Bullous Pemphigoid and Other Pemphigoid Dermatoses
Abstract
:1. Introduction
2. Pathophysiology
2.1. Bullous Pemphigoid
2.2. Mucous Membrane Pemphigoid and Epidermolysis Bullosa Acquisita
3. Clinical Features
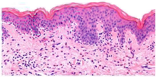
3.1. Non-Bullous Pemphigoid
3.2. Classic Bullous Pemphigoid
3.3. Mucous Membrane Pemphigoid and Epidermolysis Bullosa Acquisita
4. Diagnosis
5. Management
6. Conclusion
Author Contributions
Funding
Institutional Review Board Statement
Informed Consent Statement
Conflicts of Interest
References
- Langan, S.M.; Smeeth, L.; Hubbard, R.; Fleming, K.M.; Smith, C.J.P.; West, J. Bullous pemphigoid and pemphigus vulgaris--incidence and mortality in the UK: Population based cohort study. BMJ 2008, 337, a180. [Google Scholar] [CrossRef] [Green Version]
- Kridin, K.; Ludwig, R. The Growing Incidence of Bullous Pemphigoid: Overview and Potential Explanations. Front. Med. 2018, 5, 220. [Google Scholar] [CrossRef] [Green Version]
- Miyamoto, D.; Santi, C.G.; Aoki, V.; Maruta, C.W. Bullous pemphigoid. An. Bras. Dermatol. 2019, 94, 133–146. [Google Scholar] [CrossRef] [PubMed] [Green Version]
- Amber, K.T.; Murrell, D.F.; Schmidt, E.; Joly, P.; Borradori, L. Autoimmune Subepidermal Bullous Diseases of the Skin and Mucosae: Clinical Features, Diagnosis, and Management. Clin. Rev. Allergy Immunol. 2017, 54, 26–51. [Google Scholar] [CrossRef] [PubMed]
- Xu, H.-H.; Werth, V.P.; Parisi, E.; Sollecito, T.P. Mucous Membrane Pemphigoid. Dent. Clin. N. Am. 2013, 57, 611–630. [Google Scholar] [CrossRef] [PubMed] [Green Version]
- Sitaru, C. Experimental models of epidermolysis bullosa acquisita. Exp. Dermatol. 2007, 16, 520–531. [Google Scholar] [CrossRef]
- Bernard, P. Incidence and distribution of subepidermal autoimmune bullous skin diseases in three French regions. Bullous Diseases French Study Group. Arch. Dermatol. 1995, 131, 48–52. [Google Scholar] [CrossRef] [PubMed]
- Leuci, S.; Ahmed, A.; Gürcan, H. Serological Studies in Bullous Pemphigoid: A Literature Review of Antibody Titers at Presentation and in Clinical Remission. Acta Derm. Venereol. 2010, 90, 115–121. [Google Scholar] [CrossRef] [PubMed]
- Bağcı, I.S.; Horváth, O.N.; Ruzicka, T.; Sardy, M. Bullous Pemphigoid. Autoimmun. Rev. 2017, 16, 445–455. [Google Scholar] [CrossRef]
- Dimson, O.G.; Giudice, G.J.; Fu, C.L.; Van den Bergh, F.; Warren, S.J.; Janson, M.M.; Fairley, J.A. Identification of a Potential Effector Function for IgE Autoantibodies in the Organ-Specific Autoimmune Disease Bullous Pemphigoid. J. Investig. Dermatol. 2003, 120, 784–788. [Google Scholar] [CrossRef] [Green Version]
- Messingham, K.A.; Noe, M.H.; Chapman, M.A.; Giudice, G.J.; Fairley, J.A. A novel ELISA reveals high frequencies of BP180-specific IgE production in bullous pemphigoid. J. Immunol. Methods 2009, 346, 18–25. [Google Scholar] [CrossRef] [PubMed] [Green Version]
- Genovese, G.; Di Zenzo, G.; Cozzani, E.; Berti, E.; Cugno, M.; Marzano, A.V. New Insights Into the Pathogenesis of Bullous Pemphigoid: 2019 Update. Front. Immunol. 2019, 10, 1506. [Google Scholar] [CrossRef] [PubMed]
- Abdat, R.; Waldman, R.A.; de Bedout, V.; Czernik, A.; Mcleod, M.; King, B.; Gordon, S.; Ahmed, R.; Nichols, A.; Rothe, M.; et al. Dupilumab as a novel therapy for bullous pemphigoid: A multicenter case series. J. Am. Acad. Dermatol. 2020, 83, 46–52. [Google Scholar] [CrossRef] [PubMed]
- Muntyanu, A.; Netchiporouk, E.; Gerstein, W.; Gniadecki, R.; Litvinov, I.V. Cutaneous Immune-Related Adverse Events (irAEs) to Immune Checkpoint Inhibitors: A Dermatology Perspective on Management. J. Cutan. Med. Surg. 2020, 25, 59–76. [Google Scholar] [CrossRef]
- Di Zenzo, G.; della Torre, R.; Zambruno, G.; Borradori, L. Bullous pemphigoid: From the clinic to the bench. Clin. Dermatol. 2012, 30, 3–16. [Google Scholar] [CrossRef]
- Shornick, J.; Jenkins, R.; Briggs, D.; Welsh, K.; Kelly, S.; Garvey, M.; Black, M. Anti-HLA antibodies in pemphigoid gestationis (herpes gestationis). Br. J. Dermatol. 1993, 129, 257–259. [Google Scholar] [CrossRef]
- Ludwig, R.J.; Zillikens, D. Pathogenesis of Epidermolysis Bullosa Acquisita. In Blistering Diseases; Springer: Berlin/Heidelberg, Germany, 2015; pp. 121–130. [Google Scholar]
- della Torre, R.; Combescure, C.; Cortés, B.; Marazza, G.; Beltraminelli, H.; Naldi, L.; Borradori, L. Clinical presentation and diagnostic delay in bullous pemphigoid: A prospective nationwide cohort. Br. J. Dermatol. 2012, 167, 1111–1117. [Google Scholar] [CrossRef] [Green Version]
- Shah, P.; Svigos, K.; Yin, L.; Soter, N.; Sicco, K.L.; Adotama, P. Differences in the clinical presentation of bullous pemphigoid in patients with skin of colour and patients with white skin. Br. J. Dermatol. 2021, 185, 430–432. [Google Scholar] [CrossRef]
- Cozzani, E.; Gasparini, G.; Burlando, M.; Drago, F.; Parodi, A. Atypical presentations of bullous pemphigoid: Clinical and immunopathological aspects. Autoimmun. Rev. 2015, 14, 438–445. [Google Scholar] [CrossRef]
- Schwieger-Briel, A.; Moellmann, C.; Mattulat, B.; Schauer, F.; Kiritsi, D.; Schmidt, E.; Sitaru, C.; Ott, H.; Kern, J.S. Bullous pemphigoid in infants: Characteristics, diagnosis and treatment. Orphanet J. Rare Dis. 2014, 9, 185. [Google Scholar] [CrossRef] [Green Version]
- Waisbourd-Zinman, O.; Ben-Amitai, D.; Cohen, A.D.; Feinmesser, M.; Mimouni, D.; Adir-Shani, A.; Zlotkin, M.; Zvulunov, A. Bullous pemphigoid in infancy: Clinical and epidemiologic characteristics. J. Am. Acad. Dermatol. 2008, 58, 41–48. [Google Scholar] [CrossRef]
- Yamagami, J. The International Bullous Diseases Group consensus on diagnostic criteria for epidermolysis bullosa acquisita: A useful tool for dermatologists. Br. J. Dermatol. 2018, 179, 7. [Google Scholar] [CrossRef]
- Iwata, H.; Vorobyev, A.; Koga, H.; Recke, A.; Zillikens, D.; Prost-Squarcioni, C.; Ishii, N.; Hashimoto, T.; Ludwig, R.J. Meta-analysis of the clinical and immunopathological characteristics and treatment outcomes in epidermolysis bullosa acquisita patients. Orphanet J. Rare Dis. 2018, 13, 153. [Google Scholar] [CrossRef] [PubMed]
- Baigrie, D.; Nookala, V. Bullous Pemphigoid; StatPearls Publishing: Treasure Island, FL, USA, 2020. Available online: https://www.ncbi.nlm.nih.gov/books/NBK535374/ (accessed on 25 September 2021).
- Sladden, C.; Kirchhof, M.G.; Crawford, R.I. Biopsy Location for Direct Immunofluorescence in Patients with Suspected Bullous Pemphigoid Impacts Probability of a Positive Test Result. J. Cutan. Med. Surg. 2014, 18, 392–396. [Google Scholar] [CrossRef] [PubMed]
- Hodge, B.D.; Roach, J.; Reserva, J.L.; Patel, T.; Googe, A.; Schulmeier, J.; Brodell, R.T. The spectrum of histopathologic findings in pemphigoid: Avoiding diagnostic pitfalls. J. Cutan. Pathol. 2018, 45, 831–838. [Google Scholar] [CrossRef] [PubMed]
- Holtsche, M.; Beek, N.; Künstner, A.; Busch, H.; Zillikens, D.; Schmidt, E. Diagnostic Value and Practicability of Serration Pattern Analysis by Direct Immunofluorescence Microscopy in Pemphigoid Diseases. Acta Derm. Venereol. 2021, 101, adv00410. [Google Scholar] [CrossRef]
- Elder, D.E. Atlas and Synopsis of Levers Histopathology of the Skin; Wolters Kluwer Lippincott Williams & Wilkins: Philadelphia, PA, USA, 2013. [Google Scholar]
- Keller, J.J.; Kittridge, A.L.; Debanne, S.M.; Korman, N.J. Evaluation of ELISA testing for BP180 and BP230 as a diagnostic modality for bullous pemphigoid: A clinical experience. Arch. Dermatol. Res. 2016, 308, 269–272. [Google Scholar] [CrossRef]
- Immunologic Tests: Beutner Labs: United States. (n.d.). Available online: https://www.beutnerlabs.com/ (accessed on 7 July 2021).
- Jindal, A.; Rao, R.; Bhogal, B.S. Advanced Diagnostic Techniques in Autoimmune Bullous Diseases. Indian J. Dermatol. 2017, 62, 268–278. [Google Scholar] [CrossRef]
- Sárdy, M.; Kostaki, D.; Varga, R.; Peris, K.; Ruzicka, T. Comparative study of direct and indirect immunofluorescence and of bullous pemphigoid 180 and 230 enzyme-linked immunosorbent assays for diagnosis of bullous pemphigoid. J. Am. Acad. Dermatol. 2013, 69, 748–753. [Google Scholar] [CrossRef]
- Muglia, C.; Bronsnick, T.; Kirkorian, A.Y.; Cha, J. Questioning the specificity and sensitivity of ELISA for bullous pemphigoid diagnosis. Cutis 2017, 99, E27–E30. [Google Scholar]
- Barnadas, M.A.; Rubiales, M.V.; González, M.J.; Puig, L.; García, P.; Baselga, E.; Pujol, R.M.; AlOmar, A.; Gelpí, C. Enzyme-linked immunosorbent assay (ELISA) and indirect immunofluorescence testing in a bullous pemphigoid and pemphigoid gestationis. Int. J. Dermatol. 2008, 47, 1245–1249. [Google Scholar] [CrossRef]
- Liu, Y.; Wang, Y.; Chen, X.; Jin, H.; Li, L. Factors associated with the activity and severity of bullous pemphigoid: A review. Ann. Med. 2020, 52, 55–62. [Google Scholar] [CrossRef]
- Wijayanti, A.; Zhao, C.; Boettiger, D.; Chiang, Y.; Ishii, N.; Hashimoto, T.; Murrell, D. The Reliability, Validity and Responsiveness of Two Disease Scores (BPDAI and ABSIS) for Bullous Pemphigoid: Which One to Use? Acta Derm. Venereol. 2017, 97, 24–31. [Google Scholar] [CrossRef] [PubMed] [Green Version]
- Bernett, C.N.; Fong, M.; Rosario-Collazo, J.A. Linear IgA Dermatosis. StatPearls 2021. Available online: https://www.ncbi.nlm.nih.gov/books/NBK526113 (accessed on 7 July 2021).
- Rasheed, V.S. Anti-p200 pemphigoid: A review. J. Ski. Sex. Transm. Dis. 2021, 1–6. [Google Scholar] [CrossRef]
- Joly, P.; Roujeau, J.C.; Benichou, J.; Picard, C.; Dreno, B.; Delaporte, E.; Vaillant, L.; D’Incan, M.; Plantin, P.; Bedane, C.; et al. A Comparison of Oral and Topical Corticosteroids in Patients with Bullous Pemphigoid List of authors. N. Engl. J. Med. 2002, 346, 321–327. [Google Scholar] [CrossRef] [PubMed]
- Feliciani, C.; Joly, P.; Jonkman, M.; Zambruno, G.; Zillikens, D.; Ioannides, D.; Kowalewski, C.; Jedlickova, H.; Kárpáti, S.; Marinovic, B.; et al. Management of bullous pemphigoid: The European Dermatology Forum consensus in collaboration with the European Academy of Dermatology and Venereology. Br. J. Dermatol. 2015, 172, 867–877. [Google Scholar] [CrossRef]
- Meurer, M. Immunosuppressive therapy for autoimmune bullous diseases. Clin. Dermatol. 2012, 30, 78–83. [Google Scholar] [CrossRef] [PubMed]
- Williams, H.C.; Wojnarowska, F.; Kirtschig, G.; Mason, J.; Godec, T.R.; Schmidt, E.; Chalmers, J.R.; Childs, M.; Walton, S.; Harman, K.; et al. Doxycycline versus prednisolone as an initial treatment strategy for bullous pemphigoid: A pragmatic, non-inferiority, randomised controlled trial. Lancet 2017, 389, 1630–1638. [Google Scholar] [CrossRef] [Green Version]
- Beissert, S.; Werfel, T.; Frieling, U.; Böhm, M.; Sticherling, M.; Stadler, R.; Zillikens, D.; Rzany, B.; Hunzelmann, N.; Meurer, M.; et al. A Comparison of Oral Methylprednisolone Plus Azathioprine or Mycophenolate Mofetil for the Treatment of Bullous Pemphigoid. Arch. Dermatol. 2007, 143, 1536–1542. [Google Scholar] [CrossRef] [PubMed] [Green Version]
- Ahmed, A. Intravenous immunoglobulin therapy for patients with bullous pemphigoid unresponsive to conventional immunosuppressive treatment. J. Am. Acad. Dermatol. 2001, 45, 825–835. [Google Scholar] [CrossRef]
- Saleh, M.; Reedy, M.; Torok, H.; Weaver, J. Successful treatment of bullous pemphigoid with dupilumab: A case and brief review of the literature. Dermatol. Online J. 2021, 27. [Google Scholar] [CrossRef]
- Jafari, S.M.S.; Feldmeyer, L.; Bossart, S.; Simon, D.; Schlapbach, C.; Borradori, L. Case Report: Combination of Omalizumab and Dupilumab for Recalcitrant Bullous Pemphigoid. Front. Immunol. 2021, 11, 611549. [Google Scholar] [CrossRef] [PubMed]
- Seidman, J.S.; Eichenfield, D.Z.; Orme, C.M. Dupilumab for bullous pemphigoid with intractable pruritus. Dermatol. Online J. 2019, 25. [Google Scholar] [CrossRef]
- Santi, C.G.; Gripp, A.C.; Roselino, A.M.; Mello, D.S.; Gordilho, J.O.; de Marsillac, P.F.; Porro, A.M. Consensus on the treatment of autoimmune bullous dermatoses: Bullous pemphigoid, mucous membrane pemphigoid and epidermolysis bullosa acquisita-Brazilian Society of Dermatology. An. Bras. Dermatol. 2019, 94, 33–47. [Google Scholar] [CrossRef]
- Engineer, L.; Ahmed, A. Emerging treatment for epidermolysis bullosa acquisita. J. Am. Acad. Dermatol. 2001, 44, 818–828. [Google Scholar] [CrossRef] [PubMed]
- Oktem, A.; Akay, B.N.; Boyvat, A.; Kundakci, N.; Erdem, C.; Bostanci, S.; Sanli, H.; Kocyigit, P. Long-term results of rituximab–intravenous immunoglobulin combination therapy in patients with epidermolysis bullosa acquisita resistant to conventional therapy. J. Dermatol. Treat. 2017, 28, 50–54. [Google Scholar] [CrossRef] [PubMed]
- Chan, L.S.; Ahmed, A.R.; Anhalt, G.J.; Bernauer, W.; Cooper, K.D.; Elder, M.J.; Fine, J.D.; Foster, C.S.; Ghohestani, R.; Hashimoto, T.; et al. The first international consensus on mucous membrane pemphigoid: Definition, diagnostic criteria, pathogenic factors, medical treatment, and prognostic indicators. Arch. Dermatol. 2002, 138, 370–379. [Google Scholar] [CrossRef]






| Pemphigoid Dermatoses | Clinical Findings | Histologic Findings | Treatment |
|---|---|---|---|
| Classic bullous pemphigoid | Pruritic nonbullous phase followed by tense vesiculobullous lesions on erythematous or urticarial base. Flexural involvement predominantly. | Subepidermal blister with primarily eosinophilic-rich infiltrate in the dermis and/or eosinophilic spongiosis. | Mild: topical high-potency steroids, tetracyclines. Moderate to severe: systemic corticosteroids, azathioprine, mycophenolate mofetil. Recalcitrant: rituximab, dupilumab, omalizumab, IVIg. |
| Mucous membrane pemphigoid | Vesiculobullous lesions and oral/ocular involvement in 85% of cases. Predominantly involves the head/neck and upper body. | Subepidermal blister with a predominantly neutrophilic and lymphocytic infiltrate and lamellar fibrosis. | Mild to moderate: topical high-potency steroids, tetracyclines, topical tacrolimus, dapsone. Moderate to severe: Systemic steroids, rituximab, IVIg. |
| Epidermolysis bullosa acquisita | Vesiculobullous lesions on extensor surfaces, often in areas of trauma, such as elbows and knees. | Two types: 1. Subepidermal blister that is pauci-inflammatory; 2. Subepidermal blister with eosinophilic-rich infiltrate, indistinguishable from bullous pemphigoid. | 1st line: topical high-potency steroids, colchicine, dapsone. Refractory: systemic steroids, rituximab, azathioprine, mycophenolate mofetil, IVIg. |
Publisher’s Note: MDPI stays neutral with regard to jurisdictional claims in published maps and institutional affiliations. |
© 2021 by the authors. Licensee MDPI, Basel, Switzerland. This article is an open access article distributed under the terms and conditions of the Creative Commons Attribution (CC BY) license (https://creativecommons.org/licenses/by/4.0/).
Share and Cite
Pratasava, V.; Sahni, V.N.; Suresh, A.; Huang, S.; Are, A.; Hsu, S.; Motaparthi, K. Bullous Pemphigoid and Other Pemphigoid Dermatoses. Medicina 2021, 57, 1061. https://doi.org/10.3390/medicina57101061
Pratasava V, Sahni VN, Suresh A, Huang S, Are A, Hsu S, Motaparthi K. Bullous Pemphigoid and Other Pemphigoid Dermatoses. Medicina. 2021; 57(10):1061. https://doi.org/10.3390/medicina57101061
Chicago/Turabian StylePratasava, Valeryia, Vikram N. Sahni, Aishwarya Suresh, Simo Huang, Abhirup Are, Sylvia Hsu, and Kiran Motaparthi. 2021. "Bullous Pemphigoid and Other Pemphigoid Dermatoses" Medicina 57, no. 10: 1061. https://doi.org/10.3390/medicina57101061
APA StylePratasava, V., Sahni, V. N., Suresh, A., Huang, S., Are, A., Hsu, S., & Motaparthi, K. (2021). Bullous Pemphigoid and Other Pemphigoid Dermatoses. Medicina, 57(10), 1061. https://doi.org/10.3390/medicina57101061

