Gallstone Ileus: Management and Clinical Outcomes
Abstract
:1. Introduction
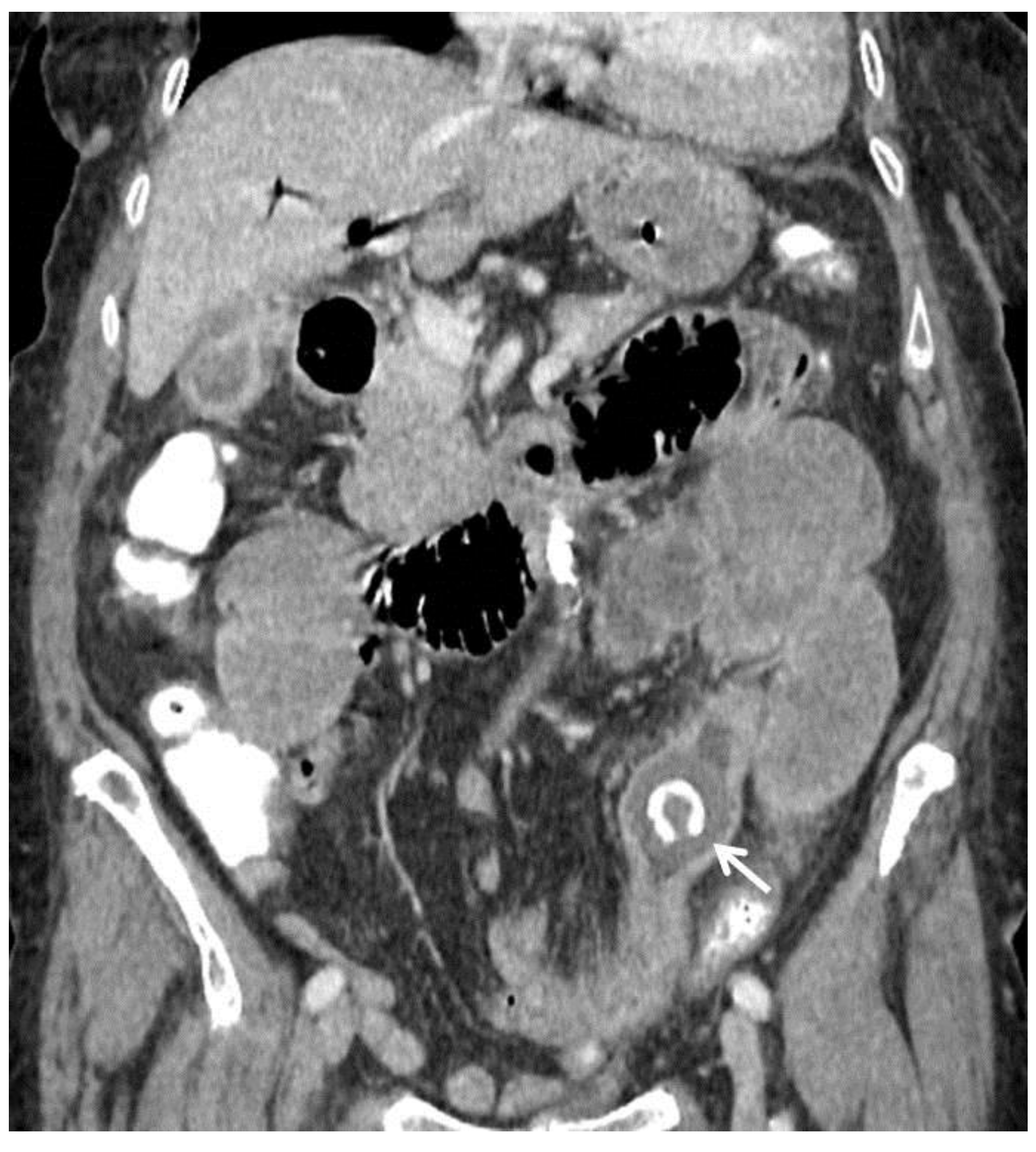
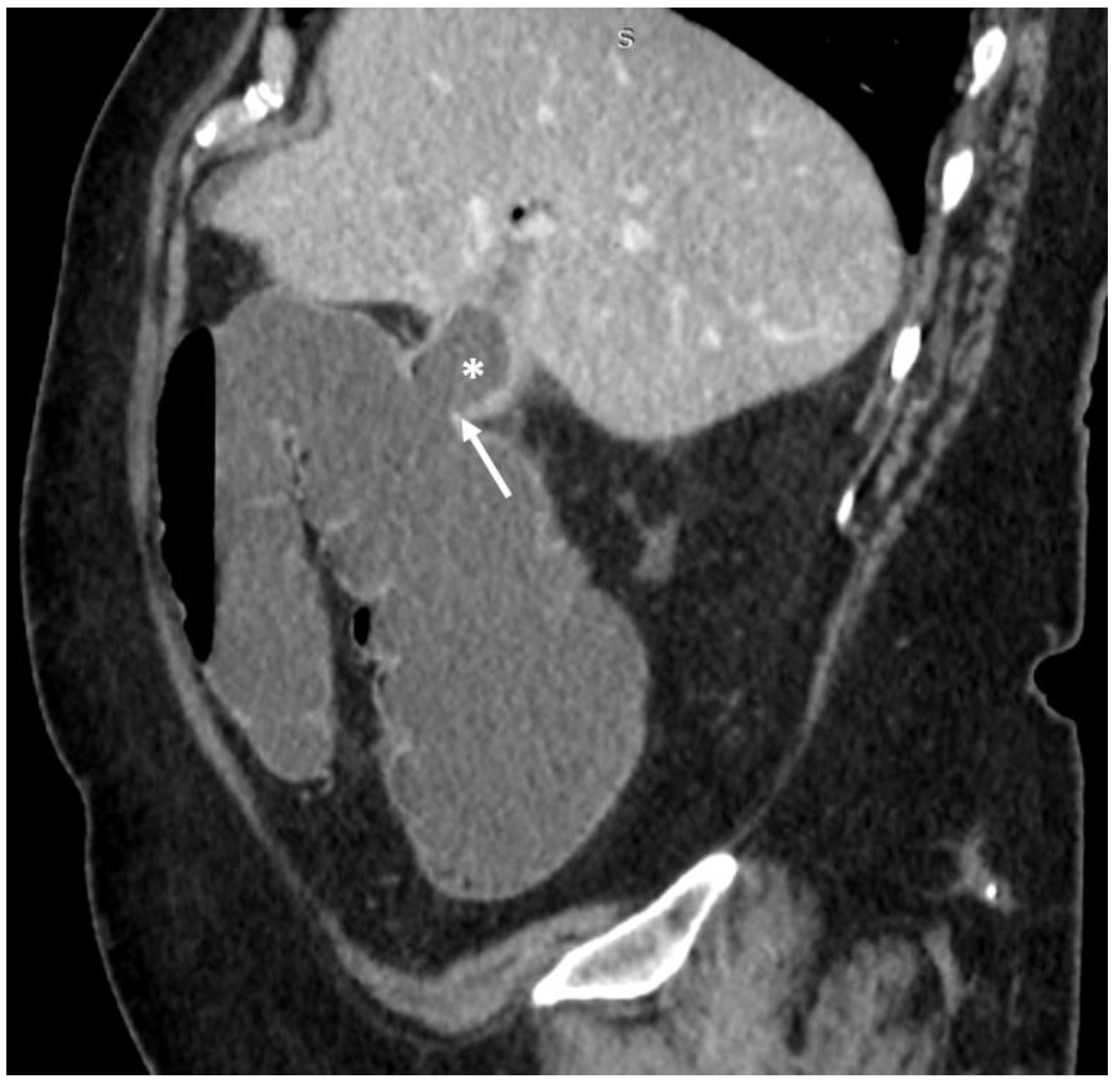
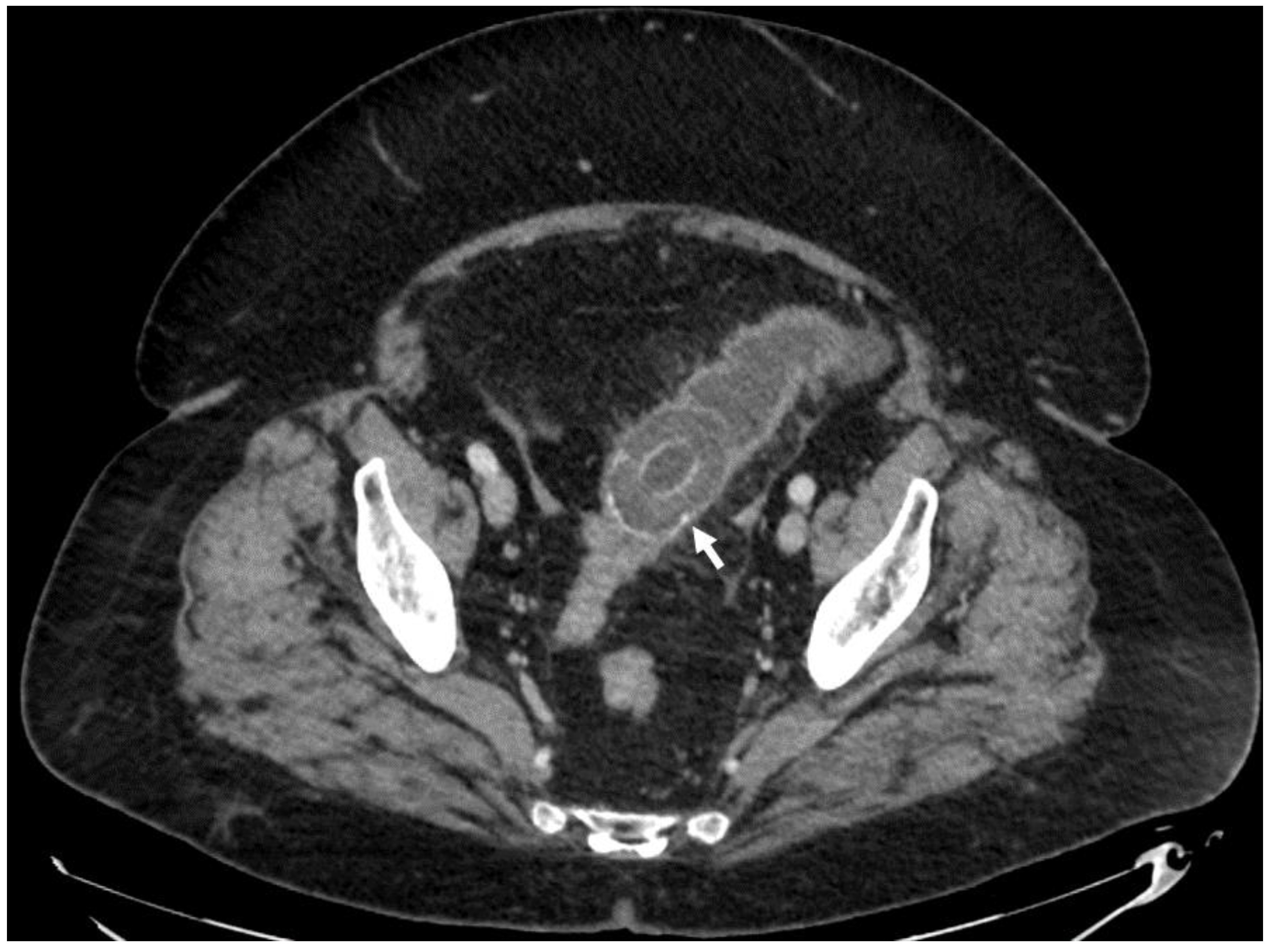
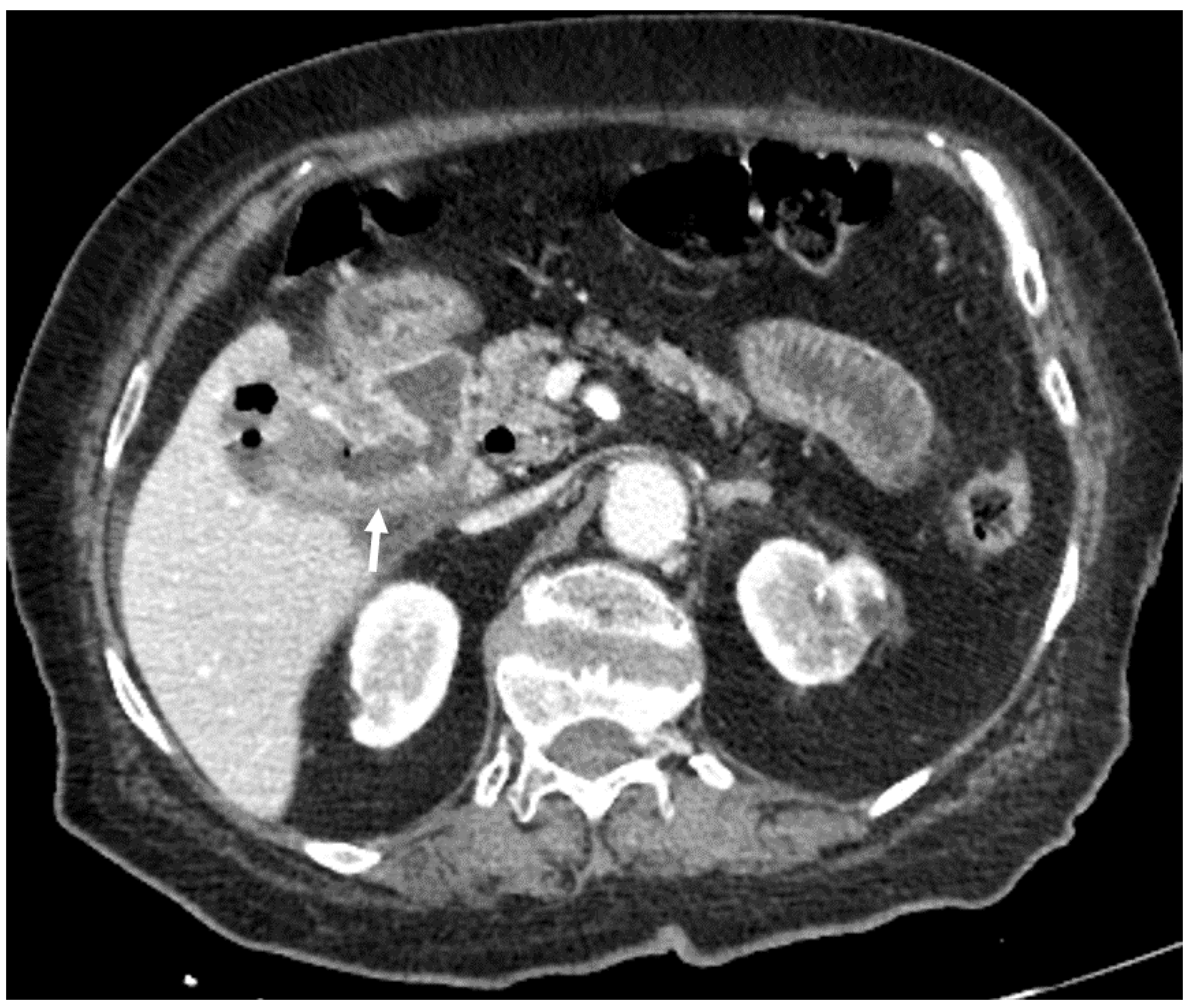
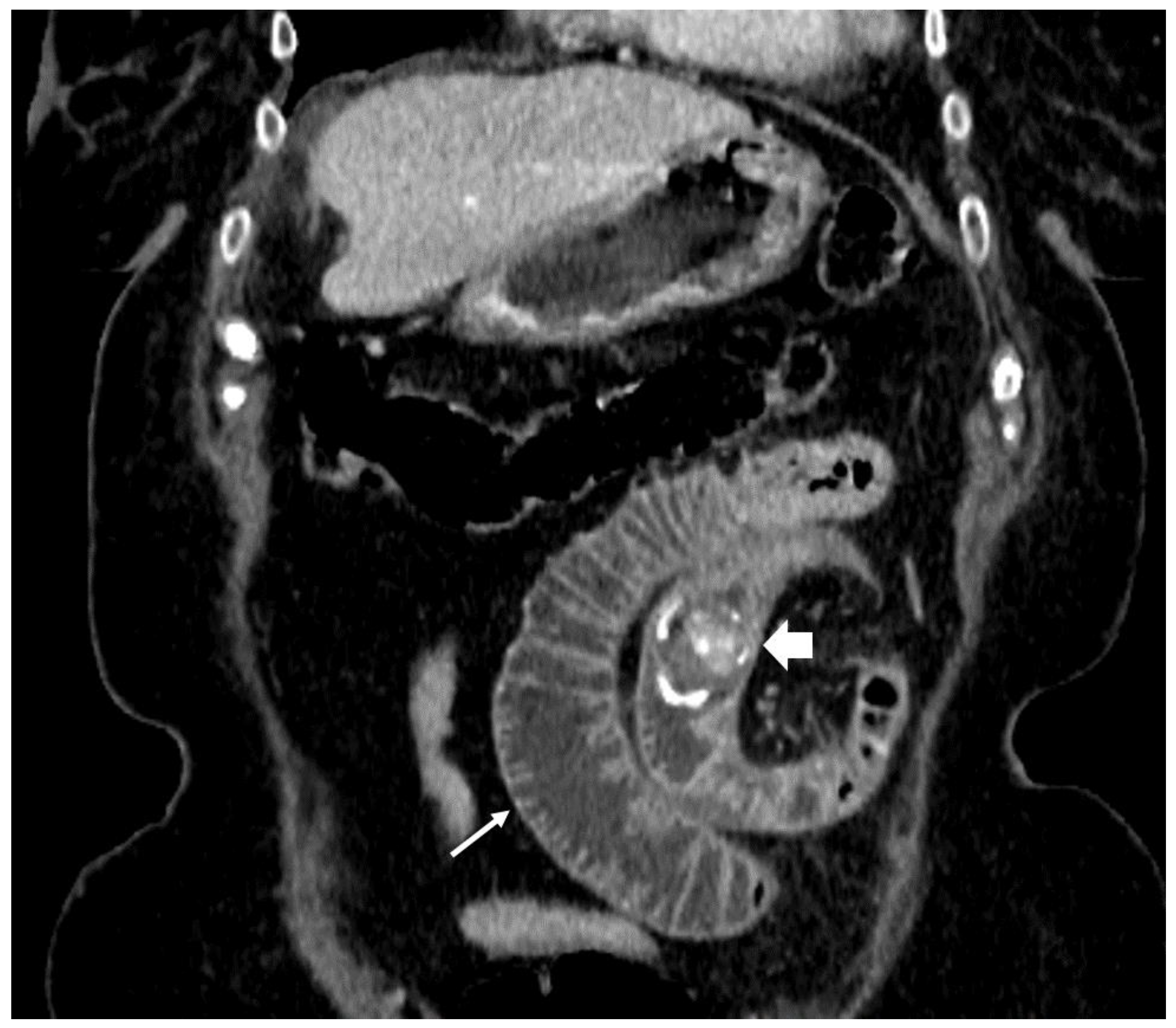
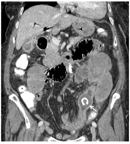
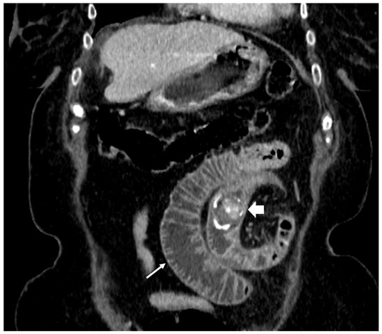
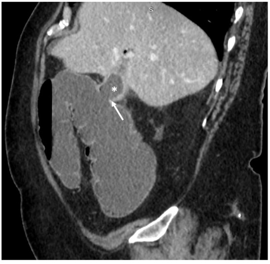
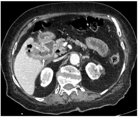
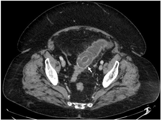
2. Case Presentation
3. Discussion
4. Conclusions
Author Contributions
Funding
Conflicts of Interest
Abbreviations
References
- Clavien, P.-A.; Richon, J.; Burgan, S.; Rohner, A. Gallstone ileus. Br. J. Surg. 1990, 77, 737–742. [Google Scholar] [CrossRef] [PubMed]
- Luu, M.B.; Deziel, D.J. Unusual Complications of Gallstones. Surg. Clin. 2014, 94, 377–394. [Google Scholar] [CrossRef] [PubMed]
- Sigmon, L.; Rejeski, J.; Marion, B.; Fina, M. Colonic gallstone ileus. BMJ Case Rep. 2017. [Google Scholar] [CrossRef]
- Ferretti, C.; Fuks, D.; Wind, P.; Le Bian, A.Z. Laparoscopic management of sigmoid colon gallstone ileus. Tech. Coloproctol. 2018, 22, 605–606. [Google Scholar] [CrossRef]
- Panda, N.; Cauley, C.; Qadan, M. Gallstone Ileus. J. Gastrointest. Surg. 2018, 22, 1989–1991. [Google Scholar] [CrossRef] [PubMed]
- Ayantunde, A.A.; Agrawal, A. Gallstone Ileus: Diagnosis and Management. World J. Surg. 2017, 31, 1294–1299. [Google Scholar] [CrossRef] [PubMed]
- Halabi, W.J.; Kang, C.Y.; Ketana, N.; Lafaro, K.J.; Nguyen, V.Q.; Stamos, M.J.; Imagawa, D.K.; Demirjian, A.N. Surgery for Gallstone Ileus: A Nationwide Comparison of Trends and Outcomes. Ann. Surg. 2014, 259, 329–335. [Google Scholar] [CrossRef] [PubMed]
- Muthukumarasamy, G.; Venkata, S.P.; Shaikh, I.A.; Somani, B.K.; Ravindran, R. Gallstone ileus: Surgical strategies and clinical outcome. J. Dig. Dis. 2008, 9, 156–161. [Google Scholar] [CrossRef]
- Lindsey, T.M. Gallstone Ileus in the Absence of a Gallbladder: A Case Report. Arch. Surg. 1975, 110, 448. [Google Scholar] [CrossRef]
- Newman, J.H. A case of gall-stone ileus in the absence of a biliary-enteric fistula. Br. J. Surg. 1972, 59, 573–575. [Google Scholar] [CrossRef]
- Reisner, R.M.; Cohen, J.R. Gallstone ileus: A review of 1001 reported cases. Am. Surg. 1994, 60, 441–446. [Google Scholar] [PubMed]
- Rigler, L.G.; Borman, C.N.; Noble, J.F. Gallstone Obstruction: Pathogenesis and Roentgen Manifestations. J. Am. Med. Assoc. 1941, 117, 1753. [Google Scholar] [CrossRef]
- Lassandro, F.; Gagliardi, N.; Scuderi, M.; Pinto, A.; Gatta, G.; Mazzeo, R. Gallstone ileus analysis of radiological findings in 27 patients. Eur. J. Radiol. 2004, 50, 23–29. [Google Scholar] [CrossRef] [PubMed]
- Yu, C.-Y. Value of CT in the diagnosis and management of gallstone ileus. World J. Gastroenterol. 2005, 11, 2142. [Google Scholar] [CrossRef] [PubMed]
- Ploneda-Valencia, C.F.; Gallo-Morales, M.; Rinchon, C.; Navarro-Muñiz, E.; Bautista-López, C.A.; de la Cerda-Trujillo, L.F.; Rea-Azpeitia, L.A.; López-Lizarraga, C.R. Gallstone ileus: An overview of the literature. Rev. Gastroenterol. México Engl. Ed. 2017, 82, 248–254. [Google Scholar] [CrossRef]
- Chang, L.; Chang, M.; Chang, H.M.; Chang, A.I.; Chang, F. Clinical and radiological diagnosis of gallstone ileus: A mini review. Emerg. Radiol. 2018, 25, 189–196. [Google Scholar] [CrossRef] [PubMed]
- Rauh, P.; Neye, H.; Ensberg, D.; Bönicke, P.; Georgiew, E.; Rickes, S. Sonographische Diagnose einer biliodigestiven Fistel mit Gallensteinileus. DMW—Dtsch. Med. Wochenschr. 2010, 135, 287–289. [Google Scholar] [CrossRef] [PubMed]
- Ripollés, T.; Miguel-Dasit, A.; Errando, J.; Morote, V.; Gómez-Abril, S.A.; Richart, J. Gallstone ileus: Increased diagnostic sensitivity by combining plain film and ultrasound. Abdom. Imaging 2001, 26, 401–405. [Google Scholar] [CrossRef] [PubMed]
- Lassandro, F.; Romano, S.; Ragozzino, A.; Rossi, G.; Valente, T.; Ferrara, I.; Romano, L.; Grassi, R. Role of Helical CT in Diagnosis of Gallstone Ileus and Related Conditions. Am. J. Roentgenol. 2005, 185, 1159–1165. [Google Scholar] [CrossRef]
- Kasahara, Y.; Umemura, H.; Shiraha, S.; Kuyama, T.; Sakata, K.; Kubota, H. Gallstone ileus. Review of 112 patients in the Japanese literature. Am. J. Surg. 1980, 140, 437–440. [Google Scholar] [CrossRef]
- Stagnitti, F. Biliodigestive fistulae and gallstone ileus: Diagnostic and therapeutic considerations. Our experience. G. Chir.—J. Surg. 2014, 35, 235. [Google Scholar] [CrossRef]
- Roberts, J.A.; Lambrianides, A.L. Spontaneous resolution of a gallstone ileus. J. Surg. Case Rep. 2012, 2012, 3. [Google Scholar] [CrossRef] [PubMed]
- Day, E.A.; Marks, C. Gallstone ileus. Review of the literature and presentation of thirty-four new cases. Am. J. Surg. 1975, 129, 552–558. [Google Scholar] [CrossRef]
- Holl, J.; Sackmann, M.; Hoffmann, R.; Schüssler, P.; Sauerbruch, T.; Jüngst, D.; Paumgartner, G. Shock-wave therapy of gastric outlet syndrome caused by a gallstone. Gastroenterology 1989, 97, 472–474. [Google Scholar] [CrossRef]
- Sackmann, M.; Holl, J.; Haerlin, M.; Sauerbruch, T.; Hoermann, R.; Heinkelein, J.; Paumgartner, G. Gallstone ileus successfully treated by shock-wave lithotripsy. Dig. Dis. Sci. 1991, 36, 1794–1795. [Google Scholar] [CrossRef] [PubMed]
- Maiss, J.; Hochberger, J.; Hahn, E.G.; Lederer, R.; Schneider, H.T.; Muehldorfer, S. Successful laserlithotripsy in Bouveret’s syndrome using a new frequency doubled doublepulse Nd: YAG laser (FREDDY). Scand. J. Gastroenterol. 2004, 39, 791–794. [Google Scholar] [CrossRef] [PubMed]
- Bircan, H.Y.; Koc, B.; Ozcelik, U.; Kemik, O.; Demirag, A. Laparoscopic Treatment of Gallstone Ileus. Clin. Med. Insights Case Rep. 2014, 7, CCRep.S16512. [Google Scholar] [CrossRef]
- Pavlidis, T.E.; Atmatzidis, K.S.; Papaziogas, B.T.; Papaziogas, T.B. Management of gallstone ileus. J. Hepato-Biliary Pancreat. Surg. 2003, 10, 299–302. [Google Scholar] [CrossRef] [PubMed]
- Rodriguez-Sanjuan, J.C.; Casado, F.; Fernandez, M.J.; Morales, D.J.; Naranjo, A. Cholecystectomy and fistula closure versus enterolithotomy alone in gallstone ileus. Br. J. Surg. 1997, 84, 634–637. [Google Scholar] [CrossRef] [PubMed]
- Neary, P.M.; Dowdall, J.F. Evolution of entero-biliary fistula following gallstone ileus management. Case Rep. 2012, 2012, bcr2012006929. [Google Scholar] [CrossRef]
- Fitzgerald, J.E.F.; Fitzgerald, L.A.; Maxwell-Armstrong, C.A.; Brooks, A.J. Recurrent gallstone ileus: Time to change our surgery? J. Dig. Dis. 2009, 10, 149–151. [Google Scholar] [CrossRef] [PubMed]
- Ravikumar, R.; Williams, J.G. The operative management of gallstone ileus. Ann. R. Coll. Surg. Engl. 2010, 92, 279–281. [Google Scholar] [CrossRef] [PubMed]
- Doogue, M.P.; Choong, C.K.; Frizelle, F.A. Recurrent gallstone ileus: Underestimated. ANZ J. Surg. 1998, 68, 755–756. [Google Scholar] [CrossRef] [PubMed]
- Doko, M.; Zovak, M.; Kopljar, M.; Glavan, E.; Ljubicic, N.; Hochstädter, H. Comparison of Surgical Treatments of Gallstone Ileus: Preliminary Report. World J. Surg. 2003, 27, 400–404. [Google Scholar] [CrossRef] [PubMed]
- Mallipeddi, M.K.; Pappas, T.N.; Shapiro, M.L.; Scarborough, J.E. Gallstone ileus: Revisiting surgical outcomes using National Surgical Quality Improvement Program data. J. Surg. Res. 2013, 184, 84–88. [Google Scholar] [CrossRef] [PubMed]
- Saad Al Skaini, M.; Ezzedien Rabie, M.; Al Ghamdi, A.H.; Kandeel, A.Y.; Sulaiman Al Mahdi, M. Gallstone ileus masquerading as an obstructed femoral hernia. Surg. Pract. 2005, 9, 104–106. [Google Scholar] [CrossRef]








| Gender, Age | Time from Hospital Admission to Stone Removal (hours) | ASA Class | Procedure | Procedure Time (min) | Impacted Gallstone Location | Impacted Gallstone Size | Length of Treatment in ICU (days) | Overall Hospital Stay (days) | Outcomes |
|---|---|---|---|---|---|---|---|---|---|
| F, 82 | 25 | III | Laparoscopically assisted enterolithotomy | 95 | Ileum | 3 × 3 cm | 3 | 14 | Good: recovery |
| F, 48 | 40 | III | Laparoscopically assisted enterolithotomy | 70 | Ileum | 3 × 4 cm | - | 10 | Good: recovery |
| F, 85 | 47 | IV | Laparoscopically assisted enterolithotomy | 60 | Ileum | 4 × 3 cm | 12 | 13 | Good: recovery |
| F, 69 | 12 | III | Colonoscopy | 115 | Sigmoid colon | 5 × 4 cm | - | 10 | Good: recovery |
| F, 87 | 2 | IV | Laparotomy with enterolithotomy | 35 | Jejunum | 4 × 3 cm | 5 | 7 | Poor: death |
© 2019 by the authors. Licensee MDPI, Basel, Switzerland. This article is an open access article distributed under the terms and conditions of the Creative Commons Attribution (CC BY) license (http://creativecommons.org/licenses/by/4.0/).
Share and Cite
Jakubauskas, M.; Luksaite, R.; Sileikis, A.; Strupas, K.; Poskus, T. Gallstone Ileus: Management and Clinical Outcomes. Medicina 2019, 55, 598. https://doi.org/10.3390/medicina55090598
Jakubauskas M, Luksaite R, Sileikis A, Strupas K, Poskus T. Gallstone Ileus: Management and Clinical Outcomes. Medicina. 2019; 55(9):598. https://doi.org/10.3390/medicina55090598
Chicago/Turabian StyleJakubauskas, Matas, Raminta Luksaite, Audrius Sileikis, Kestutis Strupas, and Tomas Poskus. 2019. "Gallstone Ileus: Management and Clinical Outcomes" Medicina 55, no. 9: 598. https://doi.org/10.3390/medicina55090598
APA StyleJakubauskas, M., Luksaite, R., Sileikis, A., Strupas, K., & Poskus, T. (2019). Gallstone Ileus: Management and Clinical Outcomes. Medicina, 55(9), 598. https://doi.org/10.3390/medicina55090598

