Monoamine Oxidase (MAO) Is Expressed at the Level of Mitral Valve with Severe Regurgitation in Hypertrophic Obstructive Cardiomyopathy: A Case Report
Abstract
1. Introduction
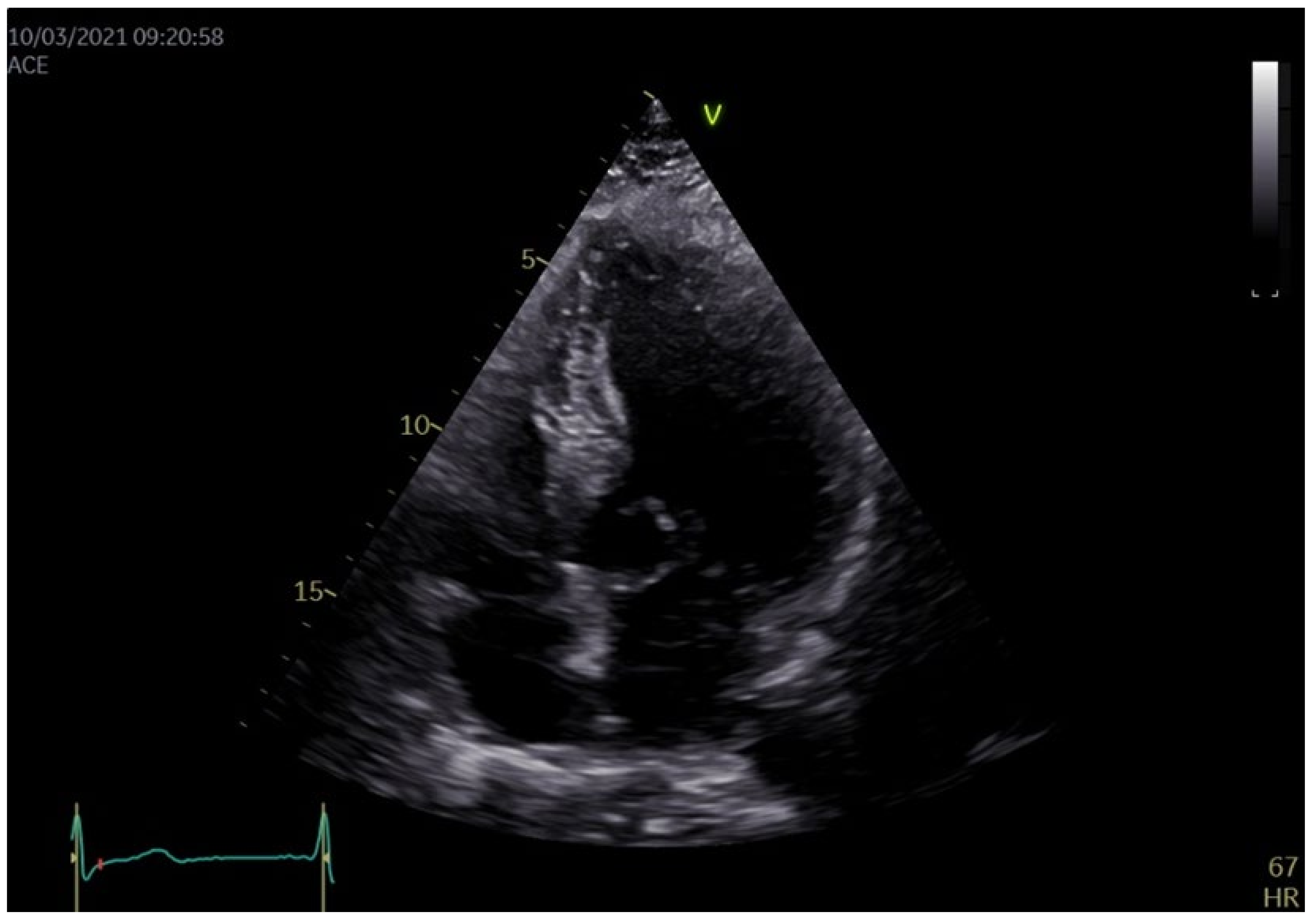
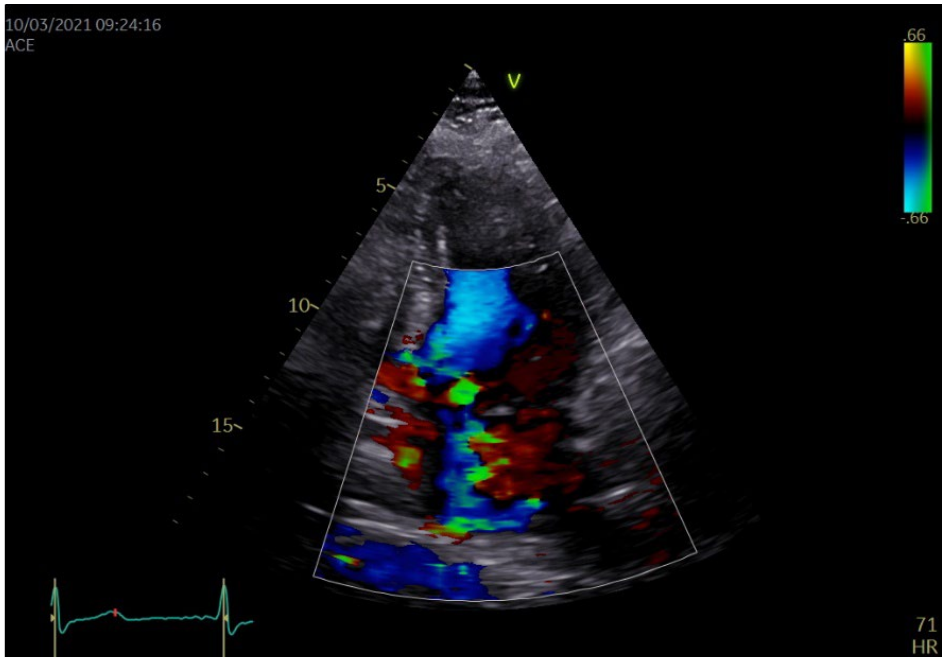
2. Case Presentation
3. Discussion
4. Conclusions
Author Contributions
Funding
Institutional Review Board Statement
Informed Consent Statement
Data Availability Statement
Conflicts of Interest
References
- Semsarian, C.; Ingles, J.; Maron, M.S.; Maron, B.J. New Perspectives on the Prevalence of Hypertrophic Cardiomyopathy. J. Am. Coll. Cardiol. 2015, 65, 1249–1254. [Google Scholar] [CrossRef] [PubMed]
- Elliott, P.M.; Anastasakis, A.; Borger, M.A.; Borggrefe, M.; Cecchi, F.; Charron, P.; Hagege, A.A.; Lafont, A.; Limongelli, G.; Mahrholdt, H.; et al. 2014 Esc Guidelines on Diagnosis and Management of Hypertrophic Cardiomyopathy: The Task Force for the Diagnosis and Management of Hypertrophic Cardiomyopathy of the European Society of Cardiology (Esc). Eur. Heart J. 2014, 35, 2733–2779. [Google Scholar] [PubMed]
- Shah, A.K.; Bhullar, S.K.; Elimban, V.; Dhalla, N.S. Role of angiotensin II in the development of subcellular remodeling in heart failure. Explor. Med. 2021, 2, 352–371. [Google Scholar]
- Mongirdienė, A.; Skrodenis, L.; Varoneckaitė, L.; Mierkytė, G.; Gerulis, J. Reactive Oxygen Species Induced Pathways in Heart Failure Pathogenesis and Potential Therapeutic Strategies. Biomedicines 2022, 10, 602. [Google Scholar] [CrossRef]
- Miller, J.D.; Chu, Y.; Brooks, R.M.; Richenbacher, W.E.; Peña-Silva, R.; Heistad, D.D. Dysregulation of Antioxidant Mechanisms Contributes to Increased Oxidative Stress in Calcific Aortic Valvular Stenosis in Humans. J. Am. Coll. Cardiol. 2008, 52, 843–850. [Google Scholar] [CrossRef]
- Ionică, L.N.; Șoșdean, R.Ș.; Pescariu, A.S.P.; Mornoș, C.M.; Muntean, D.M.M.; Ionac, A.I.; Sturza, A.S.; Luca, C.T.L.; Feier, H.F. Assessment of Valvular Oxidative Stress in a Young Patient with Primary Severe Mitral Regurgitation. Timis. Med. J. 2021, 2021, 1. [Google Scholar] [CrossRef]
- Peoples, J.N.; Saraf, A.; Ghazal, N.; Pham, T.T.; Kwong, J.Q. Mitochondrial dysfunction and oxidative stress in heart disease. Exp. Mol. Med. 2019, 51, 1–13. [Google Scholar] [CrossRef]
- Muntean, D.M.; Sturza, A.; Dănilă, M.D.; Borza, C.; Duicu, O.M.; Mornoș, C. The Role of Mitochondrial Reactive Oxygen Species in Cardiovascular Injury and Protective Strategies. Oxidative Med. Cell. Longev. 2016, 2016, 8254942. [Google Scholar] [CrossRef]
- Kaludercic, N.; Mialet-Perez, J.; Paolocci, N.; Parini, A.; Di Lisa, F. Monoamine oxidases as sources of oxidants in the heart. J. Mol. Cell. Cardiol. 2014, 73, 34–42. [Google Scholar] [CrossRef]
- Sturza, A.; Popoiu, C.M.; Ionică, M.; Duicu, O.M.; Olariu, S.; Muntean, D.M.; Boia, E.S. Monoamine Oxidase-Related Vascular Oxidative Stress in Diseases Associated with Inflammatory Burden. Oxidative Med. Cell. Longev. 2019, 2019, 8954201. [Google Scholar] [CrossRef]
- Cagnin, S.; Brugnaro, M.; Millino, C.; Pacchioni, B.; Troiano, C.; Di Sante, M.; Kaludercic, N. Monoamine Oxidase-Dependent Pro-Survival Signaling in Diabetic Hearts Is Mediated by miRNAs. Cells 2022, 11, 2697. [Google Scholar] [CrossRef] [PubMed]
- Merce, A.P.; Ionică, L.N.; Bînă, A.M.; Popescu, S.; Lighezan, R.; Petrescu, L.; Borza, C.; Sturza, A.; Muntean, D.M.; Creţu, O.M. Monoamine Oxidase Is a Source of Cardiac Oxidative Stress in Obese Rats: The Beneficial Role of Metformin. Mol. Cell. Biochem. 2022. [Google Scholar] [CrossRef] [PubMed]
- Maggiorani, D.; Manzella, N.; Edmondson, D.E.; Mattevi, A.; Parini, A.; Binda, C.; Mialet-Perez, J. Monoamine Oxidases, Oxidative Stress, and Altered Mitochondrial Dynamics in Cardiac Ageing. Oxidative Med. Cell. Longev. 2017, 2017, 3017947. [Google Scholar] [CrossRef] [PubMed]
- Maurel-Ribes, A.; Hernandez, C.; Kunduzova, O.; Bompart, G.; Cambon, C.; Parini, A.; Francés, B. Age-dependent increase in hydrogen peroxide production by cardiac monoamine oxidase A in rats. Am. J. Physiol. Heart Circ. Physiol. 2003, 284, H1460–H1467. [Google Scholar] [CrossRef]
- Peña-Silva, R.A.; Miller, J.D.; Chu, Y.; Heistad, D.D. Serotonin produces monoamine oxidase-dependent oxidative stress in human heart valves. Am. J. Physiol. Circ. Physiol. 2009, 297, H1354–H1360. [Google Scholar] [CrossRef]
- Schwammenthal, E.; Hagège, A.A.; Levine, R.A. Does the Flow Know? Mitral Regurgitant Jet Direction and Need for Valve Repair in Hypertrophic Obstructive Cardiomyopathy. J. Am. Soc. Echocardiogr. 2019, 32, 341–343. [Google Scholar] [CrossRef]
- Maron, B.J.; MMaron, S.; Wigle, E.D.; Braunwald, E. The 50-Year History, Controversy, and Clinical Implications of Left Ventricular Outflow Tract Obstruction in Hypertrophic Cardiomyopathy from Idiopathic Hypertrophic Subaortic Stenosis to Hypertrophic Cardiomyopathy: From Idiopathic Hypertrophic Subaortic Stenosis to Hypertrophic Cardiomyopathy. J. Am. Coll. Cardiol. 2009, 54, 191–200. [Google Scholar]
- Walker, C.M.; Reddy, G.P.; Mohammed, T.H.; Chung, J.H. Systolic Anterior Motion of the Mitral Valve. J. Thorac. Imaging 2012, 27, W87. [Google Scholar] [CrossRef]
- Delling, F.N.; Vasan, R.S. Epidemiology and Pathophysiology of Mitral Valve Prolapse: New Insights into Disease Progression, Genetics, and Molecular Basis. Circulation 2014, 129, 2158–2170. [Google Scholar] [CrossRef]
- Hodges, K.; Rivas, C.G.; Aguilera, J.; Borden, R.; Alashi, A.; Blackstone, E.H.; Desai, M.Y.; Smedira, N.G. Surgical management of left ventricular outflow tract obstruction in a specialized hypertrophic obstructive cardiomyopathy center. J. Thorac. Cardiovasc. Surg. 2018, 157, 2289–2299. [Google Scholar] [CrossRef]
- Van der Velden, J.; Tocchetti, C.G.; Varricchi, G.; Bianco, A.; Sequeira, V.; Hilfiker-Kleiner, D.; Hamdani, N.; Leite-Moreira, A.F.; Mayr, M.; Falcão-Pires, I.; et al. Metabolic Changes in Hypertrophic Cardiomyopathies: Scientific Update from the Working Group of Myocardial Function of the European Society of Cardiology. Cardiovasc. Res. 2018, 114, 1273–1280. [Google Scholar] [CrossRef] [PubMed]
- Wijnker, P.J.; Sequeira, V.; Kuster, D.W.; Van Der Velden, J. Hypertrophic Cardiomyopathy: A Vicious Cycle Triggered by Sarcomere Mutations and Secondary Disease Hits. Antioxid. Redox Signal. 2019, 31, 318–358. [Google Scholar] [CrossRef]
- Dimitrow, P.P.; Undas, A.; Wolkow, P.; Tracz, W.; Dubiel, J.S. Enhanced oxidative stress in hypertrophic cardiomyopathy. Pharmacol. Rep. 2009, 61, 491–495. [Google Scholar] [CrossRef] [PubMed]
- Szyguła-Jurkiewicz, B.; Szczurek-Wasilewicz, W.; Osadnik, T.; Frycz-Kurek, A.M.; Macioł-Skurk, K.; Małyszek-Tumidajewicz, J.; Skrzypek, M.; Romuk, E.; Gąsior, M.; Banach, M.; et al. Oxidative Stress Markers in Hypertrophic Cardiomyopathy. Medicina 2022, 58, 31. [Google Scholar] [CrossRef]
- Christiansen, L.B.; Dela, F.; Koch, J.; Hansen, C.N.; Leifsson, P.S.; Yokota, T. Impaired cardiac mitochondrial oxidative phosphorylation and enhanced mitochondrial oxidative stress in feline hypertrophic cardiomyopathy. Am. J. Physiol. Circ. Physiol. 2015, 308, H1237–H1247. [Google Scholar] [CrossRef] [PubMed]
- Ranjbarvaziri, S.; Kooiker, K.B.; Ellenberger, M.; Fajardo, G.; Zhao, M.; Roest, A.S.V.; Woldeyes, R.A.; Koyano, T.T.; Fong, R.; Ma, N.; et al. Altered Cardiac Energetics and Mitochondrial Dysfunction in Hypertrophic Cardiomyopathy. Circulation 2021, 144, 1714–1731. [Google Scholar] [CrossRef] [PubMed]
- Abel, E.D.; Doenst, T. Mitochondrial Adaptations to Physiological Vs. Pathological Cardiac Hypertrophy. Cardiovasc. Res. 2011, 90, 234–242. [Google Scholar] [CrossRef]
- Mialet-Perez, J.; Santin, Y.; Parini, A. Monoamine oxidase-A, serotonin and norepinephrine: Synergistic players in cardiac physiology and pathology. J. Neural Transm. 2018, 125, 1627–1634. [Google Scholar] [CrossRef]
- Bianchi, P.; Pimentel, D.R.; Murphy, M.P.; Colucci, W.S.; Parini, A. A new hypertrophic mechanism of serotonin in cardiac myocytes: Receptor-independent ROS generation. FASEB J. 2005, 19, 1–15. [Google Scholar] [CrossRef]
- Dikalov, S.I.; Nazarewicz, R.R. Angiotensin II-Induced Production of Mitochondrial Reactive Oxygen Species: Potential Mechanisms and Relevance for Cardiovascular Disease. Antioxid. Redox Signal. 2013, 19, 1085–1094. [Google Scholar] [CrossRef]




| Parameter | Value/Structure and Function Alteration |
|---|---|
| Chambers quantification | |
| Interventricular septum (IVS), mm | 21 |
| Left ventricular posterior wall (LVPW), mm | 15 |
| Left ventricular end-diastolic diameter, mm | 44 |
| Left ventricular end-diastolic volume, mL | 90 |
| Left ventricular ejection fraction (LVEF), % | 60 |
| S’ mitral annulus IVS/lateral wall, m/s | 0.08/0.10 |
| LV global longitudinal strain, % | −19.3 altered in the basal segments |
| LV twist, degrees | 8 |
| Left ventricular outflow tract maximal pressure gradient, mmHg | 100 |
| Left atrium (LA) diameter, mm | 49 |
| Right ventricular free wall, mm | 7 |
| Right ventricular diameter, mm | 27 |
| Tricuspid annular plane systolic excursion (TAPSE), mm | 25 |
| S’ tricuspid annulus, m/s | 0.16 |
| Right ventricular fractional area change (RV FAC), % | 40 |
| Valves quantification | |
| Mitral valve | Severe regurgitation |
| Aortic valve | Degenerated |
| Tricuspid valve | Moderate regurgitation |
| Pulmonary systolic arterial pressure, mmHg | 40 |
| Pulmonary valve | Minor regurgitation |
| Tissue | H2O2 Amount |
|---|---|
| (nM H2O2/mg/Tissue/h) | |
| CTL | 7.13 |
| CTL + Seleg | 6.2 |
| CTL + AII | 12.25 |
| CTL + AII + Clorg | 8.63 |
| CTL + AII + Seleg | 8.75 |
Publisher’s Note: MDPI stays neutral with regard to jurisdictional claims in published maps and institutional affiliations. |
© 2022 by the authors. Licensee MDPI, Basel, Switzerland. This article is an open access article distributed under the terms and conditions of the Creative Commons Attribution (CC BY) license (https://creativecommons.org/licenses/by/4.0/).
Share and Cite
Lascu, A.; Șoșdean, R.; Ionică, L.N.; Pescariu, A.S.; Petrescu, L.; Ionac, A.; Luca, C.T.; Sturza, A.; Feier, H.B. Monoamine Oxidase (MAO) Is Expressed at the Level of Mitral Valve with Severe Regurgitation in Hypertrophic Obstructive Cardiomyopathy: A Case Report. Medicina 2022, 58, 1844. https://doi.org/10.3390/medicina58121844
Lascu A, Șoșdean R, Ionică LN, Pescariu AS, Petrescu L, Ionac A, Luca CT, Sturza A, Feier HB. Monoamine Oxidase (MAO) Is Expressed at the Level of Mitral Valve with Severe Regurgitation in Hypertrophic Obstructive Cardiomyopathy: A Case Report. Medicina. 2022; 58(12):1844. https://doi.org/10.3390/medicina58121844
Chicago/Turabian StyleLascu, Ana, Raluca Șoșdean, Loredana Nicoleta Ionică, Alexandru S. Pescariu, Lucian Petrescu, Adina Ionac, Constantin T. Luca, Adrian Sturza, and Horea B. Feier. 2022. "Monoamine Oxidase (MAO) Is Expressed at the Level of Mitral Valve with Severe Regurgitation in Hypertrophic Obstructive Cardiomyopathy: A Case Report" Medicina 58, no. 12: 1844. https://doi.org/10.3390/medicina58121844
APA StyleLascu, A., Șoșdean, R., Ionică, L. N., Pescariu, A. S., Petrescu, L., Ionac, A., Luca, C. T., Sturza, A., & Feier, H. B. (2022). Monoamine Oxidase (MAO) Is Expressed at the Level of Mitral Valve with Severe Regurgitation in Hypertrophic Obstructive Cardiomyopathy: A Case Report. Medicina, 58(12), 1844. https://doi.org/10.3390/medicina58121844

