Transperineal Ultrasound Assessment of a Cystocele’s Impact on the Bladder Neck Mobility in Women with Stress Urinary Incontinence
Abstract
1. Introduction
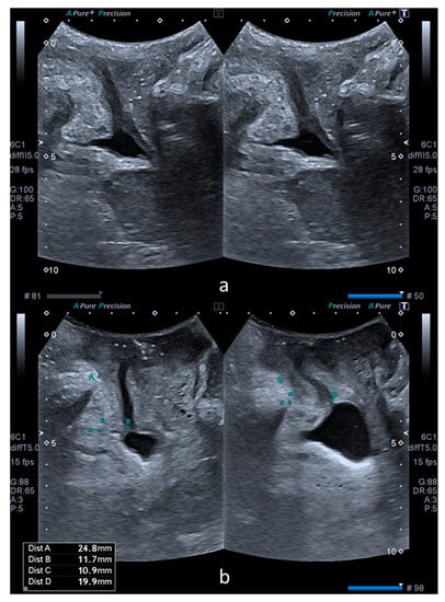
2. Materials and Methods
3. Results
4. Discussion
5. Conclusions
Supplementary Materials
Author Contributions
Funding
Conflicts of Interest
References
- Hajebrahimi, S.; Azaripour, A.; Sadeghi-Bazargani, H. Clinical and transperineal ultrasound findings in females with stress urinary incontinence versus normal controls. Pak. J. Biol. Sci. 2009, 12, 1434–1437. [Google Scholar] [CrossRef] [PubMed]
- Reynolds, W.S.; Dmochowski, R.R.; Penson, D.F. Epidemiology of stress urinary incontinence in women. Curr. Urol. Rep. 2011, 12, 370–376. [Google Scholar] [CrossRef] [PubMed]
- Fonti, Y.; Giordano, R.; Cacciatore, A.; Romano, M.; La Rosa, B. Post partum pelvic floor changes. J. Prenat. Med. 2009, 3, 57–59. [Google Scholar] [PubMed]
- Kannan, K.; Corstiaans, A.; Audas, N.; Rane, A. Cystocele and stress urinary incontinence: Simultaneous repair (simpair) by a modified surgical technique using transobturator mesh. A prospective study. In Proceedings of the ICS/IUGA 2010, Toronto, Canada, 23–27 August 2010. [Google Scholar] [CrossRef]
- Dietz, H.P. Pelvic organ prolapse—A review. Aust. Fam. Physician 2015, 44, 446–452. [Google Scholar] [PubMed]
- Pollak, J.T.; Jenkins, P.; Kopka, S.L.; Davila, G.W. Effect of genital prolapse on assessment of bladder neck mobility by the Q-tip test. Obstet. Gynecol. 2003, 101, 662–665. [Google Scholar] [CrossRef] [PubMed]
- Huang, W.C.; Yang, J.M. Bladder neck funneling on ultrasound cystourethrography in primary stress urinary incontinence: A sign associated with urethral hypermobility and intrinsic sphincter deficiency. Urology 2003, 61, 936–941. [Google Scholar] [CrossRef]
- Dietz, H.P. Ultrasound imaging of the pelvic floor. Part I: Two-dimensional aspects. Ultrasound Obstet. Gynecol. 2004, 23, 80–92. [Google Scholar] [CrossRef] [PubMed]
- Van Delft, K.; Sultan, A.H.; Thakar, R.; Schwertner-Tiepelmann, N.; Kluivers, K. The relationship between postpartum levator ani muscle avulsion and signs and symptoms of pelvic floor dysfunction. BJOG 2014, 121, 1164–1171. [Google Scholar] [CrossRef] [PubMed]
- Wesnes, S.L.; Hunskaar, S.; Bo, K.; Rortveit, G. The effect of urinary incontinence status during pregnancy and delivery mode on incontinence postpartum. A cohort study. BJOG 2009, 116, 700–707. [Google Scholar] [CrossRef] [PubMed]
- Bump, R.C.; Mattiasson, A.; Bø, K.; Brubaker, L.P.; DeLancey, J.O.; Klarskov, P.; Shull, B.L.; Smith, A.R. The standardization of terminology of female pelvic organ prolapse and pelvic floor dysfunction. Am. J. Obstet. Gynecol. 1996, 175, 10–17. [Google Scholar] [CrossRef]
- Sarnelli, G.; Trovato, C.; Imarisio, M.; Talleri, D.; Braconi, A. Ultrasound assessment of the female perineum: Technique, methods, indications and ultrasound anatomy. Radiol. Med. 2003, 106, 357–369. [Google Scholar] [PubMed]
- Dietz, H.P. Pelvic floor ultrasound in prolapse: What’s in it for the surgeon? Int. Urogynecol. J. 2011, 22, 1221–1232. [Google Scholar] [CrossRef] [PubMed]
- Al-Saadi, W.I. Transperineal ultrasonography in stress urinary incontinence: The significance of urethral rotation angles. Arab J. Urol. 2016, 14, 66–71. [Google Scholar] [CrossRef] [PubMed]
- Santoro, G.A.; Wieczorek, A.P.; Bartram, C.I. Pelvic Floor Disorders: Imaging and Multidisciplinary Approach to Management; Springer: Milano, Italy, 2010; pp. 407–408. [Google Scholar]
- Viereck, V.; Pauer, H.U.; Bader, W.; Oppermann, M.; Hilgers, R.; Gauruder-Burmester, A.; Lange, R.; Emons, G.; Hackenberg, R.; Krauss, T. Introital ultrasound of the lower genital tract before and after colposuspension: A 4-year objective follow-up. Ultrasound Obstet. Gynecol. 2004, 23, 277–283. [Google Scholar] [CrossRef] [PubMed]
- Viereck, V.; Pauer, H.U.; Hesse, O.; Bader, W.; Tunn, R.; Lange, R.; Hilgers, R.; Emons, G. Urethral hypermobility after anti-incontinence surgery—A prognostic indicator? Int. Urogynecol. J. Pelvic Floor Dysfunct. 2006, 17, 586–592. [Google Scholar] [CrossRef] [PubMed]
- Meyer, S.; De Grandi, P.; Schreyer, A.; Caccia, G. The assessment of bladder neck position and mobility in continent nullipara, mulitpara, forceps-delivered and incontinent women using perineal ultrasound: A future office procedure? Int. Urogynecol. J. Pelvic Floor Dysfunct. 1996, 7, 138–146. [Google Scholar] [CrossRef] [PubMed]
- Snooks, S.J.; Swash, M.; Henry, M.M.; Setchell, M. Risk factors in childbirth causing damage to the pelvic floor innervation. Int. J. Colorectal Dis. 1986, 1, 20–24. [Google Scholar] [CrossRef]
- Handa, V.L.; Harris, T.A.; Ostergard, D.R. Protecting the pelvic floor: Obstetric management to prevent incontinence and pelvic organ prolapse. Obstet. Gynecol. 1996, 88, 470–478. [Google Scholar] [CrossRef]


| Inclusion Criteria | Exclusion Criteria |
|---|---|
| Women with SUI • with grade 2 or 3 cystocele • without cystocele | Women who had history of vaginal surgery • for SUI or • for pelvic organ prolapse |
| Women who had ≥1 vaginal birth | Nulliparous women |
| Women who delivered exclusively vaginally |
| SUI without Cystocele (Mean, SD) | SUI with Cystocele (Mean, SD) | p Value | |
|---|---|---|---|
| Number of patients | 33 | 38 | |
| Age (years old) | 57.9 ± 8.8 | 59.9 ± 9.3 | 0.3 |
| BMI (kg/m2) | 28.3 ± 5.4 | 29 ± 5.1 | 0.4 |
| Number of vaginal births | 2.6 ± 1.0 | 2.4 ± 1.4 | 0.2 |
| Heaviest newborn’s birth weight (g) | 3569 ± 206.7 | 3513 ± 473.7 | 0.6 |
| SUI without Cystocele (Mean, SD) | SUI with Cystocele (Mean, SD) | p Value | |
|---|---|---|---|
| SPBN Rest (mm) | 15.1 ± 7.2 | 17.3 ± 5.5 | 0.1 |
| SPBN Valsalva (mm) | 6.0 ± 9.3 | 5.4 ± 11.3 | 0.8 |
| ΔSPBN (mm) | 9.1 ± 6.3 | 11.9 ± 10.9 | 0.2 |
| DLM Rest (mm) | 13.6 ± 6.4 | 15.3 ± 7.1 | 0.4 |
| DLM Valsalva (mm) | 18.2 ± 8.8 | 20.0 ± 8.1 | 0.3 |
| ΔDLM (mm) | 4.7 ± 5.3 | 4.9 ± 8.1 | 0.6 |
| Spearman r Correlation | 95% CI | p Value | ||
|---|---|---|---|---|
| ΔSPBN—Number of vaginal births | SUI without cystocele | 0.2 | 0.1–0.6 | 0.2 |
| SUI with cystocele | 0.04 | 0.3–0.4 | 0.8 | |
| Combined | 0.09 | 0.2–0.3 | 0.5 | |
| ΔSPBN—Heaviest newborn’s birth weight | SUI without cystocele | 0.3 | 0.05–0.7 | 0.07 |
| SUI with cystocele | 0.2 | 0.1–0.5 | 0.1 | |
| Combined | 0.2 | 0.001–0.5 | 0.04 | |
| ΔDLM—Number of vaginal births | SUI without cystocele | 0.3 | 0.04–0.7 | 0.06 |
| SUI with cystocele | −0.008 | 0.2–0.3 | 0.9 | |
| Combined | 0.1 | 0.1–0.4 | 0.4 | |
| ΔDLM—heaviest newborn’s birth weight | SUI without cystocele | 0.2 | 0.1–0.6 | 0.1 |
| SUI with cystocele | −0.2 | 0.05–0.1 | 0.1 | |
| Combined | 0.08 | 0.1–0.3 | 0.5 |
© 2019 by the authors. Licensee MDPI, Basel, Switzerland. This article is an open access article distributed under the terms and conditions of the Creative Commons Attribution (CC BY) license (http://creativecommons.org/licenses/by/4.0/).
Share and Cite
Rada, M.-P.; Ciortea, R.; Măluțan, A.M.; Diculescu, D.; Berceanu, C.; Oancea, M.; Iuhas, C.I.; Bucuri, C.E.; Roman, A.; Mihu, D. Transperineal Ultrasound Assessment of a Cystocele’s Impact on the Bladder Neck Mobility in Women with Stress Urinary Incontinence. Medicina 2019, 55, 562. https://doi.org/10.3390/medicina55090562
Rada M-P, Ciortea R, Măluțan AM, Diculescu D, Berceanu C, Oancea M, Iuhas CI, Bucuri CE, Roman A, Mihu D. Transperineal Ultrasound Assessment of a Cystocele’s Impact on the Bladder Neck Mobility in Women with Stress Urinary Incontinence. Medicina. 2019; 55(9):562. https://doi.org/10.3390/medicina55090562
Chicago/Turabian StyleRada, Maria-Patricia, Răzvan Ciortea, Andrei Mihai Măluțan, Doru Diculescu, Costin Berceanu, Mihaela Oancea, Cristian Ioan Iuhas, Carmen Elena Bucuri, Andrei Roman, and Dan Mihu. 2019. "Transperineal Ultrasound Assessment of a Cystocele’s Impact on the Bladder Neck Mobility in Women with Stress Urinary Incontinence" Medicina 55, no. 9: 562. https://doi.org/10.3390/medicina55090562
APA StyleRada, M.-P., Ciortea, R., Măluțan, A. M., Diculescu, D., Berceanu, C., Oancea, M., Iuhas, C. I., Bucuri, C. E., Roman, A., & Mihu, D. (2019). Transperineal Ultrasound Assessment of a Cystocele’s Impact on the Bladder Neck Mobility in Women with Stress Urinary Incontinence. Medicina, 55(9), 562. https://doi.org/10.3390/medicina55090562

