A Pathological Complete Response to the Combination of Ipilimumab and Nivolumab in a Patient with Metastatic Renal Cell Carcinoma
Abstract
:1. Introduction
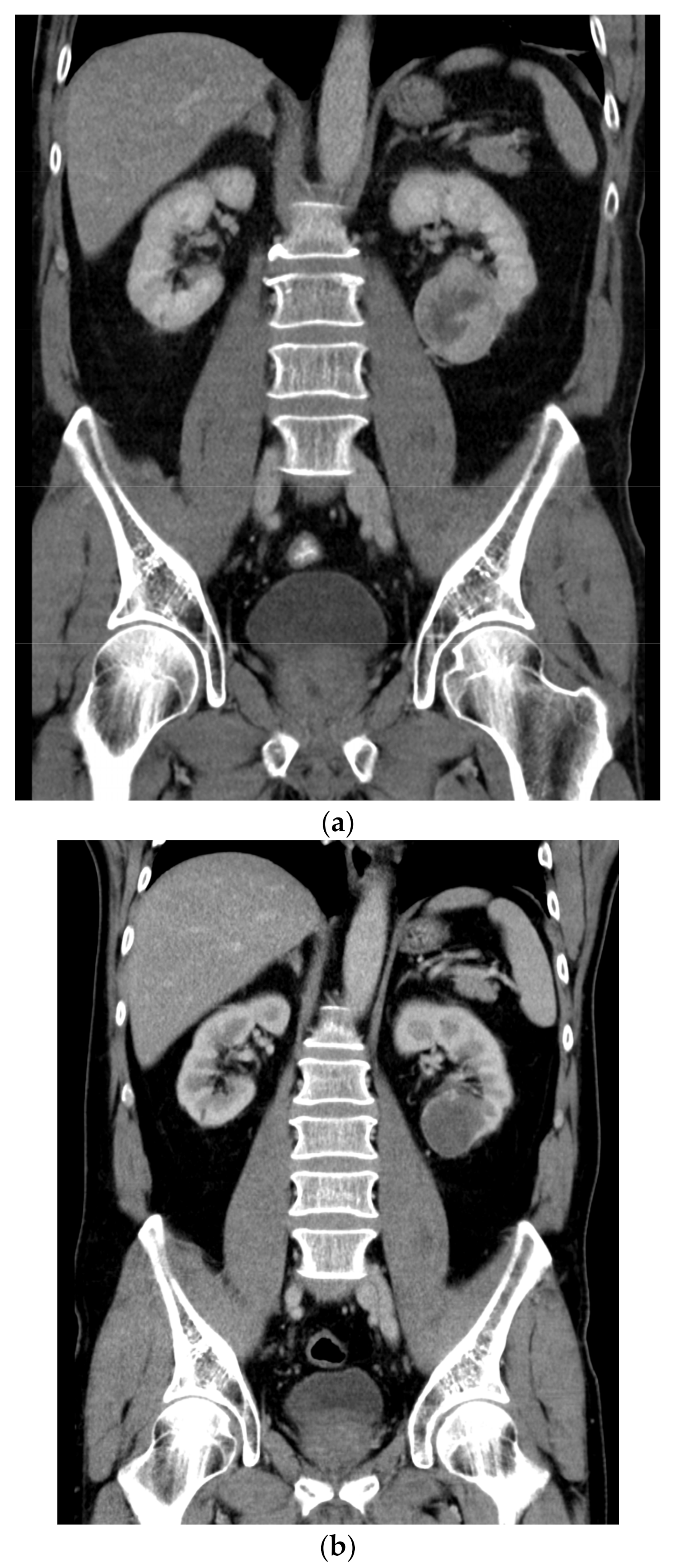
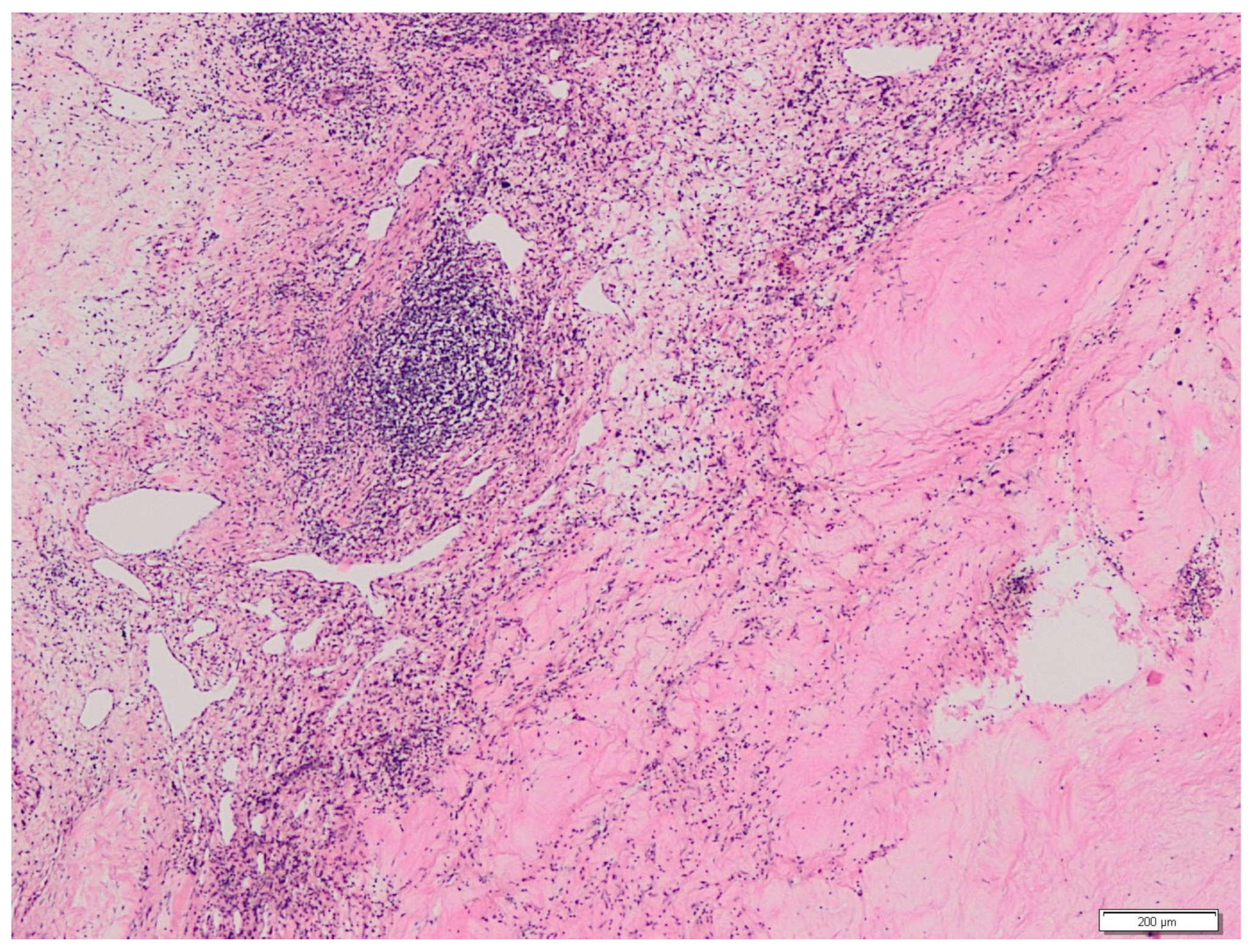
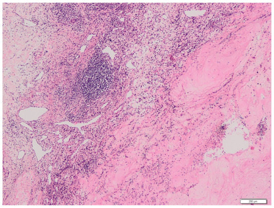
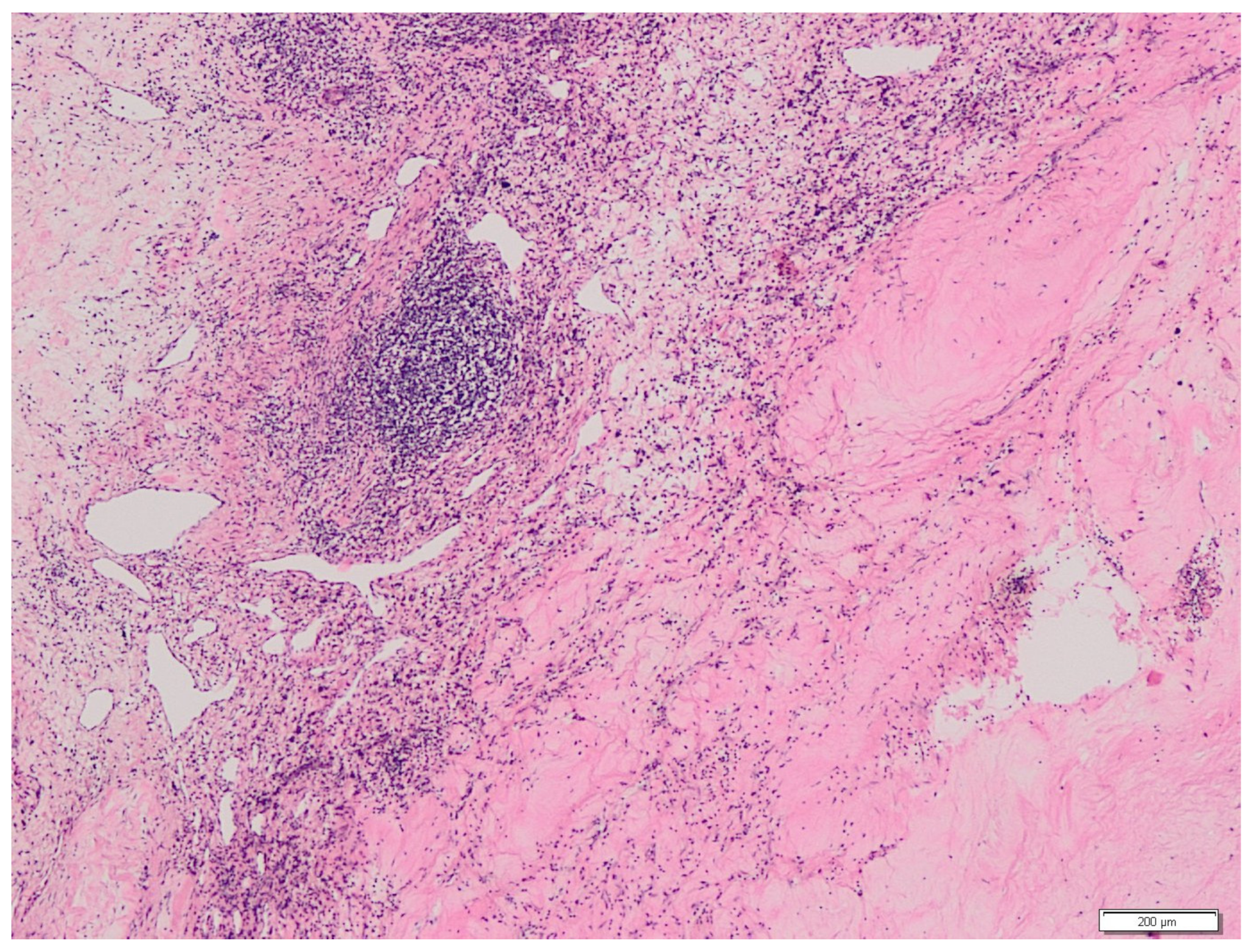
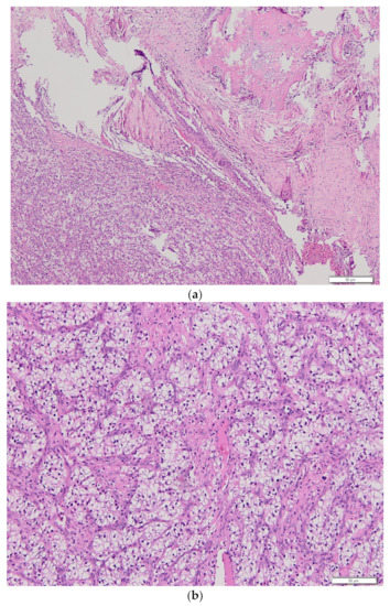
2. Case Presentation
3. Discussion
4. Conclusions
Author Contributions
Funding
Institutional Review Board Statement
Informed Consent Statement
Data Availability Statement
Conflicts of Interest
References
- Von Minckwitz, G.; Untch, M.; Blohmer, J.U.; Costa, S.D.; Eidtmann, H.; Fasching, P.A.; Gerber, B.; Eiermann, W.; Hilfrich, J.; Huober, J.; et al. Definition and impact of pathologic complete response on prognosis after neoadjuvant chemotherapy in various intrinsic breast cancer subtypes. J. Clin. Oncol. 2012, 30, 1796–1804. [Google Scholar] [CrossRef] [PubMed] [Green Version]
- Chollet, P.; Amat, S.; Cure, H.; de Latour, M.; Le Bouedec, G.; Mouret-Reynier, M.A.; Ferreiere, J.P.; Achard, J.L.; Dauplat, J.; Penault-Llorca, F. Prognostic significance of a complete pathological response after induction chemotherapy in operable breast cancer. Br. J. Cancer 2002, 86, 1041–1046. [Google Scholar] [CrossRef] [PubMed]
- Bear, H.D.; Anderson, S.; Smith, R.E.; Geyer, C.E.; Mamounas, E.P.; Fisher, B.; Brown, A.M.; Robidoux, A.; Margolese, R.; Kahlenberg, M.S.; et al. Sequential Preoperative or Postoperative Docetaxel Added to Preoperative Doxorubicin Plus Cyclophosphamide for Operable Breast Cancer: National Surgical Adjuvant Breast and Bowel Project Protocol B-27. J. Clin. Oncol. 2006, 24, 2019–2027. [Google Scholar] [CrossRef] [PubMed]
- Machiavelli, M.R.; Romero, A.O.; Pérez, J.E.; Lacava, J.A.; Domínguez, M.E.; Rodríguez, R.; Barbieri, M.R.; Acuña, L.A.R.; Acuña, J.M.R.; Langhi, M.J.; et al. Prognostic significance of pathological response of primary tumor and metastatic axillary lymph nodes after neoadjuvant chemotherapy for locally advanced breast carcinoma. Cancer J. Sci. Am. 1998, 4, 125–131. [Google Scholar] [PubMed]
- Vitásková, D.; Melichar, B.; Bartoušková, M.; Vlachová, Z.; Vrána, D.; Janková, J.; Adam, T.; Juráňová, J.; Zlámalová, N.; Krčmová, L.K.; et al. Neoadjuvant combination therapy with trastuzumab in a breast cancer patient with synchronous rectal carcinoma: A case report and biomarker study. Pteridines 2017, 28, 233–241. [Google Scholar] [CrossRef] [Green Version]
- Cottrell, T.; Thompson, E.; Forde, P.; Stein, J.; Duffield, A.; Anagnostou, V.; Rekhtman, N.; Anders, R.; Cuda, J.; Illei, P.; et al. Pathologic features of response to neoadjuvant anti-PD-1 in resected non-small-cell lung carcinoma: A proposal for quantitative immune-related pathologic response criteria (irPRC). Ann. Oncol. 2018, 29, 1853–1860. [Google Scholar] [CrossRef] [PubMed]
- Motzer, R.J.; Escudier, B.; McDermott, D.F.; Aren Frontera, O.; Melichar, B.; Powles, T.; Donskov, F.; Plimack, E.R.; Barthélémy, P.; Hammers, H.J.; et al. Survival outcomes and independent response assessment with nivolumab plus ipilimumab versus sunitinib in patients with advanced renal cell carcinoma: 42-month follow-up of a randomized phase 3 clinical trial. J. Immunother. Cancer 2020, 8, e000891. [Google Scholar] [CrossRef] [PubMed]
- Bindayi, A.; Hamilton, Z.A.; McDonald, M.L.; Yim, K.; Millard, F.; McKay, R.R.; Campbell, S.C.; Rini, B.I.; Derweesh, I.H. Neoadjuvant therapy for localized and locally advanced renal cell carcinoma. Urol. Oncol. Semin. Orig. Investig. 2018, 36, 31–37. [Google Scholar] [CrossRef]
- Borregales, L.D.; Adibi, M.; Thomas, A.Z.; Wood, C.G.; Karam, J.A. The role of neoadjuvant therapy in the management of locally advanced renal cell carcinoma. Ther. Adv. Urol. 2016, 8, 130–141. [Google Scholar] [CrossRef] [Green Version]
- Robert, G.; Gabbay, G.; Bram, R.; Wallerand, H.; Deminière, C.; Cornelis, F.; Bernhard, J.-C.; Ravaud, A.; Ballanger, P. Complete Histologic Remission after Sunitinib Neoadjuvant Therapy in T3b Renal Cell Carcinoma. Eur. Urol. 2009, 55, 1477–1480. [Google Scholar] [CrossRef]
- Bigot, P.; Fardoun, T.; Bernhard, J.-C.; Xylinas, E.; Berger, J.; Rouprêt, M.; Beauval, J.-B.; Lagabrielle, S.; Lebdai, S.; Ammi, M.; et al. Neoadjuvant targeted molecular therapies in patients undergoing nephrectomy and inferior vena cava thrombectomy: Is it useful? World J. Urol. 2013, 32, 109–114. [Google Scholar] [CrossRef]
- Roy, A.M.; Briggler, A.; Tippit, D.; Dawson, K.; Verma, R. Neoadjuvant Cabozantinib in Renal-Cell Carcinoma: A Brief Review. Clin. Genitourin. Cancer 2020, 18, e688–e691. [Google Scholar] [CrossRef]
- Gorin, M.A.; Patel, H.D.; Rowe, S.P.; Hahn, N.M.; Hammers, H.J.; Pons, A.; Trock, B.J.; Pierorazio, P.M.; Nirschl, T.R.; Salles, D.C.; et al. Neoadjuvant Nivolumab in Patients with High-risk Nonmetastatic Renal Cell Carcinoma. Eur. Urol. Oncol. 2021. [Google Scholar] [CrossRef]
- Ghali, F.; Patel, S.H.; Derweesh, I.H. Current Status of Immunotherapy for Localized and Locally Advanced Renal Cell Carcinoma. J. Oncol. 2019, 2019, 7309205. [Google Scholar] [CrossRef]
- Martini, A.; Fallara, G.; Pellegrino, F.; Cirulli, G.O.; Larcher, A.; Necchi, A.; Montorsi, F.; Capitanio, U. Neoadjuvant and adjuvant immunotherapy in renal cell carcinoma. World J. Urol. 2021, 39, 1369–1376. [Google Scholar] [CrossRef]
- Powles, T.; Plimack, E.R.; Soulières, D.; Waddell, T.; Stus, V.; Gafanov, R.; Nosov, D.; Pouliot, F.; Melichar, B.; Vynnychenko, I.; et al. Pembrolizumab plus axitinib versus sunitinib monotherapy as first-line treatment of advanced renal cell carcinoma (KEYNOTE-426): Extended follow-up from a randomised, open-label, phase 3 trial. Lancet Oncol. 2020, 21, 1563–1573. [Google Scholar] [CrossRef]
- Choueiri, T.; Motzer, R.; Rini, B.; Haanen, J.; Campbell, M.; Venugopal, B.; Kollmannsberger, C.; Gravis-Mescam, G.; Uemura, M.; Lee, J.; et al. Updated efficacy results from the JAVELIN Renal 101 trial: First-line avelumab plus axitinib versus sunitinib in patients with advanced renal cell carcinoma. Ann. Oncol. 2020, 31, 1030–1039. [Google Scholar] [CrossRef]
- Motzer, R.J.; Powles, T.; Atkins, M.B.; Escudier, B.; McDermott, D.F.; Alekseev, B.Y.; Lee, J.-L.; Suarez, C.; Stroyakovskiy, D.; De Giorgi, U.; et al. Final Overall Survival and Molecular Analysis in IMmotion151, a Phase 3 Trial Comparing Atezolizumab Plus Bevacizumab vs Sunitinib in Patients With Previously Untreated Metastatic Renal Cell Carcinoma. JAMA Oncol. 2022, 8, 275. [Google Scholar] [CrossRef]
- Choueiri, T.K.; Powles, T.; Burotto, M.; Escudier, B.; Bourlon, M.T.; Zurawski, B.; Oyervides Juárez, V.M.; Hsieh, J.J.; Basso, U.; Shah, A.Y.; et al. Nivolumab plus Cabozantinib versus Sunitinib for Advanced Renal-Cell Carcinoma. N. Engl. J. Med. 2021, 384, 829–841. [Google Scholar] [CrossRef]
- Motzer, R.J.; Porta, C.; Eto, M.; Powles, T.; Grünwald, V.; Hutson, T.E.; Alekseev, B.; Rha, S.Y.; Kopyltsov, E.; Vidal, M.J.M.; et al. Phase 3 trial of lenvatinib (LEN) plus pembrolizumab (PEMBRO) or everolimus (EVE) versus sunitinib (SUN) monotherapy as a first-line treatment for patients (pts) with advanced renal cell carcinoma (RCC) (CLEAR study). J. Clin. Oncol. 2021, 39, 269. [Google Scholar] [CrossRef]
- Dudani, S.; Graham, J.; Wells, J.C.; Bakouny, Z.; Pal, S.K.; Dizman, N.; Donskov, F.; Porta, C.; de Velasco, G.; Hansen, A.; et al. First-line Immuno-Oncology Combination Therapies in Metastatic Renal-cell Carcinoma: Results from the International Metastatic Renal-cell Carcinoma Database Consortium. Eur. Urol. 2019, 76, 861–867. [Google Scholar] [CrossRef] [PubMed]
- Longo, N.; Capece, M.; Celentano, G.; La Rocca, R.; Califano, G.; Ruvolo, C.C.; Buonerba, C.; Esposito, F.; Napolitano, L.; Mangiapia, F.; et al. Clinical and Pathological Characteristics of Metastatic Renal Cell Carcinoma Patients Needing a Second-Line Therapy: A Systematic Review. Cancers 2020, 12, 3634. [Google Scholar] [CrossRef] [PubMed]
- Kurta, J.M.; Thompson, R.H.; Kundu, S.; Kaag, M.; Manion, M.T.; Herr, H.W.; Russo, P. Contemporary imaging of patients with a renal mass: Does size on computed tomography equal pathological size? Br. J. Urol. 2008, 103, 24–27. [Google Scholar] [CrossRef] [PubMed] [Green Version]
- Hodi, F.S.; Ballinger, M.; Lyons, B.; Soria, J.-C.; Nishino, M.; Tabernero, J.; Powles, T.; Smith, D.; Hoos, A.; McKenna, C.; et al. Immune-Modified Response Evaluation Criteria In Solid Tumors (imRECIST): Refining Guidelines to Assess the Clinical Benefit of Cancer Immunotherapy. J. Clin. Oncol. 2018, 36, 850–858. [Google Scholar] [CrossRef]
- Sholl, L. Understanding patterns of pathologic response following neoadjuvant immunotherapy for solid tumors. Ann. Oncol. 2018, 29, 1630–1632. [Google Scholar] [CrossRef]
- Stein, J.E.; Lipson, E.J.; Cottrell, T.R.; Forde, P.M.; Anders, R.A.; Cimino-Mathews, A.; Thompson, E.D.; Allaf, M.E.; Yarchoan, M.; Feliciano, J.; et al. Pan-Tumor Pathologic Scoring of Response to PD-(L)1 Blockade. Clin. Cancer Res. 2020, 26, 545–551. [Google Scholar] [CrossRef] [Green Version]
- Rothenberg, M.L.; Eckhardts, J.R.; Kuhn, J.G.; Burris, H.A.; Nelson, J.; Hilsenbeck, S.G.; Rodriguez, G.I.; Thurman, A.M.; Smith, L.S.; Eckhardt, S.G.; et al. Phase II trial of irinotecan in patients with progressive or rapidly recurrent colorectal cancer. J. Clin. Oncol. 1996, 14, 1128–1135. [Google Scholar] [CrossRef]
- Labbate, C.; Hatogai, K.; Werntz, R.; Stadler, W.M.; Steinberg, G.D.; Eggener, S.; Sweis, R.F. Complete response of renal cell carcinoma vena cava tumor thrombus to neoadjuvant immunotherapy. J. Immunother. Cancer 2019, 7, 66. [Google Scholar] [CrossRef] [Green Version]
- Lopez, J.I.; Pulido, R.; Lawrie, C.H.; Angulo, J.C. Loss of PD-L1 (SP-142) expression characterizes renal vein tumor thrombus microenvironment in clear cell renal cell carcinoma. Ann. Diagn. Pathol. 2018, 34, 89–93. [Google Scholar] [CrossRef]
- Schaaf, M.B.; Garg, A.; Agostinis, P. Defining the role of the tumor vasculature in antitumor immunity and immunotherapy. Cell Death Dis. 2018, 9, 115. [Google Scholar] [CrossRef] [Green Version]
- Schmid, P.; Adams, S.; Rugo, H.S.; Schneeweiss, A.; Barrios, C.H.; Iwata, H.; Diéras, V.; Hegg, R.; Im, S.-A.; Wright, G.S.; et al. Atezolizumab and Nab-Paclitaxel in Advanced Triple-Negative Breast Cancer. N. Engl. J. Med. 2018, 379, 2108–2121. [Google Scholar] [CrossRef]
- Reck, M.; Rodríguez-Abreu, D.; Robinson, A.G.; Hui, R.; Csőszi, T.; Fülöp, A.; Gottfried, M.; Peled, N.; Tafreshi, A.; Cuffe, S.; et al. Pembrolizumab versus Chemotherapy for PD-L1–Positive Non–Small-Cell Lung Cancer. N. Engl. J. Med. 2016, 375, 1823–1833. [Google Scholar] [CrossRef] [Green Version]
- Balar, A.V.; Castellano, D.; O’Donnell, P.H.; Grivas, P.; Vuky, J.; Powles, T.; Plimack, E.R.; Hahn, N.M.; de Wit, R.; Pang, L.; et al. First-line pembrolizumab in cisplatin-ineligible patients with locally advanced and unresectable or metastatic urothelial cancer (KEYNOTE-052): A multicentre, single-arm, phase 2 study. Lancet Oncol. 2017, 18, 1483–1492. [Google Scholar] [CrossRef]
- Balar, A.V.; Galsky, M.D.; Rosenberg, J.E.; Powles, T.; Petrylak, D.P.; Bellmunt, J.; Loriot, Y.; Necchi, A.; Hoffman-Censits, J.; Perez-Gracia, J.L.; et al. Atezolizumab as first-line treatment in cisplatin-ineligible patients with locally advanced and metastatic urothelial carcinoma: A single-arm, multicentre, phase 2 trial. Lancet 2017, 389, 67–76. [Google Scholar] [CrossRef] [Green Version]
- Motzer, R.J.; Escudier, B.; McDermott, D.F.; George, S.; Hammers, H.J.; Srinivas, S.; Tykodi, S.S.; Sosman, J.A.; Procopio, G.; Plimack, E.R.; et al. Nivolumab versus Everolimus in Advanced Renal-Cell Carcinoma. N. Engl. J. Med. 2015, 373, 1803–1813. [Google Scholar] [CrossRef]
- Marabelle, A.; Fakih, M.; Lopez, J.; Shah, M.; Shapira-Frommer, R.; Nakagawa, K.; Chung, H.C.; Kindler, H.L.; Lopez-Martin, J.A.; Miller, W.H., Jr.; et al. Association of tumour mutational burden with outcomes in patients with advanced solid tumours treated with pembrolizumab: Prospective biomarker analysis of the multicohort, open-label, phase 2 KEYNOTE-158 study. Lancet Oncol. 2020, 21, 1353–1365. [Google Scholar] [CrossRef]
- Huang, D.; Zhang, F.; Tao, H.; Zhang, S.; Ma, J.; Wang, J.; Liu, Z.; Cui, P.; Chen, S.; Huang, Z.; et al. Tumor Mutation Burden as a Potential Biomarker for PD-1/PD-L1 Inhibition in Advanced Non-small Cell Lung Cancer. Target Oncol. 2020, 15, 93–100. [Google Scholar] [CrossRef]
- Goodman, A.M.; Kato, S.; Bazhenova, L.; Patel, S.P.; Frampton, G.M.; Miller, V.; Stephens, P.J.; Daniels, G.A.; Kurzrock, R. Tumor Mutational Burden as an Independent Predictor of Response to Immunotherapy in Diverse Cancers. Mol. Cancer Ther. 2017, 16, 2598–2608. [Google Scholar] [CrossRef] [Green Version]
- Shirotake, S.; Kaneko, G.; Nagata, K.; Oyama, M.; Nishimoto, K. Histological complete response with nivolumab for renal cell carcinoma with multiple metastases: A case report. Mol. Clin. Oncol. 2018, 10, 244–248. [Google Scholar] [CrossRef] [Green Version]
- Hagimoto, H.; Kashima, S.; Doi, K.; Nakayama, S.; Sano, T.; Imai, S.; Yasufuku, T.; Muramaki, M.; Yamada, Y. Pathological complete response after nivolumab therapy following angiogenesis inhibitors in a patient with metastatic renal cell carcinoma. IJU Case Rep. 2020, 3, 287–290. [Google Scholar] [CrossRef]
- Pandey, Y.; Matin, A.; Broadfoot, B.; Kunthur, A. Clinical and histological response to combination nivolumab and ipilimumab in metastatic renal cell carcinoma. Bayl. Univ. Med Cent. Proc. 2020, 33, 258–260. [Google Scholar] [CrossRef]
- Okada, T.; Hamamoto, S.; Etani, T.; Naiki, T.; Sue, Y.; Banno, R.; Yamada, K.; Sakakura, T.; Yasui, T. Complete response of renal cell carcinoma with an inferior vena cava tumor thrombus and lung metastases after treatment with nivolumab plus ipilimumab. Int. Cancer Conf. J. 2020, 9, 88–91. [Google Scholar] [CrossRef]
- Shepherd, A.R.H.; Joshi, R.; Tan, C.P.; Cohen, P.; Brook, N.R. Inferior vena cava thrombectomy following complete response to nivolumab/ipilimumab for metastatic renal cell carcinoma. ANZ J. Surg. 2020, 90, 1517–1519. [Google Scholar] [CrossRef]
- Peak, T.C.; Fenu, E.M.; Rothberg, M.B.; Thomas, C.Y.; Davis, R.L.; Levine, E.A. Pathologic Complete Response to Neoadjuvant Nivolumab/Ipilimumab in a Patient with Metastatic Renal Cell Carcinoma. Case Rep. Urol. 2020, 2020, 1–6. [Google Scholar] [CrossRef]
- Ikarashi, D.; Kato, Y.; Katagiri, H.; Takahara, T.; Uesugi, N.; Shiomi, E.; Sugimura, J.; Nitta, H.; Sugai, T.; Obara, W. Case of complete response to neoadjuvant therapy using nivolumab in a patient with metastatic renal cell carcinoma. Int. J. Urol. 2018, 25, 630–632. [Google Scholar] [CrossRef]
- Singla, N.; Elias, R.; Ghandour, R.A.; Freifeld, Y.; Bowman, I.A.; Rapoport, L.; Enikeev, M.; Lohrey, J.; Woldu, S.L.; Gahan, J.C.; et al. Pathologic response and surgical outcomes in patients undergoing nephrectomy following receipt of immune checkpoint inhibitors for renal cell carcinoma. Urol. Oncol. Semin. Orig. Investig. 2019, 37, 924–931. [Google Scholar] [CrossRef]
- Pignot, G.; Thiery-Vuillemin, A.; Walz, J.; Lang, H.; Bigot, P.; Werle, P.; Balssa, L.; Geoffrois, L.; Leblanc, L.; Albigès, L.; et al. Nephrectomy After Complete Response to Immune Checkpoint Inhibitors for Metastatic Renal Cell Carcinoma: A New Surgical Challenge? Eur. Urol. 2020, 77, 761–763. [Google Scholar] [CrossRef]
- Woldu, S.L.; Brugarolas, J.; Kapur, P.; Margulis, V. What is the role of nephrectomy following complete response to checkpoint inhibitors? Urol. Case Rep. 2018, 18, 60–63. [Google Scholar] [CrossRef]
- Singla, N.; Ghandour, R.A.; Margulis, V. Is cytoreductive nephrectomy relevant in the immunotherapy era? Curr. Opin. Urol. 2019, 29, 526–530. [Google Scholar] [CrossRef]
- Singla, N.; Hakimi, A.A.; Margulis, V. Editorial: The evolving role of cytoreductive nephrectomy. Curr. Opin. Urol. 2019, 29, 505–506. [Google Scholar] [CrossRef]
- Würnschimmel, C.; Nocera, L.; Wenzel, M.; Ruvolo, C.C.; Tian, Z.; Karakiewicz, P.I. The role of nephrectomy in metastatic renal cell carcinoma in the immuno-oncology era. Br. J. Urol. 2021, 128, 438–439. [Google Scholar] [CrossRef] [PubMed]
- Singla, N.; Hutchinson, R.C.; Ghandour, R.A.; Freifeld, Y.; Fang, D.; Sagalowsky, A.I.; Lotan, Y.; Bagrodia, A.; Margulis, V.; Hammers, H.J.; et al. Improved survival after cytoreductive nephrectomy for metastatic renal cell carcinoma in the contemporary immunotherapy era: An analysis of the National Cancer Database. Urol. Oncol. Semin. Orig. Investig. 2020, 38, 604.e9–604.e17. [Google Scholar] [CrossRef] [PubMed]
- Pieretti, A.C.; Shapiro, D.D.; Westerman, M.E.; Hwang, H.; Wang, X.; Segarra, L.A.; Campbell, M.T.; Tannir, N.M.; Jonasch, E.; Matin, S.F.; et al. Tumor diameter response in patients with metastatic clear cell renal cell carcinoma is associated with overall survival. Urol. Oncol. Semin. Orig. Investig. 2021, 39, 837.e9–837.e17. [Google Scholar] [CrossRef]
- Chapin, B.F.; Delacroix, S.E., Jr.; Culp, S.H.; Gonzalez, G.M.N.; Tannir, N.M.; Jonasch, E.; Tamboli, P.; Wood, C.G. Safety of Presurgical Targeted Therapy in the Setting of Metastatic Renal Cell Carcinoma. Eur. Urol. 2011, 60, 964–971. [Google Scholar] [CrossRef] [Green Version]
- Gyorki, D.E.; Yuan, J.; Mu, Z.; Zaidi, B.; Pulitzer, M.; Busam, K.; Brady, M.S.; Coit, D.G.; Allison, J.P.; Wolchok, J.D.; et al. Immunological Insights from Patients Undergoing Surgery on Ipilimumab for Metastatic Melanoma. Ann. Surg. Oncol. 2013, 20, 3106–3111. [Google Scholar] [CrossRef]



Publisher’s Note: MDPI stays neutral with regard to jurisdictional claims in published maps and institutional affiliations. |
© 2022 by the authors. Licensee MDPI, Basel, Switzerland. This article is an open access article distributed under the terms and conditions of the Creative Commons Attribution (CC BY) license (https://creativecommons.org/licenses/by/4.0/).
Share and Cite
Studentova, H.; Zemankova, A.; Spisarova, M.; Skanderova, D.; Tudos, Z.; Melichar, B.; Student, V., Jr. A Pathological Complete Response to the Combination of Ipilimumab and Nivolumab in a Patient with Metastatic Renal Cell Carcinoma. Medicina 2022, 58, 336. https://doi.org/10.3390/medicina58030336
Studentova H, Zemankova A, Spisarova M, Skanderova D, Tudos Z, Melichar B, Student V Jr. A Pathological Complete Response to the Combination of Ipilimumab and Nivolumab in a Patient with Metastatic Renal Cell Carcinoma. Medicina. 2022; 58(3):336. https://doi.org/10.3390/medicina58030336
Chicago/Turabian StyleStudentova, Hana, Anezka Zemankova, Martina Spisarova, Daniela Skanderova, Zbynek Tudos, Bohuslav Melichar, and Vladimir Student, Jr. 2022. "A Pathological Complete Response to the Combination of Ipilimumab and Nivolumab in a Patient with Metastatic Renal Cell Carcinoma" Medicina 58, no. 3: 336. https://doi.org/10.3390/medicina58030336
APA StyleStudentova, H., Zemankova, A., Spisarova, M., Skanderova, D., Tudos, Z., Melichar, B., & Student, V., Jr. (2022). A Pathological Complete Response to the Combination of Ipilimumab and Nivolumab in a Patient with Metastatic Renal Cell Carcinoma. Medicina, 58(3), 336. https://doi.org/10.3390/medicina58030336

