Clinical Outcomes of Single Versus Double Plating in Distal-Third Humeral Fractures Caused by Arm Wrestling: A Retrospective Analysis
Abstract
1. Introduction
2. Materials and Methods
2.1. Patient Population
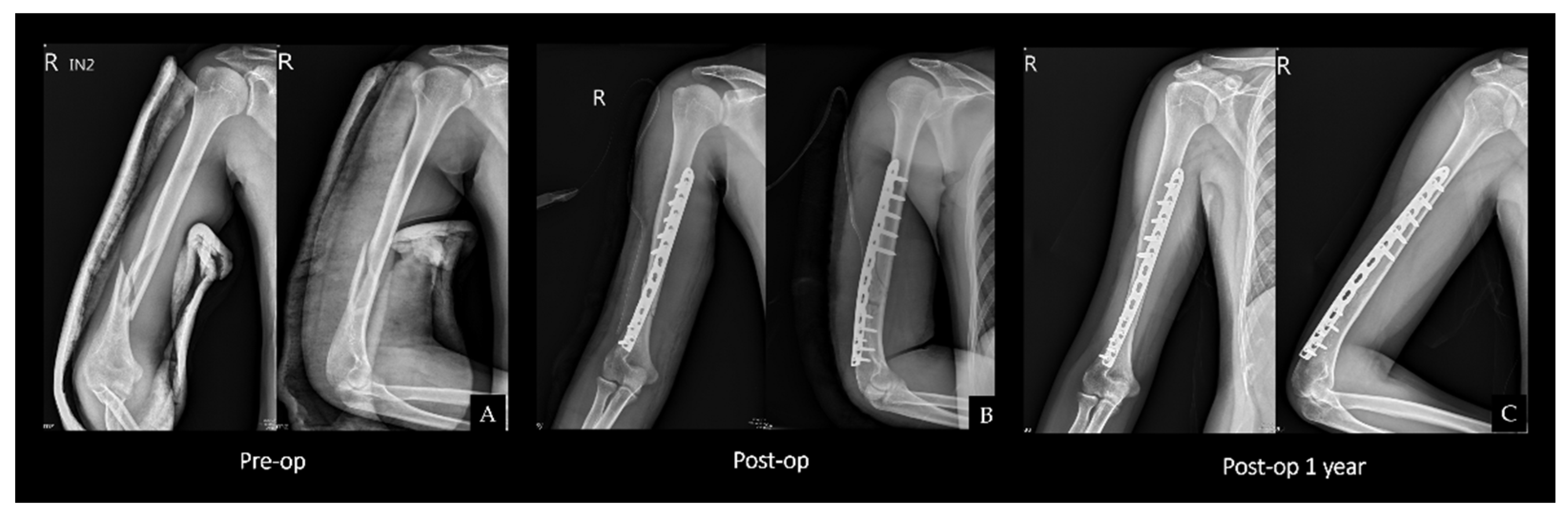
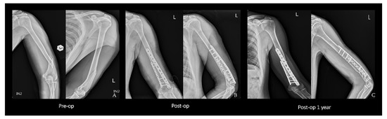
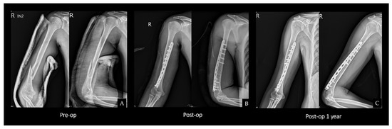
2.2. Surgical Technique
2.3. Double Plating
2.4. Single Plating
2.5. Postoperative Protocol
2.6. Variables, Data Sources, Measurement, Bias, and Study Size
2.7. Statistical Analysis
3. Results
4. Discussion
5. Conclusions
Author Contributions
Funding
Institutional Review Board Statement
Informed Consent Statement
Data Availability Statement
Conflicts of Interest
References
- Tytherleigh-Strong, G.; McQueen, M.M. The epidemiology of humeral shaft fractures. J. Bone Jt. Surg. Br. 1998, 80, 249–253. [Google Scholar] [CrossRef]
- Kruczyński, J.; Jaszczur Nowicki, J.; Topoliński, T.; Srokowski, G.; Mańko, G.; Chantsoulis, M.; Frankowska, M.; Frankowski, P. Radiological and biomechanical analysis of humeral fractures occurring during arm wrestling. Med. Sci. Monit. 2012, 18, Cr303–Cr307. [Google Scholar] [CrossRef] [PubMed]
- Bumbaširević, M.; Lešić, A.R.; Andjelković, S.Z.; Palibrk, T.D.; Milutinović, S.M. Fractures of the humerus during arm wrestling. Vojnosanit. Pregl. 2014, 71, 1144–1146. [Google Scholar] [CrossRef]
- Moloney, D.P.; Feeley, I.; Hughes, A.J.; Merghani, K.; Sheehan, E.; Kennedy, M. Injuries associated with arm wrestling: A narrative review. J. Clin. Orthop. Trauma 2021, 18, 30–37. [Google Scholar] [CrossRef]
- Mayfield, C.K.; Egol, K.A. Humeral fractures sustained during arm wrestling: A retrospective cohort analysis and review of the literature. Orthopedics 2018, 41, e207–e210. [Google Scholar] [CrossRef]
- Sirbu, P.D.; Berea, G.; Asaftei, R.; Tudor, R.; Sova, R.; Bodescu, A. OS3-25 Minimally invasive plate osteosynthesis by anterior approach: An alternative in distal humeral shaft fractures produced by arm wrestling. Injury 2016, 47 (Suppl. 10), S10. [Google Scholar] [CrossRef]
- Scolaro, J.A.; Hsu, J.; Svach, D.; Mehta, S. Plate selection for fixation of extra-articular distal humerus fractures: A biomechanical comparison of three different implants. Injury 2014, 45, 2040–2044. [Google Scholar] [CrossRef] [PubMed]
- Tejwani, N.C.; Murthy, A.; Park, J.; McLaurin, T.M.; Egol, K.A.; Kummer, F.J. Fixation of extra-articular distal humerus fractures using one locking plate versus two reconstruction plates: A laboratory study. J. Trauma 2009, 66, 795–799. [Google Scholar] [CrossRef]
- Brismar, B.; Spangen, L. Fracture of the humerus from arm wrestling. Acta Orthop. Scand. 1975, 46, 707–708. [Google Scholar] [CrossRef]
- Ogawa, K.; Ui, M. Humeral shaft fracture sustained during arm wrestling: Report on 30 cases and review of the literature. J. Trauma 1997, 42, 243–246. [Google Scholar] [CrossRef]
- Mahabier, K.C.; Vogels, L.M.; Punt, B.J.; Roukema, G.R.; Patka, P.; Van Lieshout, E.M. Humeral shaft fractures: Retrospective results of non-operative and operative treatment of 186 patients. Injury 2013, 44, 427–430. [Google Scholar] [CrossRef] [PubMed]
- Denard, A., Jr.; Richards, J.E.; Obremskey, W.T.; Tucker, M.C.; Floyd, M.; Herzog, G.A. Outcome of nonoperative vs operative treatment of humeral shaft fractures: A retrospective study of 213 patients. Orthopedics 2010, 33. [Google Scholar] [CrossRef]
- Meloy, G.M.; Mormino, M.A.; Siska, P.A.; Tarkin, I.S. A paradigm shift in the surgical reconstruction of extra-articular distal humeral fractures: Single-column plating. Injury 2013, 44, 1620–1624. [Google Scholar] [CrossRef] [PubMed]
- Moran, M.C. Modified lateral approach to the distal humerus for internal fixation. Clin. Orthop. Relat. Res. 1997, 340, 190–197. [Google Scholar] [CrossRef] [PubMed]
- Levy, J.C.; Kalandiak, S.P.; Hutson, J.J.; Zych, G. An alternative method of osteosynthesis for distal humeral shaft fractures. J. Orthop. Trauma 2005, 19, 43–47. [Google Scholar] [CrossRef] [PubMed]
- Gupta, A.K.; Samal, B.P.; Dalei, T.R. Functional and radiological outcome in distal third humerus fracture treated with extra-articular locking plate: A multicentric retrospective study. J. Pharm. Bioallied. Sci. 2021, 13, S1483–S1487. [Google Scholar] [CrossRef]
- Ali, N.; Ahmad Mir, N.; Ahmad Dar, T.; Nawaz Rather, M.; Ahmad Mir, W.S.S.; Maajid, S. Outcome of extra-articular distal humerus fractures fixed by single column extra-articular distal humerus locking compression plate using triceps sparing postero-lateral approach. Bull. Emerg. Trauma 2018, 6, 306–312. [Google Scholar] [CrossRef]
- Trikha, V.; Agrawal, P.; Das, S.; Gaba, S.; Kumar, A. Functional outcome of extra-articular distal humerus fracture fixation using a single locking plate: A retrospective study. J. Orthop. Surg. 2017, 25. [Google Scholar] [CrossRef]
- Kharbanda, Y.; Tanwar, Y.S.; Srivastava, V.; Birla, V.; Rajput, A.; Pandit, R. Retrospective analysis of extra-articular distal humerus shaft fractures treated with the use of pre-contoured lateral column metaphyseal LCP by triceps-sparing posterolateral approach. Strateg. Trauma Limb Reconstr. 2017, 12, 1–9. [Google Scholar] [CrossRef]
- Scolaro, J.A.; Voleti, P.; Makani, A.; Namdari, S.; Mirza, A.; Mehta, S. Surgical fixation of extra-articular distal humerus fractures with a posterolateral plate through a triceps-reflecting technique. J. Shoulder Elb. Surg. 2014, 23, 251–257. [Google Scholar] [CrossRef]
- Capo, J.T.; Debkowska, M.P.; Liporace, F.; Beutel, B.G.; Melamed, E. Outcomes of distal humerus diaphyseal injuries fixed with a single-column anatomic plate. Int. Orthop. 2014, 38, 1037–1043. [Google Scholar] [CrossRef] [PubMed]
- O’Driscoll, S.W. Optimizing stability in distal humeral fracture fixation. J. Shoulder Elb. Surg. 2005, 14, 186S–194S. [Google Scholar] [CrossRef] [PubMed]
- Leigey, D.F.; Farrell, D.J.; Siska, P.A.; Tarkin, I.S. Bicolumnar 90-90 plating of low-energy distal humeral fractures in the elderly patient. Geriatr. Orthop. Surg. Rehabil. 2014, 5, 122–126. [Google Scholar] [CrossRef] [PubMed]
- Korner, J.; Lill, H.; Müller, L.P.; Hessmann, M.; Kopf, K.; Goldhahn, J.; Gonschorek, O.; Josten, C.; Rommens, P.M. Distal humerus fractures in elderly patients: Results after open reduction and internal fixation. Osteoporos. Int. 2005, 16, S73–S79. [Google Scholar] [CrossRef] [PubMed]
- Watson, J.D.; Kim, H.; Becker, E.H.; Shorofsky, M.; Lerman, D.; O’Toole, R.V.; Eglseder, W.A.; Murthi, A.M. Are two plates necessary for extraarticular fractures of the distal humerus? Curr. Orthop. Pract. 2014, 25, 462–466. [Google Scholar] [CrossRef]
- Prasarn, M.L.; Ahn, J.; Paul, O.; Morris, E.M.; Kalandiak, S.P.; Helfet, D.L.; Lorich, D.G. Dual plating for fractures of the distal third of the humeral shaft. J. Orthop. Trauma 2011, 25, 57–63. [Google Scholar] [CrossRef] [PubMed]
- Illical, E.M.; Farrell, D.J.; Siska, P.A.; Evans, A.R.; Gruen, G.S.; Tarkin, I.S. Comparison of outcomes after triceps split versus sparing surgery for extra-articular distal humerus fractures. Injury 2014, 45, 1545–1548. [Google Scholar] [CrossRef] [PubMed]
- Yu, X.; Xie, L.; Wang, J.; Chen, C.; Zhang, C.; Zheng, W. Orthogonal plating method versus parallel plating method in the treatment of distal humerus fracture: A systematic review and meta-analysis. Int. J. Surg. 2019, 69, 49–60. [Google Scholar] [CrossRef]





| Group S | Group D | p-Value | |
|---|---|---|---|
| Numbers of patients | 18 | 16 | |
| Mean age (years) | 27.56 ± 6.04 | 28.88 ± 6.12 | 0.532 |
| Sex | 0.732 | ||
| Male | 15 (83.33%) | 14 (87.5%) | |
| Female | 3 (16.67%) | 2 (12.5%) | |
| BMI (kg/m2) | 24.78 ± 1.52 | 24.00 ± 1.27 | 0.117 |
| Side | 0.800 | ||
| Right | 12 | 10 | |
| Left | 6 | 6 | |
| Fracture type (AO/OTA classification) | 0.880 | ||
| AO12A1 | 13 | 12 | |
| AO12B1 | 3 | 3 | |
| AO12C1 | 2 | 1 | |
| Underlying disease | 0 | 0 |
| Group S | Group D | p-Value | |
|---|---|---|---|
| Operative time (min) | 155.56 ± 36.40 | 196.13 ± 56.70 | 0.017 |
| Blood loss (mL) | 205.56 ± 95.32 | 293.75 ± 125 | 0.026 |
| Blood transfusion | 0 | 0 | |
| Complication | 1 (5.56%) | 3 (18.75%) | <0.05 |
| Hospital stay (days) | 4.78 ± 0.65 | 4.38 ± 0.89 | 0.137 |
| Group S | Group D | p-Value | |
|---|---|---|---|
| Union rate | 100% | 100% | |
| Union time (days) | 90 ± 18.79 | 95 ± 16.33 | 0.416 |
| VAS | |||
| 2 weeks | 4.44 ± 0.86 | 5.50 ± 0.73 | 0.001 |
| 1 month | 2.11 ± 0.58 | 4.00 ± 0.52 | <0.001 |
| 3 months | 1.33 ± 0.49 | 2.13 ± 0.34 | <0.001 |
| 1 year | 0.33 ± 0.49 | 0.38 ± 0.50 | 0.807 |
| ROM (3 months) | |||
| Flexion (°) | 118.33 ± 13.28 | 116.88 ± 17.31 | 0.783 |
| Extension (°) | 8.89 ± 12.31 | 6.25 ± 5.63 | 0.437 |
| ROM (6 months) | |||
| Flexion (°) | 136.67 ± 10.85 | 133.75 ± 8.47 | 0.393 |
| Extension (°) | 3.89 ± 4.71 | 2.5 ± 2.58 | 0.303 |
| ASES | |||
| 2 weeks | 84.50 ± 5.01 | 61.70 ± 12.53 | <0.001 |
| 1 month | 96.20 ± 2.63 | 84.25 ± 14.56 | 0.002 |
| 3 months | 100 | 94.76 ± 9.71 | 0.029 |
| 1 year | 100 | 98.54 ± 3.99 | 0.13 |
| Author | Year | Study Type | Management | Case Number | Conclusion |
|---|---|---|---|---|---|
| Gupta et al. [16] | 2021 | Retrospective study | EADHP | 100 | Complete union within 3 months: 95% Mean flexion: 123 ± 22° Mean extension: 4.031 ± 6.50° |
| Ali et al. [17] | 2018 | Prospective study | EADHP | 20 | Union time: 17.4 weeks Mean flexion: 127 ± 12.07° |
| Trikha et al. [18] | 2017 | Retrospective study | EADHP | 36 | Complete union within 3 months: 94.44% Mean flexion: 122.9 ± 23° Mean extension: 4.03 ± 6.5° |
| Kharbanda et al. [19] | 2016 | Retrospective study | EADHP | 20 | Mean time to union: 12 weeks Mean flexion: 125° |
| Scolaro et al. [20] | 2014 | Retrospective study | 3.5-mm PL LCP | 40 | Achieved union: 95% Reoperation rate: 20% |
| Capo et al. [21] | 2014 | Retrospective study | EADHP | 19 | Union time: 7.3 months Mean flexion: 126° Mean extension: 7° |
| Meloy et al. [13] | 2013 | Retrospective comparative study | Double-column plating vs. single pre-contoured PL LCP | 105 | Single plating offers similar union rates and has significantly fewer complications with improved elbow range of motion |
| Mark L. Prasarn [26] | 2011 | Retrospective study | EADHP + 3.3/2.7-mm pelvic recon plate | 15 | Time to union: 11.5 weeks Mean elbow flexion: 4° Mean extension: 131° Reoperation rate: 13.3% |
| Watson et al. [25] | 2014 | Biomechanical study | Standard pre-contoured two-plate locked construct vs. single laterally-placed locked plate | NA | A single plate is biomechanically equivalent to two pre-contoured plates |
| Scolaro et al. [7] | 2014 | Biomechanical study | 9-hole medial and lateral 3.5 mm DH LCP vs. 6-hole PL LCP | NA | Average bending stiffness and torsional stiffness were significantly greater in 6-hole posterolateral plate |
| Tejwani et al. [8] | 2009 | Biomechanical study | One LCP vs. Two reconstruction plates | NA | Double plating provides a more rigid fixation |
Publisher’s Note: MDPI stays neutral with regard to jurisdictional claims in published maps and institutional affiliations. |
© 2022 by the authors. Licensee MDPI, Basel, Switzerland. This article is an open access article distributed under the terms and conditions of the Creative Commons Attribution (CC BY) license (https://creativecommons.org/licenses/by/4.0/).
Share and Cite
Mao, J.-T.; Chang, H.-W.; Lin, T.-L.; Lin, I.-H.; Lin, C.-Y.; Hsu, C.-J. Clinical Outcomes of Single Versus Double Plating in Distal-Third Humeral Fractures Caused by Arm Wrestling: A Retrospective Analysis. Medicina 2022, 58, 1654. https://doi.org/10.3390/medicina58111654
Mao J-T, Chang H-W, Lin T-L, Lin I-H, Lin C-Y, Hsu C-J. Clinical Outcomes of Single Versus Double Plating in Distal-Third Humeral Fractures Caused by Arm Wrestling: A Retrospective Analysis. Medicina. 2022; 58(11):1654. https://doi.org/10.3390/medicina58111654
Chicago/Turabian StyleMao, Jui-Ting, Hao-Wei Chang, Tsung-Li Lin, I-Hao Lin, Chia-Yu Lin, and Chin-Jung Hsu. 2022. "Clinical Outcomes of Single Versus Double Plating in Distal-Third Humeral Fractures Caused by Arm Wrestling: A Retrospective Analysis" Medicina 58, no. 11: 1654. https://doi.org/10.3390/medicina58111654
APA StyleMao, J.-T., Chang, H.-W., Lin, T.-L., Lin, I.-H., Lin, C.-Y., & Hsu, C.-J. (2022). Clinical Outcomes of Single Versus Double Plating in Distal-Third Humeral Fractures Caused by Arm Wrestling: A Retrospective Analysis. Medicina, 58(11), 1654. https://doi.org/10.3390/medicina58111654

