Rare Cause of Severe Mitral Regurgitation after TAVI: Case Report and Literature Review
Abstract
1. Introduction
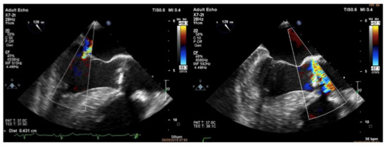
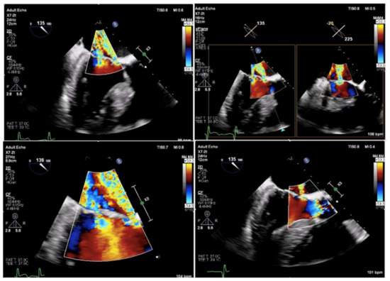
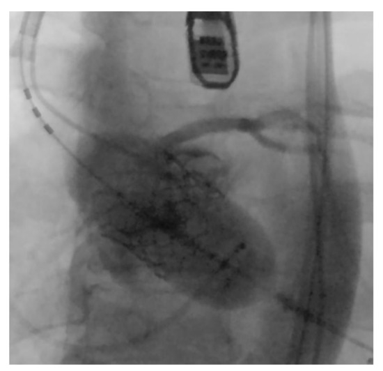
2. Case Report
3. Discussion
4. Conclusions
Author Contributions
Funding
Institutional Review Board Statement
Informed Consent Statement
Data Availability Statement
Conflicts of Interest
Abbreviations and Acronyms
| AS | aortic stenosis |
| IE | infective endocarditis |
| HF | heart failure |
| LBBB | left bundle-branch block |
| LV | left ventricular |
| MDCT | multidetector computed tomography |
| MR | mitral regurgitation |
| TAVR | transcatheter aortic valve replacement |
| TEE | transesophageal echocardiography |
| TTE | transthoracic echocardiography |
References
- Almasood, A.; Al Ahmari, S.; El-Shurafa, H.; Alotaibi, M.; Al Kasab, S.; Alabdallah, M.; Al-Moghairi, A.; Al Khushail, A.; Al-Amri, H. The change in mitral regurgitation severity after trans-catheter aortic valve implantation. J. Saudi Heart Assoc. 2014, 27, 10–17. [Google Scholar] [CrossRef] [PubMed]
- Toggweiler, S.; Boone, R.H.; Rodés-Cabau, J.; Humphries, K.H.; Lee, M.; Nombela-Franco, L.; Bagur, R.; Willson, A.B.; Binder, R.K.; Gurvitch, R.; et al. Transcatheter aortic valve replacement: Outcomes of patients with moderate or severe mitral regurgitation. J. Am. Coll. Cardiol. 2012, 59, 2068–2074. [Google Scholar] [CrossRef]
- Fojt, R.; Moťovská, Z.; Budera, P.; Malý, M.; Straka, Z. Prognostic impact and change of concomitant mitral regurgitation after surgical or transcatheter aortic valve replacement for aortic stenosis. J. Cardiol. 2016, 67, 526–530. [Google Scholar] [CrossRef] [PubMed]
- Szymański, P.; Hryniewiecki, T.; Dąbrowski, M.; Sorysz, D.; Kochman, J.; Jastrzębski, J.; Kukulski, T.; Zembala, M. Mitral and aortic regurgitation following transcatheter aortic valve replacement. Heart 2016, 102, 701–706. [Google Scholar] [CrossRef] [PubMed]
- David, T.E.; Armstrong, S.; Maganti, M.; Ihlberg, L. Clinical outcomes of combined aortic root replacement with mitral valve surgery. J. Thorac. Cardiovasc. Surg. 2008, 136, 82–87. [Google Scholar] [CrossRef] [PubMed]
- Barreiro, C.J.; Patel, N.D.; Fitton, T.P.; Williams, J.A.; Bonde, P.N.; Chan, V.; Alejo, D.E.; Gott, V.L.; Baumgartner, W.A. Aortic valve replacement and concomitant mitral valve regurgitation in the elderly: Impact on survival and functional outcome. Circulation 2005, 112, I443–I447. [Google Scholar] [CrossRef] [PubMed]
- Ruel, M.; Kapila, V.; Price, J.; Kulik, A.; Burwash, I.G.; Mesana, T.G. Natural History and Predictors of Outcome in Patients With Concomitant Functional Mitral Regurgitation at the Time of Aortic Valve Replacement. Circulation 2006, 114, I541–I546. [Google Scholar] [CrossRef] [PubMed]
- Khawaja, M.Z.; Williams, R.; Hung, J.; Arri, S.; Asrress, K.N.; Bolter, K.; Wilson, K.; Young, C.P.; Bapat, V.; Hancock, J.; et al. Impact of preprocedural mitral regurgitation upon mortality after transcatheter aortic valve implantation (TAVI) for severe aortic stenosis. Heart 2014, 100, 1799–1803. [Google Scholar] [CrossRef] [PubMed]
- Moldovan, H.; Popescu, D.; Buliga, T.; Filip, A.; Antoniac, I.; Gheorghiţă, D.; Molnar, A. Gastric Adenocarcinoma Associated with Acute Endocarditis of the Aortic Valve and Coronary Artery Disease in a 61-Year-Old Male with Multiple Comorbidities—Combined Surgical Management—Case Report. Medicina 2019, 55, 242. [Google Scholar] [CrossRef]
- Webb, J.G.; Pasupati, S.; Humphries, K.; Thompson, C.; Altwegg, L.; Moss, R.; Sinhal, A.; Carere, R.G.; Munt, B.; Ricci, D.; et al. Percutaneous Transarterial Aortic Valve Replacement in Selected High-Risk Patients With Aortic Stenosis. Circulation 2007, 116, 755–763. [Google Scholar] [CrossRef] [PubMed]
- Gurvitch, R.; Wood, D.A.; Tay, E.L.; Leipsic, J.; Ye, J.; Lichtenstein, S.V.; Thompson, C.R.; Carere, R.G.; Wijesinghe, N.; Nietlispach, F.; et al. Transcatheter aortic valve implantation: Durability of clinical and hemodynamic outcomes beyond 3 years in a large patient cohort. Circulation 2010, 122, 1319–1327. [Google Scholar] [CrossRef]
- Leon, M.B.; Smith, C.R.; Mack, M.; Miller, D.C.; Moses, J.W.; Svensson, L.G.; Tuzcu, E.M.; Webb, J.G.; Fontana, G.P.; Makkar, R.R.; et al. Transcatheter Aortic-Valve Implantation for Aortic Stenosis in Patients Who Cannot Undergo Surgery. N. Engl. J. Med. 2010, 363, 1597–1607. [Google Scholar] [CrossRef]
- Clavel, M.A.; Webb, J.G.; Rodés-Cabau, J.; Masson, J.B.; Dumont, E.; De Larochellière, R.; Doyle, D.; Bergeron, S.; Baumgartner, H.; Burwash, I.G.; et al. Comparison between transcatheter and surgical prosthetic valve implantation in patients with severe aortic stenosis and reduced left ventricular ejection fraction. Circulation 2010, 122, 1928–1936. [Google Scholar] [CrossRef] [PubMed]
- Webb, J.G.; Altwegg, L.; Boone, R.H.; Cheung, A.; Ye, J.; Lichtenstein, S.; Lee, M.; Masson, J.B.; Thompson, C.; Moss, R.; et al. Transcatheter Aortic Valve Implantation: Impact on Clinical and Valve-Related Outcomes. Circulation 2009, 119, 3009–3016. [Google Scholar] [CrossRef] [PubMed]
- Bleiziffer, S.; Ruge, H.; Mazzitelli, D.; Schreiber, C.; Hutter, A.; Laborde, J.-C.; Bauernschmitt, R.; Lange, R. Results of percutaneous and transapical transcatheter aortic valve implantation performed by a surgical team. Eur. J. Cardiothorac. Surg. 2009, 35, 615–621, discussion 620–621. [Google Scholar] [CrossRef] [PubMed]
- Iosifescu, A.G.; Moldoyan, H.; Iliescu, V.A. Aortic Prosthesis-Patient Mismatch Strongly Affects Early Results of Double Valve Replacement. J. Heart Valve Dis. 2014, 23, 149–157. [Google Scholar]
- Stähli, B.E.; Bünzli, R.; Grünenfelder, J.; Bühler, I.; Felix, C.; Bettex, D.; Biaggi, P.; Tanner, F.C.; Nguyen-Kim, T.D.L.; Plass, A.; et al. Transcatheter aortic valve implantation (TAVI) outcome according to standardized endpoint definitions by the Valve Academic Research Consortium (VARC). J. Invasive Cardiol. 2011, 23, 307–312. [Google Scholar] [PubMed]
- Costache, V.S.; Moldovan, H.; Arsenescu, C.; Costache, A. Aortic valve surgery of the 21st century: Sutureless AVR versus TAVI. Minerva Cardioangiol. 2018, 66, 191–197. [Google Scholar] [CrossRef] [PubMed]
- Rodés-Cabau, J. Transcatheter aortic valve implantation: Current and future approaches. Nat. Rev. Cardiol. 2011, 9, 15–29. [Google Scholar] [CrossRef] [PubMed]
- Nappi, F.; Nenna, A.; Timofeeva, I.; Mihos, C.; Gentile, F.; Chello, M. Mitral regurgitation after transcatheter aortic valve replacement. J. Thorac. Dis. 2020, 12, 2926–2935. [Google Scholar] [CrossRef] [PubMed]
- Sanna, G.D.; Moccia, E.; Pepi, M.; Parodi, G. Anterior mitral leaflet perforation and infective endocarditis following transcatheter aortic valve replacement in a patient presenting with heart failure. J. Cardiovasc. Echogr. 2020, 30, 44–46. [Google Scholar] [CrossRef] [PubMed]
- Miura, M.; Isotani, A.; Murata, K.; Kawaguchi, T.; Hayashi, M.; Arai, Y.; Shirai, S.; Hanyu, M.; Ando, K. Perforation of Anterior Mitral Leaflet Due to Mechanical Stimulation Late After Transcatheter Aortic Valve Replacement. JACC Cardiovasc. Interv. 2016, 9, e233–e234. [Google Scholar] [CrossRef]
- Bourezg, A.; Prieur, C.; Finet, G.; Rioufol, G. Percutaneous Management of Mitral Perforation During Transcatheter Aortic Valve Replacement. JACC Cardiovasc. Interv. 2017, 10, 1710–1711. [Google Scholar] [CrossRef] [PubMed]
- Raschpichler, M.; Seeburger, J.; Strasser, R.H.; Misfeld, M. Corevalve prosthesis causes anterior mitral leaflet perforation resulting in severe mitral regurgitation and subsequent endocarditis. Eur. Hear. J. 2013, 35, 1587. [Google Scholar] [CrossRef] [PubMed][Green Version]
- Amat-Santos, I.J.; Cortés, C.; Revilla, A.; San Román, J.A. Infective endocarditis: Cause or consequence of delayed anterior mitral leaflet perforation after transcatheter aortic valve implantation? Rev. Esp. Cardiol. Engl. Ed. 2016, 69, 87. [Google Scholar] [CrossRef]
- Amat-Santos, I.J.; Cortés, C.; Varela-Falcón, L.H. Delayed left anterior mitral leaflet perforation and infective endocarditis after transapical aortic valve implantation-Case report and systematic review. Catheter. Cardiovasc. Interv. 2017, 89, 951–954. [Google Scholar] [CrossRef]
- Jurcut, R.; Savu, O.; Popescu, B.A.; Florian, A.; Herlea, V.; Moldovan, H.; Ginghina, C. Primary cardiac leiomyosarcoma when valvular disease becomes a vascular surgical emergency. Circulation 2010, 121, E415–E418. [Google Scholar] [CrossRef]
- Masson, J.-B.; Kovac, J.; Schuler, G.; Ye, J.; Cheung, A.; Kapadia, S.; Tuzcu, M.E.; Kodali, S.; Leon, M.B.; Webb, J.G. Transcatheter Aortic Valve Implantation: Review of the Nature, Management, and Avoidance of Procedural Complications. JACC Cardiovasc. Interv. 2009, 2, 811–820. [Google Scholar] [CrossRef]
- Saji, M.; Ailawadi, G.; Ragosta, M.; Fowler, D.E.; Dent, J.M.; Lim, D.S. Anterior Mitral Leaflet Perforation During Transcatheter Aortic Valve Replacement in a Patient With Mitral Annular Calcification. JACC Cardiovasc. Interv. 2015, 8, e215–e216. [Google Scholar] [CrossRef][Green Version]
- Franco, E.; De Agustin, J.A.; Hernandez-Antolín, R.; Garcia, E.; Silva, J.; Maroto, L.; Olmos, C.; Fortuny, E.; Viliani, D.; Macaya, C.; et al. Acute Mitral Stenosis After Transcatheter Aortic Valve Implantation. J. Am. Coll. Cardiol. 2012, 60, e35. [Google Scholar] [CrossRef][Green Version]
- Yamashita, Y.; Sonoda, H.; Ushijima, T.; Shiose, A. Acute torrential mitral regurgitation during transcatheter aortic valve replacement: A case report. Surg. Case Rep. 2018, 4, 35. [Google Scholar] [CrossRef] [PubMed]
- López-Aguilera, J.; Mesa-Rubio, D.; Ruiz-Ortiz, M.; Delgado-Ortega, M.; Villanueva-Fernández, E.; Romo-Peña, E.; Pan Álvarez-Ossorio, M.; Suárez de Lezo, J. Mitral regurgitation during transcatheter aortic valve implantation: The same complication with a different mechanism. J. Invasive Cardiol. 2014, 26, 603–608. [Google Scholar] [PubMed]
- Cortés, C.; Amat-Santos, I.J.; Nombela-Franco, L.; Muñoz-Garcia, A.J.; Gutiérrez-Ibanes, E.; De La Torre Hernandez, J.M.; Córdoba-Soriano, J.G.; Jimenez-Quevedo, P.; Hernández-García, J.M.; Gonzalez-Mansilla, A.; et al. Mitral Regurgitation After Transcatheter Aortic Valve Replacement: Prognosis, Imaging Predictors, and Potential Management. JACC Cardiovasc. Interv. 2016, 9, 1603–1614. [Google Scholar] [CrossRef] [PubMed]
- Kapadia, S.R.; Leon, M.B.; Makkar, R.R.; Tuzcu, E.M.; Svensson, L.G.; Kodali, S.; Webb, J.G.; Mack, M.J.; Douglas, P.S.; Thourani, V.H.; et al. 5-year outcomes of transcatheter aortic valve replacement compared with standard treatment for patients with inoperable aortic stenosis (PARTNER 1): A randomised controlled trial. Lancet 2015, 385, 2485–2491. [Google Scholar] [CrossRef]
- Mack, M.J.; Leon, M.B.; Smith, C.R.; Miller, D.C.; Moses, J.W.; Tuzcu, E.M.; Webb, J.G.; Douglas, P.S.; Anderson, W.N.; Blackstone, E.H.; et al. 5-year outcomes of transcatheter aortic valve replacement or surgical aortic valve replacement for high surgical risk patients with aortic stenosis (PARTNER 1): A randomised controlled trial. Lancet 2015, 385, 2477–2484. [Google Scholar] [CrossRef]
- Adams, D.H.; Popma, J.J.; Reardon, M.J.; Yakubov, S.J.; Coselli, J.S.; Deeb, G.M.; Gleason, T.G.; Buchbinder, M.; Hermiller, J., Jr.; Kleiman, N.S.; et al. Transcatheter Aortic-Valve Replacement with a Self-Expanding Prosthesis. N. Engl. J. Med. 2014, 370, 1790–1798. [Google Scholar] [CrossRef] [PubMed]









Publisher’s Note: MDPI stays neutral with regard to jurisdictional claims in published maps and institutional affiliations. |
© 2022 by the authors. Licensee MDPI, Basel, Switzerland. This article is an open access article distributed under the terms and conditions of the Creative Commons Attribution (CC BY) license (https://creativecommons.org/licenses/by/4.0/).
Share and Cite
Moldovan, H.; Popescu, B.-Ş.; Nechifor, E.; Badea, A.; Ciomaga, I.; Nica, C.; Zaharia, O.; Gheorghiță, D.; Broască, M.; Diaconu, C.; et al. Rare Cause of Severe Mitral Regurgitation after TAVI: Case Report and Literature Review. Medicina 2022, 58, 464. https://doi.org/10.3390/medicina58040464
Moldovan H, Popescu B-Ş, Nechifor E, Badea A, Ciomaga I, Nica C, Zaharia O, Gheorghiță D, Broască M, Diaconu C, et al. Rare Cause of Severe Mitral Regurgitation after TAVI: Case Report and Literature Review. Medicina. 2022; 58(4):464. https://doi.org/10.3390/medicina58040464
Chicago/Turabian StyleMoldovan, Horațiu, Bogdan-Ştefan Popescu, Elena Nechifor, Aida Badea, Irina Ciomaga, Claudia Nica, Ondin Zaharia, Daniela Gheorghiță, Marian Broască, Camelia Diaconu, and et al. 2022. "Rare Cause of Severe Mitral Regurgitation after TAVI: Case Report and Literature Review" Medicina 58, no. 4: 464. https://doi.org/10.3390/medicina58040464
APA StyleMoldovan, H., Popescu, B.-Ş., Nechifor, E., Badea, A., Ciomaga, I., Nica, C., Zaharia, O., Gheorghiță, D., Broască, M., Diaconu, C., Parasca, C., Chioncel, O., & Iliescu, V. A. (2022). Rare Cause of Severe Mitral Regurgitation after TAVI: Case Report and Literature Review. Medicina, 58(4), 464. https://doi.org/10.3390/medicina58040464

