Clear Cell Renal Cell Carcinoma, Diagnostic and Therapeutic Difficulties, Case Report and Literature Review
Abstract
:1. Introduction
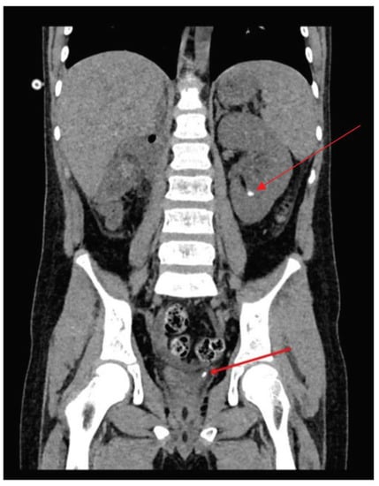
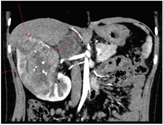
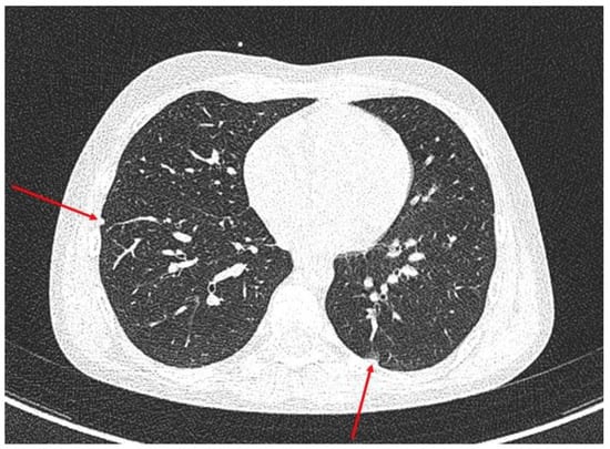
Case Report
2. Discussion
3. Conclusions
Author Contributions
Funding
Institutional Review Board Statement
Informed Consent Statement
Data Availability Statement
Conflicts of Interest
References
- Ambalavanan, M.; Geller, J.I. Treatment of advanced pediatric renal cell carcinoma. Pediatr. Blood Cancer 2019, 66, e27766. [Google Scholar] [CrossRef] [PubMed]
- Van der Beek, J.N.; Hol, J.A.; Coulomb-I’Hermine, A.; Graf, N.; van Tinteren, H.; Pritchard-Jones, K.; Houwing, M.E.; de Krijger, R.R.; Vujanic, G.M.; Dzhuma, K.; et al. Characteristics and outcome of pediatric renal cell carcinoma patients registered in the International Society of Pediatric Oncology (SIOP) 93-01, 2001 and UK-IMPORT database: A report of the SIOP-Renal Tumor Study Group. Int. J. Cancer 2021, 148, 2724–2735. [Google Scholar] [CrossRef] [PubMed]
- Van der Beek, J.N.; Geller, J.I.; de Krijger, R.R.; Graf, N.; Pritchard-Jones, K.; Drost, J.; Verschuur, A.C.; Murphy, D.; Ray, S.; Spreafico, F.; et al. Characteristics and Outcome of Children with Renal Cell Carcinoma: A Narrative Review. Cancers 2020, 12, 1776. [Google Scholar] [CrossRef] [PubMed]
- Sausville, J.E.; Hernandez, D.J.; Argani, P.; Gearhart, J.P. Pediatric renal cell carcinoma. J. Pediatr. Urol. 2009, 5, 308–314. [Google Scholar] [CrossRef] [PubMed]
- Uchiyama, M.; Iwafuchi, M.; Yagi, M.; Iinuma, Y.; Ohtaki, M.; Tomita, Y.; Hirota, M.; Kataoka, S.; Asami, K. Treatment of childhood renal cell carcinoma with lymph node metastasis: Two cases and a review of literature. J. Surg. Oncol. 2000, 75, 266–269. [Google Scholar] [CrossRef]
- Castellanos, R.D.; Aron, B.S.; Evans, A.T. Renal adenocarcinoma in children: Incidence, therapy and prognosis. J. Urol. 1974, 111, 534–537. [Google Scholar] [CrossRef]
- Bruce, J.; Gough, D.C.S. Long-term follow-up of children with renal carcinoma. Br. J. Urol. 1990, 65, 446–448. [Google Scholar] [CrossRef] [PubMed]
- Broecker, B. Renal cell carcinoma in children. Urology 1991, 18, 54–56. [Google Scholar] [CrossRef]
- Motzer, R.J.; Bander, N.H.; Nanus, D.M. Renal cell carcinoma. N. Engl. J. Med. 1996, 335, 865–875. [Google Scholar] [CrossRef] [PubMed]
- Craig, K.M.; Poppas, D.P.; Akhavan, A. Pediatric renal cell carcinoma. Curr. Opin. Urol. 2019, 29, 500–504. [Google Scholar] [CrossRef] [PubMed]
- Geller, J.I.; Dome, J.S. Local lymph node involvement does not predict poor outcome in pediatric renal cell carcinoma. Cancer 2004, 101, 1575–1583. [Google Scholar] [CrossRef] [PubMed]
- Geller, J.I.; Ehrlich, P.F.; Cost, N.G.; Khanna, G.; Mullen, E.A.; Gratias, E.J.; Naranjo, A.; Dome, J.S.; Perlman, E.J. Characterization of adolescent and pediatric renal cell carcinoma: A report from the Children’s Oncology Groug study ARENO3B2. Cancer 2003, 97, 2995–3002. [Google Scholar]
- Ray, S.; Jones, R.; Pritchard-Jones, K.; Dzhuma, K.; van den Heuvel-Eibrink, M.; Tytgat, G.; van der Beek, J.; Oades, G.; Murphy, D. Pediatric and young adult renal cell carcinoma. Pediatr. Blood Cancer 2020, 67, e28675. [Google Scholar] [CrossRef] [PubMed]
- Akhavan, A.; Richards, M.; Shnorhavorian, M.; Goldin, A.; Gow, K.; Merguerian, P.A. Renal cell carcinoma in children, adolescents and young adults: A National Cancer Database study. J. Urol. 2015, 193, 1336–1341. [Google Scholar] [CrossRef] [PubMed]
- Indolfi, P.; Bisogno, G.; Cecchetto, G.; Spreafico, F.; De Salvo, G.L.; Collini, P.; Jenkner, A.; Inserra, A.; Schiavetti, A.; Di Martino, M.; et al. Local lymph node involvement in pediatric renal cell carcinoma: A report from the Italian TREP project. Pediatr. Blood Cancer 2008, 51, 475–478. [Google Scholar] [CrossRef] [PubMed]
- Malouf, G.G.; Camparo, P.; Oudard, S.; Schleiermacher, G.; Theodore, C.; Rustine, A.; Dutcher, J.; Billemont, B.; Rixe, O.; Bompas, E.; et al. Targeted agents in metastatic Xp11 translocation/TFE 3 gene fusion renal cell carcinoma (RCC): A report from the juvenile RCC network. Ann. Oncol. 2010, 21, 1834–1838. [Google Scholar] [CrossRef] [PubMed]
- Chowdhury, T.; Prichard-Jones, K.; Sebire, N.J.; Bier, N.; Cherian, A.; Sullivan, M.O.; O’Meara, A.; Anderson, J. Persistent complete response after single-agent sunitinib treatment in case of TFE translocation positive relapsed metastatic pediatric renal cell carcinoma. J. Pediatr. Hematol. Oncol. 2017, 39, e279–e284. [Google Scholar] [CrossRef] [PubMed]
- Chimenz, R.; Cannavò, L.; Viola, V.; Di Benedetto, V.; Scuderi, M.G.; Pensabene, L.; Salvo, V.; D’Angelo, G.; Stroscio, G.; Impollonia, D.; et al. Pediatric urolithiasis. J. Biol. Regul. Homeost. Agents 2019, 33, 39–44. [Google Scholar] [PubMed]
- Marzuillo, P.; Guarino, S.; Apicella, A.; La Manna, A.; Polito, C. Why we need a higher suspicion index of urolithiasis in children. J. Pediatr. Urol. 2017, 13, 164–167. [Google Scholar] [CrossRef] [PubMed]



| CT Chest | CT/MRI Abdomen | PET CT | |
|---|---|---|---|
| Diagnosis | Right lung: 5 nodules (5 × 5 mm) Left lung: 2 nodules (4 × 5 mm) Left hilus: 2 lymph nodes (max size 16 mm). | CT and MRI: a tumour in the right kidney (81 × 81 × 104 mm), renal vein infiltration, tumour capsule rupture, right hepatic lobe infiltration, suspected metastases to the right adrenal gland and the peritoneum. ileocecal lymph node (15 × 5 mm) | confirmed active disease process in the same places as in CT/MRI |
| Follow up after kidney tumor resection and 2 cycles sunitinib 15 mg/m2 | unchanged size of previously described pulmonary lesions, but Right lung: a new single nodular lesion (10th segment) Right hilus: new 2 lymph nodes (10 × 10 and 20 × 11 mm) | Ileocecal lymph node PR (12 × 5 mm) | confirmed active disease process in the same places as in CT/MRI |
| Follow up after 8 cycles sunitinib 25 mg/m2 | Right lung: 3 nodules (3 × 4 mm) Left lung: 2 nodules (3 × 3 mm) Left hilus: 2 lymph nodes max size 10 mm Right hilus: 2 lymph nodes (10 × 5 and 15 × 11 mm) | Ileocecal lymph node SD (13 × 5 mm) | |
| Follow up after 13 cycles sunitinib 25 mg/m2 | Right lung: PD 3 nodules (max size 9 mm) Left lung: PD 2 nodules (max size 4 × 6 mm) Left hilus: SD Right hilus: SD | Ileocecal lymph node PD (12 × 19 mm) | |
| Follow up after 4 cycles of nivolumab 3 mg/kg mth | Right lung: PR 3 nodules (max size 5 mm) Left lung: PR 2 nodules (max 3 mm) | Ileocecal lymph nodes SD (13 × 19 mm) | Partial metabolic regression |
| Follow up after 18 cycles nivolumab 3 mg/kg mth | Right lung: PR 3 nodules (max 3 mm) Left lung SD Left, right hilus lymph nodes: SD | CR | Complete metabolic regression all showed places |
Publisher’s Note: MDPI stays neutral with regard to jurisdictional claims in published maps and institutional affiliations. |
© 2022 by the authors. Licensee MDPI, Basel, Switzerland. This article is an open access article distributed under the terms and conditions of the Creative Commons Attribution (CC BY) license (https://creativecommons.org/licenses/by/4.0/).
Share and Cite
Stolpa, W.; Stręk-Cholewińska, A.; Mizia-Malarz, A. Clear Cell Renal Cell Carcinoma, Diagnostic and Therapeutic Difficulties, Case Report and Literature Review. Medicina 2022, 58, 1329. https://doi.org/10.3390/medicina58101329
Stolpa W, Stręk-Cholewińska A, Mizia-Malarz A. Clear Cell Renal Cell Carcinoma, Diagnostic and Therapeutic Difficulties, Case Report and Literature Review. Medicina. 2022; 58(10):1329. https://doi.org/10.3390/medicina58101329
Chicago/Turabian StyleStolpa, Weronika, Angelika Stręk-Cholewińska, and Agnieszka Mizia-Malarz. 2022. "Clear Cell Renal Cell Carcinoma, Diagnostic and Therapeutic Difficulties, Case Report and Literature Review" Medicina 58, no. 10: 1329. https://doi.org/10.3390/medicina58101329
APA StyleStolpa, W., Stręk-Cholewińska, A., & Mizia-Malarz, A. (2022). Clear Cell Renal Cell Carcinoma, Diagnostic and Therapeutic Difficulties, Case Report and Literature Review. Medicina, 58(10), 1329. https://doi.org/10.3390/medicina58101329
