Can Conventional and Diffusion-Weighted MR Enterography Biomarkers Differentiate Inflammatory from Fibrotic Strictures in Crohn’s Disease?
Abstract
1. Introduction
2. Materials and Methods
2.1. Patient Selection
2.2. MR Enterography Protocol
2.3. Image Analysis
2.4. Histologic Reference Standard and Stricture Scoring
2.5. Statistical Analysis
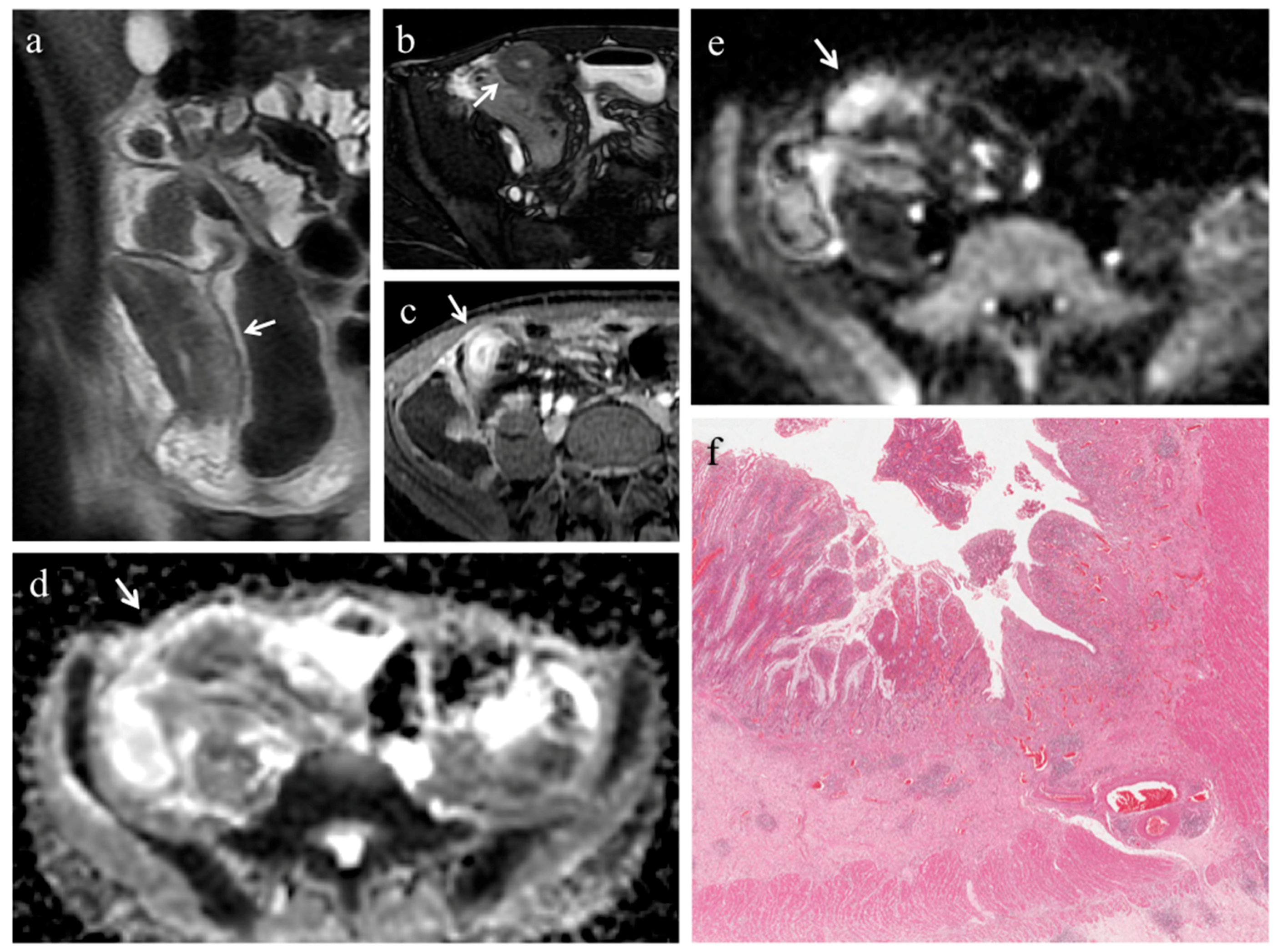
3. Results
3.1. Patients
3.2. Histopathological Assessment
3.3. Analysis of Conventional MRE Sequences
3.4. Analysis of DWI Quantitative Measures (ADC)
4. Discussion
5. Conclusions
Author Contributions
Funding
Institutional Review Board Statement
Informed Consent Statement
Data Availability Statement
Acknowledgments
Conflicts of Interest
Ethics statements
Abbreviations
| ADC | Apparent diffusion coefficient |
| AIS | Acute inflammation score |
| ASSET | Array spatial sensitivity technique |
| AUC | Area under the curve |
| CD | Crohn’s disease |
| CE | Contrast-enhanced |
| CT | Computed tomography |
| DCE | Dynamic contrast enhanced |
| DWI | Diffusion weighted imaging |
| ECM | Extracellular matrix |
| FOV | Field of view |
| FS | Fibrosis score |
| IVIM | Intravoxel incoherent motion |
| MRE | Magnetic resonance enterography |
| MRI | Magnetic resonance imaging |
| MT | Magnetization transfer |
| PACS | Picture archiving and communication system |
| ROC | Receiver operating characteristic |
| ROI | Region of interest |
| SD | Standard deviation |
References
- Barkmeier, D.T.; Dillman, J.R.; Al-Hawary, M.; Heider, A.; Davenport, M.S.; Smith, E.A.; Adler, J. MR enterography–histology comparison in resected pediatric small bowel Crohn disease strictures: Can imaging predict fibrosis? Pediatr. Radiol. 2016, 46, 498–507. [Google Scholar] [CrossRef] [PubMed]
- LaRussa, T.; Flauti, D.; Abenavoli, L.; Boccuto, L.; Suraci, E.; Marasco, R.; Imeneo, M.; Luzza, F. The Reality of Patient-Reported Outcomes of Health-Related Quality of Life in an Italian Cohort of Patients with Inflammatory Bowel Disease: Results from a Cross-Sectional Study. J. Clin. Med. 2020, 9, 2416. [Google Scholar] [CrossRef]
- FRieder, F.; Latella, G.; Magro, F.; Yuksel, E.S.; Higgins, P.D.R.; Di Sabatino, A.; De Bruyn, J.R.; Rimola, J.; Brito, J.; Bettenworth, D.; et al. European Crohn’s and Colitis Organisation Topical Review on Prediction, Diagnosis and Management of Fibrostenosing Crohn’s Disease. J. Crohns Coliti 2016, 10, 873–885. [Google Scholar] [CrossRef] [PubMed]
- Peyrin-Biroulet, L.; Harmsen, S.W.; Tremaine, W.J.; Zinsmeister, A.R.; Sandborn, W.J.; Loftus, E.V. Surgery in a Population-Based Cohort of Crohn’s Disease From Olmsted County, Minnesota (1970–2004). Am. J. Gastroenterol. 2012, 107, 1693–1701. [Google Scholar] [CrossRef]
- NGupta, N.; Bostrom, A.G.; Kirschner, B.S.; Ferry, G.D.; Gold, B.D.; Cohen, S.A.; Winter, H.S.; Baldassano, R.N.; Abramson, O.; Smith, T.; et al. Incidence of stricturing and penetrating complications of Crohn’s disease diagnosed in pediatric patients. Inflamm. Bowel Dis. 2010, 16, 638–644. [Google Scholar]
- Gomollón, F.; Dignass, A.; Annese, V.; Tilg, H.; Van Assche, G.; Lindsay, J.O.; Peyrin-Biroulet, L.; Cullen, G.J.; Daperno, M.; Kucharzik, T.; et al. 3rd European Evidence-based Consensus on the Diagnosis and Management of Crohn’s Disease 2016: Part 1: Diagnosis and Medical Management. J. Crohns Coliti 2017, 11, 3–25. [Google Scholar] [CrossRef]
- Ruining, D.H.; Zimmermann, E.M.; Loftus, E.V.; Sandborn, W.J.; Sauer, C.G.; Strong, S.A.; Society of Abdominal Radiology Crohn’s Disease-Focused Panel. Consensus Recommendations for Evaluation, Interpretation, and Utilization of Computed Tomography and Magnetic Resonance Enterography in Patients With Small Bowel Crohn’s Disease. Radiology 2018, 286, 776–799. [Google Scholar] [CrossRef] [PubMed]
- Guglielmo, F.F.; Anupindi, S.A.; Fletcher, J.G.; Al-Hawary, M.M.; Dillman, J.R.; Grand, D.J.; Bruining, D.H.; Chatterji, M.; Darge, K.; Fidler, J.L.; et al. Small Bowel Crohn Disease at CT and MR Enterography: Imaging Atlas and Glossary of Terms. Radiographics 2020, 40, 354–375. [Google Scholar] [CrossRef]
- Gallo, G.; Tiesi, V.; Fulginiti, S.; De Paola, G.; Vescio, G.; Sammarco, G. Mesenchymal Stromal Cell Therapy in the Management of Perianal Fistulas in Crohn’s Disease: An Up-To-Date Review. Medicina 2020, 56, 563. [Google Scholar] [CrossRef] [PubMed]
- Latella, G.; Sferra, R.; Speca, S.; Vetuschi, A.; Gaudio, E. Can we prevent, reduce or reverse intestinal fibrosis in IBD? Eur. Rev. Med. Pharmacol. Sci. 2013, 17, 1283–1304. [Google Scholar]
- Mancina, R.M.; Pagnotta, R.; Pagliuso, C.; Albi, V.; Bruno, D.; Garieri, P.; Doldo, P.; Spagnuolo, R. Gastrointestinal Symptoms of and Psychosocial Changes in Inflammatory Bowel Disease: A Nursing-Led Cross-Sectional Study of Patients in Clinical Remission. Medicina 2020, 56, 45. [Google Scholar] [CrossRef]
- Bettenworth, D.; Rieder, F. Pathogenesis of Intestinal Fibrosis in Inflammatory Bowel Disease and Perspectives for Therapeutic Implication. Dig. Dis. 2017, 35, 25–31. [Google Scholar] [CrossRef]
- Zhang, M.-C.; Li, X.-H.; Huang, S.-Y.; Mao, R.; Fang, Z.-N.; Cao, Q.-H.; Zhang, Z.-W.; Yan, X.; Chen, M.-H.; Li, Z.-P.; et al. IVIM with fractional perfusion as a novel biomarker for detecting and grading intestinal fibrosis in Crohn’s disease. Eur. Radiol. 2018, 29, 3069–3078. [Google Scholar] [CrossRef] [PubMed]
- Paquet, N.; Glickman, J.; Erturk, S.; Ros, P.; Heverhagen, J.; Patak, M. Crohn’s disease Activity: Abdominal Computed Tomography Histopathology Correlation. Eur. J. Radiol. Open 2016, 3, 74–78. [Google Scholar] [CrossRef]
- Grand, D.J.; Beland, M.D.; Machan, J.T.; Mayo-Smith, W.W. Detection of Crohn’s disease: Comparison of CT and MR enterography without anti-peristaltic agents performed on the same day. Eur. J. Radiol. 2012, 81, 1735–1741. [Google Scholar] [CrossRef]
- Gücer, F.I.; Senturk, S.; Özkanli, S.; Yilmabaşar, M.G.; Köroglu, G.A.; Acar, M. Evaluation of Crohn’s disease activity by MR enterography: Derivation and histopathological comparison of an MR-based activity index. Eur. J. Radiol. 2015, 84, 1829–1834. [Google Scholar]
- Lambrou, T.; Chaudhry, N.A.; Grajo, J.R.; Moser, P.; Riverso, M.; Mramba, L.K.; Zimmermann, E.M. Small bowel stricture is associated with abnormal motility on the cine MRI sequence in patients with Crohn’s disease. Eur. J. Radiol. 2019, 118, 264–270. [Google Scholar] [CrossRef] [PubMed]
- Catalano, O.A.; Gee, M.S.; Nicolai, E.; Selvaggi, F.; Pellino, G.; Cuocolo, A.; Luongo, A.; Catalano, M.; Rosen, B.R.; Gervais, D.; et al. Evaluation of Quantitative PET/MR Enterography Biomarkers for Discrimination of Inflammatory Strictures from Fibrotic Strictures in Crohn Disease. Radiology 2016, 278, 792–800. [Google Scholar] [CrossRef] [PubMed]
- Li, X.-H.; Mao, R.; Huang, S.-Y.; Sun, C.-H.; Cao, Q.-H.; Fang, Z.-N.; Zhang, Z.-W.; Huang, L.; Lin, J.-J.; Chen, Y.-J.; et al. Characterization of Degree of Intestinal Fibrosis in Patients with Crohn Disease by Using Magnetization Transfer MR Imaging. Radiology 2018, 287, 494–503. [Google Scholar] [CrossRef]
- Li, X.-H.; Mao, R.; Huang, S.-Y.; Fang, Z.-N.; Lu, B.-L.; Lin, J.-J.; Xiong, S.-S.; Chen, M.-H.; Li, Z.-P.; Sun, C.-H.; et al. Ability of DWI to characterize bowel fibrosis depends on the degree of bowel inflammation. Eur. Radiol. 2019, 29, 2465–2473. [Google Scholar] [CrossRef]
- Pellino, G.; Nicolai, E.; Catalano, O.A.; Campione, S.; D’Armiento, F.P.; Salvatore, M.; Cuocolo, A.; Selvaggi, F. PET/MR Versus PET/CT Imaging: Impact on the Clinical Management of Small-Bowel Crohn’s Disease. J. Crohns Coliti 2015, 10, 277–285. [Google Scholar] [CrossRef] [PubMed]
- Tielbeek, J.A.W.; Ziech, M.L.W.; Li, Z.; Lavini, C.; Bipat, S.; Bemelman, W.A.; Roelofs, J.J.T.H.; Ponsioen, C.Y.; Vos, F.M.; Stoker, J. Evaluation of conventional, dynamic contrast enhanced and diffusion weighted MRI for quantitative Crohn’s disease assessment with histopathology of surgical specimens. Eur. Radiol. 2013, 24, 619–629. [Google Scholar] [CrossRef] [PubMed]
- NBorley, R.; Mortensen, N.J.; Jewell, D.P.; Warren, B.F. The relationship between inflammatory and serosal connective tissue changes in ileal Crohn’s disease: Evidence for a possible causative link. J. Pathol. 2000, 190, 196–202. [Google Scholar] [CrossRef]
- Chiorean, M.V.; Sandrasegaran, K.; Saxena, R.; Maglinte, D.D.; Nakeeb, A.; Johnson, C.S. Correlation of CT Enteroclysis With Surgical Pathology in Crohn’s Disease. Am. J. Gastroenterol. 2007, 102, 2541–2550. [Google Scholar] [CrossRef] [PubMed]
- LaRussa, T.; Suraci, E.; Marasco, R.; Imeneo, M.; Dumitrascu, D.L.; Abenavoli, L.; Luzza, F. Barriers and Facilitators in Conducting Clinical Trials in Inflammatory Bowel Disease: A Monocentric Italian Survey. Rev. Recent Clin. Trials 2020, 15, 137–144. [Google Scholar] [CrossRef]
- Rosenbaum, D.G.; Conrad, M.A.; Biko, D.M.; Ruchelli, E.D.; Kelsen, J.R.; Anupindi, S.A. Ultrasound and MRI predictors of surgical bowel resection in pediatric Crohn disease. Pediatr. Radiol. 2016, 47, 55–64. [Google Scholar] [CrossRef]





| MRI Protocol | Coronal T2W SSFSE | Coronal FIESTA | Coronal T2W Thick-slab SSFSE | Axial DWI SE EPI | Sagittal, Coronal, Axial T1W 3D GRE LAVA |
|---|---|---|---|---|---|
| Repetition time/Echo time (ms) | 705/90 | 4/1.7 | 2408/1103 | 3000/74 | 4.1/1.9 |
| Flip angle | 90° | 75° | 90° | 90° | 12° |
| Section Thickness (mm) | 6 | 6 | 70 | 8 | 3.4 |
| Interslice gap (mm) | 0.6 | 0.6 | — | 2 | 1.7 |
| Bandwidth (kHz) | 83.33 | 100 | 31.25 | 250 | 62.5 |
| Field of view (cm) | 44–48 | 44–48 | 44–48 | 42 | 44–48 |
| Matrix | 384 × 224 | 512 × 384 | 512 × 384 | 160 × 160 | 320 × 192 |
| N. of signal acquired | 0.57 | 1 | 1 | 2 | 0.7 |
| N. of images | 28 | 28 | 1 | 15 | 120 |
| Frequency direction | Right to left | Right to left | Right to left | Anterior to posterior | Superior to inferior |
| Acquisition time (s) | 24 | 22 | 2 | 27 | 23 |
| B-value (s/mm2) | — | — | — | 0–800 | — |
| Patient | Gender | Age | Smoker | Disease Duration | Therapy |
|---|---|---|---|---|---|
| Case 1 | M | 32 | former | 10 years 5 months | 5-ASA |
| Case 2 | M | 30 | active | 8 years 4 months | CS, IFX, ADA |
| Case 3 | F | 51 | no | 8 months | 5-ASA, CS |
| Case 4 | M | 45 | active | 1 years 5 months | 5-ASA, CS |
| Case 5 | F | 61 | active | 25 years 7 months | CS, IFX, ADA |
| Case 6 | M | 64 | former | 33 years | 5-ASA, CS |
| Case 7 | M | 36 | active | 5 years 9 months | 5-ASA |
| Case 8 | M | 58 | no | 11 years 5 months | 5-ASA, CS |
| Case 9 | M | 52 | active | 7 months | none |
| Case 10 | F | 48 | former | 1 years 4 months | 5-ASA, CS |
| Case 11 | M | 56 | no | 12 years 3 months | 5-ASA, CS |
| Case 12 | F | 35 | no | 5 years 10 months | 5-ASA, CS, ADA |
| Case 13 | M | 32 | no | 7 years 2 months | CS, IFX |
| Case 14 | F | 49 | former | 21 years 7 months | 5-ASA, IFX |
| Case 15 | F | 22 | no | 7 years 2 months | 5-ASA, AZA |
| Case 16 | F | 62 | former | 1 years 10 months | 5-ASA, CS |
| Case 17 | F | 63 | former | 1 years 6 months | none |
| Case 18 | M | 19 | no | 3 months | 5-ASA, CS |
| Case 19 | M | 33 | active | 6 years 2 months | 5-ASA, AZA |
| Case 20 | F | 20 | no | 11 months | 5-ASA, CS |
| Case 21 | M | 22 | former | 1 years | 5-ASA, IFX |
| Case 22 | M | 33 | active | 4 years 7 months | CS |
| Case 23 | M | 32 | active | 5 years 10 months | 5-ASA, CS, AZA |
| Thickness (mm) | Luminal Diameter (mm) | T1 Ratio | T2 Ratio | Pattern of Enhancement | ADC × 10−3 mm2/s |
|---|---|---|---|---|---|
| 11 | 25 | 1.928 | 0.291 | layered | 1.473 |
| 11 | 36 | 2.342 | 0.283 | homogeneous | 1.46 |
| 8 | 38 | 2.012 | 0.201 | mucosal | 1.32 |
| 9 | 26 | 1.958 | 0.346 | mucosal | 1.327 |
| 9 | 36 | 1.897 | 0.263 | layered | 1.273 |
| 9 | 80 | 2.062 | 0.138 | homogeneous | 1.247 |
| 10 | 25 | 1.943 | 0.575 | mucosal | 1.177 |
| 12 | 30 | 1.857 | 0.307 | layered | 1.19 |
| 6 | 24 | 1.563 | 0.306 | homogeneous | 1.18 |
| 10 | 39 | 2.464 | 0.268 | mucosal | 1.21 |
| 10 | 20 | 2.059 | 0.365 | layered | 1.233 |
| 8 | 27 | 2.263 | 0.591 | layered | 1.287 |
| 11 | 17 | 1.75 | 0.388 | layered | 1.297 |
| 9 | 58 | 2.305 | 0.213 | homogeneous | 1.183 |
| 9 | 25 | 1.858 | 0.333 | layered | 1.193 |
| 8 | 28 | 1.938 | 0.541 | mucosal | 1.273 |
| 10 | 25 | 2.043 | 0.537 | layered | 0.94 |
| 10 | 53 | 1.876 | 0.349 | mucosal | 0.84 |
| 10 | 28 | 2.828 | 0.245 | mucosal | 0.745 |
| 12 | 26 | 2.222 | 0.266 | layered | 0.955 |
| 14 | 29 | 1.782 | 0.368 | homogeneous | 1.001 |
| 9 | 34 | 1.768 | 0.365 | homogeneous | 0.972 |
| 9 | 25 | 2.002 | 0.474 | mucosal | 1.097 |
Publisher’s Note: MDPI stays neutral with regard to jurisdictional claims in published maps and institutional affiliations. |
© 2021 by the authors. Licensee MDPI, Basel, Switzerland. This article is an open access article distributed under the terms and conditions of the Creative Commons Attribution (CC BY) license (http://creativecommons.org/licenses/by/4.0/).
Share and Cite
Foti, P.V.; Travali, M.; Farina, R.; Palmucci, S.; Coronella, M.; Spatola, C.; Puzzo, L.; Garro, R.; Inserra, G.; Riguccio, G.; et al. Can Conventional and Diffusion-Weighted MR Enterography Biomarkers Differentiate Inflammatory from Fibrotic Strictures in Crohn’s Disease? Medicina 2021, 57, 265. https://doi.org/10.3390/medicina57030265
Foti PV, Travali M, Farina R, Palmucci S, Coronella M, Spatola C, Puzzo L, Garro R, Inserra G, Riguccio G, et al. Can Conventional and Diffusion-Weighted MR Enterography Biomarkers Differentiate Inflammatory from Fibrotic Strictures in Crohn’s Disease? Medicina. 2021; 57(3):265. https://doi.org/10.3390/medicina57030265
Chicago/Turabian StyleFoti, Pietro Valerio, Mario Travali, Renato Farina, Stefano Palmucci, Maria Coronella, Corrado Spatola, Lidia Puzzo, Rossella Garro, Gaetano Inserra, Gaia Riguccio, and et al. 2021. "Can Conventional and Diffusion-Weighted MR Enterography Biomarkers Differentiate Inflammatory from Fibrotic Strictures in Crohn’s Disease?" Medicina 57, no. 3: 265. https://doi.org/10.3390/medicina57030265
APA StyleFoti, P. V., Travali, M., Farina, R., Palmucci, S., Coronella, M., Spatola, C., Puzzo, L., Garro, R., Inserra, G., Riguccio, G., Zanoli, L., & Basile, A. (2021). Can Conventional and Diffusion-Weighted MR Enterography Biomarkers Differentiate Inflammatory from Fibrotic Strictures in Crohn’s Disease? Medicina, 57(3), 265. https://doi.org/10.3390/medicina57030265

