Pancreatic Hydatid Cyst Misdiagnosed as Mucinous Cystadenoma: CT and MRI Findings
Abstract
1. Introduction
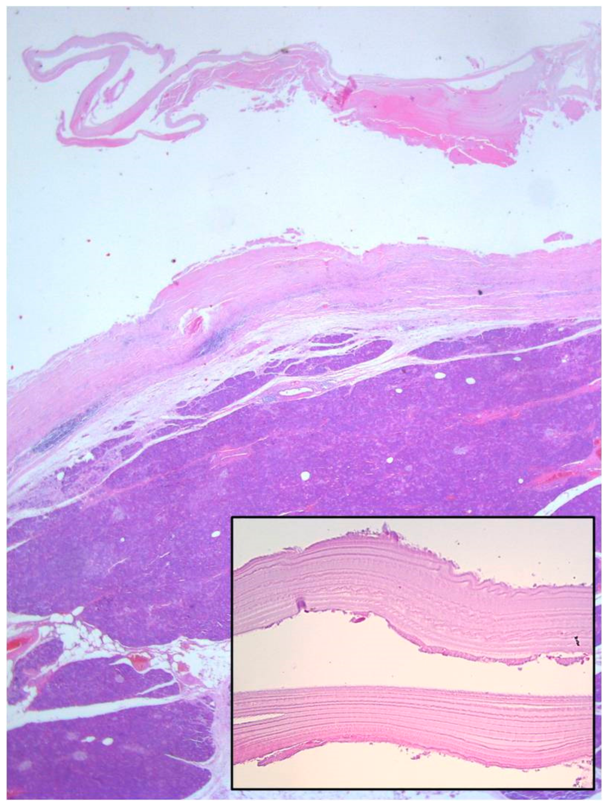
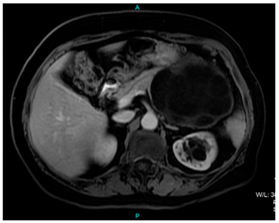
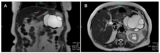
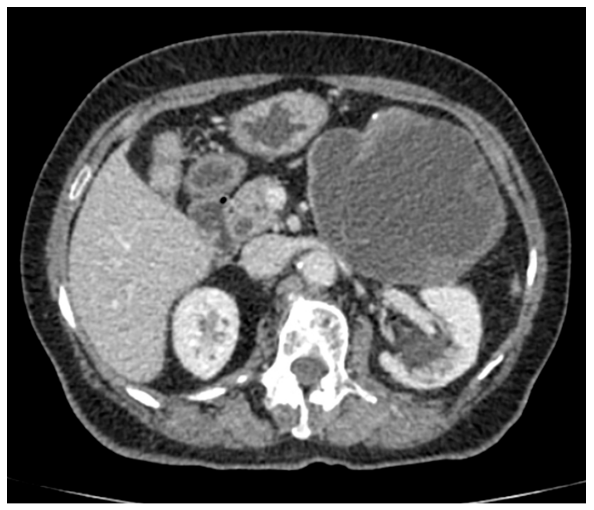
2. Case Report
3. Discussion
4. Conclusions
Author Contributions
Funding
Conflicts of Interest
References
- Imam, A.; Khoury, T.; Weis, D.; Khalayleh, H.; Adeleh, M.; Khalaileh, A. Laparoscopic cystectomy for pancreatic echinococcosis: A case report and literature review. Ann. Hepato Biliary Pancr. Surg. 2019, 23, 87–90. [Google Scholar] [CrossRef] [PubMed]
- Sharma, S.; Sarin, H.; Guleria, M.; Agrawal, K. Endoscopic ultrasound-guided FNA: Emerging technique to diagnose hydatid cyst of pancreas. J. Cytol. 2015, 32, 211–212. [Google Scholar] [CrossRef] [PubMed]
- Eckert, J.; Deplazes, P. Biological, epidemiological, and clinical aspects of echinococcosis, a zoonosis of increasing concern. Clin. Microbiol. Rev. 2004, 17, 107–135. [Google Scholar] [CrossRef] [PubMed]
- CDC. Echinococcosis: Life Cycle. Available online: https://www.cdc.gov/parasites/echinococcosis/biology.html (accessed on 16 July 2019).
- Ozmen, M.M.; Moran, M.; Karakahya, M.; Coskun, F. Recurrent acute pancreatitis due to a hydatid cyst of the pancreatic head: A case report and review of the literature. JOP 2005, 6, 354–358. [Google Scholar] [PubMed]
- Shah, O.J.; Robbani, I.; Zargar, S.A.; Yattoo, G.N.; Shah, P.; Ali, S.; Javaid, G.; Khan, B.A. Hydatid cyst of the pancreas. An experience with six cases. JOP J. Pancreas 2010, 11, 575–581. [Google Scholar]
- Jai, S.R.; El Hattabi, K.; Bensardi, F.; Chehab, F.; Khaiz, D.; Bouzidi, A. Primary hydatid cyst of the pancreas causing obstructive jaundice. Saudi J. Gastroenterol. 2007, 13, 191–193. [Google Scholar] [CrossRef]
- Bernstein, D.E.; Dickinson, G.M.; Kim, K.-J.; Al Karawi, M.A.; Barkin, J.S. Parasitic Causes of Pancreatic and Biliary Tract Disease: A Growing Concern in a Highly Mobile Population. Mil. Med. 1994, 159, 331–338. [Google Scholar] [CrossRef]
- Erdener, A.; Sahin, A.H.; Ozcan, C. Primary pancreatic hydatid disease in a child: Case report and review of the literature. J. Pediatr. Surg. 1999, 34, 491–492. [Google Scholar] [CrossRef]
- Mandelia, A.; Wahal, A.; Solanki, S.; Srinivas, M.; Bhatnagar, V. Pancreatic hydatid cyst masquerading as a choledochal cyst. J. Pediatr. Surg. 2012, 47, e41–e44. [Google Scholar] [CrossRef]
- Turkyilmaz, Z.; Kapisiz, A.; Sonmez, K.; Karabulut, R.; Basaklar, A. Obstructive jaundice resulted from hydatid cyst of pancreatic head. Hippokratia 2013, 17, 378–379. [Google Scholar]
- Wong, L.S.; Braghirolli-Neto, O.; Xu, M.; Buckels, J.A.; Mirza, D.F. Hydatid liver disease as a cause of recurrent pancreatitis. J. R. Coll. Surg. Edinb. 1999, 44, 407–409. [Google Scholar] [PubMed]
- Mathai, V.; Jesudason, S.R.; Muthusami, J.C.; Kuruvilla, R.; Idikula, J.; Sada, P. Chronic pancreatitis caused by intraductal hydatid cysts of the pancreas. Br. J. Surg. 1994, 81, 1029. [Google Scholar] [CrossRef] [PubMed]
- Szanto, P.; Goian, I.; Al Hajjar, N.; Badea, R.; Seicean, A.; Manciula, D.; Serban, A. Hydatid cyst of the pancreas causing portal hypertension. Maedica 2010, 5, 139–141. [Google Scholar] [PubMed]
- Cankorkmaz, L.; Gumus, C.; Celiksoz, A.; Koyluoglu, G. Primary hydatid disease of the pancreas mimicking pancreatic pseudo-cyst in a child: Case report and review of the literature. Turk. Parazitol. Derg. 2011, 35, 50–52. [Google Scholar] [CrossRef] [PubMed]
- Farrell, J.J. Prevalence, Diagnosis and Management of Pancreatic Cystic Neoplasms: Current Status and Future Directions. Gut Liver 2015, 9, 571–589. [Google Scholar] [CrossRef] [PubMed]
- Balik, A.A.; Celebi, F.; Basglu, M.; Oren, D.; Yildirgan, I.; Atamanalp, S.S. Intra-abdominal extrahepatic echinococcosis. Surg Today. 2001, 31, 881–884. [Google Scholar] [CrossRef]
- Pedrosa, I.; Saiz, A.; Arrazola, J.; Ferreiros, J.; Pedrosa, C.S. Hydatid disease: Radiologic and pathologic features and complications. Radiographics 2000, 20, 795–817. [Google Scholar] [CrossRef]
- Solomon, N.; Fields, P.J.; Tamarozzi, F.; Brunetti, E.; Macpherson, C.N.L. Expert Reliability for the World Health Organization Standardized Ultrasound Classification of Cystic Echinococcosis. Am. J. Trop. Med. Hyg. 2017, 96, 686–691. [Google Scholar] [CrossRef]
- Kalb, B.; Sarmiento, J.M.; Kooby, D.A.; Adsay, N.V.; Martin, D.R. MR Imaging of Cystic Lesions of the Pancreas. RadioGraphics 2009, 29, 1749–1765. [Google Scholar] [CrossRef]
- Sakorafas, G.H.; Smyrniotis, V.; Reid-Lombardo, K.M.; Sarr, M.G. Primary pancreatic cystic neoplasms revisited: Part II Mucinous cystic neoplasms. Surg. Oncol. 2011, 20, e93–e101. [Google Scholar] [CrossRef]
- Masia, R.; Mino-Kenudson, M.; Warshaw, A.L.; Pitman, M.B.; Misdraji, J. Pancreatic mucinous cystic neoplasm of the main pancreatic duct. Arch. Pathol. Lab. Med. 2011, 135, 264–267. [Google Scholar] [PubMed]
- Makni, A.; Jouini, M.; Kacem, M.; Safta, Z.B. Acute pancreatitis due to pancreatic hydatid cyst: A case report and review of the literature. World J. Emerg. Surg. 2012, 7, 7. [Google Scholar] [CrossRef] [PubMed]
- Diop, S.P.; Costi, R.; Le Bian, A.; Carloni, A.; Meduri, B.; Smadja, C. Acute pancreatitis associated with a pancreatic hydatid cyst: Understanding the mechanism by EUS. Gastrointest. Endosc. 2010, 72, 1312–1314. [Google Scholar] [CrossRef] [PubMed]
- Bouasker, I.; Zoghlami, A.; Ben Achour, J.; Najah, H.; Bedoui, R.; Hani, M.L.; Najah, N. Hydatid cysts of the pancreas, report of two cases. Tunis Med. 2009, 87, 155–158. [Google Scholar] [PubMed]
- Velasco-Tirado, V.; Alonso-Sardón, M.; Lopez-Bernus, A.; Romero-Alegría, Á.; Burguillo, F.J.; Muro, A.; Carpio-Pérez, A.; Bellido, J.L.M.; Pardo-Lledias, J.; Belhassen-García, M. Medical treatment of cystic echinococcosis: Systematic review and meta-analysis. BMC Infect. Dis. 2018, 18, 306. [Google Scholar] [CrossRef] [PubMed]
- Khuroo, M.S.; Dar, M.Y.; Yattoo, G.N.; Zargar, S.A.; Javaid, G.; Khan, B.A.; Boda, M.I. Percutaneous drainage versus albendazole therapy in hepatic hydatidosis: A prospective, randomized study. Gastroenterology 1993, 104, 1452–1459. [Google Scholar] [CrossRef]
- Karaman, B.; Battal, B.; Ustunsoz, B.; Ugurel, M.S. Percutaneous Treatment of a Primary Pancreatic Hydatid Cyst Using a Catheterization Technique. Korean J. Radiol. 2012, 13, 232–236. [Google Scholar] [CrossRef]
- Tezcaner, T.; Ekici, Y.; Aydin, O.H.; Barit, G.; Moray, G. Laparoscopic spleen-preserving distal pancreatectomy for a primary hydatid cyst mimicking a mucinous cystic neoplasia. J. Minim. Access Surg. 2017, 13, 148–150. [Google Scholar] [CrossRef]







© 2020 by the authors. Licensee MDPI, Basel, Switzerland. This article is an open access article distributed under the terms and conditions of the Creative Commons Attribution (CC BY) license (http://creativecommons.org/licenses/by/4.0/).
Share and Cite
Mitrovic, M.; Tadic, B.; Kovac, J.; Grubor, N.; Milosavljevic, V.; Jankovic, A.; Khatkov, I.; Radenkovic, D.; Matic, S. Pancreatic Hydatid Cyst Misdiagnosed as Mucinous Cystadenoma: CT and MRI Findings. Medicina 2020, 56, 124. https://doi.org/10.3390/medicina56030124
Mitrovic M, Tadic B, Kovac J, Grubor N, Milosavljevic V, Jankovic A, Khatkov I, Radenkovic D, Matic S. Pancreatic Hydatid Cyst Misdiagnosed as Mucinous Cystadenoma: CT and MRI Findings. Medicina. 2020; 56(3):124. https://doi.org/10.3390/medicina56030124
Chicago/Turabian StyleMitrovic, Milica, Boris Tadic, Jelena Kovac, Nikola Grubor, Vladimir Milosavljevic, Aleksandra Jankovic, Igor Khatkov, Dejan Radenkovic, and Slavko Matic. 2020. "Pancreatic Hydatid Cyst Misdiagnosed as Mucinous Cystadenoma: CT and MRI Findings" Medicina 56, no. 3: 124. https://doi.org/10.3390/medicina56030124
APA StyleMitrovic, M., Tadic, B., Kovac, J., Grubor, N., Milosavljevic, V., Jankovic, A., Khatkov, I., Radenkovic, D., & Matic, S. (2020). Pancreatic Hydatid Cyst Misdiagnosed as Mucinous Cystadenoma: CT and MRI Findings. Medicina, 56(3), 124. https://doi.org/10.3390/medicina56030124

