A Challenge of COVID—19: Associated Infective Endocarditis with Streptococcus gordonii in a Young Immunocompetent Patient
Abstract
:1. Introduction
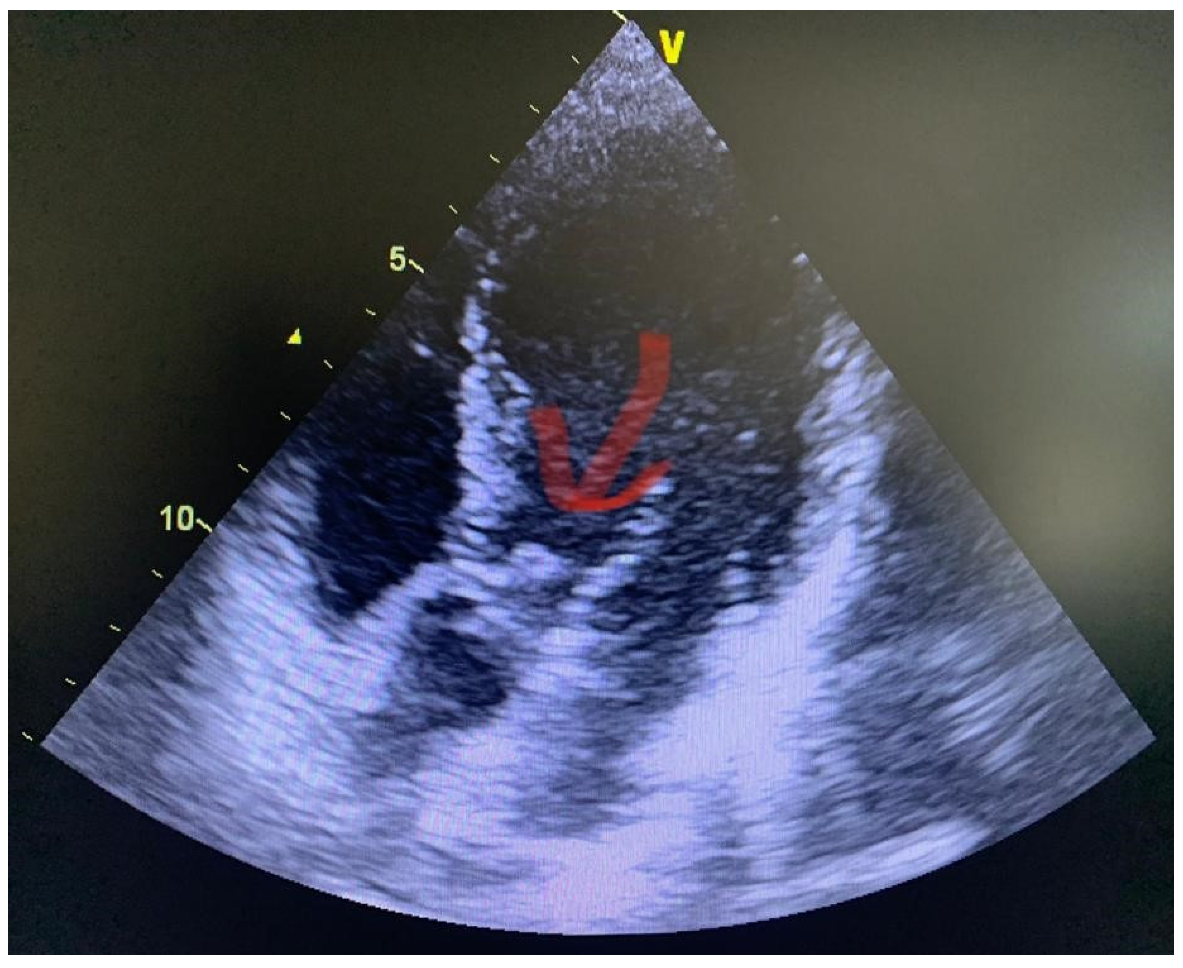
2. Case Presentation
3. Discussion
4. Conclusions
Supplementary Materials
Author Contributions
Funding
Institutional Review Board Statement
Informed Consent Statement
Data Availability Statement
Acknowledgments
Conflicts of Interest
Appendix A

References
- Lang, J.P.; Wang, X.; Moura, F.A.; Siddiqi, H.K.; Morrow, D.A.; Bohula, E.A. A current review of COVID-19 for the cardiovascular specialist. Am. Heart J. 2020, 226, 29–44. [Google Scholar] [CrossRef] [PubMed]
- Kariyanna, P.T.; Jayarangaiah, A.; Dulal, J.; Jayarangaiah, A.; Das, S.; Punnakudiyil, G.J.; Tadayoni, A.; Freilich, M.; McFarlane, I.M. Infective Endocarditis and COVID 19: A Systematic Review. Am. J. Med. Case Rep. 2021, 9, 380–385. [Google Scholar] [CrossRef]
- Escolà-Vergé, L.; Cuervo, G.; de Alarcón, A.; Sousa, D.; Barca, L.V.; Fernández-Hidalgo, N.; Gutiérrez-Carretero, E.; Luque-Márquez, R.; Baz, B.A.; López-Cortés, L.E.; et al. Impact of the COVID-19 pandemic on the diagnosis, management and prognosis of infective endocarditis. Clin. Microbiol. Infect. 2021, 27, 660–664. [Google Scholar] [CrossRef] [PubMed]
- Mihos, C.G.; Nappi, F. A narrative review of echocardiography in infective endocarditis of the right heart. Ann. Transl. Med. 2020, 8, 1622. [Google Scholar] [CrossRef] [PubMed]
- Habib, G.; Lancellotti, P.; Antunes, M.J.; Bongiorni, M.G.; Casalta, J.-P.; Del Zotti, F.; Dulgheru, R.; El Khoury, G.; Erba, P.A.; Iung, B.; et al. 2015 ESC Guidelines for the management of infective endocarditis: The Task Force for the Management of Infective Endocarditis of the European Society of Cardiology (ESC). Endorsed by: European Associ-ation for Cardio-Thoracic Surgery (EACTS), the European Association of Nuclear Medicine (EANM). Eur. Heart J. 2015, 36, 3075–3128. [Google Scholar] [CrossRef]
- Lareb Database. Reports the Database of the Netherlands Pharmacovigilance Centre Lareb. Available online: https://databankws.lareb.nl/Downloads/KWB_2013_1_ceftr.pdf (accessed on 12 May 2021).
- Abranches, J.; Zeng, L.; Kajfasz, J.K.; Palmer, S.R.; Chakraborty, B.; Wen, Z.T.; Richards, V.; Brady, L.J.; Lemos, J. Biology of Oral Streptococci. Microbiol. Spectr. 2018, 6. [Google Scholar] [CrossRef] [PubMed]
- Park, O.-J.; Kwon, Y.; Park, C.; So, Y.J.; Park, T.H.; Jeong, S.; Im, J.; Yun, C.-H.; Han, S.H. Streptococcus gordonii: Pathogenesis and Host Response to Its Cell Wall Components. Microorganisms 2020, 8, 1852. [Google Scholar] [CrossRef] [PubMed]
- Soffritti, I.; D’Accolti, M.; Fabbri, C.; Passaro, A.; Manfredini, R.; Zuliani, G.; Libanore, M.; Franchi, M.; Contini, C.; Caselli, E. Oral Microbiome Dysbiosis Is Associated With Symptoms Severity and Local Immune/Inflammatory Response in COVID-19 Patients: A Cross-Sectional Study. Front. Microbiol. 2021, 12, 687513. [Google Scholar] [CrossRef] [PubMed]
- Iebba, V.; Zanotta, N.; Campisciano, G.; Zerbato, V.; Di Bella, S.; Cason, C.; Luzzati, R.; Confalonieri, M.; Palamara, A.T.; Comar, M. Profiling of Oral Microbiota and Cytokines in COVID-19 Patients. Front. Microbiol. 2021, 12. [Google Scholar] [CrossRef] [PubMed]
- Rawla, P.; Padala, S.A.; Ludhwani, D. Poststreptococcal Glomerulonephritis; StatPearls: Treasure Island, FL, USA, 2021. [Google Scholar]
- Boils, C.L.; Nasr, S.H.; Walker, P.D.; Couser, W.G.; Larsen, C. Update on endocarditis-associated glomerulonephritis. Kidney Int. 2015, 87, 1241–1249. [Google Scholar] [CrossRef] [PubMed] [Green Version]
- Linschoten, M.; Peters, S.; Van Smeden, M.; Jewbali, L.S.; Schaap, J.; Siebelink, H.-M.; Smits, P.C.; Tieleman, R.G.; Van Der Harst, P.; Van Gilst, W.H.; et al. Cardiac complications in patients hospitalised with COVID-19. Eur. Heart J. Acute Cardiovasc. Care 2020, 9, 817–823. [Google Scholar] [CrossRef] [PubMed]
- Amir, M.; Djaharuddin, I.; Sudharsono, A.; Ramadany, S. COVID-19 concomitant with infective endocarditis: A case report and review of management. Int. J. Infect. Dis. 2020, 98, 109–112. [Google Scholar] [CrossRef] [PubMed]
- Dias, C.N.; Farias, L.A.B.G.; Cavalcante, F.J.M.B. Septic Embolism in a Patient with Infective Endocarditis and COVID-19. Am. J. Trop. Med. Hyg. 2020, 103, 2160–2161. [Google Scholar] [CrossRef] [PubMed]
- Kumanayaka, D.; Mutyala, M.; Reddy, D.V.; Slim, J. Coronavirus Disease 2019 Infection as a Risk Factor for Infective Endocarditis. Cureus 2021, 13, e14813. [Google Scholar] [CrossRef] [PubMed]
- Sanders, D.J.; Sutter, J.S.; Tatooles, A.; Suboc, T.M.; Rao, A.K. Endocarditis Complicated by Severe Aortic Insufficiency in a Patient with COVID-19: Diagnostic and Management Implications. Case Rep. Cardiol. 2020, 2020, 8844255. [Google Scholar] [CrossRef] [PubMed]
- Varvodic, J.; Mikecin, V.; Hadzibegovic, I.; Kutlesa, M.; Coric, C.; Rudez, I. Trying to Survive A Serious Heart Condition in Time of COVID-19. Heart Surg. Forum 2021, 24, E372–E374. [Google Scholar] [CrossRef] [PubMed]
Publisher’s Note: MDPI stays neutral with regard to jurisdictional claims in published maps and institutional affiliations. |
© 2021 by the authors. Licensee MDPI, Basel, Switzerland. This article is an open access article distributed under the terms and conditions of the Creative Commons Attribution (CC BY) license (https://creativecommons.org/licenses/by/4.0/).
Share and Cite
Arbune, M.; Iancu, A.-V.; Lupasteanu, G.; Vasile, M.-C.; Stefanescu, V. A Challenge of COVID—19: Associated Infective Endocarditis with Streptococcus gordonii in a Young Immunocompetent Patient. Medicina 2021, 57, 1298. https://doi.org/10.3390/medicina57121298
Arbune M, Iancu A-V, Lupasteanu G, Vasile M-C, Stefanescu V. A Challenge of COVID—19: Associated Infective Endocarditis with Streptococcus gordonii in a Young Immunocompetent Patient. Medicina. 2021; 57(12):1298. https://doi.org/10.3390/medicina57121298
Chicago/Turabian StyleArbune, Manuela, Alina-Viorica Iancu, Gabriela Lupasteanu, Mihaela-Camelia Vasile, and Victorita Stefanescu. 2021. "A Challenge of COVID—19: Associated Infective Endocarditis with Streptococcus gordonii in a Young Immunocompetent Patient" Medicina 57, no. 12: 1298. https://doi.org/10.3390/medicina57121298
APA StyleArbune, M., Iancu, A.-V., Lupasteanu, G., Vasile, M.-C., & Stefanescu, V. (2021). A Challenge of COVID—19: Associated Infective Endocarditis with Streptococcus gordonii in a Young Immunocompetent Patient. Medicina, 57(12), 1298. https://doi.org/10.3390/medicina57121298

