Spinal Meningioma Surgery in Octogenarians: Functional Outcomes and Complications over a 2-Year Follow-Up Period
Abstract
1. Introduction
2. Materials and Methods
2.1. Study Design and Data Collection
2.2. Patient Characteristics
2.3. Statistical Analysis
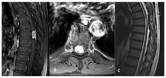
3. Results
3.1. Patient Demographic and Baseline Data
3.2. Surgical Characteristics and Clinical Scores
3.3. Complications
4. Discussion
4.1. Summary of Findings
4.2. Review of Literature
4.3. Limitations
5. Conclusions
Author Contributions
Funding
Institutional Review Board Statement
Informed Consent Statement
Data Availability Statement
Conflicts of Interest
References
- Helseth, A.; Mørk, S.J. Primary intraspinal neoplasms in Norway, 1955 to 1986: A population-based survey of 467 patients. J. Neurosurg. 1989, 71, 842–845. [Google Scholar] [CrossRef] [PubMed]
- Levy, W.J.; Bay, J.; Dohn, D. Spinal cord meningioma. J. Neurosurg. 1982, 57, 804–812. [Google Scholar] [CrossRef] [PubMed]
- Cooper, P.R.; Epstein, F.J. Radical resection of intramedullary spinal cord tumors in adults. Recent experience in 29 patients. J. Neurosurg. 1985, 63, 492–499. [Google Scholar] [CrossRef]
- Bull, J.W.D. Spinal Meningiomas and Neurofibromas. Acta Radiol. 1953, 40, 283–300. Available online: https://journals.sagepub.com/doi/abs/10.1177/028418515304000222 (accessed on 30 June 2022). [CrossRef] [PubMed]
- King, A.; Sharr, M.M.; Gullan, R.W.; Bartlett, J.R. Spinal meningiomas: A 20-year review. Br. J. Neurosurg. 1998, 12, 521–526. [Google Scholar] [CrossRef] [PubMed]
- Iacoangeli, M.; Gladi, M.; Rienzo, D.; Dobran, M.; Alvaro, L.; Nocchi, N.; Di Somma, L.G.M.; Colasanti, R.; Scerrati, M. Minimally invasive surgery for benign intradural extramedullary spinal meningiomas: Experience of a single institution in a cohort of elderly patients and review of the literature. Clin. Interv. Aging 2012, 7, 557–564. [Google Scholar] [CrossRef] [PubMed]
- Kshettry, V.R.; Hsieh, J.K.; Ostrom, Q.T.; Kruchko, C.; Benzel, E.C.; Barnholtz-Sloan, J.S. Descriptive Epidemiology of Spinal Meningiomas in the United States. Spine 2015, 40, E886–E889. [Google Scholar] [CrossRef] [PubMed]
- Ambekar, S.; Sharma, M.; Kukreja, S.; Nanda, A. Complications and outcomes of surgery for spinal meningioma: A Nationwide Inpatient Sample analysis from 2003 to 2010. Clin. Neurol. Neurosurg. 2014, 118, 65–68. [Google Scholar] [CrossRef]
- Sacko, O.; Haegelen, C.; Mendes, V.; Brenner, A.; Sesay, M.; Brauge, D.; Lagarrigue, J.; Loiseau, H.; Roux, F.-E. Spinal meningioma surgery in elderly patients with paraplegia or severe paraparesis: A multicenter study. Neurosurgery 2009, 64, 503–510. [Google Scholar] [CrossRef]
- Capo, G.; Moiraghi, A.; Baro, V.; Tahhan, N.; Delaidelli, A.; Saladino, A.; Paun, L.; DiMeco, F.; Denaro, L.; Meling, T.R.; et al. Surgical Treatment of Spinal Meningiomas in the Elderly (≥75 Years): Which Factors Affect the Neurological Outcome? An International Multicentric Study of 72 Cases. Cancers 2022, 14, 4790. [Google Scholar] [CrossRef]
- Morandi, X.; Haegelen, C.; Riffaud, L.; Amlashi, S.; Adn, M.; Brassier, G. Results in the Operative Treatment of Elderly Patients with Spinal Meningiomas. Spine 2004, 29, 2191–2194. [Google Scholar] [CrossRef]
- Sacko, O.; Rabarijaona, M.; Loiseau, H. Spinal meningioma surgery after 75 years of age. Neurochirurgie 2008, 54, 512–516. [Google Scholar] [CrossRef]
- De Groot, V.; Beckerman, H.; Lankhorst, G.; Bouter, L.M. How to measure comorbidity: A critical review of available methods. J. Clin. Epidemiol. 2003, 56, 221–229. [Google Scholar] [CrossRef]
- Deyo, R.A.; Cherkin, D.C.; Ciol, M.A. Adapting a clinical comorbidity index for use with ICD-9-CM administrative databases. J. Clin. Epidemiol. 1992, 45, 613–619. [Google Scholar] [CrossRef]
- McCormick, P.C.; Torres, R.; Post, K.D.; Stein, B.M. Intramedullary ependymoma of the spinal cord. J. Neurosurg. 1990, 72, 523–532. [Google Scholar] [CrossRef]
- Simpson, D. The recurrence of intracranial meningiomas after surgical treatment. J. Neurol. Neurosurg. Psychiatry 1957, 20, 22–39. [Google Scholar] [CrossRef]
- Saraceni, C.; Harrop, J.S. Spinal meningioma: Chronicles of contemporary neurosurgical diagnosis and management. Clin. Neurol. Neurosurg. 2009, 111, 221–226. [Google Scholar] [CrossRef]
- Audisio, R.A.; Ramesh, H.; Longo, W.E.; Zbar, A.P.; Pope, D. Preoperative Assessment of Surgical Risk in Oncogeriatric Patients. Oncologist 2005, 10, 262–268. [Google Scholar] [CrossRef]
- Covert, C.R.; Fox, G.S. Anaesthesia for hip surgery in the elderly. Can. J. Anaesth. 1989, 36, 311–319. [Google Scholar] [CrossRef]
- Cavanaugh, D.A.; Jawahar, A.; Lee, J.A.; Wilkinson, K.; Kerr, E.J.; Nunley, P.D. Intraspinal meningioma in a 101-year old: Should age determine the aggressiveness of intervention? Surg. Neurol. 2008, 69, 130–134. [Google Scholar] [CrossRef]
- Engel, D.C.; Gawellek, L.; Peraio, S.; Stanojevic, M.; Tatagiba, M.; Ebner, F.H. Spinal meningioma surgery in the elderly: Who can benefit from it? J. Neurosurg. Sci. 2021, 65, 408–413. [Google Scholar] [CrossRef]
- Sandalcioglu, I.E.; Hunold, A.; Müller, O.; Bassiouni, H.; Stolke, D.; Asgari, S. Spinal meningiomas: Critical review of 131 surgically treated patients. Eur. Spine J. 2008, 17, 1035–1041. [Google Scholar] [CrossRef]
- Champeaux-Depond, C.; Penet, N.; Weller, J.; Le Huec, J.-C.; Jecko, V. Functional Outcome After Spinal Meningioma Surgery. A Nationwide Population-Based Study. Neurospine 2022, 19, 96–107. [Google Scholar] [CrossRef]
- Setzer, M.; Vatter, H.; Marquardt, G.; Seifert, V.; Vrionis, F.D. Management of spinal meningiomas: Surgical results and a review of the literature. Neurosurg. Focus 2007, 23, E14. [Google Scholar] [CrossRef]
- Whitmore, R.G.; Stephen, J.H.; Vernick, C.; Campbell, P.G.; Yadla, S.; Ghobrial, G.M.; Maltenfort, M.G.; Ratliff, J.K. ASA grade and Charlson Comorbidity Index of spinal surgery patients: Correlation with complications and societal costs. Spine J. 2014, 14, 31–38. [Google Scholar] [CrossRef]
- Hohenberger, C.; Gugg, C.; Schmidt, N.O.; Zeman, F.; Schebesch, K.-M. Functional outcome after surgical treatment of spinal meningioma. J. Clin. Neurosci. 2020, 77, 62–66. [Google Scholar] [CrossRef]
- Kwee, L.; Harhangi, B.; Ponne, G.; Kros, J.; Dirven, C.; Dammers, R. Spinal meningiomas: Treatment outcome and long-term follow-up. Clin. Neurol. Neurosurg. 2020, 198, 106238. [Google Scholar] [CrossRef]
- Cohen-Gadol, A.A.; Zikel, O.M.; Koch, C.A.; Scheithauer, B.W.; Krauss, W.E. Spinal meningiomas in patients younger than 50 years of age: A 21-year experience. J. Neurosurg. Spine 2003, 98, 258–263. [Google Scholar] [CrossRef]
- Nakamura, M.; Tsuji, O.; Fujiyoshi, K.; Hosogane, N.; Watanabe, K.; Tsuji, T.; Ishii, K.; Toyama, Y.; Chiba, K.; Matsumoto, M. Long-Term Surgical Outcomes of Spinal Meningiomas. Spine 2012, 37, E617–E623. [Google Scholar] [CrossRef]
- Riad, H.; Knafo, S.; Segnarbieux, F.; Lonjon, N. Spinal meningiomas: Surgical outcome and literature review. Neurochirurgie 2013, 59, 30–34. [Google Scholar] [CrossRef]
- Safavi-Abbasi, S.; Senoglu, M.; Theodore, N.; Workman, R.K.; Gharabaghi, A.; Feiz-Erfan, I.; Spetzler, R.F.; Sonntag, V.K.H. Microsurgical management of spinal schwannomas: Evaluation of 128 cases. J. Neurosurg. Spine 2008, 9, 40–47. [Google Scholar] [CrossRef] [PubMed]
- Goodarzi, A.; Clouse, J.; Capizzano, T.; Kim, K.D.; Panchal, R. The Optimal Surgical Approach to Intradural Spinal Tumors: Laminectomy or Hemilaminectomy? Cureus 2020, 12, e7084. [Google Scholar] [CrossRef] [PubMed]
- Pompili, A.; Caroli, F.; Crispo, F.; Giovannetti, M.; Raus, L.; Vidiri, A.; Telera, S. Unilateral Laminectomy Approach for the Removal of Spinal Meningiomas and Schwannomas: Impact on Pain, Spinal Stability, and Neurologic Results. World Neurosurg. 2015, 85, 282–291. [Google Scholar] [CrossRef] [PubMed]

| Characteristic | Value |
|---|---|
| Number of patients | 30 |
| Age, years (mean, SD) | 82.6 (1.2) |
| Sex (n, %) | |
| Male | 11 (36.7) |
| Female | 19 (63.3) |
| Body mass index, kg/m2 (mean, SD) | 25.6 (4.3) |
| Comorbidities | |
| Age-adjusted CCI score (mean, SD) | 8.9 (1.6) |
| Arterial hypertension (n, %) | 24 (80.0) |
| Myocardial infarction (n, %) | 15 (50.0) |
| Coronary heart disease (n, %) | 19 (63.3) |
| Atrial fibrillation (n, %) | 14 (46.7) |
| Heart failure (n, %) | 9 (30.0) |
| COPD (n, %) | 6 (20.0) |
| Diabetes mellitus Type II (n, %) | 6 (20.0) |
| Renal failure (n, %) | 9 (30.0) |
| Liver disease (n, %) | 7 (23.3) |
| Gastrointestinal ulcer (n, %) | 5 (16.7) |
| TIA/stroke (n, %) | 8 (26.7) |
| Malignancy (n, %) | 3 (10.0) |
| Dementia (n, %) | 8 (26.7) |
| Previous spinal surgery (n, %) | 1 (3.3) |
| ASA class (n, %) | |
| II | 10 (33.3) |
| III | 20 (66.7) |
| Location (n, %) | |
| Thoracic | 25 (83.3) |
| Lumbar | 5 (16.7) |
| Preoperative MS (mean, SD) | 85.9 (12.3) |
| Modified McCormick Score (mMCS; n, %) | |
| mMCS 1 | 6 (20.0) |
| mMCS 2 | 3 (10.0) |
| mMCS 3 | 7 (23.3) |
| mMCS 4 | 8 (26.7) |
| mMCS 5 | 6 (20.0) |
| Histology (n, %) | |
| WHO I° | 27.0 (90.0) |
| WHO II° | 3 (10.0) |
| Characteristic | Value |
|---|---|
| Surgical duration, minutes | 190.3 (67.4) |
| Number of levels decompressed | 1.5 (0.7) |
| Estimated blood loss, mL | 433.3 (36.1) |
| Hospital stay, days | 11.2 (1.4) |
| ICU stay, days | 0.5 (0.2) |
| Mortality | |
| In-hospital (n, %) | 2 (6.7) |
| 90-day (n, %) | 3 (10.0) |
| 30-day readmission (n, %) | 3 (10.0) |
| MS | 93.6 (8.3) |
| Modified McCormick Score (mMCS; n, %) | |
| mMCS 1 | 13 (43.3) |
| mMCS 2 | 12 (40.0) |
| mMCS 3 | 3 (10.0) |
| mMCS 4 | 2 (6.7) |
| mMCS 5 | 0 (0.0) |
| Simpson Grade (n, %) | |
| 1 | 0 (0.0) |
| 2 | 25 (83.3) |
| 3 | 5 (16.7) |
| 4 | 0 (0.0) |
| 5 | 0 (0.0) |
| Event | Number of Patients (%) |
|---|---|
| CSF leakage | 1 (3.3) |
| Pulmonary embolism | 3 (10.0) |
| Acute heart failure | 5 (16.7) |
| Acute renal failure | 3 (10.0) |
| Pneumonia | 4 (13.3) |
| Urinary tract infection | 5 (16.7) |
| Decompression Baseline (n = 30) | Decompression Discharge (n = 30) | p-Value | |
|---|---|---|---|
| MS | 85.9 (12.3) | 93.6 (8.3) | <0.001 |
| mMCS | 3.2 (1.4) | 1.8 (0.9) | <0.001 |
| Risk Factor | OR (% 95 CI) | p-Value |
|---|---|---|
| Age-adjusted CCI score | 2.1 (1.1–4.3) | 0.004 |
| Preoperative MS | 1.1 (0.9–1.2) | 0.841 |
| Preoperative mMCS | 1.3 (0.5–3.6) | 0.624 |
| Duration of surgery | 1.0 (0.9–1.1) | 0.999 |
| Estimated blood loss | 1.1 (0.9–1.2) | 0.996 |
| Number of levels decompressed | 3.7 (1.5–4.5) | 0.226 |
| Length of hospital stay | 1.4 (1.2–3.2) | 0.444 |
| n | Age, y (Mean) | Functional Outcome (% of Improvement) | Recurrence Rates | Reoperation | |
|---|---|---|---|---|---|
| (Nakamura et al., 2012) [29] | 68 | 56 | Not applicable | 35.0% (age < 50 y) | 17.6% |
| (Cohen-Gadol et al., 2003) [28] | 40 | 34.5 | 82.0% | 22.5% | 22.5% |
| (Sacko et al., 2009) [9] | 102 | 74.6 | 91.2 | 1.0% | 0.0% |
| (Kwee et al., 2020) [27] | 166 | 66 | 73.0% | 7.2% | 12.0% |
| (Hohenberger et al., 2020) [26] | 45 | 63 | 80.0% | None | 0.0% |
| (Capo et al., 2022) [10] | 72 | 75 | 65.3% | None | None |
Publisher’s Note: MDPI stays neutral with regard to jurisdictional claims in published maps and institutional affiliations. |
© 2022 by the authors. Licensee MDPI, Basel, Switzerland. This article is an open access article distributed under the terms and conditions of the Creative Commons Attribution (CC BY) license (https://creativecommons.org/licenses/by/4.0/).
Share and Cite
Lenga, P.; Gülec, G.; Bajwa, A.A.; Issa, M.; Kiening, K.; Ishak, B.; Unterberg, A.W. Spinal Meningioma Surgery in Octogenarians: Functional Outcomes and Complications over a 2-Year Follow-Up Period. Medicina 2022, 58, 1481. https://doi.org/10.3390/medicina58101481
Lenga P, Gülec G, Bajwa AA, Issa M, Kiening K, Ishak B, Unterberg AW. Spinal Meningioma Surgery in Octogenarians: Functional Outcomes and Complications over a 2-Year Follow-Up Period. Medicina. 2022; 58(10):1481. https://doi.org/10.3390/medicina58101481
Chicago/Turabian StyleLenga, Pavlina, Gelo Gülec, Awais Akbar Bajwa, Mohammed Issa, Karl Kiening, Basem Ishak, and Andreas W. Unterberg. 2022. "Spinal Meningioma Surgery in Octogenarians: Functional Outcomes and Complications over a 2-Year Follow-Up Period" Medicina 58, no. 10: 1481. https://doi.org/10.3390/medicina58101481
APA StyleLenga, P., Gülec, G., Bajwa, A. A., Issa, M., Kiening, K., Ishak, B., & Unterberg, A. W. (2022). Spinal Meningioma Surgery in Octogenarians: Functional Outcomes and Complications over a 2-Year Follow-Up Period. Medicina, 58(10), 1481. https://doi.org/10.3390/medicina58101481

