Tracheal Glomus Tumor: A Case Report with CT Imaging Features
Abstract
:1. Introduction
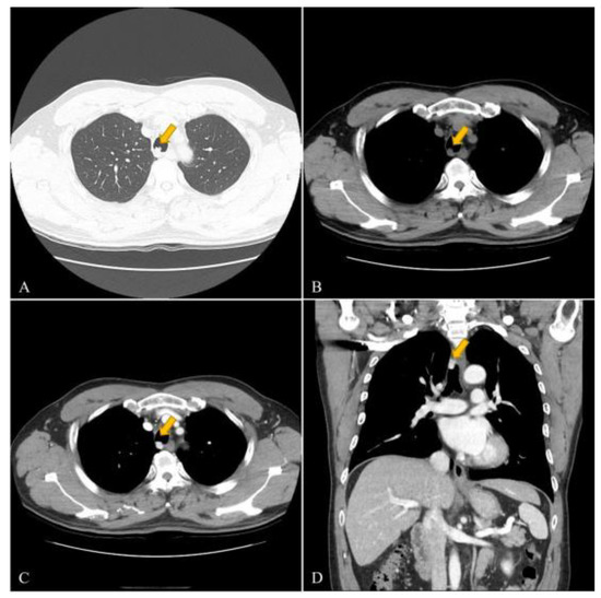
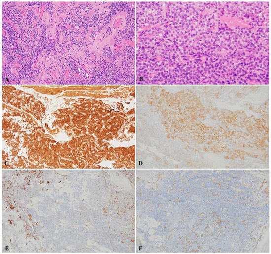
2. Case Description
3. Discussion
4. Conclusions
Author Contributions
Funding
Institutional Review Board Statement
Informed Consent Statement
Conflicts of Interest
References
- Masoum, S.H.; Jafarian, A.H.; Attar, A.R.; Attaran, D.; Afghani, R.; Noghabi, A.J. Glomus tumor of the trachea. Asian Cardiovasc. Thorac. Ann. 2015, 23, 325–327. [Google Scholar] [CrossRef] [PubMed]
- Gao, M.; Ye, S.N.; Lin, C.; Xu, Y.T. Tracheal glomus tumor misdiagnosed as pulmonary disease: A case report and literature review. Braz. J. Otorhinolaryngol. 2021, in press. [Google Scholar] [CrossRef] [PubMed]
- Wang, C.; Ma, Y.; Zhao, X.; Sun, P.L.; Zhang, Y.M.; Huang, M.; Zhu, Y.; Jin, S.X. Glomus tumors of the trachea: 2 case reports and a review of the literature. J. Thorac. Dis. 2017, 9, E815–E826. [Google Scholar] [CrossRef] [PubMed] [Green Version]
- Specht, K.; Antonescu, C.R. Glomus tumour. In WHO Classification of Tumours of Soft Tissue and Bone, 5th ed.; International Agency for Research on Cancer (IARC): Lyon, France, 2020; pp. 179–181. [Google Scholar]
- Jin, Y.; Al Sawalhi, S.; Zhao, D.; Cai, H.; Odeh, A.M.; Xie, H.; Song, J. Behavior of primary tracheal glomus tumor, uncertain malignant potential subtype. Gen. Thorac. Cardiovasc. Surg. 2019, 67, 991–995. [Google Scholar] [CrossRef] [PubMed]
- Sakr, L.; Palaniappan, R.; Payan, M.J.; Doddoli, C.; Dutau, H. Tracheal glomus tumor: A multidisciplinary approach to management. Respir. Care 2011, 56, 342–346. [Google Scholar] [CrossRef] [Green Version]
- Huang, C.; Liu, Q.F.; Chen, X.M.; Li, L.; Han, Z.J.; Zhou, X.Y.; Liu, L.; Li, S.Q. A malignant glomus tumor in the upper trachea. Ann. Thorac. Surg. 2015, 99, 1812–1814. [Google Scholar] [CrossRef]
- Goldblum, J.R.; Folpe, A.L.; Weiss, S.W. Perivascular tumors. In Enzinger and Weiss’s Soft Tissue Tumors; Elsevier: Philadelphia, PA, USA, 2014; pp. 749–765. [Google Scholar]
- Braham, E.; Zairi, S.; Mlika, M.; Ayadi-Kaddour, A.; Ismail, O.; El Mezni, F. Malignant glomus tumor of trachea: A case report with literature review. Asian Cardiovasc. Thorac. Ann. 2016, 24, 104–106. [Google Scholar] [CrossRef]
- Tan, Y.; Yang, P.; Deng, X.; Tang, Y. Glomangioma of the trachea: A case report and literature review. Oncol. Lett. 2015, 9, 1273–1277. [Google Scholar] [CrossRef] [PubMed] [Green Version]
- Chou, T.; Pan, S.C.; Shieh, S.J.; Lee, J.W.; Chiu, H.Y.; Ho, C.L. Glomus Tumor: Twenty-Year Experience and Literature Review. Ann. Plast. Surg. 2016, 76 (Suppl. 1), S35–S40. [Google Scholar] [CrossRef] [PubMed]
- Aryan, Z.; Zaki, K.S.; Machuzak, M.; Mehta, A.C. Glomus tumor of the trachea. Clin. Respir. J. 2016, 10, 537–539. [Google Scholar] [CrossRef] [PubMed]
- Ueno, M.; Nakashima, O.; Mishima, M.; Yamada, M.; Kikuno, M.; Nasu, K.; Kudo, S. Pulmonary glomus tumor: CT and MRI findings. J. Thorac. Imaging 2004, 19, 131–134. [Google Scholar] [CrossRef]
- Sharma, S.C.; Devaraja, K.; Kairo, A.; Kumar, R. Percutaneous Trans-Tracheal Endoscopic Approach: A Novel Technique for the Excision of Benign Lesions of Thoracic Trachea. J. Laparoendosc. Adv. Surg. Tech. A 2018, 28, 320–324. [Google Scholar] [CrossRef]



| Malignant Glomus Tumor | Uncertain Malignant Potential |
|---|---|
| (1) Marked nuclear atypia and any level of mitotic activity or | Not fulfilling the criteria for malignancy but has one or more atypical features other than nuclear polymorphisms |
| (2) Having atypical mitotic figures. | e.g., tumor size greater than 2.0 cm and location in a deep site (in the absence of nuclear atypia). |
Publisher’s Note: MDPI stays neutral with regard to jurisdictional claims in published maps and institutional affiliations. |
© 2022 by the authors. Licensee MDPI, Basel, Switzerland. This article is an open access article distributed under the terms and conditions of the Creative Commons Attribution (CC BY) license (https://creativecommons.org/licenses/by/4.0/).
Share and Cite
Yeom, J.-A.; Jeong, Y.-J.; Ahn, H.-Y.; Eom, J.-S.; Lee, C.-H.; Hwang, M.-H. Tracheal Glomus Tumor: A Case Report with CT Imaging Features. Medicina 2022, 58, 791. https://doi.org/10.3390/medicina58060791
Yeom J-A, Jeong Y-J, Ahn H-Y, Eom J-S, Lee C-H, Hwang M-H. Tracheal Glomus Tumor: A Case Report with CT Imaging Features. Medicina. 2022; 58(6):791. https://doi.org/10.3390/medicina58060791
Chicago/Turabian StyleYeom, Jeong-A, Yeon-Joo Jeong, Hyo-Yeong Ahn, Jung-Seop Eom, Chang-Hun Lee, and Min-Hee Hwang. 2022. "Tracheal Glomus Tumor: A Case Report with CT Imaging Features" Medicina 58, no. 6: 791. https://doi.org/10.3390/medicina58060791
APA StyleYeom, J.-A., Jeong, Y.-J., Ahn, H.-Y., Eom, J.-S., Lee, C.-H., & Hwang, M.-H. (2022). Tracheal Glomus Tumor: A Case Report with CT Imaging Features. Medicina, 58(6), 791. https://doi.org/10.3390/medicina58060791

