Interleukin-6 and Outcome of Chronic Hemodialysis Patients with SARS-CoV-2 Pneumonia
Abstract
1. Introduction
2. Materials and Methods
2.1. Study Design and Patients
2.2. Dialysis Prescription
2.3. Statistical Analysis
3. Results
3.1. Clinical Worsening
3.2. Patients’ Survival
3.3. IL-6 and PCT Removal during Dialysis
4. Discussion
5. Conclusions
Supplementary Materials
Author Contributions
Funding
Institutional Review Board Statement
Informed Consent Statement
Data Availability Statement
Conflicts of Interest
References
- Ikizler, T.A. COVID-19 in dialysis patients: Adding a few more pieces to the puzzle. Kidney Int. 2020, 98, 17–19. [Google Scholar] [CrossRef] [PubMed]
- Kliger, A.S.; Cozzolino, M.; Jha, V.; Harbert, G.; Ikizler, T.A. Managing the COVID-19 pandemic: International comparisons in dialysis patients. Kidney Int. 2020, 98, 12–16. [Google Scholar] [CrossRef] [PubMed]
- De Meester, J.; De Bacquer, D.; Naesens, M.; Meijers, B.; Couttenye, M.M.; De Vriese, A.S.; NBVN Kidney Registry Group. Incidence, Characteristics, and Outcome of COVID-19 in Adults on Kidney Replacement Therapy: A Regionwide Registry Study. J. Am. Soc. Nephrol. JASN 2021, 32, 385–396. [Google Scholar] [CrossRef] [PubMed]
- Mureșan, A.V.; Russu, E.; Arbănași, E.M.; Kaller, R.; Hosu, I.; Arbănași, E.M.; Voidăzan, S.T. Negative Impact of the COVID-19 Pandemic on Kidney Disease Management—A Single-Center Experience in Romania. J. Clin. Med. 2022, 11, 2452. [Google Scholar] [CrossRef] [PubMed]
- Jankowski, J.; Floege, J.; Fliser, D.; Böhm, M.; Marx, N. Cardiovascular Disease in Chronic Kidney Disease: Pathophysiological Insights and Therapeutic Options. Circulation 2021, 143, 1157–1172. [Google Scholar] [CrossRef]
- Akmal, M. Hemodialysis in diabetic patients. Am. J. Kidney Dis. 2001, 38 (Suppl. 1), S195–S199. [Google Scholar] [CrossRef]
- Donati, G.; Colì, L.; Cianciolo, G.; La Manna, G.; Cuna, V.; Montanari, M.; Gozzetti, F.; Stefoni, S. Thrombosis of tunneled-cuffed hemodialysis catheters: Treatment with high-dose urokinase lock therapy. Artif. Organs 2012, 36, 21–28. [Google Scholar] [CrossRef]
- Arenas Jimenez, M.D.; González-Parra, E.; Riera, M.; Rincón Bello, A.; López-Herradón, A.; Cao, H.; Hurtado, S.; Collado, S.; Ribera, L.; Barbosa, F.; et al. Mortality in Hemodialysis Patients with COVID-19, the Effect of Paricalcitol or Calcimimetics. Nutrients 2021, 13, 2559. [Google Scholar] [CrossRef]
- Cianciolo, G.; La Manna, G.; Della Bella, E.; Cappuccilli, M.L.; Angelini, M.L.; Dormi, A.; Capelli, I.; Laterza, C.; Costa, R.; Alviano, F.; et al. Effect of vitamin D receptor activator therapy on vitamin D receptor and osteocalcin expression in circulating endothelial progenitor cells of hemodialysis patients. Blood Purif. 2013, 35, 187–195. [Google Scholar] [CrossRef]
- Betjes, M.G. Immune cell dysfunction and inflammation in end-stage renal disease. Nature reviews. Nephrology 2013, 9, 255–265. [Google Scholar] [CrossRef]
- Losappio, V.; Infante, B.; Leo, S.; Troise, D.; Calvaruso, M.; Vitale, P.; Renzi, S.; Stallone, G.; Castellano, G. Nutrition-Based Management of Inflammaging in CKD and Renal Replacement Therapies. Nutrients 2021, 13, 267. [Google Scholar] [CrossRef] [PubMed]
- Wu, J.; Li, J.; Zhu, G.; Zhang, Y.; Bi, Z.; Yu, Y.; Huang, B.; Fu, S.; Tan, Y.; Sun, J.; et al. Clinical Features of Maintenance Hemodialysis Patients with 2019 Novel Coronavirus-Infected Pneumonia in Wuhan, China. Clin. J. Am. Soc. Nephrol. CJASN 2020, 15, 1139–1145. [Google Scholar] [CrossRef] [PubMed]
- Goicoechea, M.; Sánchez Cámara, L.A.; Macías, N.; Muñoz de Morales, A.; Rojas, Á.G.; Bascuñana, A.; Arroyo, D.; Vega, A.; Abad, S.; Verde, E.; et al. COVID-19: Clinical course and outcomes of 36 hemodialysis patients in Spain. Kidney Int. 2020, 98, 27–34. [Google Scholar] [CrossRef] [PubMed]
- Alberici, F.; Delbarba, E.; Manenti, C.; Econimo, L.; Valerio, F.; Pola, A.; Maffei, C.; Possenti, S.; Lucca, B.; Cortinovis, R.; et al. A report from the Brescia Renal COVID Task Force on the clinical characteristics and short-term outcome of hemodialysis patients with SARS-CoV-2 infection. Kidney Int. 2020, 98, 20–26. [Google Scholar] [CrossRef]
- Aoike, I. Clinical significance of protein adsorbable membranes—Long-term clinical effects and analysis using a proteomic technique. Nephrol. Dial. Transplant. 2007, 22 (Suppl. 5), v13–v19. [Google Scholar] [CrossRef]
- Alfano, G.; Ferrari, A.; Magistroni, R.; Fontana, F.; Cappelli, G.; Basile, C. The frail world of haemodialysis patients in the COVID-19 pandemic era: A systematic scoping review. J. Nephrol. 2021, 34, 1387–1403. [Google Scholar] [CrossRef]
- Malik, P.; Patel, U.; Mehta, D.; Patel, N.; Kelkar, R.; Akrmah, M.; Gabrilove, J.L.; Sacks, H. Biomarkers and outcomes of COVID-19 hospitalisations: Systematic review and meta-analysis. BMJ Evid. Based Med. 2021, 26, 107–108. [Google Scholar] [CrossRef]
- Charlson, M.E.; Pompei, P.; Ales, K.L.; MacKenzie, C.R. A new method of classifying prognostic comorbidity in longitudinal studies: Development and validation. J. Chronic Dis. 1987, 40, 373–383. [Google Scholar] [CrossRef]
- Aziz, M.; Fatima, R.; Assaly, R. Elevated interleukin-6 and severe COVID-19: A meta-analysis. J. Med. Virol. 2020, 92, 2283–2285. [Google Scholar] [CrossRef]
- Mureșan, A.V.; Russu, E.; Arbănași, E.M.; Kaller, R.; Hosu, I.; Arbănași, E.M.; Voidăzan, S.T. The Predictive Value of NLR, MLR, and PLR in the Outcome of End-Stage Kidney Disease Patients. Biomedicines 2022, 10, 1272. [Google Scholar] [CrossRef]
- Yang, B.; Chang, X.; Huang, J.; Pan, W.; Si, Z.; Zhang, C.; Li, H. The role of IL-6/lymphocyte ratio in the peripheral blood of severe patients with COVID-19. Int. Immunopharmacol. 2021, 97, 107569. [Google Scholar] [CrossRef] [PubMed]
- Bergström, J.; Wehle, B. No change in corrected beta 2-microglobulin concentration after cuprophane haemodialysis. Lancet 1987, 1, 628–629. [Google Scholar] [CrossRef]
- Locatelli, F.; Altieri, P.; Andrulli, S.; Bolasco, P.; Sau, G.; Pedrini, L.A.; Basile, C.; David, S.; Feriani, M.; Montagna, G.; et al. Hemofiltration and hemodiafiltration reduce intradialytic hypotension in ESRD. J. Am. Soc. Nephrol. JASN 2010, 21, 1798–1807. [Google Scholar] [CrossRef] [PubMed]
- Zou, L.; Ruan, F.; Huang, M.; Liang, L.; Huang, H.; Hong, Z.; Yu, J.; Kang, M.; Song, Y.; Xia, J.; et al. SARS-CoV-2 Viral Load in Upper Respiratory Specimens of Infected Patients. N. Engl. J. Med. 2020, 382, 1177–1179. [Google Scholar] [CrossRef]
- Laguna-Goya, R.; Utrero-Rico, A.; Talayero, P.; Lasa-Lazaro, M.; Ramirez-Fernandez, A.; Naranjo, L.; Segura-Tudela, A.; Cabrera-Marante, O.; Rodriguez de Frias, E.; Garcia-Garcia, R.; et al. IL-6-based mortality risk model for hospitalized patients with COVID-19. J. Allergy Clin. Immunol. 2020, 146, 799–807.e9. [Google Scholar] [CrossRef] [PubMed]
- Del Valle, D.M.; Kim-Schulze, S.; Huang, H.H.; Beckmann, N.D.; Nirenberg, S.; Wang, B.; Lavin, Y.; Swartz, T.H.; Madduri, D.; Stock, A.; et al. An inflammatory cytokine signature predicts COVID-19 severity and survival. Nat. Med. 2020, 26, 1636–1643. [Google Scholar] [CrossRef]
- Herold, T.; Jurinovic, V.; Arnreich, C.; Lipworth, B.J.; Hellmuth, J.C.; von Bergwelt-Baildon, M.; Klein, M.; Weinberger, T. Elevated levels of IL-6 and CRP predict the need for mechanical ventilation in COVID-19. J. Allergy Clin. Immunol. 2020, 146, 128–136.e4. [Google Scholar] [CrossRef]
- Chen, X.; Zhao, B.; Qu, Y.; Chen, Y.; Xiong, J.; Feng, Y.; Men, D.; Huang, Q.; Liu, Y.; Yang, B.; et al. Detectable Serum Severe Acute Respiratory Syndrome Coronavirus 2 Viral Load (RNAemia) Is Closely Correlated with Drastically Elevated Interleukin 6 Level in Critically Ill Patients with Coronavirus Disease 2019. Clin. Infect. Dis. 2020, 71, 1937–1942. [Google Scholar] [CrossRef] [PubMed]
- Bologa, R.M.; Levine, D.M.; Parker, T.S.; Cheigh, J.S.; Serur, D.; Stenzel, K.H.; Rubin, A.L. Interleukin-6 predicts hypoalbuminemia, hypocholesterolemia, and mortality in hemodialysis patients. Am. J. Kidney Dis. 1998, 32, 107–114. [Google Scholar] [CrossRef]
- Fujimori, A.; Naito, H.; Miyazaki, T. Adsorption of complement, cytokines, and proteins by different dialysis membrane materials: Evaluation by confocal laser scanning fluorescence microscopy. Artif. Organs 1998, 22, 1014–1017. [Google Scholar] [CrossRef]
- Panichi, V.; Scatena, A.; Rosati, A.; Giusti, R.; Ferro, G.; Malagnino, E.; Capitanini, A.; Piluso, A.; Conti, P.; Bernabini, G.; et al. High-volume online haemodiafiltration improves erythropoiesis-stimulating agent (ESA) resistance in comparison with low-flux bicarbonate dialysis: Results of the REDERT study. Nephrol. Dial. Transplant. 2015, 30, 682–689. [Google Scholar] [CrossRef] [PubMed]
- Quiroga, B.; Muñoz Ramos, P.; Giorgi, M.; de Santos, A.; Núñez, A.; Ortiz, A.; Redondo Polo, C.; Almería Gómez, O.; Marcos-Jiménez, A.; Esparcia Pinedo, L. Dynamic assessment of interleukin-6 during hemodialysis and mortality in coronavirus disease-19. Ther. Apher. Dial. 2021, 25, 908–916. [Google Scholar] [CrossRef] [PubMed]
- Nakamura, M.; Oda, S.; Sadahiro, T.; Hirayama, Y.; Watanabe, E.; Tateishi, Y.; Nakada, T.A.; Hirasawa, H. Treatment of severe sepsis and septic shock by CHDF using a PMMA membrane hemofilter as a cytokine modulator. Contrib. Nephrol. 2010, 166, 73–82. [Google Scholar] [CrossRef] [PubMed]
- Grifoni, E.; Valoriani, A.; Cei, F.; Lamanna, R.; Gelli, A.; Ciambotti, B.; Vannucchi, V.; Moroni, F.; Pelagatti, L.; Tarquini, R.; et al. Interleukin-6 as prognosticator in patients with COVID-19. J. Infect. 2020, 81, 452–482. [Google Scholar] [CrossRef]
- Chen, T.; Wu, D.; Chen, H.; Yan, W.; Yang, D.; Chen, G.; Ma, K.; Xu, D.; Yu, H.; Wang, H.; et al. Clinical characteristics of 113 deceased patients with coronavirus disease 2019: Retrospective study. BMJ (Clin. Res. Ed.) 2020, 368, m1091. [Google Scholar] [CrossRef]







| Variables | Total (n = 26) | Clinical Worsening (n = 15) | Non-Clinical Worsening (n = 11) | p Value |
|---|---|---|---|---|
| Age, years (SD) | 70 ± 15 | 74 ± 13.92 | 65 ± 17.90 | 0.1720 |
| Male, n (%) | 14 (53.8%) | 8 (53) | 6 (54) | 0.9999 |
| Dialysis vintage, months (IQ range) | 26 (15.00–65.50) | 44 (40–78) | 21 (18–48) | 0.0784 |
| Vascular access | ||||
| Arteriovenous Fistula n (%) | 13(50) | 10 (55) | 7 (38) | 0.395 |
| Central venous catheter n (%) | 13(50) | 8 (45) | 4 (62) | 0.740 |
| Primary cause of ESRD | ||||
| Glomerulonephritis, n (%) | 2 (8) | 2 (13) | 0 | 0.4923 |
| Hypertensive nephropathy, n (%) | 8 (30) | 4 (26) | 4 (36) | 0.6828 |
| Diabetic nephropathy, n (%) | 2(8) | 2 (6) | 1 (9) | 0.9999 |
| Multiple myeloma, n (%) | 2(8) | 2 (13) | 0 | 0.4923 |
| Unknown, n (%) | 8(30) | 5 (33) | 2 (18) | 0.6576 |
| Comorbidity | ||||
| Cardiovascular diseases, n (%) | 26 (100) | 15 (100) | 11 (100) | NA |
| Diabetes, n (%) | 14 (54) | 7 (4) | 5 (45) | 0.9999 |
| Cancer, n (%) | 10 (38) | 6 (40) | 4 (36) | 0.9999 |
| Body mass index >30 | 7 (30) | 7 (46) | 3 (27) | 0.4279 |
| Charlson comorbidity index (SD) | 7.00 (7.00–8.00) | 7.00 (6.50–9.34) | 6.45 (6.00–8.10) | 0.5783 |
| Onset Symptoms | ||||
| Fever, n (%) | 15 (58) | 12 (80) | 3 (27) | 0.0149 |
| Cough, n (%) | 3 (11) | 1 (6) | 2 (18) | 0.558 |
| Diarrhea or vomiting, n (%) | 1 (4) | 0 | 1 (9) | 0.9999 |
| Dyspnea, n (%) | 1(4) | 0 | 1 (9) | 0.9999 |
| Neurological worsening, n (%) | 1(4) | |||
| Symptomless, n (%) | 5 (19) | 2 (13) | 3 (27) | 0.9999 |
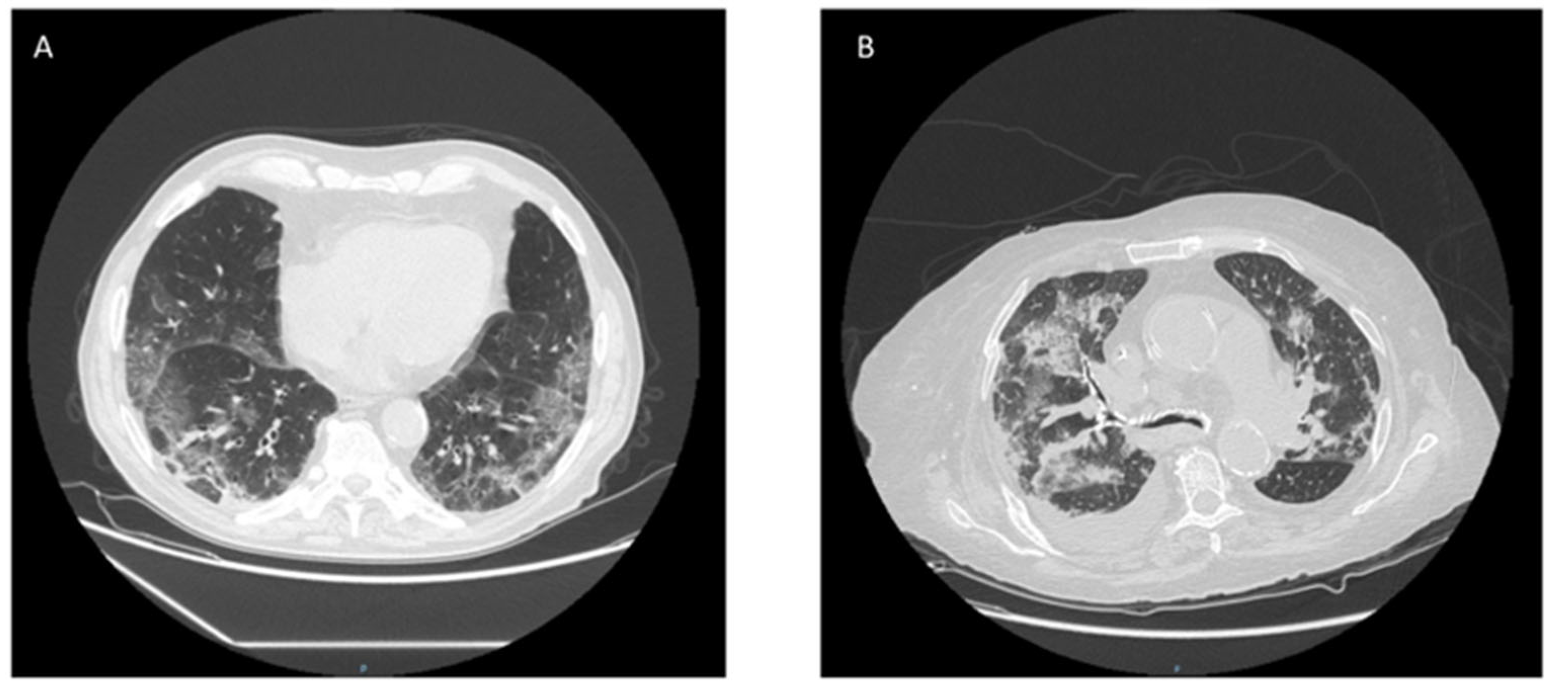
| Admission HRCT | ||||
| Bilateral ground-glass opacity, n (%) | 21(81) | 12 (80) | 9 (60) | 0.176 |
| Unilateral ground-glass opacity, n (%) | 5 (19) | 3 (20) | 2 (40) | 0.234 |
| P/F mmHg, median (SD) | 346 (300–380) | 305 (291–367) | 397 (315–433) | 0.002 |
| Therapy | ||||
| Hydroxychloroquine, n (%) | 26 (100) | 15 (100) | 11 (100) | NA |
| Azithromycin, n (%) | 24 (92) | 14 (93) | 10 (91) | 0.9999 |
| Steroid, n (%) | 7(30) | 6 (40) | 1 (9) | 0.0778 |
| Heparin, n (%) | 19 (73) | 10 (67) | 9 (82) | 0.6576 |
| Baseline laboratory variables | ||||
| WBC, 109/L (IQ range) | 7.43 (6.40–9.87) | 6.66 (6.33–9.74) | 8.14 (6.86–9.83) | 0.4824 |
| Neutrophils, 109/L (IQ range) | 5.94 (4.90–7.36) | 5.60 (4.95–9.80) | 6.90 (5.00–7.36) | 0.123 |
| Lymphocytes, 109/L (IQ range) | 0.82 (0.32–0.36) | 0.80 (0.31–0.72) | 0.64 (0.30–0.70) | 0.159 |
| Eosinophils, 109/L (IQ range) | 0.029 (0.02–0.07) | 0.030 (0.02–0.07) | 0.039 (0.03–0.07) | 0.484 |
| NLR (IQ range) | 5,73 (4.20–9.04) | 6.03 (4.12–9.32) | 5.52 (4.08–9.80) | 0.977 |
| PLR (IQ range) | 156.30 (62.31–285.20) | 154.50 (47.08–277.00) | 166.10 (104.20–304.0) | 0.530 |
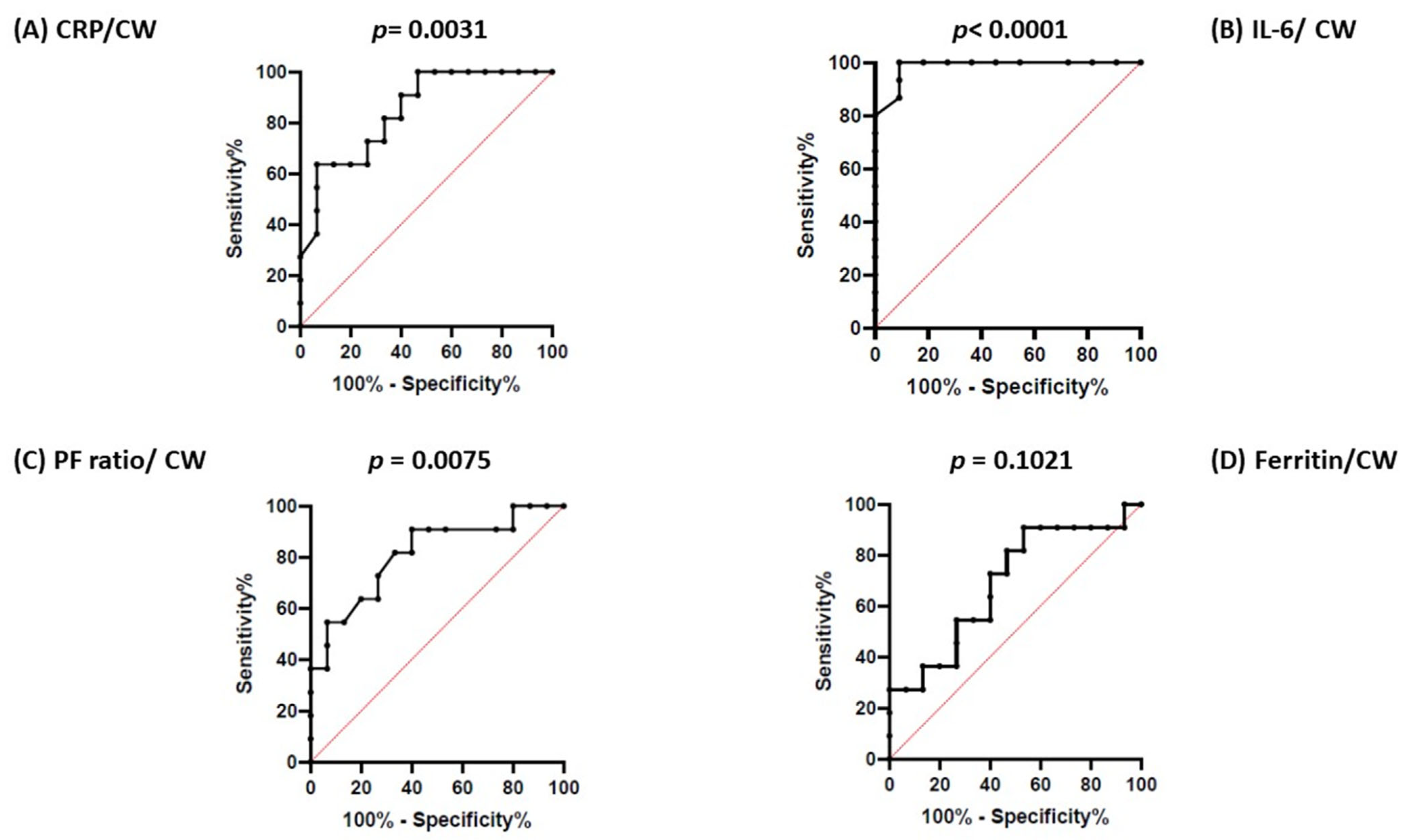
| IL6/L (IQ range) | 25.00 (8.00–117.00) | 85.00 (29.00–312) | 8.00 (4.00–17.25) | 0.0004 |
| CRP/Albumin (IQ range) | 0.18 (0.02–0.50) | 0.39 (0.15–0.65) | 0.02 (0.01–0.15) | 0.0006 |
| Hemoglobin, g/dL (IQ range) | 10.1 (9.1–11.60) | 10.2 (8.50–12.00) | 9.70 (9.10–10.98) | 0.385 |
| Platelet count, 109/L (IQ range) | 209 (138–325) | 169 (118–340) | 218 (192–319) | 0.250 |
| IL-6, mg/dL (IQ range) | 33.7 (15.05–151.50) | 103 (42.70–214.00) | 11 (6.32–21.77) | 0.001 |
| Ferritin, mg/dL (IQ range) | 488 (304–1119) | 753 (330–1174) | 404 (202–6.91) | 0.141 |
| CRP, mg/dL (IQ range) | 5.12 (0.70–13.41) | 8.19 (3.79–16.70) | 0.72 (0.42–4.96) | 0.001 |
| Days of hospitalization, n median (IQ range) | 33.9 (5.25–39.50) | 18.5 (4.50–43-50) | 32 (19.25–40.00) | 0.416 |
| Variables | Total (n = 26) | Survivors (n = 18) | Non-Survivors (n = 8) | p Value |
|---|---|---|---|---|
| Age, years | 70 ± 15 | 65 ± 16 | 81 ± 6 | 0.010 |
| Male, n (%) | 14 (54%) | 9 (50%) | 5 (62%) | 0.604 |
| Dialysis vintage, months (IQ range) | 26 (15.00–65.5) | 18 (6.00–35.50) (29.5) | 60(20.00–72.70) | 0.040 |
| Vascular access, type | ||||
| Arteriovenous fistula, n (%) | 13 (50.0%) | 10 (55.6%) | 3 (37.5%) | 0.395 |
| Central venous catheter, n (%) | 13 (50.0%) | 8 (44.4%) | 5 (62.5%) | 0.740 |
| Primary cause of ESRD | ||||
| Glomerulonephritis, n (%) | 2 (7.7%) | 2 (11.1%) | 0 | n.a. |
| Hypertensive nephropathy, n (%) | 8 (30.8%) | 4 (22.2%) | 4 (50.0%) | 0.151 |
| Diabetic nephropathy, n (%) | 2 (7.7%) | 2 (11.1%) | 0 | n.a. |
| Multiple myeloma, n (%) | 2 (7.7%) | 1 (5.6%) | 1 (12.5%) | 0.498 |
| Unknown, n (%) | 8 (30.8%) | 5 (27.7%) | 3 (37.5%) | 0.641 |
| Comorbidity | ||||
| Cardiovascular disease, n (%) | 26 (100%) | 18 (100%) | 8 (100%) | n.a. |
| Diabetes mellitus, n (%) | 14 (53.8%) | 8 (44.4%) | 6 (75.0%) | 0.149 |
| Cancer, n (%) | 10 (38.5%) | 6 (33.3%) | 4 (50.0%) | 0.214 |
| Obesity (BMI > 30 kg/m2), n | 7 (26.9%) | 6 (33.3%) | 1 (12.5%) | 0.269 |
| Charlson comorbidity index | 7 (7.0–8.0) | 8 (8.0–9.0) | 7.5 (7.0–8.5) | 0.112 |
| Onset symptoms | ||||
| Fever, n (%) | 15 (57.7%) | 10 (55.5%) | 5 (62.5%) | 0.740 |
| Cough, n (%) | 3 (11.5%) | 2 (11.1%) | 1 (12.5%) | 0.695 |
| Diarrhea or vomiting, n (%) | 1 (3.8%) | 1 (5.6%) | 0 | n.a. |
| Dyspnea, n (%) | 1 (3.8%) | 2 (11.1%) | 1 (12.5%) | 0.918 |
| Neurological worsening, n (%) | 1 (3.8%) | 1 (5.6%) | 0 | n.a. |
| Asymptomatic, n (%) | 5 (19.2%) | 3 (16.7%) | 2 (25.0%) | 0.618 |
| Admission HRCT | ||||
| Bilateral ground-glass opacity, n (%) | 21 (80.8%) | 15 (83.3%) | 8 (100%) | 0.152 |
| Unilateral ground-glass opacity, n (%) | 5 (19.2%) | 3 (16.7%) | 0 | n.a. |
| Admission P/F, mmHg | 346 (310–400) | 351 (350–428) | 321 (300–381) | 0.160 |
| Therapy | ||||
| Hydroxychloroquine, n (%) | 26 (100%) | 18 (100%) | 8 (100%) | n.a. |
| Azithromycin, n (%) | 24 (92.3%) | 17 (94.4%) | 7 (87.5%) | 0.524 |
| Tocilizumab, n (%) | 4 (15.4%) | 4 (22.2%) | 0 | n.a. |
| Steroids, n (%) | 7 (26.9%) | 5 (27.7%) | 2 (25.0%) | 0.880 |
| Heparin, n (%) | 19 (73.1%) | 14 (77.8%) | 5 (62.5%) | 0.417 |
| Baseline laboratory variables | ||||
| WBC, 109/L | 7.43 (6.40–9.87) | 7.26 (6.44–9.25) | 7.59 (6.34–9.93) | 0.447 |
| Neutrophils, 109/L | 5.94 (4.90–7.36) | 5.67 (5.00–7.11) | 6.56 (4.12–7.31) | 0.203 |
| Lymphocytes, 109/L | 0.82 (0.32–0.86) | 0.86 (0.30 -1.00) | 0.64 (0.41–0.68) | 0.155 |
| Eosinophils, 109/L | 0.029 (0.02–0.07) | 0.038 (0.030–0.042) | 0.012 (0.01–0.03) | 0.432 |
| NLR (IQ range) | 5.73 (4.20–9.04) | 5.43 (3.78–8.80) | 7.62 (4.86–10.07) | 0.2907 |
| PLR (IQ range) | 156.30 (62.31–285.20) | 175 (67.18–298.4) | 138 (53.88–250.8) | 0.4747 |
| IL6/L (IQ range) | 25.00 (8.00–117.00) | 187.50 (75.25–314.5) | 16.79 (3.72–42.63) | 0.0011 |
| CRP/Albumin (IQ range) | 0.18 (0.02–0.50) | 0.4665 (0.23–0.64) | 0.05120 (0.01–0.23) | 0.0087 |
| Hemoglobin, g/dL | 10.1 (9.1–11.60) | 9.8 (9.0–10.77) | 10.8 (8.8–13.3) | 0.170 |
| Platelet count, 109/L | 209 (138–325) | 262 (130–278) | 160 (150–210) | 0.003 |
| IL-6, mg/dL | 33.7 (15.05–151.50) | 23.4 (7.0–77.6) | 147.3 (84.43–225.44) | 0.006 |
| Ferritin, mg/dL | 488 (304–1119) | 434 (300–1221) | 664 (410–1188) | 0.191 |
| CRP, mg/dL | 5.12 (0.70–13.41) | 1.8 (0.70–5.50) | 15.6 (2.0–13.4) | 0.0001 |
| Hospital admission, n (%) | 25 (96%) | 17 (94%) | 8 (100%) | 0.496 |
| Length of hospitalization, days | 33.9 (5.25–39.50) | 44.7 (13.75–41.95) | 4.75 (2.75–7.00) | 0.0002 |
| A. Simple Logistic Regression Analysis | |||
| Variable | Odds ratio | 95% CI | p value |
| IL-6 | 1.291 | 1.069–2.083 | <0.001 |
| Age | 1.037 | 0.9865–1.101 | 0.1767 |
| Ferritin | 1.001 | −0.0003944–0.002539 | 0.2303 |
| CRP | 1.369 | 0.09503–0.6747 | 0.0009 |
| P/F ratio | 0.9674 | 0.9333–0.9885 | 0.0001 |
| PCT | 2.976 | 1.241–15.22 | 0.0842 |
| Albumin | 0.8484 | 0.6758–1,0.10 | 0.0662 |
| NLR | 1.038 | 0.9024–1.254 | 0.6084 |
| PLR | 1.000 | 0.9958–1.005 | 0.9468 |
| IL6/L | 1.102 | 1.027–1.289 | <0.0001 |
| CRP/Albumin | 58804 | 32.02–29465986936 | 0.0003 |
| B. Multiple logistic regression model 1 | |||
| Variable | Odds ratio | 95% CI | p value |
| IL-6 | 1.258 | 1.036 to 2.567 | 0.2585 |
| P/F ratio | 0.9780 | 0.8966 to 1.010 | 0.3360 |
| C. Multiple logistic regression model 2 | |||
| Variable | Odds ratio | 95% CI | p value |
| IL-6 | 1.019 | 1.004–1.044 | 0.0467 |
| NLR | 1.039 | 0.8924–1.288 | 0.6586 |
| D Multiple logistic regression model 3 | |||
| Variable | Odds ratio | 95% CI | p value |
| IL-6 | 1.356 | 1.073 2.608 | 0.1344 |
| PLR | 0.9893 | 0.9587–1.006 | 0.3199 |
| A. Simple Logistic Regression Analysis | |||
| Variable | Odds ratio | 95% CI | p value |
| IL-6 | 1.014 | 1.004–1.028 | 0.0053 |
| Age | 1.133 | 1.028–1.326 | 0.0057 |
| Ferritin | 1.001 | 0.9996–1.002 | 0.2517 |
| CRP | 1.424 | 1.158–2.044 | <0.0001 |
| P/F ratio | 1.001 | 0.9939–1.010 | 0.7768 |
| PCT | 1.082 | 0.7670–1.501 | 0.6120 |
| Albumin | 0.8898 | 0.7106–1.067 | 0.2160 |
| NLR | 1.016 | 0.8654–1.176 | 0.8256 |
| PLR | 0.9979 | 0.9911 to 1.003 | 0.4237 |
| IL6/L | 1.010 | 1.004 to 1.028 | 0.0018 |
| CRP/Albumin | 48.37 | 1.820–3619 | 0.0189 |
| B. Multiple logistic regression model | |||
| Variable | Odds ratio | 95% CI | p value |
| IL-6 | 1.040 | 1.013–1.094 | 0.0326 |
| Age | 1.014 | 1.090–1.975 | 0.0413 |
| C. Multiple logistic regression model | |||
| Variable | Odds ratio | 95% CI | p value |
| IL-6 | 1.021 | 1.008 to 1.041 | 0.0074 |
| PLR | 0.9977 | 0.9881 to 1.003 | 0.5336 |
| Arteriovenous fistula, n (%) | 4 (33.3%) |
| Central venous catheter, n (%) | 8 (66.7%) |
| Time, minutes | 223 ± 23 |
| Blood flow rate, mL/min | 291 ± 39 |
| Convective volume, mL/session | 16,459 ± 3411 |
| Ultrafiltration, mL/session | 2175 ± 712 |
Publisher’s Note: MDPI stays neutral with regard to jurisdictional claims in published maps and institutional affiliations. |
© 2022 by the authors. Licensee MDPI, Basel, Switzerland. This article is an open access article distributed under the terms and conditions of the Creative Commons Attribution (CC BY) license (https://creativecommons.org/licenses/by/4.0/).
Share and Cite
Donati, G.; Gasperoni, L.; Zappulo, F.; Scrivo, A.; Napoli, M.; Di Filippo, F.; Cappuccilli, M.; Mancini, R.; La Manna, G. Interleukin-6 and Outcome of Chronic Hemodialysis Patients with SARS-CoV-2 Pneumonia. Medicina 2022, 58, 1659. https://doi.org/10.3390/medicina58111659
Donati G, Gasperoni L, Zappulo F, Scrivo A, Napoli M, Di Filippo F, Cappuccilli M, Mancini R, La Manna G. Interleukin-6 and Outcome of Chronic Hemodialysis Patients with SARS-CoV-2 Pneumonia. Medicina. 2022; 58(11):1659. https://doi.org/10.3390/medicina58111659
Chicago/Turabian StyleDonati, Gabriele, Lorenzo Gasperoni, Fulvia Zappulo, Anna Scrivo, Marianna Napoli, Federica Di Filippo, Maria Cappuccilli, Rita Mancini, and Gaetano La Manna. 2022. "Interleukin-6 and Outcome of Chronic Hemodialysis Patients with SARS-CoV-2 Pneumonia" Medicina 58, no. 11: 1659. https://doi.org/10.3390/medicina58111659
APA StyleDonati, G., Gasperoni, L., Zappulo, F., Scrivo, A., Napoli, M., Di Filippo, F., Cappuccilli, M., Mancini, R., & La Manna, G. (2022). Interleukin-6 and Outcome of Chronic Hemodialysis Patients with SARS-CoV-2 Pneumonia. Medicina, 58(11), 1659. https://doi.org/10.3390/medicina58111659

