Pleomorphic Adenoma of External Auditory Canal: Case Report of First Endoscopic Resection and Literature Review
Abstract
1. Introduction
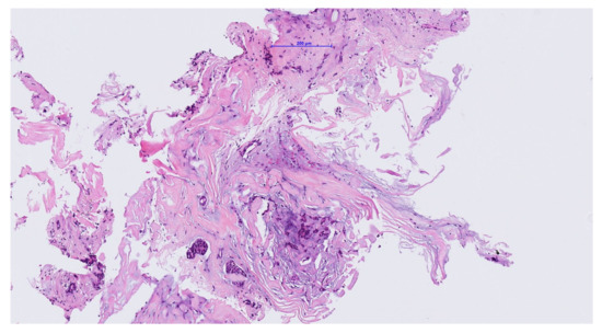
2. Presentation of Case Report
3. Discussion
4. Conclusions
Author Contributions
Funding
Conflicts of Interest
References
- Kuo, Y.L.; Tu, T.Y.; Chang, C.F.; Li, W.Y.; Chang, S.Y.; Shiao, A.S.; Chu, P.Y.; Chan, K.T.; Tai, S.K.; Wang, Y.F.; et al. Extra-major salivary gland pleomorphic adenoma of the head and neck: A 10-year experience and review of the literature. Eur. Arch. Oto-Rhino-Laryngol. 2011, 268, 1035–1040. [Google Scholar] [CrossRef]
- Andreasen, S.; Therkildsen, M.H.; Bjørndal, K.; Homøe, P. Pleomorphic adenoma of the parotid gland 1985–2010: A Danish nationwide study of incidence, recurrence rate, and malignant transformation. Head Neck 2016, 38 (Suppl. S1), 1364–1369. [Google Scholar] [CrossRef]
- Zbären, P.; Vander Poorten, V.; Witt, R.L.; Woolgar, J.A.; Shaha, A.R.; Triantafyllou, A.; Takes, R.P.; Rinaldo, A.; Ferlito, A. Pleomorphic adenoma of the parotid: Formal parotidectomy or limited surgery? Am. J. Surg. 2013, 205, 109–118. [Google Scholar] [CrossRef]
- Chen, W.; Fan, S.; Zhang, D. Endoscopically assisted extracapsular dissection of pleomorphic adenoma of the parotid gland through a postauricular sulcus approach in young patients. Br. J. Oral Maxillofac. Surg. 2017, 55, 400–403. [Google Scholar] [CrossRef] [PubMed]
- Mark, I.; Rothberg, M. Mixed tumor of skin of external auditory canal. AMA Arch. Otolaryngol. 1951, 53, 556–559. [Google Scholar] [CrossRef] [PubMed]
- Dähn, J.; Anschuetz, L.; Konishi, M.; Sayles, M.; Caversaccio, M.; Dubach, P. Endoscopic Ear Surgery for External Auditory Canal Cholesteatoma. Otol. Neurotol. 2017, 38, 34–40. [Google Scholar] [CrossRef] [PubMed]
- Fink, H. External auditory canal: Mixed tumor of salivary gland type. Brooklyn Hopsp. J. 1953, 11, 104. [Google Scholar]
- Nandi, S.P.; Shaw, H.J. Hidroadenoma of the external auditory meatus associated with facial palsy and chronic otitis media. J. Laryngol. Otol. 1961, 75, 992–996. [Google Scholar] [CrossRef]
- Smith, H.W.; Duarte, I. Mixed Tumors of the External Auditory Canal. Arch. Otolaryngol. 1962, 75, 108–113. [Google Scholar] [CrossRef]
- Tung, H.C.; Chung, T.L. Mixed tumor of the ceruminous glands. Chin. Med. J. (Engl.) 1963, 92, 605–608. [Google Scholar]
- Cankar, V.; Crowley, H. Tumors of ceruminous glands: A clinicopathological study of 7 cases. Cancer 1964, 17, 67–75. [Google Scholar] [CrossRef]
- Batsakis, J.G.; Hardy, G.C.; Hishiyama, R.H. Ceruminous Gland Tumors. Arch. Otolaryngol. 1967, 86, 66–69. [Google Scholar] [CrossRef] [PubMed]
- Nail, B.J. Mixed tumors in ectopic sites. Tex. Med. 1967, 63, 82–85. [Google Scholar] [PubMed]
- Pahor, A.L.; O’Hara, M.D. Hidradenomata of the external auditory meatus (review of the literature and report of a pleomorphic adenoma). J. Laryngol. Otol. 1975, 89, 707–720. [Google Scholar] [CrossRef]
- Baker, B.; DeBlanc, G. Pleomorphic adenoma of the external auditory canal. Ear Nose Throat J. 1977, 56, 81–83. [Google Scholar]
- Botha, J.B.; Kahn, L.B. Aggressive chondroid syringoma. Report of a case in an unusual location and with local recurrence. Arch. Dermatol. 1978, 114, 954–955. [Google Scholar] [CrossRef]
- Goldenberg, R.A.; Block, B.L. Pleomorphic Adenoma Manifesting as Aural Polyp: Report of a Case. Arch. Otolaryngol. 1980, 106, 440–441. [Google Scholar] [CrossRef]
- Dehner, L.P.; Chen, K.T.K. Primary Tumors of the External and Middle Ear. Arch. Otolaryngol. 1980, 106, 13–19. [Google Scholar] [CrossRef]
- Chen, K.T.K. Myoepithelioma of the external auditory canal. J. Laryngol. Otol. 1982, 96, 955–958. [Google Scholar] [CrossRef]
- Hicks, G.W. Tumors arising from the glandular structures of the external auditory canal. Laryngoscope 1983, 93, 2–3. [Google Scholar] [CrossRef]
- Tanaka, T.; Saito, R.; Ishihara, M.; Ohmichi, T.; Ogura, Y. Glandular tumors of the external auditory canal. Hiroshima J. Med. Sci. 1984, 33, 17–22. [Google Scholar] [PubMed]
- Collins, R.J.; Yu, H.C. Pleomorphic adenoma of the external auditory canal. An immunohistochemical and ultrastructural study. Cancer 1989, 64, 870–875. [Google Scholar] [CrossRef]
- Suzuki, K.; Baba, S.; Miyamoto, N. Pleomorphic adenoma of the external auditory canal in Japan, with a case report. Auris Nasus Larynx 1991, 18, 271–279. [Google Scholar] [CrossRef]
- Mansour, P.; George, M.K.; Pahor, A.L. Ceruminous gland tumours: A reappraisal. J. Laryngol. Otol. 1992, 106, 727–732. [Google Scholar] [CrossRef] [PubMed]
- Tang, X.; Tamura, Y.; Tsutsumi, Y. Mixed tumor of the external auditory canal. Pathol. Int. 1994, 44, 80–83. [Google Scholar] [CrossRef]
- Haraguchi, H.; Hentona, H.; Tanaka, H.; Komatuzaki, A. Pleomorphic adenoma of the external auditory canal: A Case Report and Review of the Literature. J. Laryngol. Otol. 1996, 110, 52–56. [Google Scholar] [CrossRef]
- Gerber, C.; Zimmer, G.; Linder, T.; Schuknecht, B.; Betts, D.R.; Walter, R. Primary Pleomorphic Adenoma of the External Auditory Canal Diagnosed by Fine Needle Aspiration Cytology. Acta Cytol. 1999, 43, 489–491. [Google Scholar] [CrossRef]
- Goh, S.G.N.; Chuah, K.L.; Tan, P.H.; Tan, N.G. Role of FNAC in metastasizing malignant mixed tumor of the external auditory canal: A case report. Acta Cytol. 2003, 47, 65–70. [Google Scholar] [CrossRef]
- Masumura, C.; Horii, A.; Mishiro, Y.; Inohara, H.; Kitahara, T.; Takashima, S.; Kubo, T. Magnetic resonance imaging of pleomorphic adenoma arising from the external auditory canal. J. Laryngol. Otol. 2003, 117, 908–909. [Google Scholar] [CrossRef]
- Thompson, L.D.R.; Nelson, B.L.; Barnes, E.L. Ceruminous Adenomas. Am. J. Surg. Pathol. 2004, 28, 308–318. [Google Scholar] [CrossRef]
- Koyuncu, M.; Karagöz, F.; Kiliaçarslan, H. Pleomorphic adenoma of the external auditory canal. Eur. Arch. Oto-Rhino-Laryngol. 2005, 262, 969–971. [Google Scholar] [CrossRef] [PubMed]
- Kaushik, V.; Bhalla, R.K.; Nicholson, C.; De Carpentier, J.P. The chondroid syringoma: Report of a case arising from the external auditory canal. Eur. Arch. Oto-Rhino-Laryngol. 2005, 262, 868–870. [Google Scholar] [CrossRef]
- Karnwal, A.; Pakalapati, S.; Tzifa, K.; Raut, V. Chondroid syringoma of the external ear canal presenting as a cyst. Kulak Burun Bogaz Ihtis Derg. 2006, 16, 80–82. [Google Scholar]
- Kuwabara, H.; Haginomori, S.I.; Takamaki, A.; Ito, K.; Takenaka, H.; Kurisu, Y.; Tsuji, M.; Mori, H. Lipomatous pleomorphic adenoma of the ceruminous gland. Pathol. Int. 2006, 56, 51–53. [Google Scholar] [CrossRef]
- Tsukahara, K.; Suzuki, M.; Tokashiki, R.; Motohashi, R.; Iwaya, K. Pleomorphic adenoma of the external auditory canal complicated by hearing loss secondary to chronic otitis media. Auris Nasus Larynx 2006, 33, 183–186. [Google Scholar] [CrossRef]
- Granell, J.; Puig, A.; Furio, V. Ceruminous Pleomorphic Adenoma: A Comprehensive Clinicopathologic Report. Mediterr. J. Otol. 2008, 4, 38–42. [Google Scholar]
- López Campos, D.; Campos Bañales, M.E.; López Aguado, D. Primary Pleomorphic Adenoma (Chondroid Syringoma) of the External Auditory Canal. Case Report and Literature Review. Acta Otorrinolaringol. Esp. 2008, 59, 252–253. [Google Scholar] [CrossRef]
- Markou, K.; Karasmanis, I.; Vlachtsis, K.; Petridis, D.; Nikolaou, A.; Vital, V. Primary pleomorphic adenoma of the external ear canal. Report of a case and literature review. Am. J. Otolaryngol.-Head Neck Med. Surg. 2008, 29, 142–146. [Google Scholar] [CrossRef] [PubMed]
- Ayers, L.S.; DePasquale, K.; Marlowe, F.I.; Ghaderi, M. Pleomorphic adenoma of the external auditory canal: A case report and review of the literature. Ear Nose Throat J. 2010, 89, 11–14. [Google Scholar]
- Chadha, S.; Pannu, K.K.; Gill, K.S. Pleomorphic adenoma of external auditory canal. Indian J. Otolaryngol. Head Neck Surg. 2011, 63, 61–63. [Google Scholar] [CrossRef][Green Version]
- Kanaan, A.A.; Zaytoun, G.M. Pleomorphic adenoma of the external auditory canal: Recurrence of a parotid gland primary. Otol. Neurotol. 2011, 32, 1320–1321. [Google Scholar] [CrossRef] [PubMed]
- Vasileiadis, I.; Kapetanakis, S.; Petousis, A.; Karakostas, E.; Simantirakis, C. Rapidly growing chondroid syringoma of the external auditory canal: Report of a rare case. Case Rep. Med. 2011, 2011, 589680. [Google Scholar] [CrossRef] [PubMed]
- Lee, J.W.; Myung, N.H.; Suh, M.W. Epithelial-myoepithelial carcinoma of external auditory canal evolving from pleomorphic adenoma. Korean J. Audiol. 2012, 16, 148–151. [Google Scholar] [CrossRef] [PubMed][Green Version]
- Wadhera, R.; Kalra, V.; Gulati, S.P.; Ghai, A.; Kumar, S. Primary pleomorphic adenoma of external auditory canal. Ind. Med. Gaz. 2013, 63, 242–244. [Google Scholar]
- Maruyama, A.; Tokumaru, T.; Kitamura, K. Pleomorphic adenoma presenting with conductive hearing loss in the ear canal: A case report and review of the literature. J. Med. Case Rep. 2014, 8, 178. [Google Scholar] [CrossRef]
- Saito, C.; Kanazawa, T.; Yamaguchi, T.; Nakamura, K.; Ichimura, K. Primary Pleomorphic Adenoma of the External Auditory Canal: A Case Report and Review of the Literature. Case Rep. Otolaryngol. 2014, 2014, 975151. [Google Scholar] [CrossRef][Green Version]
- Jaber, S.; Rudic, M.; Keogh, I.J. Pleomorphic Adenoma of the External Auditory Canal: A Rare Presentation. Case Rep. Otolaryngol. 2015, 2015, 1–3. [Google Scholar] [CrossRef][Green Version]
- Mohan, A.; Kumar, R.; Thakral, R.K. Pleomorphic Adenoma and Histologically Analogous Tumors of Usual and Unusual Sites: An Eight Year Experience in Muzaffarnagar Region. Indian J. Pathol. Oncol. 2015, 2, 121. [Google Scholar] [CrossRef]
- Alicandri-Ciufelli, M.; Molinari, G.; Beckmann, S.; Caversaccio, M.; Presutti, L.; Anschuetz, L. Epinephrine Use in Endoscopic Ear Surgery: Quantitative Safety Assessment. ORL 2020, 82, 1–7. [Google Scholar] [CrossRef]
- Haug, R. Beitraege zur Klinik and mikroskopischen Anatomie der Neubildungen des aeusseren und mittleren Ohres. Arch. Ohrenheilkd. 1894, 36, 170. [Google Scholar] [CrossRef][Green Version]
- Mills, R.G.; Douglas-Jones, T.; Williams, R.G. ‘Ceruminoma’-a defunct diagnosis. J. Laryngol. Otol. 1995, 109, 180–188. [Google Scholar] [CrossRef]
- Crain, N.; Nelson, B.L.; Barnes, E.L.; Thompson, L.D.R. Ceruminous gland carcinomas: A clinicopathologic and immunophenotypic study of 17 cases. Head Neck Pathol. 2009, 3, 1–17. [Google Scholar]
- Conley, J.; Schuller, D.E. Malignancies of the ear. Laryngoscope 1976, 86, 1147–1163. [Google Scholar] [CrossRef]
- Nagarajan, P. Ceruminous Neoplasms of the Ear. Head Neck Pathol. 2018, 12, 350–361. [Google Scholar] [CrossRef]
- Wetli, C.V.; Pardo, V.; Millard, M.; Gerston, K. Tumors of ceruminous glands. Cancer 1972, 29, 1169–1178. [Google Scholar] [CrossRef]
- El-Naggar, A.K.; Chan, J.K.C.; Grandis, J.R.; Takata, T.; Slootweg, P.J. WHO Classification of Head and Neck Tumours, 4th ed.; IARC Press: Lyon, France, 2017; pp. 263–265. [Google Scholar]
- Hirsch, P.; Helwig, E.B. Chondroid syringoma. Mixed tumor of skin, salivary gland type. Arch. Dermatol. 1961, 84, 835–847. [Google Scholar] [CrossRef] [PubMed]
- Saeger, K.L.; Gruskin, P.; Carberry, J.N. Salivary gland choristoma of the middle ear. Arch. Pathol. Lab Med. 1982, 106, 39–40. [Google Scholar] [PubMed]
- Rabinov, C.R.; Alavi, S.; Canalis, R.F.; Lee, E.J. Recurrent pleomorphic adenoma of the parotid gland involving the osseous external auditory canal. With a note on the foramen of Huschke. Ann. Otol. Rhinol. Laryngol. 1997, 106 Pt 1, 589–593. [Google Scholar] [CrossRef]
- Friedmann, I. Pathological lesions of the external auditory meatus: A review. J. R. Soc. Med. 1990, 83, 34–37. [Google Scholar] [CrossRef]
- Persson, M.; Andrén, Y.; Moskaluk, C.A.; Frierson, H.F., Jr.; Cooke, S.L.; Futreal, P.A.; Kling, T.; Nelander, S.; Nordkvist, A.; Persson, F.; et al. Clinically significant copy number alterations and complex rearrangements of MYB and NFIB in head and neck adenoid cystic carcinoma. Genes Chromosom. Cancer 2012, 51, 805–817. [Google Scholar] [CrossRef]
- Mitani, Y.; Liu, B.; Rao, P.H.; Borra, V.J.; Zafereo, M.; Weber, R.S.; Kies, M.; Lozano, G.; Futreal, P.A.; Caulin, C.; et al. Novel MYBL1 Gene Rearrangements with Recurrent MYBL1-NFIB Fusions in Salivary Adenoid Cystic Carcinomas Lacking t(6;9) Translocations. Clin. Cancer Res. 2016, 22, 725–733. [Google Scholar] [CrossRef] [PubMed]
- Togashi, Y.; Dobashi, A.; Sakata, S.; Sato, Y.; Baba, S.; Seto, A.; Mitani, H.; Kawabata, K.; Takeuchi, K. MYB and MYBL1 in adenoid cystic carcinoma: Diversity in the mode of genomic rearrangement and transcripts. Mod. Pathol. 2018, 31, 934–946. [Google Scholar] [CrossRef] [PubMed]
- Knight, J.; Ratnasingham, K. Metastasising pleomorphic adenoma: Systematic review. Int. J. Surg. 2015, 19, 137–145. [Google Scholar] [CrossRef] [PubMed]




| Author | Number/Age/Gender | EAC | Symptoms | Size | Therapy | Relapse |
|---|---|---|---|---|---|---|
| Mark et al., 1951 [5] | 1/37/f | anterior | LM* | 25 × 13 × 17 mm | Exc | No rec |
| Fink, 1953 [7] | 1/57/m | N/A | OR | 5 mm Diameter | Exc | No rec |
| Nandi et al., 1961 [8] | 1/79/f | posterior | OL/OR/H/HL/FP/D | 17 × 13 mm | Mast/En-Exc | No rec |
| Smith et al., 1962 [9] | 1/60/f | superior | LM*/OL | 35 × 10 mm | Exc/Rad | No rec |
| Tung et al., 1963 [10] | 1/33/m | N/A | LM*/OR | 15 × 8 × 9 mm | Exc | No rec |
| Cankar et al., 1964 [11] | 1/27/f | N/A | N/A | N/A | Exc | No FU |
| Batsakis et al., 1967 [12] | 1/71/f | posterior | N/A | 20 × 20 × 15 mm | Exc/Rad | Rec |
| Nail et al., 1967 [13] | 1/70/f | posterior | OL/OR/TI | N/A | Exc | No rec |
| Pahor et al., 1975 [14] | 1/53/m | superior | HL/TI | 25 × 20 × 15 mm | En-Exc | No rec |
| Baker et al., 1977 [15] | 1/66/f | posterior | LM*/OR/HL | 15 mm Diameter | Exc | No rec |
| Botha et al., 1978 [16] | 1/15/f | N/A | N/A | N/A | Exc | Rec (malignant) |
| Goldenberg et al., 1980 [17] | 1/20/f | anterior | OL/HL | N/A | S-Par | No rec |
| Dehner et al., 1980 [18] | 1/74/m | N/A | N/A | 20 mm Diameter | Exc | No FU |
| Chen, 1982 [19] | 1/27/m | N/A | FB*/OR | 10 mm Diameter | Exc | No rec |
| Hicks, 1983 [20] | 1/44/m | N/A | F*/P*/IF | 10 mm Diameter | Exc | No FU |
| Tanaka et al., 1984 [21] | 1/52/m | posterior | OB* | 10 mm Diameter | En-Exc | No rec |
| Collins et al., 1989 [22] | 1/55/f | posterior | HL | 8 mm Diameter | Re-Exc | No rec |
| Suzuki et al., 1991 [23] | 1/51/f | anterior | OR | 9 × 7 × 6 mm | Exc | No rec |
| Mansour et al., 1992 [24] | 1/45/m | superior | HL/TI | 15 mm Diameter | En-Exc | No rec |
| 1/52/m | anterior | TI | 10 mm Diameter | En-Exc | No rec | |
| Tang et al., 1994 [25] | 1/39/m | posterior | LM*/HL | 20 × 10 × 10 mm | Exc | No rec |
| Haraguchi et al., 1996 [26] | 1/38/m | anterior | LM* | 12 × 8 × 5 mm | En-Exc | No rec |
| Gerber et al., 1999 [27] | 1/43/m | superior | OL/HL | 22 × 18 × 17 mm | En-Exc | No rec |
| Goh et al., 2001 [28] | 1/12/f | posterior | N/A | 30 mm Diameter | Exc | Rec (malignant) |
| Masumara et al., 2003 [29] | 1/62/m | N/A | LM*, F* | 12 mm Diameter | En-Exc | No FU |
| Thompsen et al., 2004 [30] | 4/N/A | N/A | N/A | N/A | N/A | N/A |
| Koyuncu et al., 2005 [31] | 1/58/f | anterior | HL/TI/IT | 16 × 8 × 4 mm | En-Exc | No rec |
| Kaushik et al., 2005 [32] | 1/57/f | posterior | OB*/HL | 11 × 10 × 10 mm | En-Exc | No rec |
| Karnwal et al., 2006 [33] | 1/40/m | posterior | LM* | 15 × 20 × 17 mm | Exc | No FU |
| Kuwabara et al., 2006 [34] | 1/69/f | posterior | LM* | 9 mm Diameter | Re-Exc | No rec |
| Tsukahara et al., 2006 [35] | 1/36/m | posterior | HL/OL | 18 × 14 × 21 mm | Re-Exc | No FU |
| Granell et al., 2008 [36] | 1/38/m | inferior | OR/HL | 17 × 11 × 8 mm | Exc | No FU |
| López Campos et al., 2008 [37] | 1/68/m | N/A | HL | N/A | Exc | No rec |
| Markou et al., 2008 [38] | 1/60/f | posterior | LM*/OL/TI/HL | N/A | Mast/Re-Exc | No rec |
| Ayers et al., 2010 [39] | 1/32/f | anterior | LM*/OL | N/A | Tra-Exc | No rec |
| Chadha et al., 2011 [40] | 1/37/f | N/A | OB*/OR/HL | N/A | Re-Exc | No rec |
| Kuo et al., 2011 [1] | 1/N/A | N/A | N/A | N/A | Exc | No FU |
| Kanaan et al., 2011 [41] | 1/23/f | inferior | F*/OL | 10 × 7 × 7 mm | Re-Exc | No rec |
| Vasileiadis et al., 2011 [42] | 1/34/m | posterior | LM*/HL | 15 × 8 mm | Exc | No rec |
| Lee et al., 2012 [43] | 1/40/f | N/A | N/A | N/A | Exc | Rec (malignant) |
| Wadhara et al., 2013 [44] | 1/25/m | posterior | OB*/HL | 12 mm Diameter | En-Exc | No rec |
| Maruyama et al., 2014 [45] | 1/40/m | posterior | HL/TI | 18 × 12 × 12 mm | En-/Re-Exc | No rec |
| Saito et al., 2014 [46] | 1/40/m | posterior | FB*/HL | 23 × 21 × 18 mm | Re-Exc | No rec |
| Jaber et al., 2015 [47] | 1/55/m | N/A | OR/HL | 10 mm Diameter | Re-Exc | No rec |
| Mohan et al., 2015 [48] | 1/40/m | N/A | OL/HL | 20 × 17 mm | N/A | No rec |
| Our case | 1/87/f | posterior | A | 13 × 10 × 6 mm | End-Exc | No rec |
| Ceruminous Neoplasms | |
|---|---|
| Benign | Malignant |
| Ceruminous adenoma | Ceruminous adenocarcinoma |
| Ceruminous pleomorphic adenoma | Ceruminous adenoid cystic carcinoma |
| Ceruminous syringocystadenoma papilliferum | Ceruminous mucoepidermoid carcinoma |
© 2020 by the authors. Licensee MDPI, Basel, Switzerland. This article is an open access article distributed under the terms and conditions of the Creative Commons Attribution (CC BY) license (http://creativecommons.org/licenses/by/4.0/).
Share and Cite
Beckmann, S.; Dettmer, M.S.; Caversaccio, M.D.; Giger, R.; Anschuetz, L. Pleomorphic Adenoma of External Auditory Canal: Case Report of First Endoscopic Resection and Literature Review. Medicina 2020, 56, 248. https://doi.org/10.3390/medicina56050248
Beckmann S, Dettmer MS, Caversaccio MD, Giger R, Anschuetz L. Pleomorphic Adenoma of External Auditory Canal: Case Report of First Endoscopic Resection and Literature Review. Medicina. 2020; 56(5):248. https://doi.org/10.3390/medicina56050248
Chicago/Turabian StyleBeckmann, Sven, Matthias S. Dettmer, Marco D. Caversaccio, Roland Giger, and Lukas Anschuetz. 2020. "Pleomorphic Adenoma of External Auditory Canal: Case Report of First Endoscopic Resection and Literature Review" Medicina 56, no. 5: 248. https://doi.org/10.3390/medicina56050248
APA StyleBeckmann, S., Dettmer, M. S., Caversaccio, M. D., Giger, R., & Anschuetz, L. (2020). Pleomorphic Adenoma of External Auditory Canal: Case Report of First Endoscopic Resection and Literature Review. Medicina, 56(5), 248. https://doi.org/10.3390/medicina56050248

