pathology Do Better Initially? Medicina 2022, 58, 900. https://doi.org/10.3390/medicina58070900
Huang C-P, Dai M-S, Kao C-C, Tsai W-C, Yu C-P. A Case of Oncocytic Adrenal Cortical Neoplasm with Uncertain Malignant Potential Turned Out to Be Oncocytic Adrenal Cortical Carcinoma with Distant Metastasis: Could Pathology Do Better Initially? Medicina. 2022; 58(7):900. https://doi.org/10.3390/medicina58070900
Chicago/Turabian StyleHuang, Chien-Peng, Ming-Shen Dai, Chien-Chang Kao, Wen-Chiuan Tsai, and Cheng-Ping Yu. 2022. "A Case of Oncocytic Adrenal Cortical Neoplasm with Uncertain Malignant Potential Turned Out to Be Oncocytic Adrenal Cortical Carcinoma with Distant Metastasis: Could Pathology Do Better Initially?" Medicina 58, no. 7: 900. https://doi.org/10.3390/medicina58070900
APA StyleHuang, C.-P., Dai, M.-S., Kao, C.-C., Tsai, W.-C., & Yu, C.-P. (2022). A Case of Oncocytic Adrenal Cortical Neoplasm with Uncertain Malignant Potential Turned Out to Be Oncocytic Adrenal Cortical Carcinoma with Distant Metastasis: Could Pathology Do Better Initially? Medicina, 58(7), 900. https://doi.org/10.3390/medicina58070900

