Virtual Navigator Real-Time Ultrasound Fusion Imaging with Positron Emission Tomography/Computed Tomography for Preoperative Breast Cancer
Abstract
1. Introduction
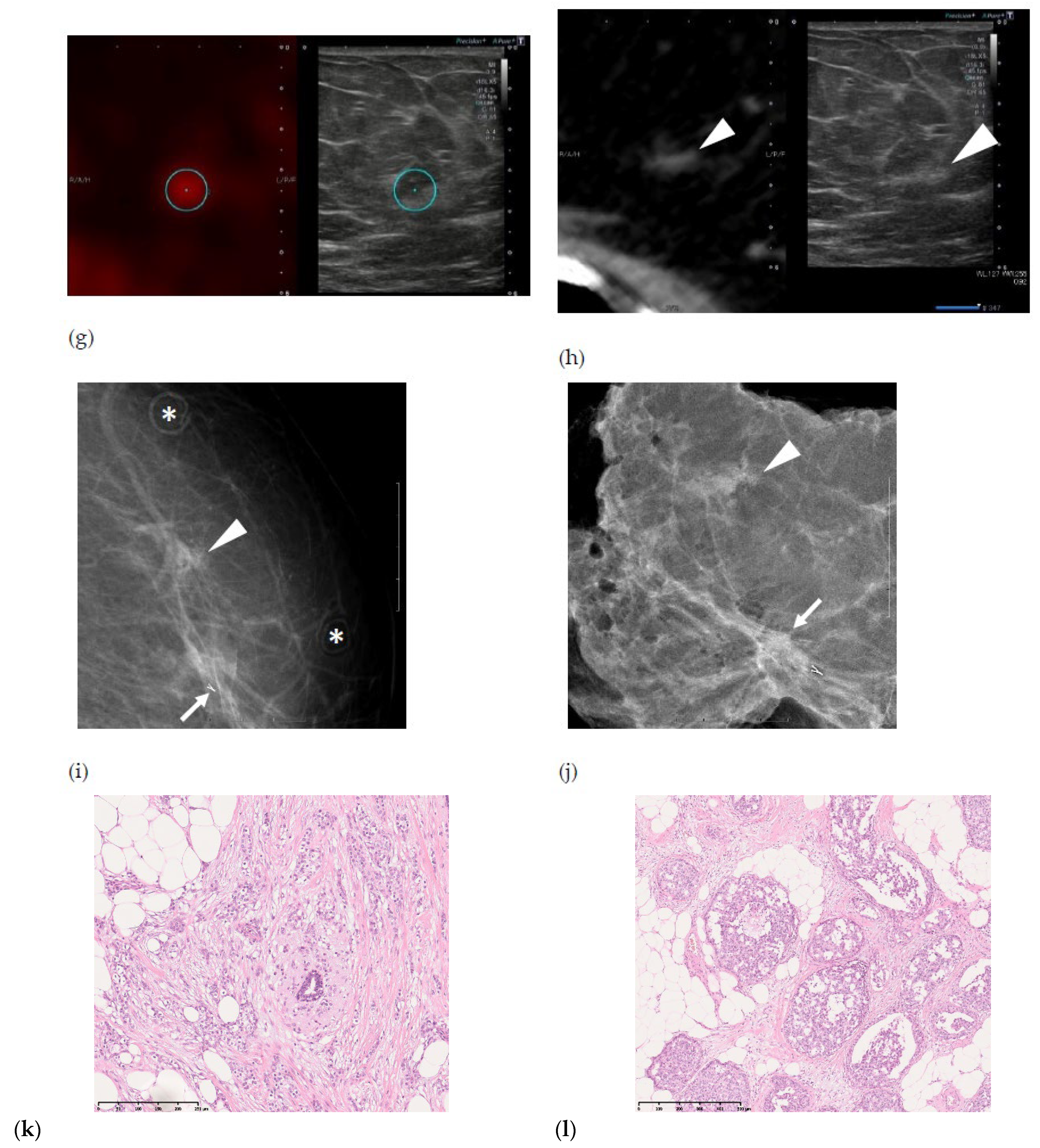
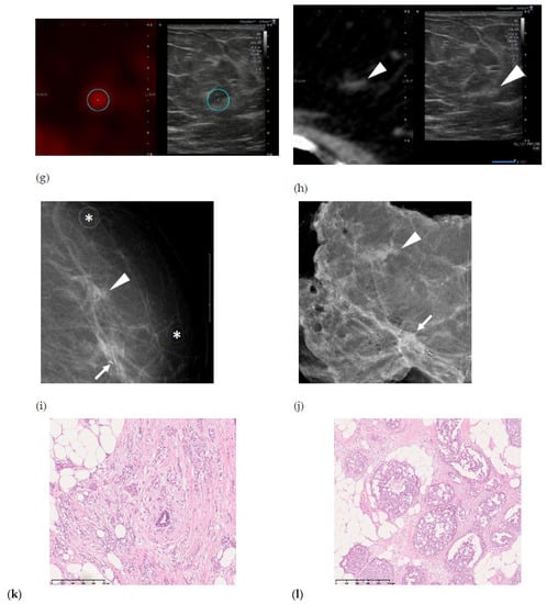
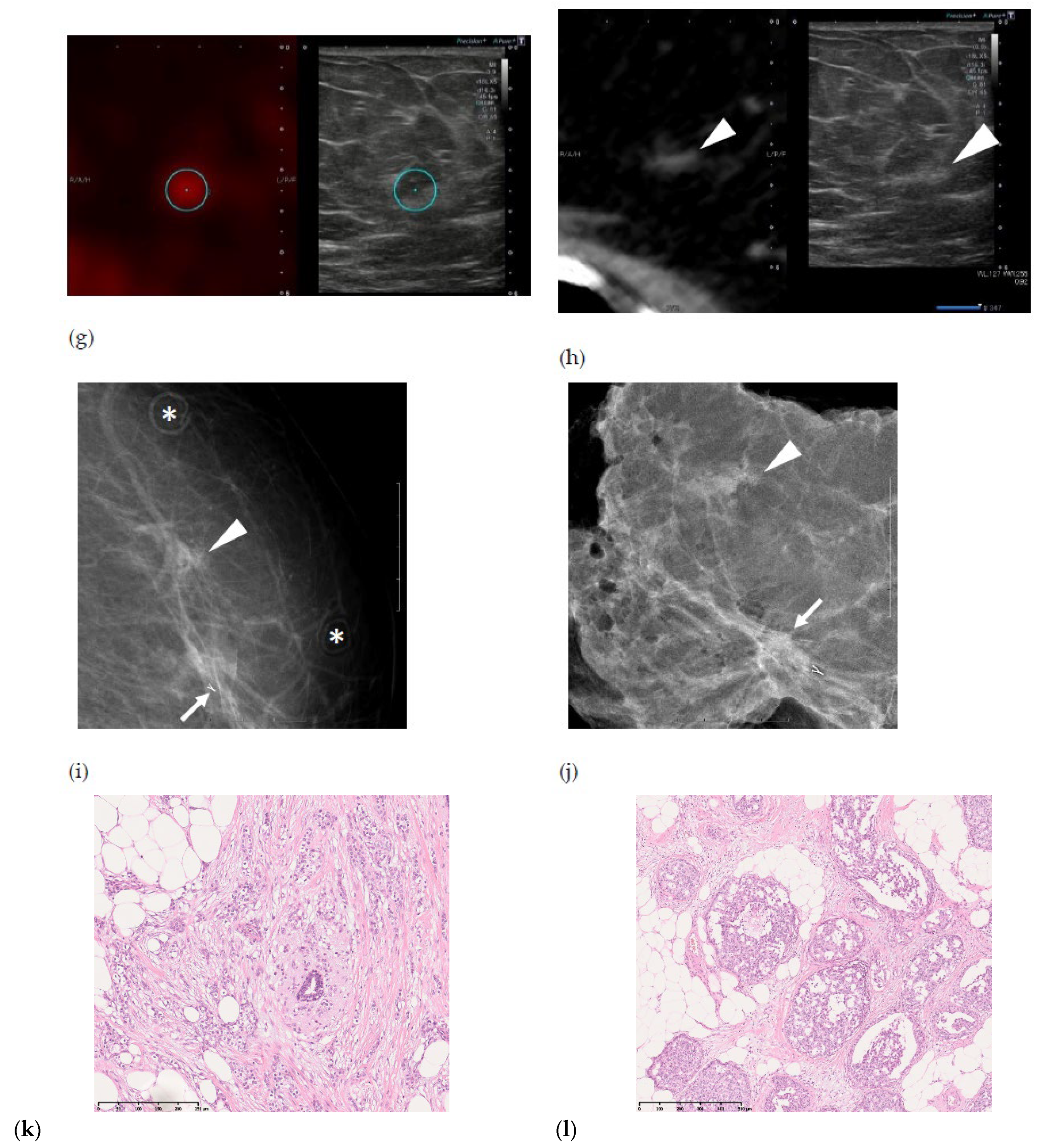
2. Case Presentation
3. Discussion
4. Conclusions
Author Contributions
Funding
Institutional Review Board Statement
Informed Consent Statement
Conflicts of Interest
References
- Paparo, F.; Piccazzo, R.; Cevasco, L.; Piccardo, A.; Pinna, F.; Belli, F.; Bacigalupo, L.; Biscaldi, E.; de Caro, G.; Rollandi, G.A. Advantages of percutaneous abdominal biopsy under PET-CT/ultrasound fusion im-aging guidance: A pictorial essay. Abdom. Imaging 2014, 39, 1102–1113. [Google Scholar] [CrossRef] [PubMed]
- Nakashima, K.; Uematsu, T.; Harada, T.L.; Takahashi, K.; Nishimura, S.; Tadokoro, Y.; Hayashi, T.; Watanabe, J.; Sugino, T. MRI-detected breast lesions: Clinical implications and evaluation based on MRI/ultrasonography fusion technology. Jpn. J. Radiol. 2019, 37, 685–693. [Google Scholar] [CrossRef] [PubMed]
- Venkatesan, A.M.; Kadoury, S.; Abi-Jaoudeh, N.; Levy, E.B.; Maass-Moreno, R.; Krücker, J.; Dalal, S.; Xu, S.; Glossop, N.; Wood, B.J. Real-time FDG PET guidance during biopsies and radiofrequency abla-tion using multimodality fusion with electromagnetic navigation. Radiology 2011, 260, 848–856. [Google Scholar] [CrossRef] [PubMed]
- Di Mauro, E.; Solbiati, M.; De Beni, S.; Forzoni, L.; D’Onofrio, S.; Solbiati, L. Virtual navigator real-time ultrasound fusion imaging with positron emission to-mography for liver interventions. In Proceedings of the 2013 35th Annual International Conference of the IEEE Engineering in Medicine and Biology Society (EMBC), Osaka, Japan, 3–7 July 2013; Volume 2013, pp. 1406–1409. [Google Scholar]
- Ohuchi, N.; Suzuki, A.; Sobue, T.; Kawai, M.; Yamamoto, S.; Zheng, Y.-F.; Shiono, Y.N.; Saito, H.; Kuriyama, S.; Tohno, E.; et al. Sensitivity and specificity of mammography and adjunctive ultrasonography to screen for breast cancer in the Japan Strategic Anti-cancer Randomized Trial (J-START): A randomised controlled trial. Lancet 2016, 387, 341–348. [Google Scholar] [CrossRef]
- Kuhl, C.K.; Schrading, S.; Strobel, K.; Schild, H.H.; Hilgers, R.-D.; Bieling, H.B. Abbreviated Breast Magnetic Resonance Imaging (MRI): First Postcontrast Subtracted Images and Maximum-Intensity Projection—A Novel Approach to Breast Cancer Screening With MRI. J. Clin. Oncol. 2014, 32, 2304–2310. [Google Scholar] [CrossRef] [PubMed]
- Kuhl, C.K. Abbreviated breast MRI for screening women with dense breast: The EA1141 trial. Br. J. Radiol. 2018, 91, 20170441. [Google Scholar] [CrossRef] [PubMed]
- Nishimatsu, K.; Nakamoto, Y.; Miyake, K.K.; Ishimori, T.; Kanao, S.; Toi, M.; Togashi, K. Higher breast cancer conspicuity on dbPET compared to WB-PET/CT. Eur. J. Radiol. 2017, 90, 138–145. [Google Scholar] [CrossRef] [PubMed]
- Paydary, K.; Seraj, S.M.; Zadeh, M.Z.; Emamzadehfard, S.; Shamchi, S.P.; Gholami, S.; Werner, T.J.; Alavi, A. The Evolving Role of FDG-PET/CT in the Diagnosis, Staging, and Treatment of Breast Cancer. Mol. Imaging Biol. 2019, 21, 1–10. [Google Scholar] [CrossRef] [PubMed]
- Uematsu, T.; Takahashi, K.; Nishimura, S.; Watanabe, J.; Yamasaki, S.; Sugino, T.; Oishi, T.; Kakuda, Y.; Sato, M.; Hayashi, T. Real-time virtual sonography examination and biopsy for suspicious breast lesions identified on MRI alone. Eur. Radiol. 2016, 26, 1064–1072. [Google Scholar] [CrossRef] [PubMed]
- Kawasoe, H.; Eguchi, Y.; Mizuta, T.; Yasutake, T.; Ozaki, I.; Shimonishi, T.; Miyazaki, K.; Tamai, T.; Kato, A.; Kudo, S.; et al. Radiofrequency Ablation with the Real-Time Virtual Sonography System for Treating Hepatocellular Carcinoma Difficult to Detect by Ultrasonography. J. Clin. Biochem. Nutr. 2007, 40, 66–72. [Google Scholar] [CrossRef] [PubMed][Green Version]
- Tatsugami, F.; Matsuki, M.; Nakai, G.; Tanikake, M.; Yoshikawa, S.; Narabayashi, I.; Miyaji, K.; Asai, A.; Fujiwara, S.; Hongo, Y.; et al. Hepatic computed tomography for simultaneous depiction of hepatocellular carci-noma, intrahepatic portal veins, and hepatic veins in real-time virtual sonography: Initial experience. J. Ultrasound Med. 2007, 26, 1065–1069. [Google Scholar] [CrossRef] [PubMed]
- Nakano, S.; Kousaka, J.; Fujii, K.; Yorozuya, K.; Yoshida, M.; Mouri, Y.; Akizuki, M.; Tetsuka, R.; Ando, T.; Fukutomi, T.; et al. Impact of real-time virtual sonography, a coordinated sonography and MRI system that uses an image fusion technique, on the sonographic evaluation of MRI-detected lesions of the breast in second-look sonography. Breast Cancer Res. Treat. 2012, 134, 1179–1188. [Google Scholar] [CrossRef] [PubMed]
- Watanabe, R.; Ando, T.; Osawa, M.; Ido, M.; Kousaka, J.; Mouri, Y.; Fujii, K.; Nakano, S.; Kimura, J.; Ishiguchi, T.; et al. Second-look US Using Real-time Virtual Sonography, a Coordinated Breast US and MRI System with Electromagnetic Tracking Technology: A Pilot Study. Ultrasound Med. Biol. 2017, 43, 2362–2371. [Google Scholar] [CrossRef] [PubMed]
- Ando, T.; Ito, Y.; Ido, M.; Osawa, M.; Kousaka, J.; Mouri, Y.; Fujii, K.; Nakano, S.; Kimura, J.; Ishiguchi, T.; et al. Pre-Operative Planning Using Real-Time Virtual Sonography, an MRI/Ultrasound Image Fusion Technique, for Breast-Conserving Surgery in Patients with Non-Mass Enhancement on Breast MRI: A Preliminary Study. Ultrasound Med. Biol. 2018, 44, 1364–1370. [Google Scholar] [CrossRef] [PubMed]
- Krücker, J.; Xu, S.; Venkatesan, A.; Locklin, J.K.; Amalou, H.; Glossop, N.; Wood, B. Clinical Utility of Real-time Fusion Guidance for Biopsy and Ablation. J. Vasc. Interv. Radiol. 2011, 22, 515–524. [Google Scholar] [CrossRef] [PubMed]
- Fei, B.; Abiodun-Ojo, O.A.; Akintayo, A.A.; Akin-Akintayo, O.; Tade, F.; Nieh, P.T.; Master, V.A.; Alemozaffar, M.; Osunkoya, A.O.; Goodman, M.M.; et al. Feasibility and Initial Results: Fluciclovine Positron Emission Tomogra-phy/Ultrasound Fusion Targeted Biopsy of Recurrent Prostate Cancer. J. Urol. 2019, 202, 413–421. [Google Scholar] [CrossRef] [PubMed]
- Freesmeyer, M.; Elsner, P.; Goetze, S.; Kaatz, M.; Winkens, T. Positron emission tomography/ultrasound fusion technique in pa-tients with malignant melanoma. J. Med. Imaging Radiat. Oncol. 2015, 59, 320–325. [Google Scholar] [CrossRef] [PubMed]
- Seifert, P.; Drescher, R.; Pfeil, A.; Freesmeyer, M. Large-vessel vasculitis in positron emission tomography and ultrasound fusion imaging. Rheumatology 2017, 56, 1992. [Google Scholar] [CrossRef] [PubMed][Green Version]
- Mori, M.; Fujioka, T.; Katsuta, L.; Tsuchiya, J.; Kubota, K.; Kasahara, M.; Oda, G.; Nakagawa, T.; Onishi, I.; Tateishi, U. Diagnostic performance of time-of-flight PET/CT for evaluating nodal metastasis of the axilla in breast cancer. Nucl. Med. Commun. 2019, 40, 958–964. [Google Scholar] [CrossRef] [PubMed]
- LeComte, R. Novel detector technology for clinical PET. Eur. J. Nucl. Med. Mol. Imaging 2008, 36, 69–85. [Google Scholar] [CrossRef] [PubMed]


Publisher’s Note: MDPI stays neutral with regard to jurisdictional claims in published maps and institutional affiliations. |
© 2021 by the authors. Licensee MDPI, Basel, Switzerland. This article is an open access article distributed under the terms and conditions of the Creative Commons Attribution (CC BY) license (https://creativecommons.org/licenses/by/4.0/).
Share and Cite
Mori, M.; Kubota, K.; Fujioka, T.; Katsuta, L.; Yashima, Y.; Nomura, K.; Yamaga, E.; Tsuchiya, J.; Hosoya, T.; Oda, G.; et al. Virtual Navigator Real-Time Ultrasound Fusion Imaging with Positron Emission Tomography/Computed Tomography for Preoperative Breast Cancer. Medicina 2021, 57, 1289. https://doi.org/10.3390/medicina57121289
Mori M, Kubota K, Fujioka T, Katsuta L, Yashima Y, Nomura K, Yamaga E, Tsuchiya J, Hosoya T, Oda G, et al. Virtual Navigator Real-Time Ultrasound Fusion Imaging with Positron Emission Tomography/Computed Tomography for Preoperative Breast Cancer. Medicina. 2021; 57(12):1289. https://doi.org/10.3390/medicina57121289
Chicago/Turabian StyleMori, Mio, Kazunori Kubota, Tomoyuki Fujioka, Leona Katsuta, Yuka Yashima, Kyoko Nomura, Emi Yamaga, Junichi Tsuchiya, Tokuko Hosoya, Goshi Oda, and et al. 2021. "Virtual Navigator Real-Time Ultrasound Fusion Imaging with Positron Emission Tomography/Computed Tomography for Preoperative Breast Cancer" Medicina 57, no. 12: 1289. https://doi.org/10.3390/medicina57121289
APA StyleMori, M., Kubota, K., Fujioka, T., Katsuta, L., Yashima, Y., Nomura, K., Yamaga, E., Tsuchiya, J., Hosoya, T., Oda, G., Nakagawa, T., Onishi, I., & Tateishi, U. (2021). Virtual Navigator Real-Time Ultrasound Fusion Imaging with Positron Emission Tomography/Computed Tomography for Preoperative Breast Cancer. Medicina, 57(12), 1289. https://doi.org/10.3390/medicina57121289

