Duodenal Ulcer with Massive Gastrointestinal Hemorrhage as an Initial Manifestation in Multiple Myeloma with Extramedullary Disease: A Case Report
Abstract
1. Introduction
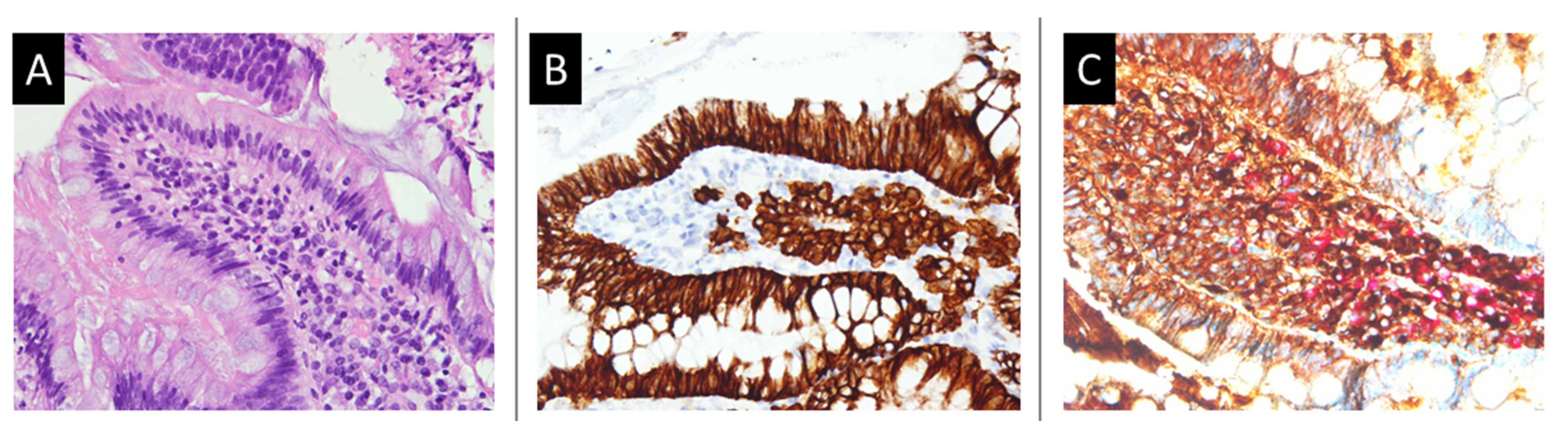
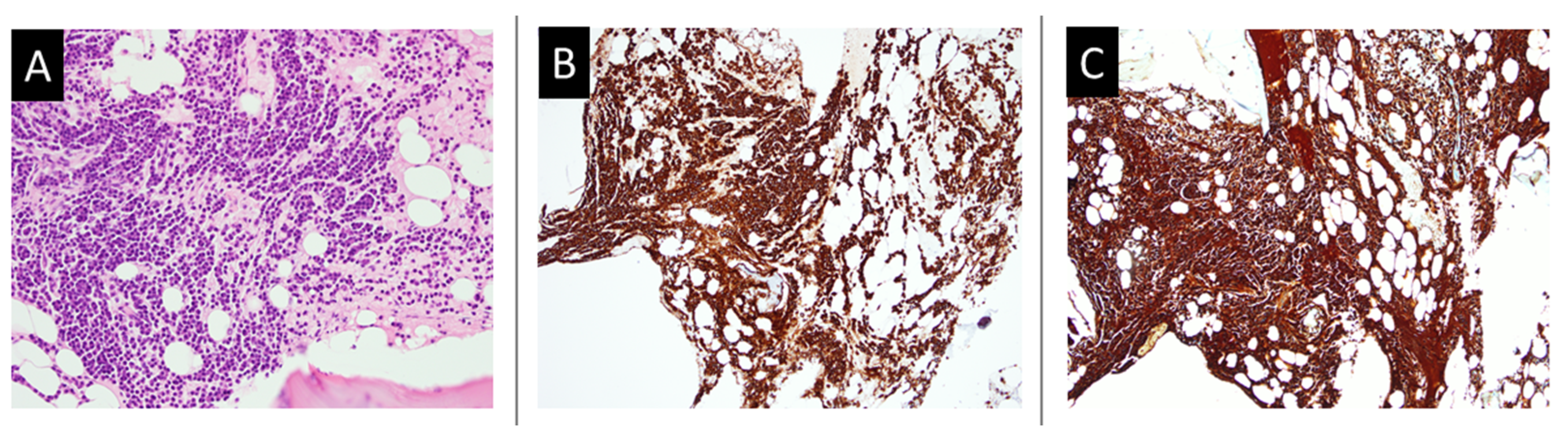
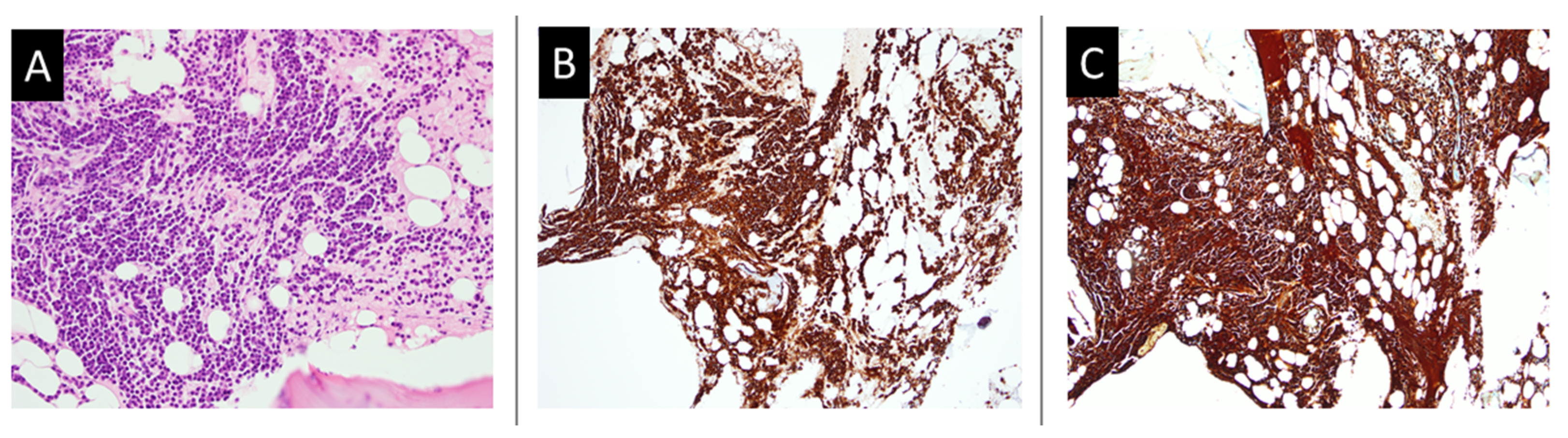
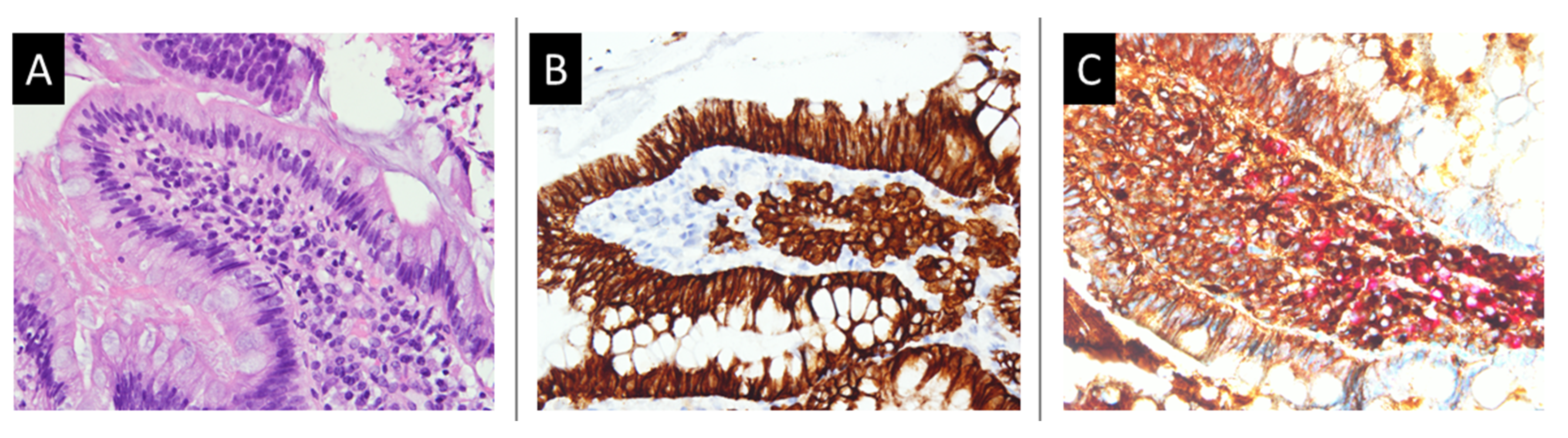
2. Case Report
3. Discussion
4. Conclusions
Author Contributions
Funding
Institutional Review Board Statement
Informed Consent Statement
Data Availability Statement
Acknowledgments
Conflicts of Interest
References
- Yoshida, T. Complicated gastrointestinal bleeding of neoplastic diseases of the hematopoietic system. Nihon Rinsho 1998, 56, 2405–2410. [Google Scholar] [PubMed]
- Touzeau, C.; Moreau, P. How I treat extramedullary myeloma. Blood 2016, 127, 971–976. [Google Scholar] [CrossRef] [PubMed]
- Alexiou, C.; Kau, R.J.; Dietzfelbinger, H.; Kremer, M.; Spiess, J.C.; Schratzenstaller, B.; Arnold, B. Extramedullary plasmacytoma: Tumor occurrence and therapeutic concepts. Cancer Interdiscip. Int. J. Am. Cancer Soc. 1999, 85, 2305–2314. [Google Scholar] [CrossRef]
- Iosif, E.; Rees, C.; Beeslaar, S.; Shamali, A.; Lauro, R.; Kyriakides, C. Gastrointestinal bleeding as initial presentation of extramedullary plasma cell neoplasms: A case report and review of the literature. World J. Gastrointest. Endosc. 2019, 11, 308–321. [Google Scholar] [CrossRef] [PubMed]
- Comba, I.Y.; Torres Luna, N.E.; Cooper, C.W.; Crespo, M.; Carilli, A. A Rare Case of Extramedullary Plasmacytoma Presenting as Massive Upper Gastrointestinal Bleeding. Cureus 2019, 11, e3993. [Google Scholar] [CrossRef] [PubMed]
- Hinterleitner, C.; Pecher, A.C.; Kreißelmeier, K.P.; Budde, U.; Kanz, L.; Kopp, H.G.; Jaschonek, K. Disease progression and defects in primary hemostasis as major cause of bleeding in multiple myeloma. Eur. J. Haematol. 2020, 104, 26–35. [Google Scholar] [CrossRef] [PubMed]
- Ariyarathenam, A.; Galvin, N.; Akoh, J.A. Secondary extramedullary plasmacytoma causing small bowel intussusception in a patient with multiple myeloma—A case report. Int. J. Surg. Case Rep. 2013, 4, 486–488. [Google Scholar] [CrossRef] [PubMed][Green Version]
- Bhardwaj, P.V.; Khanna, S.; Jawad, M.D.; Ali, S.S. A Rare Case of Extramedullary Relapse of Multiple Myeloma Causing Bowel Obstruction. Case Rep. Hematol. 2019, 2019, 4962678. [Google Scholar] [CrossRef] [PubMed]
- Tsai, W.C.; Chuang, T.Y.; Chen, M.C.; Chen, J.C.; Tsao, Y.T. Ogilvie syndrome: A potentially life-threatening phenotype of immobilization hypercalcemia. Am. J. Emerg. Med. 2014, 32, 816.e1–816.e3. [Google Scholar] [CrossRef] [PubMed]
- Guo, Y.; He, L.; Liu, Y.; Cao, X. A rare case report of multiple myeloma presenting with paralytic ileus and type II respiratory failure due to hypercalcemic crisis. Medicine 2017, 96, e9215. [Google Scholar] [CrossRef] [PubMed]
- Sevcikova, S.; Minarik, J.; Stork, M.; Jelinek, T.; Pour, L.; Hajek, R. Extramedullary disease in multiple myeloma—Controversies and future directions. Blood Rev. 2019, 36, 32–39. [Google Scholar] [CrossRef] [PubMed]
- Pham, A.; Mahindra, A. Solitary Plasmacytoma: A Review of Diagnosis and Management. Curr. Hematol. Malig. Rep. 2019, 14, 63–69. [Google Scholar] [CrossRef] [PubMed]
- Caers, J.; Paiva, B.; Zamagni, E.; Leleu, X.; Bladé, J.; Kristinsson, S.Y.; Touzeau, C.; Abildgaard, N.; Terpos, E.; Heusschen, R.; et al. Diagnosis, treatment, and response assessment in solitary plasmacytoma: Updated recommendations from a European Expert Panel. J. Hematol. Oncol. 2018, 11, 10. [Google Scholar] [CrossRef] [PubMed]




Publisher’s Note: MDPI stays neutral with regard to jurisdictional claims in published maps and institutional affiliations. |
© 2022 by the authors. Licensee MDPI, Basel, Switzerland. This article is an open access article distributed under the terms and conditions of the Creative Commons Attribution (CC BY) license (https://creativecommons.org/licenses/by/4.0/).
Share and Cite
Chiu, H.-T.; Chen, P.-H.; Yen, H.; Chen, C.-Y.; Yang, C.-W.; Liu, Y.-H.; Hsieh, W.-F.; Chou, S.-H.; Pu, T.-W. Duodenal Ulcer with Massive Gastrointestinal Hemorrhage as an Initial Manifestation in Multiple Myeloma with Extramedullary Disease: A Case Report. Medicina 2022, 58, 134. https://doi.org/10.3390/medicina58010134
Chiu H-T, Chen P-H, Yen H, Chen C-Y, Yang C-W, Liu Y-H, Hsieh W-F, Chou S-H, Pu T-W. Duodenal Ulcer with Massive Gastrointestinal Hemorrhage as an Initial Manifestation in Multiple Myeloma with Extramedullary Disease: A Case Report. Medicina. 2022; 58(1):134. https://doi.org/10.3390/medicina58010134
Chicago/Turabian StyleChiu, Hao-Tse, Po-Huang Chen, Hao Yen, Chao-Yang Chen, Chih-Wei Yang, Yu-Hong Liu, Wu-Feng Hsieh, Shih-Hao Chou, and Ta-Wei Pu. 2022. "Duodenal Ulcer with Massive Gastrointestinal Hemorrhage as an Initial Manifestation in Multiple Myeloma with Extramedullary Disease: A Case Report" Medicina 58, no. 1: 134. https://doi.org/10.3390/medicina58010134
APA StyleChiu, H.-T., Chen, P.-H., Yen, H., Chen, C.-Y., Yang, C.-W., Liu, Y.-H., Hsieh, W.-F., Chou, S.-H., & Pu, T.-W. (2022). Duodenal Ulcer with Massive Gastrointestinal Hemorrhage as an Initial Manifestation in Multiple Myeloma with Extramedullary Disease: A Case Report. Medicina, 58(1), 134. https://doi.org/10.3390/medicina58010134

