Acute Clinical Syndromes and Suspicion of SARS-CoV-2 Infection: The Experience of a Single Romanian Center in the Early Pandemic Period
Abstract
1. Introduction
2. Materials and Methods
3. Results
3.1. Chronic Underlying Diseasesin Patients Suspected to Have COVID-19
3.2. Clinical Symptoms and Signs in Patients Suspected of Having COVID-19
3.3. Biological Changes in Patients Suspected to Have COVID-19
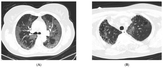
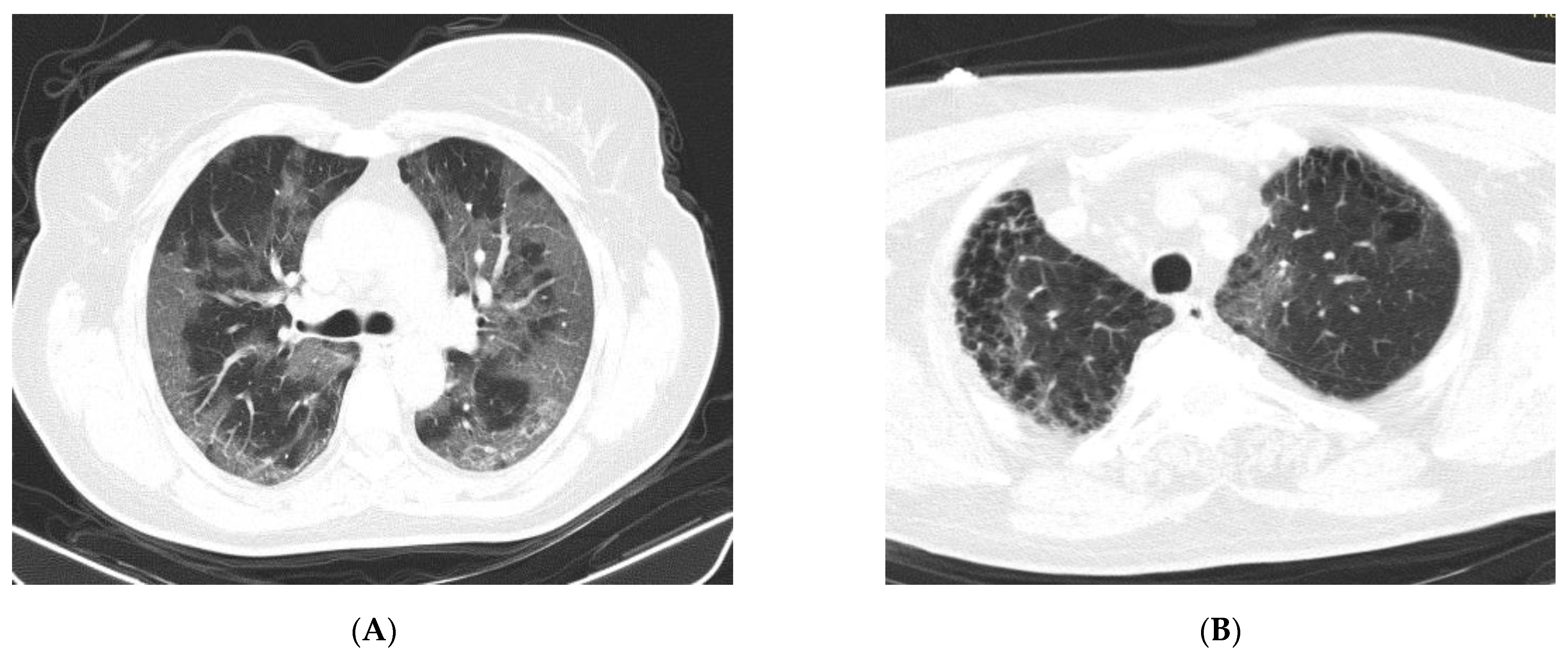
3.4. CT Changes in Patients Suspected of Having COVID-19
4. Discussion
5. Conclusions
Author Contributions
Funding
Institutional Review Board Statement
Informed Consent Statement
Data Availability Statement
Acknowledgments
Conflicts of Interest
References
- Yang, Q.; Xie, L.; Zhang, W.; Zhao, L.; Wu, H.J.; Jiang, J.; Zou, J.; Liu, J.; Wu, J.; Chen, Y.; et al. Analysis of the clinical characteristics, drug treatments and prognoses of 136 patients with coronavirus disease 2019. J. Clin. Pharm. Ther. 2020, 45, 609–616. [Google Scholar] [CrossRef]
- Caruso, D.; Zerunian, M.; Polici, M.; Pucciarelli, F.; Polidori, T.; Rucci, C.; Guido, G.; Bracci, B.; De Dominicis, C.; Laghi, A. Chest CT Features of COVID-19 in Rome, Italy. Radiology 2020, 296, E79–E85. [Google Scholar] [CrossRef]
- COVID-19 Coronavirus Pandemic. Available online: https://www.worldometers.info/coronavirus (accessed on 25 January 2021).
- Tu, Y.F.; Chien, C.S.; Yarmishyn, A.A.; Lin, Y.Y.; Luo, Y.H.; Lin, Y.T.; Lai, W.Y.; Yang, D.M.; Chou, S.J.; Yang, Y.P.; et al. A Review of SARS-CoV-2 and the Ongoing Clinical Trials. Int. J. Mol. Sci. 2020, 21, 2657. [Google Scholar] [CrossRef]
- Francone, M.; Iafrate, F.; Masci, G.M.; Coco, S.; Cilia, F.; Manganaro, L.; Panebianco, V.; Andreoli, C.; Colaiacomo, M.C.; Zingaropoli, M.A.; et al. Chest CT score in COVID-19 patients: Correlation with disease severity and short-term prognosis. Eur. Radiol. 2020, 30, 6808–6817. [Google Scholar] [CrossRef] [PubMed]
- Aggarwal, S.; Garcia-Telles, N.; Aggarwal, G.; Lavie, C.; Lippi, G.; Henry, B.M. Clinical features, laboratory characteristics, and outcomes of patients hospitalized with coronavirus disease 2019 (COVID-19): Early report from the United States. Diagnosis 2020, 7, 91–96. [Google Scholar] [CrossRef] [PubMed]
- National Institute for Public Health Romania. Methodology for Surveillance of Acute Respiratory Syndrome with New Coronavirus (COVID-19). Elaborated by the National Centre for Surveillance and Control of Transmisible Diseases. Available online: http://www.insp.gov.ro (accessed on 3 April 2020).
- Gao, X.; Yang, D.; Yuan, Z.; Zhang, Y.; Li, H.; Gao, P.; Liu, X.; Zhao, W.; Xiao, T.; Guan, Y.; et al. Improving the early diagnosis of suspected patients with COVID-19: A retrospective study of 106 patients. J. Infect. Dev. Ctries. 2020, 14, 547–553. [Google Scholar] [CrossRef] [PubMed]
- Xie, S.; Lei, Z.; Chen, X.; Liu, W.; Wang, X.; Dong, Y.; Guo, Y.; Duan, Y.; Cao, H.; Qin, J.; et al. Chest CT-based differential diagnosis of 28 patients with suspected coronavirus disease 2019 (COVID-19). Br. J. Radiol. 2020, 93, 20200243. [Google Scholar] [CrossRef]
- Chen, X.; Yang, Y.; Huang, M.; Liu, L.; Zhang, X.; Xu, J.; Geng, S.; Han, B.; Xiao, J.; Wan, Y. Differences between COVID-19 and suspected then confirmed SARS-CoV-2-negative pneumonia: A retrospective study from a single center. J. Med. Virol. 2020, 92, 1572–1579. [Google Scholar] [CrossRef]
- Zhu, W.; Xie, K.; Lu, H.; Xu, L.; Zhou, S.; Fang, S. Initial clinical features of suspected coronavirus disease 2019 in two emergency departments outside of Hubei, China. J. Med. Virol. 2020, 92, 1525–1532. [Google Scholar] [CrossRef]
- Wu, Z.; McGoogan, J.M. Characteristics of and Important Lessons from the Coronavirus Disease 2019 (COVID-19) Outbreak in China: Summary of a Report of 72,314 Cases from the Chinese Center for Disease Control and Prevention. JAMA 2020, 323, 1239–1242. [Google Scholar] [CrossRef]
- Berlin, I.; Thomas, D.; Le Faou, A.L.; Cornuz, J. COVID-19 and Smoking. Nicotine Tob. Res. 2020, 22, 1650–1652. [Google Scholar] [CrossRef] [PubMed]
- Van Zyl-Smit, R.N.; Richards, G.; Leone, F. Tobacco smoking and COVID-19 infection. Lancet Respir. Med. Spotlight 2020, 8, 664–665. [Google Scholar] [CrossRef]
- Wichmann, D.; Sperhake, J.P.; Lutgehetmann, M.; Steurer, S.; Edler, C.; Heinemann, A.; Heinrich, F.; Mushumba, H.; Kniep, I.; Schroder, A.S.; et al. Autopsy Findings and Venous Thromboembolism in Patients With COVID-19: A Prospective Cohort Study. Ann. Intern. Med. 2020, 173, 268–277. [Google Scholar] [CrossRef] [PubMed]
- Klok, F.A.; Kruip, M.J.H.A.; van der Meer, N.J.M.; Arbous, M.S.; Gommers, D.A.M.P.J.; Kant, K.M.; Endeman, H. Incidence of thrombotic complications in critically ill ICU patients with COVID-19. Thromb. Res. 2020, 191, 145–147. [Google Scholar] [CrossRef] [PubMed]
- Llitjos, J.F.; Leclerc, M.; Chochois, C.; Monsallier, J.M.; Ramakers, M.; Auvray, M.; Merouani, K. High incidence of venous thromboembolic events in anticoagulated severe COVID-19 patients. J. Thromb. Haemost. 2020, 18, 1743–1746. [Google Scholar] [CrossRef]
- Zhai, Z.; Li, C.; Chen, Y.; Gerotziafas, G.; Zhang, Z.; Wan, J.; Liu, P.; Elalamy, I.; Wang, C. Prevention and Treatment of Venous Thromboembolism Associated with Coronavirus Disease 2019 Infection: A Consensus Statement before Guidelines. Thromb. Haemost. 2020, 120, 937–948. [Google Scholar] [CrossRef]
- Sanchis-Gomar, F.; Lavie, C.J.; Mehra, M.R.; Henry, B.M.; Lippi, G. Obesity and Outcomes in COVID-19: When an Epidemic and Pandemic Collide. Mayo Clin. Proc. 2020, 95, 1445–1453. [Google Scholar] [CrossRef]
- Huang, C.; Wang, Y.; Li, X.; Ren, L.; Zhao, J.; Hu, Y.; Zhang, L.; Fan, G.; Xu, J.; Gu, X.; et al. Clinical features of patients infected with 2019 novel coronavirus in Wuhan, China. Lancet 2020, 395, 497–506. [Google Scholar] [CrossRef]
- Xu, X.W.; Wu, X.X.; Jiang, X.G.; Xu, K.J.; Ying, L.J.; Ma, C.L.; Li, S.B.; Wang, H.Y.; Zhang, S.; Gao, H.N.; et al. Clinical findings in a group of patients infected with the 2019 novel coronavirus (SARS-Cov-2) outside of Wuhan, China: Retrospective case series. BMJ 2020, 368, m606. [Google Scholar] [CrossRef]
- Pascarella, G.; Strumia, A.; Piliego, C.; Bruno, F.; Del Buono, R.; Costa, F.; Scarlata, S.; Eugenio, F. COVID-19 diagnosis and management: A comprehensive review. JIM 2020, 288, 192–206. [Google Scholar] [CrossRef]
- Wettersten, N.; Maisel, A. Role of Cardiac Troponin Levels in Acute Heart Failure. Card. Fail. Rev. 2015, 1, 102–106. [Google Scholar] [CrossRef]
- Henzler, T.; Roeger, S.; Meyer, M.; Schoepf, U.J.; Nance, J.W., Jr.; Haghi, D.; Kaminski, W.E.; Neumaier, M.; Schoenberg, S.O.; Fink, C. Pulmonary embolism: CT signs and cardiac biomarkers for predicting right ventricular dysfunction. Eur. Respir. J. 2012, 39, 919–926. [Google Scholar] [CrossRef]
- Ding, G.Z.; Li, W.S. The expressions and significance of APN, D-D, IL-17 and HS-CRP in patients with acute exacerbation of chronic obstructive pulmonary disease. Eur. Rev. Med. Pharmacol. Sci. 2018, 22, 6463–6468. [Google Scholar]
- Tandara, L.; Grubisic, T.Z.; Ivan, G.; Jurisic, Z.; Tandara, M.; Gugo, K.; Mladinov, S.; Salamunic, I. Systemic inflammation up-regulates serum hepcidin in exacerbations and stabile chronic obstructive pulmonary disease. Clin. Biochem. 2015, 48, 1252–1257. [Google Scholar] [CrossRef]
- Zonda, G.I.; Zonda, R.; Cernomaz, A.T.; Păduraru, L.; Avasiloaiei, A.L.; Grigoriu, B.D. Endocan—A potential diagnostic marker for early onset sepsis in neonates. J. Infect. Dev. Ctries. 2019, 13, 311–317. [Google Scholar] [CrossRef]
- Zonda, G.I.; Zonda, R.; Cernomaz, A.T.; Păduraru, L.; Grigoriu, B.D. Endocan serum concentration in uninfected newborn infants. J. Infect. Dev. Ctries. 2019, 13, 817–822. [Google Scholar] [CrossRef]
- Oikonomou, T.; Goulis, I.; Soulaidopoulos, S.; Karasmani, A.; Doumtsis, P.; Tsioni, K.; Mandala, E.; Akriviadis, E.; Cholongitas, E. High serum ferritin is associated with worse outcome of patients with decompensated cirrhosis. Ann. Gastroenterol. 2017, 30, 217–224. [Google Scholar]
- Li, Y.; Qi, X.; Li, H.; Dai, J.; Deng, H.; Li, J.; Peng, Y.; Liu, X.; Sun, X.; Guo, X. D-dimer level for predicting the in-hospital mortality in liver cirrhosis: A retrospective study. Exp. Ther. Med. 2017, 13, 285–289. [Google Scholar] [CrossRef]
- Simpson, S.; Kay, F.Y.; Abbara, S.; Bhalla, S.; Chung, J.H.; Chung, M.; Henry, T.S.; Kanne, J.P.; Kligerman, S.; Ko, J.P.; et al. Radiological Society of North America expert consensus statement on reporting chest CT findings related to COVID-19: Endorsed by the Society of Thoracic Radiology, the American College of Radiology, and RSNA. Radiol. Cardiothorac. Imaging 2020, 2, e200152. [Google Scholar]
- Zhuang, G.H.; Shen, M.W.; Zeng, L.X. Potential false-positive rate among the ‘asymptomatic infected individuals’ in close contacts of COVID-19 patients. Zhonghua Liu Xing Bing Xue Za Zhi 2020, 41, 485–488. [Google Scholar]


|
| Chronic Diseases | SARS-CoV-2 POS (n = 20) | SARS-CoV-2 NEG (n = 233) | p-Value for Chi2 Test | RR | 95% CI | ||
|---|---|---|---|---|---|---|---|
| n | % | n | % | ||||
| Obesity | 5 | 25.0 | 51 | 21.9 | 0.751 | 1.17POS | 0.45–3.09 |
| Diabetes mellitus | 4 | 20.0 | 50 | 21.5 | 0.878 | 1.01NEG | 0.92–1.10 |
| Hypertension | 10 | 50.0 | 111 | 47.6 | 0.839 | 1.09POS | 0.47–2.53 |
| Chronic coronary syndrome | 4 | 20.0 | 68 | 29.2 | 0.367 | 1.04NEG | 0.96–1.11 |
| Chronic heart failure | 3 | 15.0 | 106 | 45.5 | 0.005 | 1.10NEG | 1.03–1.18 |
| Atrial fibrillation | 1 | 5.0 | 64 | 27.5 | 0.011 | 1.10NEG | 1.04–1.16 |
| Venous thromboembolism | 3 | 15.0 | 10 | 4.3 | 0.037 | 3.26POS | 1.09–9.72 |
| COPD | 0 | 0.0 | 31 | 13.3 | 0.019 | 1.10NEG | 1.05–1.15 |
| Pulmonary fibrosis | 3 | 15.0 | 43 | 18.5 | 0.694 | 1.02NEG | 0.93–1.11 |
| Liver cirrhosis | 1 | 5.0 | 32 | 13.7 | 0.215 | 1.07NEG | 0.99–1.14 |
| Chronic kidney disease | 2 | 10.0 | 56 | 24.0 | 0.120 | 1.06NEG | 1.00–1.14 |
| Bronchial asthma | 1 | 5.0 | 6 | 2.6 | 0.564 | 1.85POS | 0.29–11.9 |
| Bronchiectasis | 1 | 5.0 | 20 | 8.6 | 0.552 | 1.04NEG | 0.94–1.15 |
| Lung cancer | 0 | 0.0 | 3 | 1.3 | 0.315 | 1.09NEG | 1.05–1.13 |
| Chronic hepatitis | 3 | 15.0 | 36 | 15.5 | 0.957 | 1.01NEG | 0.91–1.11 |
| Inflammatory bowel disease | 0 | 0.0 | 3 | 1.3 | 0.484 | 1.09NEG | 1.05–1.13 |
| Peptic ulcer | 0 | 0.0 | 10 | 4.3 | 0.195 | 1.09NEG | 1.05–1.13 |
| Digestive cancer | 0 | 0.0 | 12 | 5.2 | 0.099 | 1.09NEG | 1.05–1.14 |
| Clinical Characteristic | SARS-CoV-2 POS (n = 20) | SARS-CoV-2 NEG (n = 233) | p-Value for Chi2 Test | Odds Ratio | 95% CI | ||
|---|---|---|---|---|---|---|---|
| n | % | n | % | ||||
| History of fever at home | 12 | 60.0 | 74 | 31.8 | 0.013 | 3.22 | 1.26–8.22 |
| Fever at presentation | 5 | 25.0 | 43 | 18.5 | 0.488 | 1.47 | 0.51–4.27 |
| Asthenia | 7 | 35.0 | 64 | 27.5 | 0.481 | 1.42 | 0.54–3.32 |
| Headache | 4 | 20.0 | 24 | 10.3 | 0.222 | 2.18 | 0.67–7.05 |
| Dry cough | 12 | 60.0 | 79 | 33.9 | 0.023 | 2.92 | 1.15–7.45 |
| Sputum production | 3 | 15.0 | 34 | 14.6 | 0.961 | 1.03 | 0.29–3.72 |
| Chest pain | 6 | 30.0 | 47 | 20.2 | 0.320 | 1.70 | 0.62–4.65 |
| Dyspnea | 7 | 35.0 | 132 | 56.7 | 0.050 | 0.41 | 0.16–1.07 |
| Myalgias | 7 | 35.0 | 19 | 8.2 | 0.002 | 6.07 | 2.16–17.0 |
| Dysphonia | 0 | 0.0 | 7 | 3.0 | 0.279 | - | - |
| Sore throat | 3 | 15.0 | 9 | 3.9 | 0.025 | 4.39 | 1.09–17.8 |
| Anosmia (loss of smell) | 1 | 5.0 | 0 | 0.0 | 0.024 | - | - |
| Dysgeusia (loss of taste) | 1 | 5.0 | 1 | 0.4 | 0.113 | 12.2 | 0.74–203.0 |
| Nausea | 2 | 10.0 | 15 | 6.4 | 0.565 | 1.62 | 0.34–7.62 |
| Vomiting | 2 | 10.0 | 19 | 8.2 | 0.780 | 1.25 | 0.27–5.81 |
| Abdominal pain | 4 | 20.0 | 82 | 35.2 | 0.151 | 0.46 | 0.15–1.42 |
| Diarrhea | 4 | 20.0 | 30 | 12.9 | 0.395 | 1.69 | 0.53–5.40 |
| Loss of appetite | 3 | 15.0 | 10 | 4.3 | 0.037 | 3.94 | 0.99–15.7 |
| Arthralgia | 1 | 5.0 | 11 | 4.7 | 0.955 | 1.06 | 0.13–8.67 |
| Evolution and Hospitalization | SARS-CoV-2 POS (n = 20) | SARS-CoV-2 NEG (n = 233) | ||
|---|---|---|---|---|
| n | % | n | % | |
| Discharged improved | - | - | 207 | 81.8 |
| Transferred to Infectious Disease Hospital | 20 | 7.9 | - | - |
| Admitted to ICU | 0 | 0.0 | 17 | 6.7 |
| Deceased | 0 | 0.0 | 26 | 10.3 |
| Characteristic | SARS-CoV-2 POS (n = 20) | SARS-CoV-2 NEG (n = 233) | p-Value (SARS-CoV-2 POS vs. SARS-CoV-2 NEG) |
|---|---|---|---|
| Decreased absolute value of lymphocyte count (˂1000/mm3), N (%) | 12 (60.0%) | 176 (75.5%) | 0.121 |
| Increased CRP (˃0.5 mg/dL), N (%) | 15 (75.0%) | 177 (76.0%) | 0.814 |
| Increased D-dimer (˃5 mcg/mL), N (%) | 1 (5.0%) | 35 (15.0%) | 0.459 |
| Increased LDH (˃214 IU/L), N (%) | 7 (35.0%) | 77 (33.0%) | 0.893 |
| Increased CKMB (˃25 IU/L), N (%) | 3 (15.0%) | 53 (22.8%) | 0.709 |
| Increased troponin (˃29 ng/L), N (%) | 4 (20.0%) | 56 (24.0%) | 0.323 |
| Increased ferritin (˃300 ng/mL), N (%) | 3 (15.0%) | 38 (16.3%) | 0.130 |
| CT Changes | SARS-CoV-2 POS (n = 20) | SARS-CoV-2 NEG (n = 233) | p-Value for Chi2 Test | RR | 95% CI | ||
|---|---|---|---|---|---|---|---|
| n | % | n | % | ||||
| Ground-glass opacities | 9 | 45.0 | 34 | 14.6 | 0.002 | 3.99POS | 1.76–12.4 |
| Consolidationaspects | 1 | 5.0 | 33 | 14.2 | 0.197 | 1.06NEG | 0.99–1.14 |
| Ground-glass opacities + consolidation | 5 | 25.0 | 57 | 24.5 | 0.957 | 1.03POS | 0.92–1.09 |
| Variables | Univariate Logistic Regression | Multivariate Logistic Regression | ||||
|---|---|---|---|---|---|---|
| OR | 95% CI | p-Value | OR | 95% CI | p-Value | |
| Venous thromboembolism | 3.935 | 1.001–15.66 | 0.037 | 2.553 | 1.084–5.133 | 0.003 |
| History of fever at home | 3.223 | 1.264–8.219 | 0.013 | |||
| Dry cough | 2.920 | 1.151–7.450 | 0.023 | |||
| Myalgia | 6.072 | 2.162–17.02 | 0.002 | 1.886 | 1.744–5.727 | 0.005 |
| Sore throat | 4.390 | 1.091–17.80 | 0.025 | |||
| Loss of appetite | 3.943 | 0.999–15.70 | 0.037 | 1.696 | 1.058–5.097 | 0.043 |
| GGO on CT scan | 4.320 | 1.617–11.54 | 0.002 | 1.671 | 1.640–4.749 | 0.005 |
| Variables | AUC | 95% CI | p-Value | Sensitivity (%) | Specificity (%) |
|---|---|---|---|---|---|
| History of fever at home | 0.641 | 0.512–0.771 | 0.036 | 65.0 | 62.0 |
| Dry cough | 0.630 | 0.501–0.760 | 0.050 | 65.0 | 60.0 |
| Myalgia | 0.634 | 0.491–0.778 | 0.046 | 75.0 | 45.0 |
| Sore throat | 0.556 | 0.415–0.697 | 0.409 | 55.0 | 52.0 |
| Anosmia | 0.525 | 0.388–0.662 | 0.711 | 52.0 | 50.0 |
| Loss of appetite | 0.554 | 0.412–0.694 | 0.427 | 55.0 | 51.0 |
| GGO on CT scan | 0.652 | 0.513–0.791 | 0.024 | 85.0 | 45.0 |
Publisher’s Note: MDPI stays neutral with regard to jurisdictional claims in published maps and institutional affiliations. |
© 2021 by the authors. Licensee MDPI, Basel, Switzerland. This article is an open access article distributed under the terms and conditions of the Creative Commons Attribution (CC BY) license (http://creativecommons.org/licenses/by/4.0/).
Share and Cite
Haliga, R.E.; Sorodoc, V.; Lionte, C.; Petris, O.R.; Bologa, C.; Coman, A.E.; Vata, L.G.; Puha, G.; Dumitrescu, G.; Sirbu, O.; et al. Acute Clinical Syndromes and Suspicion of SARS-CoV-2 Infection: The Experience of a Single Romanian Center in the Early Pandemic Period. Medicina 2021, 57, 121. https://doi.org/10.3390/medicina57020121
Haliga RE, Sorodoc V, Lionte C, Petris OR, Bologa C, Coman AE, Vata LG, Puha G, Dumitrescu G, Sirbu O, et al. Acute Clinical Syndromes and Suspicion of SARS-CoV-2 Infection: The Experience of a Single Romanian Center in the Early Pandemic Period. Medicina. 2021; 57(2):121. https://doi.org/10.3390/medicina57020121
Chicago/Turabian StyleHaliga, Raluca Ecaterina, Victorita Sorodoc, Catalina Lionte, Ovidiu Rusalim Petris, Cristina Bologa, Adorata Elena Coman, Luminita Gina Vata, Gabriela Puha, Gabriela Dumitrescu, Oana Sirbu, and et al. 2021. "Acute Clinical Syndromes and Suspicion of SARS-CoV-2 Infection: The Experience of a Single Romanian Center in the Early Pandemic Period" Medicina 57, no. 2: 121. https://doi.org/10.3390/medicina57020121
APA StyleHaliga, R. E., Sorodoc, V., Lionte, C., Petris, O. R., Bologa, C., Coman, A. E., Vata, L. G., Puha, G., Dumitrescu, G., Sirbu, O., Stoica, A., Ceasovschih, A., Constantin, M., Nicoleta Catana, A., Jaba, E., & Sorodoc, L. (2021). Acute Clinical Syndromes and Suspicion of SARS-CoV-2 Infection: The Experience of a Single Romanian Center in the Early Pandemic Period. Medicina, 57(2), 121. https://doi.org/10.3390/medicina57020121

