Protective Effects of Phosphatidylcholine against Hepatic and Renal Cell Injury from Advanced Glycation End Products
Abstract
1. Introduction
2. Materials and Methods
2.1. Chemicals
2.2. Cell Culture
2.3. Cell Viability Assays
2.4. Intracellular ROS Determination
2.5. Western Blotting
2.6. Statistical Analysis
3. Results
3.1. PC Attenuates ROS Production in AGEs-Induced in HepG2 and HK2 Cells
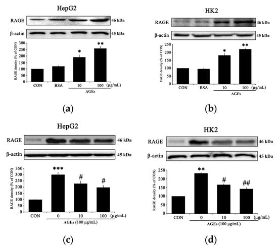
3.2. PC Regulates RAGE Expression in AGEs-Treated Cells
3.3. PC Downregulates Inflammatory Factors and NF-κB in AGEs-Treated Cells
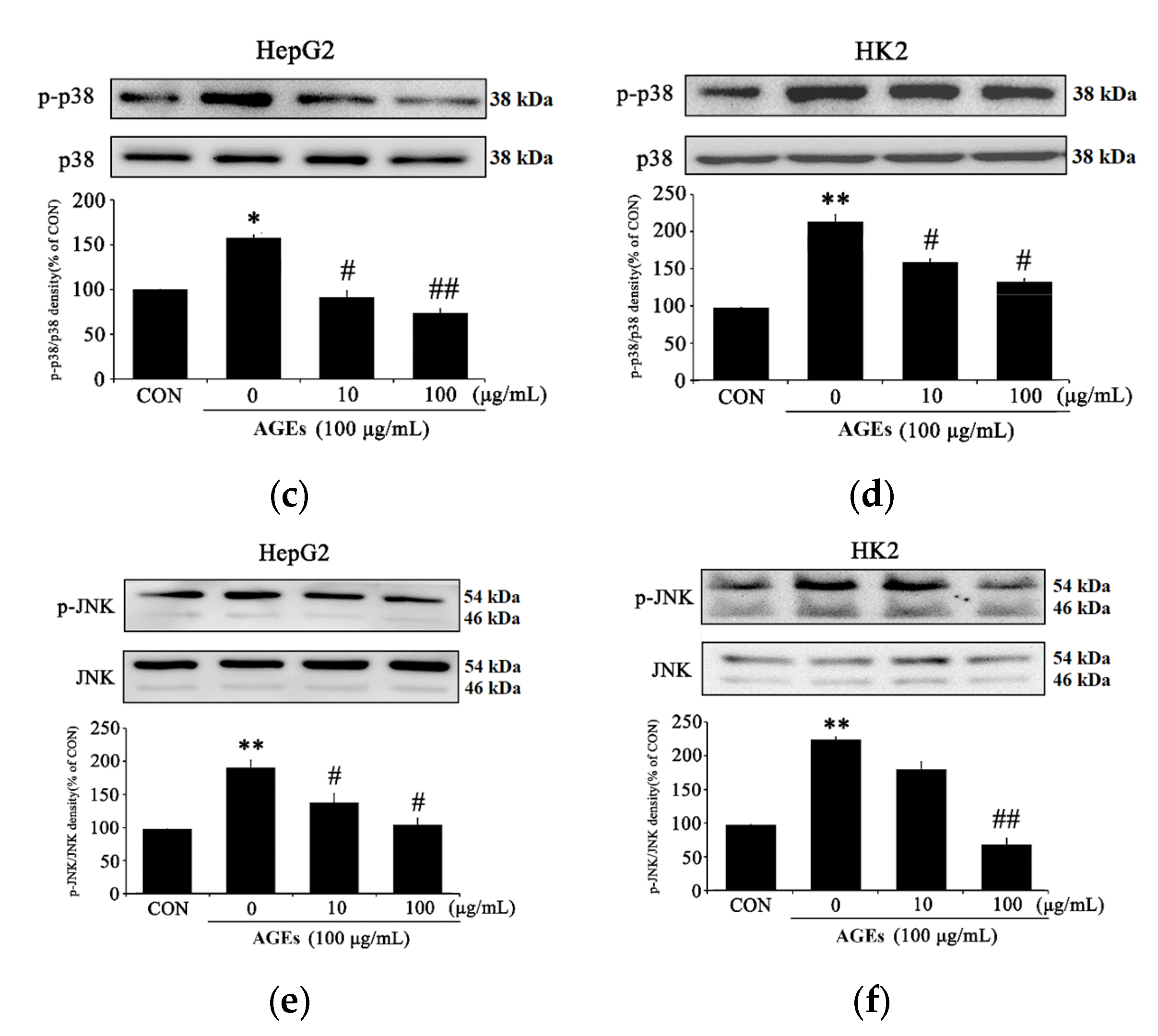
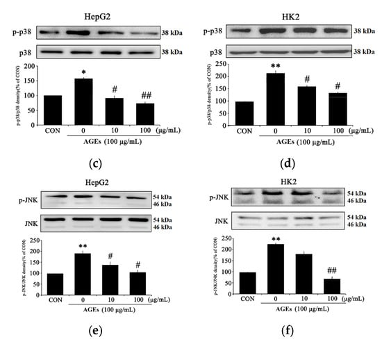
3.4. PC Downregulates p38MAPK Signaling in AGEs Treated Cells
4. Discussion
5. Conclusions
Author Contributions
Funding
Institutional Review Board Statement
Informed Consent Statement
Data Availability Statement
Conflicts of Interest
References
- Perrone, A.; Giovino, A.; Benny, J.; Martinelli, F. Advanced glycation end products (AGEs): Biochemistry, signaling, analytical methods, and epigenetic effects. Oxid. Med. Cell. Longev. 2020, 2020, 3818196. [Google Scholar] [CrossRef] [PubMed]
- Uribarri, J.; Cai, W.; Peppa, M.; Goodman, S.; Ferrucci, L.; Striker, G.; Vlassara, H. Circulating glycotoxins and dietary advanced glycation endproducts: Two links to inflammatory response, oxidative stress, and aging. J. Gerontol. A Biol. Sci. Med. Sci. 2007, 62, 427–433. [Google Scholar] [CrossRef] [PubMed]
- Zhang, W.J.; Li, P.X.; Guo, X.H.; Huang, Q.B. Role of moesin, Src, and ROS in advanced glycation end product-induced vascular endothelial dysfunction. Microcirculation 2017, 24, e12358. [Google Scholar] [CrossRef] [PubMed]
- Hegab, Z.; Gibbons, S.; Neyses, L.; Nanasm, M.A. Role of advanced glycation end products in cardiovascular disease. World J. Cardiol. 2012, 26, 90–102. [Google Scholar] [CrossRef]
- Yamagishi, S.I.; Nakamura, K.; Matsui, T.; Noda, Y.; Imaizumi, T. Receptor for advanced glycation end products (RAGE): A novel therapeutic target for diabetic vascular complication. Curr. Pharm. Des. 2008, 14, 487–495. [Google Scholar] [CrossRef]
- Yamagishi, S.I. Role of advanced glycation end products (AGEs) and receptor for AGEs (RAGE) in vascular damage in diabetes. Exp. Gerontol. 2011, 46, 217–224. [Google Scholar]
- Takenaka, K.; Yamagishi, S.I.; Matsui, T.; Nakamura, K.; Imaizumi, T. Role of advanced glycation end products (AGEs) in thrombogenic abnormalities in diabetes. Curr. Neurovasc. Res. 2006, 3, 73–77. [Google Scholar] [CrossRef]
- Li, J.S.; Ji, T.; Su, S.L.; Zhu, Y.; Chen, X.L.; Shang, E.X.; Guo, S.; Qian, D.W.; Duan, J.A. Mulberry leaves ameliorate diabetes via regulating metabolic profiling and AGES/RAGE and p38/NF-κB pathway. J. Ethnopharmacol. 2022, 283, 114713. [Google Scholar] [CrossRef]
- Gándola, Y.B.; Pérez, S.E.; Irene, P.E.; Sotelo, A.I.; Miquet, J.G.; Corradi, G.R.; Carlucci, A.M.; Gonzalez, L. Mitogenic effects of phosphatidylcholine nanoparticles on MCF-7 breast cancer cells. Biomed Res. Int. 2014, 2014, 687037. [Google Scholar] [CrossRef]
- Chung, S.J.; Lee, C.H.; Lee, H.S.; Kim, S.T.; Sohn, U.D.; Park, E.S.; Bang, J.S.; Lee, J.H.; Chung, Y.H.; Jeong, J.H. The role of phosphatidylcholine and deoxycholic acid in inflammation. Life Sci. 2014, 108, 88–93. [Google Scholar] [CrossRef]
- Na, J.Y.; Song, K.; Kim, S.; Kwon, J. Hepatoprotective effect of phosphatidylcholine against carbon tetrachloride liver damage in mice. Biochem. Biophys. Res. Commun. 2015, 460, 308–313. [Google Scholar] [CrossRef] [PubMed]
- Federico, A.; Dallio, M.; Fabio, G.D.; Zarrelli, A.; Zappavigna, S.; Stiuso, P.; Tuccillo, C.; Caraglia, M.; Loguercio, C. Silybin-Phosphatidylcholine complex protects human gastric and liver cells from oxidative stress. In Vivo 2015, 29, 569–575. [Google Scholar] [PubMed]
- Ko, M.; Hattori, T.; Abdullah, M.; Gong, J.S.; Yamane, T.; Michikawa, M. Phosphatidylcholine protects neruons from toxic effects of amyloid β-protein in culture. Brain Res. 2016, 1642, 376–383. [Google Scholar] [CrossRef] [PubMed]
- Ramasamyu, R.; Yan, S.F.; Schmidt, A.M. Receptor for AGE (RAGE): Signaling mechanisms in the pathogenesis of diabetes and its complications. Ann. N. Y. Acad. Sci. 2011, 1243, 88–102. [Google Scholar] [CrossRef]
- Veloso, C.A.; Fernandes, J.S.; Volpe, C.M.O.; Fagundes-Netto, F.S.; Reis, J.S.; Chaves, M.M.; Nogueira-Machado, J.A. TLR4 and RAGE: Similar routes leading to inflammation in type 2 diabetic patients. Diabetes Metab. 2011, 37, 336–342. [Google Scholar] [CrossRef]
- Fukami, K.; Yamagishi, S.I.; Okuda, S. Role of AGEs-RAGE system in cardiovascular disease. Curr. Pharm. Des. 2014, 20, 2395–2402. [Google Scholar] [CrossRef]
- Yu, W.; Hu, X.; Wang, M. Pterostilbene inhibited advanced glycation end products (AGEs)-induced oxidative stress and inflammation by regulation of RAGE/MAPK/NF-κB in RAW264.7 cells. J. Funct. Foods 2018, 272, 272–279. [Google Scholar] [CrossRef]
- Kellow, N.J.; Coughlan, M.T. Effect of diet-derived advanced glycation end products on inflammation. Nutr. Rev. 2015, 73, 737–759. [Google Scholar] [CrossRef]
- Chang, Y.W.; Singh, K.P. Duration-dependent effects of nicotine exposure on growth and AKT activation in human kidney epithelial cells. Mol. Cell. Biochem. 2018, 448, 51–60. [Google Scholar] [CrossRef]
- Kaur, P.; Robin; Mehta, R.G.; Arora, S.; Singh, B. Progression of conventional hepatic cell culture model to bioengineered HepG2 cells for evaluation of herbal bioactivities. Biotechnol. Lett. 2018, 40, 881–893. [Google Scholar] [CrossRef]
- Qi, Q.M.; Xue, Y.C.; Lv, J.; Sun, D.; Du, J.X.; Cai, S.Q.; Li, Y.H.; Gu, T.C.; Wang, M.B. Ginkgolic acids induce HepG2 cell death via a combination of apoptosis, autophagy and the mitochondrial pathway. Oncol. Lett. 2018, 15, 6400–6408. [Google Scholar] [CrossRef]
- Shivananjappa, M.M.; Joshi, M.K. Influence of emblica officinalis aqueous extract on growth and antioxidant defense system of human hepatoma cell line (HepG2). Pharm. Biol. 2012, 50, 497–505. [Google Scholar] [CrossRef] [PubMed]
- Sanajou, D.; Haghjo, A.G.; Argani, H.; Aslani, S. AGE-RAGE axis blockade in diabetic nephropathy: Current status and future directions. Eur. J. Pharmacol. 2018, 833, 158–164. [Google Scholar] [CrossRef] [PubMed]
- Yamamoyo, Y.; Wamamoto, H. RAGE-mediated inflammation type 2 diabetes, and diabetic vascular complication. Front. Endocrinol. 2013, 4, 105. [Google Scholar]
- Goodwin, M.; Herath, C.; Jia, Z.; Leung, C.; Coughlan, M.T.; Forbes, J.; Angus, P. Advanced glycation end products augment experimental hepatic fibrosis. J. Gastroenterol. Hepatol. 2013, 28, 369–376. [Google Scholar] [CrossRef] [PubMed]
- Kuhla, A.; Norden, J.; Abshagen, K.; Menger, M.D.; Vollmar, B. RAGE blockade and hepatic microcirculation in experimental endotoxaemic liver failure. Br. J. Surg. 2013, 100, 1229–1239. [Google Scholar] [CrossRef]
- Rabbani, N.; Thornalley, P.J. Advanced glycation end products in the pathogenesis of chronic kidney disease. Kidney Int. 2018, 93, 803–813. [Google Scholar] [CrossRef]
- Ott, C.; Jacobs, K.; Haucke, E.; Santos, A.N.; Grune, T.; Simm, A. Role of advanced glycation end products in cellular signaling. Redox. Biol. 2014, 2, 411–429. [Google Scholar] [CrossRef]
- Hoefen, R.J.; Berk, B.C. The role of MAP kinases in endothelial activation. Vascul. Pharmacol. 2002, 38, 271–273. [Google Scholar] [CrossRef]
- Liang, Y.J.; Chen, S.A.; Jian, J.H. Peroxisome proliferator-activated receptor δ downregulates the expression of the receptor for advanced glycation end products and pro-inflammatory cytokines in the kidney of streptozotocin-induced diabetic mice. Eur. J. Pharm. Sci. 2011, 43, 65–70. [Google Scholar] [CrossRef]
- Deng, X.; Sun, L.; Lai, X.; Xiang, L.; Li, Q.; Zhang, W.; Zhang, L.; Sun, S. Tea polypeptide ameliorates diabetic nephropathy through RAGE and NF-κB signaling pathway in type 2 diabetes mice. J. Agric. Food Chem. 2018, 66, 11957–11967. [Google Scholar] [CrossRef] [PubMed]
- Cuzzocrea, S.; Salivemini, D. Molecular mechanisms involved in the reciprocal regulation of cyclooxygenase and nitric oxide synthase enzymes. Kidney Int. 2007, 71, 290–297. [Google Scholar] [CrossRef] [PubMed]






Publisher’s Note: MDPI stays neutral with regard to jurisdictional claims in published maps and institutional affiliations. |
© 2022 by the authors. Licensee MDPI, Basel, Switzerland. This article is an open access article distributed under the terms and conditions of the Creative Commons Attribution (CC BY) license (https://creativecommons.org/licenses/by/4.0/).
Share and Cite
Choi, J.; Song, I.; Lee, S.; You, M.; Kwon, J. Protective Effects of Phosphatidylcholine against Hepatic and Renal Cell Injury from Advanced Glycation End Products. Medicina 2022, 58, 1519. https://doi.org/10.3390/medicina58111519
Choi J, Song I, Lee S, You M, Kwon J. Protective Effects of Phosphatidylcholine against Hepatic and Renal Cell Injury from Advanced Glycation End Products. Medicina. 2022; 58(11):1519. https://doi.org/10.3390/medicina58111519
Chicago/Turabian StyleChoi, Jihye, Inbong Song, Sangmin Lee, Myungjo You, and Jungkee Kwon. 2022. "Protective Effects of Phosphatidylcholine against Hepatic and Renal Cell Injury from Advanced Glycation End Products" Medicina 58, no. 11: 1519. https://doi.org/10.3390/medicina58111519
APA StyleChoi, J., Song, I., Lee, S., You, M., & Kwon, J. (2022). Protective Effects of Phosphatidylcholine against Hepatic and Renal Cell Injury from Advanced Glycation End Products. Medicina, 58(11), 1519. https://doi.org/10.3390/medicina58111519

