Uncommon Metastasis of Ovarian Dysgerminoma: A Case Report and Review of the Literature
Abstract
1. Introduction
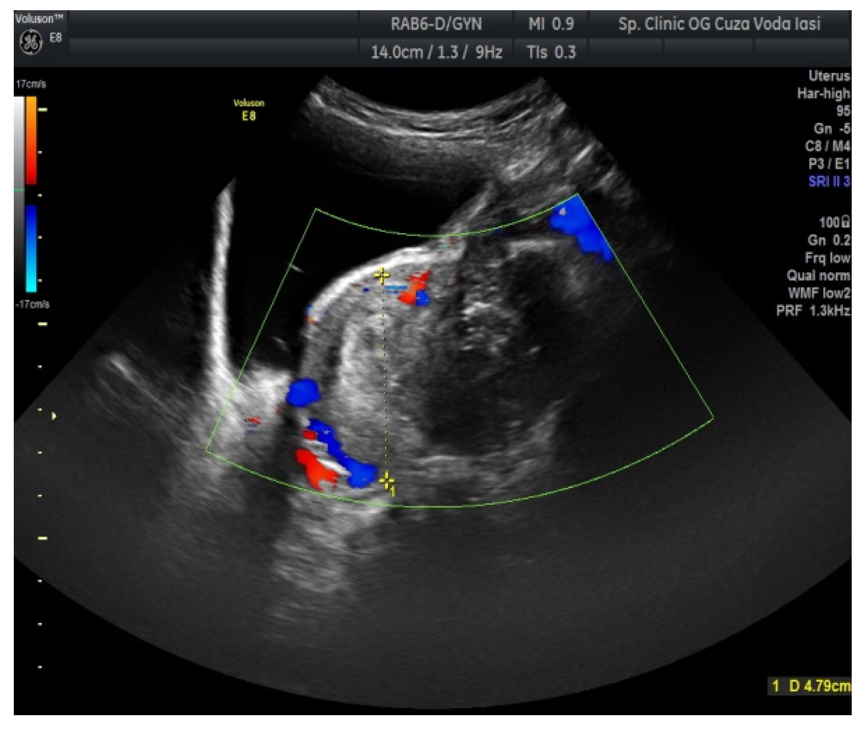
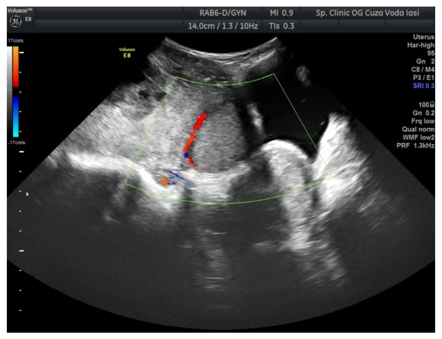
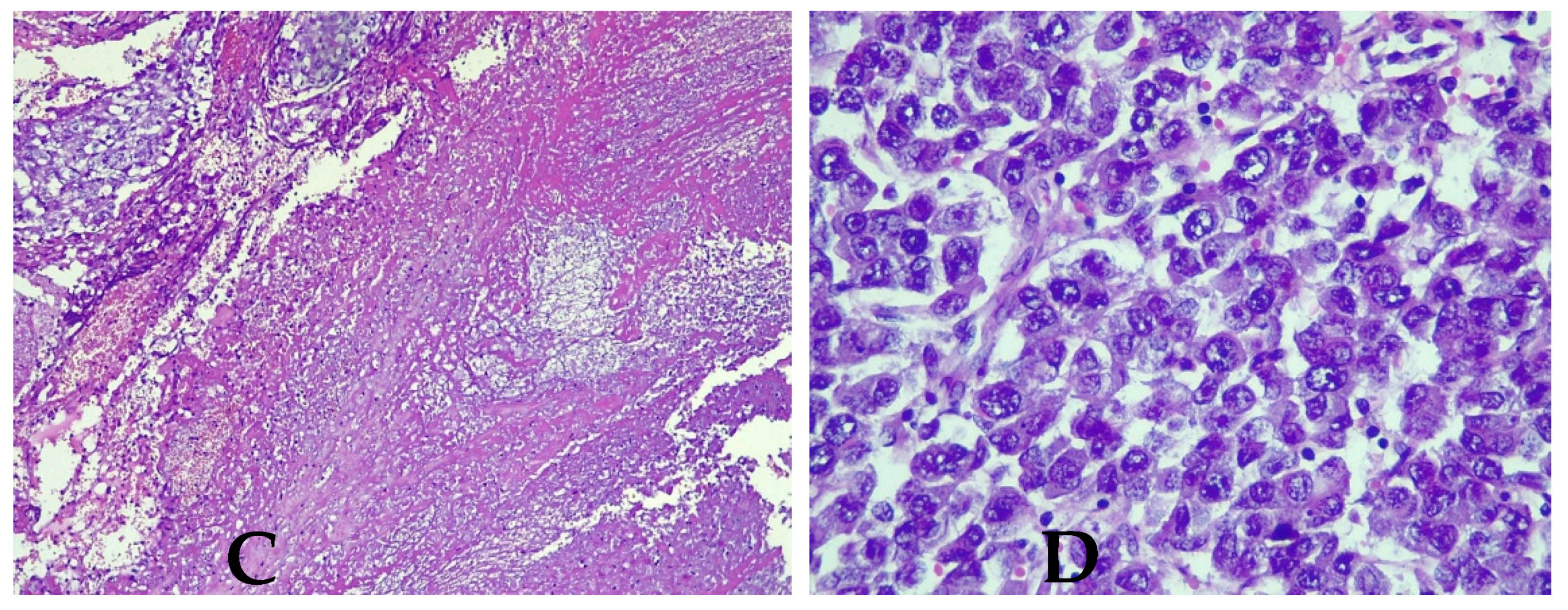
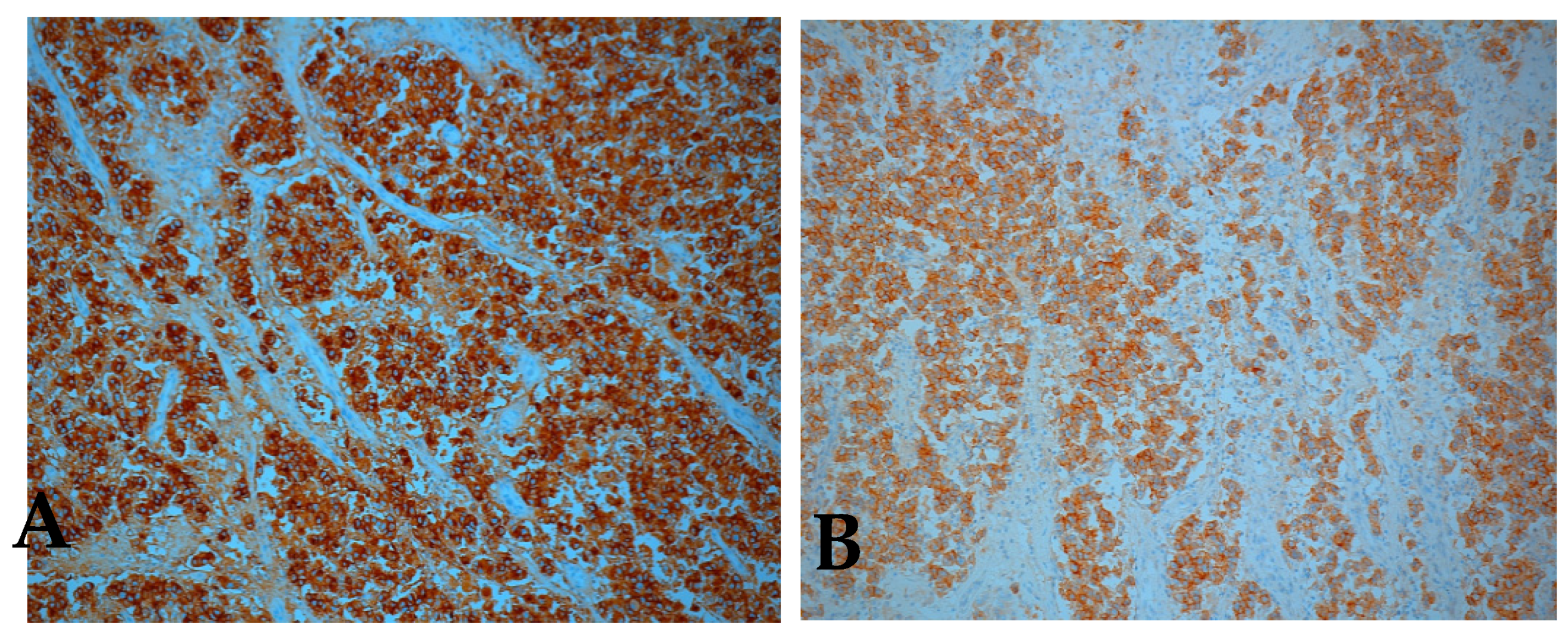
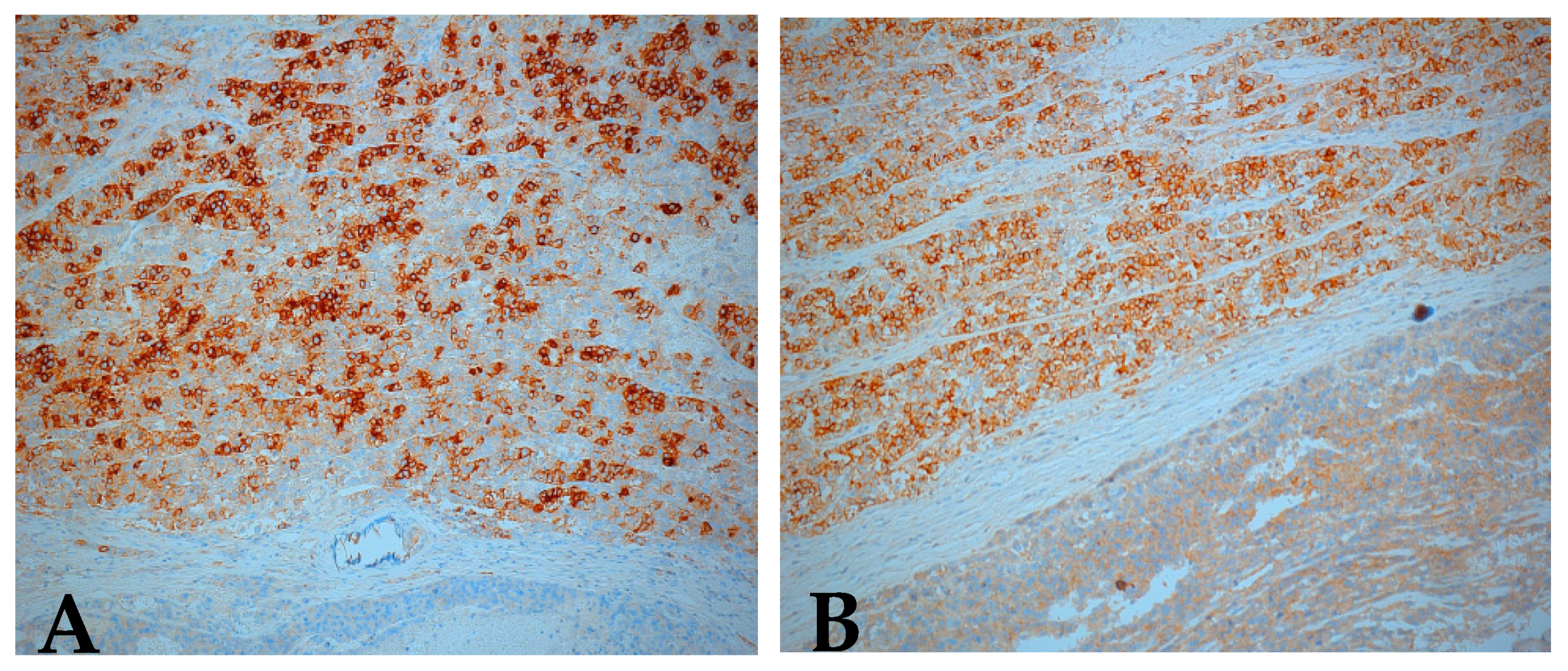
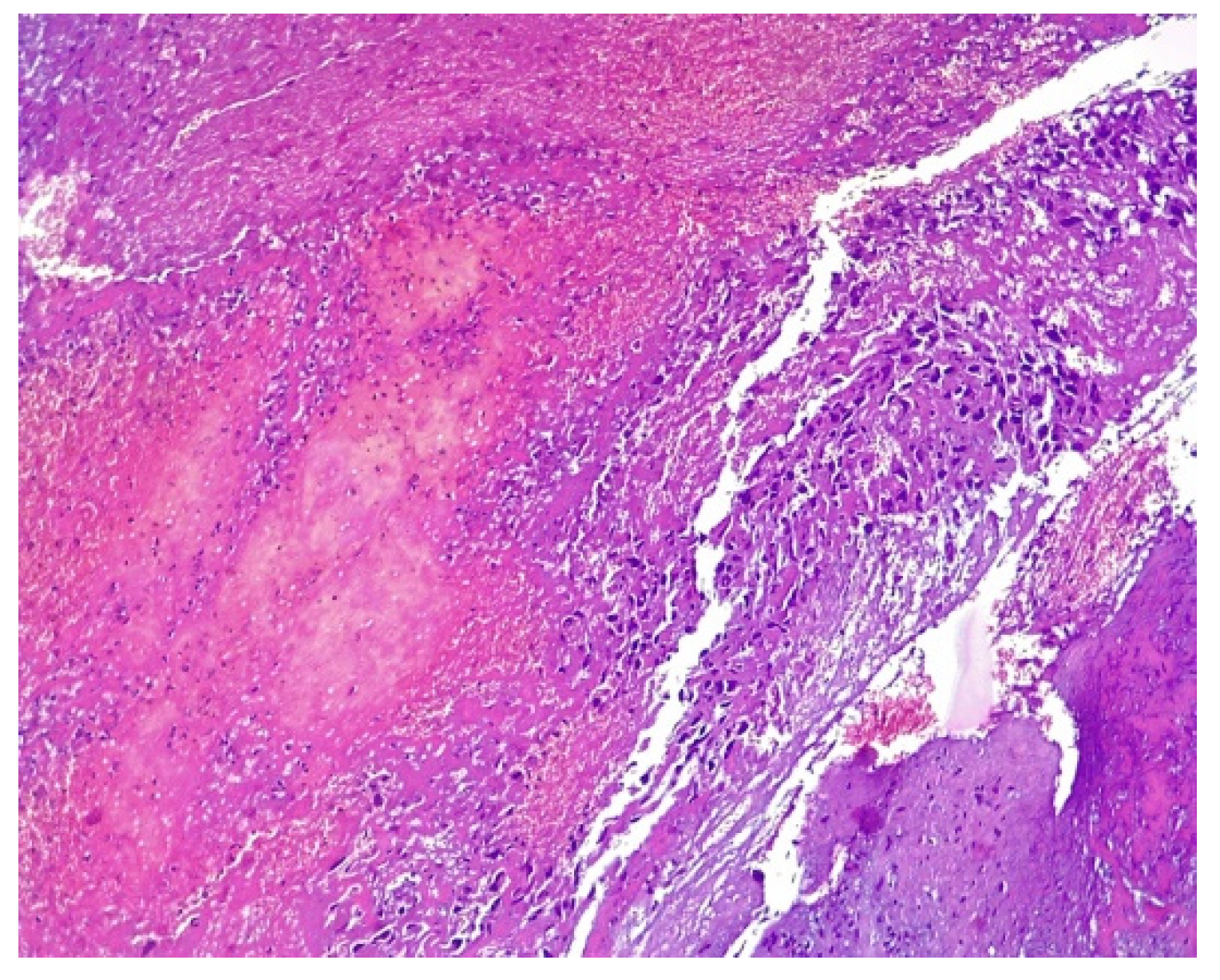
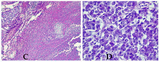
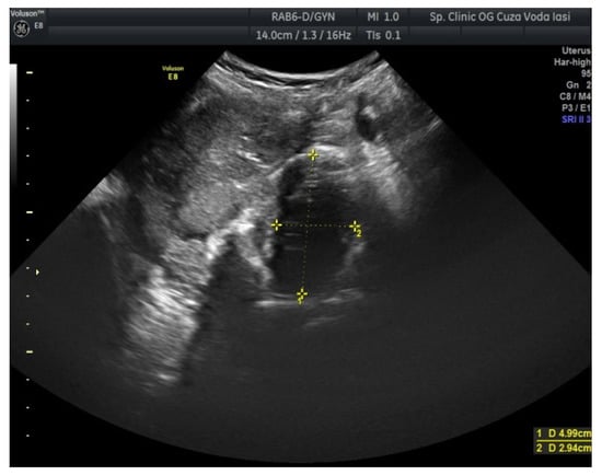
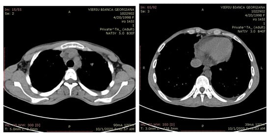
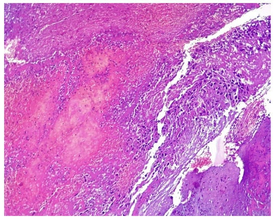
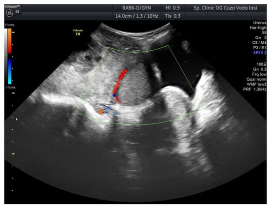
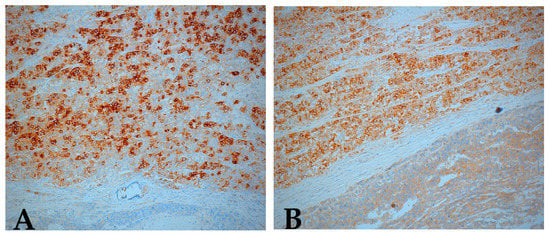
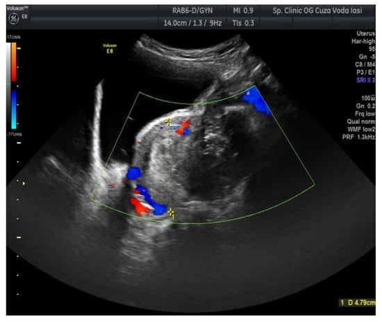
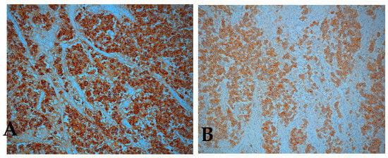
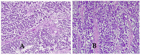
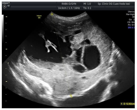
2. Case Presentation
3. Discussion
4. Conclusions
Author Contributions
Funding
Institutional Review Board Statement
Informed Consent Statement
Data Availability Statement
Acknowledgments
Conflicts of Interest
References
- Cheung, A.N.; Ellenson, L.H.; Gilks, C.B.; Kim, K.R.; Kong, C.S.; Lax, S.F.; Longacre, T.A.; Malpica, A.; McCluggage, W.G.; Oliva, E.; et al. Tumors of the Ovary. In Female Genital Tumours, 5th ed.; WHO Classification of Tumours Editorial Board, Ed.; International Agency for Research on Cancer: Lyon, France, 2020; Volume 4. [Google Scholar]
- Kaur, B. Pathology of malignant ovarian germ cell tumours. Diagn. Histopathol. 2020, 26, 289–297. [Google Scholar] [CrossRef]
- Zogbi, L.; Gonçalves, C.V.; Tejada, V.F.; Martins, D.; Karam, F.; Dos Santos, S.M.; Caldeira, R.R.; Senhorin, G.Z.; Lauz, S. Treatment of Bilateral Ovarian Dysgerminoma with 11-Year Follow-up: A Case Report. Ann. Med. Surg. 2018, 33, 50–52. [Google Scholar] [CrossRef] [PubMed]
- Smith, H.O.; Berwick, M.; Verschraegen, C.F.; Wiggins, C.; Lansing, L.; Muller, C.Y.; Qualls, C.R. Incidence and Survival Rates for Female Malignant Germ Cell Tumors. Obstet. Gynecol. 2006, 107, 1075–1085. [Google Scholar] [CrossRef] [PubMed]
- Bidus, M.A.; Elkas, J.C.; Rose, G.S. Germ cell, stromal, and other ovarian tumors. In Clinical Gynecologic Oncology, 8th ed.; Di Saia, P.J., Creasman, W.T., Eds.; Elsevier/Saunders: Philadelphia, PA, USA, 2012; pp. 329–356. [Google Scholar]
- Gordon, A.; Lipton, D.; Woodruff, J.D. Dysgerminoma: A Review of 158 Cases from the Emil Novak Ovarian Tumor Registry. Obstet. Gynecol. 1981, 58, 497–504. [Google Scholar] [PubMed]
- Shaaban, A.M.; Rezvani, M.; Elsayes, K.M.; Baskin, H.; Mourad, A.; Foster, B.R.; Jarboe, E.A.; Menias, C.O. Ovarian Malignant Germ Cell Tumors: Cellular Classification and Clinical and Imaging Features. Radiographics 2014, 34, 777–801. [Google Scholar] [CrossRef] [PubMed]
- Susnerwala, S.S.; Pande, S.C.; Shrivastava, S.K.; Dinshaw, K.A. Dysgerminoma of the Ovary: Review of 27 Cases. J. Surg. Oncol. 1991, 46, 43–47. [Google Scholar] [CrossRef] [PubMed]
- Timmerman, D.; Valentin, L.; Bourne, T.H.; Collins, W.P.; Verrelst, H.; Vergote, I. International Ovarian Tumor Analysis (IOTA) Group Terms, Definitions and Measurements to Describe the Sonographic Features of Adnexal Tumors: A Consensus Opinion from the International Ovarian Tumor Analysis (IOTA) Group. Ultrasound Obstet. Gynecol. 2000, 16, 500–505. [Google Scholar] [CrossRef]
- Abramowicz, J.S.; Timmerman, D. Ovarian Mass-Differentiating Benign from Malignant: The Value of the International Ovarian Tumor Analysis Ultrasound Rules. Am. J. Obstet. Gynecol. 2017, 217, 652–660. [Google Scholar] [CrossRef]
- Husaini, H.A.L.; Soudy, H.; Darwish, A.E.D.; Ahmed, M.; Eltigani, A.; Mubarak, M.A.L.; Abu Sabaa, A.; Edesa, W.; AL-Tweigeri, T.; Al-Badawi, I.A. Pure Dysgerminoma of the Ovary: A Single Institutional Experience of 65 Patients. Med. Oncol. 2012, 29, 2944–2948. [Google Scholar] [CrossRef]
- Zhang, X.-W.; Zhai, L.-R.; Huang, D.-W.; Jiang, Z.-D.; Yu, T.; Liu, S.-Y.; Cui, M.-H. Pregnancy with Giant Ovarian Dysgerminoma: A Case Report and Literature Review. Medicine 2020, 99, e21214. [Google Scholar] [CrossRef]
- Pectasides, D.; Pectasides, E.; Kassanos, D. Germ Cell Tumors of the Ovary. Cancer Treat. Rev. 2008, 34, 427–441. [Google Scholar] [CrossRef] [PubMed]
- Akhtar, K.; Ahmad, S.S.; Kumar, A.; Afshan, N. Dysgerminoma with Pregnancy and Viable Baby: A Case Report. Oman Med. J. 2011, 26, 198–200. [Google Scholar] [CrossRef]
- Buller, R.E.; Darrow, V.; Manetta, A.; Porto, M.; DiSaia, P.J. Conservative Surgical Management of Dysgerminoma Concomitant with Pregnancy. Obstet. Gynecol. 1992, 79, 887–890. [Google Scholar]
- Lazebnik, N.; Balog, A.; Bennett, S.; Redline, R.; Liu, J. Ovarian Dysgerminoma: A Challenging Clinical and Sonographic Diagnosis. J. Ultrasound Med. 2009, 28, 1409–1415. [Google Scholar] [CrossRef]
- Guerriero, S.; Testa, A.C.; Timmerman, D.; Van Holsbeke, C.; Ajossa, S.; Fischerova, D.; Franchi, D.; Leone, F.P.G.; Domali, E.; Alcazar, J.L.; et al. Imaging of Gynecological Disease (6): Clinical and Ultrasound Characteristics of Ovarian Dysgerminoma. Ultrasound Obstet. Gynecol. 2011, 37, 596–602. [Google Scholar] [CrossRef] [PubMed]
- Chan, J.K.; Tewari, K.S.; Waller, S.; Cheung, M.K.; Shin, J.Y.; Osann, K.; Kapp, D.S. The Influence of Conservative Surgical Practices for Malignant Ovarian Germ Cell Tumors. J. Surg. Oncol. 2008, 98, 111–116. [Google Scholar] [CrossRef]
- Milewicz, T.; Mrozińska, S.; Szczepański, W.; Białas, M.; Kiałka, M.; Doroszewska, K.; Kabzińska-Turek, M.; Wojtyś, A.; Ludwin, A.; Chmura, Ł. Dysgerminoma and Gonadoblastoma in the Course of Swyer Syndrome. Pol. J. Pathol. 2016, 67, 411–414. [Google Scholar] [CrossRef]
- Patterson, D.M.; Murugaesu, N.; Holden, L.; Seckl, M.J.; Rustin, G.J.S. A Review of the Close Surveillance Policy for Stage I Female Germ Cell Tumors of the Ovary and Other Sites. Int. J. Gynecol. Cancer 2008, 18, 43–50. [Google Scholar] [CrossRef]
- Nourani, M.; Manera, R.B. Pediatric Ovarian Dysgerminoma Presenting with Hypercalcemia and Chronic Constipation: A Case Report. J. Pediatr. Hematol. Oncol. 2013, 35, e272–e273. [Google Scholar] [CrossRef]
- Thomakos, N.; Diakosavvas, M.; Machairiotis, N.; Fasoulakis, Z.; Zarogoulidis, P.; Rodolakis, A. Rare Distant Metastatic Disease of Ovarian and Peritoneal Carcinomatosis: A Review of the Literature. Cancers 2019, 11, 1044. [Google Scholar] [CrossRef]
- Mangili, G.; Sigismondi, C.; Lorusso, D.; Cormio, G.; Scollo, P.; Viganò, R.; Gamucci, T.; Candiani, M.; Pignata, S. Is Surgical Restaging Indicated in Apparent Stage IA Pure Ovarian Dysgerminoma? The MITO Group Retrospective Experience. Gynecol. Oncol. 2011, 121, 280–284. [Google Scholar] [CrossRef]
- Beck, T.L.; Momose, H.; Dym, J.M.; Rao, V.Y.; Bohart, R.; Goldstein, B.H. Cranial and Intra-Axial Metastasis Originating from a Primary Ovarian Dysgerminoma. Gynecol. Oncol. Rep. 2019, 29, 55–57. [Google Scholar] [CrossRef]
- Takemori, M.; Ichimura, T.; Nishimura, R.; Hasegawa, K. Ovarian Dysgerminoma with Massive Metastases to Para-Aortic Lymph Nodes. Gynecol. Obstet. Investig. 2000, 49, 211–213. [Google Scholar] [CrossRef]
- Kasenda, B.; Harter, P.; Hirsch, T.; Ast, A.; Buhrmann, C.; Glaser, F.; Du Bois, A. Para-Aortic Lymph Node Metastasis in Malignant Dysgerminoma of the Ovary. Acta Obstet. Gynecol. Scand. 2009, 88, 1288–1290. [Google Scholar] [CrossRef]
- Sharma, S.; Singh, M.; Bhuyan, G.; Mandal, A.K. Extragonadal dysgerminoma presenting as neck metastasis and masquerading as a thyroid swelling. Clin. Cancer Investig. J. 2016, 5, 43–45. [Google Scholar] [CrossRef]
- Maekawa, K.; Tokumitsu, T.; Minematsu, E.; Noguchi, H.; Nakamura, E.; Asada, Y.; Nakayama, T.; Sameshima, H.; Sato, Y. Cervical Lymph Node Metastasis of Ovarian Dysgerminoma: A Case Report with Fine Needle Aspiration Cytology. Diagn. Cytopathol. 2020, 48, 356–359. [Google Scholar] [CrossRef] [PubMed]
- Mandeville, F.B.; Sahyoun, P.F.; Sutton, L.E. Dysgerminoma of the Ovary in a 4-Year-Old Girl with Metastases Clinically Simulating Wilms’ Tumor and Adrenal Neuroblastoma. J. Pediatr. 1949, 34, 70–75. [Google Scholar] [CrossRef]
- Kumar, L.; Bhargava, V.L.; Rao, R.C.; Rath, G.K.; Kataria, S.P. Bone Metastasis in Ovarian Cancer. Asia Ocean. J. Obstet. Gynaecol. 1992, 18, 309–313. [Google Scholar] [CrossRef]
- Rabban, J.T.; Zaloudek, C.J. A Practical Approach to Immunohistochemical Diagnosis of Ovarian Germ Cell Tumours and Sex Cord-Stromal Tumours. Histopathology 2013, 62, 71–88. [Google Scholar] [CrossRef]
- Adekunle, O.O.; Zayyan, M.; Kolawole, A.O. Case report: A rare case of dysgerminoma presenting with skin and breast metastasis. Case Rep. Clin. Med. 2013, 2, 170–172. [Google Scholar] [CrossRef][Green Version]
- Afridi, M.A.; Vongtama, V.; Tsukada, Y.; Piver, M.S. Dysgerminoma of the Ovary: Radiation Therapy for Recurrence and Metastases. Am. J. Obstet. Gynecol. 1976, 126, 190–194. [Google Scholar] [CrossRef]
- Jolles, C.J.; Karayianis, S.; Smotkin, D.; DeLia, J.E. Advanced Ovarian Dysgerminoma with Cure of Tumor Persistent in Meninges. Gynecol. Oncol. 1989, 33, 389–391. [Google Scholar] [CrossRef]
- Kerr, V.E.; Cadman, E. Pulmonary Metastases in Ovarian Cancer. Analysis of 357 Patients. Cancer 1985, 56, 1209–1213. [Google Scholar] [CrossRef]
- Cantisani, V.; Mortele, K.J.; Kalantari, B.N.; Glickman, J.N.; Tempany, C.; Silverman, S.G. Vaginal Metastasis from Uterine Leiomyosarcoma. Magnetic Resonance Imaging Features with Pathological Correlation. J. Comput. Assist. Tomogr. 2003, 27, 805–809. [Google Scholar] [CrossRef] [PubMed]
- Binda, M.C.; Cejas, C.; Eli, A.; Bozo, C.; Pineda, D. Leiomiosarcoma uterino con metástasis vaginal A propósito de un caso. Rev. Argent. Radiol. 2006, 7, 207–212. [Google Scholar]
- Sandberg, A.A. Updates on the Cytogenetics and Molecular Genetics of Bone and Soft Tissue Tumors: Leiomyosarcoma. Cancer Genet. Cytogenet. 2005, 161, 1–19. [Google Scholar] [CrossRef]
- Benbrahim, Z.; Chouaib, A.; Mazeron, R.; Leger-Ravet, M.B.; Lefort, C.; Lhommé, C.; El Mesbahi, O.; Escudier, B. Gynecologic Bleeding Revealing Vaginal Metastasis of Renal Cell Carcinoma. Pan Afr. Med. J. 2013, 14, 62. [Google Scholar] [CrossRef] [PubMed]
- Kwon, S.K.; Yu, C.S.; Lee, S.-W.; Kim, J.; Song, I.; Lee, J.L.; Kim, C.W.; Yoon, Y.S.; Park, I.J.; Lim, S.-B.; et al. Isolated Vaginal Metastasis from Stage I Colon Cancer: A Case Report. World J. Clin. Cases 2020, 8, 527–534. [Google Scholar] [CrossRef]
- Weitzner, S.; Dressner, S.A. Vaginal Metastasis from Adenocarcinoma of Pancreas. Am. Surg. 1974, 40, 256–258. [Google Scholar]
- Kumar, S.; Shah, J.P.; Bryant, C.S.; Imudia, A.N.; Cote, M.L.; Ali-Fehmi, R.; Malone, J.M.; Morris, R.T. The Prevalence and Prognostic Impact of Lymph Node Metastasis in Malignant Germ Cell Tumors of the Ovary. Gynecol. Oncol. 2008, 110, 125–132. [Google Scholar] [CrossRef]
- Zhu, J.; Liu, X.; Jin, H.; Lu, X. Swyer Syndrome, 46,XY Gonadal Dysgenesis, a Sex Reversal Disorder with Dysgerminoma: A Case Report and Literature Review. Clin. Exp. Obstet. Gynecol. 2011, 38, 414–418. [Google Scholar] [PubMed]
- Behtash, N.; Zarchi, M.K. Dysgerminoma in Three Patients with Swyer Syndrome. World J. Surg. Oncol. 2007, 5, 71. [Google Scholar] [CrossRef]
- Howitt, B.E.; Lee, K.R.; Muto, M.G.; Nucci, M.R.; Crum, C.P. The Pathology of Pelvic-Ovarian Epithelial (Epithelial-Stromal) Tumors. In Diagnostic Gynecologic and Obstetric Pathology, 3rd ed.; Crum, C.P., Nucci, M.R., Howitt, B.E., Granter, S.R., Parast, M.M., Boyd, T.K., Eds.; Elsevier: Philadelphia, PA, USA, 2019; pp. 865–948. ISBN 978-0-323-44732-4. [Google Scholar]
- Piura, B. Hypercalcemia in malignancies of the female genital tract. Harefuah 2008, 147, 229–234, 277. [Google Scholar] [PubMed]
- Hosseini, B.; Leibl, M.; Stoffman, J.; Morris, A. Two Cases of Hypercalcemia in Pediatric Ovarian Dysgerminoma. J. Obstet. Gynaecol. Can. 2019, 41, 660–665. [Google Scholar] [CrossRef] [PubMed]
- Zaloudek, C.J.; Tavassoli, F.A.; Norris, H.J. Dysgerminoma with Syncytiotrophoblastic Giant Cells. A Histologically and Clinically Distinctive Subtype of Dysgerminoma. Am. J. Surg. Pathol. 1981, 5, 361–367. [Google Scholar] [CrossRef] [PubMed]
- Baker, P.M.; Oliva, E. Germ cell tumors of the ovary. In Gynecologic Pathology; Nucci, M.R., Oliva, E., Eds.; Elsevier Churchill Livingstone: London, UK, 2009; pp. 501–507. [Google Scholar]
- Song, E.-S.; Lee, J.-P.; Han, J.-H.; Kim, H.-Y.; Mun, S.-H.; Ryu, H.-S.; Chang, K.-H. Dysgerminoma of the Ovary with Precocious Puberty: A Case Report. Gynecol. Endocrinol. 2007, 23, 34–37. [Google Scholar] [CrossRef]












Publisher’s Note: MDPI stays neutral with regard to jurisdictional claims in published maps and institutional affiliations. |
© 2021 by the authors. Licensee MDPI, Basel, Switzerland. This article is an open access article distributed under the terms and conditions of the Creative Commons Attribution (CC BY) license (https://creativecommons.org/licenses/by/4.0/).
Share and Cite
Tîrnovanu, M.C.; Florea, I.D.; Tănase, A.; Toma, B.F.; Cojocaru, E.; Ungureanu, C.; Lozneanu, L. Uncommon Metastasis of Ovarian Dysgerminoma: A Case Report and Review of the Literature. Medicina 2021, 57, 534. https://doi.org/10.3390/medicina57060534
Tîrnovanu MC, Florea ID, Tănase A, Toma BF, Cojocaru E, Ungureanu C, Lozneanu L. Uncommon Metastasis of Ovarian Dysgerminoma: A Case Report and Review of the Literature. Medicina. 2021; 57(6):534. https://doi.org/10.3390/medicina57060534
Chicago/Turabian StyleTîrnovanu, Mihaela Camelia, Irina Daniela Florea, Adina Tănase, Bogdan Florin Toma, Elena Cojocaru, Carmen Ungureanu, and Ludmila Lozneanu. 2021. "Uncommon Metastasis of Ovarian Dysgerminoma: A Case Report and Review of the Literature" Medicina 57, no. 6: 534. https://doi.org/10.3390/medicina57060534
APA StyleTîrnovanu, M. C., Florea, I. D., Tănase, A., Toma, B. F., Cojocaru, E., Ungureanu, C., & Lozneanu, L. (2021). Uncommon Metastasis of Ovarian Dysgerminoma: A Case Report and Review of the Literature. Medicina, 57(6), 534. https://doi.org/10.3390/medicina57060534

