Preoperative Axillary Ultrasound versus Sentinel Lymph Node Biopsy in Patients with Early Breast Cancer
Abstract
1. Introduction
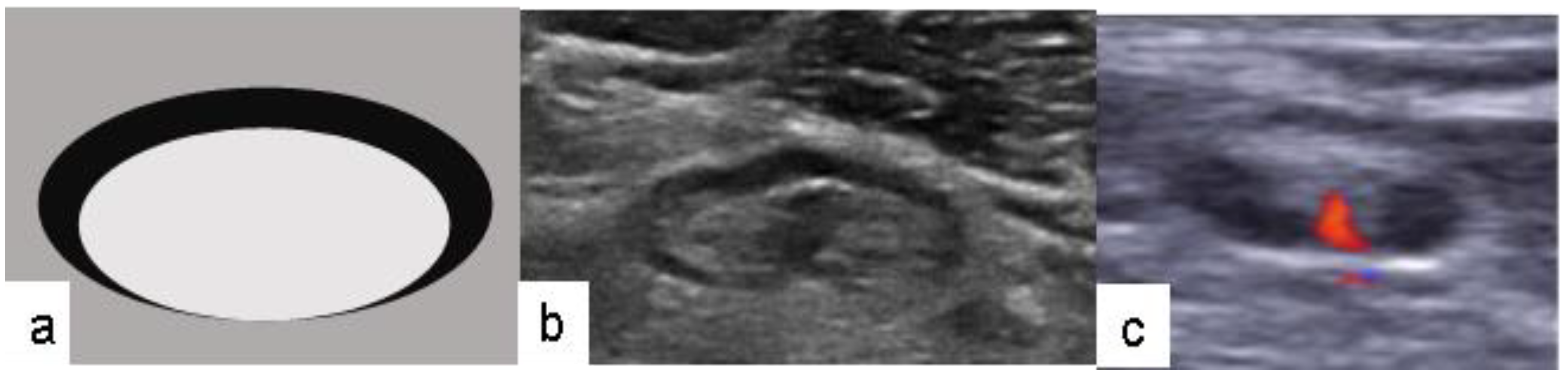
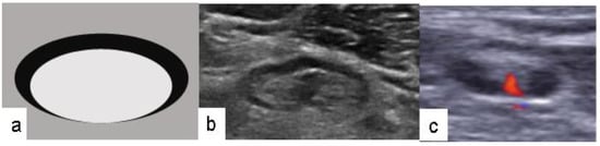
2. Materials and Methods
Statistical Analysis
3. Results
4. Discussion
5. Conclusions
Author Contributions
Funding
Conflicts of Interest
References
- Maxwell, F.; Mellon, C.D.M.; Bricout, M.; Cauderlier, E.; Chapelier, M.; Albiter, M.; Bourrier, P.; Espié, M.; de Kerviler, M.; de Bazelaire, C. Diagnostic strategy for the assessment of axillary lymph node status in breast cancer. Diagn. Interv. Imaging 2015, 96, 1089–1101. [Google Scholar] [CrossRef] [PubMed]
- Stachs, A.; Göde, K.; Hartmann, S.; Stengel, B.; Nierling, U.; Dieterich, M.; Reimer, T.; Gerber, B. Accuracy of axillary ultrasound in preoperative nodal staging of breast cancer—Size of metastases as limiting factor. Springerplus 2013, 2, 1–9. [Google Scholar] [CrossRef] [PubMed]
- Dihge, L. Predictors of Lymph Node Metastasis in Primary Breast Cancer Risk Models for Tailored Axillary Management. Ph.D. Thesis, Lund University, Lund, Sweden, 2018. [Google Scholar]
- Zahoor, S.; Haji, A.; Battoo, A.; Qurieshi, M.; Mir, W.; Shah, M. Sentinel lymph node biopsy in breast cancer: A clinical review and update. J. Breast Cancer 2017, 20, 217–227. [Google Scholar] [CrossRef] [PubMed]
- Barco, I.; Chabrera, C.; García-Fernández, A.; Fraile, M.; González, S.; Canales, L.; Lain, J.M.; González, C.; Vidal, M.C.; Vallejo, E.; et al. Role of axillary ultrasound, magnetic resonance imaging, and ultrasound-guided fine-needle aspiration biopsy in the preoperative triage of breast cancer patients. Clin. Transl. Oncol. 2017. [Google Scholar] [CrossRef] [PubMed]
- Avisar, E.; Ozmen, T. Management of the positive axilla in 2017. Breast Cancer Res. Treat. 2017. [Google Scholar] [CrossRef] [PubMed]
- Jozsa, F.; Ahmed, M.; Baker, R.; Douek, M. Is sentinel node biopsy necessary in the radiologically negative axilla in breast cancer? Breast Cancer Res. Treat. 2019, 177, 1–4. [Google Scholar] [CrossRef] [PubMed]
- Gipponi, M.; Fregatti, P.; Garlaschi, A.; Murelli, F.; Margarino, C.; Depaoli, F.; Baccini, P.; Gallo, M.; Friedman, D. Axillary ultrasound and Fine-Needle Aspiration Cytology in the preoperative staging of axillary node metastasis in breast cancer patients. Breast 2016, 30, 146–150. [Google Scholar] [CrossRef]
- NCT02167490. Sentinel Node vs. Observation after Axillary Ultra-souND. Available online: Https://clinicaltrials.gov/show/nct02167490 (accessed on 6 October 2019).
- Jackson, R.S.; Mylander, C.; Rosman, M.; Andrade, R.; Sawyer, K.; Sanders, P.; Tafra, L. Normal axillary ultrasound excludes heavy nodal disease burden in patients with breast cancer. Ann. Surg. Oncol. 2015, 22, 3289–3295. [Google Scholar] [CrossRef]
- Artmoniene, D. Breast cancer: The accuracy of the Paus in detecting pN2 and factors that lead to the true- and false-negative results. Biomed. J. Sci. Tech. Res. 2019, 12, 1–9. [Google Scholar] [CrossRef]
- Gentilini, O.; Botteri, E.; Dadda, P.; Sangalli, C.; Boccardo, C.; Peradze, N.; Ghisini, R.; Galimberti, V.; Veronesi, P.; Luini, A.; et al. Physical function of the upper limb after breast cancer surgery. Results from the SOUND (Sentinel node vs. Observation after axillary Ultra-souND) trial. Eur. J. Surg. Oncol. 2016, 42, 685–689. [Google Scholar] [CrossRef]
- Reimer, T.; Stachs, A.; Nekljudova, V.; Loibl, S.; Hartmann, S.; Wolter, K.; Hildebrandt, G.; Gerber, B. Restricted axillary staging in clinically and sonographically node-negative early invasive breast cancer (C/IT1-2) in the context of breast conserving therapy: First results following commencement of the intergroup-sentinel-mamma (INSEMA) trial. Geburtshilfe Frauenheilkd. 2017, 77, 149–157. [Google Scholar] [CrossRef] [PubMed]
- Ecanow, J.; Abe, H.; Newstead, G.M.; Ecanow, D.B.; Jeske, J.M. Axillary Staging of Breast Cancer: What the Radiologist Should Know. Radiographics 2013, 33, 1589–1612. [Google Scholar] [CrossRef]
- Dihge, L.; Grabau, D.A.; Rasmussen, R.W.; Bendahl, P.O.; Rydén, L. The accuracy of preoperative axillary nodal staging in primary breast cancer by ultrasound is modified by nodal metastatic load and tumor biology. Acta Oncol. (Madr) 2016, 55, 976–982. [Google Scholar] [CrossRef] [PubMed]
- van Nijnatten, T.J.A.; Ploumen, E.H.; Schipper, R.J.; Goorts, B.; Andriessen, E.H.; Vanwetswinkel, S.; Schavemaker, M.; Nelemans, P.; de Vries, B.; Beets-Tan, R.G.H.; et al. Routine use of standard breast MRI compared to axillary ultrasound for differentiating between no, limited and advanced axillary nodal disease in newly diagnosed breast cancer patients. Eur. J. Radiol. 2016, 85, 2288–2294. [Google Scholar] [CrossRef] [PubMed]
- Jung, J.; Han, W.; Lee, E.S.; Jung, S.-Y.; Han, J.H.; Noh, D.-Y.; Kim, Y.; Choi, H.J.; Lee, J.E.; Nam, S.J.; et al. Retrospectively validating the results of the ACOSOG Z0011 trial in a large Asian Z0011-eligible cohort. Breast Cancer Res. Treat. 2019. [Google Scholar] [CrossRef] [PubMed]
- Naidoo, K.; Pinder, S.E. Micro- and macro-metastasis in the axillary lymph node: A review. Surgeon 2017, 15, 76–82. [Google Scholar] [CrossRef] [PubMed]
- Zhu, Y.; Zhou, W.; Jia, X.H.; Huang, O.; Zhan, W.W. Preoperative axillary ultrasound in the selection of patients with a heavy axillary tumor burden in early-stage breast cancer: What leads to false-positive results? J. Ultrasound Med. 2018, 1357–1365. [Google Scholar] [CrossRef] [PubMed]
- Galimberti, V.; Cole, B.F.; Zurrida, S.; Viale, G.; Luini, A.; Veronesi, P.; Baratella, P.; Chifu, C.; Sargenti, M.; Intra, M.; et al. Axillary dissection versus no axillary dissection in patients with sentinel-node micrometastases (IBCSG 23-01): A phase 3 randomised controlled trial. Lancet Oncol. 2013, 14, 297–305. [Google Scholar] [CrossRef]
- Early stage breast cancer. Union for International Cancer Control. 2014 Review of Cancer Medicines on the WHO List of Essential Medicines. Available online: https://www.who.int/selection_medicines/committees/expert/20/applications/EarlyStageBreast.pdf?ua=1 (accessed on 6 October 2019).
- Qiu, S.Q.; Zeng, H.C.; Zhang, F.; Chen, C.; Huang, W.-H.; Pleijhuis, R.G.; Wu, J.-D.; van Dam, G.M.; Zhang, G.-J. A nomogram to predict the probability of axillary lymph node metastasis in early breast cancer patients with positive axillary ultrasound. Sci. Rep. 2016, 6, 1–12. [Google Scholar] [CrossRef]
- Schipper, R.J.; van Roozendaal, L.M.; de Vries, B.; Pijnappel, R.M.; Beets-Tan, R.G.H.; Lobbes, M.B.I.; Smidtbe, M.L. Axillary ultrasound for preoperative nodal staging in breast cancer patients: Is it of added value? Breast 2013, 22, 1108–1113. [Google Scholar] [CrossRef]
- Chikarmane, S.A.; Tirumani, S.H.; Howard, S.A.; Jagannathan, J.P.; Dipiro, P.J. Metastatic patterns of breast cancer subtypes: What radiologists should know in the era of personalized cancer medicine. Clin. Radiol. 2015, 70, 1–10. [Google Scholar] [CrossRef]
- Orang, E.; Marzony, E.T.; Afsharfard, A. Predictive role of tumor size in breast cancer with axillary lymph node involvement—Can size of primary tumor be used to omit an unnecessary axillary lymph node dissection? Asian Pacific. J. Cancer Prev. 2013, 14, 717–722. [Google Scholar] [CrossRef] [PubMed]
- Zhao, Y.X.; Liu, Y.R.; Xie, S.; Jiang, Y.Z.; Shao, Z.M. A nomogram predicting lymph node metastasis in t1 breast cancer based on the surveillance, epidemiology, and end results program. J. Cancer 2019, 10, 2443–2449. [Google Scholar] [CrossRef] [PubMed]
- Bevilacqua, J.L.B.; Kattan, M.W.; Fey, J.V.; Cody, H.S.; Borgen, P.I.; Van Zee, K.J. Doctor, what are my chances of having a positive sentinel node? A validated nomogram for risk estimation. J. Clin. Oncol. 2007, 25, 3670–3679. [Google Scholar] [CrossRef] [PubMed]
- Abner, A.L.; Collins, L.; Peiro, G.; Recht, A.; Come, S.; Shulman, L.N.; Barbara Silver, B.; Asa Nixon, A.; Harris, J.R.; Schnitt, S.J.; et al. Correlation of tumor size and axillary lymph node involvement with prognosis in patients with T1 breast carcinoma. Cancer 1998, 83, 2502–2508. [Google Scholar] [CrossRef]
- Kim, G.R.; Choi, J.S.; Han, B.K.; Lee, J.E.; Nam, S.J.; Ko, E.Y.; Ko, E.S.; Lee, S.K. Preoperative axillary US in early-stage breast cancer: Potential to prevent unnecessary axillary lymph node dissection. Radiology 2018, 288, 55–63. [Google Scholar] [CrossRef]
- Nath, J.; Sami, N.; Massey, J.; Donnelly, J.; Corder, A.P. Selection for axillary clearance in breast cancer (ultrasound negative, sentinel node positive patients have low rates of further metastases). Eur. J. Surg. Oncol. 2013, 39, 450–454. [Google Scholar] [CrossRef]
- del Riego, J.; Diaz-Ruiz, M.J.; Teixidó, M.; Ribé, J.; Vilagran, M.; Canales, L.; Sentís, M.; de Mama Vallès-Osona-Bages, G. The impact of preoperative axillary ultrasonography in T1 breast tumours. Eur. Radiol. 2016, 26, 1073–1081. [Google Scholar] [CrossRef]
- Gadd, M.; Kuhn, J.; Harlow, S.; Beitsch, P. The sentinel node in breast cancer—A multicenter validation study. N. Engl. J. Med. 1998, 339, 941–946. [Google Scholar]
- Cox, C.E.; Salud, C.J.; Cantor, A.; Bass, S.S.; Peltz, E.S.; Ebert, M.D.; Nguyen, K.; Reintgen, D.S. Learning curves for breast cancer sentinel lymph node mapping based on surgical volume analysis. J. Am. Coll. Surg. 2001, 193, 593–600. [Google Scholar] [CrossRef]
- James, T.A.; Coffman, A.R.; Chagpar, A.B.; Boughey, J.C.; Klimberg, V.S.; Morrow, M.; Giuliano, A.E.; Harlow, S.P. Troubleshooting sentinel lymph node biopsy in breast cancer surgery. Ann. Surg. Oncol. 2016, 23, 3459–3466. [Google Scholar] [CrossRef]
- Abe, H.; Schacht, D.; Sennett, C.A.; Newstead, G.M.; Schmidt, R.A. Utility of preoperative ultrasound for predicting pN2 or higher stage axillary lymph node involvement in patients with newly diagnosed breast cancer. Am. J. Roentgenol. 2013, 200, 696–702. [Google Scholar] [CrossRef] [PubMed]
- Ameri, B.; Kanesa-Thasan, R.; Abu-Khalaf, M.M.; Berger, A.C.; Eisenberg, T.; Lazar, A.; Sevrukov, A.; Tsangaris, T.N.; Wasti, N.; Wilkes, A.; et al. Negative predictive value of ipsilateral axillary ultrasound in the pre-operative assessment of invasive breast cancer. J. Clin. Oncol. 2017, 35, e12080. [Google Scholar] [CrossRef]
- Verheuvel, N.C.; Voogd, A.C.; Tjan-Heijnen, V.C.G.; Roumen, R.M.H. Potential impact of application of Z0011 derived criteria to omit axillary lymph node dissection in node positive breast cancer patients. Eur. J. Surg. Oncol. 2016, 42, 1162–1168. [Google Scholar] [CrossRef] [PubMed]
- Moorman, A.M.; Bourez, R.L.J.H.; Heijmans, H.J.; Kouwenhoven, E.A. Axillary ultrasonography in breast cancer patients helps in identifying patients preoperatively with limited disease of the axilla. Ann. Surg. Oncol. 2014, 21, 2904–2910. [Google Scholar] [CrossRef] [PubMed]
- Soltani, E.; Rad, M.P.; Aghaei, M.A.; Ghaffarzadegan, K.; Memar, B.; Jangjoo, A.; Omranipour, R. Could Using of Ultrasonic Grading for Axillary Lymph Nodes Improve Management of Early Stage Breast Cancer? Clin. Oncol. 2018, 3, 1486. [Google Scholar]
- Ertan, K.; Linsler, C.; di Liberto, A.; Fang Ong, M.; Solomayer, E.; Endrikat, J. Axillary ultrasound for breast cancer staging: An attempt to identify clinical/histopathological factors impacting diagnostic performance. Breast Cancer Basic Clin. Res. 2013, 7, 35–40. [Google Scholar] [CrossRef]
- Nwaogu, I.Y.; Yan, Y.; Appleton, C.M.; Cyr, A.E.; Margenthaler, J.A. Predictors of false negative axillary ultrasound in breast cancer. J. Surg. Res. 2015, 198, 351–354. [Google Scholar] [CrossRef]
- Johnson, S.; Brown, S.; Porter, G.; Steel, J.; Paisley, K.; Watkins, R.; Holgate, C. Staging primary breast cancer. Are there tumour pathological features that correlate with a false-negative axillary ultrasound? Clin. Radiol. 2011, 66, 497–499. [Google Scholar] [CrossRef]
- Meretoja, T.J.; Heikkilä, P.S.; Mansfield, A.S.; Cserni, G.; Ambrozay, E.; Boross, G.; Zgajnar, J.; Perhavec, A.; Gazic, B.; Arisio, R.; et al. A predictive tool to estimate the risk of axillary metastases in breast cancer patients with negative axillary ultrasound. Ann. Surg. Oncol. 2014, 21, 2229–2236. [Google Scholar] [CrossRef]




| Parameter | Total (n = 227) | Node-Negative (n = 193) | Node-Positive (n = 34) | p Value |
|---|---|---|---|---|
| Age, mean (SD), years | 59.55 (11.83) | 59.88 (11.93) | 57.65 (11.21) | 0.311 |
| Age categories: ≤50 years 50–70 years >70 years | 55 125 47 | 45 (81.8) 106 (84.8) 42 (89.4) | 10 (18.2) 19 (15.2) 5 (10.6) | 0.565 |
| Findings on PAUS, n (%): Negative Positive | 189 38 | 173 (91.5) 20 (52.6) | 16 (8.5) 18 (47.4) | <0.001 |
| Number of focus, n (%): Unifocal Multifocal | 172 55 | 146 (84.9) 47 (85.5) | 26 (15.1) 8 (14.5) | 0.556 |
| Histological subtype, n (%): Invasive ductal Invasive lobular Other | 168 19 40 | 143 (85.1) 14 (73.7) 36 (90.0) | 25 (14.9) 5 (26.3) 4 (10.0) | 0.260 |
| Presence of non-invasive component, n (%): ca in situ (+) ca in situ (–) | 75 152 | 64 (85.3) 129 (84.9) | 11 (14.7) 23 (15.1) | 0.548 |
| Tumor size, n (%): pT1a pT1b pT1c | 27 45 155 | 26 (96.3) 40 (88.9) 127 (81.9) | 1 (3.7) 5 (11.1) 28 (18.1) | 0.112 |
| Tumor grade, n (%): G1 G2 G3 | 23 180 24 | 22 (95.7) 152 (84.4) 19 (79.2) | 1 (4.3) 28 (15.6) 5 (20.8) | 0.255 |
| Lymphovascular invasion, n (%): LV0 LV1 | 89 138 | 89 (100.0) 104 (75.4) | 0 (0.0) 34 (24.6) | <0.001 |
| HR status, n (%): ER negative ER positive | 27 200 | 25 (92.6) 168 (84.0) | 2 (7.4) 32 (16.0) | 0.191 |
| PR negative PR positive | 48 179 | 41 (85.4) 152 (84.9) | 7 (14.6) 27 (15.1) | 0.568 |
| HER2 status, n (%): HER2(0) HER2(1) | 143 84 | 116 (81.1) 77 (91.7) | 27 (18.9) 7 (8.3) | 0.022 |
| PAUS | Prevalence% (95% CI) | Accuracy % (95% CI) | Sensitivity % (95% CI) | Specificity % (95% CI) | Positive Predictive Value % (95% CI) | Negative Predictive Value % (95% CI) |
|---|---|---|---|---|---|---|
| Total | 15.0 (9.1–20.9) | 84.1 (78.1–90.2) | 52.9 (31.5–74.3) | 89.6 (84.2–95.1) | 47.4 (27.1–67.6) | 91.5 (86.5–96.6) |
| ≥3 node+ | 5.4 (1.4–9.3) | 88.7 (83.2–94.3) | 72.7 (39.2–106.3) | 89.6 (84.2–95.1) | 28.6 (7.2–49.9) | 98.3 (95.9–100.7) |
| Author | PAUS-Negative | False-Negative Rate | Feature, p-Value |
|---|---|---|---|
| Johnson et al., 2011 | N = 155 | 29% (overall) | Size of tumor (p = 0.02), Lymphovascular invasion (p < 0.001), Histological type of tumor (p < 0.001) |
| Stachs et al., 2013 | N = 378 | 18.5% (overall) | Tumor size (p < 0.001), tumor grade (p = 0.005), lymphovascular invasion (p < 0.001), ER status (p = 0.024), PR status (p = 0.014), HER2 status (p = 0.007) Ki-67 proliferation index (p < 0.001) |
| Meretoja et al., 2014 | – | – | Tumor size (p < 0.001), multifocality (p < 0.001), lymphovascular invasion (p < 0.001), palpability of the primary tumor (p < 0.001) |
| Nwaogu et al., 2015 | N = 118 | 21% (overall) | Tumor size (p < 0.01), lymphovascular invasion (p < 0.0001) |
| Jackson et al., 2015 | N = 400 | 14% (overall) 4% (for detecting ≥3 nodal metastasis) | Tumor size (p = 0.005), histological tumor type (p = 0.004) |
| Artmoniene et al., 2019 | N = 581 | 18.7% | Tumor size (p < 0.0001), tumor grade (p = 0.034), lymphovascular invasion (p < 0.0001), patient age (p = 0.006) |
| Current study | N = 189 | 8.5% (overall) 1.6% (for detecting ≥3 nodal metastasis) | Lymphovascular invasion (p < 0.0001) |
© 2020 by the authors. Licensee MDPI, Basel, Switzerland. This article is an open access article distributed under the terms and conditions of the Creative Commons Attribution (CC BY) license (http://creativecommons.org/licenses/by/4.0/).
Share and Cite
Rukanskienė, D.; Veikutis, V.; Jonaitienė, E.; Basevičiūtė, M.; Kunigiškis, D.; Paukštaitienė, R.; Čepulienė, D.; Poškienė, L.; Boguševičius, A. Preoperative Axillary Ultrasound versus Sentinel Lymph Node Biopsy in Patients with Early Breast Cancer. Medicina 2020, 56, 127. https://doi.org/10.3390/medicina56030127
Rukanskienė D, Veikutis V, Jonaitienė E, Basevičiūtė M, Kunigiškis D, Paukštaitienė R, Čepulienė D, Poškienė L, Boguševičius A. Preoperative Axillary Ultrasound versus Sentinel Lymph Node Biopsy in Patients with Early Breast Cancer. Medicina. 2020; 56(3):127. https://doi.org/10.3390/medicina56030127
Chicago/Turabian StyleRukanskienė, Dalia, Vincentas Veikutis, Eglė Jonaitienė, Milda Basevičiūtė, Domantas Kunigiškis, Renata Paukštaitienė, Daiva Čepulienė, Lina Poškienė, and Algirdas Boguševičius. 2020. "Preoperative Axillary Ultrasound versus Sentinel Lymph Node Biopsy in Patients with Early Breast Cancer" Medicina 56, no. 3: 127. https://doi.org/10.3390/medicina56030127
APA StyleRukanskienė, D., Veikutis, V., Jonaitienė, E., Basevičiūtė, M., Kunigiškis, D., Paukštaitienė, R., Čepulienė, D., Poškienė, L., & Boguševičius, A. (2020). Preoperative Axillary Ultrasound versus Sentinel Lymph Node Biopsy in Patients with Early Breast Cancer. Medicina, 56(3), 127. https://doi.org/10.3390/medicina56030127

