Immediate Effect of Whole Body Vibration on Knee Extensor Tendon Stiffness in Hemiparetic Stroke Patients
Abstract
:1. Introduction
2. Materials and Methods
2.1. Participants
2.2. Assessment and Whole Body Vibration Exercise
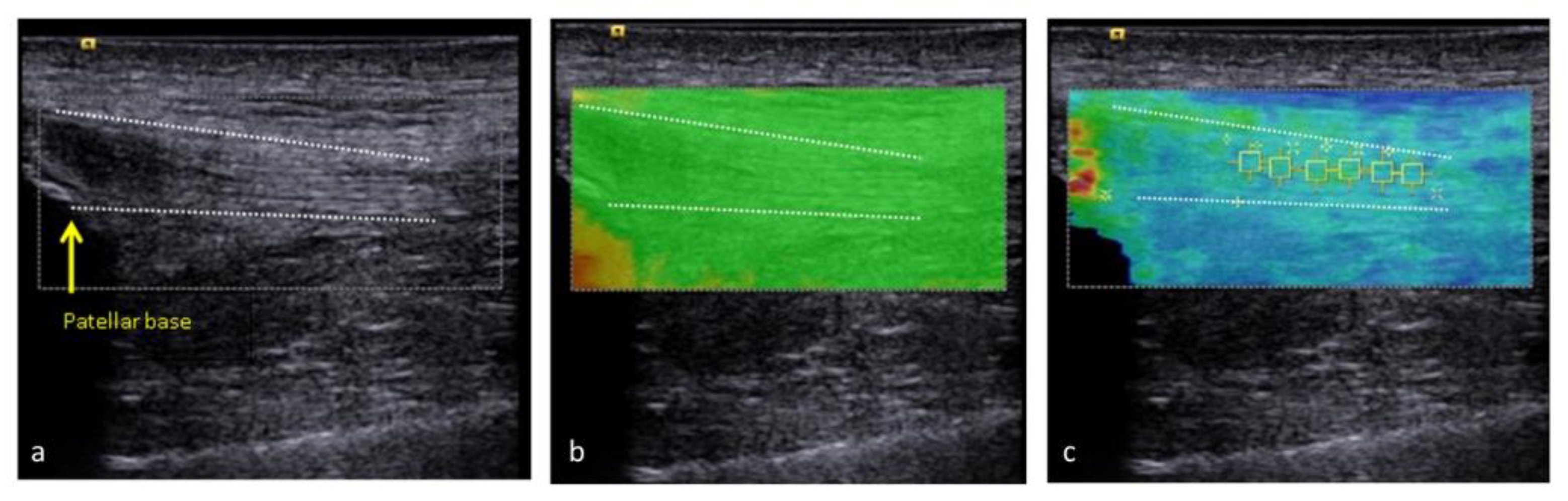
2.3. Ultrasound Examination Protocol
2.4. Statistical Analysis
3. Results
4. Discussion
5. Conclusions
Author Contributions
Funding
Institutional Review Board Statement
Informed Consent Statement
Data Availability Statement
Acknowledgments
Conflicts of Interest
References
- Maganaris, C.N.; Reeves, N.D.; Rittweger, J.; Sargeant, A.J.; Jones, D.A.; Gerrits, K.; Haan, A.D. Adaptive response of human tendon to paralysis. Muscle Nerve. 2006, 33, 85–92. [Google Scholar] [CrossRef]
- Stenroth, L.; Peltonen, J.; Cronin, N.J.; Sipilä, S.; Finni, T. Age-related differences in Achilles tendon properties and triceps surae muscle architecture in vivo. J. Appl. Physiol. 2012, 113, 1537–1544. [Google Scholar] [CrossRef] [PubMed] [Green Version]
- Magnusson, S.P.; Kjaer, M. The impact of loading, unloading, ageing and injury on the human tendon. J. Physiol. 2019, 597, 1283–1298. [Google Scholar] [CrossRef] [PubMed] [Green Version]
- Grosset, J.F.; Breen, L.; Stewart, C.E.; Burgess, K.E.; Onambélé, G.L. Influence of exercise intensity on training-induced tendon mechanical properties changes in older individuals. Age 2014, 36, 9657. [Google Scholar] [CrossRef] [PubMed] [Green Version]
- Eriksen, C.S.; Svensson, R.B.; Gylling, A.T.; Couppé, C.; Magnusson, S.P.; Kjaer, M. Load magnitude affects patellar tendon mechanical properties but not collagen or collagen cross-linking after long-term strength training in older adults. BMC Geriatr. 2019, 19, 30. [Google Scholar] [CrossRef] [PubMed] [Green Version]
- Hunnicutt, J.L.; Gregory, C.M. Skeletal muscle changes following stroke: A systematic review and comparison to healthy individuals. Top. Stroke Rehabil. 2017, 24, 463–471. [Google Scholar] [CrossRef] [PubMed]
- Prado-Medeiros, C.L.; Silva, M.P.; Lessi, G.C.; Alves, M.Z.; Tannus, A.; Lindquist, A.R.; Salvini, T.F. Muscle atrophy and functional deficits of knee extensors and flexors in people with chronic stroke. Phys. Ther. 2012, 92, 429–439. [Google Scholar] [CrossRef]
- Alam, M.M.; Khan, A.A.; Farooq, M. Effect of whole-body vibration on neuromuscular performance: A literature review. Work 2018, 59, 571–583. [Google Scholar] [CrossRef] [PubMed]
- Sandhu, E.; Miles, J.D.; Dahners, L.E.; Keller, B.V.; Weinhold, P.S. Whole body vibration increases area and stiffness of the flexor carpi ulnaris tendon in the rat. J. Biomech. 2011, 44, 1189–1191. [Google Scholar] [CrossRef]
- Fowler, B.D.; Palombo, K.T.M.; Feland, J.B.; Blotter, J.D. Effects of Whole-Body Vibration on Flexibility and Stiffness: A Literature Review. Int. J. Exerc. Sci. 2019, 12, 735–747. [Google Scholar]
- Han, S.W.; Lee, D.Y.; Choi, D.S.; Han, B.; Kim, J.S.; Lee, H.D. Asynchronous Alterations of Muscle Force and Tendon Stiffness Following 8 Weeks of Resistance Exercise with Whole-Body Vibration in Older Women. J. Aging Phys. Act. 2017, 25, 287–294. [Google Scholar] [CrossRef]
- Rieder, F.; Wiesinger, H.P.; Kösters, A.; Müller, E.; Seynnes, O.R. Whole-body vibration training induces hypertrophy of the human patellar tendon. Scand. J. Med. Sci Sports 2016, 26, 902–910. [Google Scholar] [CrossRef]
- Rieder, F.; Wiesinger, H.P.; Kösters, A.; Müller, E.; Seynnes, O.R. Immediate effects of whole body vibration on patellar tendon properties and knee extension torque. Eur. J. Appl. Physiol. 2016, 116, 553–561. [Google Scholar] [CrossRef] [Green Version]
- Davis, L.C.; Baumer, T.G.; Bey, M.J.; Holsbeeck, M.V. Clinical utilization of shear wave elastography in the musculoskeletal system. Ultrasonography 2019, 38, 2–12. [Google Scholar] [CrossRef]
- Taş, S.; Yılmaz, S.; Onur, M.R.; Soylu, A.R.; Altuntaş, O.; Korkusuz, F. Patellar tendon mechanical properties change with gender, body mass index and quadriceps femoris muscle strength. Acta. Orthop. Traumatol. Turc. 2017, 51, 54–59. [Google Scholar] [CrossRef]
- Zardi, E.M.; Franceschetti, E.; Giorgi, C.; Palumbo, A.; Franceschi, F. Reliability of quantitative point shear-wave ultrasound elastography on vastus medialis muscle and quadriceps and patellar tendons. Med. Ultrason. 2019, 21, 50–55. [Google Scholar] [CrossRef] [PubMed] [Green Version]
- Quack, V.; Betsch, M.; Hellmann, J.; Eschweiler, J.; Schrading, S.; Gatz, M.; Rath, B.; Tingart, M.; Laubach, M.; Kuhl, C.; et al. Evaluation of Postoperative Changes in Patellar and Quadriceps Tendons after Total Knee Arthroplasty-A Comprehensive Analysis by Shear Wave Elastography, Power Doppler and B-mode Ultrasound. Acad. Radiol. 2020, 27, e148–e157. [Google Scholar] [CrossRef] [PubMed]
- Zhao, H.; Ren, Y.; Wu, Y.N.; Liu, S.Q.; Zhang, L.Q. Ultrasonic evaluations of Achilles tendon mechanical properties poststroke. J. Appl. Physiol. 2009, 106, 843–849. [Google Scholar] [CrossRef] [PubMed] [Green Version]
- Dias, C.P.; Freire, B.; Goulart, N.B.A.; Castro, C.D.D.; Lemos, F.D.A.; Becker, J.; Arndt, A.; Vaz, M.A. Impaired mechanical properties of Achilles tendon in spastic stroke survivors: An observational study. Top. Stroke Rehabil. 2019, 26, 261–266. [Google Scholar] [CrossRef]
- Svantesson, U.; Takahashi, H.; Carlsson, U.; Danielsson, A.; Sunnerhagen, K.S. Muscle and tendon stiffness in patients with upper motor neuron lesion following a stroke. Eur. J. Appl. Physiol. 2000, 82, 275–279. [Google Scholar] [CrossRef] [PubMed]
- Zhao, H.; Ren, Y.; Roth, E.J.; Harvey, R.L.; Zhang, L.Q. Concurrent deficits of soleus and gastrocnemius muscle fascicles and Achilles tendon post stroke. J. Appl. Physiol. 2015, 118, 863–871. [Google Scholar] [CrossRef] [PubMed] [Green Version]
- Arene, N.; Hidler, J. Understanding motor impairment in the paretic lower limb after a stroke: A review of the literature. Top. Stroke Rehabil. 2009, 16, 346–356. [Google Scholar] [CrossRef] [PubMed]
- Souissi, H.; Zory, R.; Bredin, J.; Roche, N.; Gerus, P. Co-contraction around the knee and the ankle joints during post-stroke gait. Eur. J. Phys. Rehabil. Med. 2018, 54, 380–387. [Google Scholar] [CrossRef] [PubMed]
- Yuan, H.; Ge, P.; Du, L.; Xia, Q. Co-Contraction of Lower Limb Muscles Contributes to Knee Stability During Stance Phase in Hemiplegic Stroke Patients. Med. Sci. Monit. 2019, 25, 7443–7450. [Google Scholar] [CrossRef]
- Akbas, T.; Kim, K.; Doyle, K.; Manella, K.; Lee, R.; Spicer, P.; Knikou, M.; Sulzer, J. Rectus femoris hyperreflexia contributes to Stiff-Knee gait after stroke. J. Neuroeng. Rehabil. 2020, 17, 117. [Google Scholar] [CrossRef]
- Theis, N.; Mohagheghi, A.A.; Korff, T. Mechanical and material properties of the plantarflexor muscles and Achilles tendon in children with spastic cerebral palsy and typically developing children. J. Biomech. 2016, 49, 3004–3008. [Google Scholar] [CrossRef] [Green Version]
- Park, C.; Park, E.S.; Choi, J.Y.; Cho, Y.; Rha, D.W. Immediate Effect of a Single Session of Whole Body Vibration on Spasticity in Children With Cerebral Palsy. Ann. Rehabil. Med. 2017, 41, 273–278. [Google Scholar] [CrossRef]
- Chan, K.S.; Liu, C.W.; Chen, T.W.; Weng, M.C.; Huang, M.H.; Chen, C.H. Effects of a single session of whole body vibration on ankle plantarflexion spasticity and gait performance in patients with chronic stroke: A randomized controlled trial. Clin. Rehabil. 2012, 26, 1087–1095. [Google Scholar] [CrossRef]




| Stroke Patients, n = 11 | Mean ± SD | n (%) |
|---|---|---|
| Age | 53.64 ± 4.37 | |
| Sex | ||
| Male | 7 (63.6) | |
| Female | 4 (36.4) | |
| Duration from stroke onset (month) | 9.91 ± 1.89 | |
| Height (cm) | 162.91 ± 2.52 | |
| Weight (kg) | 66.57 ± 2.70 | |
| BMI (kg/cm2) | 25.01 ± 0.63 | |
| Stroke type | ||
| Hemorrhagic | 3 (27.3) | |
| Ischemic | 8 (72.7) | |
| Hemiparetic side | ||
| Left | 5 (45.5) | |
| Right | 6 (54.5) | |
| Brunnstrom stage | ||
| III | 4 (36.4) | |
| IV | 6 (54.5) | |
| V | 1 (9.1) | |
| Muscle power (manual muscle test) | ||
| 3 | 2 (18.2) | |
| 4 | 9 (81.8) | |
| Modified Ashworth scale | ||
| 1 | 2 (18.2) | |
| 2 | 8 (72.7) | |
| 3 | 1 (9.1) |
| Unaffected Side | Hemiparetic Side | p-Value | |
|---|---|---|---|
| Mean (SD) | Mean (SD) | ||
| Patellar tendon thickness | 0.38 (0.06) | 0.40 (0.06) | 0.450 |
| Quadriceps tendon thickness | 0.46 (0.10) | 0.46 (0.09) | 0.974 |
| Patellar tendon stiffness | 4.57 (0.90) | 5.16 (1.66) | 0.647 |
| Quadriceps tendon stiffness | 4.14 (0.86) | 4.72 (1.91) | 0.953 |
| MAS, ρ | p-Value | |
|---|---|---|
| Patellar tendon thickness | −0.05 | 0.892 |
| Quadriceps tendon thickness | −0.35 | 0.294 |
| Patellar tendon stiffness | 0.62 | 0.044 |
| Quadriceps tendon stiffness | 0.62 | 0.044 |
| Pre | Post | Post–Pre | p-Value | |
|---|---|---|---|---|
| Mean (SD) | Mean (SD) | Mean (SE) | ||
| Unaffected side | ||||
| Patellar tendon stiffness | 4.57 (0.84) | 4.57 (0.86) | 0.00 (0.28) | 0.765 |
| Quadriceps tendon stiffness | 4.14 (0.86) | 4.00 (0.41) | −0.14 (0.12) | 0.365 |
| Hemiparetic side | ||||
| Patellar tendon stiffness | 5.16 (1.66) | 4.80 (1.65) | −0.36 (0.30) | 0.320 |
| Quadriceps tendon stiffness | 4.72 (1.91) | 4.34 (0.96) | −0.38 (0.37) | 0.278 |
| Pre (Hemiparetic–Unaffected) | Post (Hemiparetic–Unaffected) | Post–Pre | p-Value | |
|---|---|---|---|---|
| Mean (SE) | Mean (SE) | Mean (SE) | ||
| Patellar tendon stiffness difference | 0.59 (0.53) | 0.23 (0.43) | −0.36 (0.26) | 0.175 |
| Quadriceps tendon stiffness difference | 0.58 (0.48) | 0.34 (0.29) | −0.24 (0.38) | 0.577 |
| Mean (SD) | MAS, ρ | p-Value | |
|---|---|---|---|
| Patellar tendon stiffness change (post–pre) | −0.36 (0.30) | −0.39 | 0.230 |
| Quadriceps tendon stiffness change (post–pre) | −0.38 (0.37) | −0.23 | 0.503 |
| Mean (SD) | MAS, ρ | p-Value | |
|---|---|---|---|
| Patellar tendon stiffness difference change (post–pre) | 0.36 (0.26) | 0.38 | 0.253 |
| Quadriceps tendon stiffness difference change (post–pre) | 0.24 (0.38) | 0.01 | 0.987 |
Publisher’s Note: MDPI stays neutral with regard to jurisdictional claims in published maps and institutional affiliations. |
© 2021 by the authors. Licensee MDPI, Basel, Switzerland. This article is an open access article distributed under the terms and conditions of the Creative Commons Attribution (CC BY) license (https://creativecommons.org/licenses/by/4.0/).
Share and Cite
Tsai, S.-T.; Li, C.-F.; Chi, K.-C.; Ko, L.-W.; Stevenson, C.; Chen, Y.-J.; Chen, C.-H. Immediate Effect of Whole Body Vibration on Knee Extensor Tendon Stiffness in Hemiparetic Stroke Patients. Medicina 2021, 57, 1037. https://doi.org/10.3390/medicina57101037
Tsai S-T, Li C-F, Chi K-C, Ko L-W, Stevenson C, Chen Y-J, Chen C-H. Immediate Effect of Whole Body Vibration on Knee Extensor Tendon Stiffness in Hemiparetic Stroke Patients. Medicina. 2021; 57(10):1037. https://doi.org/10.3390/medicina57101037
Chicago/Turabian StyleTsai, Shih-Ting, Cyuan-Fong Li, Kai-Chiao Chi, Li-Wei Ko, Cory Stevenson, Yi-Jen Chen, and Chia-Hsin Chen. 2021. "Immediate Effect of Whole Body Vibration on Knee Extensor Tendon Stiffness in Hemiparetic Stroke Patients" Medicina 57, no. 10: 1037. https://doi.org/10.3390/medicina57101037
APA StyleTsai, S.-T., Li, C.-F., Chi, K.-C., Ko, L.-W., Stevenson, C., Chen, Y.-J., & Chen, C.-H. (2021). Immediate Effect of Whole Body Vibration on Knee Extensor Tendon Stiffness in Hemiparetic Stroke Patients. Medicina, 57(10), 1037. https://doi.org/10.3390/medicina57101037

