Ebstein Anomaly and Right Aortic Arch in Patient with Charge Syndrome
Abstract
1. Introduction
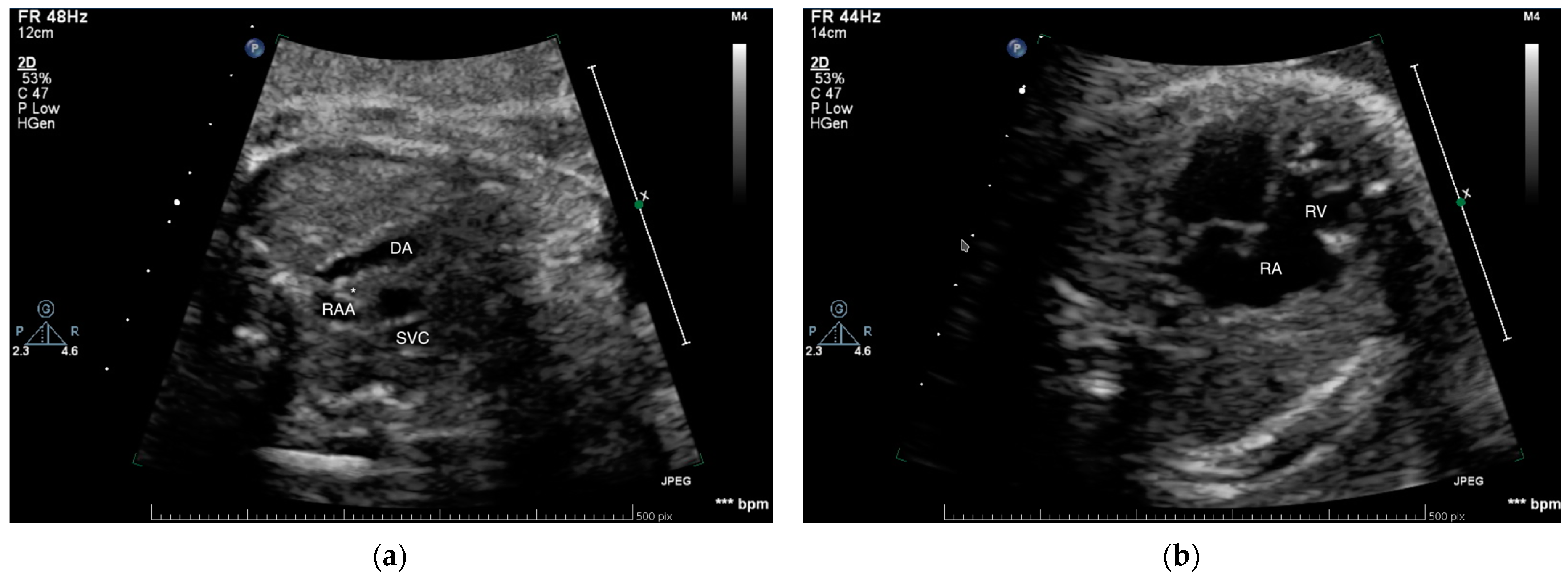
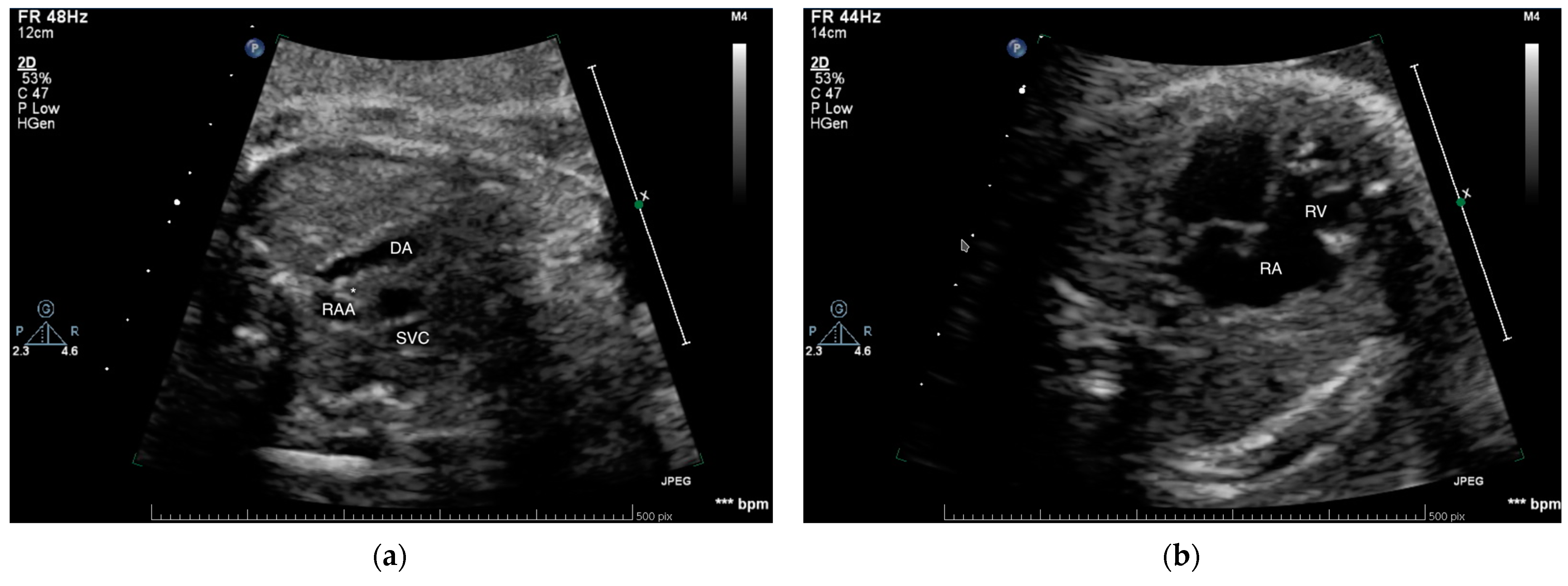
2. Case Report
3. Discussion
Author Contributions
Funding
Institutional Review Board Statement
Informed Consent Statement
Data Availability Statement
Conflicts of Interest
References
- Lupo, P.J.; Langlois, P.H.; Mitchell, L.E. Epidemiology of Ebstein anomaly: Prevalence and patterns in Texas, 1999–2005. Am. J. Med Genet. Part A 2011, 155, 1007–1014. [Google Scholar] [CrossRef]
- Correa-Villaseñor, A.; Ferencz, C.; Neill, C.A.; Wilson, P.D.; Boughman, J.A. The Baltimore-Washington infant study group Ebstein’s malformation of the tricuspid valve: Genetic and environmental factors. Teratology 1994, 50, 137–147. [Google Scholar] [CrossRef] [PubMed]
- Boyle, B.; Garne, E.; Loane, M.; Addor, M.-C.; Arriola, L.; Cavero-Carbonell, C.; Gatt, M.; Lelong, N.; Lynch, C.; Nelen, V.; et al. The changing epidemiology of Ebstein’s anomaly and its relationship with maternal mental health conditions: A European registry-based study. Cardiol. Young 2016, 27, 677–685. [Google Scholar] [CrossRef]
- Edwards, W.D. Embryology and pathologic features of Ebstein’s anomaly. Prog. Pediatr. Cardiol. 1994, 2, 5–15. [Google Scholar] [CrossRef]
- Reyes, K.M.; Jeng, E.I.-H.; Cooke, S.; Hall, D.; Bleiweis, M.S. The Surgical Management of Ebstein Anomaly. Cardiovasc. Innov. Appl. 2018, 3, 13–20. [Google Scholar] [CrossRef]
- Postma, A.; van Engelen, K.; van de Meerakker, J.; Rahman, T.; Probst, S.; Baars, M.J.; Bauer, U.; Pickardt, T.; Sperling, S.R.; Berger, F.; et al. Mutations in the Sarcomere Gene MYH7 in Ebstein Anomaly. Circ. Cardiovasc. Genet. 2011, 4, 43–50. [Google Scholar] [CrossRef]
- Kelle, A.M.; Bentley, S.J.; Rohena, L.O.; Cabalka, A.K.; Olson, T.M. Ebstein anomaly, left ventricular non-compaction, and early onset heart failure associated with a de novo α-tropomyosin gene mutation. Am. J. Med Genet. Part A 2016, 170, 2186–2190. [Google Scholar] [CrossRef] [PubMed]
- Benson, D.W.; Silberbach, G.M.; Kavanaugh-McHugh, A.; Cottrill, C.; Zhang, Y.; Riggs, S.; Smalls, O.; Johnson, M.C.; Watson, M.S.; Seidman, J.G.; et al. Mutations in the cardiac transcription factor NKX2.5 affect diverse cardiac developmental pathways. J. Clin. Investig. 1999, 104, 1567–1573. [Google Scholar] [CrossRef]
- Van Engelen, K.; Postma, A.; Van De Meerakker, J.B.A.; Roos-Hesselink, J.W.; Helderman-van den Enden, A.T.J.M.; Vliegen, H.W.; Rahman, T.; Baars, M.J.H.; Sels, J.W.; Bauer, U.; et al. Ebstein’s anomaly may be caused by mutations in the sarcomere protein gene MYH7. Neth. Hear. J. 2011, 21, 113–117. [Google Scholar] [CrossRef] [PubMed][Green Version]
- Downing, K.F.; Riehle-Colarusso, T.; Gilboa, S.M.; Lin, A.E.; Oster, M.E.; Tinker, S.C.; Farr, S.L. The National Birth Defects Prevention Study Potential risk factors for Ebstein anomaly, National Birth Defects Prevention Study, 1997–2011. Cardiol. Young 2019, 29, 819–827. [Google Scholar] [CrossRef] [PubMed]
- Bernstein, D. Ebstein Anomaly of the Tricuspid valve. In Nelson Textbook of Pediatrics, 20th ed.; Kliegman, R.M., Stanton, B.F., Geme, J.S., Schor, N.F., Behrman, R.E., Eds.; Elsevier: Philadelphia, PA, USA, 2016; Volume 2, pp. 2221–2222. [Google Scholar]
- Cetta, F.; Dearani, J.A.; O’Leary, P.W.; Driscoll, D.J. Tricuspid Valve Disorders: Atresia, Dysplasia, and Ebstein Anomaly. In Moss and Adams’ Heart Disease in Infants, Children, and Adolescents: Including the Fetus and Young Adult, 9th ed.; Allen, H.D., Shaddy, R.E., Penny, D.J., Feltes, T.F., Cetta, F., Eds.; Lippincott Williams & Wilkins: Philadelphia, PA, USA, 2016; Volume 1, pp. 949–981. [Google Scholar]
- Jost, C.H.A.; Connolly, H.M.; O’Leary, P.W.; Warnes, C.A.; Tajik, A.J.; Seward, J.B. Left Heart Lesions in Patients With Ebstein Anomaly. Mayo Clin. Proc. 2005, 80, 361–368. [Google Scholar] [CrossRef]
- Danielson, G.K.; Driscoll, D.J.; Mair, D.D.; Warnes, C.A.; Oliver, W.C. Operative treatment of Ebstein’s anomaly. J. Thorac. Cardiovasc. Surg. 1992, 104, 1195–1202. [Google Scholar] [CrossRef]
- Arizmendi, A.F.; Pineda, L.F.; Jiménez, C.Q.; Azcárate, M.J.M.; Sarachaga, I.H.; Urroz, E.; de León, J.P.; Moya, J.L.; Jiménez, M.Q. The clinical profile of Ebstein’s malformation as seen from the fetus to the adult in 52 patients. Cardiol. Young 2004, 14, 55–63. [Google Scholar] [CrossRef]
- Celermajer, D.S.; Bull, C.; Till, J.A.; Cullen, S.; Vassillikos, V.P.; Sullivan, I.D.; Allan, L.; Nihoyannopoulos, P.; Somerville, J.; Deanfield, J. Ebstein’s anomaly: Presentation and outcome from fetus to adult. J. Am. Coll. Cardiol. 1994, 23, 170–176. [Google Scholar] [CrossRef]
- Castaneda-Zuniga, W.; Nath, H.P.; Moller, J.H.; Edwards, J.E. Left-sided anomalies in Ebstein’s malformation of the tricuspid valve. Pediatr. Cardiol. 1982, 3, 181–185. [Google Scholar] [CrossRef] [PubMed]
- Celermajer, D.S.; Dodd, S.M.; Greenwald, S.; Wyse, R.K.; Deanfield, J. Morbid anatomy in neonates with Ebstein’s anomaly of the tricuspid valve: Pathophysiologic and clinical implications. J. Am. Coll. Cardiol. 1992, 19, 1049–1053. [Google Scholar] [CrossRef]
- Ferreira, S.M.F.; Ebaid, M.; Aiello, V.D. Ebstein’s malformation of the tricuspid and mitral valves associated with hypoplasia of the ascending aorta. Int. J. Cardiol. 1991, 33, 170–172. [Google Scholar] [CrossRef]
- Filippelli, S.; Perri, G.; Kirk, R.; Hasan, A.; Griselli, M. Surgical Management of a Neonate with Congenitally Corrected Transposition of the Great Vessels, Hypoplastic Right Aortic Arch, and Ebstein Anomaly. J. Card. Surg. 2013, 28, 764–766. [Google Scholar] [CrossRef]
- Rebolledo, J.R. Ebstein’s anomaly with right aortic arch: Review of the cardiovascular defects associated with Ebstein’s malformation of the tricuspid valve. J. Pediatr. 1967, 71, 66–69. [Google Scholar] [CrossRef]
- Kumar, A.E.; Fyler, D.C.; Miettinen, O.S.; Nadas, A.S. Ebstein’s anomaly: Clinical profile and natural history. Am. J. Cardiol. 1971, 28, 84–95. [Google Scholar] [CrossRef]
- Corsten-Janssen, N.; Kerstjens, M.; Sarvaas, G.J.D.M.; Baardman, M.E.; Bakker, M.K.; Bergman, J.; Hove, H.D.; Heimdal, K.; Rustad, C.F.; Hennekam, R.C.; et al. The Cardiac Phenotype in Patients With a CHD7 Mutation. Circ. Cardiovasc. Genet. 2013, 6, 248–254. [Google Scholar] [CrossRef] [PubMed]
- Pagon, R.A.; Graham, J.M., Jr.; Zonana, J.; Yong, S.-L. Coloboma, congenital heart disease, and choanal atresia with multiple anomalies: CHARGE association. J. Pediatr. 1981, 99, 223–227. [Google Scholar] [CrossRef]
- Vissers, L.E.L.M.; Van Ravenswaaij, C.M.A.; Admiraal, R.; Hurst, J.A.; De Vries, B.B.A.; Janssen, I.M.; Van Der Vliet, W.A.; Huys, E.H.L.P.G.; De Jong, P.J.; Hamel, B.C.J.; et al. Mutations in a new member of the chromodomain gene family cause CHARGE syndrome. Nat. Genet. 2004, 36, 955–957. [Google Scholar] [CrossRef]
- Legendre, M.; Abadie, V.; Attie-Bitach, T.; Philippe, P.; Busa, T.; Bonneau, D.; Colin, E.; Dollfus, H.; Lacombe, D.; Toutain, A.; et al. Phenotype and genotype analysis of a French cohort of 119 patients with CHARGE syndrome. Am. J. Med Genet. Part C: Semin. Med Genet. 2017, 175, 417–430. [Google Scholar] [CrossRef]
- Jongmans, M.C.J.; Admiraal, R.J.; van der Donk, K.P.; Vissers, L.E.L.M.; Baas, A.F.; Kapusta, L.; van Hagen, J.M.; Donnai, D.; de Ravel, T.J.; Veltman, J.; et al. CHARGE syndrome: The phenotypic spectrum of mutations in the CHD7 gene. J. Med Genet. 2005, 43, 306–314. [Google Scholar] [CrossRef] [PubMed]
- Lin, A.E. The Pattern of Cardiovascular Malformation in the CHARGE Association. Arch. Pediatr. Adolesc. Med. 1987, 141, 1010–1013. [Google Scholar] [CrossRef]
- Wyse, R.K.H.; Al-Mahdawi, S.; Burn, J.; Blake, K. Congenital heart disease in CHARGE association. Pediatr. Cardiol. 1993, 14, 75–81. [Google Scholar] [CrossRef] [PubMed]
- Legendre, M.; Gonzales, M.; Goudefroye, G.; Bilan, F.; Parisot, P.; Perez, M.-J.; Bonnière, M.; Bessières, B.; Martinovic, J.; Delezoide, A.-L.; et al. Antenatal spectrum of CHARGE syndrome in 40 fetuses withCHD7mutations. J. Med Genet. 2012, 49, 698–707. [Google Scholar] [CrossRef]
- D’Antonio, F.; Khalil, A.; Zidere, V.; Carvalho, J.S. Fetuses with right aortic arch: A multicenter cohort study and meta-analysis. Ultrasound Obstet. Gynecol. 2016, 47, 423–432. [Google Scholar] [CrossRef]
- Achiron, R.; Rotstein, Z.; Heggesh, J.; Bronshtein, M.; Zimand, S.; Lipitz, S.; Yagel, S. Anomalies of the fetal aortic arch: A novel sonographic approach toin-uterodiagnosis. Ultrasound Obstet. Gynecol. 2002, 20, 553–557. [Google Scholar] [CrossRef] [PubMed]
- Hastreiter, A.R.; D’Cruz, I.; Cantez, T.; Namin, E.P.; Licata, R. Right-sided aorta. I. Occurrence of right aortic arch in various types of congenital heart disease. II. Right aortic arch, right descending aorta, and associated anomalies. Heart 1966, 28, 722–739. [Google Scholar] [CrossRef] [PubMed]
- Knight, L.; Edwards, J.E. Right Aortic Arch. Circulation 1974, 50, 1047–1051. [Google Scholar] [CrossRef] [PubMed]
- Edwards, J.E. Anomalies of the Derivatives of the Aortic Arch System. Med. Clin. N. Am. 1948, 32, 925–949. [Google Scholar] [CrossRef]
- Felson, B.; Palayew, M.J. The Two Types of Right Aortic Arch. Radiology 1963, 81, 745–759. [Google Scholar] [CrossRef] [PubMed]
- Backer, C.L.; Mavroudis, C.; Rigsby, C.; Holinger, L.D. Trends in vascular ring surgery. J. Thorac. Cardiovasc. Surg. 2005, 129, 1339–1347. [Google Scholar] [CrossRef]
- Evans, W.N.; Acherman, R.J.; Berthoty, D.; Mayman, G.A.; Ciccolo, M.L.; Carrillo, S.A.; Restrepo, H. Right aortic arch with situs solitus. Congenit. Hear. Dis. 2018, 13, 624–627. [Google Scholar] [CrossRef]
- Schlesinger, A.E.; Mendeloff, E.; Sharkey, A.M.; Spray, T.L. MR of right aortic arch with mirror-image branching and a left ligamentum arteriosum: An unusual cause of a vascular ring. Pediatr. Radiol. 1995, 25, 455–457. [Google Scholar] [CrossRef]
- Zachary, C.; Myers, J.; Eggli, K. Vascular Ring Due to Right Aortic Arch with Mirror-Image Branching and Left Ligamentum Arteriosus: Complete Preoperative Diagnosis by Magnetic Resonance Imaging. Pediatr. Cardiol. 2001, 22, 71–73. [Google Scholar] [CrossRef]
- Bonnard, A.; Auber, F.; Fourcade, L.; Marchac, V.; Emond, S.; Révillon, Y. Vascular ring abnormalities: A retrospective study of 62 cases. J. Pediatr. Surg. 2003, 38, 539–543. [Google Scholar] [CrossRef]
- Uma, B.; Kiran, U.; Aggarwal, S.; Choudhary, A.; Kapoor, P.M. The blalock and taussig shunt revisited. Ann. Card. Anaesth. 2017, 20, 323–330. [Google Scholar] [CrossRef]
- Sano, S.; Fujii, Y.; Kasahara, S.; Kuroko, Y.; Tateishi, A.; Yoshizumi, K.; Arai, S. Repair of Ebstein’s anomaly in neonates and small infants: Impact of right ventricular exclusion and its indications†. Eur. J. Cardio-Thoracic Surg. 2013, 45, 549–555. [Google Scholar] [CrossRef] [PubMed]
- Chowdhury, U.K.; Venugopal, P.; Kothari, S.S.; Saxena, A.; Talwar, S.; Subramaniam, G.; Singh, R.; Pradeep, K.K.; Sathia, S.; Kumar, A.S. Criterions for selection of patients for, and results of, a new technique for construction of the modified Blalock-Taussig shunt. Cardiol. Young 2006, 16, 463–473. [Google Scholar] [CrossRef] [PubMed]


Publisher’s Note: MDPI stays neutral with regard to jurisdictional claims in published maps and institutional affiliations. |
© 2021 by the authors. Licensee MDPI, Basel, Switzerland. This article is an open access article distributed under the terms and conditions of the Creative Commons Attribution (CC BY) license (https://creativecommons.org/licenses/by/4.0/).
Share and Cite
Lubaua, I.; Teraudkalna, M. Ebstein Anomaly and Right Aortic Arch in Patient with Charge Syndrome. Medicina 2021, 57, 1239. https://doi.org/10.3390/medicina57111239
Lubaua I, Teraudkalna M. Ebstein Anomaly and Right Aortic Arch in Patient with Charge Syndrome. Medicina. 2021; 57(11):1239. https://doi.org/10.3390/medicina57111239
Chicago/Turabian StyleLubaua, Inguna, and Madara Teraudkalna. 2021. "Ebstein Anomaly and Right Aortic Arch in Patient with Charge Syndrome" Medicina 57, no. 11: 1239. https://doi.org/10.3390/medicina57111239
APA StyleLubaua, I., & Teraudkalna, M. (2021). Ebstein Anomaly and Right Aortic Arch in Patient with Charge Syndrome. Medicina, 57(11), 1239. https://doi.org/10.3390/medicina57111239

